Genomic Organization, Evolutionary Conservation and Expression of Ataxin-2 and Ataxin-2-like Genes Underscore the Suitability of Zebrafish as a Model Organism for SCA2 and Related Diseases
Abstract
1. Introduction
2. Materials and Methods
2.1. Bioinformatics
2.2. Embryo and Larvae Treatment
2.3. RNA Isolation, RT-PCR, Cloning and Probe Synthesis
2.4. Whole Mount In Situ Hybridizations (WISH)
2.5. Microscope Equipment and Imaging
2.6. Cryosections of Stained Embryos and Larvae
3. Results
3.1. The Proteins of the ATXN2 and ATXN2L Families Are Phylogenetically Conserved in Vertebrate Model Organisms
3.2. The Zebrafish Locus Atxn2 Does Not Show Synteny in the Arrangement of Genes Compared to the Human ATXN2 Locus
3.3. Structure of the Zebrafish Genes Atxn2 and Atxn2l and the Proteins They Encode
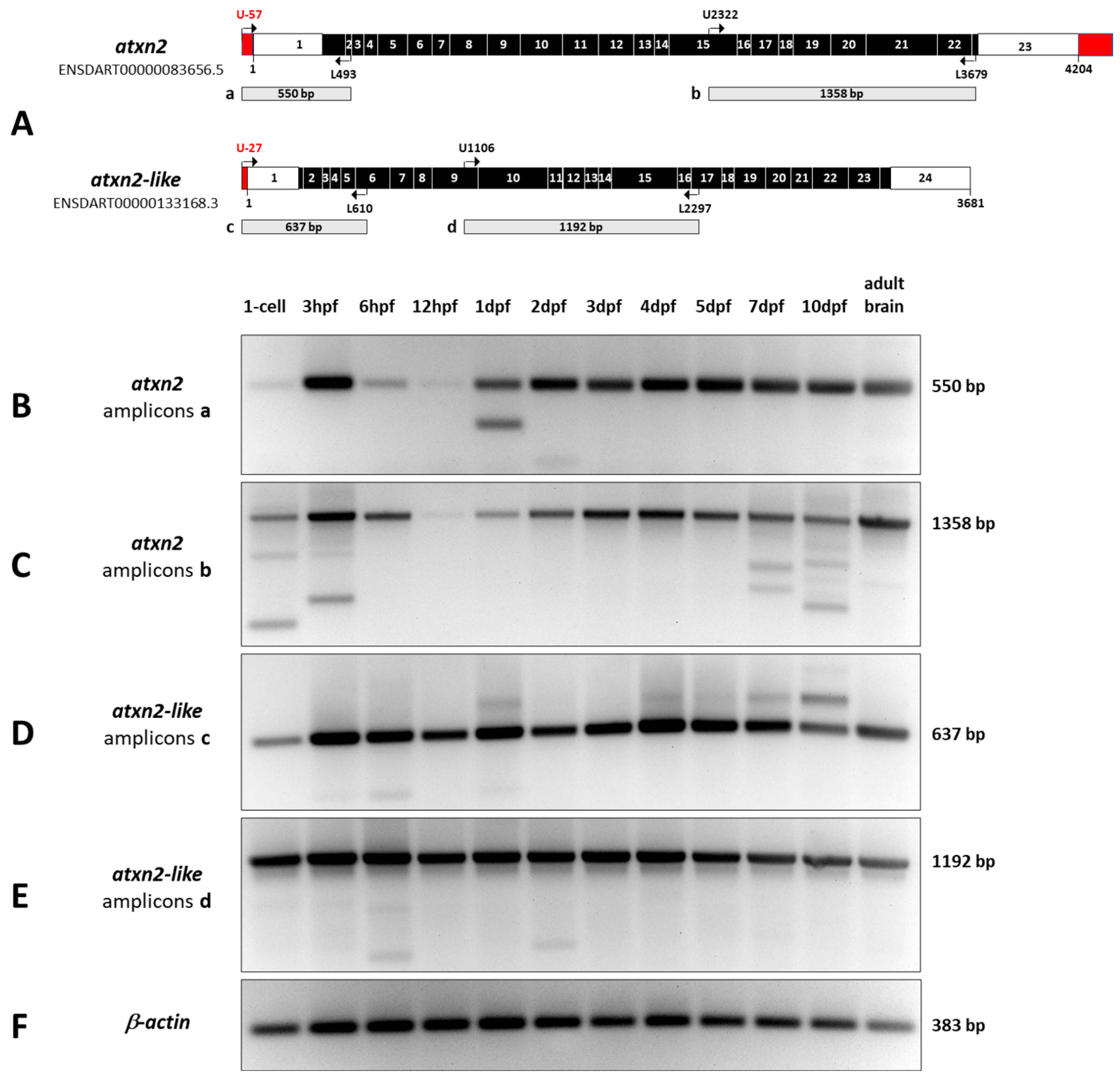
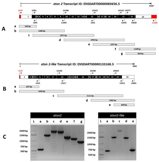
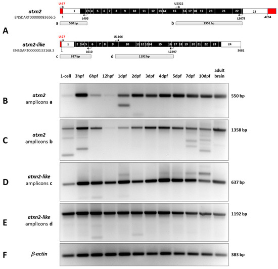
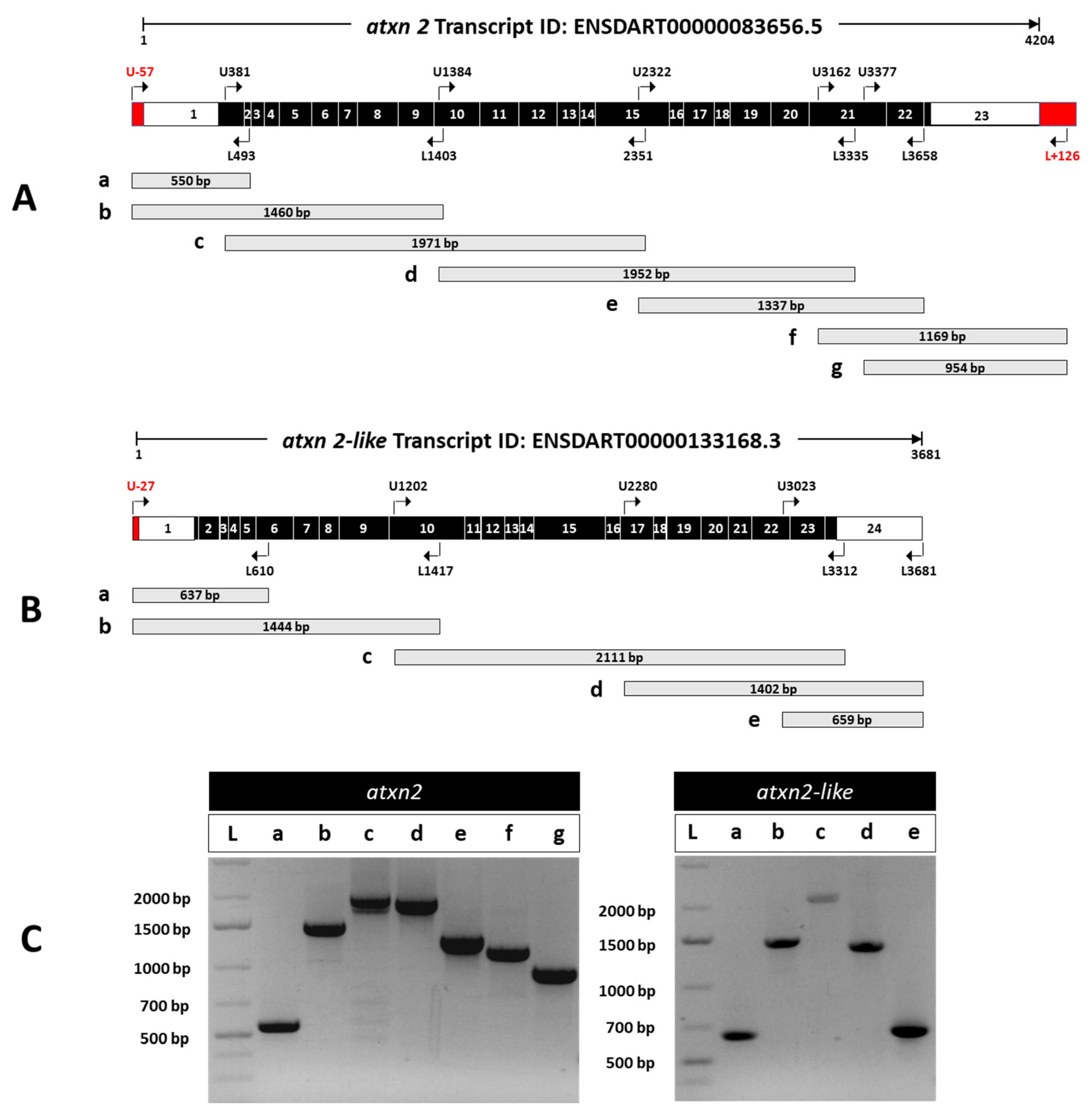
3.4. Expression Analysis of Zebrafish Atxn2 and Atxn2l Using RT-PCR
3.4.1. Atxn2 Transcripts Are Expressed from Early Embryonic to Late Larval Stages in Zebrafish
3.4.2. Atxn2l Shares Expression Domains with Atxn2 from Early Embryonic to Late Larval Stage in Zebrafish
3.4.3. Cryosections Confirm the Expression Domains of Atxn2 and Atxn2l in Different Brain Regions of Zebrafish Embryos and Larvae
3.5. RT-PCR Analysis of Atxn2 and Atxn2l Expression Levels in Whole-Body Zebrafish
4. Discussion
5. Conclusions
Supplementary Materials
Author Contributions
Funding
Institutional Review Board Statement
Informed Consent Statement
Data Availability Statement
Acknowledgments
Conflicts of Interest
Abbreviations
| ATXN2 | Ataxin-2 |
| ATXN2L | Ataxin-2-like |
| ALS | Amyotrophic lateral sclerosis |
| FTLD | Frontotemporal lobar dementia |
References
- Choudhry, S. CAG Repeat Instability at SCA2 Locus: Anchoring CAA Interruptions and Linked Single Nucleotide Polymorphisms. Hum. Mol. Genet. 2001, 10, 2437–2446. [Google Scholar] [CrossRef]
- Kozlov, G.; Trempe, J.-F.; Khaleghpour, K.; Kahvejian, A.; Ekiel, I.; Gehring, K. Structure and Function of the C-Terminal PABC Domain of Human Poly(A)-Binding Protein. Proc. Natl. Acad. Sci. USA 2001, 98, 4409–4413. [Google Scholar] [CrossRef] [PubMed]
- Yokoshi, M.; Li, Q.; Yamamoto, M.; Okada, H.; Suzuki, Y.; Kawahara, Y. Direct Binding of Ataxin-2 to Distinct Elements in 3′ UTRs Promotes mRNA Stability and Protein Expression. Mol. Cell 2014, 55, 186–198. [Google Scholar] [CrossRef] [PubMed]
- Auburger, G.; Sen, N.-E.; Meierhofer, D.; Başak, A.-N.; Gitler, A.D. Efficient Prevention of Neurodegenerative Diseases by Depletion of Starvation Response Factor Ataxin-2. Trends Neurosci. 2017, 40, 507–516. [Google Scholar] [CrossRef] [PubMed]
- Van De Loo, S.; Eich, F.; Nonis, D.; Auburger, G.; Nowock, J. Ataxin-2 Associates with Rough Endoplasmic Reticulum. Exp. Neurol. 2009, 215, 110–118. [Google Scholar] [CrossRef]
- Key, J.; Harter, P.N.; Sen, N.-E.; Gradhand, E.; Auburger, G.; Gispert, S. Mid-Gestation Lethality of Atxn2l-Ablated Mice. Int. J. Mol. Sci. 2020, 21, 5124. [Google Scholar] [CrossRef]
- Imbert, G.; Saudou, F.; Yvert, G.; Devys, D.; Trottier, Y.; Garnier, J.-M.; Weber, C.; Mandel, J.-L.; Cancel, G.; Abbas, N.; et al. Cloning of the Gene for Spinocerebellar Ataxia 2 Reveals a Locus with High Sensitivity to Expanded CAG/Glutamine Repeats. Nat. Genet. 1996, 14, 285–291. [Google Scholar] [CrossRef]
- Pulst, S.-M.; Nechiporuk, A.; Nechiporuk, T.; Gispert, S.; Chen, X.-N.; Lopes-Cendes, I.; Pearlman, S.; Starkman, S.; Orozco-Diaz, G.; Lunkes, A.; et al. Moderate Expansion of a Normally Biallelic Trinucleotide Repeat in Spinocerebellar Ataxia Type 2. Nat. Genet. 1996, 14, 269–276. [Google Scholar] [CrossRef]
- Sanpei, K.; Takano, H.; Igarashi, S.; Sato, T.; Oyake, M.; Sasaki, H.; Wakisaka, A.; Tashiro, K.; Ishida, Y.; Ikeuchi, T.; et al. Identification of the Spinocerebellar Ataxia Type 2 Gene Using a Direct Identification of Repeat Expansion and Cloning Technique, DIRECT. Nat. Genet. 1996, 14, 277–284. [Google Scholar] [CrossRef]
- Becker, L.A.; Huang, B.; Bieri, G.; Ma, R.; Knowles, D.A.; Jafar-Nejad, P.; Messing, J.; Kim, H.J.; Soriano, A.; Auburger, G.; et al. Therapeutic Reduction of Ataxin-2 Extends Lifespan and Reduces Pathology in TDP-43 Mice. Nature 2017, 544, 367–371. [Google Scholar] [CrossRef]
- Elden, A.C.; Kim, H.-J.; Hart, M.P.; Chen-Plotkin, A.S.; Johnson, B.S.; Fang, X.; Armakola, M.; Geser, F.; Greene, R.; Lu, M.M.; et al. Ataxin-2 Intermediate-Length Polyglutamine Expansions Are Associated with Increased Risk for ALS. Nature 2010, 466, 1069–1075. [Google Scholar] [CrossRef] [PubMed]
- Gispert, S.; Kurz, A.; Waibel, S.; Bauer, P.; Liepelt, I.; Geisen, C.; Gitler, A.D.; Becker, T.; Weber, M.; Berg, D.; et al. The Modulation of Amyotrophic Lateral Sclerosis Risk by Ataxin-2 Intermediate Polyglutamine Expansions Is a Specific Effect. Neurobiol. Dis. 2012, 45, 356–361. [Google Scholar] [CrossRef] [PubMed]
- Lahut, S.; Ömür, Ö.; Uyan, Ö.; Ağım, Z.S.; Özoğuz, A.; Parman, Y.; Deymeer, F.; Oflazer, P.; Koç, F.; Özçelik, H.; et al. ATXN2 and Its Neighbouring Gene SH2B3 Are Associated with Increased ALS Risk in the Turkish Population. PLoS ONE 2012, 7, e42956. [Google Scholar] [CrossRef] [PubMed]
- Lee, T.; Li, Y.R.; Ingre, C.; Weber, M.; Grehl, T.; Gredal, O.; de Carvalho, M.; Meyer, T.; Tysnes, O.-B.; Auburger, G.; et al. Ataxin-2 Intermediate-Length Polyglutamine Expansions in European ALS Patients. Hum. Mol. Genet. 2011, 20, 1697–1700. [Google Scholar] [CrossRef]
- Ross, O.A.; Rutherford, N.J.; Baker, M.; Soto-Ortolaza, A.I.; Carrasquillo, M.M.; DeJesus-Hernandez, M.; Adamson, J.; Li, M.; Volkening, K.; Finger, E.; et al. Ataxin-2 Repeat-Length Variation and Neurodegeneration. Hum. Mol. Genet. 2011, 20, 3207–3212. [Google Scholar] [CrossRef]
- Shulman, J.M.; Feany, M.B. Genetic Modifiers of Tauopathy in Drosophila. Genetics 2003, 165, 1233–1242. [Google Scholar] [CrossRef]
- Andrés, A.M.; Lao, O.; Soldevila, M.; Calafell, F.; Bertranpetit, J. Dynamics of CAG Repeat Loci Revealed by the Analysis of Their Variability: CAG REPEAT LOCI DYNAMICS. Hum. Mutat. 2003, 21, 61–70. [Google Scholar] [CrossRef]
- Paulson, H. Chapter 9-Repeat Expansion Diseases. In Handbook of Clinical Neurology; Geschwind, D.H., Paulson, H.L., Klein, C., Eds.; Elsevier: Amsterdam, The Netherlands, 2018; Volume 147, pp. 105–123. ISBN 0072-9752. [Google Scholar]
- Schöls, L.; Bauer, P.; Schmidt, T.; Schulte, T.; Riess, O. Autosomal Dominant Cerebellar Ataxias: Clinical Features, Genetics, and Pathogenesis. Lancet Neurol. 2004, 3, 291–304. [Google Scholar] [CrossRef]
- Taroni, F.; DiDonato, S. Pathways to Motor Incoordination: The Inherited Ataxias. Nat. Rev. Neurosci. 2004, 5, 641–655. [Google Scholar] [CrossRef]
- Costa, R.G.; Conceição, A.; Matos, C.A.; Nóbrega, C. The Polyglutamine Protein ATXN2: From Its Molecular Functions to Its Involvement in Disease. Cell Death Dis. 2024, 15, 415. [Google Scholar] [CrossRef]
- Hekman, K.E.; Gomez, C.M. The Autosomal Dominant Spinocerebellar Ataxias: Emerging Mechanistic Themes Suggest Pervasive Purkinje Cell Vulnerability. J. Neurol. Neurosurg. Psychiatry 2015, 86, 554–561. [Google Scholar] [CrossRef]
- Orr, H.T.; Chung, M.; Banfi, S.; Kwiatkowski, T.J.; Servadio, A.; Beaudet, A.L.; McCall, A.E.; Duvick, L.A.; Ranum, L.P.W.; Zoghbi, H.Y. Expansion of an Unstable Trinucleotide CAG Repeat in Spinocerebellar Ataxia Type 1. Nat. Genet. 1993, 4, 221–226. [Google Scholar] [CrossRef]
- Perlman, S. Hereditary Ataxia Overview. 1998 Oct 28 [Updated 2012 May 31]. GeneReviewsTMInternet Seattle WA Univ. Wash. Seattle 1993. Available online: http://www.ncbi.nlm.nih.gov/books/NBK1138/ (accessed on 1 December 2025).
- Housman, D. Gain of Glutamines, Gain of Function? Nat. Genet. 1995, 10, 3–4. [Google Scholar] [CrossRef] [PubMed]
- Manto, M.; Marmolino, D. Cerebellar Ataxias. Curr. Opin. Neurol. 2009, 22, 419–429. [Google Scholar] [CrossRef] [PubMed]
- Quelle-Regaldie, A.; Sobrido-Cameán, D.; Barreiro-Iglesias, A.; Sobrido, M.J.; Sánchez, L. Zebrafish Models of Autosomal Dominant Ataxias. Cells 2021, 10, 421. [Google Scholar] [CrossRef]
- Cancel, G.; Durr, A.; Didierjean, O.; Imbert, G.; Burk, K.; Lezin, A.; Belal, S.; Benomar, A.; Abada-Bendib, M.; Vial, C.; et al. Molecular and Clinical Correlations in Spinocerebellar Ataxia 2: A Study of 32 Families. Hum. Mol. Genet. 1997, 6, 709–715. [Google Scholar] [CrossRef] [PubMed]
- Geschwind, D.H.; Perlman, S.; Pulst, S.M. The Prevalence and Wide Clinical Spectrum of the Spinocerebellar Ataxia Type 2 Trinucleotide Repeat in Patients with Autosomal Dominant Cerebellar Ataxia. Am. J. Hum. Genet. 1997, 60, 842–850. [Google Scholar]
- Giunti, P. The Role of the SCA2 Trinucleotide Repeat Expansion in 89 Autosomal Dominant Cerebellar Ataxia Families. Frequency, Clinical and Genetic Correlates. Brain 1998, 121, 459–467. [Google Scholar] [CrossRef]
- Mizushima, K.; Watanabe, M.; Abe, K.; Aoki, M.; Itoyama, Y.; Shizuka, M.; Okamoto, K.; Shoji, M. Analysis of Spinocerebellar Ataxia Type 2 in Gunma Prefecture in Japan: CAG Trinucleotide Expansion and Clinical Characteristics. J. Neurol. Sci. 1998, 156, 180–185. [Google Scholar] [CrossRef]
- Auburger, G.; Diaz, G.O.; Perez, M.P.; Williamson, R.; Chamberlain, S.; Bautet, L.H. Autosomal Dominant Ataxia: Genetic Evidence for Locus Heterogeneity from a Cuban Founder-Effect Population. Am. J. Hum. Genet. 1990, 46, 1163–1177. [Google Scholar]
- Tsuji, S.; Onodera, O.; Goto, J.; Nishizawa, M.; On Behalf of the Study Group on Ataxic Diseases. Sporadic Ataxias in Japan—A Population-Based Epidemiological Study. Cerebellum 2008, 7, 189–197. [Google Scholar] [CrossRef]
- Cruz-Mariño, T.; Vázquez-Mojena, Y.; Velázquez-Pérez, L.; González-Zaldívar, Y.; Aguilera-Rodríguez, R.; Velázquez-Santos, M.; Estupiñán-Rodríguez, A.; Laffita-Mesa, J.M.; Almaguer-Mederos, L.E.; Paneque, M. SCA2 Predictive Testing in Cuba: Challenging Concepts and Protocol Evolution. J. Community Genet. 2015, 6, 265–273. [Google Scholar] [CrossRef] [PubMed]
- Estrada, R.; Galarraga, J.; Orozco, G.; Nodarse, A.; Auburger, G. Spinocerebellar Ataxia 2 (SCA2): Morphometric Analyses in 11 Autopsies. Acta Neuropathol. 1999, 97, 306–310. [Google Scholar] [CrossRef] [PubMed]
- Velázquez Pérez, L.; Cruz, G.S.; Santos Falcón, N.; Enrique Almaguer Mederos, L.; Escalona Batallan, K.; Rodríguez Labrada, R.; Paneque Herrera, M.; Laffita Mesa, J.M.; Rodríguez Díaz, J.C.; Rodríguez, R.A.; et al. Molecular Epidemiology of Spinocerebellar Ataxias in Cuba: Insights into SCA2 Founder Effect in Holguin. Neurosci. Lett. 2009, 454, 157–160. [Google Scholar] [CrossRef] [PubMed]
- Velázquez-Pérez, L.C.; Rodríguez-Labrada, R.; Fernandez-Ruiz, J. Spinocerebellar Ataxia Type 2: Clinicogenetic Aspects, Mechanistic Insights, and Management Approaches. Front. Neurol. 2017, 8, 472. [Google Scholar] [CrossRef]
- Kiehl, T.-R.; Nechiporuk, A.; Figueroa, K.P.; Keating, M.T.; Huynh, D.P.; Pulst, S.-M. Generation and Characterization of Sca2 (Ataxin-2) Knockout Mice. Biochem. Biophys. Res. Commun. 2006, 339, 17–24. [Google Scholar] [CrossRef]
- Lastres-Becker, I.; Nonis, D.; Eich, F.; Klinkenberg, M.; Gorospe, M.; Kötter, P.; Klein, F.A.C.; Kedersha, N.; Auburger, G. Mammalian Ataxin-2 Modulates Translation Control at the Pre-Initiation Complex via PI3K/mTOR and Is Induced by Starvation. Biochim. Biophys. Acta BBA Mol. Basis Dis. 2016, 1862, 1558–1569. [Google Scholar] [CrossRef]
- Pfeffer, M.; Gispert, S.; Auburger, G.; Wicht, H.; Korf, H.-W. Impact of Ataxin-2 Knock out on Circadian Locomotor Behavior and PER Immunoreaction in the SCN of Mice. Chronobiol. Int. 2017, 34, 129–137. [Google Scholar] [CrossRef]
- Lim, C.; Allada, R. ATAXIN-2 Activates PERIOD Translation to Sustain Circadian Rhythms in Drosophila. Science 2013, 340, 875–879. [Google Scholar] [CrossRef]
- Zhang, Y.; Ling, J.; Yuan, C.; Dubruille, R.; Emery, P. A Role for Drosophila ATX2 in Activation of PER Translation and Circadian Behavior. Science 2013, 340, 879–882. [Google Scholar] [CrossRef]
- Vieira De Sá, R.; Sudria-Lopez, E.; Cañizares Luna, M.; Harschnitz, O.; Van Den Heuvel, D.M.A.; Kling, S.; Vonk, D.; Westeneng, H.-J.; Karst, H.; Bloemenkamp, L.; et al. ATAXIN-2 Intermediate-Length Polyglutamine Expansions Elicit ALS-Associated Metabolic and Immune Phenotypes. Nat. Commun. 2024, 15, 7484. [Google Scholar] [CrossRef]
- Van Den Heuvel, D.M.A.; Harschnitz, O.; Van Den Berg, L.H.; Pasterkamp, R.J. Taking a Risk: A Therapeutic Focus on Ataxin-2 in Amyotrophic Lateral Sclerosis? Trends Mol. Med. 2014, 20, 25–35. [Google Scholar] [CrossRef] [PubMed]
- Ciura, S.; Sellier, C.; Campanari, M.-L.; Charlet-Berguerand, N.; Kabashi, E. The Most Prevalent Genetic Cause of ALS-FTD, C9orf72 Synergizes the Toxicity of ATXN2 Intermediate Polyglutamine Repeats through the Autophagy Pathway. Autophagy 2016, 12, 1406–1408. [Google Scholar] [CrossRef] [PubMed]
- Sellier, C.; Campanari, M.; Julie Corbier, C.; Gaucherot, A.; Kolb-Cheynel, I.; Oulad-Abdelghani, M.; Ruffenach, F.; Page, A.; Ciura, S.; Kabashi, E.; et al. Loss of C9 ORF 72 Impairs Autophagy and Synergizes with polyQ Ataxin-2 to Induce Motor Neuron Dysfunction and Cell Death. EMBO J. 2016, 35, 1276–1297. [Google Scholar] [CrossRef] [PubMed]
- Song Rong, S.; Larson, A.; Wiggs, J.L. ATXN2 Loss of Function Results in Glaucoma-Related Features Supporting a Role for Ataxin-2 in Primary Open-Angle Glaucoma (POAG) Pathogenesis. Vision Res. 2025, 226, 108508. [Google Scholar] [CrossRef]
- Okonechnikov, K.; Golosova, O.; Fursov, M.; The UGENE Team. Unipro UGENE: A Unified Bioinformatics Toolkit. Bioinformatics 2012, 28, 1166–1167. [Google Scholar] [CrossRef]
- Wang, J.; Chitsaz, F.; Derbyshire, M.K.; Gonzales, N.R.; Gwadz, M.; Lu, S.; Marchler, G.H.; Song, J.S.; Thanki, N.; Yamashita, R.A.; et al. The Conserved Domain Database in 2023. Nucleic Acids Res. 2023, 51, D384–D388. [Google Scholar] [CrossRef]
- Blum, M.; Andreeva, A.; Florentino, L.C.; Chuguransky, S.R.; Grego, T.; Hobbs, E.; Pinto, B.L.; Orr, A.; Paysan-Lafosse, T.; Ponamareva, I.; et al. InterPro: The Protein Sequence Classification Resource in 2025. Nucleic Acids Res. 2025, 53, D444–D456. [Google Scholar] [CrossRef]
- Paysan-Lafosse, T.; Andreeva, A.; Blum, M.; Chuguransky, S.R.; Grego, T.; Pinto, B.L.; Salazar, G.A.; Bileschi, M.L.; Llinares-López, F.; Meng-Papaxanthos, L.; et al. The Pfam Protein Families Database: Embracing AI/ML. Nucleic Acids Res. 2025, 53, D523–D534. [Google Scholar] [CrossRef]
- Vauti, F.; Stegemann, L.A.; Vögele, V.; Köster, R.W. All-Age Whole Mount in Situ Hybridization to Reveal Larval and Juvenile Expression Patterns in Zebrafish. PLoS ONE 2020, 15, e0237167. [Google Scholar] [CrossRef]
- Laboissonniere, L.A.; Smith, C.L.; Mesenbrink, J.; Chowdhury, R.; Burney, A.; Lang, M.; Sierra, M.; Stark, A.; Maldonado-Casalduc, G.; Muller, M.; et al. ALS-Associated Genes Display CNS Expression in the Developing Zebrafish. Gene Expr. Patterns 2018, 30, 14–31. [Google Scholar] [CrossRef] [PubMed]
- Laffita-Mesa, J.M.; Paucar, M.; Svenningsson, P. Ataxin-2 Gene: A Powerful Modulator of Neurological Disorders. Curr. Opin. Neurol. 2021, 34, 578–588. [Google Scholar] [CrossRef] [PubMed]
- Meunier, C.; Bordereaux, D.; Porteu, F.; Gisselbrecht, S.; Chrétien, S.; Courtois, G. Cloning and Characterization of a Family of Proteins Associated with Mpl. J. Biol. Chem. 2002, 277, 9139–9147. [Google Scholar] [CrossRef] [PubMed]
- Jiménez-López, D.; Guzmán, P. Insights into the Evolution and Domain Structure of Ataxin-2 Proteins across Eukaryotes. BMC Res. Notes 2014, 7, 453. [Google Scholar] [CrossRef]
- Dehal, P.; Boore, J.L. Two Rounds of Whole Genome Duplication in the Ancestral Vertebrate. PLoS Biol. 2005, 3, e314. [Google Scholar] [CrossRef]
- Faircloth, B.C.; Sorenson, L.; Santini, F.; Alfaro, M.E. A Phylogenomic Perspective on the Radiation of Ray-Finned Fishes Based upon Targeted Sequencing of Ultraconserved Elements (UCEs). PLoS ONE 2013, 8, e65923. [Google Scholar] [CrossRef]
- Sallan, L.C. Major Issues in the Origins of Ray-finned Fish (A Ctinopterygii) Biodiversity. Biol. Rev. 2014, 89, 950–971. [Google Scholar] [CrossRef]
- Hoegg, S.; Brinkmann, H.; Taylor, J.S.; Meyer, A. Phylogenetic Timing of the Fish-Specific Genome Duplication Correlates with the Diversification of Teleost Fish. J. Mol. Evol. 2004, 59, 190–203. [Google Scholar] [CrossRef]
- Jaillon, O.; Aury, J.-M.; Brunet, F.; Petit, J.-L.; Stange-Thomann, N.; Mauceli, E.; Bouneau, L.; Fischer, C.; Ozouf-Costaz, C.; Bernot, A.; et al. Genome Duplication in the Teleost Fish Tetraodon Nigroviridis Reveals the Early Vertebrate Proto-Karyotype. Nature 2004, 431, 946–957. [Google Scholar] [CrossRef]
- Sémon, M.; Wolfe, K.H. Reciprocal Gene Loss between Tetraodon and Zebrafish after Whole Genome Duplication in Their Ancestor. Trends Genet. 2007, 23, 108–112. [Google Scholar] [CrossRef]
- Van de Peer, Y.; Taylor, J.S.; Meyer, A. Are All Fishes Ancient Polyploids? In Genome Evolution; Meyer, A., Van de Peer, Y., Eds.; Springer Netherlands: Dordrecht, The Netherlands, 2003; pp. 65–73. ISBN 978-94-010-3957-4. [Google Scholar]
- Semon, M.; Wolfe, K.H. Rearrangement Rate Following the Whole-Genome Duplication in Teleosts. Mol. Biol. Evol. 2006, 24, 860–867. [Google Scholar] [CrossRef] [PubMed]
- Howe, K.; Clark, M.D.; Torroja, C.F.; Torrance, J.; Berthelot, C.; Muffato, M.; Collins, J.E.; Humphray, S.; McLaren, K.; Matthews, L.; et al. The Zebrafish Reference Genome Sequence and Its Relationship to the Human Genome. Nature 2013, 496, 498–503, Erratum in Nature 2014, 505, 248. [Google Scholar] [CrossRef] [PubMed]
- Renwick, J.H. The Mapping of Human Chromosomes. Annu. Rev. Genet. 1971, 5, 81–120. [Google Scholar] [CrossRef] [PubMed]
- Veltri, D.; Wight, M.M.; Crouch, J.A. SimpleSynteny: A Web-Based Tool for Visualization of Microsynteny across Multiple Species. Nucleic Acids Res. 2016, 44, W41–W45. [Google Scholar] [CrossRef]
- Maures, T.J.; Kurzer, J.H.; Carter-Su, C. SH2B1 (SH2-B) and JAK2: A Multifunctional Adaptor Protein and Kinase Made for Each Other. Trends Endocrinol. Metab. 2007, 18, 38–45. [Google Scholar] [CrossRef]
- Albrecht, M.; Golatta, M.; Wüllner, U.; Lengauer, T. Structural and Functional Analysis of Ataxin-2 and Ataxin-3. Eur. J. Biochem. 2004, 271, 3155–3170. [Google Scholar] [CrossRef]
- Huynh, D.P.; Figueroa, K.; Hoang, N.; Pulst, S.-M. Nuclear Localization or Inclusion Body Formation of Ataxin-2 Are Not Necessary for SCA2 Pathogenesis in Mouse or Human. Nat. Genet. 2000, 26, 44–50. [Google Scholar] [CrossRef]
- Lee, J.; Kim, M.; Itoh, T.Q.; Lim, C. Ataxin-2: A Versatile Posttranscriptional Regulator and Its Implication in Neural Function. WIREs RNA 2018, 9, e1488. [Google Scholar] [CrossRef]
- Li, L.; Wang, M.; Huang, L.; Zheng, X.; Wang, L.; Miao, H. Ataxin-2: A Powerful RNA-Binding Protein. Discov. Oncol. 2024, 15, 298. [Google Scholar] [CrossRef]
- Nonis, D.; Schmidt, M.H.H.; van de Loo, S.; Eich, F.; Dikic, I.; Nowock, J.; Auburger, G. Ataxin-2 Associates with the Endocytosis Complex and Affects EGF Receptor Trafficking. Cell. Signal. 2008, 20, 1725–1739. [Google Scholar] [CrossRef]
- Satterfield, T.F.; Pallanck, L.J. Ataxin-2 and Its Drosophila Homolog, ATX2, Physically Assemble with Polyribosomes. Hum. Mol. Genet. 2006, 15, 2523–2532. [Google Scholar] [CrossRef]
- Figueroa, K.P.; Pulst, S.M. Identification and Expression of the Gene for Human Ataxin-2-Related Protein on Chromosome 16. Exp. Neurol. 2003, 184, 669–678. [Google Scholar] [CrossRef] [PubMed]
- Kaehler, C.; Isensee, J.; Nonhoff, U.; Terrey, M.; Hucho, T.; Lehrach, H.; Krobitsch, S. Ataxin-2-Like Is a Regulator of Stress Granules and Processing Bodies. PLoS ONE 2012, 7, e50134. [Google Scholar] [CrossRef] [PubMed]
- Tharun, S. Chapter 4 Roles of Eukaryotic Lsm Proteins in the Regulation of mRNA Function. In International Review of Cell and Molecular Biology; Elsevier: Amsterdam, The Netherlands, 2008; Volume 272, pp. 149–189. ISBN 978-0-12-374747-1. [Google Scholar]
- Kozlov, G.; Ménade, M.; Rosenauer, A.; Nguyen, L.; Gehring, K. Molecular Determinants of PAM2 Recognition by the MLLE Domain of Poly(A)-Binding Protein. J. Mol. Biol. 2010, 397, 397–407. [Google Scholar] [CrossRef] [PubMed]
- Wang, X. Pat1: A Topoisomerase II-Associated Protein Required for Faithful Chromosome Transmission in Saccharomyces Cerevisiae. Nucleic Acids Res. 1996, 24, 4791–4797. [Google Scholar] [CrossRef]
- Ozgur, S.; Chekulaeva, M.; Stoecklin, G. Human Pat1b Connects Deadenylation with mRNA Decapping and Controls the Assembly of Processing Bodies. Mol. Cell. Biol. 2010, 30, 4308–4323. [Google Scholar] [CrossRef]
- Scheller, N.; Resa-Infante, P.; de la Luna, S.; Galao, R.P.; Albrecht, M.; Kaestner, L.; Lipp, P.; Lengauer, T.; Meyerhans, A.; Díez, J. Identification of PatL1, a Human Homolog to Yeast P Body Component Pat1. Biochim. Biophys. Acta BBA-Mol. Cell Res. 2007, 1773, 1786–1792. [Google Scholar] [CrossRef]
- Braun, J.E.; Tritschler, F.; Haas, G.; Igreja, C.; Truffault, V.; Weichenrieder, O.; Izaurralde, E. The C-Terminal α–α Superhelix of Pat Is Required for mRNA Decapping in Metazoa. EMBO J. 2010, 29, 2368–2380. [Google Scholar] [CrossRef]
- Yao, L.; Ruan, M.-Y.; Ye, S.-W.; Cai, S.-Q. DNA Topoisomerase 2-Associated Proteins PATL1 and PATL2 Regulate the Biogenesis of hERG K+ Channels. Proc. Natl. Acad. Sci. USA 2023, 120, e2206146120. [Google Scholar] [CrossRef]
- Standart, N.; Marnef, A. Pat1 Proteins: Regulating mRNAs from Birth to Death? Biomol. Concepts 2012, 3, 295–306. [Google Scholar] [CrossRef]
- Marnef, A.; Weil, D.; Standart, N. RNA-Related Nuclear Functions of Human Pat1b, the P-Body mRNA Decay Factor. Mol. Biol. Cell 2012, 23, 213–224. [Google Scholar] [CrossRef]
- He, F.; Celik, A.; Wu, C.; Jacobson, A. General Decapping Activators Target Different Subsets of Inefficiently Translated mRNAs. eLife 2018, 7, e34409. [Google Scholar] [CrossRef]
- Lobel, J.H.; Tibble, R.W.; Gross, J.D. Pat1 Activates Late Steps in mRNA Decay by Multiple Mechanisms. Proc. Natl. Acad. Sci. USA 2019, 116, 23512–23517. [Google Scholar] [CrossRef]
- Ostrowski, L.; Hall, A.; Mekhail, K. Ataxin-2: From RNA Control to Human Health and Disease. Genes 2017, 8, 157. [Google Scholar] [CrossRef]
- Neuwald, A.F.; Koonin, E.V. Ataxin-2, Global Regulators of Bacterial Gene Expression, and Spliceosomal snRNP Proteins Share a Conserved Domain. J. Mol. Med. Berl. Ger. 1998, 76, 3–5. [Google Scholar] [CrossRef]
- Drost, J.; Nonis, D.; Eich, F.; Leske, O.; Damrath, E.; Brunt, E.R.; Lastres-Becker, I.; Heumann, R.; Nowock, J.; Auburger, G. Ataxin-2 Modulates the Levels of Grb2 and Src but Not Ras Signaling. J. Mol. Neurosci. 2013, 51, 68–81. [Google Scholar] [CrossRef] [PubMed]
- Lastres-Becker, I.; Nonis, D.; Nowock, J.; Auburger, G. New Alternative Splicing Variants of the ATXN2 Transcript. Neurol. Res. Pract. 2019, 1, 22. [Google Scholar] [CrossRef] [PubMed]
- Prudencio, M.; Belzil, V.V.; Batra, R.; Ross, C.A.; Gendron, T.F.; Pregent, L.J.; Murray, M.E.; Overstreet, K.K.; Piazza-Johnston, A.E.; Desaro, P.; et al. Distinct Brain Transcriptome Profiles in C9orf72-Associated and Sporadic ALS. Nat. Neurosci. 2015, 18, 1175–1182. [Google Scholar] [CrossRef] [PubMed]
- Lastres-Becker, I.; Brodesser, S.; Lütjohann, D.; Azizov, M.; Buchmann, J.; Hintermann, E.; Sandhoff, K.; Schürmann, A.; Nowock, J.; Auburger, G. Insulin Receptor and Lipid Metabolism Pathology in Ataxin-2 Knock-out Mice. Hum. Mol. Genet. 2008, 17, 1465–1481. [Google Scholar] [CrossRef]
- Panagopoulos, I.; Gorunova, L.; Spetalen, S.; Bassarova, A.; Beiske, K.; Micci, F.; Heim, S. Fusion of the Genes Ataxin 2 like, ATXN2L, and Janus Kinase 2, JAK2, in Cutaneous CD4 Positive T-Cell Lymphoma. Oncotarget 2017, 8, 103775–103784. [Google Scholar] [CrossRef]
- Lin, L.; Li, X.; Pan, C.; Lin, W.; Shao, R.; Liu, Y.; Zhang, J.; Luo, Y.; Qian, K.; Shi, M.; et al. ATXN2L Upregulated by Epidermal Growth Factor Promotes Gastric Cancer Cell Invasiveness and Oxaliplatin Resistance. Cell Death Dis. 2019, 10, 173. [Google Scholar] [CrossRef]
- Gong, X.; Gui, Z.; Ye, X.; Li, X. Jatrorrhizine Ameliorates Schwann Cell Myelination via Inhibiting HDAC3 Ability to Recruit Atxn2l for Regulating the NRG1-ERBB2-PI3K-AKT Pathway in Diabetic Peripheral Neuropathy Mice. Phytother. Res. 2023, 37, 645–657. [Google Scholar] [CrossRef]
- Kwak, S.H.; Srinivasan, S.; Chen, L.; Todd, J.; Mercader, J.M.; Jensen, E.T.; Divers, J.; Mottl, A.K.; Pihoker, C.; Gandica, R.G.; et al. Genetic Architecture and Biology of Youth-Onset Type 2 Diabetes. Nat. Metab. 2024, 6, 226–237. [Google Scholar] [CrossRef] [PubMed]
- Niu, C.; Dong, D.; Cui, L.; Dong, Y.; Wang, W. Exosomal FOXL1 from Bone Marrow Mesenchymal Stem Cells Activates the METTL3/ATXN2L Pathway to Ameliorate High Glucose-Induced Human Retinal Microvascular Endothelial Cell Injury. Diabetol. Metab. Syndr. 2025, 17, 229. [Google Scholar] [CrossRef] [PubMed]
- Watchon, M.; Yuan, K.C.; Mackovski, N.; Svahn, A.J.; Cole, N.J.; Goldsbury, C.; Rinkwitz, S.; Becker, T.S.; Nicholson, G.A.; Laird, A.S. Calpain Inhibition Is Protective in Machado–Joseph Disease Zebrafish Due to Induction of Autophagy. J. Neurosci. 2017, 37, 7782–7794. [Google Scholar] [CrossRef] [PubMed]
- Elsaey, M.A.; Namikawa, K.; Köster, R.W. Genetic Modeling of the Neurodegenerative Disease Spinocerebellar Ataxia Type 1 in Zebrafish. Int. J. Mol. Sci. 2021, 22, 7351. [Google Scholar] [CrossRef]
- Namikawa, K.; Dorigo, A.; Zagrebelsky, M.; Russo, G.; Kirmann, T.; Fahr, W.; Dübel, S.; Korte, M.; Köster, R.W. Modeling Neurodegenerative Spinocerebellar Ataxia Type 13 in Zebrafish Using a Purkinje Neuron Specific Tunable Coexpression System. J. Neurosci. 2019, 39, 3948–3969. [Google Scholar] [CrossRef]
- Namikawa, K.; Dorigo, A.; Köster, R.W. Neurological Disease Modelling for Spinocerebellar Ataxia Using Zebrafish. J. Exp. Neurosci. 2019, 13, 1179069519880515. [Google Scholar] [CrossRef]
- Buchberger, A.; Schepergerdes, L.; Flaßhoff, M.; Kunick, C.; Köster, R.W. A Novel Inhibitor Rescues Cerebellar Defects in a Zebrafish Model of Down Syndrome–Associated Kinase Dyrk1A Overexpression. J. Biol. Chem. 2021, 297, 100853. [Google Scholar] [CrossRef]
- Aleström, P.; D’Angelo, L.; Midtlyng, P.J.; Schorderet, D.F.; Schulte-Merker, S.; Sohm, F.; Warner, S. Zebrafish: Housing and Husbandry Recommendations. Lab. Anim. 2020, 54, 213–224. [Google Scholar] [CrossRef]










Disclaimer/Publisher’s Note: The statements, opinions and data contained in all publications are solely those of the individual author(s) and contributor(s) and not of MDPI and/or the editor(s). MDPI and/or the editor(s) disclaim responsibility for any injury to people or property resulting from any ideas, methods, instructions or products referred to in the content. |
© 2025 by the authors. Licensee MDPI, Basel, Switzerland. This article is an open access article distributed under the terms and conditions of the Creative Commons Attribution (CC BY) license (https://creativecommons.org/licenses/by/4.0/).
Share and Cite
Vauti, F.; Eilers, L.; Kroll, A.; Köster, R.W. Genomic Organization, Evolutionary Conservation and Expression of Ataxin-2 and Ataxin-2-like Genes Underscore the Suitability of Zebrafish as a Model Organism for SCA2 and Related Diseases. Biomedicines 2025, 13, 2974. https://doi.org/10.3390/biomedicines13122974
Vauti F, Eilers L, Kroll A, Köster RW. Genomic Organization, Evolutionary Conservation and Expression of Ataxin-2 and Ataxin-2-like Genes Underscore the Suitability of Zebrafish as a Model Organism for SCA2 and Related Diseases. Biomedicines. 2025; 13(12):2974. https://doi.org/10.3390/biomedicines13122974
Chicago/Turabian StyleVauti, Franz, Lukas Eilers, Anneke Kroll, and Reinhard W. Köster. 2025. "Genomic Organization, Evolutionary Conservation and Expression of Ataxin-2 and Ataxin-2-like Genes Underscore the Suitability of Zebrafish as a Model Organism for SCA2 and Related Diseases" Biomedicines 13, no. 12: 2974. https://doi.org/10.3390/biomedicines13122974
APA StyleVauti, F., Eilers, L., Kroll, A., & Köster, R. W. (2025). Genomic Organization, Evolutionary Conservation and Expression of Ataxin-2 and Ataxin-2-like Genes Underscore the Suitability of Zebrafish as a Model Organism for SCA2 and Related Diseases. Biomedicines, 13(12), 2974. https://doi.org/10.3390/biomedicines13122974

