Antiperspirant and Antibacterial Activities of Curcuma xanthorrhiza Extract as a Potential Alternative Treatment for Hyperhidrosis
Abstract
1. Introduction
2. Materials and Methods
2.1. Plant Materials and Extraction Process
2.2. Quality Control by HPLC
Analytical Validation for HPLC Quantification
2.3. Antibacterial Study
2.3.1. Samples and Standards Preparation
2.3.2. Tested Microorganism
2.3.3. Inoculums Preparation
2.3.4. Antibacterial Assay
2.4. In Vivo Toxicity Analysis
2.4.1. Sample Preparation
2.4.2. Experimental Animals
2.5. Antiperspirant Analysis
2.5.1. Samples Preparation
2.5.2. Experimental Animal
2.5.3. Rat Foot Pad Assay
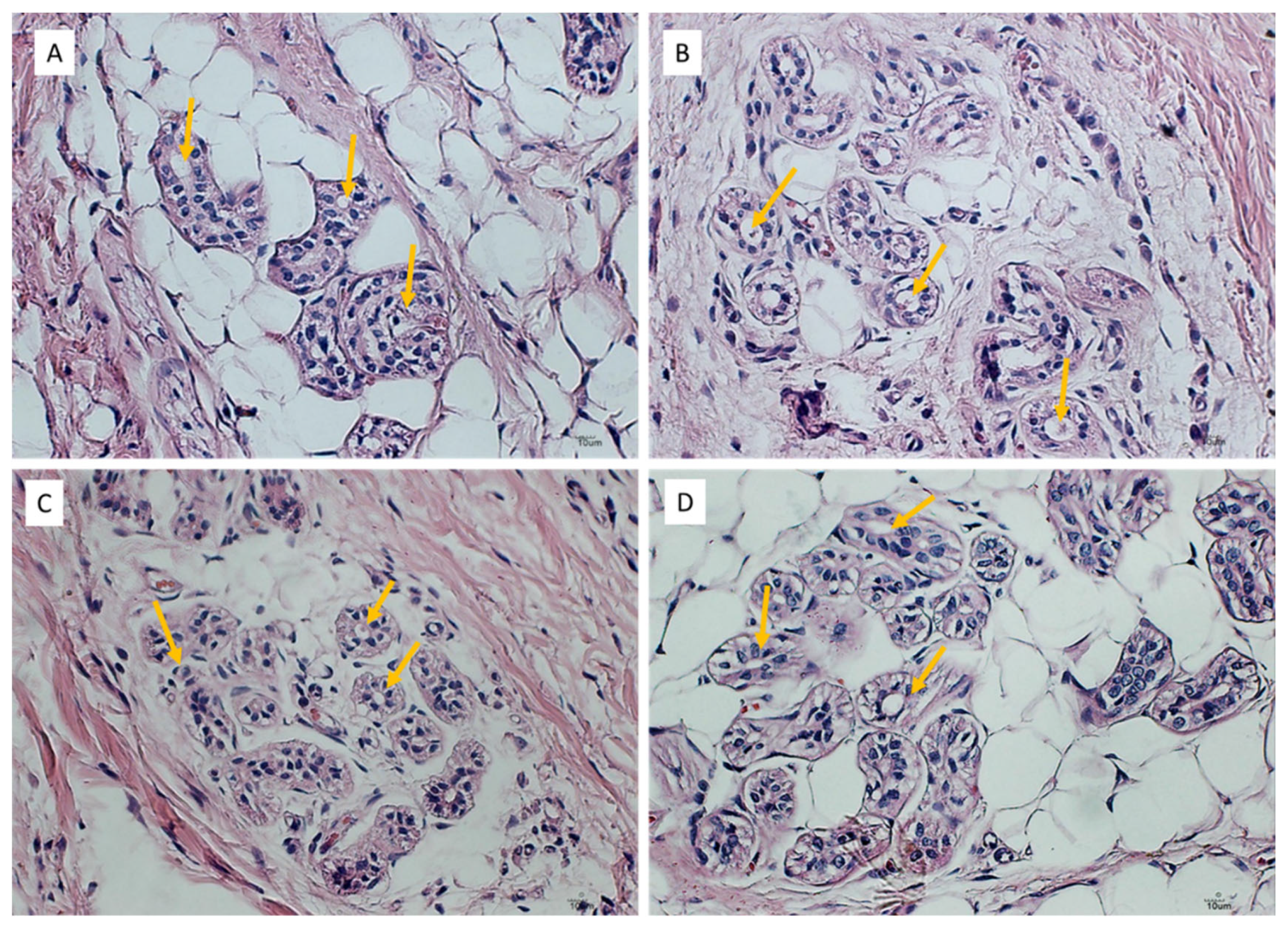
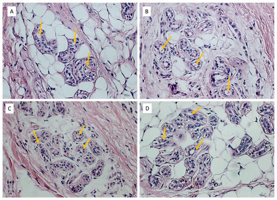
2.6. Histological Examination
2.7. Statistical Analysis
3. Results and Discussion
3.1. Extraction and Quality Control
3.2. In Vitro Antimicrobial Assay
3.3. Toxicity Analysis
3.4. Rat Food Pad Analysis
3.5. Histology Analysis
4. Conclusions
Author Contributions
Funding
Institutional Review Board Statement
Data Availability Statement
Conflicts of Interest
References
- Ballard, A. Introduction to the International Hyperhidrosis Society. J. Dermatol. Nurses Assoc. 2019, 11, 84–85. [Google Scholar] [CrossRef]
- Bahar, R.; Zhou, P.; Liu, Y.; Huang, Y.; Phillips, A.; Lee, T.K.; Su, M.; Yang, S.; Kalia, S.; Zhang, X. The prevalence of anxiety and depression in patients with or without hyperhidrosis (HH). J. Am. Acad. Dermatol. 2016, 75, 1126–1133. [Google Scholar] [CrossRef] [PubMed]
- Strutton, D.R.; Kowalski, J.W.; Glaser, D.A.; Stang, P.E. US prevalence of hyperhidrosis and impact on individuals with axillary hyperhidrosis: Results from a national survey. J. Am. Acad. Dermatol. 2004, 51, 241–248. [Google Scholar] [CrossRef]
- Antiperspirant and Deodorant Market by Function (Aerosol Spray, Cream, Roll-On, and Gel), by Ingredient (Alcohol, Antimicrobials, Conditioner & Moisturizer, Fragrances, Paraben & Propellants, and Others): Global Industry Perspective, Comprehensive Analysis, and Forecast, 2017—2024; Zion Market Research. 2019. Available online: https://www.zionmarketresearch.com/report/antiperspirant-and-deodorant-market (accessed on 30 April 2023).
- Antiperspirants/Deodorants and Breast Cancer. National Cancer Institute Factsheet. 2017. Available online: https://www.oncologynurseadvisor.com/home/cancer-types/breast-cancer/antiperspirants-deodorants-and-breast-cancer-fact-sheet (accessed on 15 March 2021).
- Leiderman, D.B.D.; Neves, S.; Wolosker, N. Pharmacological Treatment of Hyperhidrosis. In Hyperhidrosis: A Complete Guide to Diagnosis and Management; Loureiro, M.D.P., Campos, J.R.M.D., Wolosker, N., Kauffman, P., Eds.; Springer International Publishing: Cham, Switzerland, 2018; pp. 75–80. [Google Scholar]
- Darbre, P.D.; Mannello, F.; Exley, C. Aluminium and breast cancer: Sources of exposure, tissue measurements and mechanisms of toxicological actions on breast biology. J. Inorg. Biochem. 2013, 128, 257–261. [Google Scholar] [CrossRef] [PubMed]
- Farasani, A.; Darbre, P.D. Effects of aluminium chloride and aluminium chlorohydrate on DNA repair in MCF10A immortalised non-transformed human breast epithelial cells. J. Inorg. Biochem. 2015, 152, 186–189. [Google Scholar] [CrossRef]
- Farasani, A.; Darbre, P.D. Long-term exposure to triclosan increases migration and invasion of human breast epithelial cells in vitro. J. Apl. Toxicol. 2020, 41, 1115–1126. [Google Scholar] [CrossRef]
- Zhang, P.; Yang, M.; Zeng, L.; Liu, C. P38/TRHr-dependent regulation of TPO in thyroid cells contributes to the hypothyroidism of triclosan-treated rats. Cell. Physiol. Biochem. 2018, 45, 1303–1315. [Google Scholar] [CrossRef]
- Zirwas, M.J.; Moennich, J. Antiperspirant and deodorant allergy: Diagnosis and management. J. Clin. Aesthet. Dermatol. 2008, 1, 38–43. [Google Scholar]
- Sidek, N.A.M.; Berg, B.V.D.; Husain, K.; Said, M.M. Antimicrobial Potential of Ten Medicinal Plant Extracts Against Axillary Microbiota Causing Body Odor. Pharmacophore 2021, 12, 1–5. [Google Scholar] [CrossRef]
- Houghton, P.J.; Raman, A. Laboratory Handbook for the Fractionation of Natural Extracts; Springer: Berlin/Heidelberg, Germany, 1998. [Google Scholar]
- Malaysian Herbal Monograph Committee. Malaysian Herbal Monograph; Institute for Medical Research: Kuala Lumpur, Malaysia, 2015; pp. 193–206. [Google Scholar]
- Aguilar, M.I.; Osorio, N.; Bernal, I.; Navarrete, A.; Bye, R. Development and validation of a liquid chromatography method for quantification of xanthorrhizol in roots of Iostephane heterophylla (Cav.) Benth ex Hemsl. J. AOAC Int. 2007, 90, 892–896. [Google Scholar] [CrossRef]
- Abd Rani, N.Z.; Lam, K.W.; Jalil, J.; Mohamad, H.F.; Mat Ali, M.S.; Husain, K. Mechanistic studies of the anti-allergic activity of Phyllanthus amarus Schum. & Thonn. and its compounds. Molecules 2021, 26, 695. [Google Scholar] [CrossRef]
- Jantan, I.; Saputri, F.C.; Qaisar, M.N.; Buang, F. Correlation between chemical composition of Curcuma domestica and Curcuma xanthorrhiza and their antioxidant effect on human low-density lipoprotein oxidation. Evid. Based Complement. Altern. Med. 2012, 2012, 438356. [Google Scholar] [CrossRef]
- Warmasari, N.W.M.; Ernawati, D.K.; Indrayani, A.W.; Dewi, N.W.S.; Jawi, I.M. Antibacterial activity from temulawak extract (Curcuma Xanthorrhiza Roxb) on growth inhibition of Staphylococcus epidermidis in vitro. J. Epidemiol. Kesehat. Komunitas 2020, 5, 1–7. [Google Scholar] [CrossRef]
- Devaraj, S.; Ismail, S.; Ramanathan, S.; Yam, M.F. Investigation of antioxidant and hepatoprotective activity of standardized Curcuma xanthorrhiza rhizome in carbon tetrachloride-induced hepatic damaged rats. Sci. World J. 2014, 2014, 353128. [Google Scholar] [CrossRef] [PubMed]
- Halim, A.B.; Tan, M.R.; Ismail, M.; Mahmud, R. Standardization and phytochemical studies of Curcuma xanthorrhiza Roxb. Int. J. Pharm. Pharm. Sci. 2012, 4, 606–610. [Google Scholar]
- Casciaro, B.; Loffredo, M.R.; Cappiello, F.; Verrusio, W.; Corleto, V.D.; Mangoni, M.L. Frog skin-derived peptides against Corynebacterium jeikeium: Correlation between antibacterial and cytotoxic activities. Antibiotics 2020, 9, 448. [Google Scholar] [CrossRef] [PubMed]
- Lam, T.H.; Verzotto, D.; Brahma, P.; Ng, A.H.Q.; Hu, P.; Schnell, D.; Tiesman, J.; Kong, R.; Ton, T.M.U.; Li, J.; et al. Understanding the microbial basis of body odor in pre-pubescent children and teenagers. Microbiome 2018, 6, 213. [Google Scholar] [CrossRef]
- Troccaz, M.; Gaïa, N.; Beccucci, S.; Schrenzel, J.; Cayeux, I.; Starkenmann, C.; Lazarevic, V. Mapping axillary microbiota responsible for body odours using a culture-independent approach. Microbiome 2015, 3, 3. [Google Scholar] [CrossRef]
- James, A.G.; Austin, C.J.; Cox, D.S.; Taylor, D.; Calvert, R. Microbiological and biochemical origins of human axillary odour. FEMS Microbiol. Ecol. 2013, 83, 527–540. [Google Scholar] [CrossRef]
- Barzantny, H.; Schröder, J.; Strotmeier, J.; Fredrich, E.; Brune, I.; Tauch, A. The transcriptional regulatory network of Corynebacterium jeikeium K411 and its interaction with metabolic routes contributing to human body odor formation. J. Biotechnol. 2012, 159, 235–248. [Google Scholar] [CrossRef]
- Wood, A.P.; Kelly, D.P. Skin microbiology, body odor, and methylotrophic bacteria. In Handbook of Hydrocarbon and Lipid Microbiology; Timmis, K.N., Ed.; Springer: Berlin/Heidelberg, Germany, 2010; pp. 3203–3213. [Google Scholar]
- Diastuti, H.; Syah, Y.M.; Juliawaty, L.D.; Singgih, M. Antibacterial Curcuma xanthorrhiza extract and fractions. J. Math. Fundam. Sci. 2014, 46, 224–234. [Google Scholar] [CrossRef]
- Ngadino, S.; Koerniasari, E.; Sa, S. Evaluation of antimycobacterial activity of Curcuma xanthorrhiza ethanolic extract against Mycobacterium tuberculosis H37Rv in vitro. Vet. World. 2018, 11, 368. [Google Scholar] [CrossRef] [PubMed]
- Sutha, D.; Sabariah, I.; Surash, R.; Mun, F. In vivo toxicological investigations of standardized ethanolic extract of Curcuma xanthorrhiza Roxb. rhizome. J. Nat. Prod. Plant. Resour. 2013, 3, 67–73. [Google Scholar]
- Lansdown, A. Rat foot pad as a model for examining antiperspirants. J. Soc. Cosmet. Chem. 1973, 24, 677–684. [Google Scholar]
- Wang, S.W.; Wu, F.H.; Zhang, Y.B.; Zhang, L.; Su, J.; Wong, H.K.; Liu, A.H.; Cheung, H.P.; Ng, T.B.; Tong, Y. Ameliorating effect of Erxian decoction combined with Fructus Schisandrae Chinensis (Wu Wei Zi) on menopausal sweating and serum hormone profiles in a rat model. Chin. Med. 2016, 11, 47. [Google Scholar] [CrossRef]
- Draelos, Z.D. Antiperspirants and the Hyperhidrosis Patient. Dermatol. Ther. 2001, 14, 220–224. [Google Scholar] [CrossRef]
- Mathew, A.L.; Saji, L.; Joseph, L.E.; Jiju, V.; Abraham, E. Natural Deodorants and Antiperspirants. Int. J. Nov. Trends Pharm. Sci. 2017, 7, 49–53. [Google Scholar]
- Kalantari, K.K.; Zeinalzade, A.; Kobarfard, F. The Effect and Persistency of 1% Aluminum Chloride Hexahydrate Iontophoresis in the Treatment of Primary Palmar Hyperhidrosis. Iran. J. Pharm. Res. IJPR 2011, 10, 641. [Google Scholar]





| Chemical Markers | Concentration µg/mL (%) | Retention Time (min) |
|---|---|---|
| Xanthorrhizol | 218.02 (43.6) | 3.4 |
| Curcumin | 7.53 (1.51) | 6.6 |
| Chemical Markers | Concentration Range (µg/mL) | Linear Equation | LOD (µg/mL) | LOQ (µg/mL) |
|---|---|---|---|---|
| Xanthorrhizol | 6.25–100 | y = 6634.9x − 4395 | 3.70787 | 11.23599 |
| Curcumin | 6.25–100 | y = 92867x − 405163 | 11.13907 | 33.75475 |
| Chemical Marker | Concentration (µg/mL) | % RSD Retention Time | % RSD Peak Area |
|---|---|---|---|
| Xanthorrhizol | 100 | 0.302 | 0.80 |
| Curcumin | 100 | 0.094 | 1.55 |
| Chemical Marker | Concentration (µg/mL) | % RSD Retention Time | % RSD Peak Area |
|---|---|---|---|
| Xanthorrhizol | 50 | 0.181 | 0.52 |
| 25 | 0.284 | 1.26 | |
| 12.5 | 0.330 | 0.41 | |
| Curcumin | 100 | 0.181 | 0.52 |
| 25 | 0.259 | 1.93 | |
| 12.5 | 0.061 | 0.23 |
| Samples (50 mg/mL) | Inhibitory Zone (mm) n = 3 | |||
|---|---|---|---|---|
| Staphylococcus epidermidis | Corynebacterium jeikeium | Corynebacterium tuberculostearicum | Staphylococcus haemolyticus | |
| C. xanthorrhiza (ethanol extract) | 17.67 ± 0.58 *,҂ | 15.33 ± 0.58 *,҂ | 20.67 ± 0.58 *,҂ | 14.67 ± 0.58 *,҂ |
| Hexane fraction | 25.33 ± 1.0 *,҂ | 20.33 ± 1.15 *,҂ | 26.67 ± 0.58 *,҂ | 16.33 ± 0.58 *,҂ |
| Ethyl acetate fraction | 0.0 ± 0.0 ҂ | 0.0 ± 0.0 ҂ | 0.0 ± 0.0 ҂ | 0.0 ± 0.0 ҂ |
| Ethanol fraction | 0.0 ± 0.0 ҂ | 0.0 ± 0.0 ҂ | 0.0 ± 0.0 ҂ | 0.0 ± 0.0 ҂ |
| Positive control (1 mg/mL Gentamicin) | 30.33 ± 0.49 * | 26.67 ± 0.83 * | 32.41 ± 0.51 * | 29.42 ± 0.67 * |
| Negative control (5% DMSO) | 0.0 ± 0.0 | 0.0 ± 0.0 | 0.0 ± 0.0 | 0.0 ± 0.0 |
| Plant Extracts | Minimum Inhibitory Concentration (µg/mL) n = 3 | |||
|---|---|---|---|---|
| Staphylococcus epidermidis | Corynebacterium jeikeium | Corynebacterium tuberculostearicum | Staphylococcus haemolyticus | |
| C. xanthorrhiza (ethanol extract) | 0.391 ± 0.0 ** | 0.195 ± 0.0 | 0.391 ± 0.0 * | 0.391 ± 0.0 ** |
| Hexane fraction | 0.024 ± 0.0 | 0.049 ± 0.0 | 0.049 ± 0.0 | 0.098 ± 0.0 |
| Ethyl acetate fraction | ND | ND | ND | ND |
| Ethanol fraction | ND | ND | ND | ND |
| Positive control (Gentamicin) | 0.007 ± 0.0 | 0.017 ± 0.0 | 0.063 ± 0.0 | 0.031 ± 0.0 |
| Negative control (5% DMSO) | ND | ND | ND | ND |
| Plant Extracts | Minimum B Concentration (µg/mL) n = 3 | |||
|---|---|---|---|---|
| Staphylococcus epidermidis | Corynebacterium jeikeium | Corynebacterium tuberculostearicum | Staphylococcus haemolyticus | |
| C. xanthorrhiza (ethanol extract) | 0.391 (+) ** | 0.195 (+) | 0.391 (+) * | 0.391 (+) * |
| Hexane fraction | 0.024 (+) | 0.049 (+) | 0.049 (+) | 0.098 (+) |
| Ethyl acetate fraction | ND | ND | ND | ND |
| Ethanol fraction | ND | ND | ND | ND |
| Positive control (Gentamicin) | 0.017 (+) | 0.031 (+) | 0.125 (+) | 0.031 (+) |
| Negative control (5% DMSO) | ND | ND | ND | ND |
| Sample Group (mg/kg) | Percentage of Active Sweat Gland Reduction (%) |
|---|---|
| Positive control | 77.66 |
| 10 | 22.33 |
| 20 | 37.54 |
| 40 | 53 |
| 80 | 66.34 |
| 160 | 79.34 |
Disclaimer/Publisher’s Note: The statements, opinions and data contained in all publications are solely those of the individual author(s) and contributor(s) and not of MDPI and/or the editor(s). MDPI and/or the editor(s) disclaim responsibility for any injury to people or property resulting from any ideas, methods, instructions or products referred to in the content. |
© 2023 by the authors. Licensee MDPI, Basel, Switzerland. This article is an open access article distributed under the terms and conditions of the Creative Commons Attribution (CC BY) license (https://creativecommons.org/licenses/by/4.0/).
Share and Cite
Sidek, N.A.M.; Husain, K.; Buang, F.; Mohd Said, M. Antiperspirant and Antibacterial Activities of Curcuma xanthorrhiza Extract as a Potential Alternative Treatment for Hyperhidrosis. Separations 2023, 10, 324. https://doi.org/10.3390/separations10060324
Sidek NAM, Husain K, Buang F, Mohd Said M. Antiperspirant and Antibacterial Activities of Curcuma xanthorrhiza Extract as a Potential Alternative Treatment for Hyperhidrosis. Separations. 2023; 10(6):324. https://doi.org/10.3390/separations10060324
Chicago/Turabian StyleSidek, Nurliyana A. M., Khairana Husain, Fhataheya Buang, and Mazlina Mohd Said. 2023. "Antiperspirant and Antibacterial Activities of Curcuma xanthorrhiza Extract as a Potential Alternative Treatment for Hyperhidrosis" Separations 10, no. 6: 324. https://doi.org/10.3390/separations10060324
APA StyleSidek, N. A. M., Husain, K., Buang, F., & Mohd Said, M. (2023). Antiperspirant and Antibacterial Activities of Curcuma xanthorrhiza Extract as a Potential Alternative Treatment for Hyperhidrosis. Separations, 10(6), 324. https://doi.org/10.3390/separations10060324

