Fatal Influenza B–MRSA Coinfection in a Healthy Adolescent: Necrotizing Pneumonia, Cytokine Storm, and Multi-Organ Failure
Abstract
1. Introduction
2. Case Presentation
2.1. History
2.2. Examination on Admission
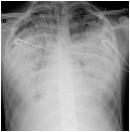
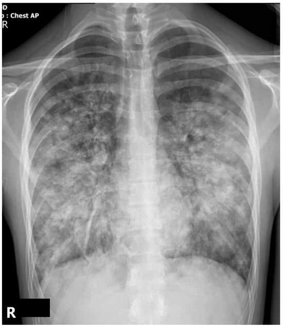
2.3. Case Evolution
3. Discussion
3.1. General Considerations
3.2. Acute Respiratory Distress Syndrome (ARDS)
3.3. Necrotizing Pneumonia (NP) and Diagnostic Challenges
3.4. Antibiotic and Antiviral Therapy
3.5. Hemodynamic Support and Adjunctive Therapies
3.6. Multiorgan Dysfunction Syndrome (MODS)
3.7. Preventive Measures and Recommendations
3.8. Study Limitations
4. Conclusions
Author Contributions
Funding
Institutional Review Board Statement
Informed Consent Statement
Data Availability Statement
Conflicts of Interest
Abbreviations
| ALC | Absolute lymphocyte count |
| ALT | Alanine aminotransferase |
| ANC | Absolute neutrophil count |
| APTT | Activated partial thromboplastin time |
| ARDS | Acute respiratory distress syndrome |
| AST | Aspartate transferase |
| CK | Creatine kinase |
| CRP | C-reactive protein |
| CRRT | Continuous renal replacement therapy |
| CXR | Chest X-ray |
| DIC | Disseminated intravascular coagulation |
| DVT | Deep venous thrombosis |
| eGFR | Estimated glomerular filtration rate |
| ESR | Erythrocyte sedimentation rate |
| Hb | Hemoglobin |
| HCT | Hematocrit |
| ICU | Intensive care unit |
| IL-6 | Interleukin-6 |
| INR | International Normalized Ratio |
| IVIG | Intravenous immunoglobulin |
| LDH | Lactate dehydrogenase |
| MRSA | Methicillin-resistant Staphylococcus aureus |
| PCT | Procalcitonin |
| PEEP | Positive end-expiratory pressure |
| PICU | Pediatric intensive care unit |
| PLT | Platelet count |
| pSOFA | Pediatric Sequential Organ Failure Assessment |
| PT | Prothrombin time |
| PVL | Panton–Valentine leukocidin |
| RBC | Red blood cell |
| RT-PCR | Reverse transcription polymerase chain reaction |
| S aureus | Staphylococcus aureus |
| WBC | White blood cell |
References
- Bhat, Y.R.; Influenza, B. infections in children: A review. World J. Clin. Pediatr. 2020, 9, 44–52. [Google Scholar] [CrossRef] [PubMed] [PubMed Central]
- Morris, D.E.; Cleary, D.W.; Clarke, S.C. Secondary Bacterial Infections Associated with Influenza Pandemics. Front. Microbiol. 2017, 8, 1041. [Google Scholar] [CrossRef] [PubMed] [PubMed Central]
- Bai, B.; Wang, H.; Li, M.; Ma, X.; Zheng, J.; Deng, Q.; Yu, Z. Two Cases of Influenza B Virus-Related Fatal Fulminant Pneumonia Complicated with Staphylococcus aureus Infection in China Diagnosed Using Next-Generation Sequencing (2018). Front. Public Health 2020, 8, 121. [Google Scholar] [CrossRef] [PubMed] [PubMed Central]
- Boettger, B.C.; Rezende, T.F.T.; Teixeira, N.B.; Pignatari, A.C.C.; Kiffer, C.R.V. Case report of a child with influenza and fatal community-associated methicillin-resistant Staphylococcus aureus sepsis. Rev. Soc. Bras. Med. Trop. 2020, 53, e20200050. [Google Scholar] [CrossRef] [PubMed] [PubMed Central]
- Larsen, S.A.H.; Kyhl, K.; Baig, S.; Petersen, A.; Av Steinum, M.R.; Clemmensen, S.; Jensen, E.; Á Steig, T.; Gaini, S. Life-Threatening Necrotizing Pneumonia with Panton-Valentine Leukocidin-Producing, Methicillin-Sensitive Staphylococcus aureus in a Healthy Male Co-Infected with Influenza B. Infect. Dis. Rep. 2021, 14, 12–19. [Google Scholar] [CrossRef] [PubMed] [PubMed Central]
- Kapania, E.M.; Cavallazzi, R. Necrotizing Pneumonia: A Practical Guide for the Clinician. Pathogens 2024, 13, 984. [Google Scholar] [CrossRef] [PubMed] [PubMed Central]
- Smith, H.A.B.; Besunder, J.B.; Betters, K.A.; Johnson, P.N.; Srinivasan, V.; Stormorken, A.; Farrington, E.; Golianu, B.; Godshall, A.J.; Acinelli, L.; et al. 2022 Society of Critical Care Medicine Clinical Practice Guidelines on Prevention and Management of Pain, Agitation, Neuromuscular Blockade, and Delirium in Critically Ill Pediatric Patients with Consideration of the ICU Environment and Early Mobility. Pediatr. Crit. Care Med. 2022, 23, e74–e110. [Google Scholar] [CrossRef] [PubMed]
- Walsh, P.S.; Schnadower, D.; Zhang, Y.; Ramgopal, S.; Shah, S.S.; Wilson, P.M. Association of Early Oseltamivir with Improved Outcomes in Hospitalized Children with Influenza, 2007–2020. JAMA Pediatr. 2022, 176, e223261. [Google Scholar] [CrossRef] [PubMed] [PubMed Central]
- Available online: https://insp.gov.ro/wp-content/uploads/2024/09/Analiza-situatie-BT-2024.pdf (accessed on 7 June 2025).
- Chen, Y.; Li, L.; Wang, C.; Zhang, Y.; Zhou, Y. Necrotizing Pneumonia in Children: Early Recognition and Management. J. Clin. Med. 2023, 12, 2256. [Google Scholar] [CrossRef] [PubMed] [PubMed Central]
- Centers for Disease Control and Prevention. Summary for Clinicians: Influenza Antiviral Medications: Clinical Summary. 2023. Available online: https://www.cdc.gov/flu/hcp/antivirals/summary-clinicians.html#cdc_generic_section_3-overview-of-influenza-antiviral-medications (accessed on 4 June 2025).
- Muthuri, S.G.; Venkatesan, S.; Myles, P.R.; Leonardi-Bee, J.; Al Khuwaitir, T.S.; Al Mamun, A.; Anovadiya, A.P.; Azziz-Baumgartner, E.; Báez, C.; Bassetti, M.; et al. Effectiveness of neuraminidase inhibitors in reducing mortality in patients admitted to hospital with influenza A H1N1pdm09 virus infection: A meta-analysis of individual participant data. Lancet Respir. Med. 2014, 2, 395–404. [Google Scholar] [CrossRef] [PubMed] [PubMed Central]
- Rosario, D.C.; Ambati, S. Extracorporeal Membrane Oxygenation in Children; StatPearls Publishing: Treasure Island, FL, USA, 2025. Available online: https://www.ncbi.nlm.nih.gov/books/NBK572104/ (accessed on 4 June 2025).
- Mosenifar, Z.; Viral Pneumonia Workup. Medscape. Updated 21 July 2024. Available online: https://emedicine.medscape.com/article/300455-workup (accessed on 10 May 2025).
- Robinson, K.M.; McHugh, K.J.; Mandalapu, S.; Clay, M.E.; Lee, B.; Scheller, E.V.; Enelow, R.I.; Chan, Y.R.; Kolls, J.K.; Alcorn, J.F. Influenza A Virus Exacerbates Staphylococcus aureus Pneumonia in Mice by Attenuating Antimicrobial Peptide Production. J. Infect. Dis. 2014, 209, 865–875. [Google Scholar] [CrossRef] [PubMed]
- Matthay, M.A.; Arabi, Y.; Arroliga, A.C.; Bernard, G.; Bersten, A.D.; Brochard, L.J.; Calfee, C.S.; Combes, A.; Daniel, B.M.; Ferguson, N.D.; et al. A New Global Definition of Acute Respiratory Distress Syndrome. Am. J. Respir. Crit. Care Med. 2024, 209, 37–47. [Google Scholar] [CrossRef] [PubMed] [PubMed Central]
- Flerlage, T.; Boyd, D.F.; Meliopoulos, V.; Thomas, P.G.; Schultz-Cherry, S. Influenza virus and SARS-CoV-2: Pathogenesis and host responses in the respiratory tract. Nat. Rev. Microbiol. 2021, 19, 425–441. [Google Scholar] [CrossRef] [PubMed] [PubMed Central]
- Duployez, C.; Le Guern, R.; Tinez, C.; Lejeune, A.L.; Robriquet, L.; Six, S.; Loïez, C.; Wallet, F. Panton-Valentine Leukocidin-Secreting Staphylococcus aureus Pneumonia Complicating COVID-19. Emerg. Infect. Dis. 2020, 26, 1939–1941. [Google Scholar] [CrossRef] [PubMed] [PubMed Central]
- Langouët-Astrié, C.; Oshima, K.; McMurtry, S.A.; Yang, Y.; Kwiecinski, J.M.; LaRivière, W.B.; Kavanaugh, J.S.; Zakharevich, I.; Hansen, K.C.; Shi, D.; et al. The influenza-injured lung microenvironment promotes MRSA virulence, contributing to severe secondary bacterial pneumonia. Cell Rep. 2022, 41, 111721. [Google Scholar] [CrossRef] [PubMed] [PubMed Central]
- Qadir, N.; Sahetya, S.; Munshi, L.; Summers, C.; Abrams, D.; Beitler, J.; Bellani, G.; Brower, R.G.; Burry, L.; Chen, J.T.; et al. An Update on Management of Adult Patients with Acute Respiratory Distress Syndrome: An Official American Thoracic Society Clinical Practice Guideline. Am. J. Respir. Crit. Care Med. 2024, 209, 24–36. [Google Scholar] [CrossRef] [PubMed] [PubMed Central]
- Wang, Q.; Liu, Y.; Fu, Y.; Liu, C.; Li, J.; Dang, H. Analysis of predictors of mortality and clinical outcomes of different subphenotypes for moderate-to-severe pediatric acute respiratory distress syndrome: A prospective single-center study. Front. Pediatr. 2022, 10, 1019314. [Google Scholar] [CrossRef] [PubMed] [PubMed Central]
- Erickson, S. Extra-corporeal membrane oxygenation in paediatric acute respiratory distress syndrome: Overrated or underutilized? Ann. Transl. Med. 2019, 7, 512. [Google Scholar] [CrossRef] [PubMed] [PubMed Central]
- Larose, J.C.; Wang, H.T.; Rakovich, G. Survival with optimal medical management in a cohort of severe necrotizing bacterial lung infections. J. Thorac. Dis. 2023, 15, 3860–3869. [Google Scholar] [CrossRef] [PubMed] [PubMed Central]
- Ali, K.; Bal, S.; Mobashir, A. Role of surgery in the management of necrotizing pneumonia. J. Vis. Surg. 2019, 5, 8. [Google Scholar] [CrossRef]
- Hou, J.; Sun, R.; Zhang, X.; Jia, W.; Li, P.; Song, C. Chest CT characterization of children with necrotizing pneumonia due to Mycoplasma pneumoniae infection. Sci. Rep. 2025, 15, 4283. [Google Scholar] [CrossRef] [PubMed] [PubMed Central]
- Randolph, A.G.; Xu, R.; Novak, T.; Newhams, M.M.; Bubeck Wardenburg, J.; Weiss, S.L.; Sanders, R.C.; Thomas, N.J.; Hall, M.W.; Tarquinio, K.M.; et al. Pediatric Intensive Care Influenza Investigators from the Pediatric Acute Lung Injury and Sepsis Investigator’s Network. Vancomycin Monotherapy May Be Insufficient to Treat Methicillin-resistant Staphylococcus aureus Coinfection in Children with Influenza-related Critical Illness. Clin. Infect. Dis. 2019, 68, 365–372. [Google Scholar] [CrossRef] [PubMed] [PubMed Central]
- Verma, A.K.; Bauer, C.; Yajjala, V.K.; Bansal, S.; Sun, K. Linezolid Attenuates Lethal Lung Damage during Postinfluenza Methicillin-Resistant Staphylococcus aureus Pneumonia. Infect. Immun. 2019, 87, e00538-19. [Google Scholar] [CrossRef] [PubMed] [PubMed Central]
- Uyeki, T.M.; Bernstein, H.H.; Bradley, J.S.; Englund, J.A.; File, T.M.; Fry, A.M.; Gravenstein, S.; Hayden, F.G.; Harper, S.A.; Hirshon, J.M.; et al. Clinical Practice Guidelines by the Infectious Diseases Society of America: 2018 Update on Diagnosis, Treatment, Chemoprophylaxis, and Institutional Outbreak Management of Seasonal Influenza. Clin. Infect. Dis. 2019, 68, 895–902. [Google Scholar] [CrossRef] [PubMed] [PubMed Central]
- Moreno, G.; Rodríguez, A.; Sole-Violán, J.; Martín-Loeches, I.; Díaz, E.; Bodí, M.; Reyes, L.F.; Gómez, J.; Guardiola, J.; Trefler, S.; et al. Early oseltamivir treatment improves survival in critically ill patients with influenza pneumonia. ERJ Open Res. 2021, 7, 00888–02020. [Google Scholar] [CrossRef] [PubMed] [PubMed Central]
- Pedraza-Sánchez, S.; Cruz-González, A.; Palmeros-Rojas, O.; Gálvez-Romero, J.L.; Bellanti, J.A.; Torres, M. Polyvalent human immunoglobulin for infectious diseases: Potential to circumvent antimicrobial resistance. Front. Immunol. 2023, 13, 987231. [Google Scholar] [CrossRef] [PubMed] [PubMed Central]
- Dalponte, R.S.; Heluany, G.C.V.; Michels, M.; Madeira, K.; Prado, C.E. Surgical treatment of necrotizing pneumonia in children: A 10-year assessment. Rev. Col. Bras. Cir. 2020, 47, e20202374, (In Portuguese and English). [Google Scholar] [CrossRef] [PubMed]
- Gujar, A.A.; Patel, A.; Pierre, L. Cavitary Lesions and Pleural Effusion: A Case of Necrotizing Pneumonia in a Young Child. Cureus 2025, 17, e80272. [Google Scholar] [CrossRef] [PubMed] [PubMed Central]
- Steindl, D.; Schroeder, T.; Krannich, A.; Nee, J. Hemoadsorption in the Management of Septic Shock: A Systematic Review and Meta-Analysis. J. Clin. Med. 2025, 14, 2285. [Google Scholar] [CrossRef] [PubMed] [PubMed Central]
- Epstein, D.; Badarni, K.; Bar-Lavie, Y. Impact of Haemoadsorption Therapy on Short Term Mortality and Vasopressor Dependency in Severe Septic Shock with Acute Kidney Injury: A Retrospective Cohort Study. Antibiotics 2024, 13, 1233. [Google Scholar] [CrossRef] [PubMed] [PubMed Central]
- Rihar, E.; Peršič, V.; Jerman, A.; Plankar Srovin, T.; Mlakar, G.; Bezeljak, N.; Pokorn, M.; Fister, P. Hemoperfusion with CytoSorb® in Pediatric Patients: A Monocentric Case Series. J. Clin. Med. 2024, 13, 6587. [Google Scholar] [CrossRef] [PubMed] [PubMed Central]
- Cheung, G.Y.C.; Bae, J.S.; Otto, M. Pathogenicity and virulence of Staphylococcus aureus. Virulence 2021, 12, 547–569. [Google Scholar] [CrossRef] [PubMed] [PubMed Central]
- He, J.; Lin, Y.; Cai, W.; Lin, Y.; Qin, W.; Shao, Y.; Liu, Q. Efficacy of supplemental hemoadsorption therapy on severe and critical patients with COVID-19: An evidence-based analysis. Shock 2023, 60, 333–344. [Google Scholar] [CrossRef] [PubMed] [PubMed Central]
- Wada, T.; Yamakawa, K.; Kabata, D.; Abe, T.; Fujishima, S.; Kushimoto, S.; Mayumi, T.; Ogura, H.; Saitoh, D.; Shiraishi, A.; et al. Sepsis-related coagulopathy treatment based on the disseminated intravascular coagulation diagnostic criteria: A post-hoc analysis of a prospective multicenter observational study. J. Intensive Care 2023, 11, 8. [Google Scholar] [CrossRef] [PubMed] [PubMed Central]
- Unar, A.; Bertolino, L.; Patauner, F.; Gallo, R.; Durante-Mangoni, E. Pathophysiology of Disseminated Intravascular Coagulation in Sepsis: A Clinically Focused Overview. Cells 2023, 12, 2120. [Google Scholar] [CrossRef] [PubMed] [PubMed Central]
- Kuok, M.C.I.; Chan, W.K.Y. Rhabdomyolysis in Children: A State-of-the-Art Review. Children 2025, 12, 492. [Google Scholar] [CrossRef] [PubMed] [PubMed Central]
- Forni, L.; Aucella, F.; Bottari, G.; Büttner, S.; Cantaluppi, V.; Fries, D.; Kielstein, J.; Kindgen-Milles, D.; Krenn, C.; Kribben, A.; et al. Hemoadsorption therapy for myoglobin removal in rhabdomyolysis: Consensus of the hemoadsorption in rhabdomyolysis task force. BMC Nephrol. 2024, 25, 247. [Google Scholar] [CrossRef] [PubMed] [PubMed Central]
- Wang, Z.; Wang, Q.; Chen, J.; Cai, L. Rhabdomyolysis in intensive care unit-distinctive clinical indicators and prognosis. BMC Anesthesiol. 2025, 25, 84. [Google Scholar] [CrossRef] [PubMed] [PubMed Central]
- Sellers, S.A.; Hagan, R.S.; Hayden, F.G.; Fischer, W.A., 2nd. The hidden burden of influenza: A review of the extra-pulmonary complications of influenza infection. Influenza Other Respir. Viruses 2017, 11, 372–393. [Google Scholar] [CrossRef] [PubMed] [PubMed Central]
- Paueksakon, P.; Najafian, B.; Alpers, C.E.; Fogo, A.B. AJKD Atlas of Renal Pathology: IgA-Dominant Infection-Related Glomerulonephritis. Am. J. Kidney Dis. 2024, 83, e1–e2. [Google Scholar] [CrossRef] [PubMed]
- Tamargo, C.; Hanouneh, M.; Cervantes, C.E. Treatment of Acute Kidney Injury: A Review of Current Approaches and Emerging Innovations. J. Clin. Med. 2024, 13, 2455. [Google Scholar] [CrossRef] [PubMed] [PubMed Central]
- Kamin, W.; Adams, O.; Kardos, P.; Matthys, H.; Meister, N.; Strassburg, C.P. Liver Involvement in Acute Respiratory Infections in Children and Adolescents-Results of a Non-interventional Study. Front. Pediatr. 2022, 10, 840008. [Google Scholar] [CrossRef] [PubMed] [PubMed Central]
- Guo, Y.; Guo, W.; Chen, H.; Sun, J.; Yin, Y. Mechanisms of sepsis-induced acute liver injury: A comprehensive review. Front. Cell Infect. Microbiol. 2025, 15, 1504223. [Google Scholar] [CrossRef] [PubMed] [PubMed Central]
- Saini, K.; Bolia, R.; Bhat, N.K. Incidence, predictors and outcome of sepsis-associated liver injury in children: A prospective observational study. Eur. J. Pediatr. 2022, 181, 1699–1707. [Google Scholar] [CrossRef] [PubMed] [PubMed Central]
- Bhatt, H.; Rao, G.S. Management of Acute Liver Failure: A Pediatric Perspective. Curr Pediatr Rep. 2018, 6, 246–257. [Google Scholar] [CrossRef] [PubMed] [PubMed Central]
- Nesseler, N.; Launey, Y.; Aninat, C.; White, J.; Corlu, A.; Pieper, K.; Mallédant, Y.; Seguin, P. Liver Dysfunction Is Associated with Long-Term Mortality in Septic Shock. Am. J. Respir. Crit. Care Med. 2016, 193, 335–337. [Google Scholar] [CrossRef] [PubMed]
- Balamuth, F.; Scott, H.F.; Weiss, S.L.; Webb, M.; Chamberlain, J.M.; Bajaj, L.; Depinet, H.; Grundmeier, R.W.; Campos, D.; Deakyne Davies, S.J.; et al. Validation of the Pediatric Sequential Organ Failure Assessment Score and Evaluation of Third International Consensus Definitions for Sepsis and Septic Shock Definitions in the Pediatric Emergency Department. JAMA Pediatr. 2022, 176, 672–678. [Google Scholar] [CrossRef] [PubMed] [PubMed Central]
- Mohamed El-Mashad, G.; Said El-Mekkawy, M.; Helmy Zayan, M. La escala pediátrica de evaluación del fallo multiorgánico secuencial (pSOFA): Una nueva escala de predicción de la mortalidad en la unidad de cuidados intensivos pediátricos [Paediatric sequential organ failure assessment (pSOFA) score: A new mortality prediction score in the paediatric intensive care unit]. An. Pediatr. (Engl. Ed.) 2020, 92, 277–285. (In Spanish) [Google Scholar] [CrossRef] [PubMed]
- Chang, D.; Dela Cruz, C.; Sharma, L. Beneficial and Detrimental Effects of Cytokines during Influenza and COVID-19. Viruses 2024, 16, 308. [Google Scholar] [CrossRef] [PubMed] [PubMed Central]
- Zawahir, S.; Le, H.T.T.; Nguyen, T.A.; Beardsley, J.; Dang, A.D.; Bernays, S.; Viney, K.; Cao, T.H.; Drabarek, D.; Tran, H.H.; et al. Inappropriate supply of antibiotics for common viral infections by community pharmacies in Vietnam: A standardised patient survey. Lancet Reg. Health West. Pac. 2022, 23, 100447. [Google Scholar] [CrossRef] [PubMed] [PubMed Central]
- Han, C.; Zhang, T.; Zhao, Y.; Dong, L.; Li, X.; Zheng, J.; Guo, W.; Xu, Y.; Cai, C. Successful treatment of pleural empyema and necrotizing pneumonia caused by methicillin-resistant Staphylococcus aureus infection following influenza A virus infection: A case report and literature review. Front. Pediatr. 2022, 10, 959419. [Google Scholar] [CrossRef] [PubMed] [PubMed Central]
- Prista-Leão, B.; Abreu, I.; Duro, R.; Silva-Pinto, A.; Ceia, F.; Andrade, P.; Sobrinho-Simões, J.; Tavares, M.; Pereira, J.M.; Santos, L.; et al. Panton-Valentine Leukocidin-Producing Staphylococcus aureus Infection: A Case Series. Infect. Dis. Rep. 2020, 12, 61–69. [Google Scholar] [CrossRef] [PubMed] [PubMed Central]
- Available online: https://www.cdc.gov/mmwr/preview/mmwrhtml/mm5614a1.htm (accessed on 11 May 2025).
- Ju, G.; Zhang, Y.; Ye, C.; Liu, Q.; Sun, H.; Zhang, Z.; Huang, X.; Jiang, Y.; Huang, Q. Comparative effectiveness and safety of six antibiotics in treating MRSA infections: A network meta-analysis. Int. J. Infect. Dis. 2024, 146, 107109. [Google Scholar] [CrossRef] [PubMed]
- Hageman, J.C.; Uyeki, T.M.; Francis, J.S.; Jernigan, D.B.; Wheeler, J.G.; Bridges, C.B.; Barenkamp, S.J.; Sievert, D.M.; Srinivasan, A.; Doherty, M.C.; et al. Severe community-acquired pneumonia due to Staphylococcus aureus, 2003–2004 influenza season. Emerg. Infect. Dis. 2006, 12, 894–899. [Google Scholar] [CrossRef] [PubMed] [PubMed Central]



| Reference Values | Day 1 | Day 2 | Day 3 | Day 4 | Day 5 | Day 6 |
|---|---|---|---|---|---|---|
| WBC (4–10.5 × 103/uL) | 1.73 | 1.67 | 1.65 | 20.09 | 38.17 | 45.12 |
| ANC (1.8–8 × 103/uL) | 0.80 | 1.39 | 2.17 | 19.38 | 36.77 | 40.88 |
| ALC (1.5–6.5 × 103/uL) | 0.69 | 0.11 | 0.24 | 0.6 | 1.06 | 1.71 |
| RBC (4.2–5.6 × 106/uL) | 5.13 | 4.17 | 3.52 | 3.09 | 3.14 | 2.70 |
| Hb (12.5–16.1 g/dL) | 16 | 13.34 | 10.9 | 9.7 | 9.8 | 8.9 |
| HCT (36–47%) | 46.5 | 36.3 | 32.4 | 28.9 | 29.4 | 26.1 |
| PLT (150–450 × 103/uL) | 56 | 20.8 | 13.9 | 29 | 28 | 63 |
| CRP (0–0.5 mg/dL) | 25.29 | 33.37 | 37.81 | 36.88 | 34.84 | 28.07 |
| PCT (0–0.5 ng/mL) | 675 | 1840 | 932 | 1210 | 904 | 349 |
| IL 6 (0–17 pg/mL) | >5000 | >8365 | >8365 | 3657.24 | ||
| Ferritin (30–400 ng/mL) | 980 | 1003.87 | 773.77 | 806.56 | ||
| ESR (2–12 mm/h) | 4 | 16 | 30 | 70 | 25 |
| Reference Values | Day 1 | Day 2 | Day 3 | Day 4 | Day 5 | Day 6 |
|---|---|---|---|---|---|---|
| Fibrinogen (150–400) | 238 | 303 | 401 | 696 | 744 | 329 |
| D-dimer (0–0.55 mg/L) | 17 | 17.30 | 16.67 | 10.60 | 5.08 | |
| Prothrombin time (10.6–14 s) | 18.1 | 23.7 | 21.8 | 12.8 | 11.5 | 25 |
| INR (0.9–1.13) | 1.61 | 2.18 | 1.98 | 1.09 | 0.97 | 2.31 |
| Prothrombin concentration (70–130%) | 45.6 | 32.3 | 71.2 | 95.7 | 106.9 | 30.2 |
| APTT (21–40 s) | 36.3 | 39.9 | 79 | 32.8 | 25.2 | 31.9 |
| Reference Values | Day 1 | Day 2 | Day 3 | Day 4 | Day 5 | Day 6 |
|---|---|---|---|---|---|---|
| Urea (11–45 mg/dL) | 41.3 | 65.7 | 63.2 | 70.7 | 54.9 | 37.1 |
| Creatinine (0.5–0.8 mg/dL) | 1.50 | 2.30 | 2.46 | 2.80 | 2.35 | 2.27 |
| eGFR mL/min/1.73 m2 | 49.01 | 32.32 | 33.34 | 29.88 | 33.39 | 32.39 |
| Osmolarity (261–280 mosm/kg) | 273.082 | 282.54 | ||||
| Direct bilirubin (0–0.3 mg/dL) | 0.56 | 0.96 | 1.51 | 1.68 | 1.55 | |
| Indirect bilirubin (0–1.1 mg/dL) | 0.17 | 0.18 | 0.22 | 0.21 | 0.15 | |
| AST (17–59 U/L) | 63 | 549 | 921 | 1350 | 1467 | 10,586 |
| ALT (4–44 U/L) | 27 | 78 | 175 | 240 | 268 | 2569 |
| CK (55–370 U/L) | 661 | 35,841 | 56,422 | 95,953 | 107,818 | 104,280 |
| LDH (105–235 U/L) | 631 | 3494 | 3245 |
Disclaimer/Publisher’s Note: The statements, opinions and data contained in all publications are solely those of the individual author(s) and contributor(s) and not of MDPI and/or the editor(s). MDPI and/or the editor(s) disclaim responsibility for any injury to people or property resulting from any ideas, methods, instructions or products referred to in the content. |
© 2025 by the authors. Licensee MDPI, Basel, Switzerland. This article is an open access article distributed under the terms and conditions of the Creative Commons Attribution (CC BY) license (https://creativecommons.org/licenses/by/4.0/).
Share and Cite
Profir, I.; Popescu, C.-M.; Nechita, A. Fatal Influenza B–MRSA Coinfection in a Healthy Adolescent: Necrotizing Pneumonia, Cytokine Storm, and Multi-Organ Failure. Children 2025, 12, 766. https://doi.org/10.3390/children12060766
Profir I, Popescu C-M, Nechita A. Fatal Influenza B–MRSA Coinfection in a Healthy Adolescent: Necrotizing Pneumonia, Cytokine Storm, and Multi-Organ Failure. Children. 2025; 12(6):766. https://doi.org/10.3390/children12060766
Chicago/Turabian StyleProfir, Irina, Cristina-Mihaela Popescu, and Aurel Nechita. 2025. "Fatal Influenza B–MRSA Coinfection in a Healthy Adolescent: Necrotizing Pneumonia, Cytokine Storm, and Multi-Organ Failure" Children 12, no. 6: 766. https://doi.org/10.3390/children12060766
APA StyleProfir, I., Popescu, C.-M., & Nechita, A. (2025). Fatal Influenza B–MRSA Coinfection in a Healthy Adolescent: Necrotizing Pneumonia, Cytokine Storm, and Multi-Organ Failure. Children, 12(6), 766. https://doi.org/10.3390/children12060766

