Association Between Clinical, Laboratory Findings and Chest CT in COVID-19 in a Secondary Hospital in Jakarta, Indonesia
Abstract
Introduction
Methods
Statistical analysis
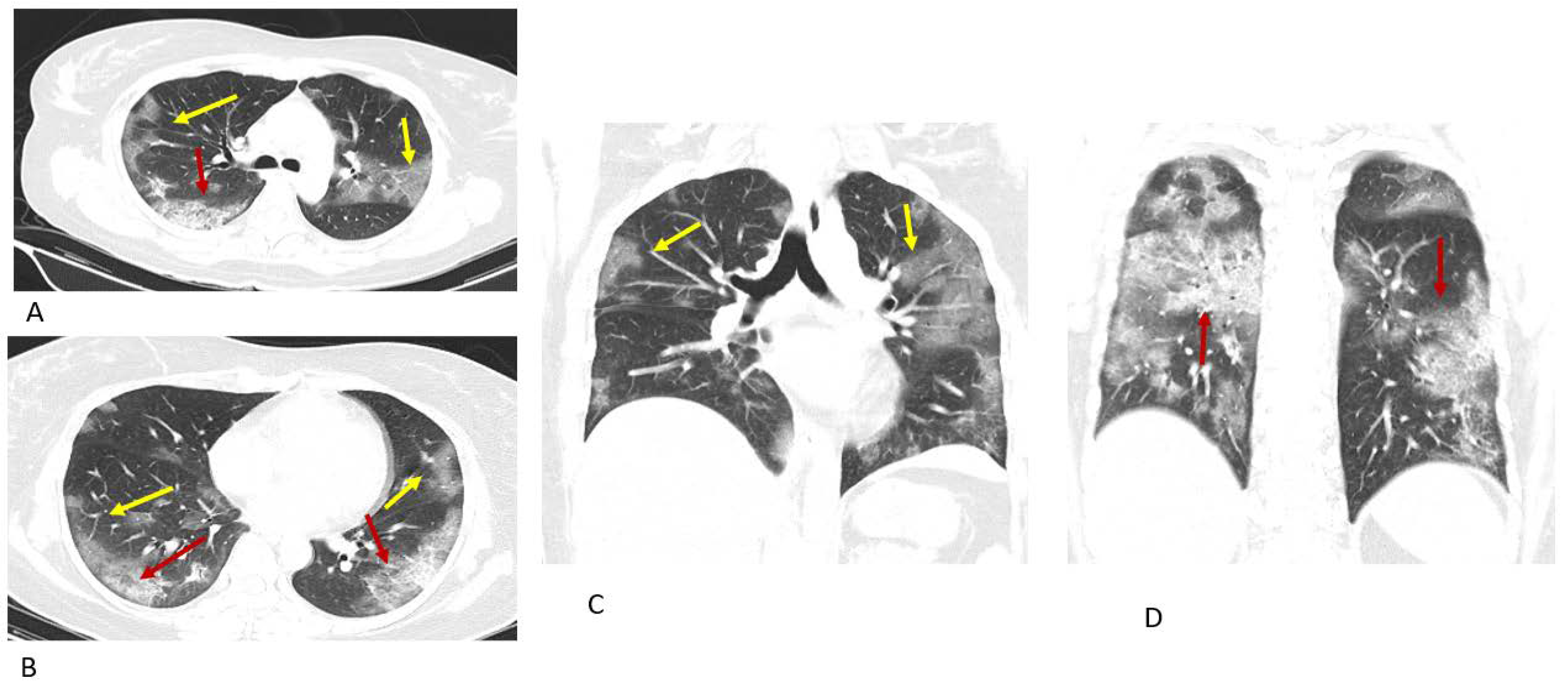
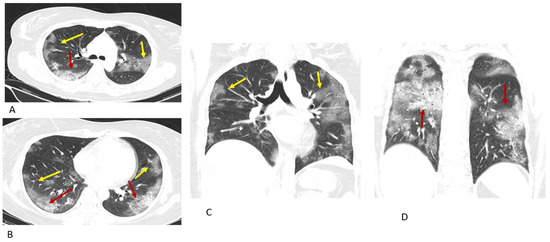
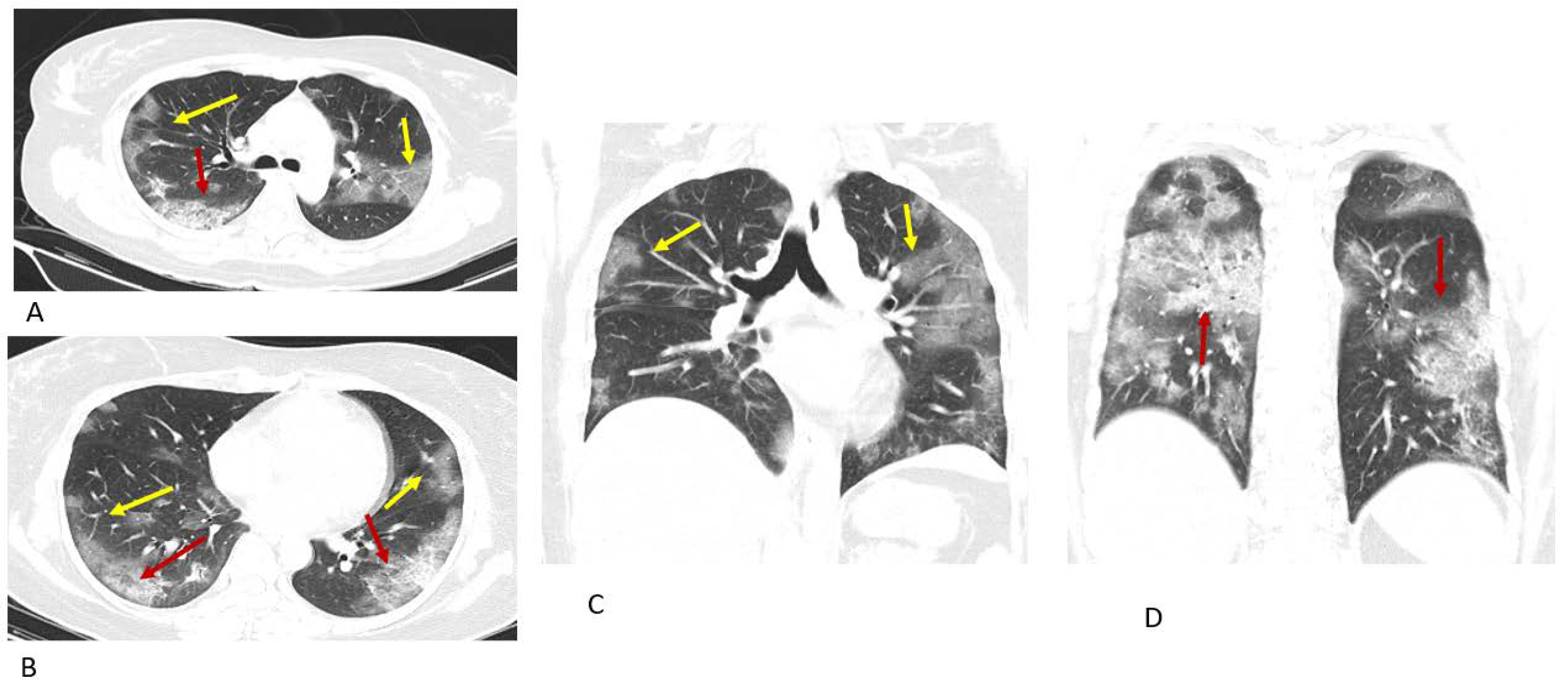
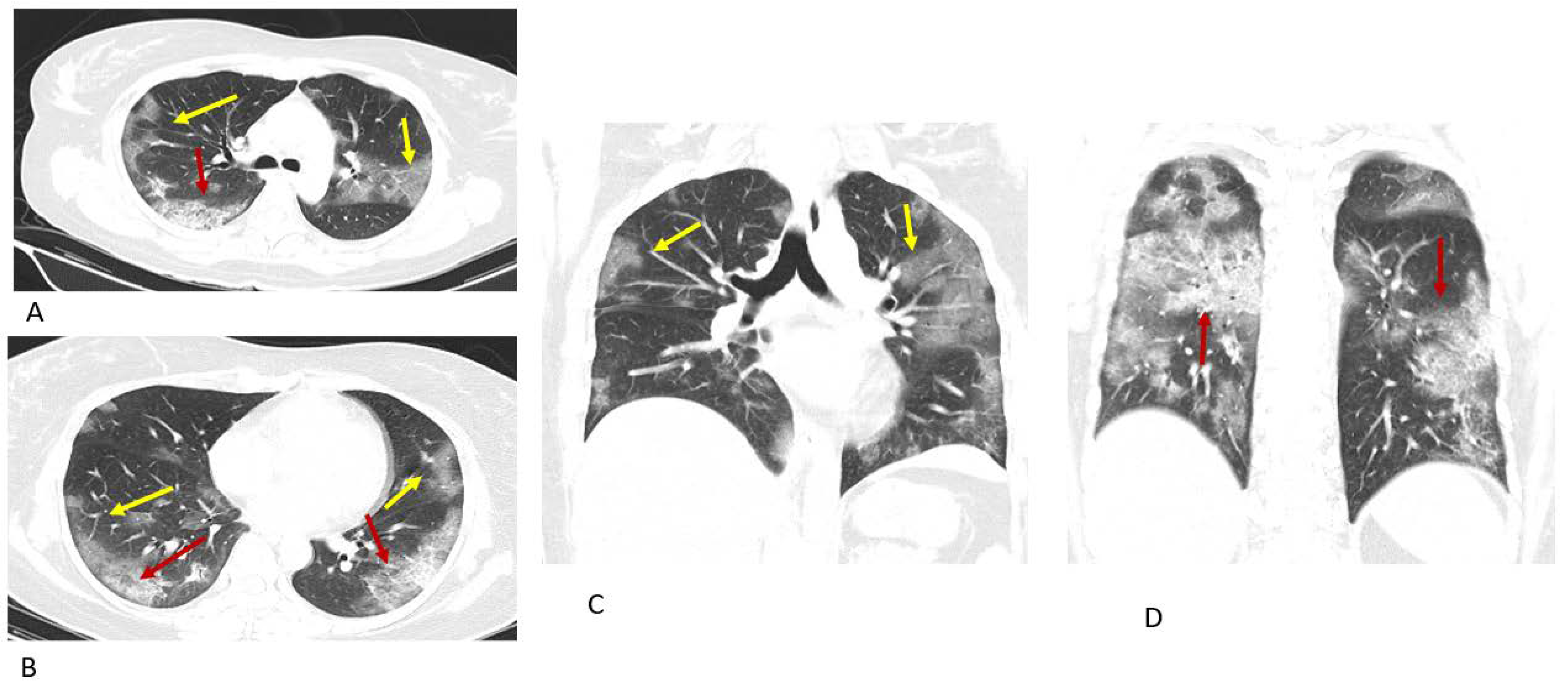
Results
Discussion
Conclusions
Author Contributions
Funding
Acknowledgments
Conflicts of interest
References
- Xu, *!!! REPLACE !!!*. 19 a systematic review and meta-analysis of diagnostic accuracy. Eur Radiol. 2020, 30, 5720–5727. [Google Scholar] [CrossRef] [PubMed]
- Ai, T.; Yang, Z.; Hou, H.; et al. Correlation of chest CT and RT-PCR testing in coronavirus disease 2019 (COVID- 19) in China: a report of 1014 cases. Radiology. 2020, 296, E32–E40. [Google Scholar] [CrossRef] [PubMed]
- Hafiz, M.; Icksan, A.G.; Harlivasari, A.D.; Aulia, R.; Susanti, F.; Eldinia, L. Clinical, radiological features and outcome of COVID-19 patients in a secondary hospital in Jakarta, Indonesia. J Infect Dev Ctries. 2020, 14, 750–757. [Google Scholar] [CrossRef] [PubMed]
- Feng, Y.; Ling, Y.; Bai, T.; et al. COVID-19 with different severities: a multicenter study of clinical features. Am J Respir Crit Care Med. 2020, 201, 1380–1388. [Google Scholar] [CrossRef] [PubMed]
- Xiao, A.T.; Tong, Y.X.; Zhang, S. False-negative of RT-PCR and prolonged nucleic acid conversion in COVID-19: rather than recurrence. J Med Virol. 2020, 92, 1755–1756. [Google Scholar] [CrossRef] [PubMed]
- Bernheim, A.; Mei, X.; Huang, M.; et al. Chest CT findings in coronavirus disease-19 (COVID-19): relationship to duration of infection. Radiology. 2020, 295, 200463. [Google Scholar] [CrossRef] [PubMed]
- Wang, L.; Gao, Y.; Lou, L.L.; Zhang, G.J. The clinical dynamics of 18 cases of COVID-19 outside of Wuhan, China. Eur Respir J. 2020, 55, 2000398. [Google Scholar] [CrossRef] [PubMed]
- Koo, H.J.; Lim, S.; Choe, J.; Choi, S.H.; Sung, H.; Do, K.H. Radiographic and CT features of viral pneumonia. Radiographics. 2018, 38, 719–739. [Google Scholar] [CrossRef] [PubMed]
- Kanne, J.P. Chest CT findings in 2019 novel coronavirus (2019-nCoV) infections from Wuhan, China: key points for the radiologist. Radiology. 2020, 295, 16–17. [Google Scholar] [CrossRef] [PubMed]
- Pan, F.; Ye, T.; Sun Pet, a.l. Time course of lung changes on chest CT during recovery from 2019 novel coronavirus (COVID-19) pneumonia. Radiology. 2020, 295, 715–721. [Google Scholar] [CrossRef] [PubMed]
- Rubin GDRyerson CJHaramati, L.B.; et al. The role of chest imaging in patient management during the COVID-19 pandemic: a multinational consensus statement from the Fleischner Society. Chest. 2020, 158, 106–116. [Google Scholar] [CrossRef]
- Li, B.; Li, X.; Wang, Y.; et al. Diagnostic value and key features of computed tomography in coronavirus disease 2019. Emerg Microbes Infect. 2020, 9, 787–93. [Google Scholar] [CrossRef] [PubMed]
- Song, F.; Shi, N.; et al. Emerging coronavirus 2019-nCoV pneumonia. Radiology. 2020, 295, 210–217. [Google Scholar] [CrossRef] [PubMed]
- Ye, Z.; Zhang, Y.; Wang, Y.; Huang, Z.; Song, B. Chest CT manifestations of new coronavirus disease 2019 (COVID-19): a pictorial review. Eur Radiol. 2020, 30, 4381–4389. [Google Scholar] [CrossRef] [PubMed]
- Pan, F.; Ye, T.; Sun, P.; et al. Time course of lung changes on chest CT during recovery from coronavirus disease 2019 (COVID-19). Radiology. 2020, 295, 715–721. [Google Scholar] [CrossRef] [PubMed]
- Bhandari, S.; Rankawat, G.; Bagarhatta, M.; et al. Clinico- radiological evaluation and correlation of CT chest images with progress of disease in COVID-19 patients. J Assoc Physicians India. 2020, 68, 34–42. [Google Scholar] [PubMed]
- de Jaegere, T.M.H.; Krdzalic, J.; Fasen, B.A.C.M.; Kwee, R.M.; COVID-19 CT Investigators South-East Netherlands (CISEN) study group. Radiological Society of North America chest CT classification system for reporting COVID-19 pneumonia: interobserver variability and correlation with RT-PCR. Radiol Cardiothorac Imaging 2020, 2, e200213. [Google Scholar] [CrossRef] [PubMed]
- Atkinson BPetersen, E. SARS-CoV-2 shedding and infectivity. Lancet. 2020, 395, 1339–1340. [Google Scholar] [CrossRef] [PubMed]


![]() |
![]() |
![]() |
© GERMS 2021.
Share and Cite
Hafiz, M.; Icksan, A.G.; Harlivasari, A.D.; Andarini, S.; Susanti, F.; Yuliana, M.E. Association Between Clinical, Laboratory Findings and Chest CT in COVID-19 in a Secondary Hospital in Jakarta, Indonesia. Germs 2021, 11, 32-38. https://doi.org/10.18683/germs.2021.1238
Hafiz M, Icksan AG, Harlivasari AD, Andarini S, Susanti F, Yuliana ME. Association Between Clinical, Laboratory Findings and Chest CT in COVID-19 in a Secondary Hospital in Jakarta, Indonesia. Germs. 2021; 11(1):32-38. https://doi.org/10.18683/germs.2021.1238
Chicago/Turabian StyleHafiz, Muhammad, Aziza Ghanie Icksan, Annisa Dian Harlivasari, Sita Andarini, Febrina Susanti, and Merryl Esther Yuliana. 2021. "Association Between Clinical, Laboratory Findings and Chest CT in COVID-19 in a Secondary Hospital in Jakarta, Indonesia" Germs 11, no. 1: 32-38. https://doi.org/10.18683/germs.2021.1238
APA StyleHafiz, M., Icksan, A. G., Harlivasari, A. D., Andarini, S., Susanti, F., & Yuliana, M. E. (2021). Association Between Clinical, Laboratory Findings and Chest CT in COVID-19 in a Secondary Hospital in Jakarta, Indonesia. Germs, 11(1), 32-38. https://doi.org/10.18683/germs.2021.1238



