A Rare Case of Blastic Plasmacytoid Dendritic Cell Neoplasm in a Child Mimicking Lymphoma/Leukemia Cutis
Abstract
:1. Introduction
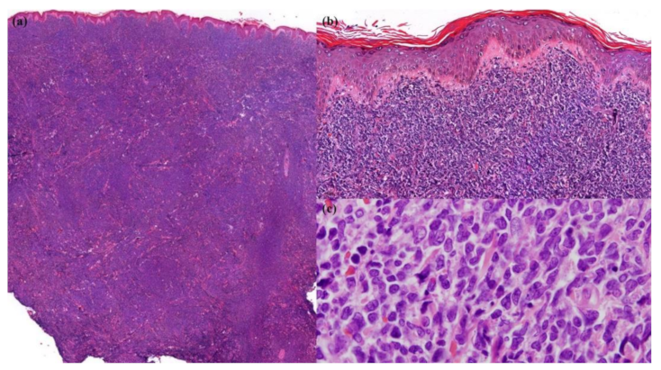
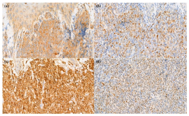
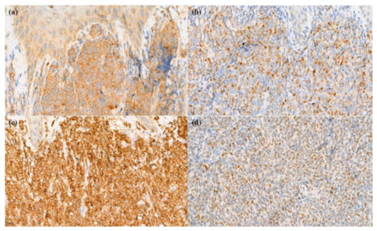
2. Case Report
3. Discussion
Author Contributions
Funding
Institutional Review Board Statement
Informed Consent Statement
Acknowledgments
Conflicts of Interest
References
- Facchetti, F.; Petrella, T.; Pileri, S.A. Blastic plasmacytoid dendritic cell neoplasm. In WHO Classification of Tumours of Haematopoietic and Lymphoid Tissues, revised 4th ed.; Swerdlow, S.H., Campo, E., Harris, N.L., Jaffe, E.S., Pileri, S.A., Stein, H., Thiele, J., Eds.; IARC: Lyon, France, 2017; pp. 173–177. [Google Scholar]
- Laribi, K.; Baugier de Materre, A.; Sobh, M.; Cerroni, L.; Valentini, C.G.; Aoki, T.; Suzuki, R.; Takeuchi, K.; Frankel, A.E.; Cota, C.; et al. Blastic Plasmacytoid Dendritic Cell Neoplasms: Results of an International Survey on 398 Adult Patients. Blood Adv. 2020, 4, 4838–4848. [Google Scholar] [CrossRef] [PubMed]
- Jegalian, A.G.; Buxbaum, N.P.; Facchetti, F.; Raffeld, M.; Pittaluga, S.; Wayne, A.S.; Jaffe, E.S. Blastic Plasmacytoid Dendritic Cell Neoplasm in Children: Diagnostic Features and Clinical Implications. Haematologica 2010, 95, 1873–1879. [Google Scholar] [CrossRef] [PubMed]
- Suzuki, Y.; Kato, S.; Kohno, K.; Satou, A.; Eladl, A.E.; Asano, N.; Kono, M.; Kato, Y.; Taniwaki, M.; Akiyama, M.; et al. Clinicopathological Analysis of 46 Cases With CD4+ and/or CD56+ Immature Haematolymphoid Malignancy: Reappraisal of Blastic Plasmacytoid Dendritic Cell and Related Neoplasms. Histopathology 2017, 71, 972–984. [Google Scholar] [CrossRef] [PubMed]
- Pillon, M.; Gregucci, F.; Lombardi, A.; Santoro, N.; Piglione, M.; Sala, A.; D’Amore, E.S.; De Santis, R.; Casale, F.; Zecca, M.; et al. Results of AIEOP LNH-97 Protocol for the Treatment of Anaplastic Large Cell Lymphoma of Childhood. Pediatr. Blood Cancer. 2012, 59, 828–833. [Google Scholar] [CrossRef] [PubMed]
- Borowitz, M.J.; Chan, J.K.C.; Downing, J.R.; Le Beau, M.M.; Arber, D.A. B-Lymphoblastic Leukaemia/Lymphoma, Not Otherwise Specified (NOS). In WHO Classification of Tumours of Haematopoietic and Lymphoid Tissues, revised 4th ed.; Swerdlow, S.H., Campo, E., Harris, N.L., Jaffe, E.S., Pileri, S.A., Stein, H., Thiele, J., Eds.; IARC: Lyon, France, 2017; pp. 200–202. [Google Scholar]
- Chu, C.; Rudnick, E.W.; Motaparthi, K. Blastic Plasmacytoid Dendritic Cell Neoplasm With Centrocyte-Like Morphology Clinically Simulating a Melanocytic Nevus. J. Cutan. Pathol. 2018, 45, 249–253. [Google Scholar] [CrossRef] [PubMed]
- Sukswai, N.; Aung, P.P.; Yin, C.C.; Li, S.; Wang, W.; Wang, S.A.; Ortega, V.; Lyapichev, K.; Nagarajan, P.; Alfattal, R.; et al. Dual Expression of TCF4 and CD123 Is Highly Sensitive and Specific for Blastic Plasmacytoid Dendritic Cell Neoplasm. Am. J. Surg. Pathol. 2019, 43, 1429–1437. [Google Scholar] [CrossRef] [PubMed]
- Fujii, K.; Hamada, T.; Shimauchi, T.; Asai, J.; Fujisawa, Y.; Ihn, H.; Katoh, N. Cutaneous Lymphoma in Japan, 2012–2017: A Nationwide Study. J. Dermatol. Sci. 2020, 97, 187–193. [Google Scholar] [CrossRef] [PubMed]
- Liao, C.; Hu, N.X.; Song, H.; Zhang, J.Y.; Shen, D.Y.; Xu, X.J.; Tang, Y.M. Pediatric blastic plasmacytoid dendritic cell neoplasm: Report of four cases and review of literature. Int. J. Hematol. 2021, 113, 751–759. [Google Scholar] [CrossRef] [PubMed]
- Li, Y.; Sun, V.; Sun, W.; Pawlowska, A. Blastic Plasmacytoid Dendritic Cell Neoplasm in Children. Hematol. Oncol. Clin. N. Am. 2020, 34, 601–612. [Google Scholar] [CrossRef]




| Publisher’s Note: MDPI stays neutral with regard to jurisdictional claims in published maps and institutional affiliations. | 
© 2022 by the authors. Licensee MDPI, Basel, Switzerland. This article is an open access article distributed under the terms and conditions of the Creative Commons Attribution (CC BY) license (https://creativecommons.org/licenses/by/4.0/).
Share and Cite
Phusuphitchayanan, P.; Vejjabhinanta, V.; Takpradit, C.; Sudtikoonaseth, P.; Chairatchaneeboon, M.; Kiatvichukul, T.; Sukpanichnant, S. A Rare Case of Blastic Plasmacytoid Dendritic Cell Neoplasm in a Child Mimicking Lymphoma/Leukemia Cutis. Dermatopathology 2022, 9, 321-326. https://doi.org/10.3390/dermatopathology9040038
Phusuphitchayanan P, Vejjabhinanta V, Takpradit C, Sudtikoonaseth P, Chairatchaneeboon M, Kiatvichukul T, Sukpanichnant S. A Rare Case of Blastic Plasmacytoid Dendritic Cell Neoplasm in a Child Mimicking Lymphoma/Leukemia Cutis. Dermatopathology. 2022; 9(4):321-326. https://doi.org/10.3390/dermatopathology9040038
Chicago/Turabian StylePhusuphitchayanan, Phanitchanat, Voraphol Vejjabhinanta, Chayamon Takpradit, Poonnawis Sudtikoonaseth, Manasmon Chairatchaneeboon, Thamonpan Kiatvichukul, and Sanya Sukpanichnant. 2022. "A Rare Case of Blastic Plasmacytoid Dendritic Cell Neoplasm in a Child Mimicking Lymphoma/Leukemia Cutis" Dermatopathology 9, no. 4: 321-326. https://doi.org/10.3390/dermatopathology9040038
APA StylePhusuphitchayanan, P., Vejjabhinanta, V., Takpradit, C., Sudtikoonaseth, P., Chairatchaneeboon, M., Kiatvichukul, T., & Sukpanichnant, S. (2022). A Rare Case of Blastic Plasmacytoid Dendritic Cell Neoplasm in a Child Mimicking Lymphoma/Leukemia Cutis. Dermatopathology, 9(4), 321-326. https://doi.org/10.3390/dermatopathology9040038
 
        


 
      