Endoscopic Diagnosis of Biliary Stricture Combined with Digital Cholangioscope: A Case Series
Abstract
:1. Introduction
2. Materials and Methods
2.1. Study Design
2.2. ERCP Procedure
2.3. Cholangioscope Procedure
2.4. Study Outcomes
2.5. Statistical Analysis
3. Results
3.1. Patients’ Clinical Features
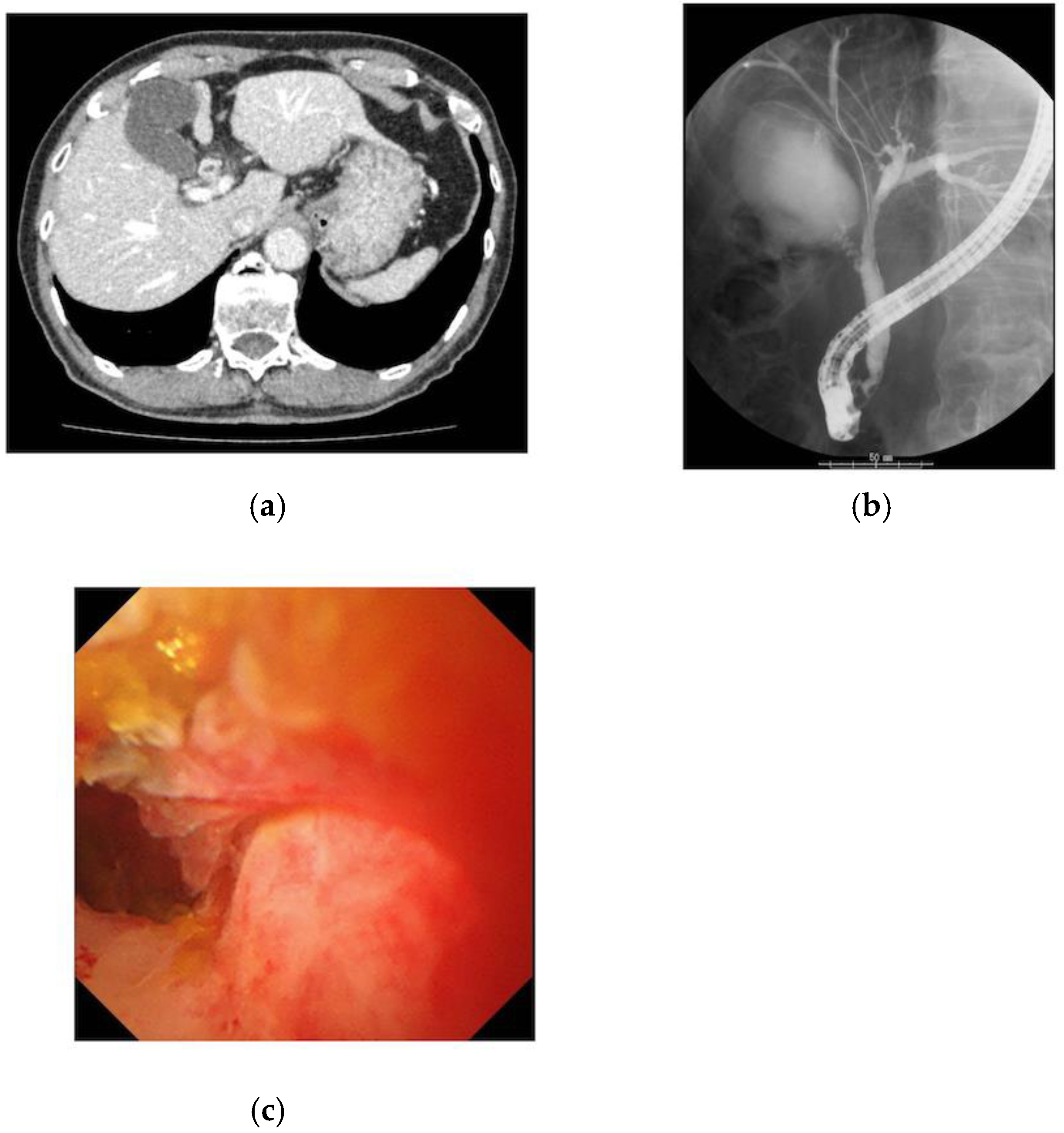
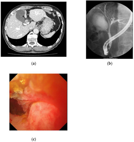
3.2. Details of Patients with Cholangioscopy for Biliary Stenosis
3.3. Outcomes of Diagnosis using Conventional ERCP and Cholangioscopy
4. Discussion
5. Conclusions
Author Contributions
Funding
Institutional Review Board Statement
Informed Consent Statement
Conflicts of Interest
References
- Navaneethan, U.; Njei, B.; Lourdusamy, V.; Konjeti, R.; Vargo, J.J.; Parsi, M.A. Comparative effectiveness of biliary brush cytology and intraductal biopsy for detection of malignant biliary strictures: A systematic review and meta-analysis. Gastrointest. Endosc. 2015, 81, 168–176. [Google Scholar] [CrossRef] [Green Version]
- Bowlus, C.L.; Olson, K.A.; Gershwin, M.E. Evaluation of indeterminate biliary strictures. Nat. Rev. Gastroenterol. Hepatol. 2016, 13, 28–37. [Google Scholar] [CrossRef]
- de Bellis, M.; Sherman, S.; Fogel, E.L.; Cramer, H.; Chappo, J.; McHenry, L.; Watkins, J.L.; Lehman, G.A. Tissue Sampling at ERCP in Suspected Malignant Biliary Strictures (Part 2). Gastrointest. Endosc. 2002, 56, 720–730. [Google Scholar] [CrossRef]
- Inoue, T.; Kitano, R.; Kobayashi, Y.; Ishii, N.; Sakamoto, K.; Ohashi, T.; Nakade, Y.; Sumida, Y.; Ito, K.; Nakao, H.; et al. Assessing the diagnostic yield of controllable biopsy-forceps for biliary strictures. Scand. J. Gastroenterol. 2018, 53, 598–603. [Google Scholar] [CrossRef]
- Mounzer, R.; Austin, G.; Wani, S.; Brauer, B.C.; Fukami, N.; Shah, R.J. Per-oral video cholangiopancreatoscopy with narrow-band imaging for the evaluation of indeterminate pancreaticobiliary disease. Gastrointest. Endosc. 2017, 85, 509–517. [Google Scholar] [CrossRef]
- Lenze, F.; Bokemeyer, A.; Gross, D.; Nowacki, T.; Bettenworth, D.; Ullerich, H. Safety, diagnostic accuracy and therapeutic efficacy of digital single-operator cholangioscopy. United Eur. Gastroenterol. J. 2018, 6, 902–909. [Google Scholar] [CrossRef] [Green Version]
- Draganov, P.V.; Chauhan, S.; Wagh, M.S.; Gupte, A.R.; Lin, T.; Hou, W.; Forsmark, C.E. Diagnostic accuracy of conventional and cholangioscopy-guided sampling of indeterminate biliary lesions at the time of ERCP: A prospective, long-term follow-up study. Gastrointest. Endosc. 2012, 75, 347–353. [Google Scholar] [CrossRef]
- Kurihara, T.; Yasuda, I.; Isayama, H.; Tsuyuguchi, T.; Yamaguchi, T.; Kawabe, K.; Okabe, Y.; Hanada, K.; Hayashi, T.; Ohtsuka, T.; et al. Diagnostic and therapeutic single-operator cholangiopancreatoscopy in biliopancreatic diseases: Prospective multicenter study in Japan. World J. Gastroenterol. 2016, 22, 1891–1901. [Google Scholar] [CrossRef]
- Fukuda, Y.; Tsuyuguchi, T.; Sakai, Y.; Tsuchiya, S.; Saisyo, H. Diagnostic Utility of Peroral Cholangioscopy for Various Bile-Duct Lesions. Gastrointest. Endosc. 2005, 62, 374–382. [Google Scholar] [CrossRef]
- Itoi, T.; Osanai, M.; Igarashi, Y.; Tanaka, K.; Kida, M.; Maguchi, H.; Yasuda, K.; Okano, N.; Imaizumi, H.; Yokoyama, T.; et al. Diagnostic Peroral Video Cholangioscopy Is an Accurate Diagnostic Tool for Patients With Bile Duct Lesions. Clin. Gastroenterol. Hepatol. 2010, 8, 934–938. [Google Scholar] [CrossRef]
- Chen, Y.K.; Parsi, M.A.; Binmoeller, K.F.; Hawes, R.H.; Pleskow, D.K.; Slivka, A.; Haluszka, O.; Petersen, B.T.; Sherman, S.; Devière, J.; et al. Single-Operator Cholangioscopy in Patients Requiring Evaluation of Bile Duct Disease or Therapy of Biliary Stones (With Videos). Gastrointest. Endosc. 2011, 74, 805–814. [Google Scholar] [CrossRef]
- Siddiqui, A.A.; Mehendiratta, V.; Jackson, W.; Loren, D.E.; Kowalski, T.E.; Eloubeidi, M.A. Identification of Cholangiocarcinoma by Using the Spyglass Spyscope System for Peroral Cholangioscopy and Biopsy Collection. Clin. Gastroenterol. Hepatol. 2012, 10, 466–471. [Google Scholar] [CrossRef]
- Laleman, W.; Verraes, K.; Van Steenbergen, W.; Cassiman, D.; Nevens, F.; Van der Merwe, S.; Verslype, C. Usefulness of the Single-Operator Cholangioscopy System SpyGlass in Biliary Disease: A Single-Center Prospective Cohort Study and Aggregated Review. Surg. Endosc. 2017, 31, 2223–2232. [Google Scholar] [CrossRef]
- Ramchandani, M.; Reddy, D.N.; Gupta, R.; Lakhtakia, S.; Tandan, M.; Darisetty, S.; Sekaran, A.; Rao, G.V. Role of Single-Operator Peroral Cholangioscopy in the Diagnosis of Indeterminate Biliary Lesions: A Single-Center, Prospective Study. Gastrointest. Endosc. 2011, 74, 511–519. [Google Scholar] [CrossRef]
- Kalaitzakis, E.; Webster, G.J.; Oppong, K.W.; Kallis, Y.; Vlavianos, P.; Huggett, M.; Dawwas, M.F.; Lekharaju, V.; Hatfield, A.; Westaby, D.; et al. Diagnostic and Therapeutic Utility of Single-Operator Peroral Cholangioscopy for Indeterminate Biliary Lesions and Bile Duct Stones. Eur. J. Gastroenterol. Hepatol. 2012, 24, 656–664. [Google Scholar] [CrossRef] [PubMed]
- Navaneethan, U.; Hasan, M.K.; Lourdusamy, V.; Njei, B.; Varadarajulu, S.; Hawes, R.H. Single-Operator Cholangioscopy and Targeted Biopsies in the Diagnosis of Indeterminate Biliary Strictures: A Systematic Review. Gastrointest. Endosc. 2015, 82, 608–614.e2. [Google Scholar] [CrossRef] [Green Version]
- Kawakami, H.; Kuwatani, M.; Etoh, K.; Haba, S.; Yamato, H.; Shinada, K.; Nakanishi, Y.; Tanaka, E.; Hirano, S.; Kondo, S.; et al. Endoscopic Retrograde Cholangiography Versus Peroral Cholangioscopy to Evaluate Intraepithelial Tumor Spread in Biliary Cancer. Endoscopy 2009, 41, 959–964. [Google Scholar] [CrossRef] [PubMed] [Green Version]
- Ishida, Y.; Itoi, T.; Okabe, Y. Can Image-Enhanced Cholangioscopy Distinguish Benign From Malignant Lesions in the Biliary Duct? Best Pract. Res. Clin. Gastroenterol. 2015, 29, 611–625. [Google Scholar] [CrossRef] [PubMed]
- Osanai, M.; Itoi, T.; Igarashi, Y.; Tanaka, K.; Kida, M.; Maguchi, H.; Yasuda, K.; Okano, N.; Imaizumi, H.; Itokawa, F. Peroral Video Cholangioscopy to Evaluate Indeterminate Bile Duct Lesions and Preoperative Mucosal Cancerous Extension: A Prospective Multicenter Study. Endoscopy 2013, 45, 635–642. [Google Scholar] [CrossRef]
- Ishida, Y.; Okabe, Y.; Kaji, R.; Yasumoto, M.; Sasaki, Y.; Ushijima, T.; Sugiyama, G.; Kitasato, Y.; Horiuchi, H.; Kinoshita, H.; et al. Evaluation of Magnifying Endoscopy Using Narrow Band Imaging Using Ex Vivo Bile Duct (With Video). Dig. Endosc. 2013, 25, 322–328. [Google Scholar] [CrossRef]
- Itoi, T.; Kamisawa, T.; Igarashi, Y.; Kawakami, H.; Yasuda, I.; Itokawa, F.; Kishimoto, Y.; Kuwatani, M.; Doi, S.; Hara, S.; et al. The Role of Peroral Video Cholangioscopy in Patients With IgG4-Related Sclerosing Cholangitis. J. Gastroenterol. 2013, 48, 504–514. [Google Scholar] [CrossRef] [PubMed]
- Itoi, T.; Neuhaus, H.; Chen, Y.K. Diagnostic Value of Image-Enhanced Video Cholangiopancreatoscopy. Gastrointest. Endosc. Clin. 2009, 19, 557–566. [Google Scholar] [CrossRef] [PubMed]
- Sethi, A.; Tyberg, A.; Slivka, A.; Adler, D.G.; Desai, A.P.; Sejpal, D.V.; Pleskow, D.K.; Bertani, H.; Gan, S.I.; Shah, R.; et al. Digital Single-Operator Cholangioscopy (DSOC) Improves Interobserver Agreement (IOA) and Accuracy for Evaluation of Indeterminate Biliary Strictures: The Monaco Classification. J. Clin. Gastroenterol. 2020. [Google Scholar] [CrossRef] [PubMed]


| Category | Conventional Biopsy by ERCP (n = 172) | Cholangioscopy (n = 15) | p-Value |
|---|---|---|---|
| Age in years, median [range] | 72.2 ± 11.2 | 69.7 ± 10.4 | 0.40 |
| Sex | 1.00 | ||
| - Male | 111 | 10 | |
| - Female | 61 | 5 | |
| Location | 0.79 | ||
| - Hilar region (%) | 74 (43.0) | 7 (46.7) | |
| - Distal region (%) | 98 (57.0) | 8 (53.3) | |
| Lesion | 0.22 | ||
| - Benign (%) | 42 (24.4) | 6 (40.0) | |
| - Malignancy (%) | 130 (75.6) | 9 (60.0) |
| Case | Age | Sex | Type of Cholangioscope | Endoscopic Diagnosis | Biopsy Obtained under Visualization | Surgical Operation | Final Diagnosis | Accuracy |
|---|---|---|---|---|---|---|---|---|
| 1 | 70 | M | CHF-B260 | Cholangiocarcinoma | N | Y | Cholangiocarcinoma | Y |
| 2 | 72 | M | SpyGlassDS | Cholangiocarcinoma | Y | Y | Cholangiocarcinoma | Y |
| 3 | 83 | M | CHF-B260 | IgG4SC | Y | Y | IgG4SC | Y |
| 4 | 72 | M | CHF-B260 | Compression by IPNB | N | Y | IPNB | Y |
| 5 | 77 | M | CHF-B260 | Inflammatory change | N | N | Inflammatory change | Y |
| 6 | 49 | F | SpyGlassDS | Inflammatory change | Y | N | Inflammatory change | Y |
| 7 | 49 | F | SpyGlassDS | Cholangiocarcinoma | Y | N | Cholangiocarcinoma | Y |
| 8 | 76 | M | SpyGlassDS | Cholangiocarcinoma | Y | Y | Cholangiocarcinoma | Y |
| 9 | 78 | M | SpyGlassDS | Cholangiocarcinoma | Y | Y | Cholangiocarcinoma | Y |
| 10 | 69 | F | SpyGlassDS | Cholangiocarcinoma | Y | Y | Cholangiocarcinoma | Y |
| 11 | 56 | M | SpyGlassDS | Cholangiocarcinoma | Y | Y | Cholangiocarcinoma | Y |
| 12 | 70 | F | SpyGlassDS | Cholangiocarcinoma | Y | Y | Cholangiocarcinoma | Y |
| 13 | 70 | M | SpyGlassDS | Cholangiocarcinoma | Y | Y | Cholangiocarcinoma | Y |
| 14 | 76 | F | SpyGlassDS | PSC | Y | N | PSC | Y |
| 15 | 78 | M | SpyGlassDS | IgG4SC | Y | N | IgG4SC | Y |
Publisher’s Note: MDPI stays neutral with regard to jurisdictional claims in published maps and institutional affiliations. |
© 2021 by the authors. Licensee MDPI, Basel, Switzerland. This article is an open access article distributed under the terms and conditions of the Creative Commons Attribution (CC BY) license (https://creativecommons.org/licenses/by/4.0/).
Share and Cite
Fukuhara, S.; Iwasaki, E.; Kayashima, A.; Machida, Y.; Tamagawa, H.; Kawasaki, S.; Horibe, M.; Hori, S.; Abe, Y.; Kitago, M.; et al. Endoscopic Diagnosis of Biliary Stricture Combined with Digital Cholangioscope: A Case Series. Healthcare 2022, 10, 12. https://doi.org/10.3390/healthcare10010012
Fukuhara S, Iwasaki E, Kayashima A, Machida Y, Tamagawa H, Kawasaki S, Horibe M, Hori S, Abe Y, Kitago M, et al. Endoscopic Diagnosis of Biliary Stricture Combined with Digital Cholangioscope: A Case Series. Healthcare. 2022; 10(1):12. https://doi.org/10.3390/healthcare10010012
Chicago/Turabian StyleFukuhara, Seiichiro, Eisuke Iwasaki, Atsuto Kayashima, Yujiro Machida, Hiroki Tamagawa, Shintaro Kawasaki, Masayasu Horibe, Shutaro Hori, Yuta Abe, Minoru Kitago, and et al. 2022. "Endoscopic Diagnosis of Biliary Stricture Combined with Digital Cholangioscope: A Case Series" Healthcare 10, no. 1: 12. https://doi.org/10.3390/healthcare10010012
APA StyleFukuhara, S., Iwasaki, E., Kayashima, A., Machida, Y., Tamagawa, H., Kawasaki, S., Horibe, M., Hori, S., Abe, Y., Kitago, M., Ogata, H., & Kanai, T. (2022). Endoscopic Diagnosis of Biliary Stricture Combined with Digital Cholangioscope: A Case Series. Healthcare, 10(1), 12. https://doi.org/10.3390/healthcare10010012

