Antibacterial and Immunomodulatory Properties of Acellular Wharton’s Jelly Matrix
Abstract
:1. Introduction
2. Materials and Methods
2.1. Preparation of Samples
2.2. Matrix Characterization
2.3. Biocompatibility
2.3.1. Cell Culture
2.3.2. Cytotoxicity Tests
2.3.3. Chemotaxis Assay
2.4. Antibacterial Activities
2.4.1. Planktonic Growth and Bacteria Adhesion
2.4.2. Scanning Electron Microscopy
2.4.3. Confocal Laser Scanning Microscopy
2.5. Acute Inflammatory Response
2.5.1. Innate Neutrophil Response
2.5.2. Innate Monocyte Response
2.6. Immunomodulation
2.7. In Vivo Evaluations
2.7.1. Subcutaneous Implantation
2.7.2. Calvaria Bone Regeneration
2.8. Statistical Analyses
3. Results and Discussion
3.1. Tissue Characterization
3.2. Biocompatibility
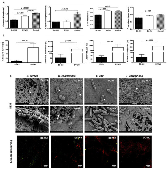
3.3. Microbiological Studies
3.4. Acute Inflammatory Response
3.5. Immunomodulatory Response
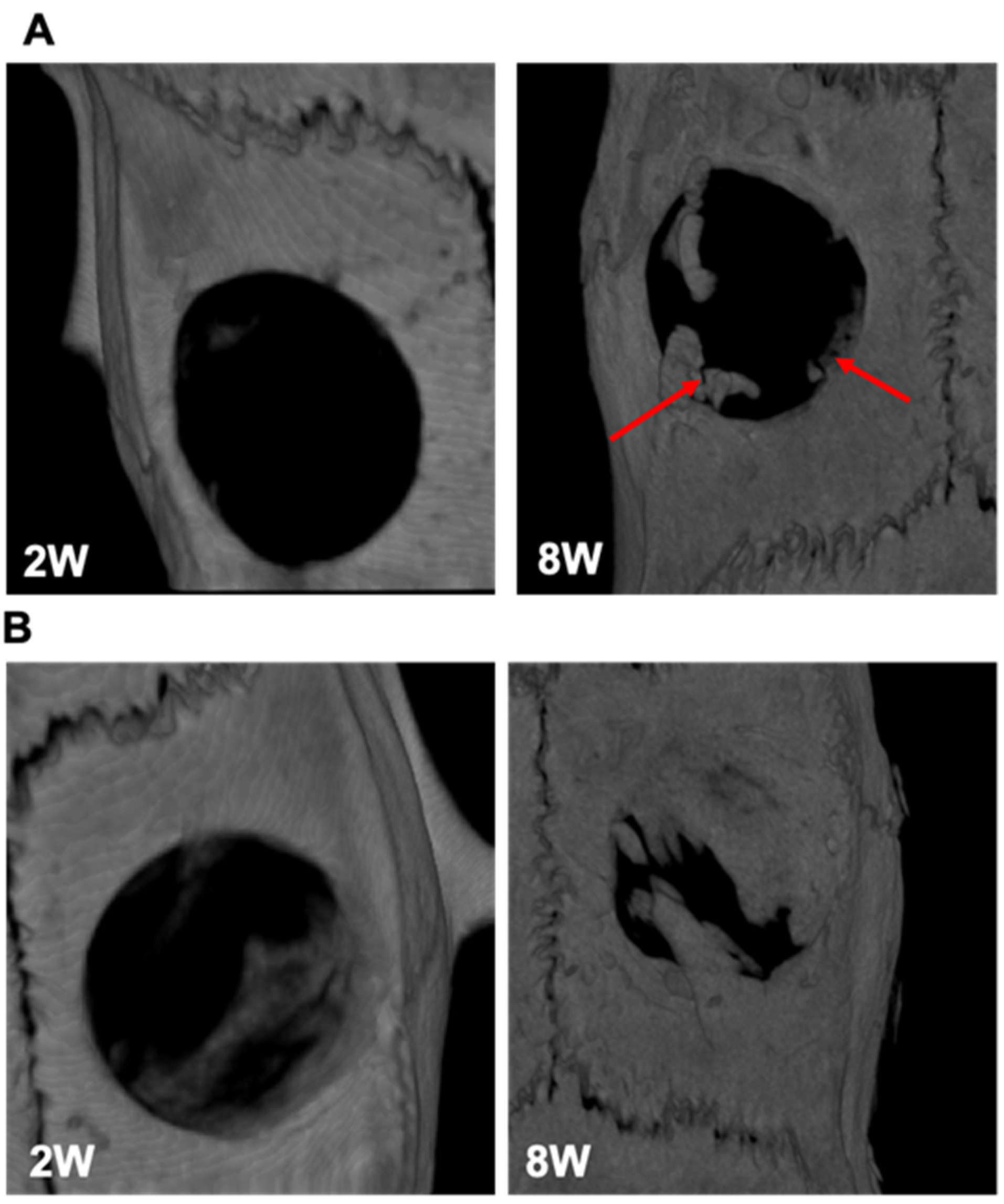
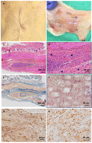
3.6. In Vivo Responses
4. Conclusions
Supplementary Materials
Author Contributions
Funding
Institutional Review Board Statement
Informed Consent Statement
Data Availability Statement
Acknowledgments
Conflicts of Interest
References
- Edgar, L.; Pu, T.; Porter, B.; Aziz, J.M.; La Pointe, C.; Asthana, A.; Orlando, G. Regenerative medicine, organ bioengineering and trans-plantation. J. Br. Surg. 2020, 107, 793–800. [Google Scholar] [CrossRef]
- Richbourg, N.R.; Peppas, N.A.; Sikavitsas, V.I. Tuning the biomimetic behavior of scaffolds for regenerative medicine through surface modifications. J. Tissue Eng. Regen. Med. 2019, 13, 1275–1293. [Google Scholar] [CrossRef]
- Chan, W.-I.; Zhang, G.; Li, X.; Leung, C.-H.; Ma, D.-L.; Dong, L.; Wang, C. Carrageenan activates monocytes via type-specific binding with interleukin-8: An implication for design of immuno-active biomaterials. Biomater. Sci. 2017, 5, 403–407. [Google Scholar] [CrossRef]
- Yin, J.; Luan, S. Opportunities and challenges for the development of polymer-based biomaterials and medical devices. Regen. Biomater. 2016, 3, 129–135. [Google Scholar] [CrossRef] [Green Version]
- Londono, R.; Badylak, S.F. Biologic Scaffolds for Regenerative Medicine: Mechanisms of In vivo Remodeling. Ann. Biomed. Eng. 2015, 43, 577–592. [Google Scholar] [CrossRef]
- Frazão, L.P.; Vieira de Castro, J.; Nogueira-Silva, C.; Neves, N.M. Decellularized Human Chorion Membrane as a Novel Bio-material for Tissue Regeneration. Biomolecules 2020, 20, 10. [Google Scholar]
- Bejleri, D.; Davis, M.E. Decellularized Extracellular Matrix Materials for Cardiac Repair and Regeneration. Adv. Healthc. Mater. 2019, 8, e1801217. [Google Scholar] [CrossRef]
- Taylor, D.A.; Sampaio, L.C.; Ferdous, Z.; Gobin, A.S.; Taite, L.J. Decellularized matrices in regenerative medicine. Acta Biomater. 2018, 74, 74–89. [Google Scholar] [CrossRef]
- Hussein, K.H.; Park, K.-M.; Kang, K.-S.; Woo, H.-M. Biocompatibility evaluation of tissue-engineered decellularized scaffolds for biomedical application. Mater. Sci. Eng. C 2016, 67, 766–778. [Google Scholar] [CrossRef]
- Kiyotake, E.A.; Beck, E.C.; Detamore, M.S. Cartilage extracellular matrix as a biomaterial for cartilage regeneration. Ann. N. Y. Acad. Sci. 2016, 1383, 139–159. [Google Scholar] [CrossRef]
- Sutherland, A.J.; Converse, G.L.; Hopkins, R.A.; Detamore, M.S. The bioactivity of cartilage extracellular matrix in articular car-tilage regeneration. Adv. Healthc. Mater. 2015, 74, 29–39. [Google Scholar] [CrossRef] [Green Version]
- Keane, T.; Swinehart, I.T.; Badylak, S.F. Methods of tissue decellularization used for preparation of biologic scaffolds and in vivo relevance. Methods 2015, 84, 25–34. [Google Scholar] [CrossRef] [Green Version]
- Biermann, A.C.; Marzi, J.; Brauchle, E.; Wichmann, J.L.; Arendt, C.T.; Puntmann, V.; Layland, S.; Nagel, E.; Winter, A.G.; Stock, U.A.; et al. Improved long-term durability of al-logeneic heart valves in the orthotopic sheep model. Eur. J. Cardio-Thorac. Surg. 2019, 55, 484–493. [Google Scholar] [CrossRef]
- Muratov, R.; Britikov, D.; Sachkov, A.; Akatov, V.; Soloviev, V.; Fadeeva, I.; Bockeria, L. New approach to reduce allograft tissue im-munogenicity. Experimental data. Interact. Cardiovasc. Thorac. Surg. 2010, 10, 408–412. [Google Scholar] [CrossRef]
- Kim, B.S.; Kim, H.; Gao, G.; Jang, J.; Cho, D.-W. Decellularized extracellular matrix: A step towards the next generation source for bioink manufacturing. Biofabrication 2017, 9, 034104. [Google Scholar] [CrossRef]
- Badylak, S.F. Decellularized Allogeneic and Xenogeneic Tissue as a Bioscaffold for Regenerative Medicine: Factors that Influence the Host Response. Ann. Biomed. Eng. 2014, 42, 1517–1527. [Google Scholar] [CrossRef]
- Crapo, P.M.; Gilbert, T.W.; Badylak, S.F. An overview of tissue and whole organ decellularization processes. Biomaterials 2011, 32, 3233–3243. [Google Scholar] [CrossRef] [Green Version]
- Odet, S.; Louvrier, A.; Meyer, C.; Nicolas, F.J.; Hofman, N.; Chatelain, B.; Mauprivez, C.; Laurence, S.; Kerdjoudj, H.; Zwetyenga, N.; et al. Surgical Application of Human Amniotic Membrane and Amnion-Chorion Membrane in the Oral Cavity and Efficacy Evaluation: Corollary with Ophthalmological and Wound Healing Experiences. Front. Bioeng. Biotechnol. 2021, 9, 685128. [Google Scholar] [CrossRef]
- Gupta, A.; Maffulli, N.; Rodriguez, H.C.; Lee, C.E.; Levy, H.J.; El-Amin, S.F. Umbilical cord-derived Wharton’s jelly for treatment of knee osteoarthritis: Study protocol for a non-randomized, open-label, multi-center trial. J. Orthop. Surg. 2021, 16, 1–7. [Google Scholar] [CrossRef]
- Gupta, A.; El-Amin, S.F.; Levy, H.J.; Sze-Tu, R.; Ibim, S.E.; Maffulli, N. Umbilical cord-derived Wharton’s jelly for regenerative medicine applications. J. Orthop. Surg. Res. 2020, 59, 124–130. [Google Scholar] [CrossRef] [Green Version]
- Shakouri-Motlagh, A.; Khanabdali, R.; Heath, D.E.; Kalionis, B. The application of decellularized human term fetal membranes in tissue engineering and regenerative medicine (TERM). Placenta 2017, 59, 124–130. [Google Scholar] [CrossRef]
- Moore, M.C.; Van de Walle, A.; Chang, J.; Juran, C.; McFetridge, P.S. Human Perinatal-Derived Biomaterials. Adv. Healthc. Mater. 2017, 6. [Google Scholar] [CrossRef]
- Hanselman, A.E.; Tidwell, J.E.; Santrock, R.D. Cryopreserved human amniotic membrane injection for plantar fasciitis: A randomized, controlled, double-blind pilot study. Foot Ankle Int. 2015, 36, 151–158. [Google Scholar] [CrossRef]
- Ferguson, V.L.; Dodson, R.B. Bioengineering aspects of the umbilical cord. Eur. J. Obstet. Gynecol. Reprod. Biol. 2009, 144, S108–S113. [Google Scholar] [CrossRef]
- Sobolewski, K.; Małkowski, A.; Bańkowski, E.; Jaworski, S. Wharton’s jelly as a reservoir of peptide growth factors. Placenta 2005, 26, 747–752. [Google Scholar] [CrossRef]
- Franc, S.; Rousseau, J.-C.; Garrone, R.; van der Rest, M.; Moradi-Améli, M. Microfibrillar composition of umbilical cord matrix: Characterization of fibrillin, collagen VI and intact collagen V. Placenta 1998, 19, 95–104. [Google Scholar] [CrossRef]
- Sobolewski, K.; Bańkowski, E.; Chyczewski, L.; Jaworski, S. Collagen and Glycosaminoglycans of Wharton’s Jelly. Neonatology 1997, 71, 11–21. [Google Scholar] [CrossRef]
- Nanaev, A.; Kohnen, G.; Milovanov, A.; Domogatsky, S.; Kaufmann, P. Stromal differentiation and architecture of the human umbilical cord. Placenta 1997, 18, 53–64. [Google Scholar] [CrossRef]
- Penolazzi, L.; Pozzobon, M.; Bergamin, L.S.; D’Agostino, S.; Francescato, R.; Bonaccorsi, G.; Bonaccorsi, G.; De Bonis, P.; Cavallo, M.; Lambertini, E.; et al. Extracellular Matrix from Decellularized Wharton’s Jelly Improves the Behavior of Cells from Degenerated Intervertebral Disc. Front. Bioeng. Biotechnol. 2020, 8, 262. [Google Scholar] [CrossRef]
- Marston, W.A.; Lantis, J.C., II; Wu, S.C.; Nouvong, A.; Lee, T.D.; McCoy, N.D.; Slade, H.B.; Tseng, S.C.; Tseng, S.C. An open-label trial of cryopreserved human um-bilical cord in the treatment of complex diabetic foot ulcers complicated by osteomyelitis. Wound Repair Regen. 2019, 27, 680–686. [Google Scholar] [CrossRef] [Green Version]
- Tettelbach, W.; Cazzell, S.; Sigal, F.; Caporusso, J.M.; Agnew, P.S.; Hanft, J.; Dove, C. A multicentre prospective randomised controlled comparative parallel study of dehydrated human umbilical cord (EpiCord) allograft for the treatment of diabetic foot ulcers. Int. Wound J. 2019, 16, 122–130. [Google Scholar] [CrossRef]
- Raphael, A. A single-centre, retrospective study of cryopreserved umbilical cord/amniotic membrane tissue for the treatment of diabetic foot ulcers. J. Wound Care. 2016, 25, S10–S17. [Google Scholar] [CrossRef]
- Caputo, W.J.; Vaquero, C.; Monterosa, A.; Johnson, E.; Beggs, D.; Fahoury, G.J. A Retrospective Study of Cryopreserved Umbilical Cord as an Adjunctive Therapy to Promote the Healing of Chronic, Complex Foot Ulcers with Underlying Osteomyelitis. Wound Repair Regen. 2016, 24, 885–893. [Google Scholar] [CrossRef]
- Jadalannagari, S.; Converse, G.; McFall, C.; Buse, E.; Filla, M.; Villar, M.T.; Artigues, A.; Mellot, A.J.; Wang, J.; Aljitawi, O.S.; et al. Decellularized Wharton’s Jelly from human um-bilical cord as a novel 3D scaffolding material for tissue engineering applications. PLoS ONE 2017, 12, e0172098. [Google Scholar] [CrossRef]
- Mariani, E.; Lisignoli, G.; Borzì, R.M.; Pulsatelli, L. Biomaterials: Foreign Bodies or Tuners for the Immune Response? Int. J. Mol. Sci. 2019, 20, 636. [Google Scholar] [CrossRef] [Green Version]
- Al-Maawi, S.; Orlowska, A.; Sader, R.; Kirkpatrick, C.J.; Ghanaati, S. In vivo cellular reactions to different biomateri-als-Physiological and pathological aspects and their consequences. In Seminars in Immunology; Academic Press: Cambridge, MA, USA, 2017; Volume 29, pp. 49–61. [Google Scholar]
- DeFrates, K.G.; Moore, R.; Borgesi, J.; Lin, G.; Mulderig, T.; Beachley, V.; Hu, X. Protein-Based Fiber Materials in Medicine: A Review. Nanomaterials 2018, 8, 457. [Google Scholar] [CrossRef] [Green Version]
- Bernard, M.; Jubeli, E.; Pungente, M.D.; Yagoubi, N. Biocompatibility of polymer-based biomaterials and medical devices—regulations, in vitro screening and risk-management. Biomater. Sci. 2018, 6, 2025–2053. [Google Scholar] [CrossRef]
- Stoica, A.E.; Chircov, C.; Grumezescu, A.M. Nanomaterials for Wound Dressings: An Up-to-Date Overview. Molecules 2020, 25, 2699. [Google Scholar] [CrossRef]
- Ramuta, T.Ž.; Tratnjek, L.; Janev, A.; Seme, K.; Starčič Erjavec, M.; Kreft, M.E. The Antibacterial Activity of Human Amniotic Membrane against Multidrug-Resistant Bacteria Associated with Urinary Tract Infections: New Insights from Normal and Cancerous Urothelial Models. Biomedicines 2021, 9, 218. [Google Scholar] [CrossRef]
- Sachs, B.P.; Stern, C.M. Activity and Characterization of a Low Molecular Fraction Present in Human Amniotic Fluid with Broad Spectrum Antibacterial Activity. BJOG: Int. J. Obstet. Gynaecol. 1979, 86, 81–86. [Google Scholar] [CrossRef]
- Robson, M.C.; Krizek, T.J. The effect of human amniotic membranes on the bacteria population of infected rat burns. Ann. Surg. 1973, 177, 144–149. [Google Scholar] [CrossRef]
- Pashley, D.H.; Tay, F.R.; Breschi, L.; Tjäderhane, L.; Carvalho, R.M.; Carrilho, M.; Tezvergil-Mutluay, A. State of the art etch-and-rinse adhesives. Dent. Mater. 2011, 27, 1–16. [Google Scholar] [CrossRef] [PubMed] [Green Version]
- Romanò, C.L.; Tsuchiya, H.; Morelli, I.; Battaglia, A.G.; Drago, L. Antibacterial coating of implants: Are we missing something? Bone. Jt. Res. 2019, 8, 199–206. [Google Scholar] [CrossRef]
- Ardizzoni, A.; Neglia, R.G.; Baschieri, M.C.; Cermelli, C.; Caratozzolo, M.; Righi, E.; Palmieri, B.; Blasi, E. Influence of hyaluronic acid on bacterial and fungal species, including clinically relevant opportunistic pathogens. J. Mater. Sci. Mater. Med. 2011, 22, 2329–2338. [Google Scholar] [CrossRef] [PubMed] [Green Version]
- Marcuzzo, A.V.; Tofanelli, M.; Boscolo Nata, F.; Gatto, A.; Tirelli, G. Hyaluronate effect on bacterial biofilm in ENT district in-fections: A review. APMIS Acta Pathol. Microbiol. Immunol. Scand. 2017, 125, 763–772. [Google Scholar] [CrossRef]
- Drago, L.; Cappelletti, L.; De Vecchi, E.; Pignataro, L.; Torretta, S.; Mattina, R. Antiadhesive and antibiofilm activity of hyaluronic acid against bacteria responsible for respiratory tract infections. APMIS Acta Pathol. Microbiol. Immunol. Scand. 2014, 122, 1013–1019. [Google Scholar] [CrossRef] [PubMed]
- Kono, H.; Rock, K.L. How dying cells alert the immune system to danger. Nat. Rev. Immunol. 2008, 8, 279–289. [Google Scholar] [CrossRef] [PubMed]
- Orenstein, S.B.; Qiao, Y.; Klueh, U.; Kreutzer, D.L.; Novitsky, Y.W. Activation of human mononuclear cells by porcine biologic meshes in vitro. Hernia 2010, 14, 401–407. [Google Scholar] [CrossRef]
- Connor, J.; McQuillan, D.; Sandor, M.; Wan, H.; Lombardi, J.; Bachrach, N.; Harper, J.; Xu, H. Retention of structural and biochemical integrity in a biological mesh supports tissue remodeling in a primate abdominal wall model. Regen. Med. 2009, 4, 185–195. [Google Scholar] [CrossRef]
- Xu, H.; Wan, H.; Zuo, W.; Sun, W.; Owens, R.T.; Harper, J.R.; McQuillan, D.J. A Porcine-Derived Acellular Dermal Scaffold That Supports Soft Tissue Regeneration: Removal of Terminal Galactose-α-(1,3)-Galactose and Retention of Matrix Structure. Tissue Eng. Part A 2009, 15, 1807–1819. [Google Scholar] [CrossRef]
- Vasconcelos, D.P.; Águas, A.P.; Barbosa, M.A.; Pelegrín, P.; Barbosa, J.N. The inflammasome in host response to biomaterials: Bridging inflammation and tissue regeneration. Acta Biomater. 2019, 83, 1–12. [Google Scholar] [CrossRef] [PubMed]
- Chung, L.; Maestas Jr, D.R.; Housseau, F.; Elisseeff, J.H. Key players in the immune response to biomaterial scaffolds for regener-ative medicine. Adv. Drug. Deliv. Rev. 2017, 114, 184–192. [Google Scholar] [CrossRef]
- Orenstein, S.; Qiao, Y.; Kaur, M.; Klueh, U.; Kreutzer, D.; Novitsky, Y. In Vitro Activation of Human Peripheral Blood Mono-nuclear Cells Induced by Human Biologic Meshes. J. Surg. Res. 2010, 158, 10–14. [Google Scholar] [CrossRef]
- Grom, A.A.; Horne, A.; De Benedetti, F. Macrophage activation syndrome in the era of biologic therapy. Nat. Rev. Rheumatol. 2016, 12, 259–268. [Google Scholar] [CrossRef] [PubMed]
- Hillebrandt, K.H.; Everwien, H.; Haep, N.; Keshi, E.; Pratschke, J.; Sauer, I.M. Strategies based on organ decellularization and recellularization. Transpl. Int. 2019, 32, 571–585. [Google Scholar] [CrossRef] [PubMed] [Green Version]
- Chen, Z.; Chen, L.; Liu, R.; Lin, Y.; Chen, S.; Lu, S.; Lin, Z.; Chen, Z.; Wu, C.; Xiao, Y. The osteoimmunomodulatory property of a barrier collagen membrane and its manipulation via coating nanometer-sized bioactive glass to improve guided bone regeneration. Biomater. Sci. 2018, 6, 1007–1019. [Google Scholar] [CrossRef]
- Bullard, J.D.; Lei, J.; Lim, J.J.; Massee, M.; Fallon, A.M.; Koob, T.J. Evaluation of dehydrated human umbilical cord biological prop-erties for wound care and soft tissue healing. J. Biomed. Mater. Res. B Appl. Biomater. 2019, 107, 1035–1046. [Google Scholar] [CrossRef]
- Julier, Z.; Park, A.; Briquez, P.S.; Martino, M.M. Promoting tissue regeneration by modulating the immune system. Acta Biomater. 2017, 53, 13–28. [Google Scholar] [CrossRef]
- Ungerleider, J.L.; Johnson, T.D.; Hernandez, M.J.; Elhag, D.I.; Braden, R.L.; Dzieciatkowska, M.; Osborn, K.G.; Hansen, K.C.; Mahmud, E.; Christman, K.L.; et al. Extracellular Matrix Hydrogel Promotes Tissue Remodeling, Arteriogenesis, and Perfusion in a Rat Hindlimb Ischemia Model. JACC Basic Transl. Sci. 2016, 1, 32–44. [Google Scholar] [CrossRef] [Green Version]
- Rammal, H.; Entz, L.; Dubus, M.; Moniot, A.; Bercu, N.B.; Sergheraert, J.; Gangloff, S.C.; Mauprivez, C.; Kerdjoudj, H. Osteoinductive Material to Fine-Tune Paracrine Crosstalk of Mesenchymal Stem Cells with Endothelial Cells and Osteoblasts. Front. Bioeng. Biotechnol. 2019, 7, 256. [Google Scholar] [CrossRef]
- Aprile, P.; Letourneur, D.; Simon-Yarza, T. Membranes for Guided Bone Regeneration: A Road from Bench to Bedside. Adv. Healthc. Mater. 2020, 9, 2000707. [Google Scholar] [CrossRef] [PubMed]
- Xie, Y.; Hu, C.; Feng, Y.; Li, D.; Ai, T.; Huang, Y.; Chen, X.; Huang, L.; Tan, J. Osteoimmunomodulatory effects of biomaterial modification strategies on macrophage polarization and bone regeneration. Regen. Biomater. 2020, 7, 233–245. [Google Scholar] [CrossRef]
- Dubus, M.; Kerdjoudj, H.; Scomazzon, L.; Sergheraert, J.; Mauprivez, C.; Rahouadj, R.; Baldit, A. Mechanical behaviour of a membrane made of human umbilical cord for dental bone regenerative medicine. Comput. Methods Biomech. Biomed. Eng. 2020, 23, S88–S90. [Google Scholar] [CrossRef]
- Riffault, M.; Moulin, D.; Grossin, L.; Mainard, D.; Magdalou, J.; Vincourt, J.-B. Label-Free Relative Quantification Applied to LC-MALDI Acquisition for Rapid Analysis of Chondrocyte Secretion Modulation. J. Proteomics 2015, 114, 263–273. [Google Scholar] [CrossRef] [PubMed]








| DC-WJ | DV-WJ | p | |
|---|---|---|---|
| DNA content (ng/mg of the dry tissue) | Below the limit detection | 664.12 ± 210.75 | 0.007 |
| Collagen (mg/mg of dry tissue) | 0.88 ± 0.09 | 0.89 ± 0.06 | 0.8 |
| Sulfated GAGs (μg/mg of dry tissue) | 3.14 ± 1.4 | 1.6 ± 0.6 | 0.2 |
| Non sulfated GAGs (μg/mg of dry tissue) | 15.08 ± 3.4 | 15.11 ± 1.9 | 0.9 |
| Released VEGF (pg/mL/mg of dry tissue) | 126 ± 17 | 37 ± 17 | 0.01 |
| Released HGF (pg/mL/mg of dry tissue) | 451 ± 148 | 296 ± 54 | 0.16 |
| Released TGF-β (pg/mL/mg of dry tissue) | 445 ± 25 | 436 ± 24 | 0.67 |
| Porosity range (μm) | 10 to 184 | 0.1 to 184 | - |
| Total porosity (%) | ~79 | - | |
| Swelling ratio (g/g) | 14.0 ± 6.7 | 18.5 ± 9.2 | 0.2 |
| Linear elastic modulus (dry condition) (MPa) | 12.69 ± 3.87 | 12.57 ± 3.08 | 0.77 |
| Linear elastic modulus (wet condition) (MPa) | 0.64 ± 0.22 | 0.61 ± 0.11 | 0.89 |
Publisher’s Note: MDPI stays neutral with regard to jurisdictional claims in published maps and institutional affiliations. |
© 2022 by the authors. Licensee MDPI, Basel, Switzerland. This article is an open access article distributed under the terms and conditions of the Creative Commons Attribution (CC BY) license (https://creativecommons.org/licenses/by/4.0/).
Share and Cite
Dubus, M.; Scomazzon, L.; Chevrier, J.; Ledouble, C.; Baldit, A.; Braux, J.; Gindraux, F.; Boulagnon, C.; Audonnet, S.; Colin, M.; et al. Antibacterial and Immunomodulatory Properties of Acellular Wharton’s Jelly Matrix. Biomedicines 2022, 10, 227. https://doi.org/10.3390/biomedicines10020227
Dubus M, Scomazzon L, Chevrier J, Ledouble C, Baldit A, Braux J, Gindraux F, Boulagnon C, Audonnet S, Colin M, et al. Antibacterial and Immunomodulatory Properties of Acellular Wharton’s Jelly Matrix. Biomedicines. 2022; 10(2):227. https://doi.org/10.3390/biomedicines10020227
Chicago/Turabian StyleDubus, Marie, Loïc Scomazzon, Julie Chevrier, Charlotte Ledouble, Adrien Baldit, Julien Braux, Florelle Gindraux, Camille Boulagnon, Sandra Audonnet, Marius Colin, and et al. 2022. "Antibacterial and Immunomodulatory Properties of Acellular Wharton’s Jelly Matrix" Biomedicines 10, no. 2: 227. https://doi.org/10.3390/biomedicines10020227
APA StyleDubus, M., Scomazzon, L., Chevrier, J., Ledouble, C., Baldit, A., Braux, J., Gindraux, F., Boulagnon, C., Audonnet, S., Colin, M., Rammal, H., Mauprivez, C., & Kerdjoudj, H. (2022). Antibacterial and Immunomodulatory Properties of Acellular Wharton’s Jelly Matrix. Biomedicines, 10(2), 227. https://doi.org/10.3390/biomedicines10020227

