Convolutional Neural Networks to Assess Steno-Occlusive Disease Using Cerebrovascular Reactivity
Abstract
1. Introduction
1.1. CVR: Clinical Workflow
1.2. Convolutional Neural Networks
1.3. Article Structure
2. Relevant Work
3. Materials and Methods
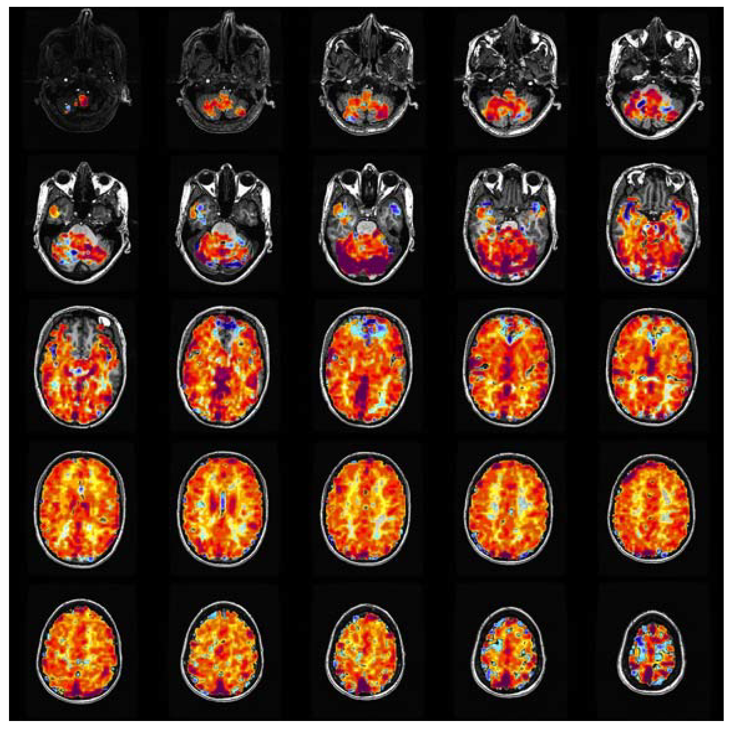
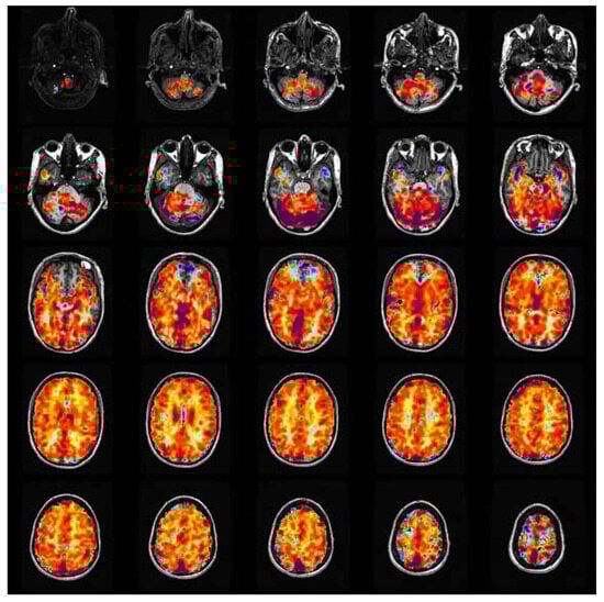
3.1. Data Analysis and Pre-Processing
3.2. CNN Design
3.3. Transfer Learning
4. Results
4.1. Baseline Experiments
4.2. Dropout Regularization and Batch Normalization
4.3. Network Width and Depth
4.4. Advanced Hyperparameters
4.5. Network Performance Comparison
- True Positive (TP): Number of samples classified correctly as yes or success.
- True Negative (TN): Number of samples classified correctly as no or failure.
- False Positive (FP): Number of samples classified incorrectly as a yes or success.
- False Negative (FN): Number of samples classified incorrectly as no or failure.
4.6. Generalization Capabilities
4.7. Ablation Study
4.8. Transfer Learning Performance
4.9. Results Analysis
5. Discussion
5.1. Key Findings and Proposed Network
5.2. Limitations
5.3. Future Work
6. Conclusions
Author Contributions
Funding
Institutional Review Board Statement
Informed Consent Statement
Data Availability Statement
Acknowledgments
Conflicts of Interest
References
- Cerebrovascular Disease|Michigan Medicine. Available online: https://www.uofmhealth.org/conditions-treatments/brain-neurological-conditions/cerebrovascular (accessed on 5 January 2023).
- Feigin, V.L.; Brainin, M.; Norrving, B.; Martins, S.; Sacco, R.L.; Hacke, W.; Fisher, M.; Pandian, J.; Lindsay, P. World Stroke Organization (WSO): Global Stroke Fact Sheet 2022. Int. J. Stroke 2022, 17, 18–29. [Google Scholar] [CrossRef] [PubMed]
- Martinez-Rodriguez, J.E.; Munteis, E.; Gomis, M.; Rodríguez-Campello, A.; Jimenez-Conde, J.; Cuadrado-Godia, E.; Roquer, J.; Ois, A. Stenoocclusive arterial disease and early neurological deterioration in acute ischemic stroke. Cerebrovasc. Dis. 2008, 25, 151–156. [Google Scholar]
- Lee, P.H.; Oh, S.H.; Bang, O.Y.; Joo, I.S.; Huh, K. Isolated middle cerebral artery disease: Clinical and neuroradiological features depending on the pathogenesis. J. Neurol. Neurosurg. Psychiatry 2004, 75, 727–732. [Google Scholar] [CrossRef] [PubMed][Green Version]
- Sebök, M.; van Niftrik, C.; Germans, M.; Katan, M.; Kulcsar, Z.; Luft, A.; Regli, L.; Fierstra, J. Recurrent stroke in symptomatic steno-occlusive disease: Identifying patients at high-risk using impaired BOLD cerebrovascular reactivity. Brain Spine 2022, 2, 101215. [Google Scholar] [CrossRef]
- Gaillard, F. BOLD Imaging|Radiology Reference Article|Radiopaedia.org. Radiopaedia. Retrieved 4 November 2022. Available online: https://radiopaedia.org/articles/bold-imaging (accessed on 3 April 2023).
- Sleight, E.; Stringer, M.S.; Marshall, I.; Wardlaw, J.M.; Thrippleton, M.J. Cerebrovascular reactivity measurement using magnetic resonance imaging: A systematic review. Front. Physiol. 2021, 12, 643468. [Google Scholar] [CrossRef]
- Leoni, R.F.; Mazzetto-Betti, K.C.; Silva, A.C.; Dos Santos, A.C.; de Araujo, D.B.; Leite, J.P.; Pontes-Neto, O.M. Assessing cerebrovascular reactivity in carotid steno-occlusive disease using MRI bold and asl techniques. Radiol. Res. Pract. 2012, 2012, 268483. [Google Scholar] [CrossRef]
- Fisher, J.A.; Venkatraghavan, L.; Mikulis, D.J. Magnetic resonance imaging–based cerebrovascular reactivity and hemodynamic reserve. Stroke 2018, 49, 2011–2018. [Google Scholar] [CrossRef]
- Vorstrup, S.; Brun, B.; Lassen, N.A. Evaluation of the cerebral vasodilatory capacity by the acetazolamide test before EC-IC bypass surgery in patients with occlusion of the internal carotid artery. Stroke 1986, 17, 1291–1298. [Google Scholar] [CrossRef]
- Slessarev, M.; Han, J.; Mardimae, A.; Prisman, E.; Preiss, D.; Volgyesi, G.; Ansel, C.; Duffin, J.; Fisher, J.A. Prospective targeting and control of endtidal CO2 and O2 concentrations. J. Physiol. 2007, 581, 1207–1219. [Google Scholar] [CrossRef]
- RespirAct® RA-MRTM, Thornhill Medical Canada. Available online: https://thornhillmedical.ca/research/respiract-ra-mr/ (accessed on 3 April 2023).
- Sobczyk, O.; Sayin, E.S.; Sam, K.; Poublanc, J.; Duffin, J.; Fisher, J.A.; Mikulis, D.J. The Reproducibility of Cerebrovascular Reactivity Across MRI Scanners. Front. Physiol. 2021, 12, 668662. [Google Scholar] [CrossRef]
- Fisher, J.A.; Mikulis, D.J. Cerebrovascular reactivity: Purpose, optimizing methods, and limitations to interpretation—A personal 20-year odyssey of (re)searching. Front. Physiol. 2021, 12, 621651. [Google Scholar] [CrossRef]
- Goodfellow, I.; Bengio, Y.; Courville, A. Deep Learning; MIT Press: Cambridge, MA, USA, 2016; Available online: http://www.deeplearningbook.org (accessed on 7 August 2023).
- Build with AI|DeepAI. Available online: https://deepai.org/machine-learning-glossary-andterms/neural-network (accessed on 3 April 2023).
- LeCun, Y.; Bengio, Y.; Hinton, G. Deep learning. Nature 2015, 521, 436–444. [Google Scholar] [CrossRef] [PubMed]
- Wu, H.; Gu, X. Towards dropout training for convolutional neural networks. Neural Netw. 2015, 71, 1–10. [Google Scholar] [CrossRef] [PubMed]
- Activation Function. DeepAI. 27 September 2020. Available online: https://deepai.org/machine-learning-glossary-and-terms/activation-function (accessed on 22 June 2023).
- Nwankpa, C.; Ijomah, W.; Gachagan, A.; Marshall, S. Activation Functions: Comparison of Trends in Practice and Research for Deep Learning. arXiv 2018, arXiv:1811.03378. [Google Scholar]
- Nirthika, R.; Manivannan, S.; Ramanan, A.; Wang, R. Pooling in convolutional neural networks for medical image analysis: A survey and an empirical study. Neural Comput. Appl. 2022, 34, 5321–5347. [Google Scholar] [CrossRef]
- Kim, H.E.; Cosa-Linan, A.; Santhanam, N.; Jannesari, M.; Maros, M.E.; Ganslandt, T. Transfer learning for medical image classification: A literature review. BMC Med. Imaging 2022, 22, 1–13. [Google Scholar] [CrossRef] [PubMed]
- Shen, D.; Wu, G.; Suk, H.-I. Deep Learning in Medical Image Analysis. Annu. Rev. Biomed. Eng. 2017, 19, 221–248. [Google Scholar] [CrossRef]
- Litjens, G.; Kooi, T.; Bejnordi, B.E.; Setio, A.A.A.; Ciompi, F.; Ghafoorian, M.; van der Laak, J.A.W.M.; van Ginneken, B.; Sánchez, C.I. A survey on deep learning in medical image analysis. Med. Image Anal. 2017, 42, 60–88. [Google Scholar] [CrossRef]
- Ker, J.; Wang, L.; Rao, J.; Lim, T. Deep Learning Applications in Medical Image Analysis. IEEE Access 2017, 6, 9375–9389. [Google Scholar] [CrossRef]
- Farooq, A.; Anwar, S.; Awais, M.; Rehman, S. A deep CNN based multiclass classification of Alzheimer’s disease using MRI. In Proceedings of the 2017 IEEE International Conference on Imaging Systems and Techniques (IST), Beijing, China, 18–20 October 2017; pp. 1–6. [Google Scholar] [CrossRef]
- Chen, D.Y.T.; Ishii, Y.; Fan, A.P.; Guo, J.; Zhao, M.Y.; Steinberg, G.K.; Zaharchuk, G. Predicting PET Cerebrovascular Reserve with Deep Learning by Using Baseline MRI: A Pilot Investigation of a Drug-Free Brain Stress Test. Radiology 2020, 296, 627–637. [Google Scholar] [CrossRef]
- Hussein, R.; Zhao, M.; Shin, D.; Guo, J.; Chen, K.T.; Armindo, R.D.; Davidzon, G.; Moseley, M.; Zaharchuk, G. Mul-ti-task Deep Learning for Cerebrovascular Disease Classification and MRI-to-PET Translation. arXiv 2022, arXiv:2202.06142. [Google Scholar]
- Hashemzehi, R.; Mahdavi, S.J.S.; Kheirabadi, M.; Kamel, S.R. Detection of brain tumors from MRI images base on deep learning using hybrid model CNN and NADE. Biocybern. Biomed. Eng. 2020, 40, 1225–1232. [Google Scholar] [CrossRef]
- Meijs, M.; Meijer, F.J.; Prokop, M.; van Ginneken, B.; Manniesing, R. Image-level detection of arterial occlusions in 4D-CTA of acute stroke patients using deep learning. Med. Image Anal. 2020, 66, 101810. [Google Scholar] [CrossRef]
- Hou, X.; Guo, P.; Wang, P.; Liu, P.; Lin, D.D.M.; Fan, H.; Li, Y.; Wei, Z.; Lin, Z.; Jiang, D.; et al. Deep-learning-enabled Brain He-modynamic Mapping Using Resting-state fMRI. arXiv 2022, arXiv:2204.11669. [Google Scholar]
- Zhu, G.; Chen, H.; Jiang, B.; Chen, F.; Xie, Y.; Wintermark, M. Application of Deep Learning to Ischemic and Hemorrhagic Stroke Computed Tomography and Magnetic Resonance Imaging. Semin. Ultrasound CT MRI 2022, 43, 147–152. [Google Scholar] [CrossRef] [PubMed]
- Talo, M.; Baloglu, U.B.; Yıldırım, Ö.; Acharya, U.R. Application of deep transfer learning for automated brain ab-normality classification using MR images. Cogn. Syst. Res. 2019, 54, 176–188. [Google Scholar] [CrossRef]
- Maqsood, M.; Nazir, F.; Khan, U.; Aadil, F.; Jamal, H.; Mehmood, I.; Song, O.Y. Transfer learning assisted classifi-cation and detection of Alzheimer’s disease stages using 3D MRI scans. Sensors 2019, 19, 2645. [Google Scholar] [CrossRef]
- Yuan, Y.; Qin, W.; Buyyounouski, M.; Ibragimov, B.; Hancock, S.; Han, B.; Xing, L. Prostate cancer classification with multiparametric MRI transfer learning model. Med. Phys. 2018, 46, 756–765. [Google Scholar] [CrossRef]
- Ghafoorian, M.; Mehrtash, A.; Kapur, T.; Karssemeijer, N.; Marchiori, E.; Pesteie, M.; Guttmann, C.R.; de Leeuw, F.-E.; Tempany, C.M.; Van Ginneken, B. Transfer learning for domain adaptation in mri: Application in brain lesion segmentation. In Medical Image Computing and Computer Assisted Intervention—MICCAI 2017, Proceedings of the 20th International Conference, Quebec City, QC, Canada, 11–13 September 2017; Springer International Publishing: Berlin/Heidelberg, Germany, 2017; pp. 516–524. [Google Scholar]
- Waddle, S.L.; Juttukonda, M.R.; Lants, S.K.; Davis, L.T.; Chitale, R.; Fusco, M.R.; Jordan, L.C.; Donahue, M.J. Classifying intracranial stenosis disease severity from functional MRI data using machine learning. J. Cereb. Blood Flow Metab. 2019, 40, 705–719. [Google Scholar] [CrossRef]
- Klöppel, S.; Stonnington, C.M.; Chu, C.; Draganski, B.; Scahill, R.I.; Rohrer, J.D.; Fox, N.C.; Jack, C.R.; Ashburner, J.; Frackowiak, R.S.J. Automatic classification of MR scans in Alzheimer’s disease. Brain 2008, 131, 681–689. [Google Scholar] [CrossRef]
- Zacharaki, E.I.; Wang, S.; Chawla, S.; Yoo, D.S.; Wolf, R.; Melhem, E.R.; Davatzikos, C. Classification of brain tumor type and grade using MRI texture and shape in a machine learning scheme. Magn. Reson. Med. 2009, 62, 1609–1618. [Google Scholar] [CrossRef] [PubMed]
- Bahadure, N.B.; Ray, A.K.; Thethi, H.P. Image Analysis for MRI Based Brain Tumor Detection and Feature Extraction Using Biologically Inspired BWT and SVM. Int. J. Biomed. Imaging 2017, 2017, 9749108. [Google Scholar] [CrossRef] [PubMed]
- Dasari, Y. Deep Learning-Enabled Cerebrovascular Reactivity Processing Software. UWSpace. 2022. Available online: http://hdl.handle.net/10012/19002 (accessed on 7 August 2023).
- Alzubaidi, L.; Zhang, J.; Humaidi, A.J.; Al-Dujaili, A.; Duan, Y.; Al-Shamma, O.; Santamaría, J.; Fadhel, M.A.; Al-Amidie, M.; Farhan, L. Review of deep learning: Concepts, CNN architectures, challenges, applications, future directions. J. Big Data 2021, 8, 1–74. [Google Scholar] [CrossRef]
- Machine Learning Glossary. Google Developers. Available online: https://developers.google.com/machine-learning/glossary (accessed on 3 April 2023).
- Abadi, M.; Agarwal, A.; Barham, P.; Brevdo, E.; Chen, Z.; Citro, C.; Corrado, G.; Davis, A.; Dean, J.; Devin, M.; et al. TensorFlow: Large-Scale Machine Learning on Heterogeneous Distributed Systems. 2015. Available online: https://static.googleusercontent.com/media/research.google.com/en//pubs/archive/45166.pdf (accessed on 22 June 2023).
- Keras Documentation. Available online: https://keras.io (accessed on 26 December 2018).
- Kingma, D.P.; Ba, J. Adam: A Method for Stochastic Optimization. arXiv 2014, arXiv:1412.6980. [Google Scholar]
- Fukushima, K. Cognitron: A self-organizing multilayered neural network. Biol. Cybern. 1975, 20, 121–136. [Google Scholar] [CrossRef]
- Team, K. Keras Documentation: MaxPooling2D Layer. Keras.io. Available online: https://keras.io/api/layers/pooling_layers/max_pooling2d/ (accessed on 3 April 2023).
- Team, K. Keras Documentation: EarlyStopping. Keras.io. Available online: https://keras.io/api/callbacks/early_stopping/ (accessed on 3 April 2023).
- What Is Overfitting?|IBM. www.ibm.com. Available online: https://www.ibm.com/topics/overfitting (accessed on 3 April 2023).
- Hinton, G.; Srivastava, N.; Krizhevsky, A.; Sutskever, I.; Salakhutdinov, R. Improving neural networks by prevent-ing co-adaptation of feature detectors. arXiv 2012, arXiv:1207.0580. [Google Scholar]
- Team, K. Keras Documentation: BatchNormalization Layer. Keras.io. Available online: https://keras.io/api/layers/normalization_layers/batch_normalization/ (accessed on 3 April 2023).
- Deng, J.; Dong, W.; Socher, R.; Li, L.-J.; Li, K.; Fei-Fei, L. ImageNet: A large-scale hierarchical image database. In Proceedings of the 2009 IEEE Conference on Computer Vision and Pattern Recognition, Miami, FL, USA, 20–25 June 2009; pp. 248–255. [Google Scholar] [CrossRef]
- Tan, M.; Le, Q.V. EfficientNet: Rethinking Model Scaling for Convolutional Neural Networks. May 2019. Available online: http://arxiv.org/abs/1905.11946 (accessed on 22 June 2023).
- Szegedy, C.; Vanhoucke, V.; Ioffe, S.; Shlens, J.; Wojna, Z. Rethinking the Inception Architecture for Computer Vision. arXiv 2015, arXiv:1512.00567. [Google Scholar]
- He, K.; Zhang, X.; Ren, S.; Sun, J. Deep residual learning for image recognition. In Proceedings of the IEEE Computer Society Conference on Computer Vision and Pattern Recognition (CVPR), Las Vegas, NV, USA, 27–30 June 2016; pp. 770–778. [Google Scholar] [CrossRef]
- Simonyan, K.; Zisserman, A. Very deep convolutional networks for large-scale image recognition. In Proceedings of the 3rd International Conference on Learning Representations, ICLR 2015, San Diego, CA, USA, 7–9 May 2015; Available online: https://arxiv.org/abs/1409.1556 (accessed on 22 June 2023).
- Team, K. Keras Documentation: Transfer Learning & Finetuning. Keras.io. Available online: https://keras.io/guides/transfer_learning/ (accessed on 3 April 2023).
- Bengio, Y. Practical Recommendations for Gradient-Based Training of Deep Architectures. In Neural Networks: Tricks of the Trade; Springer: Berlin/Heidelberg, Germany, 2012; pp. 437–478. [Google Scholar]
- Srivastava, N.; Hinton, G.; Krizhevsky, A.; Salakhutdinov, R. Dropout: A Simple Way to Prevent Neural Networks from Overfitting. J. Mach. Learn. Res. 2014, 15, 1929–1958. Available online: https://www.cs.toronto.edu/~rsalakhu/papers/srivastava14a.pdf (accessed on 22 June 2023).
- BN Questions (Old) Issue 1802·Kerasteam/Keras. GitHub. Retrieved 4 April 2023. Available online: https://github.com/keras-team/keras/issues/1802#issuecomment-187966878 (accessed on 3 April 2023).
- Keras. ReduceLROnPlateau. Available online: https://keras.io/api/callbacks/reduce_lr_on_plateau/ (accessed on 21 October 2022).
- Teng, L.; Qiao, Y.; Shafiq, M.; Srivastava, G.; Javed, A.R.; Gadekallu, T.R.; Yin, S. FLPK-BiSeNet: Federated Learning Based on Priori Knowledge and Bilateral Segmentation Network for Image Edge Extraction. IEEE Trans. Netw. Serv. Manag. 2023, 20, 1529–1542. [Google Scholar] [CrossRef]
- Sharma, S.; Gupta, S.; Gupta, D.; Rashid, J.; Juneja, S.; Kim, J.; Elarabawy, M.M. Performance Evaluation of the Deep Learning Based Convolutional Neural Network Approach for the Recognition of Chest X-Ray Images. Front. Oncol. 2022, 12, 932496. [Google Scholar] [CrossRef]
- Glodzik, L.; Randall, C.; Rusinek, H.; de Leon, M.J. Cerebrovascular Reactivity to Carbon Dioxide in Alzheimer’s Disease. J. Alzheimer’s Dis. 2013, 35, 427–440. [Google Scholar] [CrossRef] [PubMed]








| Dataset | Healthy Samples | Unhealthy Samples |
|---|---|---|
| Train | 594 | 650 |
| Validation | 168 | 186 |
| Test | 6 | 16 |
| Hyperparameter | Values |
|---|---|
| Batch Size | 8, 16, 32, 64 |
| Batch Normalization | Yes/No (with default settings) |
| Dropout Rate | 0% (No dropout), 20%, 50% |
| Network Depth (number of layers) | 2, 3 hidden layers |
| Network Width (filters/nodes in each layer) | 8, 16, 32, 64, 128 |
| Learning Rate | 0.01, 0.001 (default), 0.0005 |
| Kernel Size of Convolution Layer | 3 × 3, 5 × 5, 7 × 7 |
| Model Number: Architecture | No. of Parameters | Epochs | Training Accuracy & Loss | Validation Accuracy & Loss | Testing Accuracy|Sensitivity & Specificity |
|---|---|---|---|---|---|
| 1: conv8, fc8, drop, fc1 | 1,032,497 | 16 | 0.8977 & 0.21 | 0.8835 & 0.29 | 0.95|0.83 & 1 |
| 2: conv8, BN, drop, fc8, BN, drop, fc1 | 1,032,561 | 42 | 0.9670 & 0.06 | 0.97 & 0.09 | 0.72|1 & 0.62 |
| 3: conv16, BN, drop, fc16, BN, drop, fc1 | 4,129,633 | 14 | 0.9991 & 0.005 | 0.9204 & 0.177 | 0.77|0.17 & 1 |
| 4: conv16, BN, drop, fc32, BN, drop, fc1 | 8,258,561 | 53 | 0.8531 & 0.3465 | 0.9176 & 0.3149 | 0.27|1 & 0 |
| 5: conv16, BN, drop, fc64, BN, drop, fc1 | 16,516,673 | 16 | 1.00 & 0.0007 | 0.9631 & 0.1581 | 0.27|1 & 0 |
| 6: conv32, BN, drop, fc32, BN, drop, fc1 | 16,517,313 | 10 | 1.00 & 0.0054 | 0.5284 & 0.8745 | 0.27|1 & 0 |
| 7: conv32, BN, drop, fc64, BN, drop, fc1 | 33,033,601 | 10 | 1.00 & 0.0018 | 0.5250 & 2.3896 | 0.32|1 & 0.06 |
| 8: conv64, drop, fc64, drop, fc1 | 66,066,305 | 23 | 0.9867 & 0.0316 | 0.9488 & 0.2335 | 0.95|0.83 & 1 |
| 9: conv64, fc128, drop, fc1 | 132,131,585 | 12 | 1.00 & 0.0018 | 0.5284 & 1.1150 | 0.63|1 & 0.5 |
| 10: conv8, conv8, BN, drop, fc8, BN, drop, fc1 | 246,905 | 31 | 0.9884 & 0.0285 | 0.9204 & 0.2554 | 0.95|0.83 & 1 |
| 11: conv8, conv8, drop, fc16, drop, fc1 | 492,969 | 36 | 0.9975 & 0.0191 | 0.9318 & 0.19 | 0.31|1 & 0.06 |
| 12: conv16, conv16, BN, drop, fc16, BN, drop, fc1 | 986,993 | 40 | 1.00 & 0.0043 | 0.9715 & 0.0776 | 0.81|1 & 0.75 |
| 13: conv16, conv16, BN, drop, fc32, BN, drop, fc1 | 1,971,153 | 27 | 0.9983 & 0.0095 | 0.9176 & 0.3017 | 0.68|1 & 0.64 |
| 14: conv32, conv32, BN, drop, fc32, BN, drop, fc1 | 3,946,721 | 46 | 1.00 & 0.0006 | 0.9801 & 0.0671 | 0.95|1 & 0.9375 |
| 15: conv64, conv64, BN, drop, fc64, BN, drop, fc1 | 15,784,385 | 10 | 1.00 & 0.0024 | 0.7642 & 0.5937 | 0.7272|1 & 0.625 |
| Model Name: Architecture | Epochs | Training Accuracy & Loss | Validation Accuracy & Loss | Testing Accuracy|Sensitivity & Specificity |
|---|---|---|---|---|
| A1: conv32, conv32, BN, drop, fc32, BN, drop, fc1; Adams | 46 | 1.00 & 0.0006 | 0.9801 & 0.0671 | 0.95|1 & 0.9375 |
| A2: conv32, conv32, BN, drop, fc32, BN, drop, fc1; RMSProp | 19 | 0.9983 & 0.004 | 0.9090 & 0.5402 | 0.82|0.5 & 0.9375 |
| A3: conv32, conv32, fc32, BN, drop, fc1 | 28 | 1.00 & 0.003 | 0.9232 & 0.26 | 0.95|1 & 0.9375 |
| A4: conv32, conv32, BN, drop, fc32, fc1 | 64 | 1.00 & 0.075 | 0.9488 & 0.226 | 1|1 & 1 |
| A5: conv32, conv32, BN, fc32, fc1 | 19 | 1 & 0.0004 | 0.9062 & 0.28 | 1|1|1 |
| A6: conv32, conv32, drop, fc32, fc1 | 19 | 1 & 0.0006 | 0.929 & 0.15 | 0.95|1|0.9375 |
| A7: conv32, conv32, fc32, fc1 | 16 | 1.00 & 0.00009 | 0.9233 & 0.25 | 1|1 & 1 |
| A8: conv32, conv32, fc32, BN, fc1 | 19 | 1.00 & 0.0003 | 0.906 & 0.28 | 1|1|1 |
| A9: conv32, conv32, fc32, drop, fc1 | 19 | 1.00 & 0.0006 | 0.93 & 0.15 | 0.95|1|0.9375 |
Disclaimer/Publisher’s Note: The statements, opinions and data contained in all publications are solely those of the individual author(s) and contributor(s) and not of MDPI and/or the editor(s). MDPI and/or the editor(s) disclaim responsibility for any injury to people or property resulting from any ideas, methods, instructions or products referred to in the content. |
© 2023 by the authors. Licensee MDPI, Basel, Switzerland. This article is an open access article distributed under the terms and conditions of the Creative Commons Attribution (CC BY) license (https://creativecommons.org/licenses/by/4.0/).
Share and Cite
Dasari, Y.; Duffin, J.; Sayin, E.S.; Levine, H.T.; Poublanc, J.; Para, A.E.; Mikulis, D.J.; Fisher, J.A.; Sobczyk, O.; Khamesee, M.B. Convolutional Neural Networks to Assess Steno-Occlusive Disease Using Cerebrovascular Reactivity. Healthcare 2023, 11, 2231. https://doi.org/10.3390/healthcare11162231
Dasari Y, Duffin J, Sayin ES, Levine HT, Poublanc J, Para AE, Mikulis DJ, Fisher JA, Sobczyk O, Khamesee MB. Convolutional Neural Networks to Assess Steno-Occlusive Disease Using Cerebrovascular Reactivity. Healthcare. 2023; 11(16):2231. https://doi.org/10.3390/healthcare11162231
Chicago/Turabian StyleDasari, Yashesh, James Duffin, Ece Su Sayin, Harrison T. Levine, Julien Poublanc, Andrea E. Para, David J. Mikulis, Joseph A. Fisher, Olivia Sobczyk, and Mir Behrad Khamesee. 2023. "Convolutional Neural Networks to Assess Steno-Occlusive Disease Using Cerebrovascular Reactivity" Healthcare 11, no. 16: 2231. https://doi.org/10.3390/healthcare11162231
APA StyleDasari, Y., Duffin, J., Sayin, E. S., Levine, H. T., Poublanc, J., Para, A. E., Mikulis, D. J., Fisher, J. A., Sobczyk, O., & Khamesee, M. B. (2023). Convolutional Neural Networks to Assess Steno-Occlusive Disease Using Cerebrovascular Reactivity. Healthcare, 11(16), 2231. https://doi.org/10.3390/healthcare11162231

