Asteroid Shower: Cutaneous Silica Granuloma with Asteroid Bodies
Abstract
1. Introduction
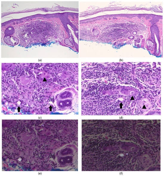
2. Case Report
3. Discussion
Author Contributions
Funding
Institutional Review Board Statement
Informed Consent Statement
Data Availability Statement
Conflicts of Interest
References
- Finley, J.; Knabb, J. Cutaneous Silica Granuloma. Plast. Reconstr. Surg. 1982, 69, 340–343. [Google Scholar] [CrossRef] [PubMed]
- Mowry, R.G.; Sams, W.M., Jr.; Caulfield, J.B. Cutaneous Silica Granuloma: A Rare Entity or Rarely Diagnosed? Report of Two Cases With Review of the Literature. Arch. Dermatol. 1991, 127, 692–694. [Google Scholar] [CrossRef] [PubMed]
- Rolim, L.S.A.; da Silva Barros, C.C.; Pinheiro, J.C.; de Oliveira, P.T.; de Souza, L.B.; de Andrade Santos, P.P. Analysis of nine cases of oral foreign body granuloma related to biomaterials. J. Biosci. 2019, 44, 78. [Google Scholar] [CrossRef]
- Shahrabi-Farahani, S.; Lerman, M.A.; Noonan, V.; Kabani, S.; Woo, S.B. Granulomatous foreign body reaction to dermal cosmetic fillers with intraoral migration. Oral. Surg. Oral. Med. Oral. Pathol. Oral. Radiol. 2014, 117, 105–110. [Google Scholar] [CrossRef] [PubMed]
- Patterson, J.W. Weedon’s Skin Pathology, 5th ed.; Elsevier Limited: Amsterdam, The Netherlands, 2021. [Google Scholar]
- Gadde, P.S.; Moscovic, E.A. Asteroid bodies: Products of unusual microtubule dynamics in monocyte-derived giant cells. An immunohistochemical study. Histol. Histopathol. 1994, 9, 633–642. [Google Scholar] [PubMed]
- Okamoto, K.; Hirai, S.; Yoshida, T.; Iizuka, T.; Tanaka, S. Asteroid Bodies in Silicone-induced Granuloma are Ubiquitinated. Acta Pathol. Jpn. 1992, 42, 688–689. [Google Scholar] [CrossRef] [PubMed]
- Brenner, D.S.; Drachenberg, C.B.; Papadimitriou, J.C. Structural Similarities between Hematoidin Crystals and Asteroid Bodies: Evidence of Lipid Composition. Exp. Mol. Pathol. 2001, 70, 37–42. [Google Scholar] [CrossRef] [PubMed]
- Papadimitriou, J.C.; Drachenberg, C.B. Ultrastructural analysis of asteroid bodies: Evidence for membrane lipid bilayer nature of components. Ultrastruct. Pathol. 1992, 16, 413–421. [Google Scholar] [CrossRef] [PubMed]
- Boztepe, G.; Rakhshanfar, M.; Erkin, G.; Ozkaya, O.; Sahin, S. Cutaneous silica granuloma: A lesion that might be clinically underdiagnosed. Eur. J. Dermatol. 2005, 15, 194–195. [Google Scholar] [PubMed]
- Wang, Z.S.; Li, J. Firm Papules and Nodules on Face, Neck, and Thorax. JAMA Dermatol. 2018, 154, 953–954. [Google Scholar] [CrossRef] [PubMed]
- Morales-Neira, D. It’s elemental! Siliceous diatom frustules producing sarcoid-like granulomas in the subcutis. J. Cutan. Pathol. 2021, 48, 795–801. [Google Scholar] [CrossRef] [PubMed]
- Shelley, W.B.; Hurley, H.J. The Pathogenesis of Silica Granulomas in Man: A Non-Allergic Colloidal Phenomenon *. J. Invest Dermatol. 1960, 34, 107–123. [Google Scholar] [CrossRef] [PubMed]
- Pimentel, L.; Barnadas, M.; Vidal, D.; Sancho, F.; Fontarnau, R.; Alomar, A. Simultaneous Presentation of Silicone and Silica Granuloma. Dermatology 2002, 205, 162–165. [Google Scholar] [CrossRef] [PubMed]
- Marcoval, J.; Mañá, J.; Moreno, A.; Gallego, I.; Fortuño, Y.; Peyrí, J. Foreign Bodies in Granulomatous Cutaneous Lesions of Patients With Systemic Sarcoidosis. Arch. Dermatol. 2001, 137, 427–430. [Google Scholar]
- Kim, Y.C.; Triffet, M.K.; Gibson, L.E. Foreign Bodies in Sarcoidosis. Am. J. Dermatopathol. 2000, 22, 408–412. [Google Scholar] [CrossRef] [PubMed]
- Colboc, H.; Moguelet, P.; Bazin, D.; Bachmeyer, C.; Frochot, V.; Weil, R.; Letavernier, E.; Jouanneau, C.; Daudon, M.; Bernaudin, J.F. Physicochemical characterization of inorganic deposits associated with granulomas in cutaneous sarcoidosis. J. Eur. Acad. Dermatol. Venereol. 2019, 33, 198–203. [Google Scholar] [CrossRef] [PubMed]
- Payne, C.M.; Thomas, R.H.; Black, M.M. From silica granuloma to scar sarcoidosis. Clin. Exp. Dermatol. 1983, 8, 171–175. [Google Scholar] [CrossRef] [PubMed]
- Bovenmyer, D.A.; Landas, S.K.; Bovenmyer, J.A. Spontaneous resolution of silica granuloma. J. Am. Acad. Dermatol. 1990, 23 Pt 1, 322–324. [Google Scholar] [CrossRef]


| Sarcoidosis | |
| Foreign-body granulomatous reactions | |
| Silicone | |
| Beryllium | |
| Graphite | |
| Mercury alloy | |
| Polytef | |
| Infectious disease | |
| Tuberculosis | |
| Leprosy | |
| Histoplasmosis | |
| Sporotrichosis | |
| Cryptococcosis | |
| Aspergillosis | |
| Schistosomiasis | |
| Candidiasis | |
| Annular elastolytic granuloma | |
| Necrobiotic xanthogranuloma | |
| Necrobiosis lipoidica | |
| Fibrocystic breast disease | |
| Tumors | |
| Cystic teratoma | |
| Soft-tissue amyloidoma | |
Disclaimer/Publisher’s Note: The statements, opinions and data contained in all publications are solely those of the individual author(s) and contributor(s) and not of MDPI and/or the editor(s). MDPI and/or the editor(s) disclaim responsibility for any injury to people or property resulting from any ideas, methods, instructions or products referred to in the content. |
© 2025 by the authors. Published by MDPI on behalf of the European Society of Dermatopathology. Licensee MDPI, Basel, Switzerland. This article is an open access article distributed under the terms and conditions of the Creative Commons Attribution (CC BY) license (https://creativecommons.org/licenses/by/4.0/).
Share and Cite
Ahmed, F.; DiMarco, C. Asteroid Shower: Cutaneous Silica Granuloma with Asteroid Bodies. Dermatopathology 2025, 12, 4. https://doi.org/10.3390/dermatopathology12010004
Ahmed F, DiMarco C. Asteroid Shower: Cutaneous Silica Granuloma with Asteroid Bodies. Dermatopathology. 2025; 12(1):4. https://doi.org/10.3390/dermatopathology12010004
Chicago/Turabian StyleAhmed, Fadwa, and Christopher DiMarco. 2025. "Asteroid Shower: Cutaneous Silica Granuloma with Asteroid Bodies" Dermatopathology 12, no. 1: 4. https://doi.org/10.3390/dermatopathology12010004
APA StyleAhmed, F., & DiMarco, C. (2025). Asteroid Shower: Cutaneous Silica Granuloma with Asteroid Bodies. Dermatopathology, 12(1), 4. https://doi.org/10.3390/dermatopathology12010004

