Ultrastructural Changes in the Midgut of Brazilian Native Stingless Bee Melipona scutellaris Exposed to Fungicide Pyraclostrobin
Abstract
:1. Introduction
2. Materials and Methods
2.1. Meliponary
2.2. Stingless Bee Sampling
2.3. Fungicide Pyraclostrobin
2.4. Oral Exposure to Pyraclostrobin
2.5. Midgut Processing for Morphological Analysis
Transmission Electron Microscopy (TEM)
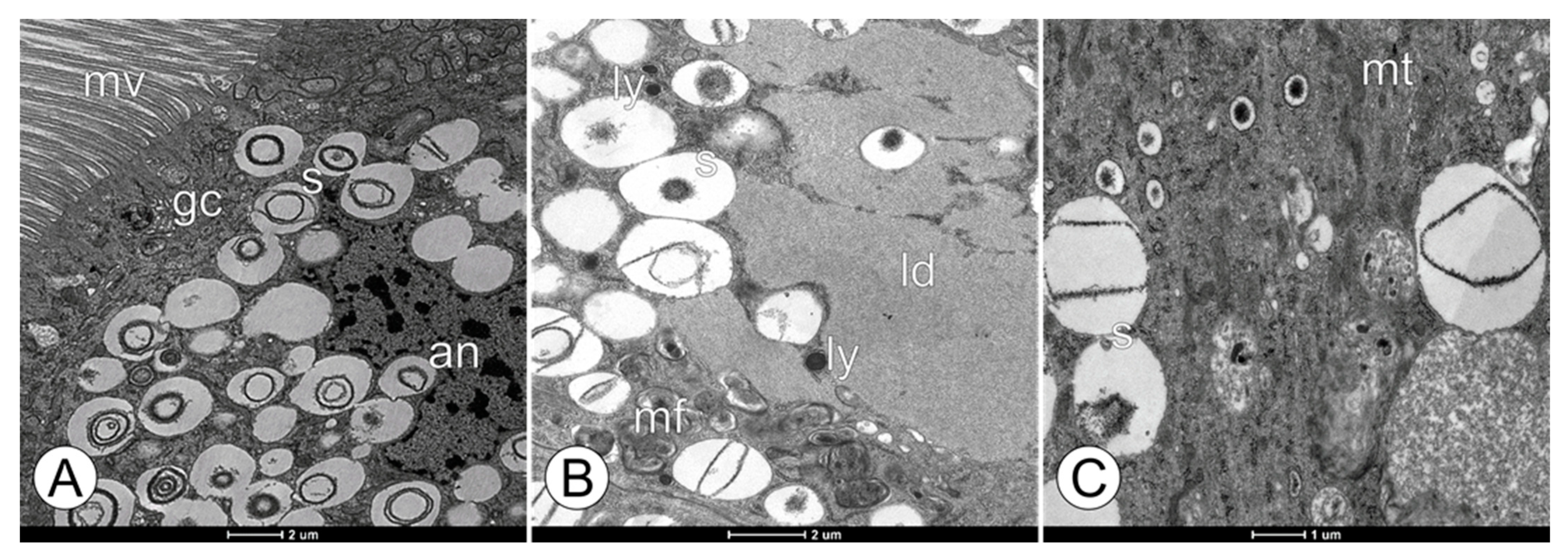
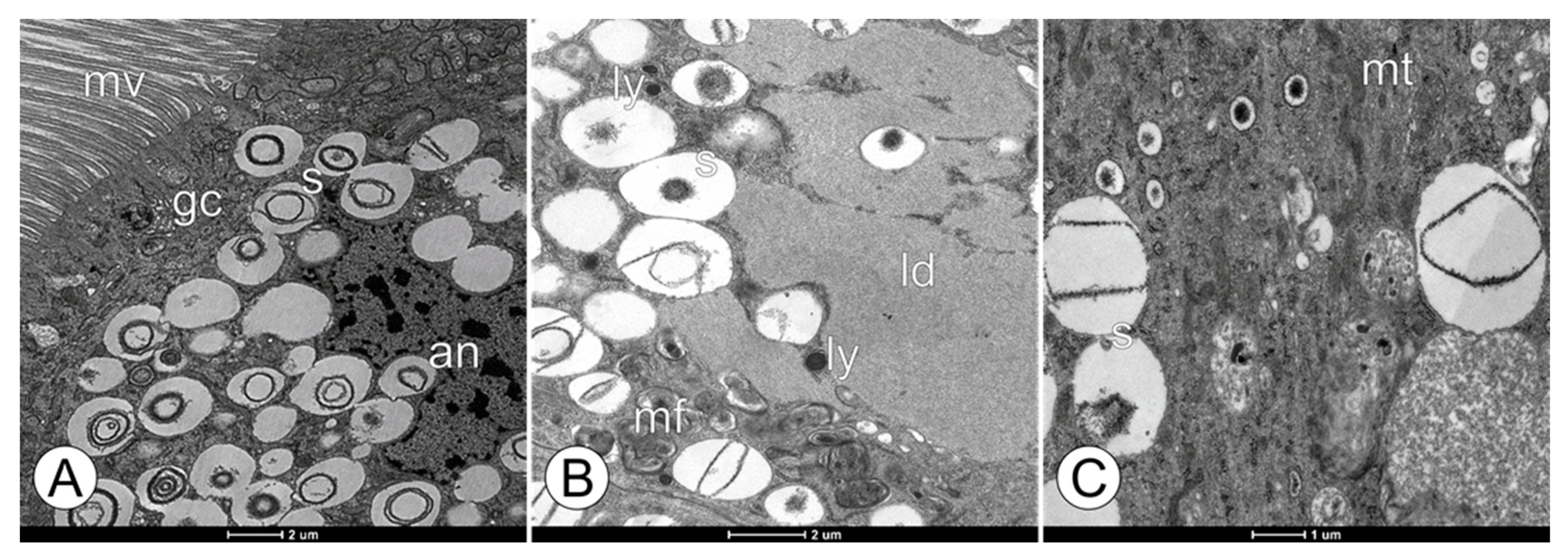
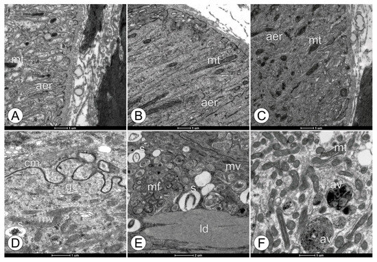
3. Results
4. Discussion
5. Conclusions
Supplementary Materials
Author Contributions
Funding
Institutional Review Board Statement
Informed Consent Statement
Data Availability Statement
Acknowledgments
Conflicts of Interest
References
- Rasmussen, C.; Cameron, S.A. Global stingless bee phylogeny supports ancient divergence, vicariance, and long distance dispersal. Biol. J. Linn. Soc. 2010, 99, 206–232. [Google Scholar] [CrossRef]
- Grüter, C. Stingless Bees: Their Behaviour, Ecology and Evolution, 1st ed.; Springer: New York, NY, USA, 2020; pp. 1–385. [Google Scholar] [CrossRef]
- Michener, C. The Bees of the World, 2nd ed.; Johns Hopkins University Press: Baltimore, MD, USA, 2007; pp. 1–3001. [Google Scholar]
- Eardly, C.D. Taxonomic revision of the African stingless bee (Apoidea: Apidae: Apinae: Meliponini). Afr. Plant Prot. 2004, 10, 63–96. [Google Scholar]
- Pedro, S.R.M. The stingless bee fauna in Brazil (Hymenoptera: Apidae). Sociobiology 2014, 61, 348–354. [Google Scholar] [CrossRef]
- Bueno, F.G.B.; Kendall, L.; Alves, D.A.; Tamara, M.L.; Heard, T.; Latty, T.; Gloag, R. Stingless bee floral visitation in the global tropics and subtropics. Glob. Ecol. Conserv. 2023, 43, e02454. [Google Scholar] [CrossRef]
- Roubik, D.W. Stingless bee nesting biology. Apidologie 2006, 37, 124–143. [Google Scholar] [CrossRef]
- Imperatriz-Fonseca, V.; Saraiva, A.M.; Gonçalves, L. The Brazilian pollinators initiative and the advances for the comprehension of the role of pollinators as ecosystem services providers. Biosci. J. 2007, 23, 100–106. [Google Scholar]
- Imperatriz-Fonseca, V.L.; Alves-dos-Santos, I.; Santos-Filho, P.S.; Engels, W.; Ramalho, M.; Wilms, W.; Aguilar, J.B.V.; Pinheiro-Machado, C.A.; Alves, D.A.; Kleinert, A.M.P. Checklist of bees and honey plants from São Paulo State, Brazil. Biota Neotrop. 2011, 11, 631–655. [Google Scholar] [CrossRef]
- Bruckman, D.; Campbell, D.R. Floral neighborhood influences pollinator assemblages and effective pollination in a native plant. Oecologia 2014, 176, 465–476. [Google Scholar] [CrossRef]
- Heard, T.A. The role of stingless bees in crop pollination. Annu. Rev. Entomol. 1999, 44, 183–206. [Google Scholar] [CrossRef]
- Slaa, E.J.; Sánchez Chaves, L.A.; Malagodi-Braga, K.S.; Hofstede, F.E. Stingless bees in applied pollination: Practice and perspectives. Apidologie 2006, 37, 29–315. [Google Scholar] [CrossRef]
- Viana, B.F.; Coutinho, J.G.E.; Garibaldi, L.A.; Castagnino, G.L.B.; Gramacho, K.P.; Silva, F.O. Stingless bees further improve apple pollination and production. J. Pollinat. Ecol. 2014, 14, 261–269. [Google Scholar] [CrossRef]
- Giannini, T.C.; Alves, D.A.; Alves, R.; Cordeiro, G.D.; Campbell, A.J.; Awade, M.; Bento, J.M.S.; Saraiva, A.M.; Imperatriz-Fonseca, V.L. Unveiling the contribution of bee pollinators to Brazilian crops with implications for bee management. Apidologie 2020, 51, 406–421. [Google Scholar] [CrossRef]
- Zulhendri, F.; Perera, C.O.; Chandrasekaran, K.; Ghosh, A.; Tandean, S.; Abdulah, R.; Herman, H.; Lesmana, R. Propolis of stingless bees for the development of novel functional food and nutraceutical ingredients: A systematic scoping review of the experimental evidence. J. Funct. Foods. 2022, 88, 104902. [Google Scholar] [CrossRef]
- Rozman, A.S.; Hashim, N.; Maringgal, B.; Abdan, K. A comprehensive review of stingless bee products: Phytochemical composition and beneficial properties of honey, propolis, and pollen. Appl. Sci. 2022, 12, 6370. [Google Scholar] [CrossRef]
- Choudhari, M.K.; Punekar, S.A.; Ranade, R.V.; Paknikar, K.M. Antimicrobial activity of stingless bee (Trigona sp.) propolis used in the folk medicine of Western Maharashtra, India. J. Ethnopharmacol. 2012, 141, 363–367. [Google Scholar] [CrossRef] [PubMed]
- Rao, P.V.; Krishnan, K.T.; Salleh, N.; Gan, S.H. Biological and therapeutic effects of honey produced by honey bees and stingless bees: A comparative review. Rev. Bras. Farmacogn. 2016, 26, 657–664. [Google Scholar] [CrossRef]
- Lavinas, F.C.; Macedo, E.H.B.C.; Sá, G.B.L.; Amaral, A.C.F.; Silva, J.R.A.; Azevedo, M.M.B.; Vieira, B.A.; Domingos, T.F.S.; Vermelho, A.B.; Carneiro, C.S.; et al. Brazilian stingless bee propolis and geopropolis: Promising sources of biologically active compounds. Rev. Bras. Farmacogn. 2019, 29, 389–399. [Google Scholar] [CrossRef]
- Al-Hatamleh, M.A.I.; Boer, J.C.; Wilson, K.L.; Plebanski, M.; Mohamud, R.; Mustafa, M.Z. Antioxidant-based medicinal properties of stingless bee products: Recent progress and future directions. Biomolecules 2020, 10, 923. [Google Scholar] [CrossRef]
- Alves, R.M.O.; Carvalho, C.A.L.; Souza, B.A.; Santos, W.S. Areas of natural occurrence of Melipona scutellaris Latreille, 1811 (Hymenoptera: Apidae) in the state of Bahia, Brazil. An. Acad. Bras. Ciênc. 2012, 84, 679–688. [Google Scholar] [CrossRef]
- Medeiros, V.F.L.P.; Azevedo, I.M.; Rêgo, A.C.M.; Egito, E.S.T.; Araújo-Filho, I.; Medeiros, A.C. Antibacterial properties and healing effects of Melipona scutellaris honey in MRSA-infected wounds of rats. Acta Cir. Bras. 2016, 31, 327–332. [Google Scholar] [CrossRef]
- Cunha, M.G.; Rosalen, P.L.; Franchin, M.; Alencar, S.M.; Ikegaki, M.; Ransom, T.; Beutler, J.A. Antiproliferative constituents of geopropolis from the bee Melipona scutellaris. Planta Med. 2016, 82, 190–194. [Google Scholar] [CrossRef]
- ICMBio (Instituto Chico Mendes de Conservação da Biodiversidade). Livro Vermelho da Fauna Brasileira Ameaçada de Extinção; Instituto Chico Mendes de Conservação da Biodiversidade: João Pessoa, Brazil, 2018.
- Toledo-Hernández, E.; Peña-Chora, G.; Hernández-Velázquez, V.M.; Lormendez, C.C.; Toribio-Jiménez, J.; Romero-Ramírez, Y.; León-Rodríguez, R. The stingless bees (Hymenoptera: Apidae: Meliponini): A review of the current threats to their survival. Apidologie 2022, 53, 8. [Google Scholar] [CrossRef]
- Arena, M.; Sgolastra, F. A meta-analysis comparing the sensitivity of bees to pesticides. Ecotoxicology 2014, 23, 324–334. [Google Scholar] [CrossRef]
- Gikas, G.D.; Parlakidis, P.; Mavropoulos, T.; Vryzas, Z. Particularities of fungicides and factors affecting their fate and removal efficacy: A review. Sustainability 2022, 14, 4056. [Google Scholar] [CrossRef]
- Sharma, A.; Kumar, V.; Shahzad, B.; Tanveer, M.; Sidhu, G.P.S.; Handa, N.; Kohli, S.K.; Yadav, P.; Bali, A.S.; Parihar, R.D.; et al. Worldwide pesticide usage and its impacts on ecosystem. SN Appl. Sci. 2019, 1, 1446. [Google Scholar] [CrossRef]
- Raimets, R.; Bontšutšnaja, A.; Bartkevics, V.; Pugajeva, I.; Kaart, T.; Puusepp, L.; Pihlik, P.; Keres, I.; Viinalass, H.; Mänd, M.; et al. Pesticide residues in beehive matrices are dependent on collection time and matrix type but independent of proportion of foraged oilseed rape and agricultural land in foraging territory. Chemosphere 2020, 238, 124555. [Google Scholar] [CrossRef] [PubMed]
- Pettis, J.S.; Lichtenberg, E.M.; Andree, M.; Stitzinger, J.; Rose, R.; van Engelsdorp, D. Crop pollination exposes honey bees to pesticides which alters their susceptibility to the gut pathogen Nosema ceranae. PLoS ONE 2013, 8, e70182. [Google Scholar] [CrossRef]
- Zioga, E.; Kelly, R.; White, B.; Stout, J.C. Plant protection product residues in plant pollen and nectar: A review of current knowledge. Environ. Res. 2020, 189, 109873. [Google Scholar] [CrossRef]
- Yoder, J.A.; Jajack, A.J.; Rosselot, A.E.; Smith, T.J.; Yerke, M.C.; Sammataro, D. Fungicide contamination reduces beneficial fungi in bee bread based on an area-wide field study in honey bee, Apis mellifera, colonies. J. Toxicol. Environ. Health Part A 2013, 76, 587–600. [Google Scholar] [CrossRef]
- Bartlett, D.W.; Clough, J.M.; Godwin, J.R.; Hall, A.A.; Hamer, M.; Parr-Dobrzanski, B. The strobilurin fungicides. Pest. Manag. Sci. 2002, 58, 649–662. [Google Scholar] [CrossRef]
- Tomé, H.V.V.; Ramos, G.S.; Araujo, M.F.; Santana, W.C.; Santos, G.R.; Guedes, R.N.; Maciel, C.D.; Newland, P.L.; Oliveira, E.E. Agrochemical synergism imposes higher risk to neotropical bees than to honeybees. R. Soc. Open Sci. 2017, 4, 160866. [Google Scholar] [CrossRef]
- Domingues, C.E.C.; Inoue, L.V.B.; Silva-Zacarin, E.C.M.; Malaspina, O. Fungicide pyraclostrobin affects midgut morphophysiology and reduces survival of Brazilian native stingless bee Melipona scutellaris. Ecotoxicol. Environ. Saf. 2020, 206, 111395. [Google Scholar] [CrossRef] [PubMed]
- Prado, F.S.R.; Santos, D.M.; Almeida Oliveira, T.M.; Burgarelli, J.A.M.; Castele, J.B.; Vieira, E.M. Determination and uptake of abamectin and difenoconazole in the stingless bee Melipona scutellaris Latreille (1811) via oral and topic acute exposure. Environ. Pollut. 2020, 265, 114313. [Google Scholar] [CrossRef] [PubMed]
- Almeida, C.H.S.; Haddi, K.; Toledo, P.F.S.; Rezende, S.M.; Santana, W.C.; Guedes, R.N.C.; Newland, P.L.; Oliveira, E.E. Sublethal agrochemical exposures can alter honey bees’ and Neotropical stingless bees’ color preferences, respiration rates, and locomotory responses. Sci. Total Environ. 2021, 779, 146432. [Google Scholar] [CrossRef]
- Brigante, J.; Costa, J.O.; Espíndola, E.L.G.; Daam, M.A. Acute toxicity of the insecticide abamectin and the fungicide difenoconazole (individually and in mixture) to the tropical stingless bee Melipona scutellaris. Ecotoxicology 2021, 30, 1872–1879. [Google Scholar] [CrossRef] [PubMed]
- Serrão, J.E.; Cruz-Landim, C. Ultrastructure of digestive cells in stingless bees of various ages (Hymenoptera, Apidae, Meliponinae). Cytobios 1996, 88, 161–171. [Google Scholar]
- Serrão, J.E.; Ronnau, M.; Neves, C.A.; Campos, L.A.; Zanuncio, J.C. Ultrastructure of anterior midgut region of corbiculate bees (Hymenoptera: Apidae). Ann. Entomol. Soc. Am. 2008, 101, 915–921. [Google Scholar] [CrossRef]
- Denecke, S.; Swevers, L.; Douris, V.; Vontas, J. How do oral insecticidal compounds cross the insect midgut epithelium? Insect Biochem. Mol. Biol. 2018, 103, 22–35. [Google Scholar] [CrossRef] [PubMed]
- Cruz-Landim, C. Abelhas: Morfologia e Função de Sistemas, 1st ed.; UNESP: São Paulo, Brazil, 2009; pp. 1–416. [Google Scholar] [CrossRef]
- Terra, W.R.; Ferreira, C. Evolutionary trends of digestion and absorption in the major insect orders. Arthropod Struct. Dev. 2020, 56, 100931. [Google Scholar] [CrossRef] [PubMed]
- Motta, J.V.d.O.; Carneiro, L.S.; Martínez, L.C.; Bastos, D.S.S.; Resende, M.T.C.S.; Castro, B.M.C.; Neves, M.M.; Zanuncio, J.C.; Serrão, J.E. Midgut cell damage and oxidative stress in Partamona helleri (Hymenoptera: Apidae) workers caused by the insecticide lambda-cyhalothrin. Antioxidants 2023, 12, 1510. [Google Scholar] [CrossRef] [PubMed]
- Serra, R.S.; Cossolin, J.F.S.; Resende, M.T.C.S.; Castro, M.A.; Oliveira, A.H.; Martínez, L.C.; Serrão, J.E. Spiromesifen induces histopathological and cytotoxic changes in the midgut of the honeybee Apis mellifera (Hymenoptera: Apidae). Chemosphere 2021, 270, 129439. [Google Scholar] [CrossRef] [PubMed]
- Carneiro, L.S.; Martínez, L.C.; Gonçalves, W.G.; Santana, L.M.; Serrão, J.E. Ecotoxicology and Environmental Safety the fungicide iprodione affects midgut cells of non-target honey bee Apis mellifera workers. Ecotoxicol. Environ. Saf. 2020, 189, 109991. [Google Scholar] [CrossRef] [PubMed]
- Castro, M.B.A.; Martinez, L.C.; Cossolin, J.F.S.; Serra, R.S.; Serrão, J.E. Cytotoxic effects on the midgut, hypopharyngeal, glands and brain of Apis mellifera honey bee workers exposed to chronic concentrations of lambda-cyhalothrin. Chemosphere 2020, 248, 126075. [Google Scholar] [CrossRef] [PubMed]
- Domingues, C.E.C.; Inoue, L.V.B.; Silva-Zacarin, E.C.M.; Malaspina, O. Foragers of Africanized honeybee are more sensitive to fungicide pyraclostrobin than newly emerged bees. Environ. Pollut. 2020, 266, 115267. [Google Scholar] [CrossRef] [PubMed]
- Lourencetti, A.P.S.; Azevedo, P.; Miotelo, L.; Malaspina, O.; Nocelli, R.C.F. Surrogate species in pesticide risk assessments: Toxicological data of three stingless bees species. Environ. Pollut. 2023, 318, 120842. [Google Scholar] [CrossRef]
- Assis, J.C.; Tadei, R.; Menezes-Oliveira, V.B.; Silva-Zacarin, E.C.M. Are native bees in Brazil at risk from the exposure to the neonicotinoid imidacloprid? Environ. Res. 2022, 212, 113127. [Google Scholar] [CrossRef]
- OECD (Organization for Economic Co-operation and Development). Test No. 213: Honeybees, Acute Oral Toxicity Test. In OECD Guidelines for the Testing of Chemicals; OECD Publishing: Paris, France, 1998. [Google Scholar]
- Sánchez-Bayo, F.; Goulson, D.; Pennacchio, F.; Nazzi, F.; Goka, K.; Desneux, N. Are bee diseases linked to pesticides?—A brief review. Environ. Int. 2016, 89–90, 7–11. [Google Scholar] [CrossRef]
- Insolia, L.; Molinari, R.; Rogers, S.R.; Williams, G.R.; Chiaromonte, F.; Calovi, M. Honey bee colony loss linked to parasites, pesticides and extreme weather across the United States. Sci. Rep. 2022, 12, 20787. [Google Scholar] [CrossRef]
- Maggi, M.; Antúnez, K.; Invernizzi, C.; Aldea, P.; Vargas, M.; Negri, P.; Brasesco, C.; De Jong, D.; Message, D.; Teixeira, E.W.; et al. Honeybee health in South America. Apidologie 2016, 47, 835–854. [Google Scholar] [CrossRef]
- Castilhos, D.; Bergamo, G.C.; Kastelic, J.P. Honey bee colony losses in Brazil in 2018-2019. Braz. J. Anim. Environ. Res. 2021, 4, 5017–5041. [Google Scholar] [CrossRef]
- Rondeau, S.; Raine, N.E. Fungicides and bees: A review of exposure and risk. Environ. Int. 2022, 165, 107311. [Google Scholar] [CrossRef]
- Serra, R.S.; Martínez, L.C.; Cossolin, J.F.S.; Resende, M.T.C.S.; Carneiro, L.S.; Fiaz, M.; Serrão, J.E. The fungicide azoxystrobin causes histopathological and cytotoxic changes in the midgut of the honey bee Apis mellifera (Hymenoptera: Apidae). Ecotoxicology 2023, 32, 234–242. [Google Scholar] [CrossRef]
- Batista, A.C.; Domingues, C.E.C.; Costa, M.J.; Silva-Zacarin, E.C.M. Is a strobilurin fungicide capable of inducing histopathological effects on the midgut and Malpighian tubules of honey bees? J. Apic. Res. 2020, 59, 834–843. [Google Scholar] [CrossRef]
- Tadei, R.; Menezes-Oliveira, V.B.; Silva-Zacarin, E.C.M. Silent effect of the fungicide pyraclostrobin on the larval exposure of the non-target organism Africanized Apis mellifera and its interaction with the pathogen Nosema ceranae in adulthood. Environ. Pollut. 2020, 267, 115622. [Google Scholar] [CrossRef]
- Elmore, S. Apoptosis: A review of programmed cell death. Toxicol. Pathol. 2007, 35, 495–516. [Google Scholar] [CrossRef]
- Domingues, C.E.C.; Abdalla, F.C.; Balsamo, P.J.; Pereira, B.V.R.; Hausen, M.A.; Costa, M.J.; Silva-Zacarin, E.C.M. Thiamethoxam and picoxystrobin reduce the survival and overload the hepato-nephrocitic system of the Africanized honeybee. Chemosphere 2017, 186, 994–1005. [Google Scholar] [CrossRef] [PubMed]
- Carneiro, L.S.; Martinez, L.C.; Oliveira, A.H.; Cossolin, J.F.S.; Resende, M.T.C.S.; Gonçalves, W.G.; Medeiros-Santana, L.; Serrão, J.E. Acute oral exposure to imidacloprid induces apoptosis and autophagy in the midgut of honey bee Apis mellifera workers. Sci. Total Environ. 2022, 818, 152847. [Google Scholar] [CrossRef] [PubMed]
- Gao, J.; Guo, Y.; Chen, J.; Diao, Q.-Y.; Wang, Q.; Dai, P.-L.; Zhang, L.; Li, W.-M.; Wu, Y.-Y. Acute oral toxicity, apoptosis, and immune response in nurse bees (Apis mellifera) induced by flupyradifurone. Front. Physiol. 2023, 14, 1150340. [Google Scholar] [CrossRef]
- Zick, M.; Rabl, R.; Reichert, A.S. Cristae formation—Linking ultrastructure and function of mitochondria. Biochim. Biophys. Acta, Mol. Cell Res. 2009, 1793, 5–19. [Google Scholar] [CrossRef]
- Campbell, J.B.; Nath, R.; Gadau, J.; Fox, T.; Degrandi-Hoffman, G.; Harrison, J.F. The fungicide Pristine® inhibits mitochondrial function in vitro but not flight metabolic rates in honey bees. J. Insect Physiol. 2016, 86, 11–16. [Google Scholar] [CrossRef]
- Friol, P.S.; Catae, A.F.; Tavares, D.A.; Malaspina, O.; Roat, T.C. Can the exposure of Apis mellifera (Hymenoptera, Apiadae) larvae to a field concentration of thiamethoxam affect newly emerged bees? Chemosphere 2017, 185, 56–66. [Google Scholar] [CrossRef]
- Frey, T.G.; Mannella, C.A. The internal structure of mitochondria. Trends Biochem. Sci. 2000, 25, 319–324. [Google Scholar] [CrossRef] [PubMed]
- Oliveira, A.H.; Gonçalves, W.G.; Fernandes, K.M.; Barcellos, M.S.; Sampaio, W.M.S.; Lopes, M.P.; Martins, G.F.; Serrão, J.E. Morphology and morphometry of the midgut in the stingless bee Friesella schrottkyi (Hymenoptera: Apidae). Insects 2019, 10, 73. [Google Scholar] [CrossRef] [PubMed]
- Jimenez, D.R.; Gilliam, M. Age-related changes in midgut ultrastructure and trypsin activity in the honey bee, Apis mellifera. Apidologie 1989, 20, 287–303. [Google Scholar] [CrossRef]
- Teixeira, A.D.; Marques-Araujo, S.; Zanuncio, J.C.; Serrão, J.E. Peritrophic membrane origin in adult bees (Hymenoptera): Immunolocalization. Micron 2015, 68, 91–97. [Google Scholar] [CrossRef] [PubMed]
- Serrão, J.E.; Cruz-Landim, C. The striated border of digestive cells in adult stingless bees (Hymenoptera, Apidae, Meliponinae) Cytobios 1995, 83, 229–235. 83.
- Grella, T.C.; Soares-Lima, H.M.; Malaspina, O.; Nocelli, R.C.F. Semi-quantitative analysis of morphological changes in bee tissues: A toxicological approach. Chemosphere 2019, 236, 124255. [Google Scholar] [CrossRef]
- Inoue, L.V.B.; Domingues, C.E.C.; Gregorc, A.; Silva-Zacarin, E.C.M.; Malaspina, O. Harmful effects of pyraclostrobin on the fat body and pericardial cells of foragers of Africanized honey bee. Toxics 2022, 10, 530. [Google Scholar] [CrossRef]






Disclaimer/Publisher’s Note: The statements, opinions and data contained in all publications are solely those of the individual author(s) and contributor(s) and not of MDPI and/or the editor(s). MDPI and/or the editor(s) disclaim responsibility for any injury to people or property resulting from any ideas, methods, instructions or products referred to in the content. |
© 2023 by the authors. Licensee MDPI, Basel, Switzerland. This article is an open access article distributed under the terms and conditions of the Creative Commons Attribution (CC BY) license (https://creativecommons.org/licenses/by/4.0/).
Share and Cite
Domingues, C.E.C.; Inoue, L.V.B.; Gregorc, A.; Ansaloni, L.S.; Malaspina, O.; Mathias da Silva, E.C. Ultrastructural Changes in the Midgut of Brazilian Native Stingless Bee Melipona scutellaris Exposed to Fungicide Pyraclostrobin. Toxics 2023, 11, 1028. https://doi.org/10.3390/toxics11121028
Domingues CEC, Inoue LVB, Gregorc A, Ansaloni LS, Malaspina O, Mathias da Silva EC. Ultrastructural Changes in the Midgut of Brazilian Native Stingless Bee Melipona scutellaris Exposed to Fungicide Pyraclostrobin. Toxics. 2023; 11(12):1028. https://doi.org/10.3390/toxics11121028
Chicago/Turabian StyleDomingues, Caio E. C., Lais V. B. Inoue, Aleš Gregorc, Leticia S. Ansaloni, Osmar Malaspina, and Elaine C. Mathias da Silva. 2023. "Ultrastructural Changes in the Midgut of Brazilian Native Stingless Bee Melipona scutellaris Exposed to Fungicide Pyraclostrobin" Toxics 11, no. 12: 1028. https://doi.org/10.3390/toxics11121028
APA StyleDomingues, C. E. C., Inoue, L. V. B., Gregorc, A., Ansaloni, L. S., Malaspina, O., & Mathias da Silva, E. C. (2023). Ultrastructural Changes in the Midgut of Brazilian Native Stingless Bee Melipona scutellaris Exposed to Fungicide Pyraclostrobin. Toxics, 11(12), 1028. https://doi.org/10.3390/toxics11121028

