Enhancing Thyroid Nodule Detection in Ultrasound Images: A Novel YOLOv8 Architecture with a C2fA Module and Optimized Loss Functions
Abstract
1. Introduction
1.1. Main Contributions
- The proposal of an improved model, YOLO-Thyroid, with the introduction of the C2fA module and the CW-BCE and SIoU loss functions, strengthening the model’s ability to extract and fuse important features, and improving performance under class imbalance conditions.
- Extensive experiments and comparisons demonstrating that the YOLO-Thyroid model outperforms current mainstream object detection models across multiple performance metrics, validating its effectiveness.
1.2. Objective
- To design an improved YOLOv8-based detection model, YOLO-Thyroid, incorporating a novel C2fA module and optimized loss functions to enhance feature extraction and localization performance.
- To alleviate the impact of class imbalance in the dataset by introducing a class-weighted binary cross-entropy (CW-BCE) loss function, ensuring the robust detection of both benign and malignant nodules.
- To integrate advanced attention mechanisms and a lightweight architecture, enabling the model to achieve improved detection accuracy and balanced recall while maintaining computational efficiency for real-time clinical applications.
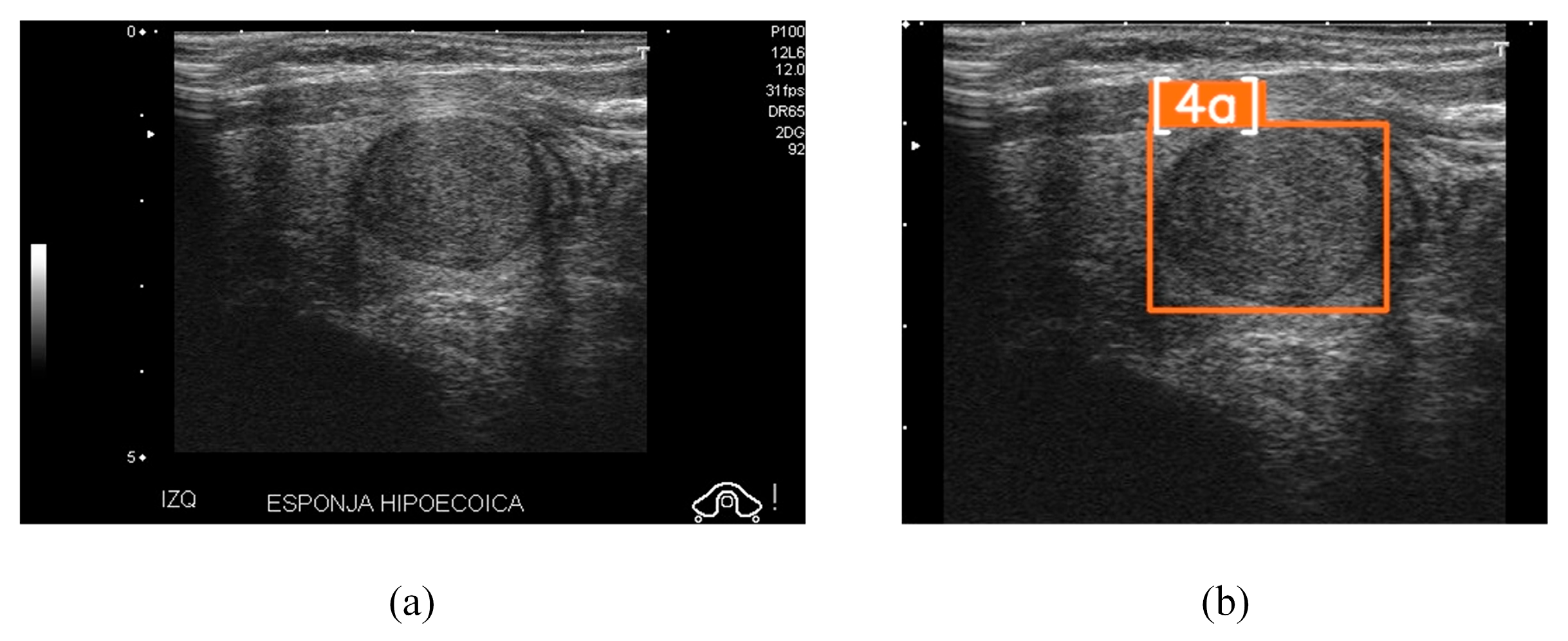
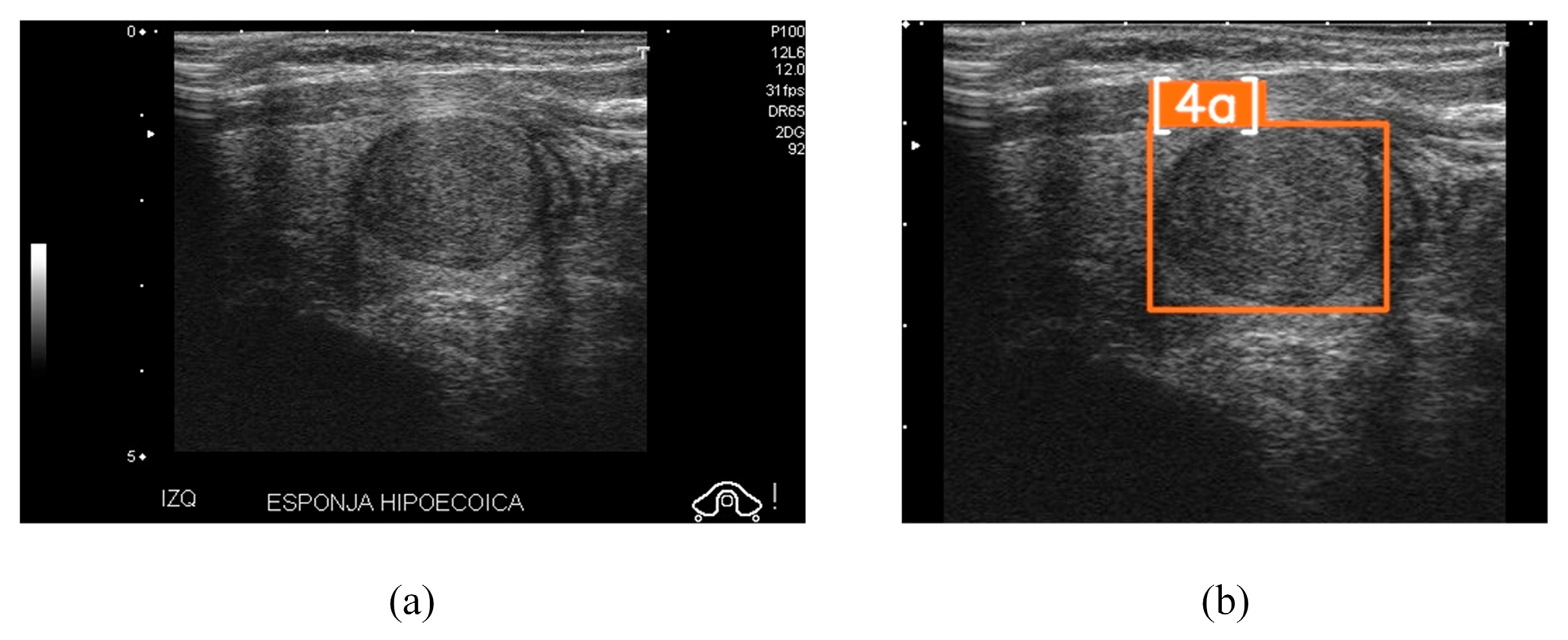
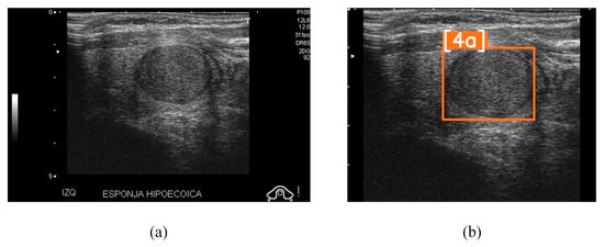
- To assess the model’s performance in terms of detecting nodules and identifying at least one feature suspected of being malignant (e.g., TIRADS categories 4a, 4b, 4c, and 5), with an emphasis on determining which category exhibits the highest detection sensitivity. Additionally, this objective seeks to evaluate the model’s ability to differentiate varying levels of risk and establish a threshold for the number of detected features required to warrant further clinical investigation for potential malignancies.
- To validate the proposed model on a publicly available thyroid ultrasound dataset and demonstrate its superiority compared to state-of-the-art object detection methods.
2. Materials and Methods
2.1. Dataset
2.1.1. Data Description
- [2] Benign (0% risk of malignancy);
- [3] No suspicious US feature (<5% malignancy);
- [4a] One suspicious US feature (5–10% malignancy);
- [4b] Two suspicious US features (10–80% malignancy);
- [4c] Three or four suspicious US features (10–80% malignancy);
- [5] Five suspicious features (>80% malignancy).
2.1.2. Data Preprocessing
2.2. Methods
2.2.1. C2fA Module
2.2.2. Loss Function
2.2.3. Outcome Measure
3. Results
3.1. Experimental Setting
3.2. Ablation Studies
3.3. Comparison with State-of-the-Art Methods
4. Discussion
- TIRADS 4a demonstrated the highest recall among these three categories, reflecting the model’s ability to effectively detect nodules in this lower-risk class. However, nodules in TIRADS 4a generally have fewer malignant features, and their clinical urgency is relatively lower compared to TIRADS 4b and 4c. As a result, while maintaining high recall for 4a is important for ensuring comprehensive screening, it is not the most critical category for guiding clinical decision-making regarding further investigations.
- TIRADS 4b achieved a higher recall compared to TIRADS 4c, highlighting the model’s stronger ability to identify nodules in this category. Given its maximum malignancy risk of 80%, TIRADS 4b represents a key decision-making threshold where detecting sufficient diagnostic features is critical for recommending further investigations, such as fine-needle aspiration biopsy (FNAB).
- TIRADS 4c, which shares the same maximum malignancy risk as 4b, exhibited a relatively lower recall. This suggests that further optimization is needed to improve detection for this category to ensure consistent performance across all high-risk classes.
- For TIRADS 5, while recall alone cannot fully evaluate its significance due to its minimum malignancy risk already exceeding 80%, this category remains clinically crucial. Nodules in TIRADS 5 often exhibit obvious malignant features, enabling quicker triage and more immediate clinical action. High detection performance in this category ensures that patients with overtly high-risk nodules are promptly referred for further investigation and treatment, which is vital for improving clinical efficiency.
5. Conclusions
Author Contributions
Funding
Institutional Review Board Statement
Informed Consent Statement
Data Availability Statement
Conflicts of Interest
Abbreviations
| ATA | American Thyroid Association |
| C2 | CSP Bottleneck with Two Convolutions |
| CA | Coordinate Attention |
| CNNs | Convolutional Neural Networks |
| CSP | Cross Stage Partial |
| CT | Computed Tomography |
| CW-BCE | Class-Weighted Binary Cross-Entropy |
| DDTI | Digital Database of Thyroid Images |
| DFL | Loss Distribution-Focused Loss |
| FLOPs | Floating-Point Operations |
| FNAB | Fine-Needle Aspiration Biopsy |
| IoU | Intersection Over Union |
| MRI | Magnetic Resonance Imaging |
| NMS | Non-Maximum Suppression |
| P | Precision |
| mAvg-P | Macro-Average Precision |
| Params | Parameters |
| R | Recall |
| mAvg-R | Macro-Average Recall |
| SIoU | SCYLLA-IoU |
| Te | Testing Time |
| TIRADS | Thyroid Imaging Reporting And Data System |
| Tr | Training Time |
| US | Ultrasound |
| YOLO | You Only Look Once |
Appendix A
| Algorithm A1 Conversion of Original DDTI to YOLO Format |
| Input: Original DDTI with images and their corresponding segmentation labels |
| Output: YOLO-formatted label dataset |
| in Original DDTI do |
| 3. Extract bounding box coordinates: |
| 6. Compute YOLO format parameters: |
| 11. Normalize coordinates: |
| image_width |
| image_width |
| 14. widthnorm = width/image_width |
| 15. heightnorm = height/image_height |
| 16. Create YOLO label: |
| heightnorm |
| to YOLO label file |
| 19. end for |
References
- Siegel, R.L.; Miller, K.D.; Fuchs, H.E.; Jemal, A. Cancer Statistics, 2022. CA Cancer J. Clin. 2022, 72, 7–33. [Google Scholar] [CrossRef] [PubMed]
- Cancer of the Thyroid—Cancer Stat Facts. Available online: https://seer.cancer.gov/statfacts/html/thyro.html (accessed on 29 September 2024).
- Mao, Y.-J.; Zha, L.-W.; Tam, A.Y.-C.; Lim, H.-J.; Cheung, A.K.-Y.; Zhang, Y.-Q.; Ni, M.; Cheung, J.C.-W.; Wong, D.W.-C. Endocrine Tumor Classification Via Machine-Learning-Based Elastography: A Systematic Scoping Review. Cancers 2023, 15, 837. [Google Scholar] [CrossRef] [PubMed]
- Zhang, X.-Y.; Wei, Q.; Wu, G.-G.; Tang, Q.; Pan, X.-F.; Chen, G.-Q.; Zhang, D.; Dietrich, C.F.; Cui, X.-W. Artificial Intelligence-Based Ultrasound Elastography for Disease Evaluation-a Narrative Review. Front. Oncol. 2023, 13, 1197447. [Google Scholar] [CrossRef] [PubMed]
- Zheng, Z.; Su, T.; Wang, Y.; Weng, Z.; Chai, J.; Bu, W.; Xu, J.; Chen, J. A Novel Ultrasound Image Diagnostic Method for Thyroid Nodules. Sci. Rep. 2023, 13, 1654. [Google Scholar] [CrossRef]
- Hairu, L.; Yulan, P.; Yan, W.; Hong, A.; Xiaodong, Z.; Lichun, Y.; Kun, Y.; Ying, X.; Lisha, L.; Baoming, L.; et al. Elastography for the Diagnosis of High-Suspicion Thyroid Nodules Based on the 2015 American Thyroid Association Guidelines: A Multicenter Study. BMC Endocr. Disord. 2020, 20, 43. [Google Scholar] [CrossRef]
- Iannuccilli, J.D.; Cronan, J.J.; Monchik, J.M. Risk for Malignancy of Thyroid Nodules as Assessed by Sonographic Criteria: The Need for Biopsy. J. Ultrasound Med. 2004, 23, 1455–1464. [Google Scholar] [CrossRef]
- Sarkar, O.; Islam, R.; Syfullah, K.; Islam, T.; Ahamed, F.; Ahsan, M.; Haider, J. Multi-Scale Cnn: An Explainable Ai-Integrated Unique Deep Learning Framework for Lung-Affected Disease Classification. Technologies 2023, 11, 134. [Google Scholar] [CrossRef]
- Khonina, S.N.; Kazanskiy, N.L.; Oseledets, I.V.; Nikonorov, A.V.; Butt, M.A. Synergy between Artificial Intelligence and Hyperspectral Imagining—A Review. Technologies 2024, 12, 163. [Google Scholar] [CrossRef]
- Kshatri, S.S.; Singh, D. Convolutional Neural Network in Medical Image Analysis: A Review. Arch. Comput. Methods Eng. 2023, 30, 2793–2810. [Google Scholar] [CrossRef]
- Zheng, T.; Qin, H.; Cui, Y.; Wang, R.; Zhao, W.; Zhang, S.; Geng, S.; Zhao, L. Segmentation of Thyroid Glands and Nodules in Ultrasound Images Using the Improved U-Net Architecture. BMC Med. Imaging 2023, 23, 56. [Google Scholar] [CrossRef]
- Zhou, Y.-T.; Yang, T.-Y.; Han, X.-H.; Piao, J.-C. Thyroid-Detr: Thyroid Nodule Detection Model with Transformer in Ultrasound Images. Biomed. Signal Process. Control 2024, 98, 106762. [Google Scholar] [CrossRef]
- Chen, G.; Tan, G.; Duan, M.; Pu, B.; Luo, H.; Li, S.; Li, K. Mlmseg: A Multi-View Learning Model for Ultrasound Thyroid Nodule Segmentation. Comput. Biol. Med. 2024, 169, 107898. [Google Scholar] [CrossRef] [PubMed]
- Ghosh, K.; Bellinger, C.; Corizzo, R.; Branco, P.; Krawczyk, B.; Japkowicz, N. The Class Imbalance Problem in Deep Learning. Mach. Learn. 2024, 113, 4845–4901. [Google Scholar] [CrossRef]
- Montalbo, F.J.P. A Computer-Aided Diagnosis of Brain Tumors Using a Fine-Tuned Yolo-Based Model with Transfer Learning. KSII Trans. Internet Inf. Syst. 2020, 14, 4816–4834. [Google Scholar]
- Al-Antari, M.A.; Han, S.-M.; Kim, T.-S. Evaluation of Deep Learning Detection and Classification Towards Computer-Aided Diagnosis of Breast Lesions in Digital X-Ray Mammograms. Comput. Methods Programs Biomed. 2020, 196, 105584. [Google Scholar] [CrossRef] [PubMed]
- Su, Y.; Liu, Q.; Xie, W.; Hu, P. Yolo-Logo: A Transformer-Based Yolo Segmentation Model for Breast Mass Detection and Segmentation in Digital Mammograms. Comput. Methods Programs Biomed. 2022, 221, 106903. [Google Scholar] [CrossRef]
- Rouzrokh, P.; Ramazanian, T.; Wyles, C.C.; Philbrick, K.A.; Cai, J.C.; Taunton, M.J.; Kremers, H.M.; Lewallen, D.G.; Erickson, B.J. Deep Learning Artificial Intelligence Model for Assessment of Hip Dislocation Risk Following Primary Total Hip Arthroplasty from Postoperative Radiographs. J. Arthroplast. 2021, 36, 2197–2203. e3. [Google Scholar] [CrossRef]
- Jocher, G.; Chaurasia, A.; Qiu, J. Ultralytics YOLOv8. 2023. Available online: https://github.com/ultralytics/ultralytics (accessed on 29 September 2024).
- Pedraza, L.; Vargas, C.; Narváez, F.; Durán, O.; Muñoz, E.; Romero, E. An Open Access Thyroid Ultrasound Image Database. In Proceedings of the 10th International Symposium on Medical Information Processing and Analysis, Cartagena de Indias, Colombia, 14–16 October 2014. [Google Scholar]
- Kwak, J.Y.; Han, K.H.; Yoon, J.H.; Moon, H.J.; Son, E.J.; Park, S.H.; Jung, H.K.; Choi, J.S.; Kim, B.M.; Kim, E.K. Thyroid Imaging Reporting and Data System for Us Features of Nodules: A Step in Establishing Better Stratification of Cancer Risk. Radiology 2011, 260, 892–899. [Google Scholar] [CrossRef]
- Zheng, H.; Dong, Z.; Liu, T.; Zheng, H.; Wan, X.; Bao, J. Enhancing Gastrointestinal Submucosal Tumor Recognition in Endoscopic Ultrasonography: A Novel Multi-Attribute Guided Contextual Attention Network. Expert Syst. Appl. 2024, 242, 122725. [Google Scholar] [CrossRef]
- Ding, X.; Liu, Y.; Zhao, J.; Wang, R.; Li, C.; Luo, Q.; Shen, C. A Novel Wavelet-Transform-Based Convolution Classification Network for Cervical Lymph Node Metastasis of Papillary Thyroid Carcinoma in Ultrasound Images. Comput. Med. Imaging Graph. 2023, 109, 102298. [Google Scholar] [CrossRef]
- Garcea, F.; Serra, A.; Lamberti, F.; Morra, L. Data Augmentation for Medical Imaging: A Systematic Literature Review. Comput. Biol. Med. 2023, 152, 106391. [Google Scholar] [CrossRef]
- Goceri, E. Medical Image Data Augmentation: Techniques, Comparisons and Interpretations. Artif. Intell. Rev. 2023, 56, 12561–12605. [Google Scholar] [CrossRef] [PubMed]
- Zhu, H.; Xie, C.; Fei, Y.; Tao, H. Attention Mechanisms in Cnn-Based Single Image Super-Resolution: A Brief Review and a New Perspective. Electronics 2021, 10, 1187. [Google Scholar] [CrossRef]
- Hou, Q.; Zhou, D.; Feng, J. Coordinate Attention for Efficient Mobile Network Design. In Proceedings of the IEEE/CVF Conference on Computer Vision and Pattern Recognition 2021, Nashville, TN, USA, 20–25 June 2021. [Google Scholar]
- Gevorgyan, Z. Siou Loss: More Powerful Learning for Bounding Box Regression. arXiv 2022, arXiv:2205.12740. [Google Scholar]
- Maharana, K.; Mondal, S.; Nemade, B. A Review: Data Pre-Processing and Data Augmentation Techniques. Glob. Transit. Proc. 2022, 3, 91–99. [Google Scholar] [CrossRef]
- Zhong, Z.; Zheng, L.; Kang, G.; Li, S.; Yang, Y. Random Erasing Data Augmentation. In Proceedings of the AAAI Conference on Artificial Intelligence 2020, New York, NY, USA, 7–12 February 2020. [Google Scholar]
- Alomar, K.; Aysel, H.I.; Cai, X. Data Augmentation in Classification and Segmentation: A Survey and New Strategies. J. Imaging 2023, 9, 46. [Google Scholar] [CrossRef]
- Jocher, G. Ultralytics YOLOv5. 2020. Available online: https://github.com/ultralytics/yolov5 (accessed on 29 September 2024). [CrossRef]
- Li, C.; Li, L.; Geng, Y.; Jiang, H.; Cheng, M.; Zhang, B.; Ke, Z.; Xu, X.; Chu, X. Yolov6 V3. 0: A Full-Scale Reloading. arXiv 2023, arXiv:2301.05586. [Google Scholar]
- Wang, C.-Y.; Yeh, I.-H.; Liao, H.-Y.M. Yolov9: Learning What You Want to Learn Using Programmable Gradient Information. arXiv 2024, arXiv:2402.13616. [Google Scholar]
- Wang, A.; Chen, H.; Liu, L.; Chen, K.; Lin, Z.; Han, J.; Ding, G. Yolov10: Real-Time End-to-End Object Detection. arXiv 2024, arXiv:2405.14458. [Google Scholar]
- Zhao, Y.; Lv, W.; Xu, S.; Wei, J.; Wang, G.; Dang, Q.; Liu, Y.; Chen, J. Detrs Beat Yolos on Real-Time Object Detection. In Proceedings of the IEEE/CVF Conference on Computer Vision and Pattern Recognition 2024, Seattle, WA, USA, 17–21 June 2024. [Google Scholar]
- Padilla, R.; Netto, S.L.; Da Silva, E.A. A Survey on Performance Metrics for Object-Detection Algorithms. In Proceedings of the 2020 International Conference on Systems, Signals and Image Processing (IWSSIP) 2020, Niterói, Brazil, 1–3 July 2020. [Google Scholar]
- Padilla, R.; Passos, W.L.; Dias, T.L.B.; Netto, S.L.; Da Silva, E.A.B. A Comparative Analysis of Object Detection Metrics with a Companion Open-Source Toolkit. Electronics 2021, 10, 279. [Google Scholar] [CrossRef]
- Everingham, M.; Eslami, S.A.; Van Gool, L.; Williams, C.K.; Winn, J.; Zisserman, A. The Pascal Visual Object Classes Challenge: A Retrospective. Int. J. Comput. Vis. 2015, 111, 98–136. [Google Scholar] [CrossRef]
- Lin, T.-Y.; Maire, M.; Belongie, S.; Hays, J.; Perona, P.; Ramanan, D.; Dollár, P.; Zitnick, C.L. Microsoft Coco: Common Objects in Context. In Proceedings of the Computer Vision–ECCV 2014: 13th European Conference, Zurich, Switzerland, 6–12 September 2014; Part V 13. pp. 740–755. [Google Scholar]
- Saood, A.; Hatem, I. COVID-19 Lung Ct Image Segmentation Using Deep Learning Methods: U-Net Versus Segnet. BMC Med. Imaging 2021, 21, 19. [Google Scholar] [CrossRef] [PubMed]
- Chen, L.C.; Papandreou, G.; Kokkinos, I.; Murphy, K.; Yuille, A.L. Deeplab: Semantic Image Segmentation with Deep Convolutional Nets, Atrous Convolution, and Fully Connected Crfs. IEEE Trans. Pattern Anal. Mach. Intell. 2017, 40, 834–848. [Google Scholar] [CrossRef] [PubMed]
- Yuan, W.; Wang, J.; Xu, W. Shift Pooling Pspnet: Rethinking Pspnet for Building Extraction in Remote Sensing Images from Entire Local Feature Pooling. Remote Sens. 2022, 14, 4889. [Google Scholar] [CrossRef]
- Yang, R.; Yu, Y. Artificial Convolutional Neural Network in Object Detection and Semantic Segmentation for Medical Imaging Analysis. Front. Oncol. 2021, 11, 638182. [Google Scholar] [CrossRef]
- Cheng, L.; Xiong, R.; Wu, J.; Yan, X.; Yang, C.; Zhang, Y.; He, Y. Fast Segmentation Algorithm of Usv Accessible Area Based on Attention Fast Deeplabv3. IEEE Sens. J. 2024, 24, 24168–24177. [Google Scholar] [CrossRef]
- Guo, Z.; Ma, D.; Luo, X. A Lightweight Semantic Segmentation Algorithm Integrating Ca and Eca-Net Modules. Optoelectron. Lett. 2024, 20, 568–576. [Google Scholar] [CrossRef]
- Zeng, P.; Liu, S.; He, S.; Zheng, Q.; Wu, J.; Liu, Y.; Lyu, G.; Liu, P. Tuspm-Net: A Multi-Task Model for Thyroid Ultrasound Standard Plane Recognition and Detection of Key Anatomical Structures of the Thyroid. Comput. Biol. Med. 2023, 163, 107069. [Google Scholar] [CrossRef]
- Girshick, R.; Donahue, J.; Darrell, T.; Malik, J. Rich Feature Hierarchies for Accurate Object Detection and Semantic Segmentation. In Proceedings of the IEEE Conference on Computer Vision and Pattern Recognition 2014, Columbus, OH, USA, 23–28 June 2014. [Google Scholar]
- Aldughayfiq, B.; Ashfaq, F.; Jhanjhi, N.Z.; Humayun, M. Yolo-Based Deep Learning Model for Pressure Ulcer Detection and Classification. Healthcare 2023, 11, 1222. [Google Scholar] [CrossRef]
- Ragab, M.G.; Abdulkadir, S.J.; Muneer, A.; Alqushaibi, A.; Sumiea, E.H.; Qureshi, R.; Al-Selwi, S.M.; Alhussian, H. Comprehensive Systematic Review of Yolo for Medical Object Detection (2018 to 2023). IEEE Access 2024, 12, 57815–57836. [Google Scholar] [CrossRef]
- Li, T.; Liu, G.; Tan, S. Superficial Defect Detection for Concrete Bridges Using Yolov8 with Attention Mechanism and Deformation Convolution. Appl. Sci. 2024, 14, 5497. [Google Scholar] [CrossRef]
- Yang, W.; Wu, J.; Zhang, J.; Gao, K.; Du, R.; Wu, Z.; Firkat, E.; Li, D. Deformable Convolution and Coordinate Attention for Fast Cattle Detection. Comput. Electron. Agric. 2023, 211, 108006. [Google Scholar] [CrossRef]
- Gulame, M.B.; Dixit, V.V. Hybrid Deep Learning Assisted Multi Classification: Grading of Malignant Thyroid Nodules. Int. J. Numer. Methods Biomed. Eng. 2024, 40, e3824. [Google Scholar] [CrossRef] [PubMed]
- Gu, A.; Dao, T. Mamba: Linear-Time Sequence Modeling with Selective State Spaces. arXiv 2023, arXiv:2312.00752. [Google Scholar]
- Liu, Z.; Wang, Y.; Vaidya, S.; Ruehle, F.; Halverson, J.; Soljačić, M.; Hou, T.Y.; Tegmark, M. Kan: Kolmogorov-Arnold Networks. arXiv 2024, arXiv:2404.19756. [Google Scholar]
- Mao, Y.-J.; Tam, A.Y.-C.; Shea, Q.T.-K.; Zheng, Y.-P.; Cheung, J.C.-W. Enighttrack: Restraint-Free Depth-Camera-Based Surveillance and Alarm System for Fall Prevention Using Deep Learning Tracking. Algorithms 2023, 16, 477. [Google Scholar] [CrossRef]









| Property | Class | Malignancy Risk | Training Set | Validation Set | Testing Set | Total |
|---|---|---|---|---|---|---|
| Recognized Benign | 2 | 0% | 30 | 4 | 7 | 41 |
| 3 | <5% | 12 | 4 | 3 | 19 | |
| Suspicious of Malignancy | 4a | 5–10% | 62 | 14 | 17 | 93 |
| 4b | 10–80% | 58 | 9 | 9 | 76 | |
| 4c | 10–80% | 43 | 13 | 10 | 66 | |
| 5 | >80% | 32 | 7 | 5 | 44 | |
| Total | 237 | 51 | 51 | 339 | ||
| Property | Class | Malignancy Risk | Training Set | Validation Set | Testing Set | Total |
|---|---|---|---|---|---|---|
| Recognized Benign | 2 | 0% | 90 | 4 | 7 | 101 |
| 3 | <5% | 36 | 4 | 3 | 43 | |
| Suspicious of Malignancy | 4a | 5–10% | 186 | 14 | 17 | 217 |
| 4b | 10–80% | 174 | 9 | 9 | 192 | |
| 4c | 10–80% | 129 | 13 | 10 | 152 | |
| 5 | >80% | 96 | 7 | 5 | 108 | |
| Total | 711 | 51 | 51 | 813 | ||
| Base Model | Components | P (%)↑ | R (%)↑ | mAP0.5 (%)↑ | mAP0.5:0.95 (%)↑ | Tr (min/epoch) ↓ | Te (ms/image) ↓ | ||
|---|---|---|---|---|---|---|---|---|---|
| C2fA | Lcwbce | Lsiou | |||||||
| YOLOv8-N | 53.7 | 37.4 | 37.4 | 25.7 | 0.057 | 9.5 | |||
| √ | 67.0 | 28.9 | 38.9 | 25.3 | 0.058 | 7.7 | |||
| √ | 35.3 | 39.5 | 40.5 | 28.2 | 0.054 | 8.6 | |||
| √ | 25.4 | 56.6 | 39.9 | 27.4 | 0.055 | 8.2 | |||
| √ | √ | 55.8 | 33.5 | 36.4 | 25.5 | 0.059 | 8.2 | ||
| √ | √ | 60.5 | 36.5 | 39.2 | 27.0 | 0.058 | 7.8 | ||
| √ | √ | 62.1 | 34.2 | 39.1 | 27.3 | 0.055 | 7.2 | ||
| √ | √ | √ | 54.0 | 41.6 | 43.6 | 28.7 | 0.058 | 8.1 | |
| Model Type | Model | mAvg-P (%)↑ | mAvg-R (%)↑ | mAP0.5 (%)↑ | mAP0.5:0.95 (%)↑ | Tr (min/epoch) ↓ | Te (ms/image) ↓ | Params(M) ↓ | FLOPs(G) ↓ |
|---|---|---|---|---|---|---|---|---|---|
| DETR | RT-DETR-R50 | 37.7 | 24.7 | 23.8 | 14.5 | 0.304 | 15.4 | 40.00 | 125.6 |
| RT-DETR-L | 26.8 | 27.7 | 24.5 | 16.0 | 0.277 | 15.2 | 30.51 | 103.5 | |
| YOLO | YOLOv5-N | 59.9 | 33.1 | 32.4 | 21.8 | 0.055 | 9.0 | 2.39 | 7.1 |
| YOLOv5-L | 59.0 | 33.6 | 35.3 | 22.8 | 0.257 | 13.3 | 50.67 | 134.7 | |
| YOLOv6-N | 57.9 | 30.5 | 38.9 | 26.6 | 0.055 | 8.0 | 4.04 | 11.8 | |
| YOLOv6-L | 13.3 | 21.3 | 17.3 | 10.3 | 0.453 | 19.4 | 105.73 | 391.2 | |
| YOLOv8-N | 53.7 | 37.4 | 37.4 | 25.7 | 0.057 | 9.5 | 2.87 | 8.1 | |
| YOLOv8-L | 40.4 | 39.6 | 31.5 | 22.3 | 0.245 | 14.1 | 41.59 | 164.8 | |
| YOLOv9-T | 22.1 | 41.5 | 34.9 | 24.1 | 0.096 | 9.5 | 1.88 | 7.6 | |
| YOLOv9-C | 40.6 | 35.5 | 39.9 | 23.7 | 0.211 | 14.1 | 24.15 | 102.3 | |
| YOLOv10-N | 51.1 | 27.9 | 31.1 | 20.7 | 0.07 | 8.6 | 2.57 | 8.2 | |
| YOLO-Thyroid | 54.0 | 41.6 | 43.6 | 28.7 | 0.058 | 8.1 | 2.89 | 8.1 |
| 4a | 4b | 4c | 5 | Weight Avg | |
|---|---|---|---|---|---|
| P (%) | 61.2 | 36.9 | 38.2 | 58 | 49.9 |
| R (%) | 68.5 | 57.1 | 42.9 | 55.9 | 58.2 |
| Dataset | mAvg-P (%) ↑ | mAvg-R (%) ↑ | mAP0.5 (%) ↑ | mAP0.5:0.95 (%) ↑ |
|---|---|---|---|---|
| Original | 35.8 | 34.5 | 33.0 | 18.5 |
| Augmented | 54.0 | 41.6 | 43.6 | 28.7 |
Disclaimer/Publisher’s Note: The statements, opinions and data contained in all publications are solely those of the individual author(s) and contributor(s) and not of MDPI and/or the editor(s). MDPI and/or the editor(s) disclaim responsibility for any injury to people or property resulting from any ideas, methods, instructions or products referred to in the content. |
© 2025 by the authors. Licensee MDPI, Basel, Switzerland. This article is an open access article distributed under the terms and conditions of the Creative Commons Attribution (CC BY) license (https://creativecommons.org/licenses/by/4.0/).
Share and Cite
Wang, S.; Zhao, Z.-A.; Chen, Y.; Mao, Y.-J.; Cheung, J.C.-W. Enhancing Thyroid Nodule Detection in Ultrasound Images: A Novel YOLOv8 Architecture with a C2fA Module and Optimized Loss Functions. Technologies 2025, 13, 28. https://doi.org/10.3390/technologies13010028
Wang S, Zhao Z-A, Chen Y, Mao Y-J, Cheung JC-W. Enhancing Thyroid Nodule Detection in Ultrasound Images: A Novel YOLOv8 Architecture with a C2fA Module and Optimized Loss Functions. Technologies. 2025; 13(1):28. https://doi.org/10.3390/technologies13010028
Chicago/Turabian StyleWang, Shidan, Zi-An Zhao, Yuze Chen, Ye-Jiao Mao, and James Chung-Wai Cheung. 2025. "Enhancing Thyroid Nodule Detection in Ultrasound Images: A Novel YOLOv8 Architecture with a C2fA Module and Optimized Loss Functions" Technologies 13, no. 1: 28. https://doi.org/10.3390/technologies13010028
APA StyleWang, S., Zhao, Z.-A., Chen, Y., Mao, Y.-J., & Cheung, J. C.-W. (2025). Enhancing Thyroid Nodule Detection in Ultrasound Images: A Novel YOLOv8 Architecture with a C2fA Module and Optimized Loss Functions. Technologies, 13(1), 28. https://doi.org/10.3390/technologies13010028

