A Pilot Study of Exosome Proteomic Profiling Reveals Dysregulated Metabolic Pathways in Endometrial Cancer
Abstract
1. Introduction
2. Materials and Methods
2.1. Patients
2.2. Serum Sample Collection and Exosomes Isolation
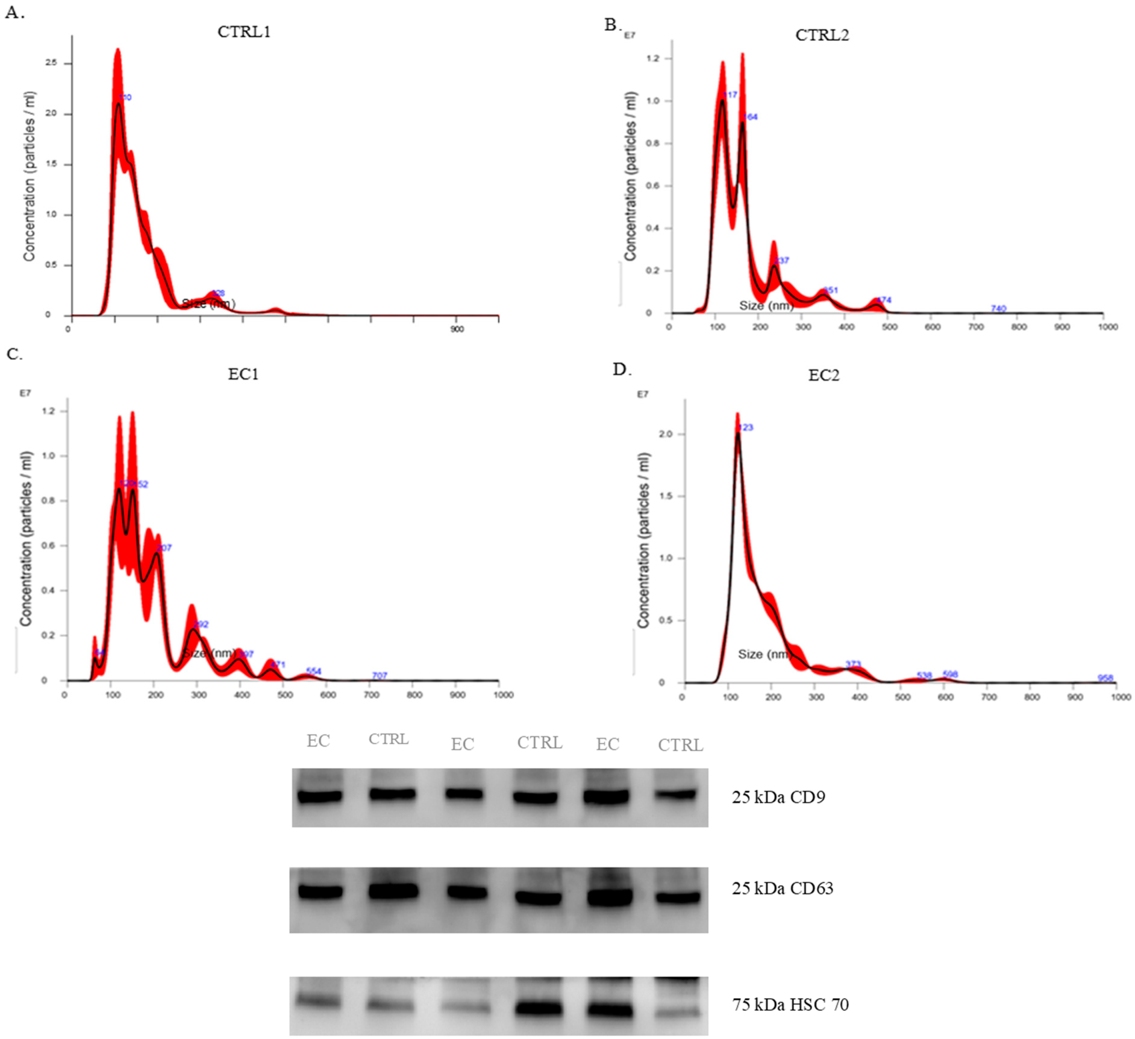
2.3. Nanoparticle Tracking Analysis
2.4. Western Blotting
2.5. Proteome Analysis
2.6. Bioinformatic Analysis
2.7. Statistical Analysis
3. Results
3.1. Exosomal Characterization
3.2. Proteomics Study
3.3. Bioinformatic Analysis
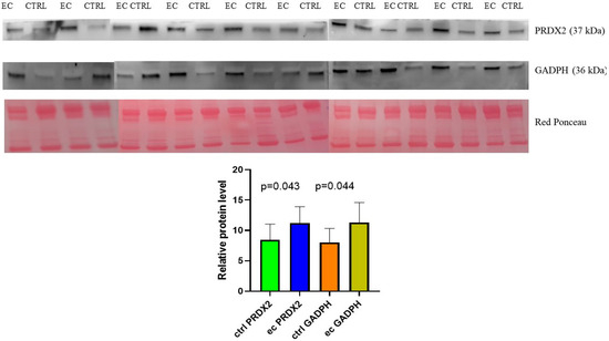
3.4. Enzyme Component in Exosomes
Western Blotting
4. Discussion
5. Conclusions
Supplementary Materials
Author Contributions
Funding
Institutional Review Board Statement
Informed Consent Statement
Data Availability Statement
Conflicts of Interest
References
- Schwameis, R.; Fanfani, F.; Ebner, C.; Zimmermann, N.; Peters, I.; Nero, C.; Marth, C.; Ristl, R.; Leitner, K.; Grimm, C.; et al. Verification of the prognostic precision of the new 2023 FIGO staging system in endometrial cancer patients—An international pooled analysis of three ESGO accredited centres. Eur. J. Cancer 2023, 193, 113317. [Google Scholar] [CrossRef]
- Yang, L.; Yuan, Y.; Zhu, R.; Zhang, X. Time trend of global uterine cancer burden: An age-period-cohort analysis from 1990 to 2019 and predictions in a 25-year period. BMC Womens Health 2023, 23, 384. [Google Scholar] [CrossRef] [PubMed]
- Holman, L.L.; Lu, K.H. The Epidemiology of Endometrial Cancer. Glob. Libr. Women’s Med. 2012. [Google Scholar] [CrossRef]
- Urbanelli, L.; Magini, A.; Buratta, S.; Brozzi, A.; Sagini, K.; Polchi, A.; Tancini, B.; Emiliani, C. Signaling pathways in exosomes biogenesis, secretion and fate. Genes 2013, 28, 152–170. [Google Scholar] [CrossRef]
- Brooks, N.; Pouniotis, D.S. Immunomodulation in endometrial cancer. Int. J. Gynecol. Cancer 2009, 19, 734–740. [Google Scholar] [CrossRef] [PubMed]
- Ura, B.; Biffi, S.; Monasta, L.; Arrigoni, G.; Battisti, I.; Di Lorenzo, G.; Romano, F.; Aloisio, M.; Celsi, F. Two Dimensional-Difference in Gel Electrophoresis (2D-DIGE) Proteomic Approach for the Identification of Biomarkers in Endometrial Cancer Serum. Cancers 2021, 13, 3639. [Google Scholar] [CrossRef]
- Sommella, E.; Capaci, V.; Aloisio, M.; Salviati, E.; Campiglia, P.; Molinario, G.; Licastro, D.; Di Lorenzo, G.; Romano, F.; Ricci, G.; et al. A Label-Free Proteomic Approach for the Identification of Biomarkers in the Exosome of Endo-metrial Cancer Serum. Cancers 2022, 14, 6262. [Google Scholar] [CrossRef] [PubMed]
- Song, Y.; Wang, M.; Tong, H.; Tan, Y.; Hu, X.; Wang, K.; Wan, X. Plasma exosomes from endometrial cancer patients contain LGALS3BP to promote endometrial cancer progression. Oncogene 2021, 40, 633–646. [Google Scholar] [CrossRef]
- Mariscal, J.; Fernandez-Puente, P.; Calamia, V.; Abalo, A.; Santacana, M.; Matias-Guiu, X.; Lopez-Lopez, R.; Gil-Moreno, A.; Alonso-Alconada, L.; Abal, M. Proteomic Characterization of Epithelial-like Extracellular Vesicles in Advanced Endometrial Cancer. J. Proteome Res. 2019, 18, 1043–1053. [Google Scholar] [CrossRef] [PubMed]
- Koppenol, W.H.; Bounds, P.L.; Dang, C.V. Otto Warburg’s contributions to current concepts of cancer metabolism. Nat. Rev. Cancer 2011, 11, 325–337. [Google Scholar] [CrossRef] [PubMed]
- Ribas, V.; García-Ruiz, C.C. Fernández-Checa JC. Mitochondria, cholesterol and cancer cell metabolism. Clin. Transl. Med. 2016, 5, 22. [Google Scholar] [CrossRef]
- Lemberg, K.M.; Gori, S.; Tsukamoto, T.; Rais, R.; Slusher, B.S. Clinical development of metabolic inhibitors for oncology. J. Clin. Investig. 2022, 132, e148550. [Google Scholar] [CrossRef]
- Yang, X.; Wang, J. The Role of Metabolic Syndrome in Endometrial Cancer: A Review. Front. Oncol. 2019, 9, 744. [Google Scholar] [CrossRef]
- Li, J.; Yang, H.; Zhang, L.; Zhang, S.; Dai, Y. Metabolic reprogramming and interventions in endometrial carcinoma. Biomed. Pharmacother. 2023, 161, 114526. [Google Scholar] [CrossRef]
- Kwon, Y.W.; Jo, H.S.; Bae, S.; Seo, Y.; Song, P.; Song, M.; Yoon, J.H. Application of Proteomics in Cancer: Recent Trends and Approaches for Biomarkers Discovery. Front. Med. 2021, 8, 747333. [Google Scholar] [CrossRef] [PubMed]
- Matzinger, M.; Schmücker, A.; Yelagandula, R.; Stejskal, K.; Krššáková, G.; Berger, F.; Mechtler, K.; Mayer, R.L. Micropillar arrays, wide window acquisition and AI-based data analysis improve comprehensiveness in multiple proteomic applications. Nat. Commun. 2024, 15, 1019. [Google Scholar] [CrossRef] [PubMed]
- Capaci, V.; Kharrat, F.; Conti, A.; Salviati, E.; Basilicata, M.G.; Campiglia, P.; Balasan, N.; Danilo Licastro, D.; Federica Caponnetto, F.; Antonio Paolo Beltrami, A.P.; et al. The Deep Proteomics Approach Identified Extracellular Vesicular Proteins Correlated to Extracellular Matrix in Type One and Two Endometrial Cancer. Int. J. Mol. Sci. 2024, 25, 4650. [Google Scholar] [CrossRef]
- Ura, B.; Scrimin, F.; Franchin, C.; Arrigoni, G.; Licastro, D.; Monasta, L.; Ricci, G. Identification of proteins with different abundance associated with cell migration and proliferation in leiomyoma interstitial fluid by proteomics. Oncol. Lett. 2017, 13, 3912–3920. [Google Scholar] [CrossRef] [PubMed]
- Del Vecchio, C.; Gratton, R.; Nait-Meddour, C.; Nardacchione, E.M.; Ronald Moura, R.; Sommella, E.; Moltrasio, C.; Marzano, V.A.; Ura, B.; Mentino, D.; et al. Dysregulation of Aquaporin-3 and Glyceryl Glucoside Restoring Action in Hidradenitis Suppurativa in Vitro Models. Cell Physiol. Biochem. 2024, 58, 404–417. [Google Scholar]
- Tang, D.; Chen, M.; Huang, X.; Zhang, G.; Zeng, L.; Zhang, G.; Wu, S.; Wang, Y. SRplot: A free online platform for data visualization and graphing. PLoS ONE 2023, 9, 18. [Google Scholar] [CrossRef] [PubMed]
- Capaci, V.; Monasta, L.; Aloisio, M.; Sommella, E.; Salviati, E.; Campiglia, P.; Basilicata, M.G.; Kharrat, F.; Licastro, D.; Di Lorenzo, G. A Multi-Omics Approach Revealed Common Dysregulated Pathways in Type One and Type Two Endometrial Cancers. Int. J. Mol. Sci. 2023, 24, 16057. [Google Scholar] [CrossRef] [PubMed]
- Stefańska, K.; Józkowiak, M.; Volponi, A.A.; Shibli, J.A.; Golkar-Narenji, A.; Antosik, P.; Bukowska, D.; Piotrowska-Kempisty, H.; Mozdziak, P.; Dzięgiel, P.; et al. The Role of Exosomes in Human Carcinogenesis and Cancer Therapy-Recent Findings from Molecular and Clinical Research. Cells 2023, 12, 356. [Google Scholar] [CrossRef]
- Kugeratski, F.G.; Hodge, K.; Lilla, S.; McAndrews, K.M.; Zhou, X.; Hwang, R.F.; Zanivan, S.; Raghu Kalluri, R. Quantitative proteomics identifies the core proteome of exosomes with syntenin-1 as the highest abundant protein and a putative universal biomarker. Nat. Cell Biol. 2021, 23, 631–641. [Google Scholar] [CrossRef] [PubMed]
- Ichikawa, H.; Kanda, T.; Kosugi, S.-I.; Kawachi, Y.; Sasaki, H.; Wakai, T.; Kondo, T. Laser Microdissection and Two-Dimensional Difference Gel Electrophoresis Reveal the Role of a Novel Macrophage-Capping Protein in Lymph Node Metastasis in Gastric Cancer. J. Proteome Res. 2013, 12, 3780–3791. [Google Scholar] [CrossRef] [PubMed]
- Kimura, K.; Ojima, H.; Kubota, D.; Sakumoto, M.; Nakamura, Y.; Tomonaga, T.; Kosuge, T.; Kondo, T. Proteomic identification of the macrophage-capping protein as a protein contributing to the malignant features of hepatocellular carcinoma. J. Proteom. 2013, 78, 362–373. [Google Scholar] [CrossRef]
- Andersen, J.D.; Boylan, K.L.M.; Xue, F.S.; Anderson, L.B.; Witthuhn, B.A.; Markowski, T.W.; Higgins, L.; Skubitz, A. Identification of candidate biomarkers in ovarian cancer serum by depletion of highly abundant proteins and differential in-gel electrophoresis. Electrophoresis 2010, 31, 599–610. [Google Scholar] [CrossRef]
- Göran Ronquist, K. Extracellular vesicles and energy metabolism. Clin. Chim. Acta 2019, 488, 116–121. [Google Scholar] [CrossRef]
- Selders, G.; Fetz, A.E.; Radic, M.Z.; Gary, L.; Bowlin, G.L. An overview of the role of neutrophils in innate immunity, inflammation and host-biomaterial integration. Regen. Biomater. 2017, 4, 55–68. [Google Scholar] [CrossRef]
- Braun, A.; Anders, H.J.; Gudermann, T.H.; Mammadova-Bach, E. Platelet-Cancer Interplay: Molecular Mechanisms and New Therapeutic Avenues. Front. Oncol. 2021, 11, 665534. [Google Scholar] [CrossRef]
- Palacios-Acedo, A.L.; Langiu, M.; Crescence, L.; Mège, D.; Dubois, C.; Panicot-Dubois, L. Platelet and Cancer-Cell Interactions Modulate Cancer-Associated Thrombosis Risk in Different Cancer Types. Cancers 2022, 14, 730. [Google Scholar] [CrossRef]
- Masucci, M.T.; Minopoli, M.; Carriero, M.V. Tumor Associated Neutrophils. Their Role in Tumorigenesis, Metastasis, Prognosis and Therapy. Front. Oncol. 2019, 9, 1146. [Google Scholar] [CrossRef] [PubMed]
- Mollinedo, F. Neutrophil Degranulation, Plasticity, and Cancer Metastasis. Trends Immunol. 2019, 40, 228–242. [Google Scholar] [CrossRef] [PubMed]
- Stone, R.L.; Nick, A.M.; McNeish, I.A.; Balkwill, F.; Han, H.D.; Bottsford-Miller, J.; Rupairmoole, R.; Armaiz-Pena, G.N.; Pecot, C.V.; Coward, J.; et al. Paraneoplastic thrombocytosis in ovarian cancer. N. Engl. J. Med. 2012, 366, 610. [Google Scholar] [CrossRef] [PubMed]
- Ta Mounce, L.; Hamilton, W.; Er Bailey, S. Cancer incidence following a high-normal platelet count: Cohort study using electronic healthcare records from English primary care. Br. J. Gen. Pract. 2020, 70, e622–e628. [Google Scholar] [CrossRef]
- Kodaz, H.; Hacioglu, M.B.; Kodaz, C.P.; Cinkaya, A.; Erdogan, B.; Cicin, I. Endometrial carcinoma and paraneoplastic immune thrombocytopenia. J. Oncol. Sci. 2016, 2, 25–26. [Google Scholar] [CrossRef]
- Li, S.; Lu, Z.; Wu, S.; Chu, T.; Li, B.; Qi, F.; Zhao, Y.; Nie, G. The dynamic role of platelets in cancer progression and their therapeutic implications. Nat. Rev. Cancer 2024, 24, 72–87. [Google Scholar] [CrossRef] [PubMed]
- Kang, S.W.; Chae, H.Z.; Seo, M.S.; Kim, K.; Baines, I.C.; Rhee, S.G. Mammalian peroxiredoxin isoforms can reduce hydrogen peroxide generated in response to growth factors and tumor necrosis factor-alpha. J. Biol. Chem. 1998, 273, 6297–6302. [Google Scholar] [CrossRef] [PubMed]
- Balasubramanian, P.; Vijayarangam, V.; Deviparasakthi, M.K.G.; Palaniyandi, T.; Ravi, M.; Natarajan, S.; Viswanathan, S.; Baskar, G.; Wahab, M.R.A.; Surendran, H. Implications and progression of peroxiredoxin 2 (PRDX2) in various human diseases. Pathol. Res. Pract. 2024, 254, 155080. [Google Scholar] [CrossRef] [PubMed]
- Geiger, T.; Madden, S.F.; Gallagher, W.M.; Cox, J.; Mann, M. Proteomic portrait of human breast cancer progression identifies novel prognostic markers. Cancer Res. 2012, 72, 2428–2439. [Google Scholar] [CrossRef] [PubMed]
- Mohammed, S.I.; Torres-Luquis, O.; Zhou, W.; Lanman, N.A.; Espina, V.; Liotta, L. Tumor-Draining Lymph Secretome En Route to the Regional Lymph Node in Breast Cancer Metastasis. Breast Cancer Targets Ther. 2020, 12, 57–67. [Google Scholar] [CrossRef]
- Zhao, J.M.; Qi, T.G. The role of TXNL1 in disease: Treatment strategies for cancer and diseases with oxidative stress. Mol. Biol. Rep. 2021, 48, 2929–2934. [Google Scholar] [CrossRef]
- Xu, W.; Wang, S.; Chen, Q.; Zhang, Y.; Ni, P.; Wu, X.; Zhang, J.; Qiang, F.; Li, A.; Røe, O.D.; et al. TXNL1-XRCC1 pathway regulates cisplatin-induced cell death and contributes to resistance in human gastric cancer. Cell Death Dis. 2014, 5, e1055. [Google Scholar] [CrossRef] [PubMed]
- Chen, J.W.; CDodia, C.; Feinstein, S.I.; Jain, M.K.; Fisher, A.B. 1-Cys peroxiredoxin, a bifunctional enzyme with glutathione peroxidase and phospholipase A2 activities. J. Biol. Chem. 2000, 275, 28421–28427. [Google Scholar] [CrossRef] [PubMed]
- Chen, Z.; Chen, D.; Song, Z.; Lv, Y.; Qi, D. Mapping the tumor microenvironment in bladder cancer and exploring the prognostic genes by single-cell RNA sequencing. Front. Oncol. 2023, 12, 1105026. [Google Scholar] [CrossRef] [PubMed]
- Hu, L.; Zhou, M.; Xue, L.; Zhang, J. Circular RNA hsa_circ_0011385 contributes to cervical cancer progression through sequestering miR-149-5p and increasing PRDX6 expression. Reprod. Biol. 2022, 22, 100619. [Google Scholar] [CrossRef] [PubMed]
- Shrestha, J.; Limbu, K.R.; Chhetri, R.B.; Paudel, K.R.; Hansbro, P.M.; Oh, Y.S.; Baek, D.J.; Ki, S.H.; Park, E.Y. Antioxidant genes in cancer and metabolic diseases: Focusing on Nrf2, Sestrin, and heme oxygenase 1. Int. J. Biol. Sci. 2024, 20, 4888–4907. [Google Scholar] [CrossRef] [PubMed]
- Liu, Y.; Wang, P.; Hu, W.; Chen, D. New insights into the roles of peroxiredoxins in cancer. Biomed. Pharmacother. 2023, 164, 114896. [Google Scholar] [CrossRef] [PubMed]









| Pathway Identifier | Pathway Name |
|---|---|
| R-HSA-2022377 | Metabolism of Angiotensinogen to Angiotensins |
| R-HSA-71387 | Metabolism of carbohydrates |
| R-HSA-351202 | Metabolism of polyamines |
| R-HSA-70263 | Gluconeogenesis |
| R-HSA-70350 | Fructose catabolism |
| R-HSA-5652084 | Fructose metabolism |
| R-HSA-5663084 | Diseases of carbohydrate metabolism |
| R-HSA-70171 | Glycolysis |
| R-HSA-9636667 | Manipulation of host energy metabolism |
| R-HSA-5668914 | Diseases of metabolism |
| R-HSA-70326 | Glucose metabolism |
| R-HSA-1483249 | Inositol phosphate metabolism |
| R-HSA-196849 | Metabolism of water-soluble vitamins and cofactors |
| R-HSA-1630316 | Glycosaminoglycan metabolism |
| R-HSA-200425 | Carnitine metabolism |
| R-HSA-196854 | Metabolism of vitamins and cofactors |
| R-HSA-6806664 | Metabolism of vitamin K |
| R-HSA-196757 | Metabolism of folate and pterines |
| R-HSA-70921 | Histidine catabolism |
| R-HSA-199220 | Vitamin B5 (pantothenate) metabolism |
| R-HSA-9854907 | Regulation of MITF-M dependent genes involved in metabolism |
| R-HSA-74259 | Purine catabolism |
| R-HSA-8978934 | Metabolism of cofactors |
| R-HSA-1793185 | Chondroitin sulfate/dermatan sulfate metabolism |
| R-HSA-1638091 | Heparan sulfate/heparin (HS-GAG) metabolism |
| R-HSA-189445 | Metabolism of porphyrins |
| R-HSA-2980736 | Peptide hormone metabolism |
| R-HSA-8956319 | Nucleotide catabolism |
| R-HSA-70268 | Pyruvate metabolism |
| R-HSA-975634 | Retinoid metabolism and transport |
| R-HSA-196791 | Vitamin D (calciferol) metabolism |
| R-HSA-1614635 | Sulfur amino acid metabolism |
| R-HSA-194441 | Metabolism of non-coding RNA |
| R-HSA-2142753 | Arachidonic acid metabolism |
| R-HSA-390918 | Peroxisomal lipid metabolism |
| R-HSA-1660662 | Glycosphingolipid metabolism |
| R-HSA-6806667 | Metabolism of fat-soluble vitamins |
| R-HSA-71291 | Metabolism of amino acids and derivatives |
| R-HSA-15869 | Metabolism of nucleotides |
| R-HSA-194068 | Bile acid and bile salt metabolism |
| R-HSA-163685 | Integration of energy metabolism |
| R-HSA-8978868 | Fatty acid metabolism |
| R-HSA-428157 | Sphingolipid metabolism |
| R-HSA-400206 | Regulation of lipid metabolism by PPARalpha |
| R-HSA-1483257 | Phospholipid metabolism |
| R-HSA-392499 | Metabolism of proteins |
| R-HSA-8953854 | Metabolism of RNA |
| R-HSA-8957322 | Metabolism of steroids |
| R-HSA-556833 | Metabolism of lipids |
Disclaimer/Publisher’s Note: The statements, opinions and data contained in all publications are solely those of the individual author(s) and contributor(s) and not of MDPI and/or the editor(s). MDPI and/or the editor(s) disclaim responsibility for any injury to people or property resulting from any ideas, methods, instructions or products referred to in the content. |
© 2025 by the authors. Licensee MDPI, Basel, Switzerland. This article is an open access article distributed under the terms and conditions of the Creative Commons Attribution (CC BY) license (https://creativecommons.org/licenses/by/4.0/).
Share and Cite
Kharrat, F.; Capaci, V.; Conti, A.; Golino, V.; Campiglia, P.; Balasan, N.; Aloisio, M.; Licastro, D.; Monasta, L.; Caponneto, F.; et al. A Pilot Study of Exosome Proteomic Profiling Reveals Dysregulated Metabolic Pathways in Endometrial Cancer. Biomedicines 2025, 13, 95. https://doi.org/10.3390/biomedicines13010095
Kharrat F, Capaci V, Conti A, Golino V, Campiglia P, Balasan N, Aloisio M, Licastro D, Monasta L, Caponneto F, et al. A Pilot Study of Exosome Proteomic Profiling Reveals Dysregulated Metabolic Pathways in Endometrial Cancer. Biomedicines. 2025; 13(1):95. https://doi.org/10.3390/biomedicines13010095
Chicago/Turabian StyleKharrat, Feras, Valeria Capaci, Andrea Conti, Valentina Golino, Pietro Campiglia, Nour Balasan, Michelangelo Aloisio, Danilo Licastro, Lorenzo Monasta, Federica Caponneto, and et al. 2025. "A Pilot Study of Exosome Proteomic Profiling Reveals Dysregulated Metabolic Pathways in Endometrial Cancer" Biomedicines 13, no. 1: 95. https://doi.org/10.3390/biomedicines13010095
APA StyleKharrat, F., Capaci, V., Conti, A., Golino, V., Campiglia, P., Balasan, N., Aloisio, M., Licastro, D., Monasta, L., Caponneto, F., Beltrami, A. P., Romano, F., di Lorenzo, G., Ricci, G., & Ura, B. (2025). A Pilot Study of Exosome Proteomic Profiling Reveals Dysregulated Metabolic Pathways in Endometrial Cancer. Biomedicines, 13(1), 95. https://doi.org/10.3390/biomedicines13010095

