Pulmonary Benign Metastasizing Leiomyoma: A Retrospective Analysis of Seven Cases Including a Rare Coexistence with In Situ Mucinous Adenocarcinoma
Abstract
1. Introduction
2. Materials and Methods
2.1. Study Design and Patients
2.2. Data Collection
2.3. Statistical Analysis
3. Results
3.1. Characteristics of the Patients
3.2. Radiological Imaging Characteristics
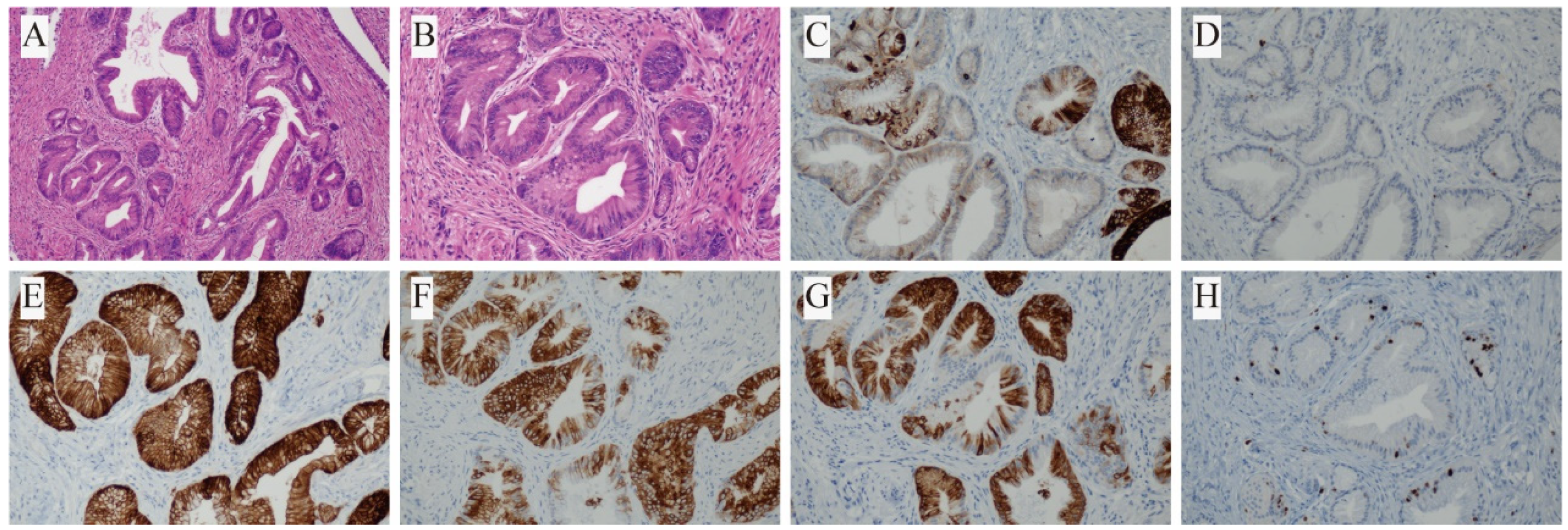
3.3. Surgical Procedures and Pathological Findings
3.4. Adjuvant Treatment and Follow-Up
4. Discussion
4.1. Clinical Manifestations and Pathogenesis
4.2. Diagnosis and Differentiation
4.3. Treatment and Prognosis
5. Conclusions
Author Contributions
Funding
Institutional Review Board Statement
Informed Consent Statement
Data Availability Statement
Acknowledgments
Conflicts of Interest
Abbreviations
| BML | Benign metastasizing leiomyoma |
| PBML | Pulmonary benign metastasizing leiomyoma |
| VATS | Video-assisted thoracoscopic surgery |
| CT | Computed tomography |
| CTPB | Computed tomography-guided percutaneous biopsy |
| ER | Estrogen receptor |
| PR | Progesterone receptor |
| SMA | Smooth muscle actin |
| PET/CT | Positron emission tomography–computed tomography |
| VIM | Vimentin |
| LI | Labeling index |
| FISH | Fluorescence in situ hybridization |
| GnRH | Gonadotropin-releasing hormone |
| MDT | Multidisciplinary team |
| 18F-FDG | Fluorine-18 fluorodeoxyglucose |
| 68Ga-FAPI | Gallium-68 fibroblast-activating protein inhibitor |
References
- Steiner, P.E. Metastasizing fibroleiomyoma of the uterus: Report of a case and review of the literature. Am. J. Pathol. 1939, 15, 89–110.7. [Google Scholar]
- Pacheco-Rodriguez, G.; Taveira-DaSilva, A.M.; Moss, J. Benign Metastasizing Leiomyoma. Clin. Chest Med. 2016, 37, 589–595. [Google Scholar] [CrossRef] [PubMed]
- Tong, T.; Fan, Q.; Wang, Y.; Li, Y. Benign metastasizing uterine leiomyoma with lymphatic and pulmonary metastases: A case report and literature review. BMC Womens Health 2023, 23, 154. [Google Scholar] [CrossRef] [PubMed]
- Chouchane, A.; Boughizane, S.; Nouira, M.; Remadi, S. Benign Metastasizing Leiomyoma: New insights into a rare disease with an obscure etiopathogenesis. Diagn. Pathol. 2024, 19, 2. [Google Scholar] [CrossRef] [PubMed]
- Fu, Y.; Li, H.; Tian, B.; Hu, B. Pulmonary benign metastasizing leiomyoma: A case report and review of the literature. World J. Surg. Oncol. 2012, 10, 268. [Google Scholar] [CrossRef]
- Wei, X.W.; Zhou, D.M.; Han, L.; Lin, Y.; Xi, X.W.; Xiang, J.D. Pulmonary benign metastasizing leiomyoma: A case description and analysis of the literature. Quant. Imaging Med. Surg. 2024, 14, 5224–5233. [Google Scholar] [CrossRef]
- Abramson, S.; Gilkeson, R.C.; Goldstein, J.D.; Woodard, P.K.; Eisenberg, R.; Abramson, N. Benign metastasizing leiomyoma: Clinical, imaging, and pathologic correlation. Am. J. Roentgenol. 2001, 176, 1409–1413. [Google Scholar] [CrossRef]
- Wei, W.T.; Chen, P.C. Benign metastasizing leiomyoma of the lung: A case report and literature review. Oncol. Lett. 2015, 10, 307–312. [Google Scholar] [CrossRef]
- Jautzke, G.; Müller-Ruchholtz, E.; Thalmann, U. Immunohistological detection of estrogen and progesterone receptors in multiple and well differentiated leiomyomatous lung tumors in women with uterine leiomyomas (so-called benign metastasizing leiomyomas). A report on 5 cases. Pathol. Res. Pract. 1996, 192, 215–223. [Google Scholar] [CrossRef]
- Abu-Rustum, N.R.; Curtin, J.P.; Burt, M.; Jones, W.B. Regression of uterine low-grade smooth-muscle tumors metastatic to the lung after oophorectomy. Obstet. Gynecol. 1997, 89, 850–852. [Google Scholar] [CrossRef]
- Kayser, K.; Zink, S.; Schneider, T.; Dienemann, H.; André, S.; Kaltner, H.; Schüring, M.P.; Zick, Y.; Gabius, H.J. Benign metastasizing leiomyoma of the uterus: Documentation of clinical, immunohistochemical and lectin-histochemical data of ten cases. Virchows Arch. 2000, 437, 284–292. [Google Scholar] [CrossRef]
- Barnaś, E.; Książek, M.; Raś, R.; Skręt, A.; Skręt-Magierło, J.; Dmoch-Gajzlerska, E. Benign metastasizing leiomyoma: A review of current literature in respect to the time and type of previous gynecological surgery. PLoS ONE 2017, 12, e0175875. [Google Scholar] [CrossRef]
- Stewart, E.A.; Cookson, C.L.; Gandolfo, R.A.; Schulze-Rath, R. Epidemiology of uterine fibroids: A systematic review. BJOG 2017, 124, 1501–1512. [Google Scholar] [CrossRef]
- Ağaçkiran, Y.; Findik, G.; Ustün, L.N.; Aydoğdu, K.; Kaya, S. Pulmonary Benign Metastasizing Leiomyoma: An Extremely Rare Case. Turk Patoloji Derg. 2014, 32, 193–195. [Google Scholar] [CrossRef][Green Version]
- Chen, S.; Xu, G.; Ye, W.; Liu, C. Pulmonary benign metastasizing leiomyoma with concurrent granulomatous inflammation: A diagnostic challenge. Quant. Imaging Med. Surg. 2024, 14, 2114–2119. [Google Scholar] [CrossRef] [PubMed]
- Naito, M.; Kobayashi, T.; Yoshida, M.; Fujiwara, K.; Onishi, M.; Fujiwara, A.; Takagi, T.; Kobayashi, H.; Gabazza, E.C.; Takei, Y.; et al. Solitary pulmonary nodule of benign metastasizing leiomyoma associated with primary lung cancer: A case report. J. Med. Case Rep. 2011, 5, 500. [Google Scholar] [CrossRef]
- Chen, A.; Sun, T.; Pu, X.; Li, H.; Yu, T.; Yu, H. Concurrent pulmonary benign metastasizing leiomyoma and primary lung adenocarcinoma: A case report. AME Case Rep. 2018, 2, 18. [Google Scholar] [CrossRef]
- Tang, E.K.; Wu, F.Z. Benign Metastasising Leiomyomatosis of the Lung Presenting as Progressive Pneumothorax. Heart Lung Circ. 2019, 28, e94–e95. [Google Scholar] [CrossRef]
- Awonuga, A.O.; Shavell, V.I.; Imudia, A.N.; Rotas, M.; Diamond, M.P.; Puscheck, E.E. Pathogenesis of benign metastasizing leiomyoma: A review. Obstet. Gynecol. Surv. 2010, 65, 189–195. [Google Scholar] [CrossRef]
- Ogawa, M.; Hara, M.; Ozawa, Y.; Moriyama, S.; Yano, M.; Shimizu, S.; Shibamoto, Y. Benign metastasizing leiomyoma of the lung with malignant transformation mimicking mediastinal tumor. Clin. Imaging 2011, 35, 401–404. [Google Scholar] [CrossRef]
- AlQudah, M.A.; Hamouri, S.; Haddad, H.K.; Tawalbeh, R.; Haddad, H.K. Pulmonary benign metastasizing leiomyoma: A report of two cases. Future Sci. OA 2022, 8, Fso814. [Google Scholar] [CrossRef]
- Fan, R.; Feng, F.; Yang, H.; Xu, K.; Li, S.; You, Y.; Wan, X.; Zhu, L. Pulmonary benign metastasizing leiomyomas: A case series of 23 patients at a single facility. BMC Pulm. Med. 2020, 20, 292. [Google Scholar] [CrossRef] [PubMed]
- Wojtyś, M.E.; Kacalska-Janssen, O.; Ptaszyński, K.; Lisowski, P.; Kunc, M.; Wójcik, J.; Grodzki, T. Benign Metastasizing Leiomyoma of the Lung: Diagnostic Process and Treatment Based on Three Case Reports and a Review of the Literature. Biomedicines 2022, 10, 2465. [Google Scholar] [CrossRef] [PubMed]
- Lin, Y.; Chu, J.; Qiao, W.; Yu, C.; Gao, C. Pulmonary benign metastasizing leiomyoma presenting as acute hypoxemic respiratory failure: A case report. BMC Pulm. Med. 2024, 24, 376. [Google Scholar] [CrossRef] [PubMed]
- Su, H.; Fan, R.; Yang, H.; You, Y.; Zhu, L.; Feng, F. Pulmonary benign metastasizing leiomyoma in patients aged 45 years and younger: Clinical features and novelty in treatment. BMC Pulm. Med. 2023, 23, 168. [Google Scholar] [CrossRef]
- Lee, H.J.; Choi, J.; Kim, K.R. Pulmonary benign metastasizing leiomyoma associated with intravenous leiomyomatosis of the uterus: Clinical behavior and genomic changes supporting a transportation theory. Int. J. Gynecol. Pathol. 2008, 27, 340–345. [Google Scholar] [CrossRef]
- Song, K.S.; Keum, D.Y.; Hwang, I.S. Malignant Transformation of Pulmonary Benign Metastasizing Leiomyoma. Korean J. Thorac. Cardiovasc. Surg. 2017, 50, 59–63. [Google Scholar] [CrossRef][Green Version]
- Ahvenainen, T.; Khamaiseh, S.; Alkodsi, A.; Mehine, M.; Nevala, R.; Äyräväinen, A.; Bützow, R.; Vahteristo, P. Lung metastases and subsequent malignant transformation of a fumarate hydratase -deficient uterine leiomyoma. Exp. Mol. Pathol. 2022, 126, 104760. [Google Scholar] [CrossRef]
- Wang, D.; Yang, Q.; Wang, H.; Liu, C. Malignant transformation of hepatic endometriosis: A case report and literature review. BMC Womens Health 2021, 21, 249. [Google Scholar] [CrossRef]
- Nezhat, F.; Apostol, R.; Mahmoud, M.; el Daouk, M. Malignant transformation of endometriosis and its clinical significance. Fertil. Steril. 2014, 102, 342–344. [Google Scholar] [CrossRef]
- Mikhaleva, L.M.; Davydov, A.I.; Patsap, O.I.; Mikhaylenko, E.V.; Nikolenko, V.N.; Neganova, M.E.; Klochkov, S.G.; Somasundaram, S.G.; Kirkland, C.E.; Aliev, G. Malignant Transformation and Associated Biomarkers of Ovarian Endometriosis: A Narrative Review. Adv. Ther. 2020, 37, 2580–2603. [Google Scholar] [CrossRef]
- Dossegger, J.M.; Carneiro, L.H.; Rodrigues, R.S.; Barreto, M.M.; Marchiori, E. Pulmonary benign metastasizing leiomyoma presenting as small, diffuse nodules. J. Bras. Pneumol. 2019, 45, e20180318. [Google Scholar] [CrossRef]
- Sawai, Y.; Shimizu, T.; Yamanaka, Y.; Niki, M.; Nomura, S. Benign metastasizing leiomyoma and 18-FDG-PET/CT: A case report and literature review. Oncol. Lett. 2017, 14, 3641–3646. [Google Scholar] [CrossRef] [PubMed][Green Version]
- Has Simsek, D.; Kuyumcu, S.; Ozkan, Z.G.; Vuralli Bakkaloglu, D.; Bayram, A.; Topuz, S.; Aydıner, A.; Sanli, Y. Demonstration of in vivo estrogen receptor status with 16α-[(18)F]fluoro-17ß-oestradiol (FES) PET/CT in a rare case of benign metastasizing leiomyoma. Eur. J. Nucl. Med. Mol. Imaging 2021, 48, 4101–4102. [Google Scholar] [CrossRef] [PubMed]
- Schwarzbach, M.H.; Dimitrakopoulou-Strauss, A.; Willeke, F.; Hinz, U.; Strauss, L.G.; Zhang, Y.M.; Mechtersheimer, G.; Attigah, N.; Lehnert, T.; Herfarth, C. Clinical value of [18-F]] fluorodeoxyglucose positron emission tomography imaging in soft tissue sarcomas. Ann. Surg. 2000, 231, 380–386. [Google Scholar] [CrossRef] [PubMed]
- Nagamatsu, A.; Umesaki, N.; Li, L.; Tanaka, T. Use of 18F-fluorodeoxyglucose positron emission tomography for diagnosis of uterine sarcomas. Oncol. Rep. 2010, 23, 1069–1076. [Google Scholar] [CrossRef][Green Version]
- Fang, T.; Li, C.; Tian, Y.; Xiao, Z.; He, Y. 68 Ga-FAPI PET/CT Visualized Benign Metastasizing Leiomyoma with Bone Invasion. Clin. Nucl. Med. 2024, 49, e687–e688. [Google Scholar] [CrossRef]
- Wu, S.; Cai, J.; Chen, Q.; Wu, J.; Chen, H. Increased 68 Ga-FAPI Uptake in Benign Metastasizing Leiomyoma. Clin. Nucl. Med. 2023, 48, 809–811. [Google Scholar] [CrossRef]
- Jolissaint, J.S.; Kilbourne, S.K.; LaFortune, K.; Patel, M.; Lau, C.L. Benign metastasizing leiomyomatosis (BML): A rare cause of cavitary and cystic pulmonary nodules. Respir. Med. Case Rep. 2015, 16, 122–124. [Google Scholar] [CrossRef][Green Version]
- Vieira Naia, J.; Pimenta, D.; Paiva, A.; Costa, R.; Souto de Moura, C.; Pereira, R.; Cruz, J.F. When benign leiomyomas metastasize to the lungs—A case report. Monaldi Arch. Chest Dis. 2023, 93, 2488. [Google Scholar] [CrossRef]
- Pitts, S.; Oberstein, E.M.; Glassberg, M.K. Benign metastasizing leiomyoma and lymphangioleiomyomatosis: Sex-specific diseases? Clin. Chest Med. 2004, 25, 343–360. [Google Scholar] [CrossRef]
- Ataya, A.; Brantly, M.; Riley, L. Lymphangioleiomyomatosis (LAM). Am. J. Respir. Crit. Care Med. 2018, 198, 7–8. [Google Scholar] [CrossRef] [PubMed]
- Sparić, R.; Andjić, M.; Babović, I.; Nejković, L.; Mitrović, M.; Štulić, J.; Pupovac, M.; Tinelli, A. Molecular Insights in Uterine Leiomyosarcoma: A Systematic Review. Int. J. Mol. Sci. 2022, 23, 9728. [Google Scholar] [CrossRef]
- Piórek, A.; Płużański, A.; Wiśniewski, P.; Tabor, S.; Winiarczyk, K.; Knetki-Wróblewska, M.; Kowalski, D.M.; Krzakowski, M. Pulmonary Benign Metastasizing Leiomyoma in a Postmenopausal Woman: A Case Report and Review of the Literature. Diseases 2024, 12, 181. [Google Scholar] [CrossRef] [PubMed]
- Kadiyala, D.; Sly, M.; Montecalvo, J.; Vummidi, D. Benign Metastasizing Leiomyoma in a Patient with No Known History of Uterine Leiomyomas. Cureus 2024, 16, e68314. [Google Scholar] [CrossRef] [PubMed]
- Arif, S.; Ganesan, R.; Spooner, D. Intravascular leiomyomatosis and benign metastasizing leiomyoma: An unusual case. Int. J. Gynecol. Cancer 2006, 16, 1448–1450. [Google Scholar] [CrossRef]
- Lewis, E.I.; Chason, R.J.; DeCherney, A.H.; Armstrong, A.; Elkas, J.; Venkatesan, A.M. Novel hormone treatment of benign metastasizing leiomyoma: An analysis of five cases and literature review. Fertil. Steril. 2013, 99, 2017–2024. [Google Scholar] [CrossRef]
- Alessi, G.; Lemmerling, M.; Vereecken, L.; De Waele, L. Benign metastasizing leiomyoma to skull base and spine: A report of two cases. Clin. Neurol. Neurosurg. 2003, 105, 170–174. [Google Scholar] [CrossRef]
- Jiang, J.; He, M.; Hu, X.; Ni, C.; Yang, L. Deep sequencing reveals the molecular pathology characteristics between primary uterine leiomyoma and pulmonary benign metastasizing leiomyoma. Clin. Transl. Oncol. 2018, 20, 1080–1086. [Google Scholar] [CrossRef]
- Ottlakan, A.; Borda, B.; Lazar, G.; Tiszlavicz, L.; Furak, J. Treatment decision based on the biological behavior of pulmonary benign metastasizing leiomyoma. J. Thorac. Dis. 2016, 8, E672–E676. [Google Scholar] [CrossRef]
- Miller, J.; Shoni, M.; Siegert, C.; Lebenthal, A.; Godleski, J.; McNamee, C. Benign Metastasizing Leiomyomas to the Lungs: An Institutional Case Series and a Review of the Recent Literature. Ann. Thorac. Surg. 2016, 101, 253–258. [Google Scholar] [CrossRef]
- Nasu, K.; Tsuno, A.; Takai, N.; Narahara, H. A case of benign metastasizing leiomyoma treated by surgical castration followed by an aromatase inhibitor, anastrozole. Arch. Gynecol. Obstet. 2009, 279, 255–257. [Google Scholar] [CrossRef]
- Sarrel, P.M.; Sullivan, S.D.; Nelson, L.M. Hormone replacement therapy in young women with surgical primary ovarian insufficiency. Fertil. Steril. 2016, 106, 1580–1587. [Google Scholar] [CrossRef]
- Awonuga, A.O.; Rotas, M.; Imudia, A.N.; Choi, C.; Khulpateea, N. Recurrent benign metastasizing leiomyoma after hysterectomy and bilateral salpingo-oophorectomy. Arch. Gynecol. Obstet. 2008, 278, 373–376. [Google Scholar] [CrossRef]




| Case | Age (Years) | Symptoms | Tumor Position | Max. Tumor Diameter (mm) | Active Surveillance Period | Gynecological Surgery | Time Since Hysterectomy (Years) | Diagnostic Method | Concurrent Tumors | Adjuvant Therapy | Follow-Up (Months) | Recurrence/Metastasis |
|---|---|---|---|---|---|---|---|---|---|---|---|---|
| 1 | 40 | Cough and sputum | Bilateral | 21 | 7 months | Total hysterectomy + right adnexectomy | 1.5 | VATS | None | Left adnexectomy | 36 | Pelvic and IVC metastasis |
| 2 | 52 | No symptoms | RLL | 9 | 1 week | Total hysterectomy + bilateral adnexectomy | 8 | VATS | None | None | 44 | None |
| 3 | 51 | No symptoms | RLL | 10 | 1 month | None | None | VATS | None | None | 36 | None |
| 4 | 47 | No symptoms | Bilateral | 13 | 1 month | None | None | VATS | None | None | 20 | None |
| 5 | 58 | No symptoms | RML | 30 | 5 years | Total hysterectomy | 16 | VATS | In situ adenocarcinoma within PBML | None | 16 | None |
| 6 | 47 | No symptoms | Bilateral | 28 | 2 weeks | Total hysterectomy | 19 | CT-guided percutaneous lung biopsy | None | GnRH | 16 | None |
| 7 | 47 | Cough and sputum | Bilateral | 46 | 1 month | Total hysterectomy | 21 | VATS | None | None | 14 | None |
| Case | VIM | SMA | Desmin | Caldesmon | ER | PR | Ki-67 LI |
|---|---|---|---|---|---|---|---|
| 1 | + | + | + | NA | + | + | 1% |
| 2 | + | + | + | + | + | + | 10% |
| 3 | NA | + | + | + | + | + | 1% |
| 4 | NA | + | + | NA | Weak + | NA | <1% |
| 5 | NA | + | + | + | − | Weak + | 3% |
| 6 | NA | + | + | + | + | NA | 2% |
| 7 | NA | + | + | + | + | + | 2% |
Disclaimer/Publisher’s Note: The statements, opinions and data contained in all publications are solely those of the individual author(s) and contributor(s) and not of MDPI and/or the editor(s). MDPI and/or the editor(s) disclaim responsibility for any injury to people or property resulting from any ideas, methods, instructions or products referred to in the content. |
© 2025 by the authors. Licensee MDPI, Basel, Switzerland. This article is an open access article distributed under the terms and conditions of the Creative Commons Attribution (CC BY) license (https://creativecommons.org/licenses/by/4.0/).
Share and Cite
Ye, Z.; Wu, X.; Fang, C.; Zhu, M. Pulmonary Benign Metastasizing Leiomyoma: A Retrospective Analysis of Seven Cases Including a Rare Coexistence with In Situ Mucinous Adenocarcinoma. Biomedicines 2025, 13, 1971. https://doi.org/10.3390/biomedicines13081971
Ye Z, Wu X, Fang C, Zhu M. Pulmonary Benign Metastasizing Leiomyoma: A Retrospective Analysis of Seven Cases Including a Rare Coexistence with In Situ Mucinous Adenocarcinoma. Biomedicines. 2025; 13(8):1971. https://doi.org/10.3390/biomedicines13081971
Chicago/Turabian StyleYe, Zeguang, Xi Wu, Can Fang, and Min Zhu. 2025. "Pulmonary Benign Metastasizing Leiomyoma: A Retrospective Analysis of Seven Cases Including a Rare Coexistence with In Situ Mucinous Adenocarcinoma" Biomedicines 13, no. 8: 1971. https://doi.org/10.3390/biomedicines13081971
APA StyleYe, Z., Wu, X., Fang, C., & Zhu, M. (2025). Pulmonary Benign Metastasizing Leiomyoma: A Retrospective Analysis of Seven Cases Including a Rare Coexistence with In Situ Mucinous Adenocarcinoma. Biomedicines, 13(8), 1971. https://doi.org/10.3390/biomedicines13081971
