Peptidomic Analysis Reveals Temperature-Dependent Proteolysis in Rainbow Trout (Oncorhynchus mykiss) Meat During Sous-Vide Cooking
Abstract
1. Introduction
2. Material and Methods
2.1. Material
2.2. Sous-Vide Cooking of Rainbow Trout Meat
2.3. TPA
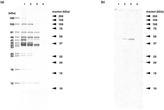
2.4. SDS-PAGE and Immunoblot Analysis
2.5. Free Peptide Extraction
2.6. Peptidomic Analysis
2.7. Peptide Terminome Analysis
2.8. Statistical Analysis
3. Results and Discussion
3.1. TPA
3.2. SDS-PAGE and Immunoblot Analysis
3.3. Peptidomic Analysis
4. Conclusions
Supplementary Materials
Author Contributions
Funding
Data Availability Statement
Acknowledgments
Conflicts of Interest
References
- Zavadlav, S.; Blažić, M.; Van de Velde, F.; Vignatti, C.; Fenoglio, C.; Piagentini, A.M.; Pirovani, M.E.; Perotti, C.M.; Kovačević, D.B.; Putnik, P. Sous-Vide as a Technique for Preparing Healthy and High-Quality Vegetable and Seafood Products. Foods 2020, 9, 1537. [Google Scholar] [CrossRef] [PubMed]
- Baldwin, D.E. Sous Vide Cooking: A Review. Int. J. Gastron. Food Sci. 2012, 1, 15–30. [Google Scholar] [CrossRef]
- Tamilmani, P.; Pandey, M.C. Thermal Analysis of Meat and Meat Products: A Review. J. Therm. Anal. Calorim. 2016, 123, 1899–1917. [Google Scholar] [CrossRef]
- Ayub, H.; Ahmad, A. Physiochemical Changes in Sous-Vide and Conventionally Cooked Meat. Int. J. Gastron. Food Sci. 2019, 17, 100145. [Google Scholar] [CrossRef]
- Schubring, R. Comparative Study of the DSC Pattern, Color, Texture and Water-Binding Capacity of Rainbow Trout Muscle during Heating. J. Food Process Preserv. 2008, 32, 190–218. [Google Scholar] [CrossRef]
- Zhang, Z.; Pham, H.; Tan, Y.; Zhou, H.; McClements, D.J. Investigation of Protein Denaturation and Textural Changes of Atlantic Salmon (Salmo Salar) During Simulated Cooking. Food Biophys. 2021, 16, 512–519. [Google Scholar] [CrossRef]
- Yin, Y.; Pereira, J.; Zhou, L.; Lorenzo, J.M.; Tian, X.; Zhang, W. Insight into the Effects of Sous Vide on Cathepsin B and L Activities, Protein Degradation and the Ultrastructure of Beef. Foods 2020, 9, 1441. [Google Scholar] [CrossRef]
- Uttaro, B.; Zawadski, S.; McLeod, B. Efficacy of Multi-Stage Sous-Vide Cooking on Tenderness of Low Value Beef Muscles. Meat Sci. 2019, 149, 40–46. [Google Scholar] [CrossRef]
- Stoknes, I.; Rustad, T. Proteolytic Activity in Muscle from Atlantic Salmon (Salmo Salar). J. Food Sci. 1995, 60, 711–714. [Google Scholar] [CrossRef]
- Ni, S.; Nozawa, H.; Seki, N. The Combined Effect of Transglutaminase and Protease Inhibitors on the Thermal Gelation of Actomyosin Sol from Carp and Salmon Muscles. Fish. Sci. 1999, 65, 606–612. [Google Scholar] [CrossRef]
- Kinoshita, M.; Toyohara, H.; Shimizu, Y. Diverse Distribution of Four Distinct Types of Modori (Gel Degradation)-Inducing Preoteinases among Fish Species. Nippon Suisan Gakkaishi 1990, 56, 1485–1492. [Google Scholar] [CrossRef]
- Dallas, D.C.; Guerrero, A.; Parker, E.A.; Robinson, R.C.; Gan, J.; German, J.B.; Barile, D.; Lebrilla, C.B. Current Peptidomics: Applications, Purification, Identification, Quantification, and Functional Analysis. Proteomics 2015, 15, 1026–1038. [Google Scholar] [CrossRef] [PubMed]
- Kominami, Y.; Hayashi, T.; Tokihiro, T.; Ushio, H. Peptidomic Analysis Characterising Proteolysis in Thaw-Aging of Beef Short Plate. Food Chem. Mol. Sci. 2021, 3, 100051. [Google Scholar] [CrossRef] [PubMed]
- Martini, S.; Solieri, L.; Tagliazucchi, D. Peptidomics: New Trends in Food Science. Curr. Opin. Food Sci. 2021, 39, 51–59. [Google Scholar] [CrossRef]
- Kominami, Y.; Nakakubo, H.; Nakamizo, R.; Matsuoka, Y.; Ueki, N.; Wan, J.; Watabe, S.; Ushio, H. Peptidomic Analysis of a Disintegrated Surimi Gel from Deep-Sea Bonefish Pterothrissus Gissu. J. Agric. Food Chem. 2020, 68, 12683–12691. [Google Scholar] [CrossRef]
- Deb-Choudhury, S.; Zhang, R.; Maes, E.; Haines, S.; Thomas, A.; Yoo, M.; Farouk, M. Peptidomic Comparison of Dry Aged vs a Novel Stepwise Aged Lean Bull Beef. In Proceedings of the 65th International Congress of Meat Science and Technology, Potsdam, Germany, 4–9 August 2019; pp. 782–784. [Google Scholar]
- Agard, N.J.; Wells, J.A. Methods for the Proteomic Identification of Protease Substrates. Curr. Opin. Chem. Biol. 2009, 13, 503–509. [Google Scholar] [CrossRef]
- Diamond, S.L. Methods for Mapping Protease Specificity. Curr. Opin. Chem. Biol. 2007, 11, 46–51. [Google Scholar] [CrossRef]
- Crawford, E.D.; Seaman, J.E.; Agard, N.; Hsu, G.W.; Julien, O.; Mahrus, S.; Nguyen, H.; Shimbo, K.; Yoshihara, H.A.I.; Zhuang, M.; et al. The Degrabase: A Database of Proteolysis in Healthy and Apoptotic Human Cells. Mol. Cell. Proteom. 2013, 12, 813–824. [Google Scholar] [CrossRef]
- Kominami, Y.; Hayashi, T.; Tokihiro, T.; Ushio, H. A Novel Analysis of the Peptide Terminome Characterizes Dynamics of Proteolytic Regulation in Vertebrate Skeletal Muscle Under Severe Stress. Proteomes 2019, 7, 6. [Google Scholar] [CrossRef]
- Redfern, S.; Dermiki, M.; Fox, S.; Lordan, R.; Shiels, K.; Kumar Saha, S.; Tsoupras, A.; Zabetakis, I. The Effects of Cooking Salmon Sous-Vide on Its Antithrombotic Properties, Lipid Profile and Sensory Characteristics. Food Res. Int. 2021, 139, 109976. [Google Scholar] [CrossRef]
- Bourne, M.C. Food Texture & Viscosity: Concept and Measurement; Elsevier: Amsterdam, The Netherlands, 2002. [Google Scholar]
- Laemmli, U.K. Cleavage of Structural Proteins during the Assembly of the Head of Bacteriophage T4. Nature 1970, 227, 680–685. [Google Scholar] [CrossRef] [PubMed]
- Charif, D.; Lobry, J.R. SeqinR 1.0-2: A Contributed Package to the R Project for Statistical Computing Devoted to Biological Sequences Retrieval and Analysis. In Structural Approaches to Sequence Evolution: Molecules, Networks, Populations; Springer: Berlin, Heidelberg, 2007. [Google Scholar]
- Wickham, H. Stringr: Simple, Consistent Wrappers for Common String Operations, R package version 1.5.1. Available online: https://CRAN.R-project.org/package=stringr (accessed on 7 November 2024).
- Pagès, H.; Aboyoun, P.; Gentleman, R.; DebRoy, S. Biostrings: Efficient Manipulation of Biological Strings, R Package Version 2.74.0. Available online: https://bioconductor.org/packages/Biostrings (accessed on 7 November 2024).
- Wickham, H. Ggplot2. Wiley Interdiscip. Rev. Comput. Stat. 2011, 3, 180–185. [Google Scholar] [CrossRef]
- R Core Team. R. A Language and Environment for Statistical Computing. Available online: https://www.R-project.org/ (accessed on 7 November 2024).
- Dunnett, C.W. A Multiple Comparison Procedure for Comparing Several Treatments with a Control. J. Am. Stat. Assoc. 1955, 50, 1096–1121. [Google Scholar] [CrossRef]
- Andri, S. DescTools: Tools for Descriptive Statistics. Available online: https://cran.r-project.org/web/packages/DescTools/index.html (accessed on 2 July 2024).
- Bowker, B.C.; Zhuang, H. Relationship between Muscle Exudate Protein Composition and Broiler Breast Meat Quality. Poult. Sci. 2013, 92, 1385–1392. [Google Scholar] [CrossRef]
- Nakamizo, R.; Nakakubo, H.; Kominami, Y.; Nakaya, M.; Okada, S.; Matsuoka, Y.; Ueki, N.; Wan, J.; Watabe, S.; Ushio, H. Characteristics of Surimi Gel from Deepsea Bonefish Pterothrissus Gissu: A Traditional Odawara Kamaboko Product. Nippon. Suisan Gakkaishi 2019, 85, 494–502. [Google Scholar] [CrossRef]
- Levitsky, D.I.; Pivovarova, A.V.; Mikhailova, V.V.; Nikolaeva, O.P. Thermal Unfolding and Aggregation of Actin. FEBS J. 2008, 275, 4280–4295. [Google Scholar] [CrossRef]
- Gicquaud, C.R.; Heppell, B. Three Steps in the Thermal Unfolding of F-Actin: An Experimental Evidence. Biopolymers 2006, 83, 374–380. [Google Scholar] [CrossRef]
- Bongiorno, T.; Cancian, G.; Buhler, S.; Tibaldi, E.; Sforza, S.; Lippe, G.; Stecchini, M.L. Identification of Target Muscle-Proteins Using Western Blotting and High-Resolution Mass Spectrometry as Early Quality Indicators of Nutrient Supply Practices in Rainbow Trout (Oncorhynchus Mykiss). Eur. Food Res. Technol. 2019, 245, 401–410. [Google Scholar] [CrossRef]
- Laville, E.; Sayd, T.; Morzel, M.; Blinet, S.; Chambon, C.; Lepetit, J.; Renand, G.; Hocquette, J.F. Proteome Changes during Meat Aging in Tough and Tender Beef Suggest the Importance of Apoptosis and Protein Solubility for Beef Aging and Tenderization. J. Agric. Food Chem. 2009, 57, 10755–10764. [Google Scholar] [CrossRef]
- Addis, M.F.; Pisanu, S.; Preziosa, E.; Bernardini, G.; Pagnozzi, D.; Roggio, T.; Uzzau, S.; Saroglia, M.; Terova, G. 2D DIGE/MS to Investigate the Impact of Slaughtering Techniques on Postmortem Integrity of Fish Filet Proteins. J. Proteom. 2012, 75, 3654–3664. [Google Scholar] [CrossRef]
- Park, B.Y.; Kim, N.K.; Lee, C.S.; Hwang, I.H. Effect of Fiber Type on Postmortem Proteolysis in Longissimus Muscle of Landrace and Korean Native Black Pigs. Meat Sci. 2007, 77, 482–491. [Google Scholar] [CrossRef] [PubMed]
- Sawdy, J.C.; Kaiser, S.A.; St-Pierre, N.R.; Wick, M.P. Myofibrillar 1-D Fingerprints and Myosin Heavy Chain MS Analyses of Beef Loin at 36 h Postmortem Correlate with Tenderness at 7 Days. Meat Sci. 2004, 67, 421–426. [Google Scholar] [CrossRef] [PubMed]
- Lametsch, R.; Karlsson, A.; Rosenvold, K.; Andersen, H.J.; Roepstorff, P.; Bendixen, E. Postmortem Proteome Changes of Porcine Muscle Related to Tenderness. J. Agric. Food Chem. 2003, 51, 6992–6997. [Google Scholar] [CrossRef]
- Shang, S.; Wu, B.; Fu, B.; Jiang, P.; Liu, Y.; Qi, L.; Du, M.; Dong, X. Enzyme Treatment-Induced Tenderization of Puffer Fish Meat and Its Relation to Physicochemical Changes of Myofibril Protein. LWT 2022, 155, 112891. [Google Scholar] [CrossRef]
- Kjærsgård, I.V.H.; Jessen, F. Proteome Analysis Elucidating Post-Mortem Changes in Cod (Gadus Morhua) Muscle Proteins. J. Agric. Food Chem. 2003, 51, 3985–3991. [Google Scholar] [CrossRef]
- Zhang, L.; Li, Q.; Hong, H.; Luo, Y.; Lametsch, R. Search for Proteomic Markers for Stunning Stress and Stress-Induced Textural Tenderization in Silver Carp (Hypophthalmichthys Molitrix) Fillets Using Label-Free Strategy. Food Res. Int. 2020, 137, 109678. [Google Scholar] [CrossRef]
- Delbarre-Ladrat, C.; Chéret, R.; Taylor, R.; Verrez-Bagnis, V. Trends in Postmortem Aging in Fish: Understanding of Proteolysis and Disorganization of the Myofibrillar Structure. Crit. Rev. Food Sci. Nutr. 2006, 46, 409–421. [Google Scholar] [CrossRef]
- Yongsawatdigul, J.; Park, J.W. Thermal Denaturation and Aggregation of Threadfin Bream Actomyosin. Food Chem. 2003, 83, 409–416. [Google Scholar] [CrossRef]
- Rich, S.A.; Estes, J.E. Detection of Conformational Changes in Actin by Proteolytic Digestion: Evidence for a New Monomeric Species. J. Mol. Biol. 1976, 104, 777–792. [Google Scholar] [CrossRef]
- Weigt, C.; Schoepper, B.; Wegner, A. Tropomyosin-Troponin Complex Stabilizes the Pointed Ends of Actin Filaments against Polymerization and Depolymerization. FEBS Lett. 1990, 260, 266–268. [Google Scholar] [CrossRef]
- Llave, Y.; Shibata-Ishiwatari, N.; Watanabe, M.; Fukuoka, M.; Hamada-Sato, N.; Sakai, N. Analysis of the Effects of Thermal Protein Denaturation on the Quality Attributes of Sous-Vide Cooked Tuna. J. Food Process Preserv. 2018, 42, e13347. [Google Scholar] [CrossRef]
- Pfizer, J.M.; Assfalg-Machleidt, I.; MacHleidt, W.; Moroder, L.; Schaschke, N. Primed-Site Probing of Papain-like Cysteine Proteases. Int. J. Pept. Res. Ther. 2007, 13, 93–104. [Google Scholar] [CrossRef]
- Jiang, S.; Xue, D.; Zhang, Z.; Shan, K.; Ke, W.; Zhang, M.; Zhao, D.; Nian, Y.; Xu, X.; Zhou, G.; et al. Effect of Sous-Vide Cooking on the Quality and Digestion Characteristics of Braised Pork. Food Chem. 2022, 375, 131683. [Google Scholar] [CrossRef] [PubMed]




Disclaimer/Publisher’s Note: The statements, opinions and data contained in all publications are solely those of the individual author(s) and contributor(s) and not of MDPI and/or the editor(s). MDPI and/or the editor(s) disclaim responsibility for any injury to people or property resulting from any ideas, methods, instructions or products referred to in the content. |
© 2024 by the authors. Licensee MDPI, Basel, Switzerland. This article is an open access article distributed under the terms and conditions of the Creative Commons Attribution (CC BY) license (https://creativecommons.org/licenses/by/4.0/).
Share and Cite
Sakuyama, M.; Kominami, Y.; Ushio, H. Peptidomic Analysis Reveals Temperature-Dependent Proteolysis in Rainbow Trout (Oncorhynchus mykiss) Meat During Sous-Vide Cooking. Proteomes 2024, 12, 36. https://doi.org/10.3390/proteomes12040036
Sakuyama M, Kominami Y, Ushio H. Peptidomic Analysis Reveals Temperature-Dependent Proteolysis in Rainbow Trout (Oncorhynchus mykiss) Meat During Sous-Vide Cooking. Proteomes. 2024; 12(4):36. https://doi.org/10.3390/proteomes12040036
Chicago/Turabian StyleSakuyama, Miyu, Yuri Kominami, and Hideki Ushio. 2024. "Peptidomic Analysis Reveals Temperature-Dependent Proteolysis in Rainbow Trout (Oncorhynchus mykiss) Meat During Sous-Vide Cooking" Proteomes 12, no. 4: 36. https://doi.org/10.3390/proteomes12040036
APA StyleSakuyama, M., Kominami, Y., & Ushio, H. (2024). Peptidomic Analysis Reveals Temperature-Dependent Proteolysis in Rainbow Trout (Oncorhynchus mykiss) Meat During Sous-Vide Cooking. Proteomes, 12(4), 36. https://doi.org/10.3390/proteomes12040036

