Abstract
Ficus palmata is an important fig species that produces edible and nutritious fruit and possesses several therapeutic uses. This study reports an effective method for the micropropagation of F. palmata using nodal explants. In vitro shoots were cultured for 7 weeks onto MS medium fortified with different concentrations of cytokinins, light intensities, sucrose concentrations, and light/dark incubation treatments. Optimal axillary shoot proliferation (10.9 shoots per explant) was obtained on a medium containing 30 g/L sucrose and supplemented with 2 mg/L 6-benzylaminopurine (BAP) under 35 μmol/m2/s light intensity. Dark incubation limited the foliage growth but favored shoot elongation and rooting compared with light incubation. Elongated shoots, under dark conditions, were rooted (100%; 6.67 roots per explant) onto MS medium containing 1 mg/L indole-3-acetic acid (IAA) and 1.5 g/L activated charcoal. The micropropagated plantlets were acclimatized with a 95% survival rate. In this study, the genetic fidelity of micropropagated F. palmata clones along with their mother plant was tested using randomly amplified polymorphic DNA (RAPD), inter-simple sequence repeats (ISSR), and start codon targeted (SCoT) molecular markers. The genetic similarity between the micropropagated plantlets and the mother plant of F. palmata was nearly 95.9%, assuring high uniformity and true-to-type regenerated plants. Using micropropagated F. palmata plantlets as a rootstock proved appropriate for the grafting F. carica ‘Brown Turkey’. These findings contribute to the commercial propagation and production of the fig crop.
1. Introduction
The genus Ficus belongs to the large family Moraceae and includes 876 accepted plant species (WFO Plant List, 2024; https://wfoplantlist.org/taxon/wfo-4000014727-2023-12?page=1; Accessed on 5 March 2024). In Saudi Arabia, there are five grown species of fig namely Ficus vasta, Ficus carica, Ficus salicifolia, Ficus palmata, and Ficus glumosa [1]. Fig propagation can be achieved through both vegetative and sexual methods. However, sexual propagation is not preferred because of the low seed viability. Due to the heterozygosity in sexual reproduction, this method is limited to breeding programs [2]. Vegetative propagation through cutting, grafting, and layering is traditionally used to propagate fig plant species [3]. For Ficus carica cultivation, own-rooted nursery stocks are widely used for planting. However, soil disorders pose serious threats to cultivation; as a result, rootstocks that are resistant to such soil disorders have long been desired. Additionally, for large-scale traditional propagation, several cuttings are needed to increase the cultivated area of figs.
Introducing wild fig species as a rootstock for common fig trees would enable high resistance to diseases, e.g., Ceratocystis Canker [4]. Fegra fig (Ficus palmata) is a small, wild fig tree widely distributed in Nepal, Somalia, Egypt, India, Iran, Sudan, Ethiopia, and Saudi Arabia [5,6]. Ficus palmata fruit is a very nourishing food and is used for making various products [7]. The tree is used as fuel wood and is traditionally used for the effective treatment of many diseases, namely, skin diseases, ringworm, wound infections, and hemorrhoids [8]. Phytochemical analysis of the aerial parts of F. palmata has revealed several pharmacological activities [9,10,11,12,13,14]. Moreover, F. palmata has been reported as a potential rootstock for grafting Ficus carica ‘Masui Dauphine’ [15]. In vitro techniques have been utilized to achieve rapid mass propagation over conventional methods of vegetative propagation. Moreover, it ensures the production of true-to-type plants, uniform quality, and production of disease-free planting materials with seasonal independence [16]. Additionally, in vitro culturing can rejuvenate mature fig plantlets [17]. Several studies have reported the micropropagation of Ficus carica [18,19]. To our knowledge, in vitro propagation studies on F. palmata are limited to a study by El-Tarras et al. [20]; however, a low multiplication rate was reported.
Several factors may significantly affect shoot multiplication in tissue cultures. One of the factors that affect in vitro plant regeneration is the presence of plant growth regulators (PGRs) in the culture media [21,22]. Shoot proliferation is mainly regulated by cytokinins. Several studies have been carried out to study the effectiveness of cytokinins on the multiple-shoot formation of different fig cultivars [19,23,24]. In addition, it is well established that sucrose in the medium plays an important role as a source of energy and a carbon compound for the growth and development of explants. The sucrose affects the regulation of growth genes so that the absence of sucrose can inhibit plant growth [25]. A few studies investigated the effects of sucrose on shoot multiplication of fig [26,27]. Also, light intensity is an important parameter that influences shoot regeneration, fresh weight, and secondary metabolite biosynthesis during micropropagation. Light can also influence the efficacy of PGRs as well as the adjustment of endogenous hormone levels [28]. Moreover, dark incubation has been reported to influence shoot regeneration in vitro. Incubation in the dark may delay the degradation of endogenous and/or exogenous plant growth regulators and reduce cell wall thickness, thus facilitating the translocation of plant growth regulators [29] and in turn regulating the morphogenic responses. However, to our knowledge, no studies have been conducted on the effect of duration and intensity of lighting on shoot multiplication and elongation of figs.
The significance of tissue culture-based propagation techniques resides in the fact that the regenerated plant population should be genetically and morphologically uniform with donor mother plants [30]. The in vitro development of plants is governed by various factors, i.e., PGRs and light intensity [31,32]. Therefore, micropropagation may result in DNA sequence variation and the generation of somaclonal variation [33]. To overcome this, it is a prerequisite to validate the genetic homogeneity in early times to authenticate the quality of micropropagated plants for commercial use, particularly for woody plants [34]. The genetic homogeneity amongst the micropropagated plants with the mother plant has been assessed by PCR-based molecular markers, i.e., Amplified Fragment Length Polymorphism (AFLP), Inter Simple Sequence Repeats (ISSR), Random amplified polymorphic DNA (RAPD), Start codon targeted (SCoT), and Simple Sequence Repeats (SSR) [35,36]. RAPD, ISSR, and SCoT marker techniques have been successfully used to assess the genetic fidelity in several plants such as Pittosporum eriocarpum [37], Rauwolfia tetraphylla [38], and Solanum khasianum Clarke [39]. This study aimed to establish an efficient micropropagation of F. palmata as a rootstock for the common fig and a medicinal plant, using nodal explants and to assess the genetic fidelity of the micropropagated plants through RAPD, ISSR, and SCoT molecular markers.
2. Results and Discussion
2.1. Surface Disinfection and Culture Initiation of F. palmata
Contamination was one of the major challenges faced during the aseptic culture establishment of F. palmata. The in vitro nodal culture of F. palmata was established with a 64.8% aseptic rate. Additionally, tissue browning is a common problem during the establishment of trees in vitro cultures. Soaking F. palmata nodal explants in citric acid and ascorbic acid solution prevented the occurrence of phenolic substances and tissue browning (Figure 1a) as compared with non-soaked explants (Figure 1b). Sodium hypochlorite (NaOCl) and mercuric chloride (HgCl2) are commonly used surface disinfectants in plant tissue culture. El-Tarras et al. [20] reported a successful surface sterilization of F. palmata nodal explants using 70% ethanol for 1 min followed by 20% sodium hypochlorite solution (NaOCl; 5.25%) for 10 min, but the contamination percentage was not mentioned. Abdolinejad et al. [40] sterilized the stem segments of F. carica cultivars ‘Sabz’ and ‘Torsh’ using 15% NaOCl solution (containing 5% active chlorine) for 20 min. In our study, we found that using HgCl2 treatment was very effective for controlling microbial contamination of F. palmata. Prabhuling et al. [41] reported a successful surface sterilization of F. carica ‘Brown Turkey’ nodal explants using 2% NaOCl for 15 min followed by HgCl2 0.1% for 3, 5, and 10 min. The maximum aseptic culture establishment (71%) was obtained when double nodal explants were treated with 0.1% HgCl2 for 10 min. Vanmathi et al. [42] also reported that treatment of nodal explants of F. carica with HgCl2 (0.1%) for 3 min was the most effective surface sterilization procedure for aseptic culture establishment (72%).
Figure 1.
The establishment of an in vitro aseptic culture of Ficus palmata. (a) Nodal explants that had been soaked in antioxidant solution (100 mg/L citric acid and 150 mg/L ascorbic acid) prior to surface sterilization and (b) Nodal explants without soaking in antioxidant solution showing phenolic exudates.
2.2. Effect of Cytokinin Concentrations on Axillary Shoot Multiplication
Both cytokinin types, their concentration treatments, as well as their interaction effects had significant effects (p < 0.05) on the number of axillary shoots, length of the longest shoot, fresh weight, and dry weight per explant (Table 1). Shoot induction was visible after two weeks of culture. When comparing the different types of cytokinins, BAP was found to be the most effective in the induction of multiple shoots, followed by thidiazuron (TDZ) and zeatin. The number of induced axillary buds increased with increasing BAP concentrations up to 2 mg/L and then decreased at 3 mg/L BAP. The treatment of (2.0 mg/L) BAP generated the highest number of axillary shoots with an average of 11.2 shoots per explant with an average length of the longest shoot of 1.9 cm (Table 1 and Figure 2a). The average fresh weight per explant was 3.64 g and the average dry weight per explant was 0.389 g in this treatment. Despite the high number of axillary shoots (9.8 shoots per explant) obtained with TDZ, it led to vitrification and an abundance of stunted leaves, especially at high concentrations. Among the different cytokinins tested, zeatin yielded the lowest number of axillary shoots (4.8 shoots per explant) (Table 1). In general, all cytokinin treatments resulted in higher axillary shoot multiplication and growth of explants than the control treatment.
Table 1.
The effect of cytokinin concentrations on axillary shoot multiplication of Ficus palmata using nodal explants after 7 weeks in culture (5 weeks in MS medium supplemented with cytokinins followed by 2 weeks in MS medium without PGRs).
Figure 2.
Micropropagation of the wild fig (Ficus palmata). (a) Axillary shoot multiplication using nodal explants cultured onto MS medium supplemented with 2 mg/L BAP after 7 weeks in culture, (b,c) negative effects of high sucrose (60 g/L) and high light intensity (70 PPFD), respectively, on shoot multiplication and growth, (d) elongation of individual axillary shoots cultured onto MS medium supplemented with 1 g/L activated charcoal under dark incubation, (e) in vitro rooting of axillary shoots onto MS medium supplemented with 1 mg/L IAA after 4 weeks of dark condition (left) and followed by 3 weeks under light incubation (right), (f) micropropagated plantlet covered with a polyethylene bag, (g) micropropagated plantlet following 4 weeks of acclimatization, and (h) micropropagated plants in the greenhouse after 12 weeks of acclimatization.
Cytokinin is well-known for its ability to promote shoot multiplication by acting as a signaling molecule involved directly in the cell division of meristematic cells [43]. They regulate apical dominance, the size of the shoot meristem, the amount of leaf primordia, shoot growth, leaf production, and the development of axillary buds [44]. However, the response of tissues towards exogenous plant growth regulators can be due to the interaction between the endogenous regulators or the physiological status of the plant, resulting in a different response depending on the growth regulator supplemented. In the present study, BAP was the most effective cytokinin in stimulating multiple shoot production of F. palmata. Furthermore, BAP’s slower rate of metabolism makes it more stable in tissue culture compared to other cytokinins [19]. The results in this study corroborate the previous finding of Ling et al. [19], whereby the maximum number of shoots (15.2 shoots per explant) were produced by the ’Violette de Sollies‘ fig cultivar when supplemented with 5.0 mg/L BAP as compared with other cytokinins (kinetin, TDZ, and zeatin). In addition, BAP at 0.4 mg/L was found to be the most effective cytokinin compared to kinetin and zeatin at 0.0–2.0 mg/L shoot multiplication (3.2 shoots per explants) of Ficus carica ‘Salti Kodari’ [23]. Furthermore, BAP treatments increased the number of multiple shoots induced in the shoot-tip explants of F. carica ‘Japanese BTM 6’ when compared to zeatin [45]. For F. palmata, it has been reported that 2.0 mg/L BAP produced the maximum number of multiple shoots (3.25) using nodal explants [20]. Shoot multiplication is influenced by several factors, i.e., the physiological state of the mother plant, culture conditions and period, type and number of explants in a culture vessel, and size of the culture vessel. El-Taras et al. [20] did not clearly state these conditions in their research; hence, the obtained low multiplication rate (3.25) despite using the same BAP concentration (2 mg/L) could have been attributed to variable conditions compared to our study. In general, BAP proved more effective than TDZ and zeatin for axillary shoot multiplication of F. palmata.
2.3. Effect of Light Intensity and Sucrose Concentration on Axillary Shoot Multiplication
The effects of light intensity and different concentrations of sucrose on shoot multiplication were evaluated in the optimized medium (MS containing 2 mg/L BAP). Both light intensity and sucrose concentration treatments, as well as their interaction, had significant effects (p < 0.01 and p < 0.001) on the number of shoots, length of the main shoot, fresh weight, and dry weight of F. palmata shoots. For the light intensity in dry weight, there was no significant difference (Table 2). The treatment of 35 μmol m−2∙s−1 PPFD and 30 g/L sucrose was optimal for shoot multiplication of F. palmata and generated the highest number of axillary shoots (10.29 shoots per explant) with an average length of the main shoot of 6.7 cm. The average fresh weight per explant was 3.7 g and the average dry weight per explant was 0.34 g (Figure 2 and Table 2).
Table 2.
The effect of light intensity and sucrose concentration on axillary shoot multiplication of Ficus palmata from nodal explants after 7 weeks in culture (5 weeks in MS medium supplemented with 2 mg/L BA followed by 2 weeks in MS medium without PGRs).
It is well-established that light intensity affects plant growth and shoot multiplication in vitro. Nevertheless, studies on the effect of light intensity on shoot multiplication of fig in vitro cultures are lacking. However, plant responses to varying light intensities are species-specific. High light intensity at 150 μmol m−2∙s−1 was the optimal level for the shoot multiplication of Castanea sativa [46]. Conversely, low light intensity at 25 μmol m−2∙s−1 light intensity was optimal for the shoot multiplication of Philodendron bipinnatifidum [47]. De Riek et al. [48] highlighted the importance of sucrose for culture growth and biomass increase. In our study, all parameters decreased with increasing light intensity and sugar concentration; the plantlets showed slower growth and yellowing of the leaves was observed particularly in the treatment 60 PPFD and 60 g/L sucrose. The optimal sucrose concentration for F. palmata multiplication was 30 g/L. Elazab and Shaaban [26] stated that the optimal treatment for the proliferation of F. carica was 30 g/L sucrose, and a high concentration of sucrose reduced the number of shoots, the length of the shoots, the number of leaves on each shoot, and the area of the leaves. These negative effects could be due to the decrease in the osmotic capacity of cells and their exposure to stress [49,50]. Higher concentrations of sucrose also lead to an increase in the concentration of detrimental phenolic compounds and inhibition of the growth of plant tissues [51,52]. In addition, it reduces leaf pigments and limits the efficiency of the photosynthesis system [53]. Conversely, a high concentration of sucrose in the plant tissue culture system may have a positive effect on the growth and development of micropropagated plants, such as Ficus carica, in which 45 g/L sucrose treatments resulted in the highest shoot fresh and dry weight [27]. However, plant responses to sucrose are species-specific. Cao et al. [54] reported that sucrose concentrations above 2% decreased Vaccinium corymbosum ‘Duke’ shoot proliferation. Similarly, sucrose concentrations above 2% inhibited the shoot growth of Dactylorhiza majalis and Dactylorhiza incarnata ssp. incarnata [55].
2.4. The Effect of Dark Incubation versus Standard Photoperiod Conditions on the Growth and Elongation of Axillary Shoots
The treatment of dark incubation versus standard photoperiod conditions (16 h photoperiod at 35 μmol m−2·s−1) had significant effects (p ≤ 0.05) on the length of shoots, number of leaves, shoot fresh weights, and shoot dry weights (Figure 3a–d). Shoots grown under dark incubation showed the highest shoot length (5.63 cm) compared with plantlets grown under light (3.87 cm) after 4 weeks of culture. Conversely, plantlets grown in the light treatment showed the highest average number of leaves (6.75) with the highest fresh weight (0.524 g) and dry weight (0.116 g). compared with shoots grown under dark conditions. Our findings stressed the important influence of darkness on the elongation of F. palmata axillary shoots. Light and darkness both act as environmental cues that regulate plant growth and development. Darkness leads to shoot elongation by modulating the levels of phytohormones [56]. Ficus palmata shoots grown in the dark facilitated shoot elongation as compared to those growing under the standard light regime, which was favorable for the next micropropagation step (rooting). Similar results were obtained in other plant species, such as Catasetum fimbriatum [57,58]. Light enhances plant morphology designed to carry out photosynthesis, whereas darkness leads to fewer leaves and increases cell elongation [59].
Figure 3.
Shoot length (a), number of leaves (b), fresh weight (c), and dry weight (d) of F. palmata axillary shoots as influenced by light and dark incubation treatments after 4 weeks in culture. (Bars represent means ± standard error, * = significantly different at p ≤ 0.05 according to Student’s unpaired t-test).
2.5. Effect of Auxins Concentrations on In Vitro Rooting of F. palmata Axillary Shoots
The type of auxin had a significant effect on all parameters except for the number of roots. Auxin concentrations have a significant effect (p < 0.05) on the rooting percentage, number of roots, and root length while the interaction between auxin type and auxin concentrations had no significant effects on rooting parameters (Table 3). Root induction began after 2 to 3 weeks of incubation from the cut ends of the microshoots in most cultures tested. When comparing the auxins tested, IAA proved more effective for in vitro rooting of F. palmata than IBA and NAA. The highest rooting percentage (75%) and length of the main root (3.9 cm) were obtained on medium supplemented with 1 mg/L IAA. A low concentration of NAA (0.1 mg/L) resulted in the highest number of roots (2.3 roots per explant) while the highest fresh and dry biomass were obtained at 1 mg/L IAA. High concentrations of auxins at 2 mg/L negatively affected the in vitro rooting and growth of F. palmata axillary shoots. Rooting the plantlets is one of the most crucial stages of micropropagation and is a prerequisite for successful acclimatization. The effects of auxin type and concentration on root formation depend on the carry-over effects of cytokinin during the multiplication stage and vary considerably among different plant species [60]. Additionally, possible changes in affinities for auxin receptors and variances in uptake, transport, and metabolism are other factors contributing to the different effectiveness observed among the three auxins [61]. Parab et al. [24] concluded that IAA was better than IBA in rooting the Ficus carica ‘Black Jack’. Ling et al. [62] found that IAA was the best auxin for Orthosiphon stamineus in adventitious root formation compared with IBA and NAA.
Table 3.
The effect of auxin concentration on in vitro rooting of Ficus palmata microshoots after 7 weeks in culture.
IBA was used as a prime auxin that produced the highest root formation and number of roots on different cultivars of fig (Ficus carica L.) [19,23,41,63], and proved effective for in vitro rooting of several woody plant species such as Cancer bush (Lessertia frutescens) [64], water berry tree (Syzygium cordatum) [65], and buttonwood tree (Conocarpus erectus) [66]. The ability of IBA to stimulate root growth can be attributed to its relatively high stability. In addition, IBA functions as a hormone with a slow-release mechanism, allowing its effects to persist for a longer duration in the culture media. This may lead to continuous stimulation of root growth [67]; however, the continuous presence of IBA in the medium may be inhibitory for root elongation during the rooting phase [68]. It has the capacity to activate the gene accountable for root formation [69]. IBA can also be converted into free IAA within the medium, hence facilitating a consistent presence of IAA without the need for direct IAA supplementation for plant regeneration [70]. Conversely, the low absorption efficiency of NAA makes it unsuitable for the regeneration of some plant tissues, as it could potentially lower rooting efficiency in culture [71]. In addition, it leads to callus development at the end cut of microshoots of Hebe buchananii, Hebe canterburiensis [72], and Ruta chalepensis [73]. However, NAA showed efficacy in stimulating root formation in vitro in clones of Ficus carica. It was observed that NAA effectively stimulated the highest average number of roots (4.87) and length (4.07 cm) for Ficus carica ‘Sultani’ explants [17]. In general, the formation of roots differed significantly depending on the type of auxin and its concentration in the cultured medium during the rooting stage [74].
2.6. Effect of Initial Dark Incubation versus Standard Photoperiod Conditions on In Vitro Rooting of F. palmata Microshoots
The implementation of a dark phase as a first step during the rooting stage had a significant effect (p < 0.05) on all rooting parameters (rooting percentage, number of roots, root length, fresh weight, and dry weight) while activated charcoal and their interaction showed no significant effects (Table 4). Incubation in the dark resulted in 100% rooting of microshoots and favored a higher number of roots per explant (6.67) when the medium was supplemented with activated charcoal as compared with other treatments. Conversely, under light incubation, the plantlets exhibited higher values of root length and fresh and dry weights (Table 4). An incubation period of darkness at the beginning of the rooting process, with exposure to an auxin, has been shown to be beneficial for the rooting of many woody plant species [75], and this may be attributed to natural auxin enhancement under dark conditions. Additionally, dark incubation may potentially impact the various stages of auxin metabolism, particularly regarding root development, by modifying the activities of peroxidase and endogenous phenolic compounds [76]. Furthermore, research has demonstrated that incubating Petunia hybrida cuttings in the darkness increases the concentration of naturally occurring auxin at the base of the stem [77]. Dark incubation treatment also enhances the allocation of carbohydrate resources toward the zone where roots are formed [78], thus enhancing the energy resources required for the development of the new organ.
Table 4.
Effect of photoperiod and activated charcoal on rooting of Ficus palmata from microshoots after 7 weeks in culture in MS medium supplemented with 1 mg/L IAA.
2.7. Acclimatization
Healthy regenerated plantlets of F. palmata with 6–8 leaves and a well-developed root system (Figure 2e, right) were successfully hardened in pots containing a sterile mixture of peatmoss and perlite (1:1; v/v) in a growth chamber before being transplanted ex vitro. After 4 weeks, the acclimatized plants were transferred to pots with a mixture of soil and peatmoss (1:1; v/v), and 95% of the plantlets survived when transferred to greenhouse conditions. Previous studies on acclimatization of micropropagated Ficus carica plants reported 80% survival in a mixture of soil, perlite, and peat (1:1:1; v/v/v) [23], 90.25% survival in coco peat [63], and 100% survival in a biochar soil [19].
2.8. Assessment of Genetic Fidelity Using RAPD, ISSR, and SCoT Molecular Markers
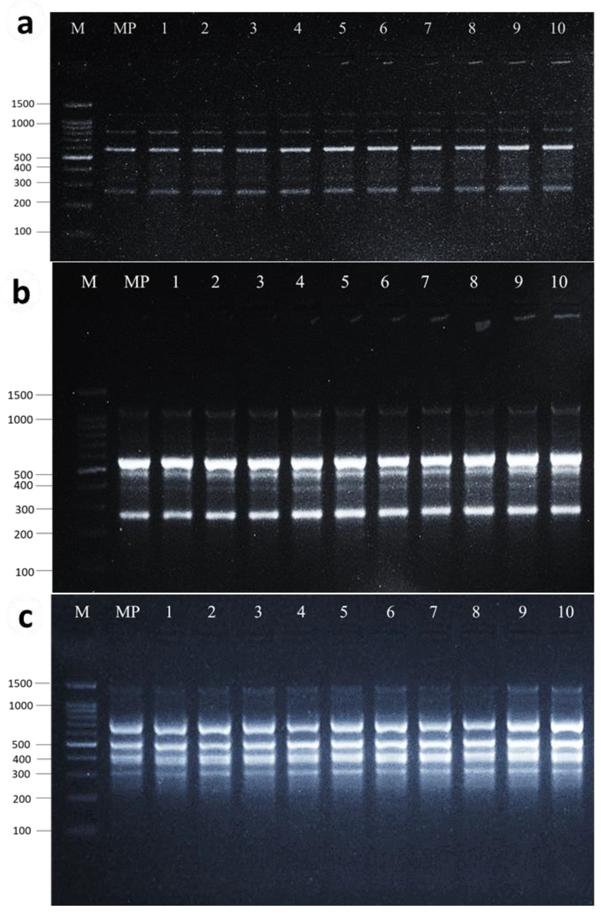
The genetic fidelity of micropropagated F. palmata plantlets was assessed using RAPD, ISSR, and SCoT molecular markers in ten plants randomly selected along with the mother plant. A total of 102 bands were obtained from the three markers in which only four bands were polymorphic representing 3.9% polymorphism. In RAPD analysis, among ten RAPD primers screened, eight primers produced 22 clear, reproducible bands, and the number of bands produced by the eight primers ranged between 1 and 4 with an average of 2.75 bands/primer with band size (in bp) ranging from 200 to 1500 (Table 5, Figure 4). All bands were monomorphic among the tested plants and the mother plant. In ISSR analysis, ten primers produced 50 bands which were clear, distinct, and scorable with 4% polymorphism (2 bands), while all the other bands produced were monomorphic. The number of bands produced by the ten primers ranged between 2 and 8 with an average of 5 bands/primer with a band size (in bp) ranging from 200 to 1500 (Table 5, Figure 4). In the SCoT analysis, among the ten SCoT primers screened, eight primers produced 30 bands which were clear, distinct, and scorable with 6.6% polymorphism (2 bands), while all the other bands produced were monomorphic. The number of bands produced by the eight primers ranged between 1 and 6 with an average of 3.75 bands/primer with a band size (in bp) ranging from 250 to 1500 (Table 5, Figure 4). The retention of true-to-type in in vitro regenerated plants is critical for any micropropagation system, as well as for conservation programs. Genetic variations could occur in tissue culture-regenerated plants [79]. The development of somaclonal anomalies between the regenerated plants may limit the effectiveness of the micropropagation protocol [80,81]. Various factors such as genotype, explant type, culture periods, and growth regulator combinations and concentrations may disturb the internal polarity and physiology of the explants [82,83], and could also influence the true-to-type of tissue cultured plants [83,84]. Therefore, evaluating the genetic integrity of regenerated plants is critical. PCR-based markers are one of the most significant approaches being used to test genetic fidelity in several plant species. For better analysis of genetic fidelity, using more than one marker was always recommended [85]. Additionally, Palombi and Damiano [86] suggested the use of more than one DNA amplification technique as advantageous in evaluating somaclonal variations in micro-propagated plants of kiwi fruit. In the present study, no major differences between Ficus palmata micropropagated plants and the mother plant were found. The high ratio of monomorphic banding pattern in the micro-propagated and mother plant and the low frequency of polymorphism in ISSR and SCoT profile of micropropagated plantlets (4.0 and 6.6, respectively) revealed a high rate (95.9%) of genetic stability, but also a certain (4.1%) level of somaclonal variation. A previous study by Dessoky et al. [34] reported a < 6% polymorphism frequency using RAPD and ISSR molecular markers of micropropagated fig (Ficus carica) regenerated via axillary shoot multiplication.
Table 5.
Polymorphism percentage of micropropagated F. palmata plantlets obtained with RAPD, ISSR, and SCoT primers.
Figure 4.
DNA amplification pattern obtained with the RAPD primer (a), ISSR primer (b), and SCoT primer (c). Lane M = DNA ladder; Lane-MP = DNA from mother plant; Lane 1–10 DNA from micropropagated plants.
Many reports in the literature suggest that plants regenerated through organized tissues such as axillary shoots maintain the genetic integrity of the plantlets [34,87,88,89]. This further supports the fact that axillary multiplication is the safest mode of micro-propagation to produce true-to-type progeny. The RAPD method was sensitive and capable of detecting variations in plant genome profiles [90,91] and regenerated plantlets [92]. In our study, along with the RAPD primer, we also used other advanced primers, i.e., ISSR and SCoT, which are reliable and reproducible types in assessing the genetic fidelity of micropropagated plants compared to RAPD [37]. Among the various markers, SCoT markers are gaining much attention due to their superiority over other markers [93,94]. They can be used effectively for both genetic diversity and studies of genetic fidelity [95,96]. SCoT markers have been reported for assessing the genetic fidelity of several plant species such as Cleome gynandra [97], Bauhinia racemosa [81], and Rauwolfia tetraphylla [38]. Similarly, the use of RAPD and ISSR markers for assessing the genetic fidelity of Ficus carica micropropagated plants was reported by several studies [34,40,87,98]. However, this is the first report using RAPD, ISSR, and SCoT primers for the assessment of the genetic fidelity of micropropagated F. palmata plants.
2.9. Grafting Compatibility of Micropropagated F. palmata Plantlets as a Rootstock for F. carica ‘Brown Turkey’
Micropropagated F. palmata plantlets proved to be a compatible rootstock for F. carica ‘Brown Turkey’ using splice grafting (Figure 5a–c). Scion growth was observed within 3 weeks of grafting and full junction was observed at 12 weeks (Figure 5d–f) with a 100% survival rate. A previous study by Hosomi [15] investigated the graft compatibility between rootstocks of wild Ficus species and scions of fig cultivar ‘Masui Dauphine’ and the best compatibility was observed with F. palmata. The grafting technique is widely used for the production of fruit trees either to overcome soil disorders or to improve quality and productivity. However, further studies on the effect of using F. palmata rootstock on the growth and productivity of the fig scions are required.
Figure 5.
Splice grafting between micropropagated Ficus palmata as a rootstock and Ficus carica ‘Brown Turkey’ as a scion. (a) Front view of the rootstock cut surface, (b) placing the scion on rootstock, (c) tying the scion and rootstock together with grafting tape, (d,e) scion growth on the rootstock after 3 and 8 weeks of grafting, respectively (f), side view of the grafted area showing junction between the scion and rootstock after 12 weeks of grafting, and (g) scion growth on the rootstock after 7 months of grafting.
3. Materials and Methods
3.1. Plant Material, Surface Sterilization, and Establishment of Aseptic Culture
Twigs of F. palmata Forssk. (20–30 cm in length) were collected in January 2020 from one mature tree located in Huraymila district (25°7′36″ North, 46°7′21″ East), Saudi Arabia (Figure 6). Nodal segments (2–4 cm) were excised from the twigs and washed under running tap water for 30 min to remove the superficial dust followed by a detergent for 3 min. The explants were dipped in a solution of 100 mg/L citric acid and 150 mg/L ascorbic acid for 20 min, to avoid browning of tissues, followed by surface sterilization in 70% ethanol for 1 min. Then, they were rinsed in 0.1% HgCl2 for 8 min, followed by 40% Clorox® solution (5.25% NaOCl; National Cleaning Products Co. Ltd., Dammam, Saudi Arabia) containing 2 drops of Tween-20 for 15 min. Finally, the explants were washed with sterile distilled water 4–5 times. The explants were cultured in glass test tubes (24 mm × 200 mm) containing 15 mL MS medium [99] supplemented with 2 mg/L 6-benzylaminopurine (BAP) and 0.1 mg/L IBA, 3% sucrose and 0.8% agar. After four weeks of incubation, observations on percentages of contamination were recorded.
Figure 6.
Ficus palmata mother tree located in the Huraymila district, Saudi Arabia.
3.2. Standard Medium Preparation and Growth Conditions
The pH of the medium was adjusted to 5.8 before autoclaving (at 121 °C and 1.2 kg cm−2 pressure for 15 min). The cultures were incubated at 25 ± 2 °C under a 16 h photoperiod provided by cool white fluorescent lights at 35 μmol m−2·s−1 photosynthetic photon flux density (PPFD) and a relative humidity of 50–60%.
3.3. The Effect of Cytokinin Concentrations on Axillary Shoot Multiplication
Nodal explants (1.5 to 2 cm length, with a single bud) were inoculated for 5 weeks to Magenta vessels (77 mm × 77 mm × 97 mm; Sigma Chemical Co., St. Louis, MO, USA) containing 60 mL MS medium, 3% sucrose, and 0.8% agar and supplemented with various concentrations of BAP (0.1, 1.0, 2.0, 3.0 mg/L), TDZ, or zeatin (Sigma Chemical Co., St. Louis, MO, USA) (0.1, 0.5, 1.0, 1.5 mg/L). The cultures were then inoculated onto MS medium without plant growth regulator (PGRs) for 4 weeks and kept under the same conditions. There were four replicates in each treatment and each replicate was represented by a Magenta vessel containing 4 nodal explants. After seven weeks of incubation, observations on the number of axillary shoots per explant, length of the longest shoot per explant, shoot fresh weight, and shoot dry weight were recorded. Dry weight was measured after drying the shoots for 48 h at 60 °C.
3.4. The Effect of Sucrose Concentrations and Light Intensity on Axillary Shoot Multiplication
Nodal explants (4 per culture vessel) were inoculated to magenta vessels containing 60 mL MS medium with varied concentrations of sucrose (1.5, 3.0, 4.5, 6.0%). All media were supplemented with 2 mg/L BAP as the optimal cytokinin concentration and gelled with 0.8% agar. The cultures were incubated for 5 weeks at 25 ± 2 °C under a 16 h photoperiod provided by cool white fluorescent lights at (15, 35, 70 μmol m−2·s−1) PPFD, followed by 4 weeks culture onto MS medium without PGRs and kept under the same conditions. After nine weeks of incubation, observations on the number of axillary shoots, shoot length, shoot fresh weight, and shoot dry weight were recorded.
3.5. The Effect of Dark Incubation versus Standard Photoperiod Conditions on the Growth and Elongation of Axillary Shoots
Axillary shoot clumps (4 per culture vessel) were inoculated onto Magenta vessels containing 60 mL MS medium containing 3% sugar and supplemented with 1.5 mg/L activated charcoal and 3 mg/L silver nitrate for their elongation. The cultures were incubated for 4 weeks at 25 ± 2 °C under dark or a 16 h photoperiod provided by cool-white fluorescent lights at 35 μmol m−2·s−1 PPFD. After four weeks of incubation, observations on the shoot length, number of leaves, shoot fresh weight, and shoot dry weight were recorded.
3.6. The Effect of Auxins Concentrations on In Vitro Rooting of F. palmata Axillary Shoots
Elongated axillary shoots (4–5 cm) were individually separated and cultured onto MS medium containing 3% sucrose and supplemented with varied concentrations of IBA, NAA, and IAA (Sigma Chemical Co., St. Louis, MO, USA) at 0.1, 0.5, 1.0, 2.0 mg/L. All cultures were incubated for 7 weeks under standard growth conditions as described earlier. After seven weeks in culture, the percentage of rooted plants, the number of roots per plant, length of roots, and fresh and dry weights were recorded.
3.7. The Effect of Initial Dark Incubation versus Standard Photoperiod Conditions on In Vitro Rooting of F. palmata Axillary Shoots
Elongated axillary shoots were individually separated and cultured onto MS medium containing 3% sucrose and supplemented with activated charcoal (0 and 1.5 mg/L) and IAA at 1 mg/L as an optimal auxin concentration for their rooting. The cultures were incubated at 25 ± 2 °C for 4 weeks under the dark followed by 3 weeks of light incubation or continuously incubated for 7 weeks under light (a 16 h photoperiod provided by cool white fluorescent lights at 35 μmol m−2·s−1 PPFD). The percentage of rooted plants, the number of roots per plant, length of roots, and fresh and dry weights were recorded.
3.8. Acclimatization
In vitro plantlets were removed from the medium and washed gently with sterile distilled water and then transferred to plastic pots containing a sterile mixture of peatmoss and perlite (1:1; v/v). The pots were covered with a transparent polyethylene plastic film for 4 weeks and kept in a growth chamber at 25 ± 2 °C, 50–60% RH, and 100 µmol m−2 s −1 PPFD (16:8 h photoperiod under white fluorescent lamps). The cover was removed after 4 weeks. The plantlets were irrigated once a week with a nutrient solution containing ¼ strength of MS salts. Plantlet survival was evaluated 8 weeks after being transferred to the growth chamber. Finally, plantlets were cultured into pots containing a mixture of soil and peatmoss (1:1; v/v) and transferred to the greenhouse.
3.9. The Genetic Fidelity of F. palmata Micropropagated Plants
3.9.1. Plant Materials and Genomic DNA Extraction
Ten micropropagated plantlets, two months old after transplantation, were randomly selected to test their genetic fidelity with the mother plant of F. palmata. The mother plant’s young, fresh leaves and those of the clonal regenerants were cleaned with sterile distilled water and stored in liquid nitrogen until molecular analysis. The leaf samples were ground to powder with liquid nitrogen using a mortar and pestle. The DNA was extracted using hexadecyltrimethyl-ammonium bromide (CTAB) method [100]. Approximately 100 mg of leaves was ground using 700 μL of preheated (65 °C) extraction buffer (2% CTAB, 20 mM EDTA, 100 mM Tris-HCl, 1.4 M NaCl, 1% polyvinylpyrrolidone (PVP), 0.2% mercaptoethanol), transferred to a centrifuge tube (2 mL), and incubated for 30 min in a 65 °C water bath. The samples were inverted every 5 min and 400 μL of chloroform-isoamyl alcohol (24:1) was added and mixed by inverting the tubes carefully. The cells were centrifuged at 12,000× g for 10 min at 4 °C. The supernatant was collected into new tubes containing 400 μL of chloroform-isoamyl alcohol (24:1) and the cells were centrifuged at 12,000× g for 10 min at 4 °C again. The supernatant was collected into new tubes and mixed with 600 μL ice-cold isopropanol, and the DNA samples were collected by centrifuging at 12,000× g for 10 min at 4 °C. Then, they were washed with ice-cold absolute and 500 μL ethanol 70% and centrifuged at 12,000× g for 5 min at 4 °C. Finally, the samples were dried at room temperature and dissolved in 50–100 μL of TE buffer. The quality and concentration of DNA were determined using a spectrophotometer (Jenway, Stafford, UK), and stored at −20 °C until use.
3.9.2. Randomly Amplified Polymorphic DNA (RAPD) Analysis
RAPD was carried out using ten primers (Table 6). The amplification reactions were performed in a 20 µL volume containing about 3 µL genomic DNA (50 ng/µL), 2 µL random primer and 10 µL of 2× green master mix (Promega, Madison, WA, USA), and 5 µL ultrapure (Milli-Q) water in thermal cycler machine. The PCR temperature profile was adjusted to 5 min at 94 °C for initial denaturation followed by 40 cycles of 1 min at 94 °C, an annealing step of 1 min at 37 °C for all primers except Primer (OPA-10) it was 35 °C (Table 6), and an elongation step of 1 min at 72 °C. Finally, a 7 min extension at 72 °C was applied. The amplified products were electrophoretically separated on a 2.5% agarose gel using 1× TBE buffer and stained with ethidium bromide (0.5 µg/ mL) and a 100 pb DNA ladder was used as the standard marker. The stained gels were scanned and photographed under the UVP DigiDoc-lt gel documentation system (Analytik Jena, UVP, Upland, CA, USA). Data were recorded as discrete variables: 1 for the presence and 0 for the absence of a similar band. Only intense and reproducible bands appearing on the gel were scored.
Table 6.
List of RAPD, ISSR, and SCoT primers used for testing the genetic fidelity of F. palmata micropropagated plants.
3.9.3. Inter Simple Sequence Repeats (ISSR) Analysis
ISSR was carried out using ten primers (Table 6); PCR for ISSR amplification was performed in a volume of 20 μL with the same concentrations and volumes of reaction components as for RAPD analysis. The PCR program consisted of an initial denaturation for 4 min at 94 °C, followed by 40 cycles of 1 min denaturation at 94 °C, an annealing step at 40–55 °C for one minute shown in Table 2, and 2 min extension at 72 °C, with a final extension at 72 °C for 10 min. After that, the same steps were taken in RAPD for amplified products.
3.9.4. Start Codon Targeted (SCoT) Analysis
Ten primers were screened for SCoT amplification. PCR for SCoT amplification was performed in a volume of 20 μL with the same concentrations and volumes of reaction components as for RAPD analysis. The PCR program consisted of an initial denaturation for 5 min at 94 °C, followed by 38 cycles of 1 min denaturation at 94 °C, an annealing step for 0.45 s at 55–60 °C (Table 6), and a 72 °C elongation of 2 min. A concluding extension was tracked at 72 °C for 5 min. For amplified products, the same steps were taken as in RAPD. Each experiment was repeated three times to ensure accurate findings and to validate the repeatability of the RAPD, ISSR, and SCoT markers.
3.10. Grafting
Micropropagated F. palmata plants were utilized as rootstocks for grafting F. carica ‘Brown Turkey’. The rootstock plants were 2 years old (≈0.6 cm diameter) and were grown in large plastic pots (45 cm diameter) containing a mixture of sand and peatmoss (3:1; v/v). Top shoot scions were approximately 12–16 cm in length, and the leaves had been removed during their preparation. The leaves below the grafting point were kept to maintain the photosynthetic activity of the plants. Splice grafting was performed (Figure 5a–c) at a height of 30–50 cm from the root of the rootstock. After the grafting, the cambium between the rootstock and the scion was connected using an appropriate grafting tape (Buddy Tape), and the grafts were covered with clear plastic bags to maintain a high humidity and avoid tissue dehydration. Twelve weeks after grafting, the final percentages of graft survival were evaluated from nine grafts.
3.11. Experimental Design and Data Analysis
The experiments were conducted in a completely randomized design. Each treatment contained five replicates and each replicate was represented by a magenta vessel containing 4 explants. Data were recorded using twelve randomly selected explants. The data were analyzed using analysis of variance (ANOVA), Tukey’s multiple range test, and Student’s unpaired t-test. The mean values were compared at p ≤ 0.05–0.001 in SAS (version 9.4; SAS Institute, Inc., Cary, NC, USA).
4. Conclusions
The highest axillary shoot multiplication of F. palmata was obtained on a medium containing 2 mg/L BAP. Among different cytokinins tested, BAP proved more effective than TDZ and zeatin. Dark incubation proved to be useful for shoot elongation and producing 100% in vitro rooting of shoots cultured onto a medium containing 1 mg/L IAA and 1.5 g/L activated charcoal. RAPD, ISSR, and SCoT molecular markers revealed a high degree of genetic fidelity (95.9%) of micropropagated F. palmata clones. Additionally, these plants proved compatible rootstock for F. carica ‘Brown Turkey’. Therefore, the established micropropagation protocol in this study can successfully be employed for commercial applications.
Author Contributions
Conceptualization, A.A.A.-A. and Y.H.D.; methodology, A.A.A.-A., A.-H.G. and Y.H.D.; software, A.A.A.-A., A.-H.G. and Y.H.D.; validation, A.A.-D. and R.S.A.-O.; formal analysis, A.A.A.-A., A.-H.G. and Y.H.D.; investigation, A.A.A.-A. and Y.H.D.; resources, A.A.-D. and Y.H.D.; data curation, A.A.A.-A. and Y.H.D.; writing—original draft preparation, A.A.A.-A. and Y.H.D.; writing—review and editing, A.A.A.-A., Y.H.D., A.A.-D. and R.S.A.-O.; visualization, A.A.-D. and R.S.A.-O.; supervision, Y.H.D., A.-H.G. and R.S.A.-O.; project administration, Y.H.D.; funding acquisition, Y.H.D. All authors have read and agreed to the published version of the manuscript.
Funding
Researchers Supporting Project number (RSP-2024R375), King Saud University, Riyadh, Saudi Arabia.
Data Availability Statement
All data are presented in the article.
Acknowledgments
The authors acknowledge the Researchers Supporting Project number (RSP-2024R375), King Saud University, Riyadh, Saudi Arabia.
Conflicts of Interest
The authors declare no conflicts of interest.
References
- Migahed, A.M. Flora of Saudi Arabia, 4th ed.; King Saud University Press: Riyadh, Saudi Arabia, 1996. [Google Scholar]
- Aljane, F.; Nahdi, S. Propagation of some local fig (Ficus carica L.) cultivars by hardwood cuttings under the field conditions in Tunisia. Int. Sch. Res. Not. 2014, 2014, 809450. [Google Scholar] [CrossRef] [PubMed]
- Mustafa, N.; Taha, R.A. Influence of plant growth regulators and subculturing on in vitro multiplication of some fig (Ficus carica) cultivars. J. Appl. Sci. Res. 2012, 8, 4038–4044. [Google Scholar]
- Kamimori, M.; Isobe, T.; Yakushiji, H. Evaluation of ceratocystis canker resistance, vegetative growth, and fruit production of ‘Masui Dauphine’fig (Ficus carica) grafted on ‘Reikodai 1 Go’BC1 of an interspecific hybridization of F. carica and F. erecta. Hortic. J. 2022, 91, 337–344. [Google Scholar] [CrossRef]
- Bhatt, V.; Purohit, V.; Negi, V. Multipurpose tree species of Western Himalaya with an agroforestry perspective for rural needs. Am. J. Sci. 2010, 6, 73–80. [Google Scholar]
- Khan, K.Y.; Khan, M.A.; Ahmad, M.; Shah, G.M.; Zafar, M.; Niamat, R.; Munir, M.; Abbasi, A.M.; Fazal, H.; Mazari, P. Foliar epidermal anatomy of some ethnobotanically important species of genus Ficus Linn. J. Med. Plant Res. 2011, 5, 1627–1638. [Google Scholar]
- Sarla Saklani, S.S.; Subhash Chandra, S.C. Phytochemical screening of garhwal himalaya wild edible fruit Ficus palmata. Int. J. PharmTech Res. 2012, 4, 1185–1191. [Google Scholar]
- Sabeen, M.; Ahmad, S.S. Exploring the folk medicinal flora of Abbotabad city, Pakistan. Ethnobot. Leafl. 2009, 13, 810–833. [Google Scholar]
- Alqasoumi, S.I.; Basudan, O.A.; Al-Rehaily, A.J.; Abdel-Kader, M.S. Phytochemical and pharmacological study of Ficus palmata growing in Saudi Arabia. Saudi Pharm. J. 2014, 22, 460–471. [Google Scholar] [CrossRef]
- Negi, A.; Dobhal, K.; Ghildiyal, P. Antioxidant potential and effect of extraction solvent on total phenol content, flavonoids content and tannin content of Ficus palmata Forssk. Int. J. Pharm. Sci. Rev. Res. 2018, 49, 19–24. [Google Scholar]
- Aati, H.Y.; Anwar, M.; Al-Qahtani, J.; Al-Taweel, A.; Khan, K.U.R.; Aati, S.; Usman, F.; Ghalloo, B.A.; Asif, H.M.; Shirazi, J.H. Phytochemical profiling, in vitro biological activities, and in-silico studies of Ficus vasta Forssk.: An unexplored plant. Antibiotics 2022, 11, 1155. [Google Scholar] [CrossRef]
- Sharma, A.; Nagraik, R.; Sharma, S.; Sharma, G.; Pandey, S.; Azizov, S.; Chauhan, P.K.; Kumar, D. Green synthesis of ZnO nanoparticles using Ficus palmata: Antioxidant, antibacterial and antidiabetic studies. Results Chem. 2022, 4, 100509. [Google Scholar] [CrossRef]
- Alouffi, S.; Maarfi, F.; Khan, M.Y.; Khan, S.; Khan, M.S.; Ahmad, S. Antiglycation and chemopreventive effects of leaf extracts of Ficus palmata Forssk. found in the Hail region of Saudi Arabia. Biotechnol. Genet. Eng. Rev. 2023. [Google Scholar] [CrossRef]
- Al-Qahtani, J.; Abbasi, A.; Aati, H.Y.; Al-Taweel, A.; Al-Abdali, A.; Aati, S.; Yanbawi, A.N.; Khan, M.A.; Ghalloo, B.A.; Anwar, M. Phytochemical, antimicrobial, antidiabetic, thrombolytic, anticancer activities, and in silico studies of Ficus palmata Forssk. Arab. J. Chem. 2023, 16, 104455. [Google Scholar] [CrossRef]
- Hosomi, A. Variation in graft compatibility of wild Ficus species as rootstock for common fig trees (Ficus carica). Acta Hortic. 2015, 1173, 199–206. [Google Scholar] [CrossRef]
- Kim, K.M.; Kim, M.Y.; Yun, P.Y.; Chandrasekhar, T.; Lee, H.Y.; Song, P.S. Production of multiple shoots and plant regeneration from leaf segments of fig tree (Ficus carica L.). J. Plant Biol. 2007, 50, 440–446. [Google Scholar] [CrossRef]
- Soliman, H.I.; Gabr, M.; Abdallah, N.A. Efficient transformation and regeneration of fig (Ficus carica L.) via somatic embryogenesis. GM Crop. 2010, 1, 40–51. [Google Scholar] [CrossRef] [PubMed]
- Boliani, A.C.; Ferreira, A.F.A.; Monteiro, L.N.H.; da Silva, M.S.C.; Rombola, A.D. Advances in propagation of Ficus carica L. Rev. Bras. Frutic. 2019, 41, e026. [Google Scholar] [CrossRef]
- Ling, W.T.; Tan, L.V.; Khor, S.P.; Sriskanda, D.; Subramaniam, S.; Chew, B.L. Rapid in vitro propagation of fig (Ficus carica L.) ‘Violette de Solliès’ supported by molecular and microscopy analyses. Horticulturae 2022, 8, 1025. [Google Scholar] [CrossRef]
- El-Tarras, A.E.; Attia, A.O.; Wad, N.S.; Dessoky, E.; Mohamed, A. Genetic characterization and in vitro propagation of three medicinal plants collected from high altitude sites. Int. J. Biosci. 2015, 6, 37–46. [Google Scholar]
- Lai, C.C.; Yeh, S.D.; Yang, J.S. Enhancement of papaya axillary shoot proliferation in vitro by controlling the available ethylene. Bot. Bull. Acad. Sin. 2000, 41, 203–212. [Google Scholar]
- Sahraroo, A.; Zarei, A.; Babalar, M. In vitro regeneration of the isolated shoot apical meristem of two commercial fig cultivars ‘Sabz’and ‘Jaami-e-Kan’. Biocatal. Agric. Biotechnol. 2019, 17, 743–749. [Google Scholar] [CrossRef]
- Shatnawi, M.; Shibli, R.; Shahrour, W.; Al-Qudah, T.; Abu-Zahra, T. Micropropagation and conservation of fig (Ficus carica L.). J. Adv. Agric. 2019, 10, 1669–1679. [Google Scholar] [CrossRef]
- Parab, A.R.; Chew, B.L.; Yeow, L.C.; Subramaniam, S. Organogenesis on apical buds in common fig (Ficus carica) var. Black Jack. Electron. J. Biotechnol. 2021, 54, 69–76. [Google Scholar] [CrossRef]
- Kunz, S.; Pesquet, E.; Kleczkowski, L.A. Functional dissection of sugar signals affecting gene expression in Arabidopsis thaliana. PLoS ONE 2014, 9, e100312. [Google Scholar] [CrossRef] [PubMed]
- Elazab, D.S.; Shaaban, M.M. The impact of sucrose concentration on root growth and development in fig (Ficus carica L.) in vitro. Assiut J. Agric. Sci. 2015, 46, 67–75. [Google Scholar]
- Qrunfleh, I.M.; Shatnawi, M.M.; Al-Ajlouni, Z.I. Effect of different concentrations of carbon source, salinity and gelling agent on in vitro growth of fig (Ficus carica L.). Afr. J. Biotechnol. 2013, 12, 936–940. [Google Scholar]
- Chen, Y.M.; Huang, J.Z.; Hou, T.W.; Pan, I.C. Effects of light intensity and plant growth regulators on callus proliferation and shoot regeneration in the ornamental succulent Haworthia. Bot. Stud. 2019, 60, 10. [Google Scholar] [CrossRef] [PubMed]
- Herman, D.E.; Hess, C.E. The effect of etiolation upon the rooting of cuttings. Proc. Int. Plant Prop. Soc. 1963, 13, 42–62. [Google Scholar]
- Sarmast, M.K.; Salehi, H.; Ramezani, A.; Abolimoghadam, A.A.; Niazi, A.; Khosh-Khui, M. RAPD fingerprint to appraise the genetic fidelity of in vitro propagated Araucaria excelsa R. Br. var. glauca plantlets. Mol. Biotechnol. 2012, 50, 181–188. [Google Scholar] [CrossRef]
- Rani, V.; Raina, S. Genetic fidelity of organized meristem-derived micropropagated plants: A critical reappraisal. In Vitro Cell. Dev. Biol. Plant 2000, 36, 319–330. [Google Scholar] [CrossRef]
- Bhojwani, S.S.; Dantu, P.K. Plant Tissue Culture: An Introductory Text; Springer: New Delhi, India, 2013; Volume 318. [Google Scholar]
- Larkin, P.J.; Scowcroft, W.R. Somaclonal variation—A novel source of variability from cell cultures for plant improvement. Theor. Appl. Genet. 1981, 60, 197–214. [Google Scholar] [CrossRef] [PubMed]
- Dessoky, E.D.S.; Attia, A.O.; Mohamed, E.A.A. An efficient protocol for in vitro propagation of fig (Ficus carica sp.) and evaluation of genetic fidelity using RAPD and ISSR markers. J. Appl. Biol. Biotechnol. 2016, 4, 057–063. [Google Scholar]
- Rai, M.K.; Phulwaria, M.; Harish; Gupta, A.K.; Shekhawat, N.; Jaiswal, U. Genetic homogeneity of guava plants derived from somatic embryogenesis using SSR and ISSR markers. Plant Cell Tiss. Org. Cult. 2012, 111, 259–264. [Google Scholar] [CrossRef]
- Gupta, A.K.; Harish; Rai, M.K.; Phulwaria, M.; Agarwal, T.; Shekhawat, N. In vitro propagation, encapsulation, and genetic fidelity analysis of Terminalia arjuna: A cardioprotective medicinal tree. Appl. Biochem. Biotechnol. 2014, 173, 1481–1494. [Google Scholar] [CrossRef] [PubMed]
- Thakur, J.; Dwivedi, M.D.; Sourabh, P.; Uniyal, P.L.; Pandey, A.K. Genetic homogeneity revealed using SCoT, ISSR and RAPD markers in micropropagated Pittosporum eriocarpum Royle-an endemic and endangered medicinal plant. PLoS ONE 2016, 11, e0159050. [Google Scholar] [CrossRef] [PubMed]
- Rohela, G.K.; Jogam, P.; Bylla, P.; Reuben, C. Indirect regeneration and assessment of genetic fidelity of acclimated plantlets by SCoT, ISSR, and RAPD markers in Rauwolfia tetraphylla L.: An endangered medicinal plant. Biomed Res. Int. 2019, 2019, 3698742. [Google Scholar] [CrossRef]
- Chirumamilla, P.; Gopu, C.; Jogam, P.; Taduri, S. Highly efficient rapid micropropagation and assessment of genetic fidelity of regenerants by ISSR and SCoT markers of Solanum khasianum Clarke. Plant Cell Tiss. Org. Cult. 2021, 144, 397–407. [Google Scholar] [CrossRef]
- Abdolinejad, R.; Shekafandeh, A.; Jowkar, A.; Gharaghani, A.; Alemzadeh, A. Indirect regeneration of Ficus carica by the TCL technique and genetic fidelity evaluation of the regenerated plants using flow cytometry and ISSR. Plant Cell Tiss. Org. Cult. 2020, 143, 131–144. [Google Scholar] [CrossRef]
- Prabhuling, G.; Huchesh, H. Direct in vitro regeneration in fig (Ficus carcia L.) cv. Brown Turkey. Res. J. Biotechnol. 2018, 13, 77–83. [Google Scholar]
- Vanmathi, V.; Aneesa Rani, M.; Vidhya, D.; Hemaprabha, K.; Indu Rani, C. Establishment of in vitro plant regeneration protocol for fig (Ficus carica L.). Biol Forum. 2022, 14, 302–306. [Google Scholar]
- Zanello, C.A.; Duarte, W.N.; Gomes, D.M.; Cardoso, J.C. Micropropagation from inflorescence nodal segments of Phalaenopsis and acclimatization of plantlets using different substrates. Horticulturae 2022, 8, 340. [Google Scholar] [CrossRef]
- Le Bris, M. Hormones in growth and development. In Reference Module in Life Sciences; Elsevier: Amsterdam, The Netherlands, 2017. [Google Scholar]
- Ling, W.T.; Liew, F.C.; Lim, W.Y.; Subramaniam, S.; Chew, B.L. Shoot induction from axillary shoot tip explants of fig (Ficus carica) cv. Japanese BTM 6. Trop. Life. Sci. Res. 2018, 29, 165. [Google Scholar]
- Sáez, P.L.; Bravo, L.A.; Sánchez-Olate, M.; Bravo, P.B.; Ríos, D.G. Effect of photon flux density and exogenous sucrose on the photosynthetic performance during in vitro culture of Castanea sativa. Am. J. Plant Sci 2016, 7, 2087–2105. [Google Scholar] [CrossRef]
- Alawaadh, A.A.; Dewir, Y.H.; Alwihibi, M.S.; Aldubai, A.A.; El-Hendawy, S.; Naidoo, Y. Micropropagation of lacy tree philodendron (Philodendron bipinnatifidum Schott ex Endl.). HortScience 2020, 55, 294–299. [Google Scholar] [CrossRef]
- De Riek, J.; Demeester, J.; Debergh, P.C. Carbon metabolism in micropropagation systems: The importance of photosynthesis in heterotrophic systems. Meded. Van De Fac. Landbouwwet. Rijksuniv. Gent 1991, 56, 1437–1444. [Google Scholar]
- Kadota, M.; Imizu, K.; Hirano, T. Double-phase in vitro culture using sorbitol increases shoot proliferation and reduces hyperhydricity in Japanese pear. Sci. Hortic. 2001, 89, 207–215. [Google Scholar] [CrossRef]
- Jain, N.; Babbar, S. Effect of carbon source on the shoot proliferation potential of epicotyl explants of Syzygium cuminii. Biol. Plant. 2003, 47, 133–136. [Google Scholar] [CrossRef]
- Hilae, A.; Te-chato, S. Effects of carbon sources and strength of MS medium on germination of somatic embryos of oil palm (Elaeis quineensis Jacq.). Songklanakarin J. Sci. Technol. 2005, 27, 629–635. [Google Scholar]
- Yaseen, M.; Ahmed, T.; Abbasi, N.A.; Hafiz, I.A. In vitro shoot proliferation competence of apple rootstocks M. 9 and M. 26 on different carbon sources. Pak. J. Bot. 2009, 41, 1781–1795. [Google Scholar]
- Hazarika, B. Morpho-physiological disorders in in vitro culture of plants. Sci. Hortic. 2006, 108, 105–120. [Google Scholar] [CrossRef]
- Cao, X.; Fordham, I.; Douglas, L.; Hammerschlag, F. Sucrose level influences micropropagation and gene delivery into leaves from in vitro propagated high bush blueberry shoots. Plant Cell Tiss. Org. Cult 2003, 75, 255–259. [Google Scholar] [CrossRef]
- Wotavová-Novotná, K.; Vejsadová, H.; Kindlmann, P. Effects of sugars and growth regulators on in vitro growth of Dactylorhiza species. Biol. Plant. 2007, 51, 198–200. [Google Scholar] [CrossRef]
- Reed, J.W.; Wu, M.; Reeves, P.H.; Hodgens, C.; Yadav, V.; Hayes, S.; Pierik, R. Three auxin response factors promote hypocotyl elongation. Plant Physiol. 2018, 178, 864–875. [Google Scholar] [CrossRef]
- Suzuki, R.M.; Kerbauy, G.B.; Pescador, R.; Purgatto, E.; Ceccantini, G.C.; Ferreira, W.d.M. Dark-induced hormone changes coincide with the resumption of light-inhibited shoot growth in Catasetum fimbriatum (Orchidaceae). J. Plant Physiol. 2010, 167, 375–381. [Google Scholar] [CrossRef] [PubMed]
- Suzuki, R.M.; Kerbauy, G.B.; Zaffari, G.R. Endogenous hormonal levels and growth of dark-incubated shoots of Catasetum fimbriatum. J. Plant Physiol. 2004, 161, 929–935. [Google Scholar] [CrossRef] [PubMed]
- Von Arnim, A.; Deng, X.W. Light control of seedling development. Annu. Rev. Plant Physiol. Plant Mol. Biol. 1996, 47, 215–243. [Google Scholar] [CrossRef] [PubMed]
- Dewir, Y.H.; Murthy, H.N.; Ammar, M.H.; Alghamdi, S.S.; Al-Suhaibani, N.A.; Alsadon, A.A.; Paek, K.Y. In vitro rooting of leguminous plants: Difficulties, alternatives, and strategies for improvement. Hortic. Environ. Biote. 2016, 57, 311–322. [Google Scholar] [CrossRef]
- De Klerk, G.J.; Brugge, J.T.; Marinova, S. Effectiveness of indoleacetic acid, indolebutyric acid and naphthaleneacetic acid during adventitious root formation in vitro in Malus ‘Jork 9’. Plant Cell Tiss. Org. Cult. 1997, 49, 39–44. [Google Scholar] [CrossRef]
- Ling, A.K.; Kok, K.M.; Hussein, S.; Ong, S.L. Effects of plant growth regulators on adventitious roots induction from different explants of Orthosiphon stamineus. Am. Eurasian J. Sustain. Agric. 2009, 3, 493–501. [Google Scholar]
- Sen, D.; Patel, R. In vitro mass multiplication of fig (Ficus carica L.) through nodal segment explants. J. Cell Tissue Res. 2018, 18, 6435–6440. [Google Scholar]
- Shaik, S.; Dewir, Y.; Singh, N.; Nicholas, A. Micropropagation and bioreactor studies of the medicinally important plant Lessertia (Sutherlandia) frutescens L. S. Afr. J. Bot. 2010, 76, 180–186. [Google Scholar] [CrossRef]
- Dewir, Y.H.; Singh, N.; Mngomezulu, S.; Ali, M.K.O. Micropropagation and detection of important triterpenes in in vitro and field grown plants of Syzygium cordatum. J. Med. Plant Res. 2011, 5, 3078–3083. [Google Scholar]
- Dewir, Y.H.; Aldubai, A.A.; El-Hendawy, S.; Alsadon, A.A.; Seliem, M.K.; Naidoo, Y. Micropropagation of buttonwood tree (Conocarpus erectus) through axillary shoot proliferation. Hortic. Sci. 2018, 53, 687–691. [Google Scholar] [CrossRef]
- Epstein, E.; Ludwig-Müller, J. Indole-3-butyric acid in plants: Occurrence, synthesis, metabolism and transport. Physiol. Plant. 1993, 88, 382–389. [Google Scholar] [CrossRef]
- De Klerk, G.-J.; Keppel, M.; Ter Brugge, J.; Meekes, H. Timing of the phases in adventitious root formation in apple microcuttings. J. Exp. Bot. 1995, 46, 965–972. [Google Scholar] [CrossRef]
- Rahman, M.; Rajora, O. Microsatellite DNA somaclonal variation in micropropagated trembling aspen (Populus tremuloides). Plant Cell Rep. 2001, 20, 531–536. [Google Scholar] [CrossRef]
- Epstein, E.; Sagee, O.; Zelcer, A. Uptake and metabolism of indole-3-butyric acid and indole-3-acetic acid by petunia cell suspension culture. Plant Growth Regul. 1993, 13, 31–40. [Google Scholar] [CrossRef]
- Hausman, J. Changes in peroxidase activity, auxin level and ethylene production during root formation by poplar shoots raised in vitro. Plant Growth Regul. 1993, 13, 263–268. [Google Scholar] [CrossRef]
- Dąbski, M.; Parzymies, M. The effect of auxins: IAA, IBA and NAA on rooting of Hebe buchananii (Hook) and Hebe canterburiensis (JB Armstr.) ‘Prostrata’ in vitro. Acta Sci. Pol. Hortorum Cultus. 2007, 6, 9–14. [Google Scholar]
- Qahtan, A.A.; Faisal, M.; Alatar, A.A.; Abdel-Salam, E.M. High-frequency plant regeneration, genetic uniformity, and flow cytometric analysis of regenerants in Ruta chalepensis L. Plants 2021, 10, 2820. [Google Scholar] [CrossRef]
- Khalil, H.A.M.; Khalil, M.; Arisha, H.; El-Denary, M. Effect of cultivars, auxins and activated charcoal on in vitro roots formation of strawberry plantlets. Zagazig J. Agric. Res. 2019, 46, 609–620. [Google Scholar] [CrossRef]
- Oakes, A.D.; Powell, W.A.; Maynard, C.A. Doubling acclimatization survival of micropropagated American chestnuts with darkness and shortened rooting induction time. J. Environ. Hortic. 2013, 31, 77–83. [Google Scholar] [CrossRef]
- Druart, P.; Kevers, C.; Boxus, P.; Gaspar, T. In vitro promotion of root formation by apple shoots through darkness effect on endogenous phenols and peroxidases. Z. Pflanzenphysiol. 1982, 108, 429–436. [Google Scholar] [CrossRef]
- Klopotek, Y.; Franken, P.; Klaering, H.P.; Fischer, K.; Hause, B.; Hajirezaei, M.R.; Druege, U. A higher sink competitiveness of the rooting zone and invertases are involved in dark stimulation of adventitious root formation in Petunia hybrida cuttings. Plant Sci. 2016, 243, 10–22. [Google Scholar] [CrossRef] [PubMed]
- Yang, H.; Klopotek, Y.; Hajirezaei, M.R.; Zerche, S.; Franken, P.; Druege, U. Role of auxin homeostasis and response in nitrogen limitation and dark stimulation of adventitious root formation in petunia cuttings. Ann. Bot. 2019, 124, 1053–1066. [Google Scholar] [CrossRef] [PubMed]
- Krishna, H.; Alizadeh, M.; Singh, D.; Singh, U.; Chauhan, N.; Eftekhari, M.; Sadh, R.K. Somaclonal variations and their applications in horticultural crops improvement. 3 Biotech 2016, 6, 54. [Google Scholar] [CrossRef] [PubMed]
- Ahmed, M.R.; Anis, M.; Alatar, A.A.; Faisal, M. In vitro clonal propagation and evaluation of genetic fidelity using RAPD and ISSR marker in micropropagated plants of Cassia alata L.: A potential medicinal plant. Agrofor. Syst. 2017, 91, 637–647. [Google Scholar]
- Sharma, U.; Rai, M.K.; Shekhawat, N.; Kataria, V. Genetic homogeneity revealed in micropropagated Bauhinia racemosa Lam. using gene targeted markers CBDP and SCoT. Physiol. Mol. Biol. 2019, 25, 581–588. [Google Scholar] [CrossRef] [PubMed]
- Lal, D.; Singh, N. Mass multiplication of Celastrus paniculatus Willd: An important medicinal plant under in vitro conditions via nodal segments. Int. J. Biodivers. Conserv. 2010, 2, 140–145. [Google Scholar]
- Premvaranon, P.; Vearasilp, S.; Thanapornpoonpong, S.N.; Karladee, D.; Gorinstein, S. In vitro studies to produce double haploid in Indica hybrid rice. Biologia 2011, 66, 1074–1081. [Google Scholar] [CrossRef]
- Bairu, M.W.; Aremu, A.O.; Van Staden, J. Somaclonal variation in plants: Causes and detection methods. Plant Growth Regul. 2011, 63, 147–173. [Google Scholar] [CrossRef]
- Lakshmanan, V.; Reddampalli Venkataramareddy, S.; Neelwarne, B. Molecular analysis of genetic stability in long-term micropropagated shoots of banana using RAPD and ISSR markers. Electron. J. Biotechnol. 2007, 10, 106–113. [Google Scholar] [CrossRef]
- Palombi, M.; Damiano, C. Comparison between RAPD and SSR molecular markers in detecting genetic variation in kiwifruit (Actinidia deliciosa A. Chev). Plant Cell Rep. 2002, 20, 1061–1066. [Google Scholar] [CrossRef]
- Moniruzzaman, M.; Yaakob, Z.; Anuar, N. Factors affecting in vitro regeneration of Ficus carica L. and genetic fidelity studies using molecular marker. J. Plan Biochem. Biotechnol. 2021, 30, 304–316. [Google Scholar] [CrossRef]
- Alwahibi, M.S.; Alawaadh, A.A.; Dewir, Y.H.; Soliman, D.A.; Seliem, M.K. Assessment of genetic fidelity of lacy tree philodendron (Philodendron bipinnatifidum Schott ex Endl.) micro propagated plants. Revis Bionatura 2022, 7, 10. [Google Scholar]
- Ahmad, N.; Fatima, N.; Faisal, M.; Alatar, A.A.; Pathirana, R. Photosynthetic parameters and oxidative stress during acclimation of crepe-myrtle (Lagerstroemia speciosa (L.) Pers.) in a meta-topolin-based micropropagation system and genetic fidelity of regenerated plants. Plants 2022, 11, 1163. [Google Scholar] [CrossRef] [PubMed]
- EL-Banna, A.N.; Khatab, I.A. Assessing genetic diversity of some potato (Solanum tuberosum L.) cultivars by protein and RAPD markers. Egypt. J. Genet. Cytol. 2013, 42, 89–101. [Google Scholar] [CrossRef]
- Salama, D.M.; Osman, S.A.; Abd EL-Aziz, M.; Abd ELwahed, M.S.; Shaaban, E. Effect of zinc oxide nanoparticles on the growth, genomic DNA, production and the quality of common dry bean (Phaseolus vulgaris). Biocatal. Agric. Biotechnol. 2019, 18, 101083. [Google Scholar] [CrossRef]
- David, A.; Madappa, M.; Bopaiah, A. RAPD Analysis of rapidly multiplied in vitro plantlets of Anthurium andreanum bicolour var agnihotri. Biol. Environ. Sci. 2015, 1, 10–14. [Google Scholar]
- Collard, B.C.; Mackill, D.J. Start codon targeted (SCoT) polymorphism: A simple, novel DNA marker technique for generating gene-targeted markers in plants. Plant Mol. Biol. Rep. 2009, 27, 86–93. [Google Scholar] [CrossRef]
- Gorji, A.M.; Poczai, P.; Polgar, Z.; Taller, J. Efficiency of arbitrarily amplified dominant markers (SCoT, ISSR and RAPD) for diagnostic fingerprinting in tetraploid potato. Am. J. Potato Res. 2011, 88, 226–237. [Google Scholar] [CrossRef]
- Cabo, S.; Ferreira, L.; Carvalho, A.; Martins-Lopes, P.; Martín, A.; Lima-Brito, J.E. Potential of Start codon targeted (SCoT) markers for DNA fingerprinting of newly synthesized tritordeums and their respective parents. J. Appl. Genet. 2014, 55, 307–312. [Google Scholar] [CrossRef]
- Fang-Yong, C.; Ji-Hong, L. Germplasm genetic diversity of Myrica rubra in Zhejiang Province studied using inter-primer binding site and start codon-targeted polymorphism markers. Sci. Hortic. 2014, 170, 169–175. [Google Scholar] [CrossRef]
- Rathore, N.S.; Rai, M.K.; Phulwaria, M.; Rathore, N.; Shekhawat, N. Genetic stability in micropropagated Cleome gynandra revealed by SCoT analysis. Acta Physiol. Plant. 2014, 36, 555–559. [Google Scholar] [CrossRef]
- Parab, A.R.; Lynn, C.B.; Subramaniam, S. Assessment of genetic stability on in vitro and ex vitro plants of Ficus carica var. black jack using ISSR and DAMD markers. Mol. Biol. Rep. 2021, 48, 7223–7231. [Google Scholar] [CrossRef] [PubMed]
- Murashige, T.; Skoog, F. A revised medium for rapid growth and bioassay with tobacco tissue culture. Physiol. Plant 1962, 15, 473–495. [Google Scholar] [CrossRef]
- Doyle, J.J.; Doyle, J.L. Isolation of plant DNA from fresh tissue. Focus 1990, 12, 13–25. [Google Scholar]
Disclaimer/Publisher’s Note: The statements, opinions and data contained in all publications are solely those of the individual author(s) and contributor(s) and not of MDPI and/or the editor(s). MDPI and/or the editor(s) disclaim responsibility for any injury to people or property resulting from any ideas, methods, instructions or products referred to in the content. |
© 2024 by the authors. Licensee MDPI, Basel, Switzerland. This article is an open access article distributed under the terms and conditions of the Creative Commons Attribution (CC BY) license (https://creativecommons.org/licenses/by/4.0/).





