A Rare Case of Mandibular Chondrosarcoma Arising from Fibrous Dysplasia
Abstract
1. Introduction
2. Case Report
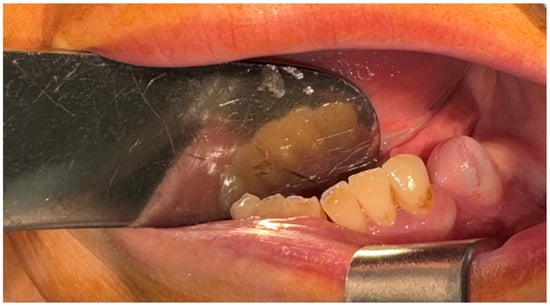
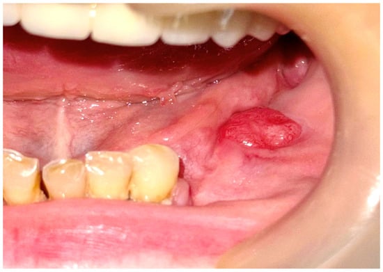
2.1. Examination
2.2. First Surgical Intervention
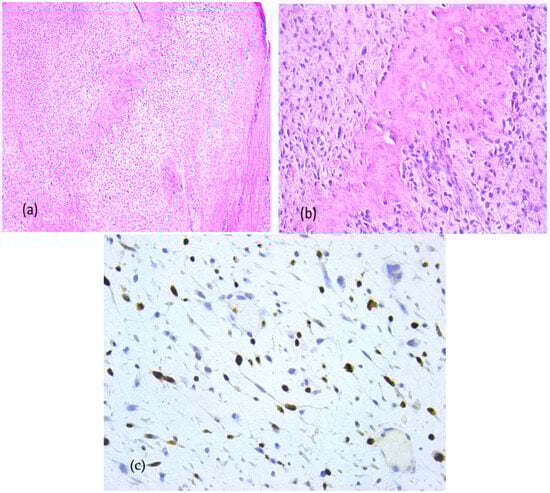
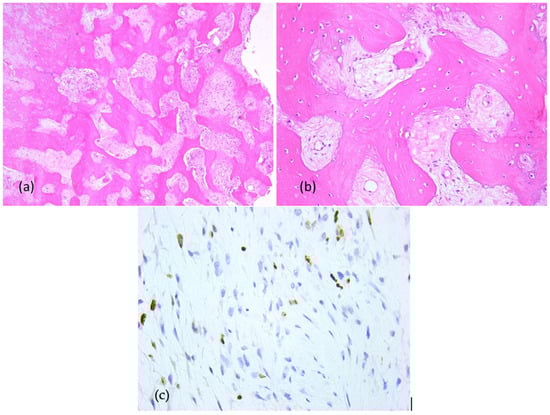
2.3. First Histopathologic Examination
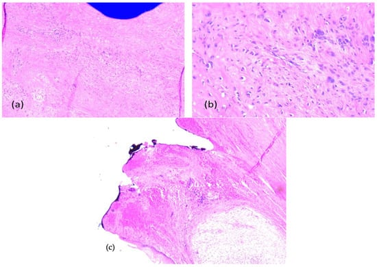
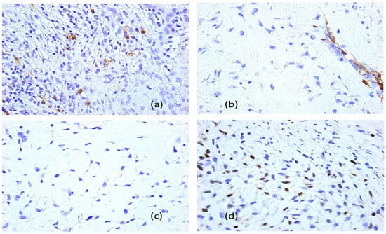
2.4. Second Surgical Intervention
2.5. Third Surgical Intervention
3. Discussion
4. Conclusions
Author Contributions
Funding
Institutional Review Board Statement
Informed Consent Statement
Data Availability Statement
Acknowledgments
Conflicts of Interest
References
- Markov, P.; Syed, A.Z.; Markova, C.; Mendes, R.A. Maxillofacial fibrous dysplasia: A diagnostic challenge. BMJ Case Rep. 2016, 2016, bcr2016215874. [Google Scholar] [CrossRef] [PubMed]
- Kochanowski, N.E.; Badry, M.S.; Abdelkarim, A.Z.; Lozanoff, S.; Syed, A.Z. Radiographic Diagnosis of Fibrous Dysplasia in Maxilla. Cureus 2018, 10, e3127. [Google Scholar] [CrossRef] [PubMed]
- Dorfman, H.D. New knowledge of fibro-osseous lesions of bone. Int. J. Surg. Pathol. 2010, 18 (Suppl. S3), 62–65. [Google Scholar] [CrossRef] [PubMed]
- Mohan, H.; Mittal, P.; Mundi, I.; Kumar, S. Fibrous dysplasia of bone: A clinicopathologic review. Pathol. Lab. Med. Int. 2011, 3, 3–31. [Google Scholar] [CrossRef]
- Riddle, N.M.; Yamauchi, H.; Caracciolo, J.T.; Johnson, D.; Letson, G.D.; Hakam, A.; Smith, P.V.; Bui, M.M. Dedifferentiated chondrosarcoma arising in fibrous dysplasia: A case report and review of the current literature. Pathol. Lab. Med. Int. 2009, 1, 1–6. [Google Scholar] [CrossRef][Green Version]
- Ozek, C.; Gundogan, H.; Bilkay, U.; Tokat, C.; Gurler, T.; Songur, E. Craniomaxillofacial fibrous dysplasia. J. Craniofac. Surg. 2002, 13, 382–389. [Google Scholar] [CrossRef]
- Obermeier, K.T.; Hartung, J.T.; Hildebrandt, T.; Dewenter, I.; Smolka, W.; Hesse, E.; Fegg, F.; Otto, S.; Malenova, Y.; Abdullah, A. Fibrous Dysplasia of the Jaw: Advances in Imaging and Treatment. J. Clin. Med. 2023, 12, 4100. [Google Scholar] [CrossRef]
- Assiri, K.I. Monostotic Fibrous Dysplasia Involving the Mandible: A Case Report. SAGE Open Med. Case Rep. 2020, 8, 2050313X20936954. [Google Scholar] [CrossRef]
- Oh, S.H.; Kang, J.H.; Seo, Y.K.; Kim, J.H.; Choi, Y.S.; Hwang, E.H. Malignant transformation of fibrous dysplasia into angiosarcoma. Oral. Radiol. 2020, 36, 116–120. [Google Scholar] [CrossRef]
- Menon, S.; Venkatswamy, S.; Ramu, V.; Banu, K.; Ehtaih, S.; Kashyap, V.M. Craniofacial fibrous dysplasia: Surgery and literature review. Ann. Maxillofac. Surg. 2013, 3, 66–71. [Google Scholar] [CrossRef]
- Dalle Carbonare, M.; Manisali, M. Surgical management of syndromic versus non-syndromic craniofacial fibrous dysplasia: A systematic review and meta-analysis. Br. J. Oral Maxillofac. Surg. 2022, 60, 1166–1175. [Google Scholar] [CrossRef] [PubMed]
- Viganò, L.; Powierża, M.; Viganò, V.; Casu, C. Fibrous dysplasia of the mandible: Differential diagnosis. World Cancer Res. J. 2021, 8, e2045. [Google Scholar]
- Alawi, F. Benign fibro-osseous diseases of the maxillofacial bones. A review and differential diagnosis. Am. J. Clin. Pathol. 2002, 118, S50–S70. [Google Scholar]
- Gupta, D.; Garg, P.; Mittal, A. Computed Tomography in Craniofacial Fibrous Dysplasia: A Case Series with Review of Literature and Classification Update. Open Dent. J. 2017, 11, 384–403. [Google Scholar] [CrossRef] [PubMed]
- Lee, J.S.; FitzGibbon, E.J.; Chen, Y.R.; Kim, H.J.; Lustig, L.R.; Akintoye, S.O.; Collins, M.T.; Kaban, L.B. Clinical guidelines for the management of craniofacial fibrous dysplasia. Orphanet J. Rare Dis. 2012, 7, S2. [Google Scholar] [CrossRef]
- Pereira, T.; Gomes, C.C.; Brennan, P.A.; Fonseca, F.P.; Gomez, R.S. Fibrous dysplasia of the jaws: Integrating molecular pathogenesis with clinical, radiological, and histopathological features. J. Oral. Pathol. Med. 2019, 48, 3–9. [Google Scholar] [CrossRef]
- Su, C.W.; Tseng, C.H.; Wang, W.C.; Chen, Y.K. Spontaneous osteosarcoma transformation of fibrous dysplasia in maxilla. J. Dent. Sci. 2019, 14, 219–222. [Google Scholar] [CrossRef]
- Cheng, J.; Yu, H.; Wang, D.; Ye, J.; Jiang, H.; Wu, Y.; Shen, G. Spontaneous malignant transformation in craniomaxillofacial fibrous dysplasia. J. Craniofac. Surg. 2013, 24, 141–145. [Google Scholar] [CrossRef]
- Saini, R.; Abd Razak, N.H.; Ab Rahman, S.; Samsudin, A.R. Chondrosarcoma of the mandible: A case report. J. Can. Dent. Assoc. 2007, 73, 175–178. [Google Scholar] [PubMed]
- Valentini, V.; Cassoni, A.; Terenzi, V.; Della Monaca, M.; Fadda, M.T.; Rajabtork Zadeh, O.; Raponi, I.; Anelli, A.; Iannetti, G. Our experience in the surgical management of craniofacial fibrous dysplasia: What has changed in the last 10 years? Acta Otorhinolaryngol. Ital. 2017, 37, 436–443. [Google Scholar] [CrossRef]
- Ricalde, P.; Horswell, B.B. Craniofacial fibrous dysplasia of the fronto-orbital region: A case series and literature review. J. Oral. Maxillofac. Surg. 2001, 59, 157–167. Discussion 167–168. [Google Scholar] [CrossRef] [PubMed]
- Becelli, R.; Perugini, M.; Cerulli, G.; Carboni, A.; Renzi, G. Surgical treatment of fibrous dysplasia of the cranio-maxillo-facial area. Review of the literature and personal experience from 1984 to 1999. Minerva Stomatol. 2002, 51, 293–300. [Google Scholar]
- Sun, T.T.; Tao, X.F.; Shi, H.M. Spontaneous osteosarcoma in craniomaxillofacial fibrous dysplasia: Clinical and computed tomographic features in 8 cases. Oral. Surg. Oral. Med. Oral. Pathol. Oral. Radiol. 2014, 118, e24–e31. [Google Scholar] [CrossRef] [PubMed]
- Wardas, P.; Piotrowska-Seweryn, A.; Markowski, J.; Ślaska-Kaspera, A.; Golonka, A.; Dorosz, R.; Sokołowski, M. Fibrous dysplasia of sphenoid bone—Diagnostic difficulties. Pol. Otorhinolaryngol. Rev. 2015, 4, 30–35. [Google Scholar] [CrossRef][Green Version]
- Liu, L.; Sun, J.; Liu, S.; Zhang, C.; Li, J. Malignant transformation of craniofacial fibrous dysplasia: A clinicopathological, immunohistochemical and molecular analysis of 15 cases in one single institution. J. Stomatol. Oral. Maxillofac. Surg. 2025, 126, 102098. [Google Scholar] [CrossRef]
- Furmah, P.; Aminoshariae, A.; Mupparapu, M.; Syed, A.Z. Frequency of spontaneous osteosarcomatous transformation of craniofacial fibrous dysplasia: A systematic review. Oral. Surg. Oral. Med. Oral. Pathol. Oral. Radiol. 2023, 135, 678–685. [Google Scholar] [CrossRef] [PubMed]
- Hart, E.S.; Kelly, M.H.; Brillante, B.; Chen, C.C.; Ziran, N.; Lee, J.S.; Feuillan, P.; Leet, A.I.; Kushner, H.; Robey, P.G.; et al. Onset, progression, and plateau of skeletal lesions in fibrous dysplasia and the relationship to functional outcome. J. Bone Miner. Res. 2007, 22, 1468–1474. [Google Scholar] [CrossRef] [PubMed]
- Ruggieri, P.; Sim, F.H.; Bond, J.R.; Unni, K.K. Malignancies in fibrous dysplasia. Cancer 1994, 73, 1411–1424. [Google Scholar] [CrossRef]
- Kaushik, S.; Smoker, W.R.; Frable, W.J. Malignant transformation of fibrous dysplasia into chondroblastic osteosarcoma. Skelet. Radiol. 2002, 31, 103–106. [Google Scholar] [CrossRef] [PubMed]
- Present, D.; Bertoni, F.; Enneking, W.F. Osteosarcoma of the mandible arising in fibrous dysplasia: A case report. Clin. Orthop. Relat. Res. 1986, 204, 238–244. [Google Scholar] [CrossRef] [PubMed]
- Heller, A.J.; DiNardo, L.J.; Massey, D. Fibrous dysplasia, chondrosarcoma, and McCune-Albright syndrome. Am. J. Otolaryngol. 2001, 22, 297–301. [Google Scholar] [CrossRef] [PubMed]
- Akintoye, S.O.; Otis, L.L.; Atkinson, J.C.; Brahim, J.; Kushner, H.; Robey, P.G.; Collins, M.T. Analyses of variable panoramic radiographic characteristics of maxil-lo-mandibular fibrous dysplasia in McCune-Albright syndrome. Oral. Dis. 2004, 10, 36–43. [Google Scholar] [CrossRef] [PubMed]
- Hatano, H.; Morita, T.; Ariizumi, T.; Kawashima, H.; Ogose, A. Malignant transformation of fibrous dysplasia: A case report. Oncol. Lett. 2014, 8, 384–386. [Google Scholar] [CrossRef]
- Mendenhall, W.M.; Fernandes, R.; Werning, J.W.; Vaysberg, M.; Malyapa, R.S.; Mendenhall, N.P. Head and neck osteosarcoma. Am. J. Otolaryngol. 2011, 32, 597–600. [Google Scholar] [CrossRef] [PubMed]
- Bauerle, L.; Hawkins, E.; Baker, T.; Harper, J.L.; Kejner, A.E.; Wessell, J.; Vandergrift, W.A.; Strickland, B.A. Malignant sarcomatous transformation of calvarial fibrous dysplasia: Illustrative case. J. Neurosurg. Case Lessons 2024, 8, CASE24537. [Google Scholar] [CrossRef] [PubMed]

















Disclaimer/Publisher’s Note: The statements, opinions and data contained in all publications are solely those of the individual author(s) and contributor(s) and not of MDPI and/or the editor(s). MDPI and/or the editor(s) disclaim responsibility for any injury to people or property resulting from any ideas, methods, instructions or products referred to in the content. |
© 2025 by the authors. Licensee MDPI, Basel, Switzerland. This article is an open access article distributed under the terms and conditions of the Creative Commons Attribution (CC BY) license (https://creativecommons.org/licenses/by/4.0/).
Share and Cite
Roi, C.; Luca, R.E.; Roi, A.; Nicoară, A.; Fanan, S.; Zară, F.; Cloșca, R.M.; Riviș, M. A Rare Case of Mandibular Chondrosarcoma Arising from Fibrous Dysplasia. Dent. J. 2025, 13, 560. https://doi.org/10.3390/dj13120560
Roi C, Luca RE, Roi A, Nicoară A, Fanan S, Zară F, Cloșca RM, Riviș M. A Rare Case of Mandibular Chondrosarcoma Arising from Fibrous Dysplasia. Dentistry Journal. 2025; 13(12):560. https://doi.org/10.3390/dj13120560
Chicago/Turabian StyleRoi, Ciprian, Ruxandra Elena Luca, Alexandra Roi, Adrian Nicoară, Sorina Fanan, Flavia Zară, Raluca Maria Cloșca, and Mircea Riviș. 2025. "A Rare Case of Mandibular Chondrosarcoma Arising from Fibrous Dysplasia" Dentistry Journal 13, no. 12: 560. https://doi.org/10.3390/dj13120560
APA StyleRoi, C., Luca, R. E., Roi, A., Nicoară, A., Fanan, S., Zară, F., Cloșca, R. M., & Riviș, M. (2025). A Rare Case of Mandibular Chondrosarcoma Arising from Fibrous Dysplasia. Dentistry Journal, 13(12), 560. https://doi.org/10.3390/dj13120560

