The Lipotubuloids of Ornithogalum umbellatum L. Contain Hyperstable Microtubules
Abstract
1. Introduction
2. Results
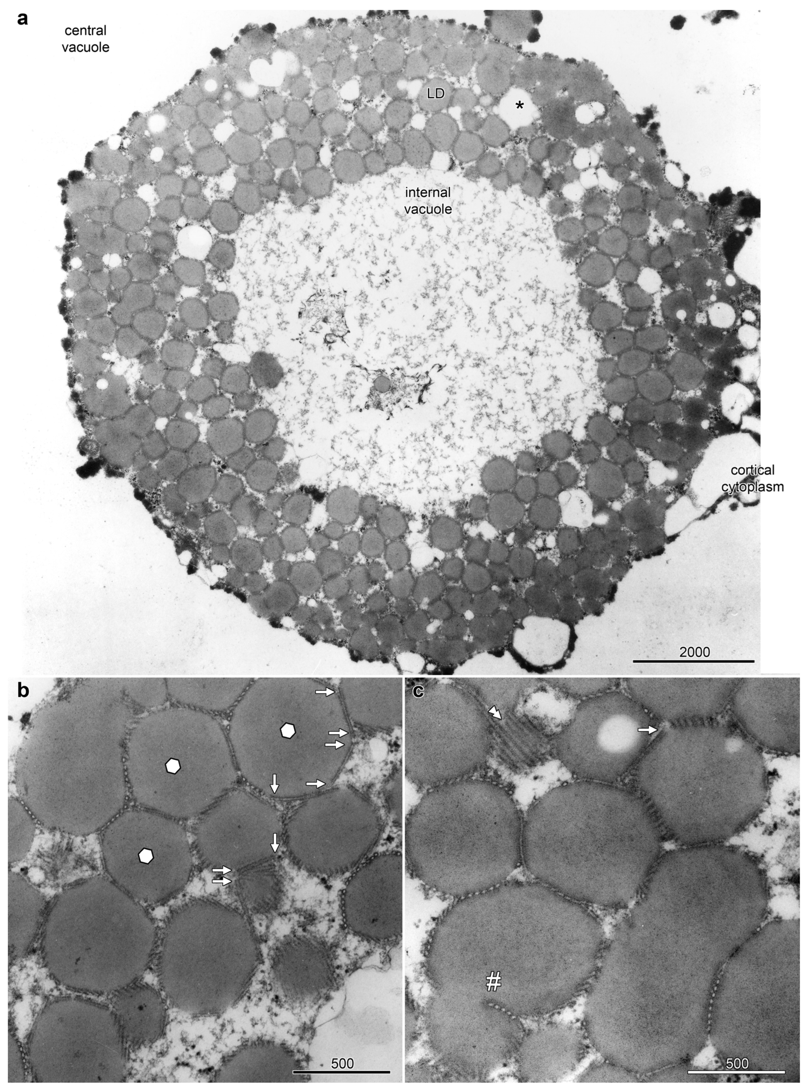
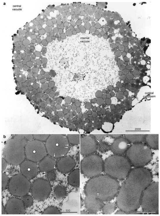
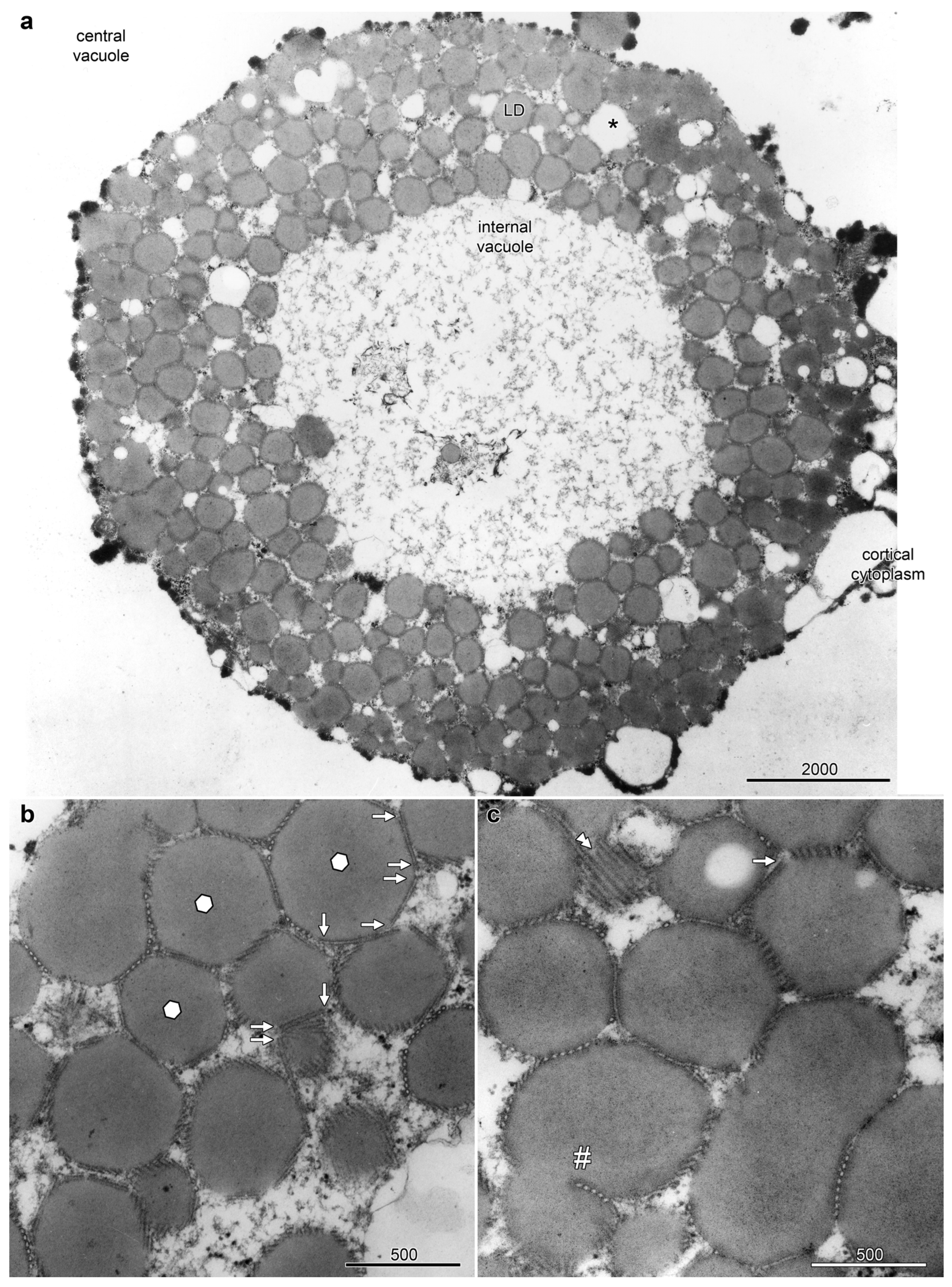
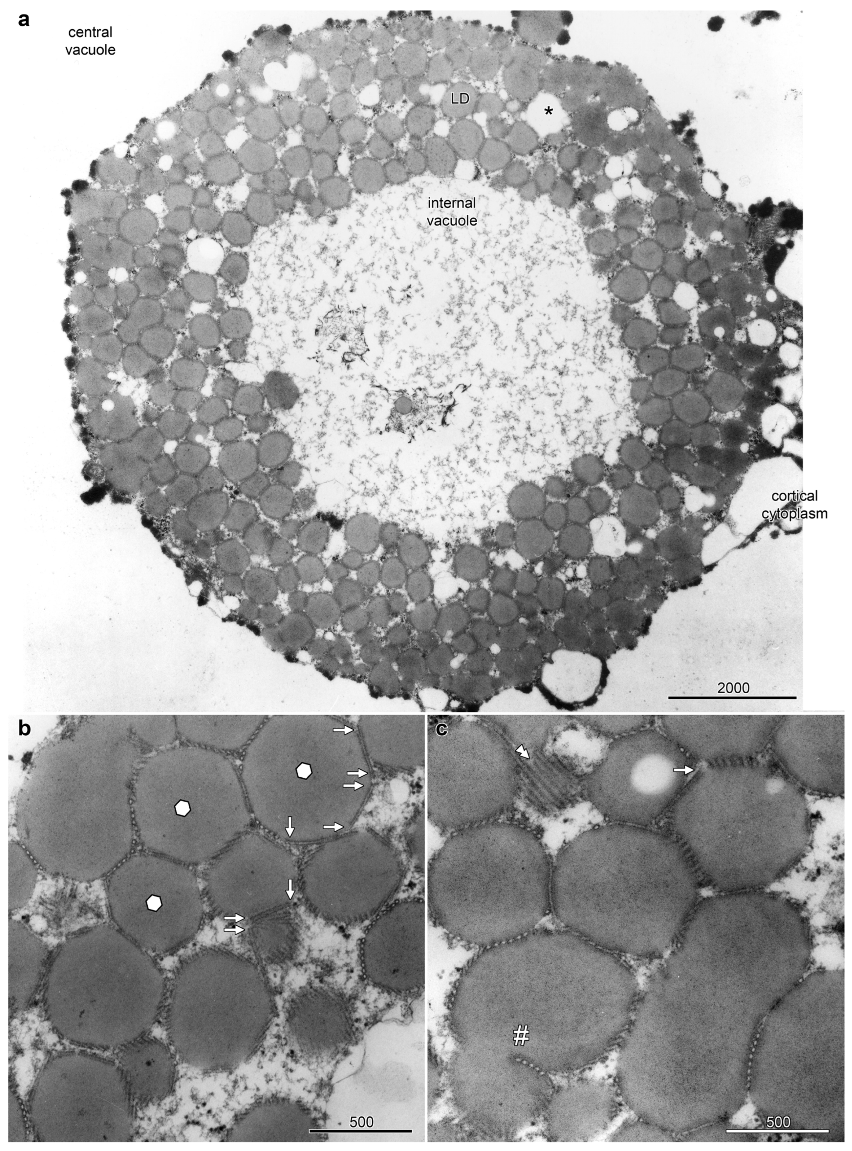
2.1. Microtubules Are a Major Component of Lipotubuloids
2.2. Live Cell Imaging of Ornithogalum Lipotubuloids
2.3. GFP Labeling Reveals the Complex Array of Other Organelles in Lipotubuloids
2.4. GFP Constructs and Immunolabelling Struggle to Label Microtubules in Lipotubuloids
2.5. Actin Microfilaments Are Not a Major Component of Lipotubuloids
2.6. Are Lipotubuloid Microtubules Hyperstable?
3. Discussion
3.1. Lipotubuloid Structure
3.2. Lipotubuloid-like Structures in Other Plants
3.3. Lipotubuloid Functions and the Functions of Lipotubuloid Microtubules
3.4. Microtubule Organization in Lipotubuloids
4. Materials and Methods
4.1. Plant Material
4.2. Transient Expression of Fusion Proteins in Epidermal Cells
4.3. DIC Video Microscopy
4.4. Confocal Microscopy of Living Material
4.5. Immunofluorescence Microscopy
4.6. Transmission Electron Microscopy
5. Conclusions
Supplementary Materials
Author Contributions
Funding
Data Availability Statement
Acknowledgments
Conflicts of Interest
Abbreviations
| DIC | differential interference contrast |
| DMSO | dimethyl sulfoxide |
| GFP | green fluorescent protein |
| LD | lipid droplet |
| MAP | microtubule-associated protein |
| MT | microtubule |
| RFP | red fluorescent protein |
| TEM | transmission electron microscopy |
| YFP | yellow fluorescent protein |
References
- Ischebeck, T.; Krawczyk, H.E.; Mullen, R.T.; Dyer, J.M.; Chapman, K.D. Lipid droplets in plants and algae: Distribution, formation, turnover and function. Semin. Cell Dev. Biol. 2020, 108, 82–93. [Google Scholar] [CrossRef] [PubMed]
- Le Moigne, D.; Gueguen, N.; Salvaing, J. Lipid droplets in plants: More than a simple fat storage. Adv. Bot. Res. 2022, 101, 191–223. [Google Scholar] [CrossRef]
- Lersten, N.R.; Czalpinski, A.R.; Curtis, J.D.; Freckmann, R.; Horner, H.T. Oil bodies in leaf mesophyll cells of angiosperms: Overview and a selected survey. Am. J. Bot. 2006, 93, 1731–1739. [Google Scholar] [CrossRef]
- Murphy, D.J. The biogenesis and functions of lipid bodies in animals, plants and microorganisms. Prog. Lipid Res. 2001, 40, 325–438. [Google Scholar] [CrossRef]
- Bouchnak, I.; Coulon, D.; Salis, V.; D’Andréa, S.; Bréhélin, C. Lipid droplets are versatile organelles involved in plant development and plant response to environmental changes. Front. Plant Sci. 2023, 14, 1193905. [Google Scholar] [CrossRef]
- Kwiatkowska, N.; Polit, J.P.; Stępiński, D.; Popłońska, K.; Wojtczak, A.; Domίnguez, E.; Heredia, A. Lipotubuloids in ovary epidermis of Ornithogalum umbellatum act as metabolons: Suggestion of the name ‘lipotubuloid metabolon’. J. Exp. Bot. 2015, 66, 1157–1163. [Google Scholar] [CrossRef]
- Huang, M.-D.; Huang, A.H.C. Subcellular lipid droplets in Vanilla leaf epidermis and avocado mesocarp are coated with oleosins of distinct phylogenic lineages. Plant Physiol. 2016, 171, 1867–1878. [Google Scholar] [CrossRef]
- Raciborski, M. Elajoplasty liliowatych. Rozpr. Ak. Um. Krak. Ser. II 1895, 7, 1–22. [Google Scholar]
- Kwiatkowska, M. Investigations on the elaioplasts of Ornithogalum umbellatum L. Acta Soc. Bot. Pol. 1966, 35, 7–16. [Google Scholar] [CrossRef]
- Kwiatkowska, M. Fine structure of lipotubuloids (elaioplasts) in Ornithogalum umbellatum in the course of their development. Acta Soc. Bot. Pol. 1971, 40, 451–465. [Google Scholar] [CrossRef]
- Kwiatkowska, M. Changes in the diameter of microtubules connected with the autonomous rotary motion of the lipotubuloids (elaioplasts). Protoplasma 1972, 75, 345–357. [Google Scholar] [CrossRef]
- Gunning, B.E.S. Plant Cell Biology on DVD: Information for Students and a Resource for Teachers; Springer: Berlin/Heidelberg, Germany, 2009; ISBN 978-3-3-642-03690-3. [Google Scholar]
- Kwiatkowska, M.; Popłońska, K.; Stępiński, D. Actin filaments connected with the microtubules of lipotubuloids, cytoplasmic domains rich in lipid bodies and microtubules. Protoplasma 2005, 226, 163–167. [Google Scholar] [CrossRef]
- Kwiatkowska, M.; Popłońska, K.; Stępiński, D.; Wojtczak, A.; Polit, J.T.; Paszak, K. Lipotubuloids—Structure and Function. In Advances in Selected Plant Physiology Aspects; Montanaro, G., Ed.; InTech: Rijeka, Croatia, 2012; pp. 365–388. [Google Scholar] [CrossRef]
- Kwiatkowska, M. The incorporation of 3H-palmitic acid into Ornithogalum umbellatum lipotubuloids, which are a cytoplasmic domain rich in lipid bodies and microtubules. Light and EM autoradiography. Acta Soc. Bot. Pol. 2004, 73, 181–186. [Google Scholar] [CrossRef]
- Kwiatkowska, M.; Wojtczak, A.; Popłońska, K.; Polit, J.T.; Stępiński, D.; Domίnguez, E.; Heredia, A. Cutinsomes and lipotubuloids appear to participate in cuticle formation in Ornithogalum umbellatum ovary epidermis: EM–immunogold research. Protoplasma 2014, 251, 1151–1161. [Google Scholar] [CrossRef]
- Stępiński, D.; Kwiatkowska, M.; Wojtczak, A.; Polit, J.T.; Domínguez, E.; Heredia, A.; Popłońska, K. The role of cutinsomes in plant cuticle formation. Cells 2020, 9, 1778. [Google Scholar] [CrossRef]
- Stępiński, D.; Kwiatkowska, M.; Popłońska, K.; Polit, J.T.; Wojtczak, A.; Domínguez, E.; Heredia, A. Cutinsomes and cuticle enzymes GPAT6 and DGAT2 seem to travel together from a lipotubuloid metabolon (LM) to extracellular matrix of O. umbellatum ovary epidermis. Micron 2016, 85, 51–57. [Google Scholar] [CrossRef] [PubMed]
- Kwiatkowska, M.; Polit, J.; Popłońska, K.; Stępiński, D.; Wojtczak, A. Immunogold method evidences that kinesin and myosin bind to and couple microtubules and actin filaments in lipotubuloids of Ornithogalum umbellatum ovary epidermis. Acta Physiol. Plant. 2013, 35, 1967–1977. [Google Scholar] [CrossRef]
- Marc, J.; Granger, C.L.; Brincat, J.; Fisher, D.D.; Kao, T.-H.; McGrubbin, A.G.; Cyr, R.J. A GFP-MAP4 reporter gene for visualizing cortical microtubule rearrangements in living epidermal cells. Plant Cell 1998, 10, 1927–1939. [Google Scholar] [CrossRef]
- Takemoto, D.; Jones, D.A.; Hardham, A.R. GFP-tagging of cell components reveals the dynamics of subcellular re-organization in response to infection of Arabidopsis by oomycete pathogens. Plant J. 2003, 33, 775–792. [Google Scholar] [CrossRef]
- Kwiatkowska, M.; Popłońska, K.; Kaźmierczak, A.; Stępiński, D.; Rogala, K.; Polewczyk, K. Role of DNA endoreduplication, lipotubuloids, and gibberellic acid in epidermal cell growth during fruit development of Ornithogalum umbellatum. J. Exp. Bot. 2007, 58, 2023–2031. [Google Scholar] [CrossRef]
- Sheahan, M.B.; Staiger, C.J.; Rose, R.J.; McCurdy, D.W. A green fluorescent protein fusion to actin-binding domain 2 of Arabidopsis thaliana fimbrin highlights new features of a dynamic actin cytoskeleton in live plant cells. Plant Physiol. 2004, 136, 3968–3978. [Google Scholar] [CrossRef]
- Tourte, Y. Observations sur l’infrastructure des élaioplastes chez Haemanthus albiflos (Jacq.). C. R. Soc. Biol. 1964, 158, 1712–1715. [Google Scholar]
- Tourte, Y. Considérations sur la nature, l’origine, et la comportement des elaioplastes chez les Monocotylédones. Österr. Bot. Z. 1966, 113, 283–298. [Google Scholar] [CrossRef]
- Kwiatkowska, M.; Stępiński, D.; Popłońska, K.; Wojtczak, A.; Polit, J. ‘Elaioplasts’ of Haemanthus albiflos are true lipotubuloids: Cytoplasmic domains rich in lipid bodies entwined by microtubules. Acta Physiol. Plant. 2010, 32, 1189–1196. [Google Scholar] [CrossRef]
- Kwiatkowska, M. Fine structure of lipotubuloids (elaioplasts) in Malva neglecta and Althaea rosea. Acta Soc. Bot. Pol. 1972, 41, 13–19. [Google Scholar] [CrossRef]
- Kwiatkowska, M.; Stępiński, D.; Popłońska, K.; Wojtczak, A.; Polit, J.T. ‘Elaioplasts’ identified as lipotubuloids in Althaea rosea, Funkia sieboldiana and Vanilla planifolia contain lipid bodies connected with microtubules. Acta Soc. Bot. Pol. 2011, 80, 211–219. [Google Scholar] [CrossRef]
- Wakker, J.H. Studien über die Inhaltskörper der Pflanzenzelle. Jahrbücher Wiss. Bot. 1888, 19, 423–496. [Google Scholar]
- Galatis, B.; Apostolakos, P.; Katsaros, C. Ultrastructural studies on the oil bodies of Marchantia paleacea Bert. I. Early stages of oil-body cell differentiation: Origination of the oil body. Can. J. Bot. 1978, 56, 2252–2267. [Google Scholar] [CrossRef]
- Romani, F.; Flores, J.R.; Tolopka, J.I.; Suárez, G.; He, X.; Moreno, J.E. Liverwort oil bodies: Diversity, biochemistry, and molecular cell biology of the earliest secretory structure of land plants. J. Exp. Bot. 2022, 73, 4427–4439. [Google Scholar] [CrossRef]
- Suire, C. A comparative, transmission-electron microscopic study on the formation of oil-bodies in liverworts. J. Hattori Bot. Lab. 2000, 89, 209–232. [Google Scholar] [CrossRef]
- Esnay, N.; John, M.; Dyer, J.M.; Mullen, R.T.; Chapman, K.D. Lipid droplet–peroxisome connections in plants. Contact 2020, 3, 1–14. [Google Scholar] [CrossRef]
- Davies, K.M.; Deroles, S.C.; Boase, M.R.; Hunter, D.A.; Schwinn, K.E. Biolistics-based gene silencing in plants using a modified particle inflow gun. Meth. Mol. Biol. 2013, 940, 63–74. [Google Scholar] [CrossRef]
- Brant, E.; Zuniga-Soto, E.; Altpeter, F. RNAi and genome editing of sugarcane: Progress and prospects. Plant J. 2025, 121, e70048. [Google Scholar] [CrossRef]
- Elliott, A.; Shaw, S.L. Update: Plant cortical microtubule arrays. Plant Physiol. 2018, 176, 94–105. [Google Scholar] [CrossRef]
- Kwiatkowska, M.; Stępiński, D.; Polit, J.T.; Popłońska, K.; Wojtczak, A. Microtubule heterogeneity of Ornithogalum umbellatum ovary epidermal cells: Non-stable cortical microtubules and stable lipotubuloid microtubules. Fol. Histochem. Cytobiol. 2011, 49, 285–290. [Google Scholar] [CrossRef]
- Kwiatkowska, M.; Popłońska, K.; Wojtczak, A.; Stępiński, D.; Polit, J.T. Lipid body biogenesis and the role of microtubules in lipid synthesis in Ornithogalum umbellatum lipotubuloids. Cell Biol. Int. 2012, 36, 455–462. [Google Scholar] [CrossRef] [PubMed]
- Kwiatkowska, M.; Popłońska, K.; Stepinski, D.; Hejnowicz, Z. Microtubules with different diameter, protofilament number and protofilament spacing in Ornithogalum umbellatum ovary epidermal cells. Fol. Histochem. Cytobiol. 2006, 44, 133–138. [Google Scholar]
- Hugdahl, J.D.; Morejohn, L.C. Rapid and reversible high-affinity binding of the dinitroaniline herbicide oryzalin to tubulin from Zea mays L. Plant Physiol. 1993, 102, 725–740. [Google Scholar] [CrossRef] [PubMed]
- Vaughn, K.C.; Marks, M.D.; Weeks, D.P. A dinitroaniline-resistant mutant of Eleusine indica exhibits cross-resistance and supersensitivity to antimicrotubule herbicides and drugs. Plant Physiol. 1987, 83, 956–964. [Google Scholar] [CrossRef]
- Anthony, R.G.; Waldin, T.R.; Ray, J.A.; Bright, S.W.J.; Hussey, P.J. Herbicide resistance caused by spontaneous mutation of the cytoskeleton protein tubulin. Nature 1998, 393, 260–263. [Google Scholar] [CrossRef]
- Lyons-Abbott, S.; Sackett, D.L.; Wloga, D.; Gaertig, J.; Morgan, R.E.; Webovetz, K.A.; Morrissette, N.S. α-tubulin mutations alter oryzalin affinity and microtubule assembly properties to confer dinitroaniline resistance. Eukaryot. Cell 2010, 9, 1825–1834. [Google Scholar] [CrossRef]
- Song, S.; Kirkpatrick, L.L.; Schilling, A.B.; Helseth, D.L.; Chabot, N.; Keillor, J.W.; Johnson, G.V.W.; Brady, S.T. Transglutaminase and polyamination of tubulin: Posttranslational modification for stabilizing axonal microtubules. Neuron 2013, 78, 109–123. [Google Scholar] [CrossRef]
- Collings, D.A.; Harper, J.D.I.; Marc, J.; Overall, R.L.; Mullen, R.T. Life in the fast lane: Actin-based motility of plant peroxisomes. Can. J. Bot. 2002, 80, 430–441. [Google Scholar] [CrossRef]
- Wiltshire, E.J.; Eady, C.C.; Collings, D.A. Induction of anthocyanin in the inner epidermis of red onion leaves by environmental stimuli and transient expression of transcription factors. Plant Cell Rep. 2017, 36, 987–1000. [Google Scholar] [CrossRef] [PubMed]
- Collins, P.P.; Broad, R.C.; Yogeeswaran, K.; Varsani, A.; Poole, A.M.; Collings, D.A. Characterisation of the trans-membrane nucleoporins GP210 and NDC1 in Arabidopsis thaliana. Plant Sci. 2023, 332, 111719. [Google Scholar] [CrossRef]
- Wachter, A.; Wolf, S.; Steininger, H.; Bogs, J.; Rausch, T. Differential targeting of GSH1 and GSH2 is achieved by multiple transcription initiation: Implications for the compartmentation of glutathione biosynthesis in the Brassicaceae. Plant J. 2005, 41, 15–30. [Google Scholar] [CrossRef]
- Haseloff, J.; Siemering, K.R.; Prasher, D.C.; Hodge, S. Removal of a cryptic intron and subcellular localization of green fluorescent protein are required to mark transgenic Arabidopsis plants brightly. Proc. Natl. Acad. Sci. USA 1997, 94, 2122–2127. [Google Scholar] [CrossRef] [PubMed]
- Delhaize, E.; Kataoka, T.; Hebb, D.M.; White, R.G.; Ryan, P.R. Genes encoding proteins of the cation diffusion facilitator family that confer manganese tolerance. Plant Cell 2003, 15, 1131–1142. [Google Scholar] [CrossRef] [PubMed]
- Collings, D.A.; Wasteneys, G.O. Actin microfilament and microtubule distribution patterns in the expanding root of Arabidopsis thaliana. Can. J. Bot. 2005, 83, 579–590. [Google Scholar] [CrossRef]
- Wasteneys, G.O.; Willingale-Theune, J.; Menzel, D. Freeze shattering: A simple and effective method for permeabilizing higher plant cell walls. J. Microsc. 1997, 188, 51–61. [Google Scholar] [CrossRef]
- Sato, T. A modified method for lead staining of thin sections. J. Electron. Microsc. 1968, 17, 158–159. [Google Scholar] [CrossRef]









| Target Organelle | Name | Description | Source | Ref. |
|---|---|---|---|---|
| cytoplasm | YFP | Free YFP | Madeleine Rashbrooke (ANU) | |
| mitochondria | AOX-GFP | N-terminal fusion to alternative oxidase | Oliver Berkowitz (ANU) | [48] |
| endoplasmic reticulum | GFP-HDEL | N-terminal fusion of Arabidopsis chitinase signal sequence and C-terminal ER retention motif-HDEL | Jan Marc (Sydney University) | [49] |
| Golgi apparatus | STtmd-GFP | N-terminal fusion of 52 amino acids of rat sialyltransferase | Daigo Takemoto (ANU) | [21] |
| microtubules | GFP-MBD | C-terminal fusion to MT-binding domain of mouse MAP4 | Jan Marc (Sydney University) | [20] |
| microfilaments | GFP-hTalin | N-terminal fusion to actin-binding domain of human talin | Daigo Takemoto (ANU) | [21] |
| tonoplast | ShMTP1-GFP | N-terminal fusion of manganese transporter from the legume Stylosanthes hamata | Manny Delhaize (CSIRO Plant Industry) | [50] |
| peroxisomes | GFP-SKL | C-terminal fusion of tripeptide -SKL, a peroxisomal transport sequence | Robert Mullen (University of Guelph) | [45] |
| plastids | rbcs-RFP | C-terminal fusion to small subunit of Arabidopsis rubisco | Oliver Berkowitz (ANU) | [48] |
Disclaimer/Publisher’s Note: The statements, opinions and data contained in all publications are solely those of the individual author(s) and contributor(s) and not of MDPI and/or the editor(s). MDPI and/or the editor(s) disclaim responsibility for any injury to people or property resulting from any ideas, methods, instructions or products referred to in the content. |
© 2025 by the authors. Licensee MDPI, Basel, Switzerland. This article is an open access article distributed under the terms and conditions of the Creative Commons Attribution (CC BY) license (https://creativecommons.org/licenses/by/4.0/).
Share and Cite
Yogeeswaran, K.; Ingerfeld, M.; McInnes, N.R.; Gunning, B.E.S.; Collings, D.A. The Lipotubuloids of Ornithogalum umbellatum L. Contain Hyperstable Microtubules. Plants 2025, 14, 3677. https://doi.org/10.3390/plants14233677
Yogeeswaran K, Ingerfeld M, McInnes NR, Gunning BES, Collings DA. The Lipotubuloids of Ornithogalum umbellatum L. Contain Hyperstable Microtubules. Plants. 2025; 14(23):3677. https://doi.org/10.3390/plants14233677
Chicago/Turabian StyleYogeeswaran, Krithika, Manfred Ingerfeld, Nicholas R. McInnes, Brian E. S. Gunning, and David A. Collings. 2025. "The Lipotubuloids of Ornithogalum umbellatum L. Contain Hyperstable Microtubules" Plants 14, no. 23: 3677. https://doi.org/10.3390/plants14233677
APA StyleYogeeswaran, K., Ingerfeld, M., McInnes, N. R., Gunning, B. E. S., & Collings, D. A. (2025). The Lipotubuloids of Ornithogalum umbellatum L. Contain Hyperstable Microtubules. Plants, 14(23), 3677. https://doi.org/10.3390/plants14233677

