The Non-Linear Profile of Aging: U-Shaped Expression of Myostatin, Follistatin and Intermediate Signals in a Longitudinal In Vitro Murine Cell Sarcopenia Model
Abstract
1. Introduction
2. Materials and Methods
2.1. Sarcopenia Model Generation
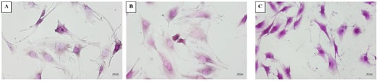
2.2. Cell Staining
2.3. Protein Extraction and Western Blot (WB)
2.4. RNA Extraction, Reverse Transcription, and Quantitative Real-Time PCR (qPCR)
2.5. Statistical Analysis
3. Results
3.1. Phenotype Characterization of C2C12 Cells Along Passages
3.2. Antagonistic Expression of Myostatin and Follistatin
3.3. Alteration in Major Molecules of the Muscular Proliferation and Degradation Signaling Pathway
4. Discussion
5. Conclusions
Supplementary Materials
Author Contributions
Funding
Institutional Review Board Statement
Data Availability Statement
Acknowledgments
Conflicts of Interest
References
- McLeod, M.; Breen, L.; Hamilton, D.L.; Philp, A. Live strong and prosper: The importance of skeletal muscle strength for healthy ageing. Biogerontology 2016, 17, 497–510. [Google Scholar] [CrossRef] [PubMed]
- Wolfe, R.R. The underappreciated role of muscle in health and disease. Am. J. Clin. Nutr. 2006, 84, 475–482. [Google Scholar] [CrossRef] [PubMed]
- Cruz-Jentoft, A.J.; Baeyens, J.P.; Bauer, J.M.; Boirie, Y.; Cederholm, T.; Landi, F.; Martin, F.C.; Michel, J.-P.; Rolland, Y.; Schneider, S.M.; et al. Sarcopenia: European consensus on definition and diagnosis: Report of the European Working Group on Sarcopenia in Older People. Age Ageing 2010, 39, 412–423. [Google Scholar] [CrossRef] [PubMed]
- Nascimento, C.M.; Ingles, M.; Salvador-Pascual, A.; Cominetti, M.R.; Gomez-Cabrera, M.C.; Viña, J. Sarcopenia, frailty and their prevention by exercise. Free Radic. Biol. Med. 2019, 132, 42–49. [Google Scholar] [CrossRef]
- Boccardi, V. Sarcopenia: A dive into metabolism to promote a multimodal, preventive, and regenerative approach. Mech. Ageing Dev. 2024, 219, 111941. [Google Scholar] [CrossRef]
- Rodriguez, J.; Vernus, B.; Chelh, I.; Cassar-Malek, I.; Gabillard, J.C.; Hadj Sassi, A.; Seiliez, I.; Picard, B.; Bonnieu, A. Myostatin and the skeletal muscle atrophy and hypertrophy signaling pathways. Cell. Mol. Life Sci. 2014, 71, 4361–4371. [Google Scholar] [CrossRef]
- Ryan, A.S.; Li, G. Skeletal muscle myostatin gene expression and sarcopenia in overweight and obese middle-aged and older adults. JCSM Clin. Rep. 2021, 6, 137–142. [Google Scholar] [CrossRef]
- Carnac, G.; Vernus, B.; Bonnieu, A. Myostatin in the Pathophysiology of Skeletal Muscle. Curr. Genom. 2007, 8, 415–422. [Google Scholar] [CrossRef]
- Lee, S.-J.; McPherron, A.C. Regulation of myostatin activity and muscle growth. Proc. Natl. Acad. Sci. USA 2001, 98, 9306–9311. [Google Scholar] [CrossRef]
- Mus Musculus (Mouse). UniProtKB|UniProt. Mstn—Growth/Differentiation Factor 8. Available online: https://www.uniprot.org/uniprotkb/O08689/entry (accessed on 4 October 2024).
- UniProtKB|UniProt. Fst—Follistatin—Mus Musculus (Mouse). Available online: https://www.uniprot.org/uniprotkb/P47931/entry (accessed on 4 October 2024).
- Lee, S.-J.; Lee, Y.-S.; Zimmers, T.A.; Soleimani, A.; Matzuk, M.M.; Tsuchida, K.; Cohn, R.D.; Barton, E.R. Regulation of Muscle Mass by Follistatin and Activins. Mol. Endocrinol. 2010, 24, 1998–2008. [Google Scholar] [CrossRef]
- Rodgers, B.D.; Garikipati, D.K. Clinical, Agricultural, and Evolutionary Biology of Myostatin: A Comparative Review. Endocr. Rev. 2008, 29, 513–534. [Google Scholar] [CrossRef] [PubMed]
- Yarasheski, K.; Bhasin, S.; Sinha-Hikim, I.; Pak-Loduca, J.; Gonzalez-Cadavid, N. Serum myostatin-immunoreactive protein is increased in 61-92 year old women and men with muscle wasting. J. Nutr. Health Aging 2002, 6, 343–348. [Google Scholar] [PubMed]
- Bergen, H.R.; Farr, J.N.; Vanderboom, P.M.; Atkinson, E.J.; White, T.A.; Singh, R.J.; Khosla, S.; LeBrasseur, N.K. Myostatin as a mediator of sarcopenia versus homeostatic regulator of muscle mass: Insights using a new mass spectrometry-based assay. Skelet. Muscle 2015, 5, 21. [Google Scholar] [CrossRef]
- Peng, L.; Lee, W.; Liu, L.; Lin, M.; Chen, L. Healthy community-living older men differ from women in associations between myostatin levels and skeletal muscle mass. J. Cachexia Sarcopenia Muscle 2018, 9, 635–642. [Google Scholar] [CrossRef]
- Arrieta, H.; Hervás, G.; Rezola-Pardo, C.; Ruiz-Litago, F.; Iturburu, M.; Yanguas, J.J.; Gil, S.M.; Rodriguez-Larrad, A.; Irazusta, J. Serum Myostatin Levels Are Higher in Fitter, More Active, and Non-Frail Long-Term Nursing Home Residents and Increase after a Physical Exercise Intervention. Gerontology 2019, 65, 229–239. [Google Scholar] [CrossRef]
- Arrieta, H.; Rezola-Pardo, C.; Sanz, B.; Virgala, J.; Lacunza-Zumeta, M.; Rodriguez-Larrad, A.; Irazusta, J. Improving the Identification of Frailty in Long-Term Care Residents: A Cross-Sectional Study. Biol. Res. Nurs. 2022, 24, 530–540. [Google Scholar] [CrossRef]
- Echeverria, I.; Besga, A.; Sanz, B.; Amasene, M.; Hervás, G.; Barroso, J.; Rodriguez-Larrad, A.; Irazusta, J. Identification of frailty and sarcopenia in hospitalised older people. Eur. J. Clin. Investig. 2021, 51, e13420. [Google Scholar] [CrossRef]
- Gutierrez-Salmean, G.; Ciaraldi, T.P.; Nogueira, L.; Barboza, J.; Taub, P.R.; Hogan, M.; Henry, R.R.; Meaney, E.; Villarreal, F.; Ceballos, G.; et al. Effects of (−)-epicatechin on molecular modulators of skeletal muscle growth and differentiation. J. Nutr. Biochem. 2014, 25, 91–94. [Google Scholar] [CrossRef]
- Aryana, I.G.P.; Putrawan, I.; Purnami, N.; Kuswardhani, T.; Astika, I. The relationship between follistatin and sarcopenia in elderly. Indones. J. Biomed. Sci. 2022, 16, 86–90. [Google Scholar] [CrossRef]
- Lee, S.-J. Myostatin: A Skeletal Muscle Chalone. Annu. Rev. Physiol. 2023, 85, 269–291. [Google Scholar] [CrossRef]
- Malarkey, D.E.; Hoenerhoff, M.; Maronpot, R.R. Chapter 5—Carcinogenesis: Mechanisms and Manifestations. In Haschek and Rousseaux’s Handbook of Toxicologic Pathology, 3rd ed.; Haschek, W.M., Rousseaux, C.G., Wallig, M.A., Eds.; Academic Press: Cambridge, MA, USA, 2013; pp. 107–146. [Google Scholar] [CrossRef]
- Mus Musculus (Mouse)|UniProtKB|UniProt. Mtor—Serine/Threonine-Protein Kinase mTOR. Available online: https://www.uniprot.org/uniprotkb/Q9JLN9/entry (accessed on 4 October 2024).
- Ogasawara, R.; Fujita, S.; Hornberger, T.A.; Kitaoka, Y.; Makanae, Y.; Nakazato, K.; Naokata, I. The role of mTOR signalling in the regulation of skeletal muscle mass in a rodent model of resistance exercise. Sci. Rep. 2016, 6, 31142. [Google Scholar] [CrossRef] [PubMed]
- Yoon, M.-S. mTOR as a Key Regulator in Maintaining Skeletal Muscle Mass. Front. Physiol. 2017, 8, 788. [Google Scholar] [CrossRef] [PubMed]
- Schiaffino, S.; Dyar, K.A.; Ciciliot, S.; Blaauw, B.; Sandri, M. Mechanisms regulating skeletal muscle growth and atrophy. FEBS J. 2013, 280, 4294–4314. [Google Scholar] [CrossRef] [PubMed]
- Amirouche, A.; Durieux, A.-C.; Banzet, S.; Koulmann, N.; Bonnefoy, R.; Mouret, C.; Bigard, X.; Peinnequin, A.; Freyssenet, D. Down-regulation of Akt/mammalian target of rapamycin signaling pathway in response to myostatin overexpression in skeletal muscle. Endocrinology 2009, 150, 286–294. [Google Scholar] [CrossRef]
- Lipina, C.; Kendall, H.; McPherron, A.C.; Taylor, P.M.; Hundal, H.S. Mechanisms involved in the enhancement of mammalian target of rapamycin signalling and hypertrophy in skeletal muscle of myostatin-deficient mice. FEBS Lett. 2010, 584, 2403–2408. [Google Scholar] [CrossRef]
- Winbanks, C.E.; Weeks, K.L.; Thomson, R.E.; Sepulveda, P.V.; Beyer, C.; Qian, H.; Chen, J.L.; Allen, J.M.; Lancaster, G.I.; Febbraio, M.A.; et al. Follistatin-mediated skeletal muscle hypertrophy is regulated by Smad3 and mTOR independently of myostatin. J. Cell Biol. 2012, 197, 997–1008. [Google Scholar] [CrossRef]
- Gene—NCBI. RPS6KB1 Ribosomal Protein S6 Kinase B1 [Homo Sapiens (Human)]. Available online: https://www.ncbi.nlm.nih.gov/gene/6298 (accessed on 4 October 2024).
- Mus Musculus (Mouse)|UniProtKB|UniProt. Rps6kb1—Ribosomal Protein S6 Kinase Beta-1. Available online: https://www.uniprot.org/uniprotkb/Q8BSK8/entry (accessed on 4 October 2024).
- Pallafacchina, G.; Calabria, E.; Serrano, A.L.; Kalhovde, J.M.; Schiaffino, S. A protein kinase B-dependent and rapamycin-sensitive pathway controls skeletal muscle growth but not fiber type specification. Proc. Natl. Acad. Sci. USA 2002, 99, 9213–9218. [Google Scholar] [CrossRef]
- Cuthbertson, D.; Smith, K.; Babraj, J.; Leese, G.; Waddell, T.; Atherton, P.; Wackerhage, H.; Taylor, P.M.; Rennie, M.J. Anabolic signaling deficits underlie amino acid resistance of wasting, aging muscle. FASEB J. 2005, 19, 1–22. [Google Scholar] [CrossRef]
- Léger, B.; Derave, W.; De Bock, K.; Hespel, P.; Russell, A.P. Human Sarcopenia Reveals an Increase in SOCS-3 and Myostatin and a Reduced Efficiency of Akt Phosphorylation. Rejuvenation Res. 2008, 11, 163–175B. [Google Scholar] [CrossRef]
- Bodine, S.C.; Stitt, T.N.; Gonzalez, M.; Kline, W.O.; Stover, G.L.; Bauerlein, R.; Zlotchenko, E.; Scrimgeour, A.; Lawrence, J.C.; Glass, D.J.; et al. Akt/mTOR pathway is a crucial regulator of skeletal muscle hypertrophy and can prevent muscle atrophy in vivo. Nat. Cell Biol. 2001, 3, 1014–1019. [Google Scholar] [CrossRef]
- Olson, E.M.; Lin, N.U.; Krop, I.E.; Winer, E.P. The ethical use of mandatory research biopsies. Nat. Rev. Clin. Oncol. 2011, 8, 620–625. [Google Scholar] [CrossRef] [PubMed]
- Wilson, D.; Breen, L.; Lord, J.M.; Sapey, E. The challenges of muscle biopsy in a community based geriatric population. BMC Res. Notes 2018, 11, 830. [Google Scholar] [CrossRef] [PubMed]
- Alonso-Puyo, J.; Izagirre-Fernández, O.; Crende, O.; Valdivia, A.; García-Gallastegui, P.; Sanz, B. Experimental models as a tool for research on sarcopenia: A narrative review. Ageing Res. Rev. 2024, 101, 102534. [Google Scholar] [CrossRef] [PubMed]
- Mankhong, S.; Kim, S.; Moon, S.; Kwak, H.-B.; Park, D.-H.; Kang, J.-H. Experimental Models of Sarcopenia: Bridging Molecular Mechanism and Therapeutic Strategy. Cells 2020, 9, 1385. [Google Scholar] [CrossRef] [PubMed]
- Sharples, A.P.; Al-Shanti, N.; Lewis, M.P.; Stewart, C.E. Reduction of myoblast differentiation following multiple population doublings in mouse C2C12 cells: A model to investigate ageing? J. Cell. Biochem. 2011, 112, 3773–3785. [Google Scholar] [CrossRef]
- Uribe-Etxebarria, V.; García-Gallastegui, P.; Pérez-Garrastachu, M.; Casado-Andrés, M.; Irastorza, I.; Unda, F.; Ibarretxe, G.; Subirán, N. Wnt-3a Induces Epigenetic Remodeling in Human Dental Pulp Stem Cells. Cells 2020, 9, 652. [Google Scholar] [CrossRef]
- Schmittgen, T.D.; Livak, K.J. Analyzing real-time PCR data by the comparative C(T) method. Nat. Protoc. 2008, 3, 1101–1108. [Google Scholar] [CrossRef]
- Marzetti, E.; Lawler, J.M.; Hiona, A.; Manini, T.; Seo, A.Y.; Leeuwenburgh, C. Modulation of age-induced apoptotic signaling and cellular remodeling by exercise and calorie restriction in skeletal muscle. Free Radic. Biol. Med. 2008, 44, 160–168. [Google Scholar] [CrossRef]
- Martinelli, C.; Sartori, P.; Ledda, M.; Pannese, E. A study of mitochondria in spinal ganglion neurons during life: Quantitative changes from youth to extremely advanced age. Tissue Cell 2006, 38, 93–98. [Google Scholar] [CrossRef]
- Mammoto, T.; Torisawa, Y.-S.; Muyleart, M.; Hendee, K.; Anugwom, C.; Gutterman, D.; Mammoto, A. Effects of age-dependent changes in cell size on endothelial cell proliferation and senescence through YAP1. Aging 2019, 11, 7051–7069. [Google Scholar] [CrossRef]
- Alberts, B.; Johnson, A.; Lewis, J.; Raff, M.; Roberts, K.; Walter, P. Programmed Cell Death (Apoptosis). In Molecular Biology of the Cell, 4th ed.; Garland Science: New York, NY, USA, 2002. Available online: https://www.ncbi.nlm.nih.gov/books/NBK26873/ (accessed on 17 November 2024).
- Tower, J. Programmed cell death in aging. Ageing Res. Rev. 2015, 23, 90–100. [Google Scholar] [CrossRef] [PubMed]
- Bentov, I.; Damodarasamy, M.; Plymate, S.; Reed, M.J. Decreased proliferative capacity of aged dermal fibroblasts in a three dimensional matrix is associated with reduced IGF1R expression and activation. Biogerontology 2014, 15, 329–337. [Google Scholar] [CrossRef] [PubMed]
- Ogrodnik, M. Cellular aging beyond cellular senescence: Markers of senescence prior to cell cycle arrest in vitro and in vivo. Aging Cell 2021, 20, e13338. [Google Scholar] [CrossRef] [PubMed]
- Maldonado, E.; Morales-Pison, S.; Urbina, F.; Solari, A. Aging Hallmarks and the Role of Oxidative Stress. Antioxidants 2023, 12, 651. [Google Scholar] [CrossRef]
- Warraich, U.-A.; Hussain, F.; Kayani, H.U.R. Aging—Oxidative stress, antioxidants and computational modeling. Heliyon 2020, 6, e04107. [Google Scholar] [CrossRef]
- Brandl, A.; Meyer, M.; Bechmann, V.; Nerlich, M.; Angele, P. Oxidative stress induces senescence in human mesenchymal stem cells. Exp. Cell Res. 2011, 317, 1541–1547. [Google Scholar] [CrossRef]
- Liguori, I.; Russo, G.; Curcio, F.; Bulli, G.; Aran, L.; Della-Morte, D.; Gargiulo, G.; Testa, G.; Cacciatore, F.; Bonaduce, D.; et al. Oxidative stress, aging, and diseases. Clin. Interv. Aging 2018, 13, 757–772. [Google Scholar] [CrossRef]
- Sriram, S.; Subramanian, S.; Sathiakumar, D.; Venkatesh, R.; Salerno, M.S.; McFarlane, C.D.; Kambadur, R.; Sharma, M. Modulation of reactive oxygen species in skeletal muscle by myostatin is mediated through NF-κB. Aging Cell 2011, 10, 931–948. [Google Scholar] [CrossRef]
- Zimmers, T.A.; Davies, M.V.; Koniaris, L.G.; Haynes, P.; Esquela, A.F.; Tomkinson, K.N.; McPherron, A.C.; Wolfman, N.M.; Lee, S.-J. Induction of cachexia in mice by systemically administered myostatin. Science 2002, 296, 1486–1488. [Google Scholar] [CrossRef]
- Reisz-Porszasz, S.; Bhasin, S.; Artaza, J.N.; Shen, R.; Sinha-Hikim, I.; Hogue, A.; Fielder, T.J.; Gonzalez-Cadavid, N.F. Lower skeletal muscle mass in male transgenic mice with muscle-specific overexpression of myostatin. Am. J. Physiology. Endocrinol. Metab. 2003, 285, E876–E888. [Google Scholar] [CrossRef]
- McFarlane, C.; Langley, B.; Thomas, M.; Hennebry, A.; Plummer, E.; Nicholas, G.; McMahon, C.; Sharma, M.; Kambadur, R. Proteolytic processing of myostatin is auto-regulated during myogenesis. Dev. Biol. 2005, 283, 58–69. [Google Scholar] [CrossRef] [PubMed]
- Wolfman, N.M.; McPherron, A.C.; Pappano, W.N.; Davies, M.V.; Song, K.; Tomkinson, K.N.; Wright, J.F.; Zhao, L.; Sebald, S.M.; Greenspan, D.S.; et al. Activation of latent myostatin by the BMP-1/tolloid family of metalloproteinases. Proc. Natl. Acad. Sci. USA 2003, 100, 15842–15846. [Google Scholar] [CrossRef] [PubMed]
- Stamler, R.; Keutmann, H.T.; Sidis, Y.; Kattamuri, C.; Schneyer, A.; Thompson, T.B. The Structure of FSTL3·Activin A Complex: Differential Binding of N-Terminal Domains Influences Follistatin-Type Antagonist Specificity. J. Biol. Chem. 2008, 283, 32831–32838. [Google Scholar] [CrossRef] [PubMed]
- Panwar, V.; Singh, A.; Bhatt, M.; Tonk, R.K.; Azizov, S.; Raza, A.S.; Sengupta, S.; Kumar, D.; Garg, M. Multifaceted role of mTOR (mammalian target of rapamycin) signaling pathway in human health and disease. Signal Transduct. Target. Ther. 2023, 8, 375. [Google Scholar] [CrossRef]
- Madala, S.K.; Sontake, V.; Edukulla, R.; Davidson, C.R.; Schmidt, S.; Hardie, W.D. Unique and Redundant Functions of p70 Ribosomal S6 Kinase Isoforms Regulate Mesenchymal Cell Proliferation and Migration in Pulmonary Fibrosis. Am. J. Respir. Cell Mol. Biol. 2016, 55, 792–803. [Google Scholar] [CrossRef]
- Martin, F.C.; Ranhoff, A.H. Frailty and Sarcopenia. In Orthogeriatrics: The Management of Older Patients with Fragility Fractures, 2nd ed.; Falaschi, P., Marsh, D., Eds.; Springer: Berlin/Heidelberg, Germany, 2021. Available online: https://www.ncbi.nlm.nih.gov/books/NBK565582/ (accessed on 17 November 2024).
- Arrieta, H.; Rodriguez-Larrad, A.; Irazusta, J. Myostatin as a Biomarker for Diagnosis or Prognosis of Frailty and Sarcopenia: Current Knowledge. Gerontology 2019, 65, 385–386. [Google Scholar] [CrossRef]
- Lehallier, B.; Gate, D.; Schaum, N.; Nanasi, T.; Lee, S.E.; Yousef, H.; Moran Losada, P.; Berdnik, D.; Keller, A.; Verghese, J.; et al. Undulating changes in human plasma proteome profiles across the lifespan. Nat. Med. 2019, 25, 1843–1850. [Google Scholar] [CrossRef]
- Shen, X.; Wang, C.; Zhou, X.; Zhou, W.; Hornburg, D.; Wu, S.; Snyder, M.P. Nonlinear dynamics of multi-omics profiles during human aging. Nat. Aging 2024, 4, 1619–1634. [Google Scholar] [CrossRef]
- Aryana, I.G.P.; Winangun, I. Decreased Follistatin Levels as a Risk of Acute Sarcopenia Marker in Elderly. Mol. Cell. Biomed. Sci. 2023, 7, 147–154. [Google Scholar] [CrossRef]
- Picca, A.; Calvani, R.; Sirago, G.; Coelho-Junior, H.J.; Marzetti, E. Molecular routes to sarcopenia and biomarker development: Per aspera ad astra. Curr. Opin. Pharmacol. 2021, 57, 140–147. [Google Scholar] [CrossRef]
- Cao, S.; Shen, W.-B.; Reece, E.A.; Yang, P. Deficiency of the Oxidative Stress-Responsive Kinase p70S6K1 Restores Autophagy and Ameliorates Neural Tube Defects in Diabetic Embryopathy. Am. J. Obstet. Gynecol. 2020, 223, 753.e1–753.e14. [Google Scholar] [CrossRef] [PubMed]
- Liu, J.; Pan, M.; Huang, D.; Guo, Y.; Yang, M.; Zhang, W.; Mai, K. Myostatin-1 Inhibits Cell Proliferation by Inhibiting the mTOR Signal Pathway and MRFs, and Activating the Ubiquitin-Proteasomal System in Skeletal Muscle Cells of Japanese Flounder Paralichthys olivaceus. Cells 2020, 9, 2376. [Google Scholar] [CrossRef] [PubMed]
- Seiliez, I.; Taty Taty, G.C.; Bugeon, J.; Dias, K.; Sabin, N.; Gabillard, J.-C. Myostatin induces atrophy of trout myotubes through inhibiting the TORC1 signaling and promoting Ubiquitin–Proteasome and Autophagy-Lysosome degradative pathways. Gen. Comp. Endocrinol. 2013, 186, 9–15. [Google Scholar] [CrossRef]
- Trendelenburg, A.U.; Meyer, A.; Rohner, D.; Boyle, J.; Hatakeyama, S.; Glass, D.J. Myostatin reduces Akt/TORC1/p70S6K signaling, inhibiting myoblast differentiation and myotube size. Am. J. Physiol. Cell Physiol. 2009, 296, C1258–C1270. [Google Scholar] [CrossRef]


| Primer | Sequence (5′-3′) | Annealing Temperature | Amplicon Size | |
|---|---|---|---|---|
| Myostatin (mstn) | F: CTATAAGACAACTTCTGCCAAG | 57.3 | 52.4 | 157 |
| R: AGAAAGTCAGACTCTGTAGG | ||||
| Follistatin (fstl3) | F: GTCAAAAGTCTTGCGCTC | 58.7 | 56.3 | 160 |
| R: GAGATGTAGGTAACGTTGTTG | ||||
| Mechanistic target of rapamycin (mtor) | F: CTTCACAGATACCCAGTACC | 56.0 | 54.0 | 137 |
| R: AGTAGACCTTAAACTCCGAC | ||||
| Ribosomal Protein S6 Kinase B1 (rps6kb1) | F: AAAGGGATCATCTACAGAGAC | 56.3 | 60.2 | 153 |
| R: AGGGGCCATGTATTCTATTG | ||||
| Glyceraldehyde 3-phosphate dehydrogenase (gapdh) | F: CCAGTATGACTCCACTCACG | 57.43 | 57.80 | 153 |
| R: GACTCCACGACATACTCAGC | ||||
Disclaimer/Publisher’s Note: The statements, opinions and data contained in all publications are solely those of the individual author(s) and contributor(s) and not of MDPI and/or the editor(s). MDPI and/or the editor(s) disclaim responsibility for any injury to people or property resulting from any ideas, methods, instructions or products referred to in the content. |
© 2024 by the authors. Licensee MDPI, Basel, Switzerland. This article is an open access article distributed under the terms and conditions of the Creative Commons Attribution (CC BY) license (https://creativecommons.org/licenses/by/4.0/).
Share and Cite
Alonso-Puyo, J.; Izagirre-Fernandez, O.; Crende, O.; Seco-Calvo, J.; Fernandez-Atutxa, A.; Fernandez-Lazaro, D.; Garcia-Gallastegi, P.; Sanz, B. The Non-Linear Profile of Aging: U-Shaped Expression of Myostatin, Follistatin and Intermediate Signals in a Longitudinal In Vitro Murine Cell Sarcopenia Model. Proteomes 2024, 12, 34. https://doi.org/10.3390/proteomes12040034
Alonso-Puyo J, Izagirre-Fernandez O, Crende O, Seco-Calvo J, Fernandez-Atutxa A, Fernandez-Lazaro D, Garcia-Gallastegi P, Sanz B. The Non-Linear Profile of Aging: U-Shaped Expression of Myostatin, Follistatin and Intermediate Signals in a Longitudinal In Vitro Murine Cell Sarcopenia Model. Proteomes. 2024; 12(4):34. https://doi.org/10.3390/proteomes12040034
Chicago/Turabian StyleAlonso-Puyo, Janire, Oihane Izagirre-Fernandez, Olatz Crende, Jesús Seco-Calvo, Ainhoa Fernandez-Atutxa, Diego Fernandez-Lazaro, Patricia Garcia-Gallastegi, and Begoña Sanz. 2024. "The Non-Linear Profile of Aging: U-Shaped Expression of Myostatin, Follistatin and Intermediate Signals in a Longitudinal In Vitro Murine Cell Sarcopenia Model" Proteomes 12, no. 4: 34. https://doi.org/10.3390/proteomes12040034
APA StyleAlonso-Puyo, J., Izagirre-Fernandez, O., Crende, O., Seco-Calvo, J., Fernandez-Atutxa, A., Fernandez-Lazaro, D., Garcia-Gallastegi, P., & Sanz, B. (2024). The Non-Linear Profile of Aging: U-Shaped Expression of Myostatin, Follistatin and Intermediate Signals in a Longitudinal In Vitro Murine Cell Sarcopenia Model. Proteomes, 12(4), 34. https://doi.org/10.3390/proteomes12040034

