The First Neocentric, Discontinuous, and Complex Small Supernumerary Marker Chromosome Composed of 7 Euchromatic Blocks Derived from 5 Different Chromosomes
Abstract
1. Introduction
2. Materials and Methods
2.1. Case Report
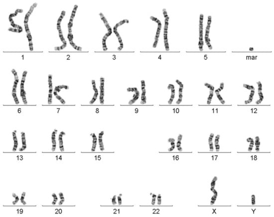
2.2. Cytogenetic Analysis
2.3. Array-Comparative Genomic Hybridization (aCGH)
2.4. Molecular Cytogenetic Analysis
- RP11-188I6 in 8q22.3 (chr8: 104,806,563-104,945,966);
- RP11-395N15 in 9q34.11 (chr9: 130,860,984-131,055,030);
- RP11-99L13 in 14q21.1 (chr14: 44,795,456-44,973,797);
- RP11-416K5 in 15q21.2 (chr15: 50,385,284-50,543,688);
- RP11-802B2 in 15q21.2 (chr15: 50,586,357-50,763,569); and
- RP11-150L16 in 21q21.1 (chr21: 19,155,572-19,345,359).
2.5. Optical Genome Mapping (OGM)
3. Results
4. Discussion
5. Conclusions
Author Contributions
Funding
Institutional Review Board Statement
Informed Consent Statement
Data Availability Statement
Conflicts of Interest
References
- Liehr, T. Small Supernumerary Marker Chromosomes. 2022. Available online: http://cs-tl.de/DB/CA/sSMC/0-Start.html (accessed on 18 March 2022).
- Slimani, W.; Jelloul, A.; Al-Rikabi, A.; Sallem, A.; Hasni, Y.; Chachia, S.; Ernez, A.; Chaieb, A.; Bibi, M.; Liehr, T.; et al. Small supernumerary marker chromosomes (sSMC) and male infertility: Characterization of five new cases, review of the literature, and perspectives. J. Assist. Reprod. Genet. 2020, 37, 1729–1736. [Google Scholar] [CrossRef] [PubMed]
- Liehr, T.; Al-Rikabi, A. Mosaicism: Reason for normal phenotypes in carriers of small supernumerary marker chromosomes with known adverse outcome. A systematic review. Front. Genet. 2019, 10, 1131. [Google Scholar] [CrossRef] [PubMed]
- Manvelyan, M.; Simonyan, I.; Hovhannisyan, G.; Aroutiounian, R.; Hamid, A.B.; Liehr, T. A new case of a complex small supernumerary marker chromosome: A der(9)t(7;9)(p22;q22) due to a maternal balanced rearrangement. J. Pediatr. Genet. 2015, 4, 199–200. [Google Scholar] [CrossRef] [PubMed][Green Version]
- Blennow, E.; Telenius, H.; Larsson, C.; de Vos, D.; Bajalica, S.; Ponder, B.A.; Nordenskjold, M. Complete characterization of a large marker chromosome by reverse and forward chromosome painting. Hum. Genet. 1992, 90, 371–374. [Google Scholar] [CrossRef]
- Kurtas, N.E.; Xumerle, L.; Leonardelli, L.; Delledonne, M.; Brusco, A.; Chrzanowska, K.; Schinzel, A.; Larizza, D.; Guerneri, S.; Natacci, F.; et al. Small supernumerary marker chromosomes: A legacy of trisomy rescue? Hum. Mutat. 2019, 40, 193–200. [Google Scholar] [CrossRef] [PubMed]
- Liehr, T. Chromothripsis detectable in small supernumerary marker chromosomes (sSMC) using fluorescence in situ hybridization (FISH). Methods Mol. Biol. 2018, 1769, 79–84. [Google Scholar]
- Claussen, U.; Michel, S.; Mühlig, P.; Westermann, M.; Grummt, U.W.; Kromeyer-Hauschild, K.; Liehr, T. Demystifying chromosome preparation and the implications for the concept of chromosome condensation during mitosis. Cytogenet. Genome Res. 2002, 98, 136–146. [Google Scholar] [CrossRef]
- Manolakos, E.; Vetro, A.; Kefalas, K.; Rapti, S.M.; Louizou, E.; Garas, A.; Kitsos, G.; Vasileiadis, L.; Tsoplou, P.; Eleftheriades, M.; et al. The use of array-CGH in a cohort of Greek children with developmental delay. Mol. Cytogenet. 2010, 3, 2. [Google Scholar] [CrossRef]
- Al-Rikabi, A.B.H.; Cioffi, M.B.; Liehr, T. Chromosome microdissection on semi-archived material. Cytom. A 2019, 95, 1285–1288. [Google Scholar] [CrossRef]
- Weise, A.; Othman, M.A.; Bhatt, S.; Löhmer, S.; Liehr, T. Application of BAC-probes to visualize copy number variants (CNVs). Methods Mol. Biol. 2015, 1227, 299–307. [Google Scholar]
- Delpu, Y.; Barseghyan, H.; Bocklandt, S.; Hastie, A.; Chaubey, A. Next-generation cytogenomics: High-resolution structural variation detection by optical genome mapping. In Cytogenomics; Liehr, T., Ed.; Academic Press: London, UK, 2021; pp. 123–146. [Google Scholar]
- Mohammadi, R.; Taheri, R.; Shahriyari, F.; Feiz, F.; Mohammadi, Z.; Shirian, S.; Raoofian, R.; Malekpour, A.; Pazhoomand, R. Prenatal diagnosis of de novo small supernumerary marker chromosome 4q (4q11-q12): A case report. Int. J. Reprod. Biomed. 2021, 19, 477–482. [Google Scholar] [CrossRef] [PubMed]
- Al-Rikabi, A.B.H.; Pekova, S.; Fan, X.; Jančušková, T.; Liehr, T. Small supernumerary marker chromosomes may provide information on dosage-insensitive pericentric regions in human. Curr. Genom. 2018, 19, 192–199. [Google Scholar] [CrossRef] [PubMed]
- Liehr, T. Uniparental disomy is a chromosomic disorder in the first place. Mol. Cytogenet. 2022, 15, 5. [Google Scholar] [CrossRef] [PubMed]
- Liehr, T.; Hamid Al-Rikabi, A.B. Impaired spermatogenesis due to small supernumerary marker chromosomes: The reason for infertility is only reliably ascertainable by cytogenetics. Sex Dev. 2018, 12, 281–287. [Google Scholar] [CrossRef]
- Nelle, H.; Schreyer, I.; Ewers, E.; Mrasek, K.; Kosyakova, N.; Merkas, M.; Hamid, A.B.; Fahsold, R.; Ujfalusi, A.; Anderson, J.; et al. Presence of harmless small supernumerary marker chromosomes hampers molecular genetic diagnosis: A case report. Mol. Med. Rep. 2010, 3, 571–574. [Google Scholar]
- Weise, A.; Mrasek, K.; Klein, E.; Mulatinho, M.; Llerena, J.C., Jr.; Hardekopf, D.; Pekova, S.; Bhatt, S.; Kosyakova, N.; Liehr, T. Microdeletion and microduplication syndromes. J. Histochem. Cytochem. 2012, 60, 346–358. [Google Scholar] [CrossRef]
- Barber, J.C. Directly transmitted unbalanced chromosome abnormalities and euchromatic variants. J. Med. Genet. 2005, 42, 609–629. [Google Scholar] [CrossRef][Green Version]
- Liehr, T. Cases with Heteromorphisms. 2022. Available online: http://cs-tl.de/DB/CA/HCM/0-Start.html (accessed on 18 March 2022).
- Marcozzi, A.; Pellestor, F.; Kloosterman, W.P. The genomic characteristics and origin of chromothripsis. Methods Mol. Biol. 2018, 1769, 3–19. [Google Scholar]
- Pellestor, F.; Gaillard, J.B.; Schneider, A.; Puechberty, J.; Gatinois, V. Chromoanagenesis, the mechanisms of a genomic chaos. Semin. Cell Dev. Biol. 2022, 123, 90–99. [Google Scholar] [CrossRef]
- Liehr, T.; Utine, G.E.; Trautmann, U.; Rauch, A.; Kuechler, A.; Pietrzak, J.; Bocian, E.; Kosyakova, N.; Mrasek, K.; Boduroglu, K.; et al. Neocentric small supernumerary marker chromosomes (sSMC)—Three more cases and review of the literature. Cytogenet. Genome Res. 2007, 118, 31–37. [Google Scholar] [CrossRef]
- Harrison, K.J.; Teshima, I.E.; Silver, M.M.; Jay, V.; Unger, S.; Robinson, W.P.; James, A.; Levin, A.; Chitayat, D. Partial tetrasomy with triplication of chromosome (5) (p14–p15.33) in a patient with severe multiple congenital anomalies. Am. J. Med. Genet. 1998, 79, 103–107. [Google Scholar] [CrossRef]
- Ilberry, P.L.T.; Lee, C.W.G.; Winn, S.M. Incomplete trisomy in a mongoloid child exhibiting minimal stigmata. Med. J. Austr. 1961, 48, 182–184. [Google Scholar] [CrossRef]




| Chromosomal Origin (Centromere) | Number of Cases | |||
|---|---|---|---|---|
| Inherited * | De Novo | n.a. | Overall | |
| 1 | 0 | 0 | 0 | 0 |
| 2 | 0 | 0 | 0 | 0 |
| 3 | 0 | 0 | 0 | 0 |
| 4 | 1 | 0 | 1 | 2 |
| 5 | 0 | 0 | 0 | 0 |
| 6 | 0 | 0 | 0 | 0 |
| 7 | 0 | 1 | 0 | 1 |
| 8 | 2 | 1 | 0 | 3 |
| 9 | 6 | 0 | 1 | 7 |
| 10 | 0 | 1 | 0 | 1 |
| 11 | 1 | 1 | 0 | 2 |
| 12 | 1 | 1 | 0 | 2 |
| 13 | 12 | 0 | 3 | 15 |
| 13 or 21 | 6 | 6 | 0 | 12 |
| 14 | 20 | 4 | 6 | 30 |
| 14 or 22 | 0 | 1 | 0 | 1 |
| 15 | 11 | 5 | 6 | 22 |
| 16 | 0 | 0 | 0 | 0 |
| 17 | 0 | 0 | 1 | 1 |
| 18 | 5 | 1 | 1 | 7 |
| 19 | 0 | 0 | 1 | 1 |
| 20 | 0 | 0 | 0 | 0 |
| 21 | 14 | 0 | 2 | 16 |
| 22 ** | 11 | 2 | 9 | 32 |
| X | 0 | 0 | 0 | 0 |
| Y | 0 | 0 | 0 | 0 |
| overall | 90 | 24 | 31 | 155 |
| Chromosomal Origin | Number (#) of Blocks | ||||||
|---|---|---|---|---|---|---|---|
| 2 | 3 | 4 | 5 | >5 | # Not Given | Overall | |
| 1 | 1 | 1 | 0 | 1 | 0 | 0 | 3 |
| 2 | 1 | 1 | 0 | 0 | 0 | 0 | 2 |
| 3 | 1 | 0 | 0 | 0 | 0 | 0 | 1 |
| 4 | 1 | 1 | 0 | 0 | 0 | 0 | 2 |
| 5 | 1 | 0 | 0 | 0 | 0 | 0 | 1 |
| 6 | 0 | 0 | 0 | 0 | 0 | 0 | 0 |
| 7 | 0 | 0 | 0 | 0 | 0 | 0 | 0 |
| 8 | 3 | 2 | 0 | 1 | 0 | 2 | 8 |
| 9 | 0 | 0 | 0 | 0 | 0 | 1 | 1 |
| 10 | 0 | 0 | 0 | 0 | 0 | 1 | 1 |
| 11 | 1 | 0 | 0 | 0 | 1 | 0 | 2 |
| 12 | 0 | 0 | 2 | 0 | 1 | 0 | 3 |
| 13 | 1 | 1 | 0 | 0 | 0 | 0 | 2 |
| 14 | 0 | 0 | 1 | 0 | 0 | 0 | 1 |
| 15 | 3 | 1 | 5 | 0 | 1 | 1 | 11 |
| 16 | 0 | 0 | 0 | 0 | 0 | 0 | 0 |
| 17 | 1 | 1 | 0 | 0 | 0 | 0 | 2 |
| 18 | 1 | 0 | 0 | 0 | 0 | 0 | 1 |
| 19 | 1 | 2 | 0 | 1 | 0 | 0 | 4 |
| 20 | 1 | 0 | 0 | 0 | 0 | 0 | 1 |
| 21 | 2 | 0 | 0 | 0 | 0 | 0 | 2 |
| 22 | 1 | 1 | 0 | 0 | 0 | 0 | 2 |
| X | 1 | 0 | 0 | 0 | 0 | 0 | 1 |
| Y | 0 | 0 | 0 | 0 | 0 | 0 | 0 |
| overall | 21 | 11 | 8 | 3 | 3 | 5 | 51 |
| Chromosome | Type of Imbalance | Size (Mb) | Cytobands and Positions Acc. to GRCh37/hg19 |
|---|---|---|---|
| 8 * | gain | 0.128274 | 8q12.3q12.3(62474378_62602652)x3[0.5] |
| 8 | gain | 3.403637 | 8q22.3q23.1(103083594_106487230)x3[0.5] |
| 9 | gain | 4.321481 | 9q33.3q34.11(127319305_131640785)x3[0.5] |
| 14 | gain | 0.550404 | 14q21.1(38288122_38838525)x3[0.5] |
| 14 | gain | 3.819669 | 14q21.1q21.2(42160061_45979729)x3[0.5] |
| 15 | gain | 1.009670 | 15q21.2(49763826_50773495)x3[0.5] |
| 21 | gain | 1.807907 | 21q21.1(18282221_20090127)x3[0.5] |
| overall | gain | 15.041042 | - |
| Chromosome | Cytobands | UBCAs Reported Acc. to [20] | UCSC—Larger Pathogenic Gain Reported |
|---|---|---|---|
| 8 | 8q12.3q12.3 | - | 21 |
| 8 | 8q22.3q23.1 | dup(8)(q21.2q21.2) | 30 |
| 9 | 9q33.3q34.11 | - | 34 |
| 14 | 14q21.1q21.1 | - | 10 |
| 14 | 14q21.1q21.2 | dup(14)(q13q22) | 9 |
| 15 | 15q21.2q21.2 | - | 5 |
| 21 | 21q21.1q21.1 | dup(21)(q11.2~21.1q21.2) | 239 |
Publisher’s Note: MDPI stays neutral with regard to jurisdictional claims in published maps and institutional affiliations. |
© 2022 by the authors. Licensee MDPI, Basel, Switzerland. This article is an open access article distributed under the terms and conditions of the Creative Commons Attribution (CC BY) license (https://creativecommons.org/licenses/by/4.0/).
Share and Cite
Weber, A.; Liehr, T.; Al-Rikabi, A.; Bilgen, S.; Heinrich, U.; Schiller, J.; Stumm, M. The First Neocentric, Discontinuous, and Complex Small Supernumerary Marker Chromosome Composed of 7 Euchromatic Blocks Derived from 5 Different Chromosomes. Biomedicines 2022, 10, 1102. https://doi.org/10.3390/biomedicines10051102
Weber A, Liehr T, Al-Rikabi A, Bilgen S, Heinrich U, Schiller J, Stumm M. The First Neocentric, Discontinuous, and Complex Small Supernumerary Marker Chromosome Composed of 7 Euchromatic Blocks Derived from 5 Different Chromosomes. Biomedicines. 2022; 10(5):1102. https://doi.org/10.3390/biomedicines10051102
Chicago/Turabian StyleWeber, André, Thomas Liehr, Ahmed Al-Rikabi, Simal Bilgen, Uwe Heinrich, Jenny Schiller, and Markus Stumm. 2022. "The First Neocentric, Discontinuous, and Complex Small Supernumerary Marker Chromosome Composed of 7 Euchromatic Blocks Derived from 5 Different Chromosomes" Biomedicines 10, no. 5: 1102. https://doi.org/10.3390/biomedicines10051102
APA StyleWeber, A., Liehr, T., Al-Rikabi, A., Bilgen, S., Heinrich, U., Schiller, J., & Stumm, M. (2022). The First Neocentric, Discontinuous, and Complex Small Supernumerary Marker Chromosome Composed of 7 Euchromatic Blocks Derived from 5 Different Chromosomes. Biomedicines, 10(5), 1102. https://doi.org/10.3390/biomedicines10051102

