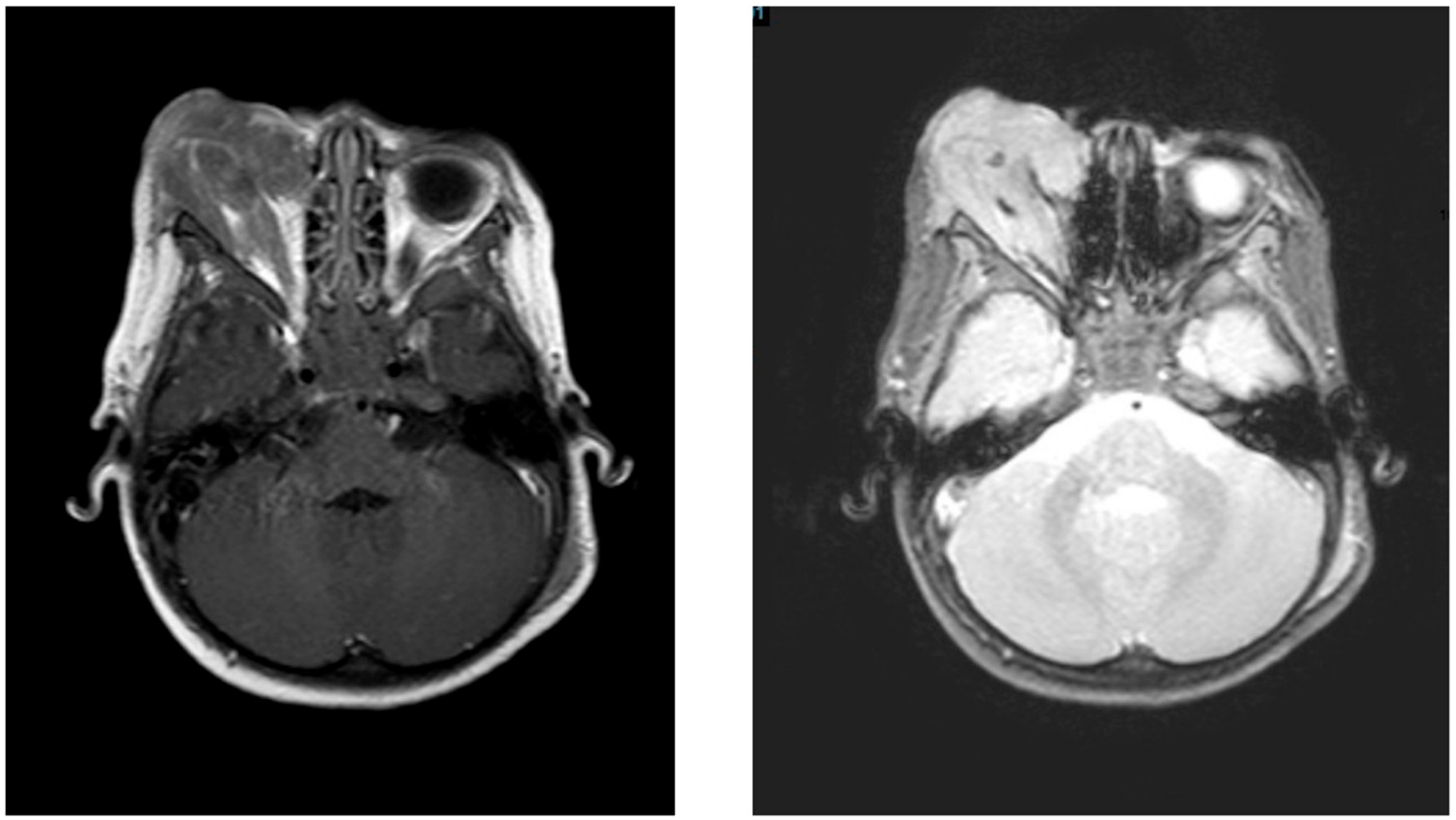
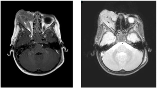
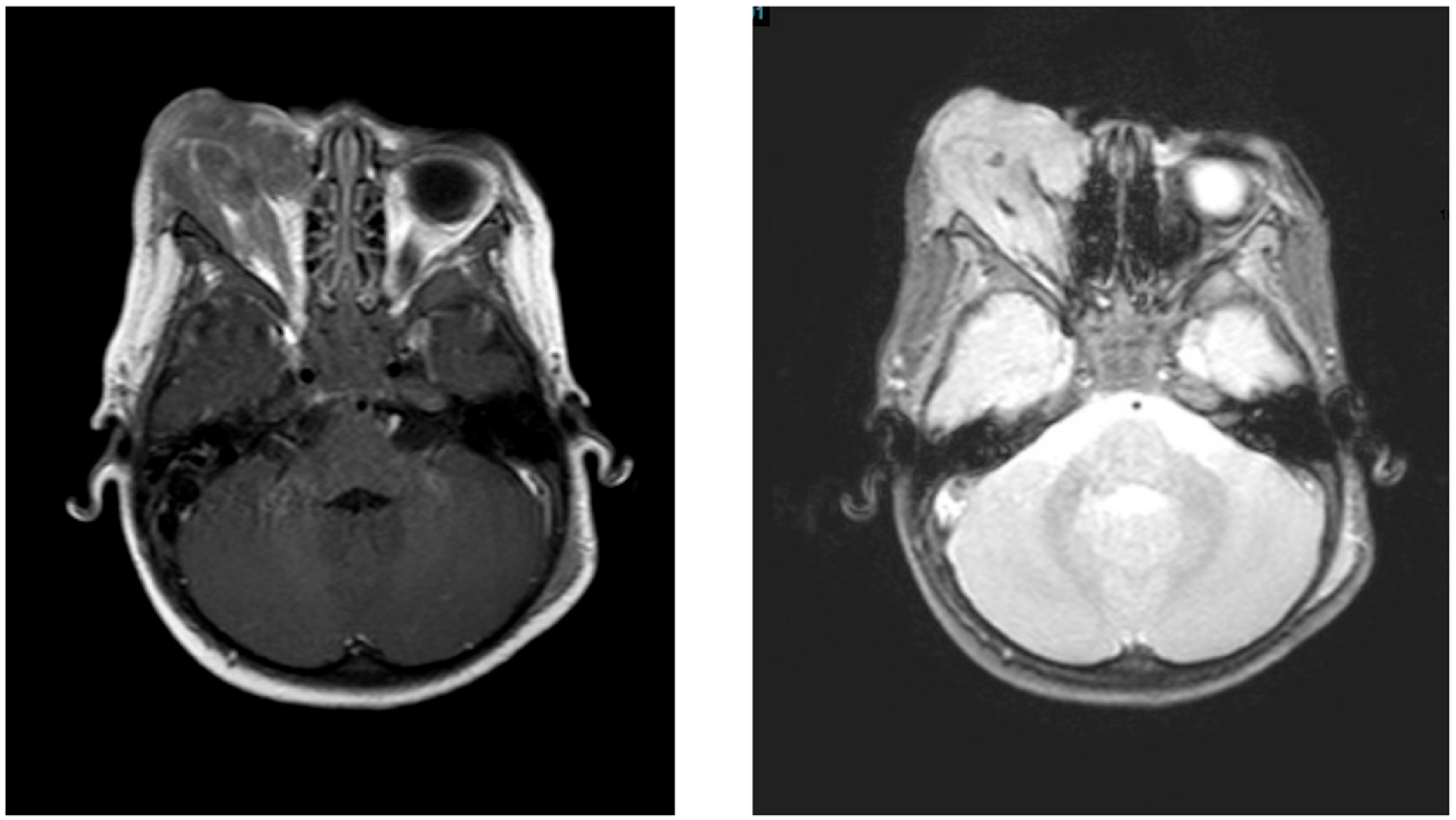
A Rare Case of Pure Erythroid Sarcoma in a Pediatric Patient: Case Report and Literature Review
Abstract
:A Rare Case of Pure Erythroid Sarcoma in a Pediatric Patient: Case Report and Literature Review
Author Contributions
Conflicts of Interest
References
- Chevallier, P.; Labopin, M.; Cornelissen, J.; Socié, G.; Rocha, V.; Mohty, M. ALWP of EBMT. Allogeneic hematopoietic stem cell transplantation for isolated and leukemic myeloid sarcoma in adults: A report from the Acute Leukemia Working Party of the European group for Blood and Marrow Transplantation. Haematologica 2011, 96, 1391–1394. [Google Scholar] [CrossRef] [PubMed]
- Campidelli, C.; Agostinelli, C.; Stitson, R.; Pileri, S.A. Myeloid sarcoma: Extramedullary manifestation of myeloid disorders. Am. J. Clin. Pathol. 2009, 132, 426–437. [Google Scholar] [CrossRef] [PubMed]
- Pileri, S.A.; Ascani, S.; Cox, M.C.; Campidelli, C.; Bacci, F.; Piccioli, M.; Piccaluga, P.P.; Agostinelli, C.; Asioli, S.; Novero, D.; et al. Myeloid sarcoma: Clinico-pathologic, phenotypic and cytogenetic analysis of 92 adult patients. Leukemia 2007, 21, 340–350. [Google Scholar] [CrossRef] [PubMed]
- Jiang, Y.J.; Wang, H.X.; Zhuang, W.C.; Chen, H.; Zhang, C.; Li, X.M.; Zhu, G.H.; He, Y. Clinical and Pathologic Features of Myeloid Sarcoma. Zhongguo Shi Yan Xue Ye Xue Za Zhi 2017, 25, 926–931. [Google Scholar] [CrossRef] [PubMed]
- Siraj, F.; Kaur, M.; Dalal, V.; Khanna, A.; Khan, A.A. Myeloid sarcoma: A report of cases at unusual sites. Ger. Med. Sci. 2017, 9, 15. [Google Scholar] [CrossRef]
- Daneshbod, Y.; Medeiros, L.J. Dermal myeloid sarcoma as an initial presentation of acute of acute myeloid leukemia. Blood 2017, 129, 1056. [Google Scholar] [CrossRef] [PubMed]
- Li, H.; Hasserjian, R.P.; Kroft, S.H.; Harrington, A.M.; Wheaton, S.E.; Pildain, A.; Ewalt, M.D.; Gratziner, D.; Hosking, P.; Olteanu, H. Pure Erythroid Leukemia and Erythroblastic Sarcoma Evolving From Chronic Myeloid Neoplasms. Am. J. Clin. Pathol. 2016, 145, 538–551. [Google Scholar] [CrossRef] [PubMed]
- Van Dongen, J.J.M.; Lhermitte, L.; Böttcher, S.; Almeida, J.; van der Velden, V.H.J.; Flores-Montero, J.; Rawston, A.; Asnafi, V.; Lecrevisse, Q.; Lucio, P. EuroFlow antibody panels for standardized n-dimensional flow cytometric immunophenotyping of normal, reactive and malignant leukocytes. Leukemia 2012, 26, 1908–1975. [Google Scholar] [CrossRef] [PubMed]
- Kalina, T.; Flores-Montero, J.; van der Velden, V.H.J.; Martin-Ayuso, M.; Böttcher, S.; Ritgen, M.; Almeida, J.; Lhermitte, L.; Asnafi, V.; Mendonca, A. EuroFlow standardization of flow cytometer instrument setting and immunophenotyping protocols. Leukemia 2012, 26, 1986–2010. [Google Scholar] [CrossRef] [PubMed]
- Wang, H.Y.; Huang, L.J.; Liu, Z.; Garcia, R.; Li, S.; Galliani, C.A. Erythroblastic sarcoma presenting as bilateral ovarian masses in an infant with pure erythroid leukemia. Hum. Pathol. 2011, 42, 749–758. [Google Scholar] [CrossRef] [PubMed]
- Lapadat, R.; Tower, R.L.; Tam, W.; Orazi, A.; Gheorghe, G. Pure Erythroid Leukemia Mimickong Ewing Sarcoma/Primitive Neuroectodermal Tumor in an Infant. Pediatr. Blood Cancer 2016, 63, 935–937. [Google Scholar] [CrossRef] [PubMed]
- Mohanlal, R.D.; Vaughan, J.; Ramparsad, N.; Naidu, G. Do Not Forget the Glycophorin A: An Unusual Case of Myeloid Sarcoma. J. Pediatr. Hematol. Oncol. 2016, 38, 173–176. [Google Scholar] [CrossRef] [PubMed]
- Arber, D.A.; Orazi, A.; Hasserjian, R.; Thiele, J.; Borowitz, M.J.; Le Beau, M.M.; Bloomfield, C.D.; Cazzola, M.; Vardiman, J.V. The 2016 revision to the World Health Organization classification of myeloid neoplasms and acute leukemia. Blood 2016, 127, 2391–2405. [Google Scholar] [CrossRef] [PubMed]
- Hagen, P.A.; Singh, C.; Hart, M.; Blaes, A.H. Differential Diagnosis isolated Myeloid Sarcoma: A case Report and Review of the Literature. Hematol. Rep. 2015, 7, 5709. [Google Scholar] [CrossRef] [PubMed]



© 2017 by the authors. Licensee MDPI, Basel, Switzerland. This article is an open access article distributed under the terms and conditions of the Creative Commons Attribution (CC BY) license (http://creativecommons.org/licenses/by/4.0/).
Share and Cite
Manresa, P.; Tarín, F.; Niveiro, M.; Tasso, M.; Alda, O.; López, F.; Sarmiento, H.; Verdú, J.J.; De Paz, F.; López, S.; et al. A Rare Case of Pure Erythroid Sarcoma in a Pediatric Patient: Case Report and Literature Review. Children 2017, 4, 113. https://doi.org/10.3390/children4120113
Manresa P, Tarín F, Niveiro M, Tasso M, Alda O, López F, Sarmiento H, Verdú JJ, De Paz F, López S, et al. A Rare Case of Pure Erythroid Sarcoma in a Pediatric Patient: Case Report and Literature Review. Children. 2017; 4(12):113. https://doi.org/10.3390/children4120113
Chicago/Turabian StyleManresa, Pablo, Fabián Tarín, María Niveiro, María Tasso, Olga Alda, Francisco López, Héctor Sarmiento, José J. Verdú, Francisco De Paz, Silvia López, and et al. 2017. "A Rare Case of Pure Erythroid Sarcoma in a Pediatric Patient: Case Report and Literature Review" Children 4, no. 12: 113. https://doi.org/10.3390/children4120113
APA StyleManresa, P., Tarín, F., Niveiro, M., Tasso, M., Alda, O., López, F., Sarmiento, H., Verdú, J. J., De Paz, F., López, S., Del Cañizo, M., Such, E., Barragán, E., & Martirena, F. (2017). A Rare Case of Pure Erythroid Sarcoma in a Pediatric Patient: Case Report and Literature Review. Children, 4(12), 113. https://doi.org/10.3390/children4120113

