Widespread and Long-Enduring Hyperkeratosis Lenticularis Perstans (Flegel’s Disease): Clinico-Pathological and Dermoscopic Features of a Rare Presentation
Abstract
1. Introduction
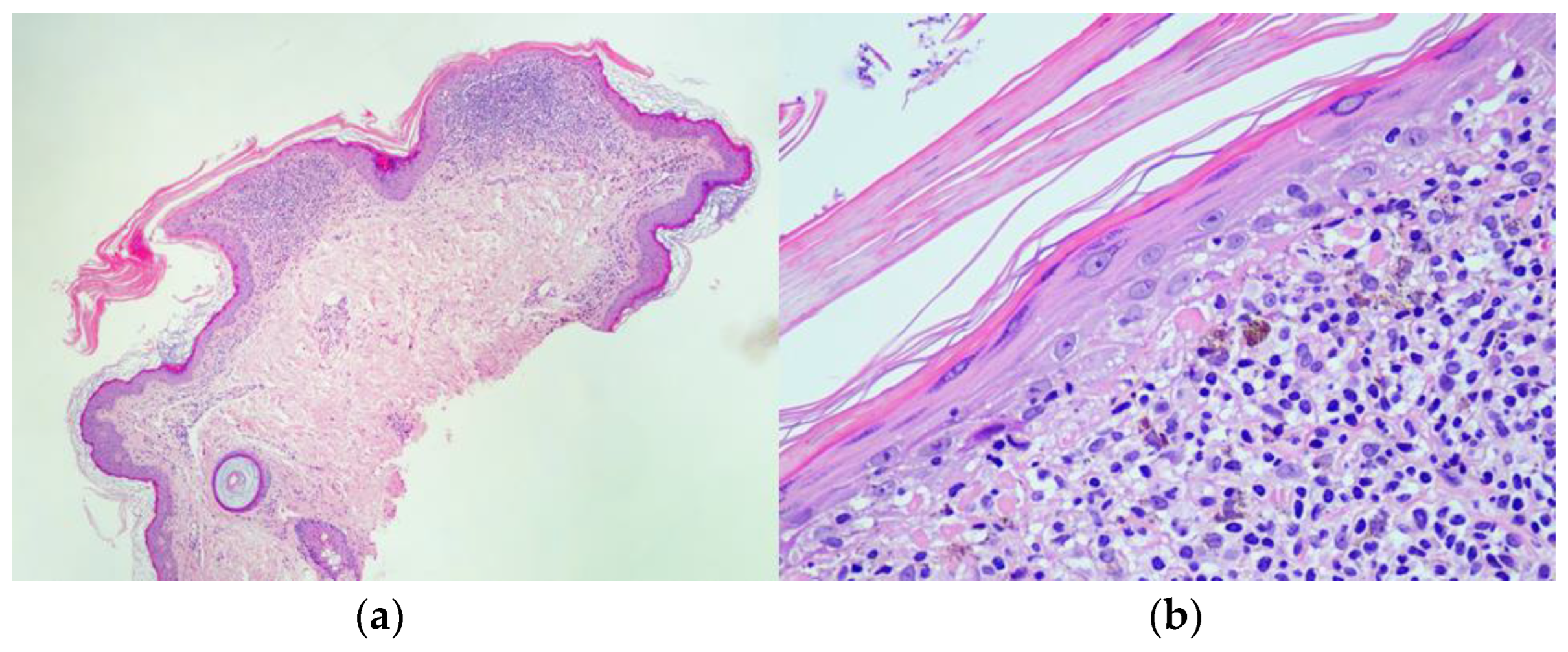
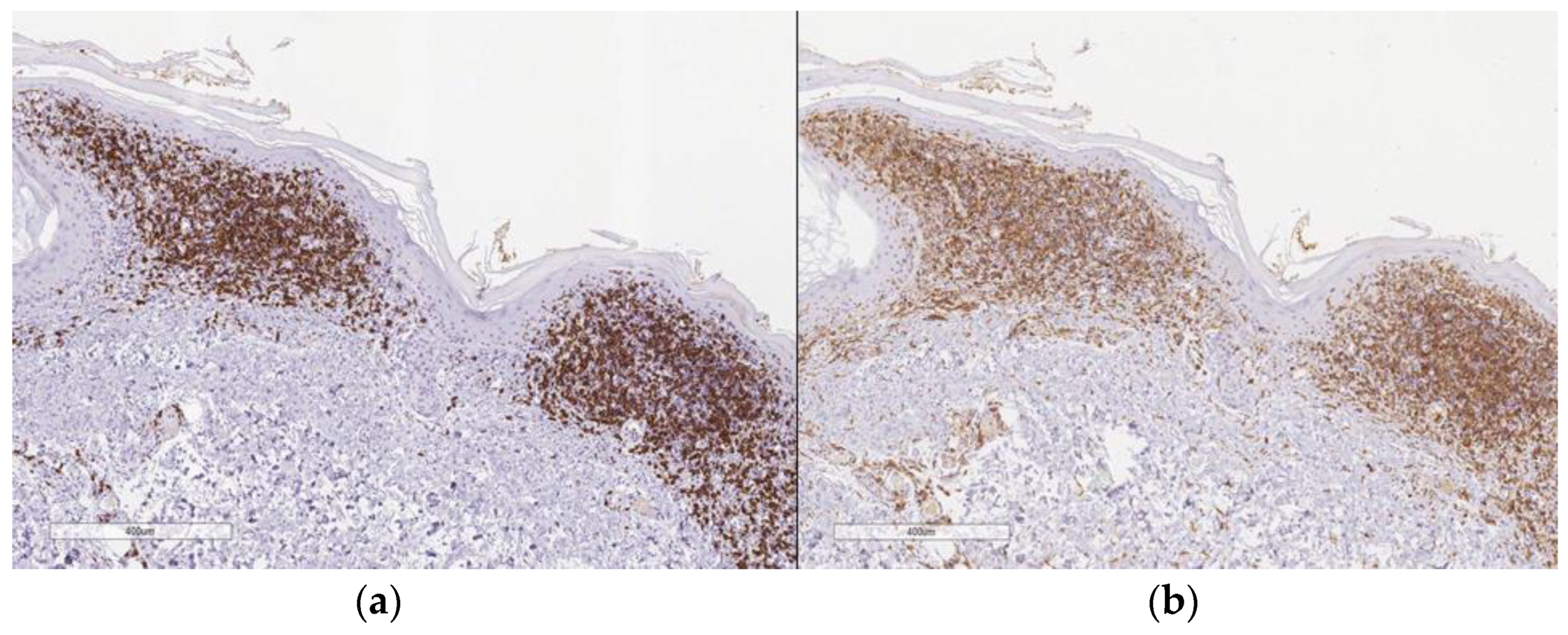
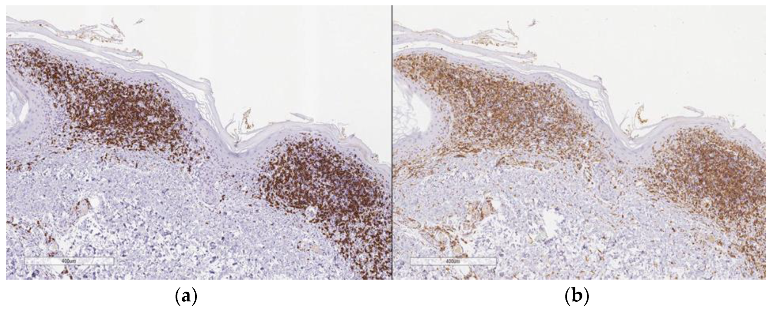
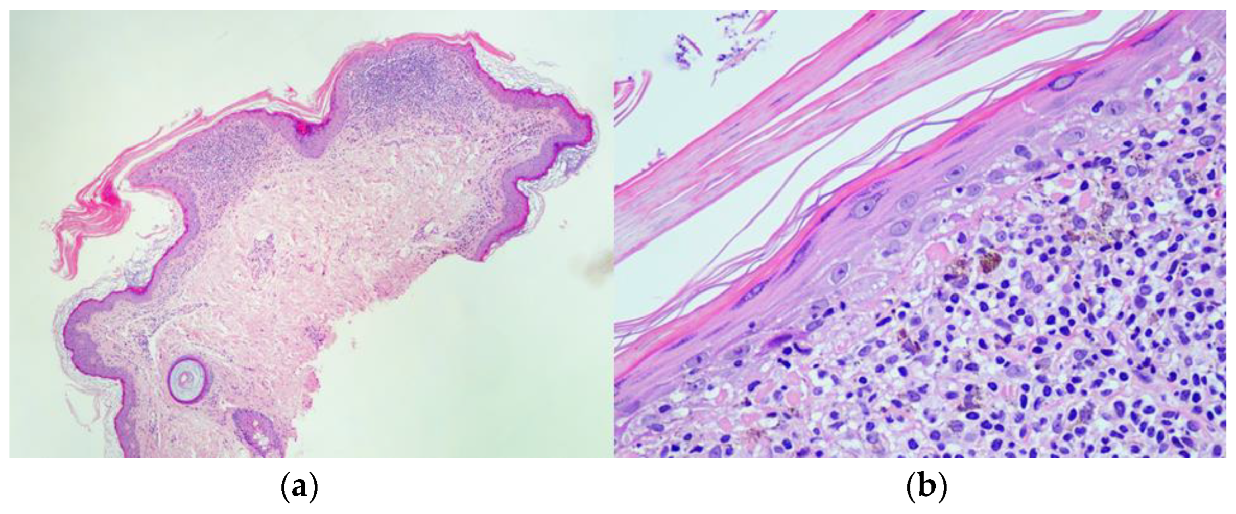
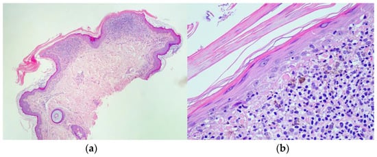
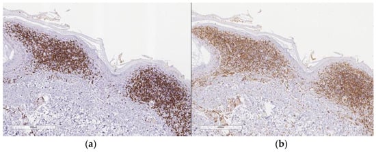
2. Case Report
3. Discussion
4. Conclusions
Author Contributions
Funding
Institutional Review Board Statement
Informed Consent Statement
Data Availability Statement
Conflicts of Interest
References
- Bortoluzzi, P.; Cusini, M.; Veraldi, S.; Nazzaro, G. Hyperkeratosis lenticularis perstans (Flegel’s disease): Our experience and review of the literature. Int. J. Dermatol. 2021, 60, 33–38. [Google Scholar] [CrossRef] [PubMed]
- Krishnan, A.; Kar, S. Photoletter to the editor: Hyperkeratosis lenticularis perstans (Flegel’s disease) with unusual clinical presentation. Response isotretinoin therapy. J. Dermatol. Case Rep. 2012, 6, 93–95. [Google Scholar] [CrossRef] [PubMed]
- Fernandez-Crehuet, P.; Rodr ıguez-Rey, E.; Rıos-Martın, J.J.; Camacho, F.M. Hyperkeratosis lenticularis perstans, or Flegel disease, with palmoplantar involvement. Actas Dermosifiliogr. 2009, 100, 157–159. [Google Scholar] [CrossRef]
- Miranda-Romero, A.; Sanchez-Sambucety, P.; del Pozo, C.B. Unilateral hyperkeratosis lenticularis perstans (Flegel’s disease). J. Am. Acad. Dermatol. 1998, 39, 655–657. [Google Scholar] [CrossRef]
- Jang, K.A.; Choi, J.H.; Sung, K.J.; Moon, K.C.; Koh, J.K. Hyperkeratosis lenticularis perstans (Flegel’s disease): Histologic, immunohistochemical, and ultrastructural features in a case. Am. J. Dermatopathol. 1999, 21, 395–398. [Google Scholar] [CrossRef] [PubMed]
- Kocsard, E.; Bear, C.L.; Constance, T.J. Hyperkeratosis lenticularis perstans (Flegel). Dermatology 1968, 136, 35–42. [Google Scholar] [CrossRef]
- Price, M.L.; Jones, E.W.; Macdonald, D.M. A clinicopathological study of Flegel’s disease (hyperkeratosis lenticularis perstans). Br. J. Dermatol. 1987, 116, 681–691. [Google Scholar] [CrossRef]
- Urbina, F.; Sudy, E.; Misad, C. A case of localized, unilateral hyperkeratosis lenticularis perstans on a woman’s breast. J. Dtsch. Dermatol. Ges. 2016, 14, 416–418. [Google Scholar] [CrossRef]
- Massone, L.; Pestarino, A.; Gambini, C.; Isola, V. Hyperkeratosis lenticularis perstans. A clinical case and review of the literature. G. Ital. Dermatol. Venereol. 1990, 125, 281–284. [Google Scholar]
- Van de Staak, W.J.; Bergers, A.M.; Bongaarts, P. Hyperkeratosis lenticularis perstans (Flegel). Dermatology 1980, 161, 340–346. [Google Scholar] [CrossRef]
- Matarredona, J.; García-Abellán, J.; Ramírez, I.V. Unilateral Asymptomatic Progressive Eruption of Hyperkeratotic Papules. JAMA Dermatol. 2019, 155, 739–740. [Google Scholar] [CrossRef]
- Flegel, H. Hyperkeratosis lenticularis perstans. Der Hautarzt Z. Dermatol. Venerol. Verwandte Geb. 1958, 9, 363–364. [Google Scholar]
- Ishibashi, A.; Tsuboi, R.; Fujita, K. Familial hyperkeratosis lenticularis perstans: Associated with cancers of the digestive organs. J. Dermatol. 1984, 11, 407–409. [Google Scholar] [CrossRef] [PubMed]
- Ando, K.; Hattori, H.; Yamauchi, Y. Histopathological differences between early and old lesions of hyperkeratosis lenticularis perstans (Flegel’s disease). Am. J. Dermatopathol. 2006, 28, 122–126. [Google Scholar] [CrossRef]
- Schwarzova, K.; Kozub, P.; Szep, Z.; Golovchenko, M.; Rudenko, N. Detection of Borrelia burgdorferi sensu stricto and Borrelia garinii DNAs in patient with Hyperkeratosis lenticularis perstans (Flegel disease). Folia Microbiol. 2016, 61, 359–363. [Google Scholar] [CrossRef]
- Beveridge, G.W.; Langlands, A.O. Familial hyperkeratosis lenticularis perstans associated with tumours of the skin. Br. J. Dermatol. 1973, 88, 453–458. [Google Scholar] [CrossRef] [PubMed]
- Zhang, H.; Miao, C.; Zhang, X. Hyperkeratosis lenticularis perstans in a patient with primary hyperaldosteronism. J. Dtsch. Dermatol. Ges. 2018, 16, 72–73. [Google Scholar] [CrossRef] [PubMed]
- Errichetti, E.; Turina, M.; Pizzolitto, S.; Stinco, G. Dermoscopy of hyperkeratosis lenticularis perstans (Flegel disease). J. Dermatol. 2019, 46, e298–e299. [Google Scholar] [CrossRef]
- Valdebran, M.; Terrero, D.; Xue, R. Dermoscopic findings in hyperkeratosis lenticularis perstans. J. Am. Acad. Dermatol. 2016, 75, e211–e213. [Google Scholar] [CrossRef]
- Miljković, J. An unusual generalized form of hyperkeratosis lenticularis perstans (Flegel’s disease). Wien. Klin. Wochenschr. 2004, 116 (Suppl. 2), 78–80. [Google Scholar]
- Kocsard, E.; Palmer, G.; Constance, T.J. Coexistence of hyperkeratosis lenticularis perstans (Flegel) and hyperkeratosis follicularis et parafollicularis in cutem penetrans (Kyrle) in a patient. Acta Derm. Venereol. 1970, 50, 385–390. [Google Scholar] [PubMed]
- Bianchi, C.; Casala, A.; Bianchi, O.; Stringa, S.; Balsa, R. Hyperkeratosis lenticularis perstans. Ses rapports avec la porokératose de Mibelli [Hyperkeratosis lenticularis perstans. Its relations to Mibelli’s porokeratosis]. Ann. Dermatol. Syphiligr. 1974, 101, 145–154. [Google Scholar]
- Diaz De La Pinta, F.J.; Eraña, I.; Jo Velasco, M.; Diaz Recuero, J.L.; Requena, L. Hyperkeratosis lenticularis perstans (Flegel disease) with back and breast involvement. J. Cutan. Pathol. 2021, 48, 1525–1527. [Google Scholar] [CrossRef] [PubMed]




| Authors | Year | Gender | Age | Duration (Years) | Body Area |
|---|---|---|---|---|---|
| Krishnan A et al. | 2012 | M | 25 | 15 | Trunk, limbs, face |
| Fernandez et al. | 2009 | NF | NF | NF | Palms and soles |
| Miranda et al. | 1998 | F | 29 | 16 | Single leg involvement |
| Jang et al. | 1999 | M | 67 | NF | Trunk, upper extremities |
| Kocsard et al. | 1968 | M | 71 | 20–30 | Trunk, upper extremities |
| Price et al. | 1987 | F * | 36 * | 23 * | Buttocks, forehead, pinnae |
| Urbina et al. | 2016 | F | 60 | 5 | Breast |
| Mattaredona et al. | 2009 | M | 60 | 10 | Single leg involvement |
| Massone et al. | 1990 | F | 55 | NF | Hands |
| van de Staak et al. | 1980 | M ** | 62 | 20 ** | Oral mucosa |
| Present case | 2022 | F | 72 | 58 | Upper limbs, lower limbs, chest |
| Miljković J | 2004 | F | 82 | 11 | Upper and lower limbs |
| De La Pinta et al. | 2020 | F | 79 | 1 | Back and breast |
Disclaimer/Publisher’s Note: The statements, opinions and data contained in all publications are solely those of the individual author(s) and contributor(s) and not of MDPI and/or the editor(s). MDPI and/or the editor(s) disclaim responsibility for any injury to people or property resulting from any ideas, methods, instructions or products referred to in the content. |
© 2023 by the authors. Licensee MDPI, Basel, Switzerland. This article is an open access article distributed under the terms and conditions of the Creative Commons Attribution (CC BY) license (https://creativecommons.org/licenses/by/4.0/).
Share and Cite
Stabile, G.; Paolino, G.; Rizzo, N.; Rongioletti, F. Widespread and Long-Enduring Hyperkeratosis Lenticularis Perstans (Flegel’s Disease): Clinico-Pathological and Dermoscopic Features of a Rare Presentation. Dermatopathology 2023, 10, 46-51. https://doi.org/10.3390/dermatopathology10010006
Stabile G, Paolino G, Rizzo N, Rongioletti F. Widespread and Long-Enduring Hyperkeratosis Lenticularis Perstans (Flegel’s Disease): Clinico-Pathological and Dermoscopic Features of a Rare Presentation. Dermatopathology. 2023; 10(1):46-51. https://doi.org/10.3390/dermatopathology10010006
Chicago/Turabian StyleStabile, Giorgio, Giovanni Paolino, Nathalie Rizzo, and Franco Rongioletti. 2023. "Widespread and Long-Enduring Hyperkeratosis Lenticularis Perstans (Flegel’s Disease): Clinico-Pathological and Dermoscopic Features of a Rare Presentation" Dermatopathology 10, no. 1: 46-51. https://doi.org/10.3390/dermatopathology10010006
APA StyleStabile, G., Paolino, G., Rizzo, N., & Rongioletti, F. (2023). Widespread and Long-Enduring Hyperkeratosis Lenticularis Perstans (Flegel’s Disease): Clinico-Pathological and Dermoscopic Features of a Rare Presentation. Dermatopathology, 10(1), 46-51. https://doi.org/10.3390/dermatopathology10010006
