Integrin-Dependent Transient Density Increase in Detergent-Resistant Membrane Rafts in Platelets Activated by Thrombin
Abstract
1. Introduction
2. Materials and Methods
2.1. Materials
2.2. Patient
2.3. Platelet Preparation
2.4. Sucrose Density Gradient Analysis
2.5. Clot Retraction
2.6. Cell Immunostaining
2.7. Binding Assay of Fibrinogen γ Chain C-Terminal Fusion Protein
2.8. Lipid Extraction
2.9. Mass Spectrometry
3. Results and Discussion
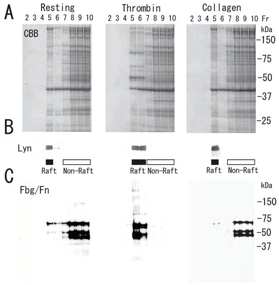
3.1. Transient Platelet DRM Shifted to a Higher Density upon Thrombin Stimulation
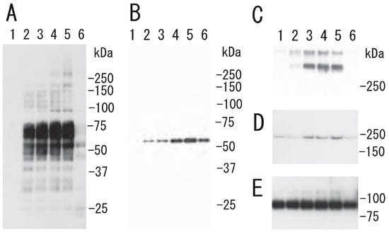
3.2. Proteins and Fibrin Translocation to DRM Raft Fraction of Human Platelets by Thrombin Stimulation
3.3. A Change in Phospholipids Composition of DRM Raft Fraction by Thrombin Stimulation
3.4. Impairment of Thrombin-Induced Platelet DRM Shift to a Higher Density in Type I Glanzmann’s Thrombasthenia
4. Conclusions
Supplementary Materials
Author Contributions
Funding
Institutional Review Board Statement
Informed Consent Statement
Data Availability Statement
Acknowledgments
Conflicts of Interest
Abbreviations
| DRM | detergent-resistant membrane |
| DIC | differential interference contrast |
| PRP | platelet-rich plasma |
| CBB | Coomassie Brilliant Blue |
| MLC | myosin regulatory light chain |
| MAPK | mitogen-activated protein kinase |
| PC | Phosphatidylcholine |
| PE | phosphatidylethanolamine |
| PL | phospholipid |
| PS | phosphatidylserine |
| Ser | serine |
| Thr | threonine |
| Tyr | tyrosine |
References
- Simons, K.; Gerl, M.J. Revitalizing membrane rafts: New tools and insights. Nat. Rev. Mol. Cell Biol. 2010, 11, 688–699. [Google Scholar] [CrossRef] [PubMed]
- López, J.A.; del Conde, I.; Shrimpton, C.N. Receptors, rafts, and microvesicles in thrombosis and inflammation. J. Thromb. Haemost. 2005, 3, 1737–1744. [Google Scholar] [CrossRef] [PubMed]
- Bodin, S.; Tronchère, H.; Payrastre, B. Lipid rafts are critical membrane domains in blood platelet activation processes. Biochim. Biophys. Acta 2003, 1610, 247–257. [Google Scholar] [CrossRef] [PubMed]
- Komatsuya, K.; Kaneko, K.; Kasahara, K. Function of Platelet Glycosphingolipid Microdomains/Lipid Rafts. Int. J. Mol. Sci. 2020, 21, 5539. [Google Scholar] [CrossRef]
- Brown, D.A.; Rose, J.K. Sorting of GPI-anchored proteins to glycolipid-enriched membrane subdomains during transport to the apical cell surface. Cell 1992, 68, 533–544. [Google Scholar] [CrossRef]
- Dorahy, D.J.; Lincz, L.F.; Meldrum, C.J.; Burns, G.F. Biochemical isolation of a membrane microdomain from resting platelets highly enriched in the plasma membrane glycoprotein CD36. Biochem. J. 1996, 319, 67–72. [Google Scholar] [CrossRef]
- Dorahy, D.J.; Burns, G.F. Active Lyn protein tyrosine kinase is selectively enriched within membrane microdomains of resting platelets. Biochem. J. 1998, 333, 373–379. [Google Scholar] [CrossRef]
- Kasahara, K.; Sanai, Y. Functional roles of glycosphingolipids in signal transduction via lipid rafts. Glycoconj. J. 2000, 17, 153–162. [Google Scholar] [CrossRef]
- Kasahara, K.; Watanabe, Y.; Yamamoto, T.; Sanai, Y. Association of Src family tyrosine kinase Lyn with ganglioside GD3 in rat brain. Possible regulation of Lyn by glycosphingolipid in caveolae-like domains. J. Biol. Chem. 1997, 272, 29947–29953. [Google Scholar] [CrossRef]
- Kasahara, K.; Watanabe, K.; Takeuchi, K.; Kaneko, H.; Oohira, A.; Yamamoto, T.; Sanai, Y. Involvement of gangliosides in glycosylphosphatidylinositol-anchored neuronal cell adhesion molecule TAG-1 signaling in lipid rafts. J. Biol. Chem. 2000, 275, 34701–34709. [Google Scholar] [CrossRef]
- Yuyama, K.; Sekino-Suzuki, N.; Sanai, Y.; Kasahara, K. Translocation of activated heterotrimeric G protein Galpha(o) to ganglioside-enriched detergent-resistant membrane rafts in developing cerebellum. J. Biol. Chem. 2007, 282, 26392–26400. [Google Scholar] [CrossRef] [PubMed]
- Sekino-Suzuki, N.; Yuyama, K.; Miki, T.; Kaneda, M.; Suzuki, H.; Yamamoto, N.; Yamamoto, T.; Oneyama, C.; Okada, M.; Kasahara, K. Involvement of gangliosides in the process of Cbp/PAG phosphorylation by Lyn in developing cerebellar growth cones. J. Neurochem. 2013, 124, 514–522. [Google Scholar] [CrossRef] [PubMed]
- Kasahara, K.; Kaneda, M.; Miki, T.; Iida, K.; Sekino-Suzuki, N.; Kawashima, I.; Suzuki, H.; Shimonaka, M.; Arai, M.; Ohno-Iwashita, Y.; et al. Clot retraction is mediated by factor XIII-dependent fibrin-αIIbβ3-myosin axis in platelet sphingomyelin-rich membrane rafts. Blood 2013, 122, 3340–3348. [Google Scholar] [CrossRef] [PubMed]
- Ohtsuka, H.; Iguchi, T.; Hayashi, M.; Kaneda, M.; Iida, K.; Shimonaka, M.; Hara, T.; Arai, M.; Koike, Y.; Yamamoto, N.; et al. SDF-1α/CXCR4 Signaling in Lipid Rafts Induces Platelet Aggregation via PI3 Kinase-Dependent Akt Phosphorylation. PLoS ONE 2017, 12, e0169609. [Google Scholar] [CrossRef] [PubMed]
- Komatsuya, K.; Iguchi, T.; Fukuyama, M.; Kawashima, I.; Ogura, K.; Kikuchi, N.; Shimoda, Y.; Takeda, Y.; Shimonaka, M.; Yamamoto, N.; et al. Phosphacan acts as a repulsive cue in murine and rat cerebellar granule cells in a TAG-1/GD3 rafts-dependent manner. J. Neurochem. 2022, 163, 375–390. [Google Scholar] [CrossRef] [PubMed]
- Komatsuya, K.; Kikuchi, N.; Hirabayashi, T.; Kasahara, K. The Regulatory Roles of Cerebellar Glycosphingolipid Microdomains/Lipid Rafts. Int. J. Mol. Sci. 2023, 24, 5566. [Google Scholar] [CrossRef] [PubMed]
- Suzuki, K.G.N.; Kusumi, A. Refinement of Singer-Nicolson fluid-mosaic model by microscopy imaging: Lipid rafts and actin-induced membrane compartmentalization. Biochim. Biophys. Acta Biomembr. 2023, 1865, 184093. [Google Scholar] [CrossRef] [PubMed]
- Yamamoto, N.; Kitagawa, H.; Yamamoto, K.; Tanoue, K.; Yamazaki, H. Calcium ions and the conformation of glycoprotein IIIa that is essential fibrinogen binding to platelets: Analysis by a new monoclonal anti-GP IIIa antibody, TM83. Blood 1989, 73, 1552–1560. [Google Scholar] [CrossRef][Green Version]
- Xiao, T.; Takagi, J.; Coller, B.S.; Wang, J.H.; Springer, T.A. Structural basis for allostery in integrins and binding to fibrinogen-mimetic therapeutics. Nature 2004, 432, 59–67. [Google Scholar] [CrossRef]
- Bligh, E.G.; Dyer, W.J. A rapid method of total lipid extraction and purification. Can. J. Biochem. Physiol. 1959, 37, 911. [Google Scholar] [CrossRef]
- Taguchi, R.; Houjou, T.; Nakanishi, H.; Yamazaki, T.; Ishida, M.; Imagawa, M.; Shimizu, T. Focused lipidomics by tandem mass spectrometry. J. Chromatogr. B Analyt. Technol. Biomed. Life Sci. 2005, 823, 26–36. [Google Scholar] [CrossRef] [PubMed]
- Nurden, A.T. Molecular basis of clot retraction and its role in wound healing. Thromb. Res. 2022, 231, 159–169. [Google Scholar] [CrossRef] [PubMed]
- Tutwiler, V.; Litvinov, R.I.; Lozhkin, A.P.; Peshkova, A.D.; Lebedeva, T.; Ataullakhanov, F.I.; Spiller, K.L.; Cines, D.B.; Weisel, J.W. Kinetics and mechanics of clot contraction are governed by the molecular and cellular composition of the blood. Blood 2016, 127, 149–159. [Google Scholar] [CrossRef] [PubMed]
- Mitchell, J.L.; Little, G.; Bye, A.P.; Gaspar, R.S.; Unsworth, A.J.; Kriek, N.; Sage, T.; Stainer, A.; Sangowawa, I.; Morrow, G.B.; et al. Platelet factor XIII-A regulates platelet function and promotes clot retraction and stability. Res. Pract. Thromb. Haemost. 2023, 7, 100200. [Google Scholar] [CrossRef] [PubMed]
- Hrdinka, M.; Otahal, P.; Horejsi, V. The transmembrane region is responsible for targeting of adaptor protein LAX into “heavy rafts”. PLoS ONE 2012, 7, e36330. [Google Scholar] [CrossRef] [PubMed]
- Parkin, E.T.; Turner, A.J.; Hooper, N.M. Isolation and characterization of two distinct low-density, Triton-insoluble, complexes from porcine lung membranes. Biochem. J. 1996, 319, 887–896. [Google Scholar] [CrossRef] [PubMed]
- Knorr, R.; Karacsonyi, C.; Lindner, R. Endocytosis of MHC molecules by distinct membrane rafts. J. Cell Sci. 2009, 122, 1584–1594. [Google Scholar] [CrossRef]
- Clark, S.R.; Thomas, C.P.; Hammond, V.J.; Aldrovandi, M.; Wilkinson, G.W.; Hart, K.W.; Murphy, R.C.; Collins, P.W.; O’Donnell, V.B. Characterization of platelet aminophospholipid externalization reveals fatty acids as molecular determinants that regulate coagulation. Proc. Natl. Acad. Sci. USA 2013, 110, 5875–5880. [Google Scholar] [CrossRef]
- Suzuki, J.; Umeda, M.; Sims, P.J.; Nagata, S. Calcium-dependent phospholipid scrambling by TMEM16F. Nature 2010, 468, 834–838. [Google Scholar] [CrossRef]
- Egot, M.; Kauskot, A.; Lasne, D.; Gaussem, P.; Bachelot-Loza, C. Biphasic myosin II light chain activation during clot retraction. Thromb. Haemost. 2013, 110, 1215–1222. [Google Scholar] [CrossRef]
- Lian, L.; Suzuki, A.; Hayes, V.; Saha, S.; Han, X.; Xu, T.; Yates, J.R.; Poncz, M.; Kashina, A.; Abrams, C.S. Loss of ATE1-mediated arginylation leads to impaired platelet myosin phosphorylation, clot retraction, and in vivo thrombosis formation. Haematologica 2014, 99, 554–560. [Google Scholar] [CrossRef] [PubMed]
- Flevaris, P.; Li, Z.; Zhang, G.; Zheng, Y.; Liu, J.; Du, X. Two distinct roles of mitogen-activated protein kinases in platelets and a novel Rac1-MAPK-dependent integrin outside-in retractile signaling pathway. Blood 2009, 113, 893–901. [Google Scholar] [CrossRef] [PubMed]
- Huang, J.; Li, X.; Shi, X.; Zhu, M.; Wang, J.; Huang, S.; Huang, X.; Wang, H.; Li, L.; Deng, H.; et al. Platelet integrin alphaIIbbeta3: Signal transduction, regulation, and its therapeutic targeting. J. Hematol. Oncol. 2019, 12, 26. [Google Scholar] [CrossRef] [PubMed]
- Flevaris, P.; Stojanovic, A.; Gong, H.; Chishti, A.; Welch, E.; Du, X. A molecular switch that controls cell spreading and retraction. J. Cell Biol. 2007, 179, 553–565. [Google Scholar] [CrossRef]
- Léon, C.; Eckly, A.; Hechler, B.; Aleil, B.; Freund, M.; Ravanat, C.; Jourdain, M.; Nonne, C.; Weber, J.; Tiedt, R.; et al. Megakaryocyte-restricted MYH9 inactivation dramatically affects hemostasis while preserving platelet aggregation and secretion. Blood 2007, 110, 3183–3191. [Google Scholar] [CrossRef]
- Bodin, S.; Soulet, C.; Tronchère, H.; Sié, P.; Gachet, C.; Plantavid, M.; Payrastre, B. Integrin-dependent interaction of lipid rafts with the actin cytoskeleton in activated human platelets. J. Cell Sci. 2005, 118, 759–769. [Google Scholar] [CrossRef][Green Version]
- Rabani, V.; Montange, D.; Meneveau, N.; Davani, S. Impact of ticagrelor on P2Y1 and P2Y12 localization and on cholesterol levels in platelet plasma membrane. Platelets 2018, 29, 709–715. [Google Scholar] [CrossRef]








| Resting Lysate | Resting Raft | Resting Non-Raft | Thrombin Lysate | Thrombin Raft | Thrombin Non-Raft | |||||||||||||
|---|---|---|---|---|---|---|---|---|---|---|---|---|---|---|---|---|---|---|
| m/z | Species | Peak Height | Relative Abundance | Peak Height | Relative Abundance | Peak Height | Relative Abundance | Peak Height | Relative Abundance | Peak Height | Relative Abundance | Peak Height | Relative Abundance | |||||
| 812 | PS(38:4) | 4.05 × 105 | 1.00 | 3.59 × 105 | 1.00 | 2.80 × 104 | 0.43 | 3.90 × 105 | 1.00 | 3.37 × 105 | 0.78 | 5.58 × 104 | 0.76 | |||||
| 790 | PS(36:1) | 3.36 × 105 | 0.83 | 3.37 × 105 | 0.94 | 6.50 × 104 | 1.00 | 3.12 × 105 | 0.80 | 4.32 × 105 | 1.00 | 7.34 × 104 | 1.00 | |||||
| 836 | PS(40:6) | 5.67 × 104 | 0.14 | 7.18 × 104 | 0.20 | 1.56 × 104 | 0.24 | 5.46 × 104 | 0.14 | 5.73 × 104 | 0.17 | 4.40 × 103 | 0.06 | |||||
| 788 | PS(36:2) | 5.27 × 104 | 0.13 | 3.95 × 104 | 0.11 | 2.60 × 103 | 0.04 | 4.29 × 104 | 0.11 | 4.04 × 104 | 0.12 | 1.47 × 103 | 0.02 | |||||
| 810 | PS(38:5) | 3.24 × 104 | 0.08 | 1.80 × 104 | 0.05 | 1.95 × 103 | 0.03 | 5.07 × 104 | 0.13 | 3.37 × 104 | 0.10 | 1.03 × 104 | 0.14 | |||||
| Total Height | 8.83 × 105 | 8.26 × 105 | 1.13 × 105 | 8.50 × 105 | 9.00 × 105 | 1.45 × 105 |
| Resting Lysate | Resting Raft | Resting Non-Raft | Thrombin Lysate | Thrombin Raft | Thrombin Non-Raft | |||||||||||||
|---|---|---|---|---|---|---|---|---|---|---|---|---|---|---|---|---|---|---|
| m/z | Species | Peak Height | Relative Abundance | Peak Height | Relative Abundance | Peak Height | Relative Abundance | Peak Height | Relative Abundance | Peak Height | Relative Abundance | Peak Height | Relative Abundance | |||||
| 760 | PC(34:1) | 2.41 × 106 | 1.00 | 3.85 × 106 | 1.00 | 4.53 × 105 | 1.00 | 2.14 × 106 | 1.00 | 3.80 × 106 | 1.00 | 2.89 × 105 | 1.00 | |||||
| 788 | PC(36:1) | 1.21 × 106 | 0.50 | 2.12 × 106 | 0.55 | 1.63 × 105 | 0.36 | 1.18 × 106 | 0.55 | 2.09 × 106 | 0.55 | 1.50 × 105 | 0.52 | |||||
| 758 | PC(34:2) | 8.19 × 105 | 0.34 | 1.42 × 106 | 0.37 | 1.40 × 105 | 0.31 | 6.85 × 105 | 0.32 | 1.25 × 106 | 0.33 | 1.13 × 105 | 0.39 | |||||
| 810 | PC(38:4) | 5.78 × 105 | 0.24 | 8.47 × 105 | 0.22 | 5.44 × 104 | 0.12 | 4.49 × 105 | 0.21 | 7.22 × 105 | 0.19 | 3.18 × 104 | 0.11 | |||||
| 734 | PC(32:0) | 5.54 × 105 | 0.23 | 1.16 × 106 | 0.30 | 8.61 × 104 | 0.19 | 4.92 × 105 | 0.23 | 8.74 × 105 | 0.23 | 7.23 × 104 | 0.25 | |||||
| Total Height | 5.57 × 106 | 9.39 × 106 | 8.97 × 105 | 4.94 × 106 | 8.74 × 106 | 6.56 × 105 |
| Resting Lysate | Resting Raft | Resting Non-Raft | Thrombin Lysate | Thrombin Raft | Thrombin Non-Raft | |||||||||||||
|---|---|---|---|---|---|---|---|---|---|---|---|---|---|---|---|---|---|---|
| m/z | Species | Peak Height | Relative Abundance | Peak Height | Relative Abundance | Peak Height | Relative Abundance | Peak Height | Relative Abundance | Peak Height | Relative Abundance | Peak Height | Relative Abundance | |||||
| 768 | PE(38:4) | 3.32 × 105 | 1.00 | 4.72 × 105 | 1.00 | 2.53 × 104 | 1.00 | 3.82 × 105 | 1.00 | 3.47 × 105 | 1.00 | 3.17 × 104 | 1.00 | |||||
| 744 | PE(36:2) | 1.10 × 105 | 0.33 | 9.91 × 104 | 0.21 | 1.44 × 104 | 0.57 | 6.11 × 104 | 0.16 | 9.02 × 104 | 0.26 | 9.83 × 103 | 0.31 | |||||
| 752 | PE(p38:4) | 8.30 × 104 | 0.25 | 8.50 × 104 | 0.18 | 6.58 × 103 | 0.26 | 5.73 × 104 | 0.15 | 7.29 × 104 | 0.21 | 8.24 × 103 | 0.26 | |||||
| 766 | PE(38:5) | 7.97 × 104 | 0.24 | 8.02 × 104 | 0.17 | 1.54 × 104 | 0.61 | 6.11 × 104 | 0.16 | 6.94 × 104 | 0.20 | 5.39 × 103 | 0.17 | |||||
| 740 | PE(36:4) | 6.97 × 104 | 0.21 | 6.61 × 104 | 0.14 | 2.78 × 103 | 0.11 | 7.64 × 104 | 0.20 | 4.51 × 104 | 0.13 | 7.61 × 103 | 0.24 | |||||
| Total Height | 6.74 × 105 | 8.02 × 105 | 6.45 × 104 | 6.38 × 105 | 6.25 × 105 | 6.28 × 104 |
Disclaimer/Publisher’s Note: The statements, opinions and data contained in all publications are solely those of the individual author(s) and contributor(s) and not of MDPI and/or the editor(s). MDPI and/or the editor(s) disclaim responsibility for any injury to people or property resulting from any ideas, methods, instructions or products referred to in the content. |
© 2023 by the authors. Licensee MDPI, Basel, Switzerland. This article is an open access article distributed under the terms and conditions of the Creative Commons Attribution (CC BY) license (https://creativecommons.org/licenses/by/4.0/).
Share and Cite
Komatsuya, K.; Ishikawa, M.; Kikuchi, N.; Hirabayashi, T.; Taguchi, R.; Yamamoto, N.; Arai, M.; Kasahara, K. Integrin-Dependent Transient Density Increase in Detergent-Resistant Membrane Rafts in Platelets Activated by Thrombin. Biomedicines 2024, 12, 69. https://doi.org/10.3390/biomedicines12010069
Komatsuya K, Ishikawa M, Kikuchi N, Hirabayashi T, Taguchi R, Yamamoto N, Arai M, Kasahara K. Integrin-Dependent Transient Density Increase in Detergent-Resistant Membrane Rafts in Platelets Activated by Thrombin. Biomedicines. 2024; 12(1):69. https://doi.org/10.3390/biomedicines12010069
Chicago/Turabian StyleKomatsuya, Keisuke, Masaki Ishikawa, Norihito Kikuchi, Tetsuya Hirabayashi, Ryo Taguchi, Naomasa Yamamoto, Morio Arai, and Kohji Kasahara. 2024. "Integrin-Dependent Transient Density Increase in Detergent-Resistant Membrane Rafts in Platelets Activated by Thrombin" Biomedicines 12, no. 1: 69. https://doi.org/10.3390/biomedicines12010069
APA StyleKomatsuya, K., Ishikawa, M., Kikuchi, N., Hirabayashi, T., Taguchi, R., Yamamoto, N., Arai, M., & Kasahara, K. (2024). Integrin-Dependent Transient Density Increase in Detergent-Resistant Membrane Rafts in Platelets Activated by Thrombin. Biomedicines, 12(1), 69. https://doi.org/10.3390/biomedicines12010069

