Histopathological Analysis of Vacuum-Assisted Breast Biopsy in Relation to Microcalcification Findings on Mammography: A Pictorial Review
Abstract
1. Introduction
2. BI-RADS Classification and Management
3. Diagnostic Interventional Procedures
3.1. Fine-Needle Aspiration Cytology (FNAC)
3.2. US-Guided Core Needle Biopsy (CNB)
3.3. Vacuum-Assisted Breast Biopsy (VABB) Under Stereotactic Guidance
4. Histopathological Classification
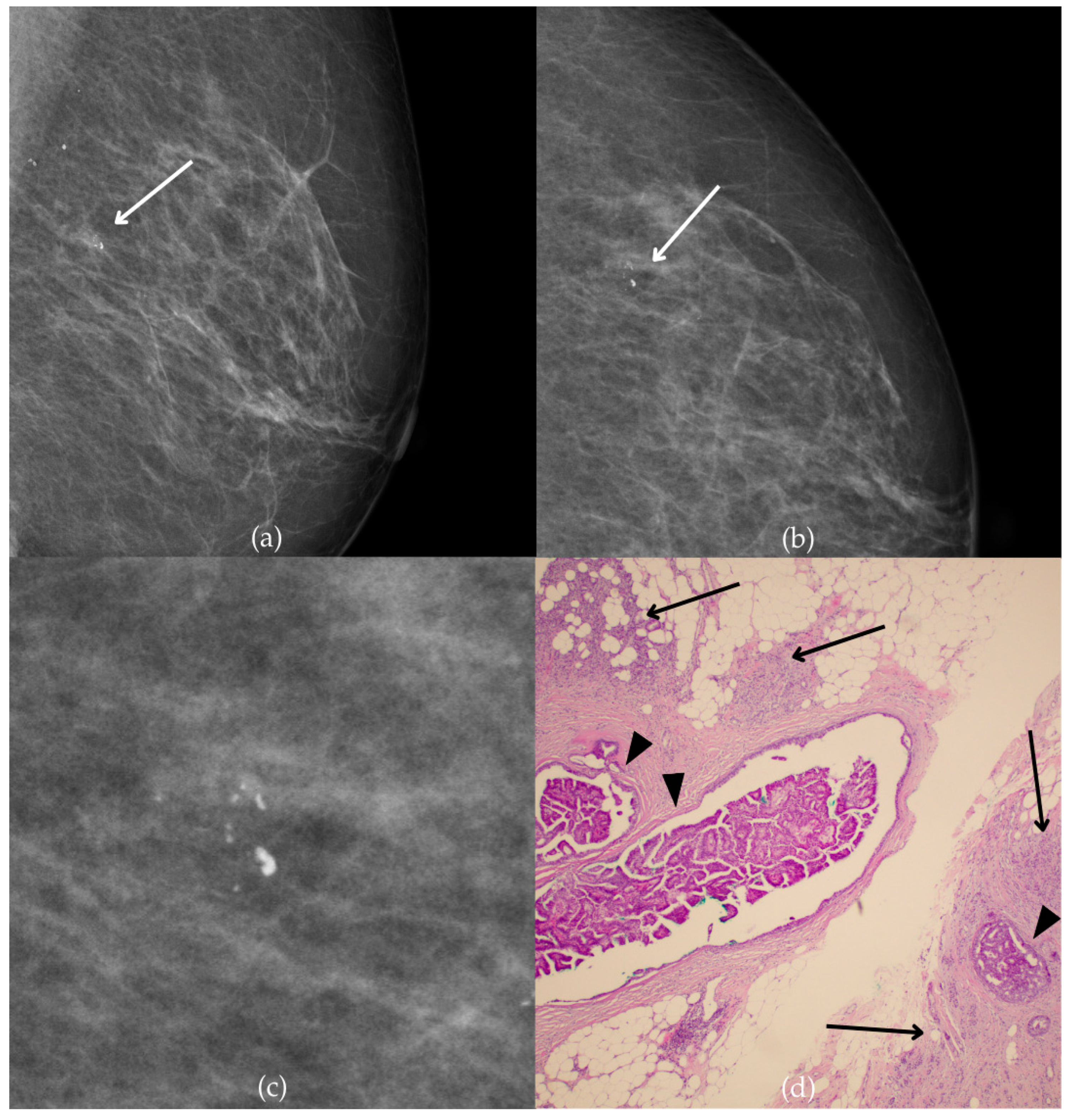
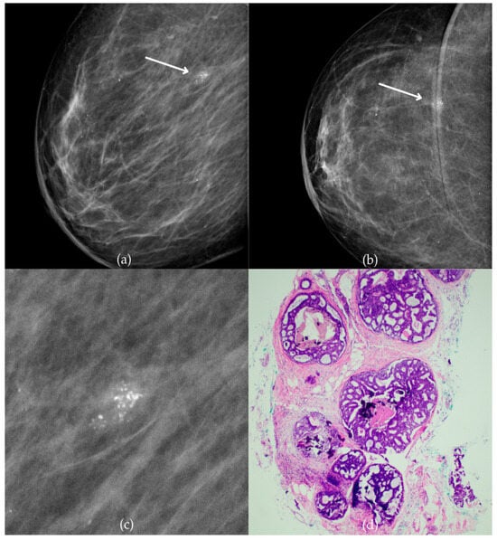
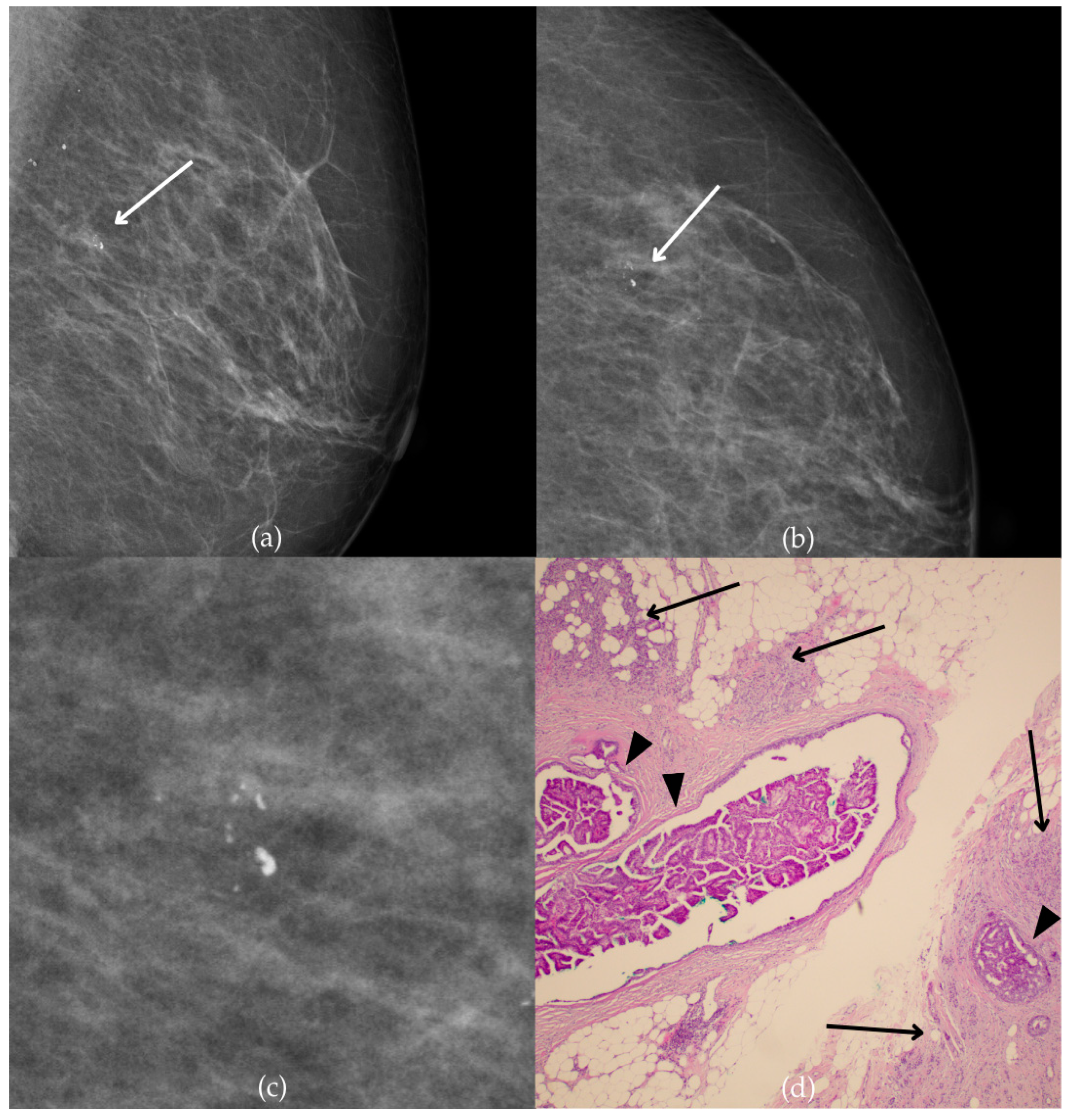
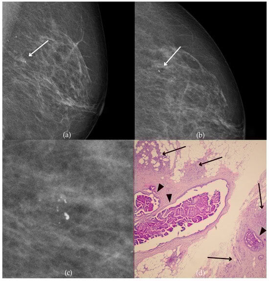
5. A Pictorial Review of Ten Cases
6. Discussion and Recommendations
7. Conclusions
8. Future Direction
Author Contributions
Funding
Institutional Review Board Statement
Informed Consent Statement
Data Availability Statement
Conflicts of Interest
Abbreviations
| US | Ultrasound |
| MRI | Magnetic resonance imaging |
| DCIS | Ductal carcinoma in situ |
| BI-RADS | The Breast Imaging Reporting and Data System |
| ACR | American College of Radiology |
| FNAC | Fine-needle aspiration cytology |
| CNB | Core needle biopsy |
| VABB | Vacuum-assisted breast biopsy |
| ADH | Atypical ductal hyperplasia |
| FEA | Flat epithelial atypia |
| LN | Classical lobular neoplasia |
| RS | Radial scar |
| PL | Papillary lesions |
| PT | Phyllodes tumors |
| SA | Sclerosing adenosis |
| CEM | Contrast-enhanced mammography |
References
- Bray, F.; Ferlay, J.; Soerjomataram, I.; Siegel, R.L.; Torre, L.A.; Jemal, A. Global cancer statistics 2018: GLOBOCAN estimates of incidence and mortality worldwide for 36 cancers in 185 countries. CA Cancer J. Clin. 2018, 68, 394–424. [Google Scholar] [CrossRef] [PubMed]
- Bohan, S.; Ramli Hamid, M.T.; Chan, W.Y.; Vijayananthan, A.; Ramli, N.; Kaur, S.; Rahmat, K. Diagnostic accuracy of tomosynthesis-guided vacuum assisted breast biopsy of ultrasound occult lesions. Sci. Rep. 2021, 11, 129. [Google Scholar] [CrossRef] [PubMed]
- Coleman, C. Early Detection and Screening for Breast Cancer. Semin. Oncol. Nurs. 2017, 33, 141–155. [Google Scholar] [CrossRef]
- Teh, Y.-C.; Tan, G.-H.; Taib, N.A.; Rahmat, K.; Westerhout, C.J.; Fadzli, F.; See, M.-H.; Jamaris, S.; Yip, C.-H. Opportunistic mammography screening provides effective detection rates in a limited resource healthcare system. BMC Cancer 2015, 15, 405. [Google Scholar] [CrossRef] [PubMed]
- Chiappa, C.; Bonetti, A.; Jaber, G.J.; De Berardinis, V.; Bianchi, V.; Rovera, F. Pure Ductal Carcinoma In Situ of the Breast: Analysis of 270 Consecutive Patients Treated in a 9-Year Period. Cancers 2021, 13, 431. [Google Scholar] [CrossRef]
- Sadighi, N.; Bahreini, M.; Jahanbin, B.; Gity, M.; Rahmani, M.; Arian, A.; Delazar, S.; Ahmadinejad, N. Successful Stereotactic-Guided Vacuum-Assisted Biopsy in the Evaluation of Breast Microcalcifications: A Study in a Single Tertiary Referral Center in the Middle East. Iran. J. Radiol. 2022, 19, e122269. [Google Scholar] [CrossRef]
- American College of Radiology. ACR BI-RADS Atlas: Breast Imaging Reporting and Data System, 5th ed.; American College of Radiology: Reston, VA, USA, 2013. [Google Scholar]
- Magny, S.J.; Shikhman, R.; Keppke, A.L. Breast Imaging Reporting and Data System. In StatPearls [Internet]; StatPearls Publishing: Treasure Island, FL, USA, 2025. [Google Scholar] [PubMed]
- Kul, S.; Oguz, S.; Eyüboğlu, İ.; Komurcuoglu, O. Can unenhanced breast MRI be used to decrease negative biopsy rates? Diagn. Interv. Radiol. 2015, 21, 287–292. [Google Scholar] [CrossRef]
- Moy, L. BI-RADS Category 3 Is a Safe and Effective Alternative to Biopsy or Surgical Excision. Radiology 2020, 296, 42–43. [Google Scholar] [CrossRef]
- Koziełek, K.; Stranz-Walczak, N.; Gajdzis, P.; Karmelita-Katulska, K. Evaluation of the positive predictive value (PPV3) of ACR BI-RADS category 4 and 5 based on the outcomes of Invasive Diagnostic Office in an outpatient clinic. Pol. J. Radiol. 2019, 84, 185–189. [Google Scholar] [CrossRef]
- Dhamija, E.; Singh, R.; Mishra, S.; Hari, S. Image-Guided Breast Interventions: Biopsy and Beyond. Indian. J. Radiol. Imaging 2021, 31, 391–399. [Google Scholar] [CrossRef]
- Stulpinaitė, U.; Railaitė, A.; Rukanskienė, D. Clinical Value of Magnetic Resonance Imaging-Guided Core Needle and Vacuum-Assisted Breast Biopsies. Sveik. Moksl. Health Sci. 2023, 33, 177–186. [Google Scholar] [CrossRef]
- Bick, U.; Trimboli, R.M.; Athanasiou, A.; Balleyguier, C.; Baltzer, P.A.T.; Bernathova, M.; Borbély, K.; Brkljacic, B.; Carbonaro, L.A.; Clauser, P.; et al. Image-guided breast biopsy and localisation: Recommendations for information to women and referring physicians by the European Society of Breast Imaging. Insights Imaging 2020, 11, 12. [Google Scholar] [CrossRef]
- Gutwein, L.G.; Ang, D.N.; Liu, H.; Marshall, J.K.; Hochwald, S.N.; Copeland, E.M.; Grobmyer, S.R. Utilization of minimally invasive breast biopsy for the evaluation of suspicious breast lesions. Am. J. Surg. 2011, 202, 127–132. [Google Scholar] [CrossRef] [PubMed]
- van Breest Smallenburg, V.; Nederend, J.; Voogd, A.C.; Coebergh, J.W.W.; van Beek, M.; Jansen, F.H.; Louwman, W.J.; Duijm, L.E.M. Trends in breast biopsies for abnormalities detected at screening mammography: A population-based study in the Netherlands. Br. J. Cancer 2013, 109, 242–248. [Google Scholar] [CrossRef] [PubMed]
- Plantade, R. Interventional radiology: The corner-stone of breast management. Diagn. Interv. Imaging 2013, 94, 575–591. [Google Scholar] [CrossRef]
- Bumberger, A.; Clauser, P.; Kolta, M.; Kapetas, P.; Bernathova, M.; Helbich, T.H.; Pinker, K.; Baltzer, P.A. Can we predict lesion detection rates in second-look ultrasound of MRI-detected breast lesions? A systematic analysis. Eur. J. Radiol. 2019, 113, 96–100. [Google Scholar] [CrossRef] [PubMed]
- de Cursi, J.A.T.; Marques, M.E.A.; de Assis Cunha Castro, C.A.C.; Schmitt, F.C.; Soares, C.T. Fine-Needle Aspiration Cytology (FNAC) is a reliable diagnostic tool for small breast lesions (≤1.0 cm): A 20-year retrospective study. Surg. Exp. Pathol. 2020, 3, 29. [Google Scholar] [CrossRef]
- Saha, A. FNAC Versus Core Needle Biopsy: A Comparative Study in Evaluation of Palpable Breast Lump. J. Clin. Diagn. Res. 2016, 10, EC05-8. [Google Scholar] [CrossRef]
- Willems, S.M.; van Deurzen, C.H.M.; van Diest, P.J. Diagnosis of breast lesions: Fine-needle aspiration cytology or core needle biopsy? A review. J. Clin. Pathol. 2012, 65, 287–292. [Google Scholar] [CrossRef]
- Monib, S.; Mukerji, S.; Narula, S.; Monib, S.; Mukerji, S.; Narula, S. Vacuum-Assisted Breast Biopsy System: No Innovation Without Evaluation. Cureus 2021, 13, e12649. [Google Scholar] [CrossRef]
- Zhang, Y.; Li, J.; Mo, M.; Shen, J.; Ren, H.; Li, S.; Liu, G.; Shao, Z. The comparison of efficacy and safety evaluation of vacuum-assisted Elite 10-G system and the traditional BARD 14-G core needle in breast diagnosis: An open-label, parallel, randomized controlled trial. Int. J. Surg. 2023, 109, 1180. [Google Scholar] [CrossRef] [PubMed]
- Han, S.-H.; Kim, M.; Chung, Y.R.; Yun, B.L.; Jang, M.; Kim, S.M.; Kang, E.; Kim, E.-K.; Park, S.Y. Benign Intraductal Papilloma without Atypia on Core Needle Biopsy Has a Low Rate of Upgrading to Malignancy after Excision. J. Breast Cancer 2018, 21, 80. [Google Scholar] [CrossRef]
- Appavoo, S.; Aldis, A.; Causer, P.; Crystal, P.; Mesurolle, B.; Mundt, Y.; Panu, N.; Seely, J.; Wadden, N. CAR Practical Guidelines and Technical Standards for Breast Imaging and Intervention; Canadian Association of Radiologists: Ottawa, ON, Canada, 2016; p. 23. [Google Scholar]
- Huang, X.C.; Hu, X.H.; Wang, X.R.; Zhou, C.X.; Wang, F.F.; Yang, S.; Wang, G.Y. A comparison of diagnostic performance of vacuum-assisted biopsy and core needle biopsy for breast microcalcification: A systematic review and meta-analysis. Ir. J. Med. Sci. 2018, 187, 999–1008. [Google Scholar] [CrossRef] [PubMed]
- Lee, A.H.S.; Toss, M.S.; James, J.J.; Hodi, Z.; Ellis, I.O.; Rakha, E.A. Preoperative diagnosis of ductal carcinoma in situ of the breast over a 24-year period. Histopathology 2023, 83, 435–442. [Google Scholar] [CrossRef]
- Mannu, G.S.; Groen, E.J.; Wang, Z.; Schaapveld, M.; Lips, E.H.; Chung, M.; Joore, I.; van Leeuwen, F.E.; Teertstra, H.J.; Winter-Warnars, G.A.O.; et al. Reliability of preoperative breast biopsies showing ductal carcinoma in situ and implications for non-operative treatment: A cohort study. Breast Cancer Res. Treat. 2019, 178, 409–418. [Google Scholar] [CrossRef] [PubMed]
- Meucci, R.; Pistolese Chiara, A.; Perretta, T.; Vanni, G.; Portarena, I.; Manenti, G.; Colleen, P.R.; Castrignanò, A.; Di Stefano, C.; Ferrari, D.; et al. MR imaging-guided vacuum assisted breast biopsy: Radiological-pathological correlation and underestimation rate in pre-surgical assessment. Eur. J. Radiol. Open 2020, 7, 100244. [Google Scholar] [CrossRef]
- Elfgen, C.; Leo, C.; Kubik-Huch, R.A.; Muenst, S.; Schmidt, N.; Quinn, C.; McNally, S.; van Diest, P.J.; Mann, R.M.; Bago-Horvath, Z.; et al. Third International Consensus Conference on lesions of uncertain malignant potential in the breast (B3 lesions). Virchows Arch. 2023, 483, 5–20. [Google Scholar] [CrossRef]
- Rubio, I.T.; Wyld, L.; Marotti, L.; Athanasiou, A.; Regitnig, P.; Catanuto, G.; Schoones, J.W.; Zambon, M.; Camps, J.; Santini, D.; et al. European guidelines for the diagnosis, treatment and follow-up of breast lesions with uncertain malignant potential (B3 lesions) developed jointly by EUSOMA, EUSOBI, ESP (BWG) and ESSO. Eur. J. Surg. Oncol. J. Eur. Soc. Surg. Oncol. Br. Assoc. Surg. Oncol. 2024, 50, 107292. [Google Scholar] [CrossRef]
- Lee, A.H.; Pinder, S.E. An overview of B coding of breast core biopsy categorisation and management implications. Diagn. Histopathol. 2024, 30, 132–140. [Google Scholar] [CrossRef]
- Alcantara, R.; Posso, M.; Pitarch, M.; Arenas, N.; Ejarque, B.; Iotti, V.; Besutti, G. Contrast-enhanced mammography-guided biopsy: Technical feasibility and first outcomes. Eur. Radiol. 2023, 33, 417–428. [Google Scholar] [CrossRef]
- Weigel, S.; Brehl, A.-K.; Heindel, W.; Kerschke, L. Artificial Intelligence for Indication of Invasive Assessment of Calcifications in Mammography Screening. RöFo—Fortschritte Geb. Röntgenstrahlen Bildgeb. Verfahr. 2023, 195, 38–46. [Google Scholar] [CrossRef] [PubMed]
- Yoon, J.H.; Strand, F.; Baltzer, P.A.T.; Conant, E.F.; Gilbert, F.J.; Lehman, C.D.; Morris, E.A.; Mullen, L.A.; Nishikawa, R.M.; Sharma, N.; et al. Standalone AI for Breast Cancer Detection at Screening Digital Mammography and Digital Breast Tomosynthesis: A Systematic Review and Meta-Analysis. Radiology 2023, 307, e222639. [Google Scholar] [CrossRef] [PubMed]










| Case Number | Calcification Morphology | Distribution of Calcification | Architectural Distortion | Diagnosis |
|---|---|---|---|---|
| 1 | Coarse heterogeneous and fine pleomorphic | Grouped | No | DCIS |
| 2 | Amorphous | Grouped | Yes | DCIS |
| 3 | Coarse heterogeneous and fine pleomorphic | Segmental | No | Invasive breast cancer |
| 4 | Coarse heterogeneous | Grouped | No | Invasive breast cancer |
| 5 | Fine pleomorphic | Linear | Yes | DCIS |
| 6 | Amorphous | Regional | No | DCIS |
| 7 | Amorphous | Regional | No | FEA |
| 8 | Amorphous and coarse heterogeneous | Grouped | Yes | FEA, ADH |
| 9 | Fine pleomorphic | Regional | No | ADH, SA |
| 10 | Fine pleomorphic | Segmental | Yes | Intraductal papillary lesion |
Disclaimer/Publisher’s Note: The statements, opinions and data contained in all publications are solely those of the individual author(s) and contributor(s) and not of MDPI and/or the editor(s). MDPI and/or the editor(s) disclaim responsibility for any injury to people or property resulting from any ideas, methods, instructions or products referred to in the content. |
© 2025 by the authors. Licensee MDPI, Basel, Switzerland. This article is an open access article distributed under the terms and conditions of the Creative Commons Attribution (CC BY) license (https://creativecommons.org/licenses/by/4.0/).
Share and Cite
Bebek, J.; Novak, N.; Dasović, M.; Divjak, E.; Tomasović-Lončarić, Č.; Brkljačić, B.; Ivanac, G. Histopathological Analysis of Vacuum-Assisted Breast Biopsy in Relation to Microcalcification Findings on Mammography: A Pictorial Review. Biomedicines 2025, 13, 737. https://doi.org/10.3390/biomedicines13030737
Bebek J, Novak N, Dasović M, Divjak E, Tomasović-Lončarić Č, Brkljačić B, Ivanac G. Histopathological Analysis of Vacuum-Assisted Breast Biopsy in Relation to Microcalcification Findings on Mammography: A Pictorial Review. Biomedicines. 2025; 13(3):737. https://doi.org/10.3390/biomedicines13030737
Chicago/Turabian StyleBebek, Jana, Nikolina Novak, Marina Dasović, Eugen Divjak, Čedna Tomasović-Lončarić, Boris Brkljačić, and Gordana Ivanac. 2025. "Histopathological Analysis of Vacuum-Assisted Breast Biopsy in Relation to Microcalcification Findings on Mammography: A Pictorial Review" Biomedicines 13, no. 3: 737. https://doi.org/10.3390/biomedicines13030737
APA StyleBebek, J., Novak, N., Dasović, M., Divjak, E., Tomasović-Lončarić, Č., Brkljačić, B., & Ivanac, G. (2025). Histopathological Analysis of Vacuum-Assisted Breast Biopsy in Relation to Microcalcification Findings on Mammography: A Pictorial Review. Biomedicines, 13(3), 737. https://doi.org/10.3390/biomedicines13030737

