Neonatal Abusive Head Trauma without External Injuries: Suspicion Improves Diagnosis
Abstract
:1. Introduction
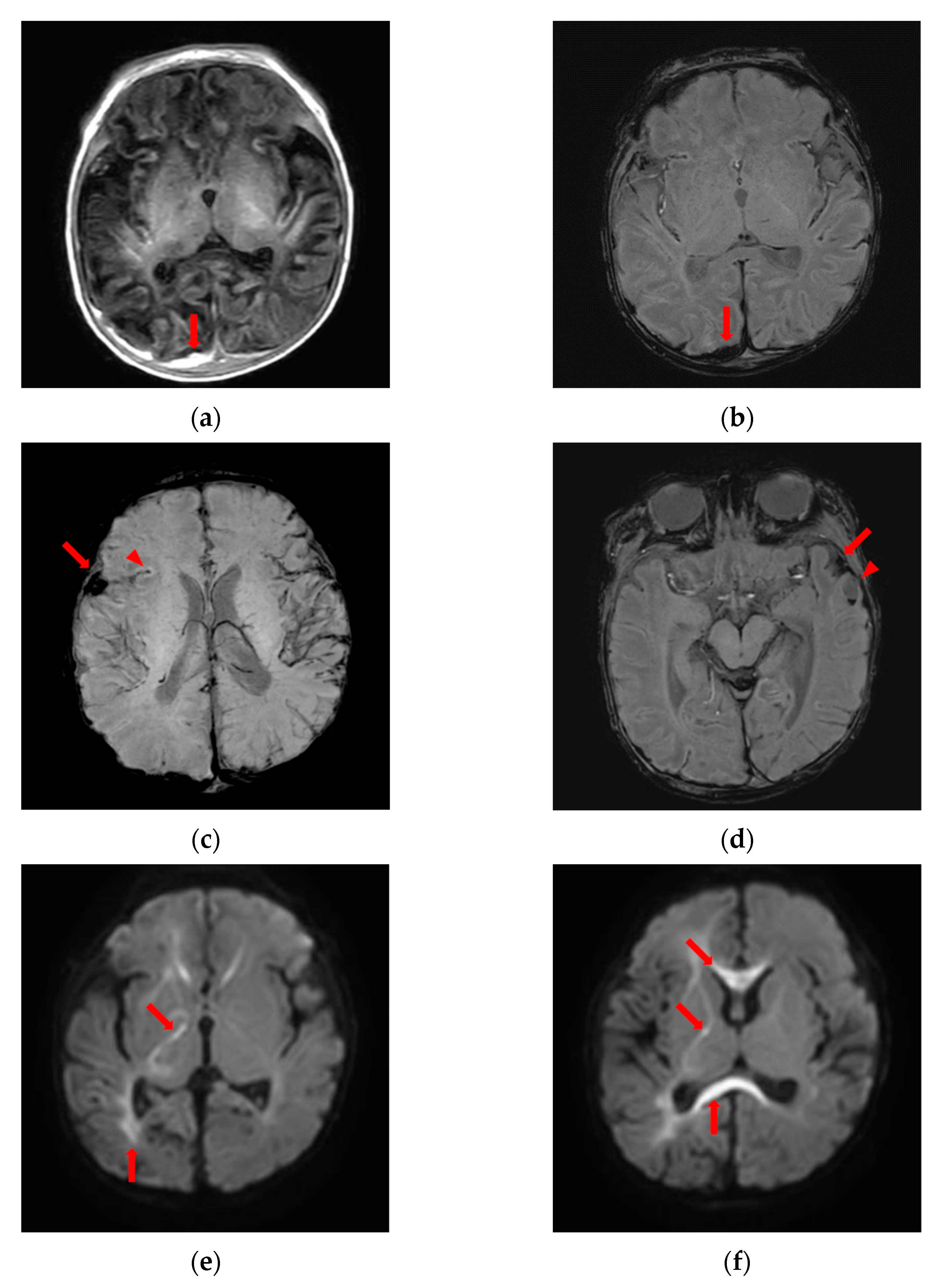
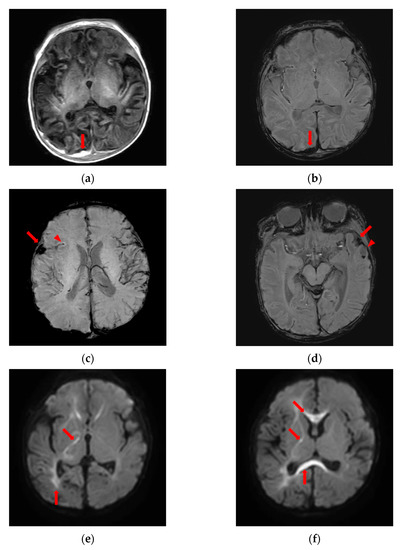
2. Case Presentation
3. Discussion
Author Contributions
Funding
Institutional Review Board Statement
Informed Consent Statement
Data Availability Statement
Conflicts of Interest
References
- Ludwig, S.; Warman, M. Shaken baby syndrome: A review of 20 cases. Ann. Emerg. Med. 1984, 13, 104–107. [Google Scholar] [CrossRef]
- Christian, C.W.; Block, R.; Committee on Child Abuse and Neglect. Abusive head trauma in infants and children. Pediatrics 2009, 123, 1409–1411. [Google Scholar] [CrossRef] [PubMed] [Green Version]
- Cosgrave, L.; Bowie, S.; Walker, C.; Bird, H.; Bastin, S. Abusive head trauma in children: Radiographs of the skull do not provide additional information in the diagnosis of skull fracture when multiplanar computed tomography with three-dimensional reconstructions is available. Pediatr. Radiol. 2022, 52, 924–931. [Google Scholar] [CrossRef] [PubMed]
- Narang, S.K.; Fingarson, A.; Lukefahr, J.; Sirotnak, A.P.; Flaherty, E.G.; Gavril, C.A.R.; Gilmartin, A.B.H.; Haney, S.B.; Idzerda, S.M.; Laskey, A.; et al. Abusive Head Trauma in Infants and Children. Pediatrics 2020, 145, e20200203. [Google Scholar] [CrossRef] [PubMed] [Green Version]
- Fanconi, M.; Lips, U. Shaken baby syndrome in Switzerland: Results of a prospective follow-up study, 2002–2007. Eur. J. Pediatr. 2010, 169, 1023–1028. [Google Scholar] [CrossRef] [PubMed] [Green Version]
- Radiology, S.O. Diagnostic imaging of child abuse. Pediatrics 2009, 123, 1430–1435. [Google Scholar] [CrossRef] [Green Version]
- Jenny, C.; Hymel, K.P.; Ritzen, A.; Reinert, S.E.; Hay, T.C. Analysis of missed cases of abusive head trauma. JAMA 1999, 281, 621–626. [Google Scholar] [CrossRef] [Green Version]
- Oral, R.; Yagmur, F.; Nashelsky, M.; Turkmen, M.; Kirby, P. Fatal abusive head trauma cases: Consequence of medical staff missing milder forms of physical abuse. Pediatr. Emerg. Care 2008, 24, 816–821. [Google Scholar] [CrossRef]
- Sidpra, J.; Chhabda, S.; Oates, A.J.; Bhatia, A.; Blaser, S.I.; Mankad, K. Abusive head trauma: Neuroimaging mimics and diagnostic complexities. Pediatr. Radiol. 2021, 51, 947–965. [Google Scholar] [CrossRef]
- Kelly, P.; John, S.; Vincent, A.L.; Reed, P. Abusive head trauma and accidental head injury: A 20-year comparative study of referrals to a hospital child protection team. Arch. Dis. Child. 2015, 100, 1123–1130. [Google Scholar] [CrossRef] [Green Version]
- Pai, K.-S.; Kim, S.-Y.; Chung, Y.K.; Ryu, K.H. The present state of chid abuse in Korea and its system for child protection. Korean J. Pediatr. 2009, 52, 1185–1193. [Google Scholar] [CrossRef]
- Child Abuse & Neglect Korea 2020; Ministry of Health and Welfare: Sejong, Korea, 2021.
- Conrad, A.; Butcher, B.; Oral, R.; Ronnenberg, M.; Peek-Asa, C. Trends in shaken baby syndrome diagnosis codes among young children hospitalized for abuse. Inj. Epidemiol. 2021, 8, 46. [Google Scholar] [CrossRef]
- Halstead, S.; Scott, G.; Thust, S.; Hann, G. Review of the new RCR guidelines (2017): The radiological investigation of suspected physical abuse in children. Arch. Dis. Child.-Educ. Pract. Ed. 2019, 104, 309–312. [Google Scholar] [CrossRef] [PubMed]
- Keenan, H.T.; Runyan, D.K.; Marshall, S.W.; Nocera, M.A.; Merten, D.F.; Sinal, S.H. A population-based study of inflicted traumatic brain injury in young children. JAMA 2003, 290, 621–626. [Google Scholar] [CrossRef] [PubMed] [Green Version]
- Çaylan, N.D.; Yilmaz, G.; Oral, R.; Karacan, C.D.; Zorlu, P. Abusive head trauma: Report of 3 cases. Turk. J. Trauma Emerg. Surg. 2013, 19, 261–266. [Google Scholar] [CrossRef] [Green Version]
- Porto, L.; Bartels, M.B.; Zwaschka, J.; You, S.J.; Polkowski, C.; Luetkens, J.; Endler, C.; Kieslich, M.; Hattingen, E. Abusive head trauma: Experience improves diagnosis. Neuroradiology 2021, 63, 417–430. [Google Scholar] [CrossRef]
- Tıplamaz, S.; Beygirci, A.; Arslan, M.N.; İnanıcı, M.A. Abusive head trauma: Two cases and mini-review of the current literature. Turk. J. Pediatr. 2020, 62, 872–878. [Google Scholar] [CrossRef]
- Chabrol, B.; Decarie, J.C.; Fortin, G. The role of cranial MRI in identifying patients suffering from child abuse and presenting with unexplained neurological findings. Child Abus. Negl. 1999, 23, 217–228. [Google Scholar] [CrossRef]
- Kemp, A.M.; Jaspan, T.; Griffiths, J.; Stoodley, N.; Mann, M.K.; Tempest, V.; Maguire, S.A. Neuroimaging: What neuroradiological features distinguish abusive from non-abusive head trauma? A systematic review. Arch. Dis. Child. 2011, 96, 1103–1112. [Google Scholar] [CrossRef]
- Christian, C.W.; Levin, A.V.; Flaherty, E.G.; Sirotnak, A.P.; Budzak, A.E.; Gavril, A.R.; Haney, S.B.; Idzerda, S.M.; Laskey, A.; Legano, L.A.; et al. The Eye Examination in the Evaluation of Child Abuse. Pediatrics 2018, 142, e20181411. [Google Scholar] [CrossRef] [Green Version]
- Lane, W.G.; Dubowitz, H.; Langenberg, P. Screening for occult abdominal trauma in children with suspected physical abuse. Pediatrics 2009, 124, 1595–1602. [Google Scholar] [CrossRef] [PubMed]
- Mankad, K.; Chhabda, S.; Lim, W.; Öztekin, O.; Reddy, N.; Chong, W.K.; Shroff, M. The neuroimaging mimics of abusive head trauma. Eur. J. Paediatr. Neurol. 2019, 23, 19–30. [Google Scholar] [CrossRef] [PubMed] [Green Version]

Publisher’s Note: MDPI stays neutral with regard to jurisdictional claims in published maps and institutional affiliations. |
© 2022 by the authors. Licensee MDPI, Basel, Switzerland. This article is an open access article distributed under the terms and conditions of the Creative Commons Attribution (CC BY) license (https://creativecommons.org/licenses/by/4.0/).
Share and Cite
Yoon, S.; Lee, J.; Jun, Y.H.; Jeon, G.W. Neonatal Abusive Head Trauma without External Injuries: Suspicion Improves Diagnosis. Children 2022, 9, 808. https://doi.org/10.3390/children9060808
Yoon S, Lee J, Jun YH, Jeon GW. Neonatal Abusive Head Trauma without External Injuries: Suspicion Improves Diagnosis. Children. 2022; 9(6):808. https://doi.org/10.3390/children9060808
Chicago/Turabian StyleYoon, Seokwon, Juyoung Lee, Yong Hoon Jun, and Ga Won Jeon. 2022. "Neonatal Abusive Head Trauma without External Injuries: Suspicion Improves Diagnosis" Children 9, no. 6: 808. https://doi.org/10.3390/children9060808
APA StyleYoon, S., Lee, J., Jun, Y. H., & Jeon, G. W. (2022). Neonatal Abusive Head Trauma without External Injuries: Suspicion Improves Diagnosis. Children, 9(6), 808. https://doi.org/10.3390/children9060808

