Micropropagation and Genetic Fidelity of Fegra Fig (Ficus palmata Forssk.) and Grafting Compatibility of the Regenerated Plants with Ficus carica
Abstract
1. Introduction
2. Results and Discussion
2.1. Surface Disinfection and Culture Initiation of F. palmata
2.2. Effect of Cytokinin Concentrations on Axillary Shoot Multiplication
2.3. Effect of Light Intensity and Sucrose Concentration on Axillary Shoot Multiplication
2.4. The Effect of Dark Incubation versus Standard Photoperiod Conditions on the Growth and Elongation of Axillary Shoots
2.5. Effect of Auxins Concentrations on In Vitro Rooting of F. palmata Axillary Shoots
2.6. Effect of Initial Dark Incubation versus Standard Photoperiod Conditions on In Vitro Rooting of F. palmata Microshoots
2.7. Acclimatization
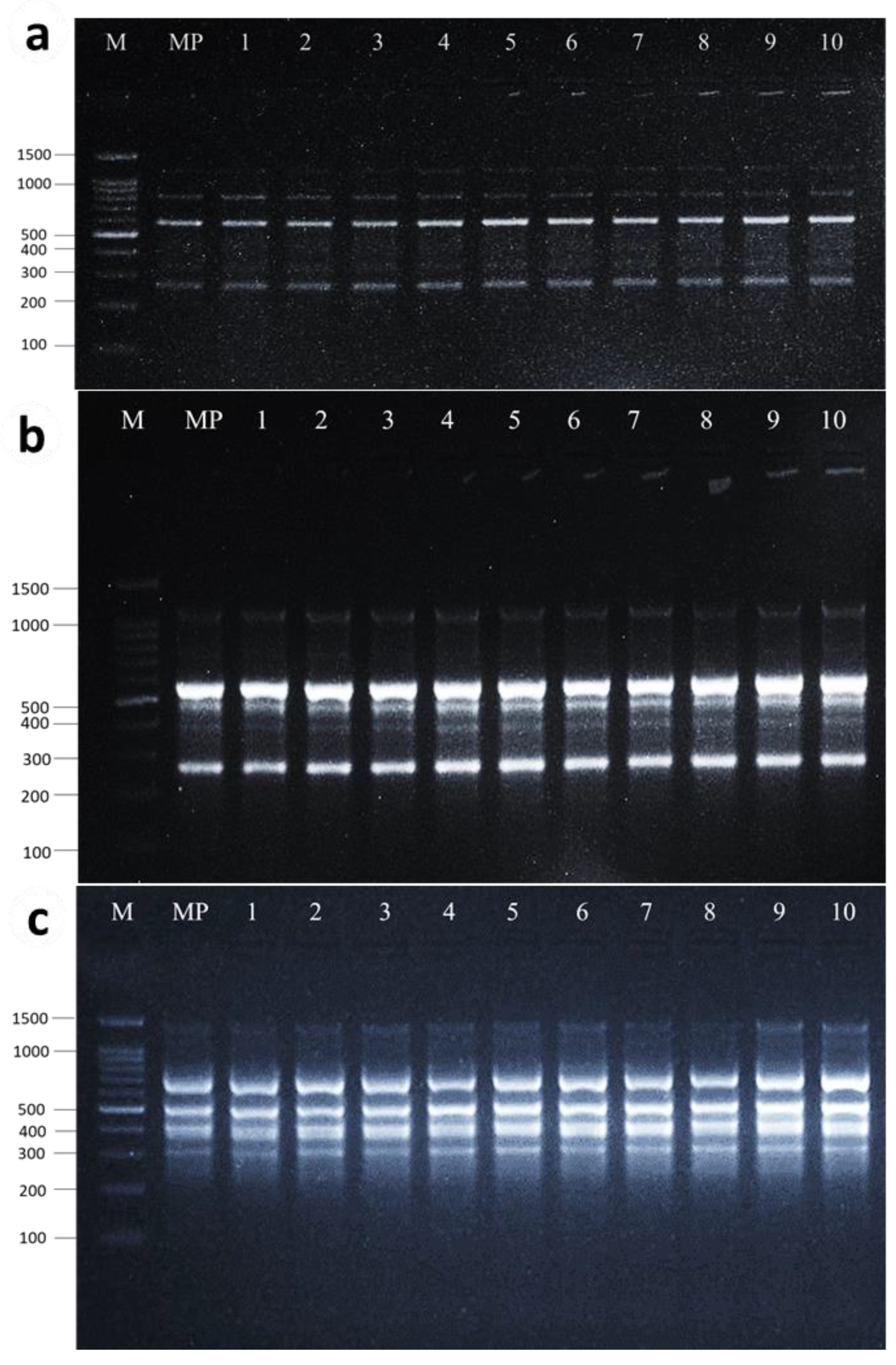
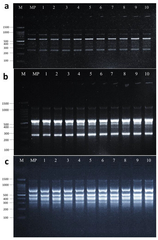
2.8. Assessment of Genetic Fidelity Using RAPD, ISSR, and SCoT Molecular Markers
2.9. Grafting Compatibility of Micropropagated F. palmata Plantlets as a Rootstock for F. carica ‘Brown Turkey’
3. Materials and Methods
3.1. Plant Material, Surface Sterilization, and Establishment of Aseptic Culture
3.2. Standard Medium Preparation and Growth Conditions
3.3. The Effect of Cytokinin Concentrations on Axillary Shoot Multiplication
3.4. The Effect of Sucrose Concentrations and Light Intensity on Axillary Shoot Multiplication
3.5. The Effect of Dark Incubation versus Standard Photoperiod Conditions on the Growth and Elongation of Axillary Shoots
3.6. The Effect of Auxins Concentrations on In Vitro Rooting of F. palmata Axillary Shoots
3.7. The Effect of Initial Dark Incubation versus Standard Photoperiod Conditions on In Vitro Rooting of F. palmata Axillary Shoots
3.8. Acclimatization
3.9. The Genetic Fidelity of F. palmata Micropropagated Plants
3.9.1. Plant Materials and Genomic DNA Extraction
3.9.2. Randomly Amplified Polymorphic DNA (RAPD) Analysis
3.9.3. Inter Simple Sequence Repeats (ISSR) Analysis
3.9.4. Start Codon Targeted (SCoT) Analysis
3.10. Grafting
3.11. Experimental Design and Data Analysis
4. Conclusions
Author Contributions
Funding
Data Availability Statement
Acknowledgments
Conflicts of Interest
References
- Migahed, A.M. Flora of Saudi Arabia, 4th ed.; King Saud University Press: Riyadh, Saudi Arabia, 1996. [Google Scholar]
- Aljane, F.; Nahdi, S. Propagation of some local fig (Ficus carica L.) cultivars by hardwood cuttings under the field conditions in Tunisia. Int. Sch. Res. Not. 2014, 2014, 809450. [Google Scholar] [CrossRef] [PubMed][Green Version]
- Mustafa, N.; Taha, R.A. Influence of plant growth regulators and subculturing on in vitro multiplication of some fig (Ficus carica) cultivars. J. Appl. Sci. Res. 2012, 8, 4038–4044. [Google Scholar]
- Kamimori, M.; Isobe, T.; Yakushiji, H. Evaluation of ceratocystis canker resistance, vegetative growth, and fruit production of ‘Masui Dauphine’fig (Ficus carica) grafted on ‘Reikodai 1 Go’BC1 of an interspecific hybridization of F. carica and F. erecta. Hortic. J. 2022, 91, 337–344. [Google Scholar] [CrossRef]
- Bhatt, V.; Purohit, V.; Negi, V. Multipurpose tree species of Western Himalaya with an agroforestry perspective for rural needs. Am. J. Sci. 2010, 6, 73–80. [Google Scholar]
- Khan, K.Y.; Khan, M.A.; Ahmad, M.; Shah, G.M.; Zafar, M.; Niamat, R.; Munir, M.; Abbasi, A.M.; Fazal, H.; Mazari, P. Foliar epidermal anatomy of some ethnobotanically important species of genus Ficus Linn. J. Med. Plant Res. 2011, 5, 1627–1638. [Google Scholar]
- Sarla Saklani, S.S.; Subhash Chandra, S.C. Phytochemical screening of garhwal himalaya wild edible fruit Ficus palmata. Int. J. PharmTech Res. 2012, 4, 1185–1191. [Google Scholar]
- Sabeen, M.; Ahmad, S.S. Exploring the folk medicinal flora of Abbotabad city, Pakistan. Ethnobot. Leafl. 2009, 13, 810–833. [Google Scholar]
- Alqasoumi, S.I.; Basudan, O.A.; Al-Rehaily, A.J.; Abdel-Kader, M.S. Phytochemical and pharmacological study of Ficus palmata growing in Saudi Arabia. Saudi Pharm. J. 2014, 22, 460–471. [Google Scholar] [CrossRef]
- Negi, A.; Dobhal, K.; Ghildiyal, P. Antioxidant potential and effect of extraction solvent on total phenol content, flavonoids content and tannin content of Ficus palmata Forssk. Int. J. Pharm. Sci. Rev. Res. 2018, 49, 19–24. [Google Scholar]
- Aati, H.Y.; Anwar, M.; Al-Qahtani, J.; Al-Taweel, A.; Khan, K.U.R.; Aati, S.; Usman, F.; Ghalloo, B.A.; Asif, H.M.; Shirazi, J.H. Phytochemical profiling, in vitro biological activities, and in-silico studies of Ficus vasta Forssk.: An unexplored plant. Antibiotics 2022, 11, 1155. [Google Scholar] [CrossRef]
- Sharma, A.; Nagraik, R.; Sharma, S.; Sharma, G.; Pandey, S.; Azizov, S.; Chauhan, P.K.; Kumar, D. Green synthesis of ZnO nanoparticles using Ficus palmata: Antioxidant, antibacterial and antidiabetic studies. Results Chem. 2022, 4, 100509. [Google Scholar] [CrossRef]
- Alouffi, S.; Maarfi, F.; Khan, M.Y.; Khan, S.; Khan, M.S.; Ahmad, S. Antiglycation and chemopreventive effects of leaf extracts of Ficus palmata Forssk. found in the Hail region of Saudi Arabia. Biotechnol. Genet. Eng. Rev. 2023. [Google Scholar] [CrossRef]
- Al-Qahtani, J.; Abbasi, A.; Aati, H.Y.; Al-Taweel, A.; Al-Abdali, A.; Aati, S.; Yanbawi, A.N.; Khan, M.A.; Ghalloo, B.A.; Anwar, M. Phytochemical, antimicrobial, antidiabetic, thrombolytic, anticancer activities, and in silico studies of Ficus palmata Forssk. Arab. J. Chem. 2023, 16, 104455. [Google Scholar] [CrossRef]
- Hosomi, A. Variation in graft compatibility of wild Ficus species as rootstock for common fig trees (Ficus carica). Acta Hortic. 2015, 1173, 199–206. [Google Scholar] [CrossRef]
- Kim, K.M.; Kim, M.Y.; Yun, P.Y.; Chandrasekhar, T.; Lee, H.Y.; Song, P.S. Production of multiple shoots and plant regeneration from leaf segments of fig tree (Ficus carica L.). J. Plant Biol. 2007, 50, 440–446. [Google Scholar] [CrossRef]
- Soliman, H.I.; Gabr, M.; Abdallah, N.A. Efficient transformation and regeneration of fig (Ficus carica L.) via somatic embryogenesis. GM Crop. 2010, 1, 40–51. [Google Scholar] [CrossRef] [PubMed]
- Boliani, A.C.; Ferreira, A.F.A.; Monteiro, L.N.H.; da Silva, M.S.C.; Rombola, A.D. Advances in propagation of Ficus carica L. Rev. Bras. Frutic. 2019, 41, e026. [Google Scholar] [CrossRef]
- Ling, W.T.; Tan, L.V.; Khor, S.P.; Sriskanda, D.; Subramaniam, S.; Chew, B.L. Rapid in vitro propagation of fig (Ficus carica L.) ‘Violette de Solliès’ supported by molecular and microscopy analyses. Horticulturae 2022, 8, 1025. [Google Scholar] [CrossRef]
- El-Tarras, A.E.; Attia, A.O.; Wad, N.S.; Dessoky, E.; Mohamed, A. Genetic characterization and in vitro propagation of three medicinal plants collected from high altitude sites. Int. J. Biosci. 2015, 6, 37–46. [Google Scholar]
- Lai, C.C.; Yeh, S.D.; Yang, J.S. Enhancement of papaya axillary shoot proliferation in vitro by controlling the available ethylene. Bot. Bull. Acad. Sin. 2000, 41, 203–212. [Google Scholar]
- Sahraroo, A.; Zarei, A.; Babalar, M. In vitro regeneration of the isolated shoot apical meristem of two commercial fig cultivars ‘Sabz’and ‘Jaami-e-Kan’. Biocatal. Agric. Biotechnol. 2019, 17, 743–749. [Google Scholar] [CrossRef]
- Shatnawi, M.; Shibli, R.; Shahrour, W.; Al-Qudah, T.; Abu-Zahra, T. Micropropagation and conservation of fig (Ficus carica L.). J. Adv. Agric. 2019, 10, 1669–1679. [Google Scholar] [CrossRef]
- Parab, A.R.; Chew, B.L.; Yeow, L.C.; Subramaniam, S. Organogenesis on apical buds in common fig (Ficus carica) var. Black Jack. Electron. J. Biotechnol. 2021, 54, 69–76. [Google Scholar] [CrossRef]
- Kunz, S.; Pesquet, E.; Kleczkowski, L.A. Functional dissection of sugar signals affecting gene expression in Arabidopsis thaliana. PLoS ONE 2014, 9, e100312. [Google Scholar] [CrossRef] [PubMed]
- Elazab, D.S.; Shaaban, M.M. The impact of sucrose concentration on root growth and development in fig (Ficus carica L.) in vitro. Assiut J. Agric. Sci. 2015, 46, 67–75. [Google Scholar]
- Qrunfleh, I.M.; Shatnawi, M.M.; Al-Ajlouni, Z.I. Effect of different concentrations of carbon source, salinity and gelling agent on in vitro growth of fig (Ficus carica L.). Afr. J. Biotechnol. 2013, 12, 936–940. [Google Scholar]
- Chen, Y.M.; Huang, J.Z.; Hou, T.W.; Pan, I.C. Effects of light intensity and plant growth regulators on callus proliferation and shoot regeneration in the ornamental succulent Haworthia. Bot. Stud. 2019, 60, 10. [Google Scholar] [CrossRef] [PubMed]
- Herman, D.E.; Hess, C.E. The effect of etiolation upon the rooting of cuttings. Proc. Int. Plant Prop. Soc. 1963, 13, 42–62. [Google Scholar]
- Sarmast, M.K.; Salehi, H.; Ramezani, A.; Abolimoghadam, A.A.; Niazi, A.; Khosh-Khui, M. RAPD fingerprint to appraise the genetic fidelity of in vitro propagated Araucaria excelsa R. Br. var. glauca plantlets. Mol. Biotechnol. 2012, 50, 181–188. [Google Scholar] [CrossRef]
- Rani, V.; Raina, S. Genetic fidelity of organized meristem-derived micropropagated plants: A critical reappraisal. In Vitro Cell. Dev. Biol. Plant 2000, 36, 319–330. [Google Scholar] [CrossRef]
- Bhojwani, S.S.; Dantu, P.K. Plant Tissue Culture: An Introductory Text; Springer: New Delhi, India, 2013; Volume 318. [Google Scholar]
- Larkin, P.J.; Scowcroft, W.R. Somaclonal variation—A novel source of variability from cell cultures for plant improvement. Theor. Appl. Genet. 1981, 60, 197–214. [Google Scholar] [CrossRef] [PubMed]
- Dessoky, E.D.S.; Attia, A.O.; Mohamed, E.A.A. An efficient protocol for in vitro propagation of fig (Ficus carica sp.) and evaluation of genetic fidelity using RAPD and ISSR markers. J. Appl. Biol. Biotechnol. 2016, 4, 057–063. [Google Scholar]
- Rai, M.K.; Phulwaria, M.; Harish; Gupta, A.K.; Shekhawat, N.; Jaiswal, U. Genetic homogeneity of guava plants derived from somatic embryogenesis using SSR and ISSR markers. Plant Cell Tiss. Org. Cult. 2012, 111, 259–264. [Google Scholar] [CrossRef]
- Gupta, A.K.; Harish; Rai, M.K.; Phulwaria, M.; Agarwal, T.; Shekhawat, N. In vitro propagation, encapsulation, and genetic fidelity analysis of Terminalia arjuna: A cardioprotective medicinal tree. Appl. Biochem. Biotechnol. 2014, 173, 1481–1494. [Google Scholar] [CrossRef] [PubMed]
- Thakur, J.; Dwivedi, M.D.; Sourabh, P.; Uniyal, P.L.; Pandey, A.K. Genetic homogeneity revealed using SCoT, ISSR and RAPD markers in micropropagated Pittosporum eriocarpum Royle-an endemic and endangered medicinal plant. PLoS ONE 2016, 11, e0159050. [Google Scholar] [CrossRef] [PubMed]
- Rohela, G.K.; Jogam, P.; Bylla, P.; Reuben, C. Indirect regeneration and assessment of genetic fidelity of acclimated plantlets by SCoT, ISSR, and RAPD markers in Rauwolfia tetraphylla L.: An endangered medicinal plant. Biomed Res. Int. 2019, 2019, 3698742. [Google Scholar] [CrossRef]
- Chirumamilla, P.; Gopu, C.; Jogam, P.; Taduri, S. Highly efficient rapid micropropagation and assessment of genetic fidelity of regenerants by ISSR and SCoT markers of Solanum khasianum Clarke. Plant Cell Tiss. Org. Cult. 2021, 144, 397–407. [Google Scholar] [CrossRef]
- Abdolinejad, R.; Shekafandeh, A.; Jowkar, A.; Gharaghani, A.; Alemzadeh, A. Indirect regeneration of Ficus carica by the TCL technique and genetic fidelity evaluation of the regenerated plants using flow cytometry and ISSR. Plant Cell Tiss. Org. Cult. 2020, 143, 131–144. [Google Scholar] [CrossRef]
- Prabhuling, G.; Huchesh, H. Direct in vitro regeneration in fig (Ficus carcia L.) cv. Brown Turkey. Res. J. Biotechnol. 2018, 13, 77–83. [Google Scholar]
- Vanmathi, V.; Aneesa Rani, M.; Vidhya, D.; Hemaprabha, K.; Indu Rani, C. Establishment of in vitro plant regeneration protocol for fig (Ficus carica L.). Biol Forum. 2022, 14, 302–306. [Google Scholar]
- Zanello, C.A.; Duarte, W.N.; Gomes, D.M.; Cardoso, J.C. Micropropagation from inflorescence nodal segments of Phalaenopsis and acclimatization of plantlets using different substrates. Horticulturae 2022, 8, 340. [Google Scholar] [CrossRef]
- Le Bris, M. Hormones in growth and development. In Reference Module in Life Sciences; Elsevier: Amsterdam, The Netherlands, 2017. [Google Scholar]
- Ling, W.T.; Liew, F.C.; Lim, W.Y.; Subramaniam, S.; Chew, B.L. Shoot induction from axillary shoot tip explants of fig (Ficus carica) cv. Japanese BTM 6. Trop. Life. Sci. Res. 2018, 29, 165. [Google Scholar]
- Sáez, P.L.; Bravo, L.A.; Sánchez-Olate, M.; Bravo, P.B.; Ríos, D.G. Effect of photon flux density and exogenous sucrose on the photosynthetic performance during in vitro culture of Castanea sativa. Am. J. Plant Sci 2016, 7, 2087–2105. [Google Scholar] [CrossRef][Green Version]
- Alawaadh, A.A.; Dewir, Y.H.; Alwihibi, M.S.; Aldubai, A.A.; El-Hendawy, S.; Naidoo, Y. Micropropagation of lacy tree philodendron (Philodendron bipinnatifidum Schott ex Endl.). HortScience 2020, 55, 294–299. [Google Scholar] [CrossRef]
- De Riek, J.; Demeester, J.; Debergh, P.C. Carbon metabolism in micropropagation systems: The importance of photosynthesis in heterotrophic systems. Meded. Van De Fac. Landbouwwet. Rijksuniv. Gent 1991, 56, 1437–1444. [Google Scholar]
- Kadota, M.; Imizu, K.; Hirano, T. Double-phase in vitro culture using sorbitol increases shoot proliferation and reduces hyperhydricity in Japanese pear. Sci. Hortic. 2001, 89, 207–215. [Google Scholar] [CrossRef]
- Jain, N.; Babbar, S. Effect of carbon source on the shoot proliferation potential of epicotyl explants of Syzygium cuminii. Biol. Plant. 2003, 47, 133–136. [Google Scholar] [CrossRef]
- Hilae, A.; Te-chato, S. Effects of carbon sources and strength of MS medium on germination of somatic embryos of oil palm (Elaeis quineensis Jacq.). Songklanakarin J. Sci. Technol. 2005, 27, 629–635. [Google Scholar]
- Yaseen, M.; Ahmed, T.; Abbasi, N.A.; Hafiz, I.A. In vitro shoot proliferation competence of apple rootstocks M. 9 and M. 26 on different carbon sources. Pak. J. Bot. 2009, 41, 1781–1795. [Google Scholar]
- Hazarika, B. Morpho-physiological disorders in in vitro culture of plants. Sci. Hortic. 2006, 108, 105–120. [Google Scholar] [CrossRef]
- Cao, X.; Fordham, I.; Douglas, L.; Hammerschlag, F. Sucrose level influences micropropagation and gene delivery into leaves from in vitro propagated high bush blueberry shoots. Plant Cell Tiss. Org. Cult 2003, 75, 255–259. [Google Scholar] [CrossRef]
- Wotavová-Novotná, K.; Vejsadová, H.; Kindlmann, P. Effects of sugars and growth regulators on in vitro growth of Dactylorhiza species. Biol. Plant. 2007, 51, 198–200. [Google Scholar] [CrossRef]
- Reed, J.W.; Wu, M.; Reeves, P.H.; Hodgens, C.; Yadav, V.; Hayes, S.; Pierik, R. Three auxin response factors promote hypocotyl elongation. Plant Physiol. 2018, 178, 864–875. [Google Scholar] [CrossRef]
- Suzuki, R.M.; Kerbauy, G.B.; Pescador, R.; Purgatto, E.; Ceccantini, G.C.; Ferreira, W.d.M. Dark-induced hormone changes coincide with the resumption of light-inhibited shoot growth in Catasetum fimbriatum (Orchidaceae). J. Plant Physiol. 2010, 167, 375–381. [Google Scholar] [CrossRef] [PubMed]
- Suzuki, R.M.; Kerbauy, G.B.; Zaffari, G.R. Endogenous hormonal levels and growth of dark-incubated shoots of Catasetum fimbriatum. J. Plant Physiol. 2004, 161, 929–935. [Google Scholar] [CrossRef] [PubMed]
- Von Arnim, A.; Deng, X.W. Light control of seedling development. Annu. Rev. Plant Physiol. Plant Mol. Biol. 1996, 47, 215–243. [Google Scholar] [CrossRef] [PubMed]
- Dewir, Y.H.; Murthy, H.N.; Ammar, M.H.; Alghamdi, S.S.; Al-Suhaibani, N.A.; Alsadon, A.A.; Paek, K.Y. In vitro rooting of leguminous plants: Difficulties, alternatives, and strategies for improvement. Hortic. Environ. Biote. 2016, 57, 311–322. [Google Scholar] [CrossRef]
- De Klerk, G.J.; Brugge, J.T.; Marinova, S. Effectiveness of indoleacetic acid, indolebutyric acid and naphthaleneacetic acid during adventitious root formation in vitro in Malus ‘Jork 9’. Plant Cell Tiss. Org. Cult. 1997, 49, 39–44. [Google Scholar] [CrossRef]
- Ling, A.K.; Kok, K.M.; Hussein, S.; Ong, S.L. Effects of plant growth regulators on adventitious roots induction from different explants of Orthosiphon stamineus. Am. Eurasian J. Sustain. Agric. 2009, 3, 493–501. [Google Scholar]
- Sen, D.; Patel, R. In vitro mass multiplication of fig (Ficus carica L.) through nodal segment explants. J. Cell Tissue Res. 2018, 18, 6435–6440. [Google Scholar]
- Shaik, S.; Dewir, Y.; Singh, N.; Nicholas, A. Micropropagation and bioreactor studies of the medicinally important plant Lessertia (Sutherlandia) frutescens L. S. Afr. J. Bot. 2010, 76, 180–186. [Google Scholar] [CrossRef]
- Dewir, Y.H.; Singh, N.; Mngomezulu, S.; Ali, M.K.O. Micropropagation and detection of important triterpenes in in vitro and field grown plants of Syzygium cordatum. J. Med. Plant Res. 2011, 5, 3078–3083. [Google Scholar]
- Dewir, Y.H.; Aldubai, A.A.; El-Hendawy, S.; Alsadon, A.A.; Seliem, M.K.; Naidoo, Y. Micropropagation of buttonwood tree (Conocarpus erectus) through axillary shoot proliferation. Hortic. Sci. 2018, 53, 687–691. [Google Scholar] [CrossRef]
- Epstein, E.; Ludwig-Müller, J. Indole-3-butyric acid in plants: Occurrence, synthesis, metabolism and transport. Physiol. Plant. 1993, 88, 382–389. [Google Scholar] [CrossRef]
- De Klerk, G.-J.; Keppel, M.; Ter Brugge, J.; Meekes, H. Timing of the phases in adventitious root formation in apple microcuttings. J. Exp. Bot. 1995, 46, 965–972. [Google Scholar] [CrossRef]
- Rahman, M.; Rajora, O. Microsatellite DNA somaclonal variation in micropropagated trembling aspen (Populus tremuloides). Plant Cell Rep. 2001, 20, 531–536. [Google Scholar] [CrossRef]
- Epstein, E.; Sagee, O.; Zelcer, A. Uptake and metabolism of indole-3-butyric acid and indole-3-acetic acid by petunia cell suspension culture. Plant Growth Regul. 1993, 13, 31–40. [Google Scholar] [CrossRef]
- Hausman, J. Changes in peroxidase activity, auxin level and ethylene production during root formation by poplar shoots raised in vitro. Plant Growth Regul. 1993, 13, 263–268. [Google Scholar] [CrossRef]
- Dąbski, M.; Parzymies, M. The effect of auxins: IAA, IBA and NAA on rooting of Hebe buchananii (Hook) and Hebe canterburiensis (JB Armstr.) ‘Prostrata’ in vitro. Acta Sci. Pol. Hortorum Cultus. 2007, 6, 9–14. [Google Scholar]
- Qahtan, A.A.; Faisal, M.; Alatar, A.A.; Abdel-Salam, E.M. High-frequency plant regeneration, genetic uniformity, and flow cytometric analysis of regenerants in Ruta chalepensis L. Plants 2021, 10, 2820. [Google Scholar] [CrossRef]
- Khalil, H.A.M.; Khalil, M.; Arisha, H.; El-Denary, M. Effect of cultivars, auxins and activated charcoal on in vitro roots formation of strawberry plantlets. Zagazig J. Agric. Res. 2019, 46, 609–620. [Google Scholar] [CrossRef]
- Oakes, A.D.; Powell, W.A.; Maynard, C.A. Doubling acclimatization survival of micropropagated American chestnuts with darkness and shortened rooting induction time. J. Environ. Hortic. 2013, 31, 77–83. [Google Scholar] [CrossRef]
- Druart, P.; Kevers, C.; Boxus, P.; Gaspar, T. In vitro promotion of root formation by apple shoots through darkness effect on endogenous phenols and peroxidases. Z. Pflanzenphysiol. 1982, 108, 429–436. [Google Scholar] [CrossRef]
- Klopotek, Y.; Franken, P.; Klaering, H.P.; Fischer, K.; Hause, B.; Hajirezaei, M.R.; Druege, U. A higher sink competitiveness of the rooting zone and invertases are involved in dark stimulation of adventitious root formation in Petunia hybrida cuttings. Plant Sci. 2016, 243, 10–22. [Google Scholar] [CrossRef] [PubMed]
- Yang, H.; Klopotek, Y.; Hajirezaei, M.R.; Zerche, S.; Franken, P.; Druege, U. Role of auxin homeostasis and response in nitrogen limitation and dark stimulation of adventitious root formation in petunia cuttings. Ann. Bot. 2019, 124, 1053–1066. [Google Scholar] [CrossRef] [PubMed]
- Krishna, H.; Alizadeh, M.; Singh, D.; Singh, U.; Chauhan, N.; Eftekhari, M.; Sadh, R.K. Somaclonal variations and their applications in horticultural crops improvement. 3 Biotech 2016, 6, 54. [Google Scholar] [CrossRef] [PubMed]
- Ahmed, M.R.; Anis, M.; Alatar, A.A.; Faisal, M. In vitro clonal propagation and evaluation of genetic fidelity using RAPD and ISSR marker in micropropagated plants of Cassia alata L.: A potential medicinal plant. Agrofor. Syst. 2017, 91, 637–647. [Google Scholar]
- Sharma, U.; Rai, M.K.; Shekhawat, N.; Kataria, V. Genetic homogeneity revealed in micropropagated Bauhinia racemosa Lam. using gene targeted markers CBDP and SCoT. Physiol. Mol. Biol. 2019, 25, 581–588. [Google Scholar] [CrossRef] [PubMed]
- Lal, D.; Singh, N. Mass multiplication of Celastrus paniculatus Willd: An important medicinal plant under in vitro conditions via nodal segments. Int. J. Biodivers. Conserv. 2010, 2, 140–145. [Google Scholar]
- Premvaranon, P.; Vearasilp, S.; Thanapornpoonpong, S.N.; Karladee, D.; Gorinstein, S. In vitro studies to produce double haploid in Indica hybrid rice. Biologia 2011, 66, 1074–1081. [Google Scholar] [CrossRef]
- Bairu, M.W.; Aremu, A.O.; Van Staden, J. Somaclonal variation in plants: Causes and detection methods. Plant Growth Regul. 2011, 63, 147–173. [Google Scholar] [CrossRef]
- Lakshmanan, V.; Reddampalli Venkataramareddy, S.; Neelwarne, B. Molecular analysis of genetic stability in long-term micropropagated shoots of banana using RAPD and ISSR markers. Electron. J. Biotechnol. 2007, 10, 106–113. [Google Scholar] [CrossRef]
- Palombi, M.; Damiano, C. Comparison between RAPD and SSR molecular markers in detecting genetic variation in kiwifruit (Actinidia deliciosa A. Chev). Plant Cell Rep. 2002, 20, 1061–1066. [Google Scholar] [CrossRef]
- Moniruzzaman, M.; Yaakob, Z.; Anuar, N. Factors affecting in vitro regeneration of Ficus carica L. and genetic fidelity studies using molecular marker. J. Plan Biochem. Biotechnol. 2021, 30, 304–316. [Google Scholar] [CrossRef]
- Alwahibi, M.S.; Alawaadh, A.A.; Dewir, Y.H.; Soliman, D.A.; Seliem, M.K. Assessment of genetic fidelity of lacy tree philodendron (Philodendron bipinnatifidum Schott ex Endl.) micro propagated plants. Revis Bionatura 2022, 7, 10. [Google Scholar]
- Ahmad, N.; Fatima, N.; Faisal, M.; Alatar, A.A.; Pathirana, R. Photosynthetic parameters and oxidative stress during acclimation of crepe-myrtle (Lagerstroemia speciosa (L.) Pers.) in a meta-topolin-based micropropagation system and genetic fidelity of regenerated plants. Plants 2022, 11, 1163. [Google Scholar] [CrossRef] [PubMed]
- EL-Banna, A.N.; Khatab, I.A. Assessing genetic diversity of some potato (Solanum tuberosum L.) cultivars by protein and RAPD markers. Egypt. J. Genet. Cytol. 2013, 42, 89–101. [Google Scholar] [CrossRef]
- Salama, D.M.; Osman, S.A.; Abd EL-Aziz, M.; Abd ELwahed, M.S.; Shaaban, E. Effect of zinc oxide nanoparticles on the growth, genomic DNA, production and the quality of common dry bean (Phaseolus vulgaris). Biocatal. Agric. Biotechnol. 2019, 18, 101083. [Google Scholar] [CrossRef]
- David, A.; Madappa, M.; Bopaiah, A. RAPD Analysis of rapidly multiplied in vitro plantlets of Anthurium andreanum bicolour var agnihotri. Biol. Environ. Sci. 2015, 1, 10–14. [Google Scholar]
- Collard, B.C.; Mackill, D.J. Start codon targeted (SCoT) polymorphism: A simple, novel DNA marker technique for generating gene-targeted markers in plants. Plant Mol. Biol. Rep. 2009, 27, 86–93. [Google Scholar] [CrossRef]
- Gorji, A.M.; Poczai, P.; Polgar, Z.; Taller, J. Efficiency of arbitrarily amplified dominant markers (SCoT, ISSR and RAPD) for diagnostic fingerprinting in tetraploid potato. Am. J. Potato Res. 2011, 88, 226–237. [Google Scholar] [CrossRef]
- Cabo, S.; Ferreira, L.; Carvalho, A.; Martins-Lopes, P.; Martín, A.; Lima-Brito, J.E. Potential of Start codon targeted (SCoT) markers for DNA fingerprinting of newly synthesized tritordeums and their respective parents. J. Appl. Genet. 2014, 55, 307–312. [Google Scholar] [CrossRef]
- Fang-Yong, C.; Ji-Hong, L. Germplasm genetic diversity of Myrica rubra in Zhejiang Province studied using inter-primer binding site and start codon-targeted polymorphism markers. Sci. Hortic. 2014, 170, 169–175. [Google Scholar] [CrossRef]
- Rathore, N.S.; Rai, M.K.; Phulwaria, M.; Rathore, N.; Shekhawat, N. Genetic stability in micropropagated Cleome gynandra revealed by SCoT analysis. Acta Physiol. Plant. 2014, 36, 555–559. [Google Scholar] [CrossRef]
- Parab, A.R.; Lynn, C.B.; Subramaniam, S. Assessment of genetic stability on in vitro and ex vitro plants of Ficus carica var. black jack using ISSR and DAMD markers. Mol. Biol. Rep. 2021, 48, 7223–7231. [Google Scholar] [CrossRef] [PubMed]
- Murashige, T.; Skoog, F. A revised medium for rapid growth and bioassay with tobacco tissue culture. Physiol. Plant 1962, 15, 473–495. [Google Scholar] [CrossRef]
- Doyle, J.J.; Doyle, J.L. Isolation of plant DNA from fresh tissue. Focus 1990, 12, 13–25. [Google Scholar]






| Treatments | Number of Shoots/Explant | Length of the Longest Shoot/Explant (cm) | Fresh Weight/Explant (g) | Dry Weights/Explant (g) | |
|---|---|---|---|---|---|
| Type of cytokinin | |||||
| BAP | 7.4 a | 1.9 a | 2.456 b | 0.302 a | |
| TDZ | 8.5 a | 1.1 b | 4.167 a | 0.351 a | |
| Zeatin | 3.1 b | 1.3 b | 0.716 c | 0.143 b | |
| p-value | <0.0001 *** | <0.0001 *** | <0.0001 *** | <0.0001 *** | |
| Concentrations (mg/L) | |||||
| Control (C0) | 1.4 d | 1.1 b | 0.142 c | 0.035 c | |
| C1 | 4.4 c | 1.3 ab | 1.941 b | 0.215 b | |
| C2 | 7.3 a | 1.6 a | 2.621 a | 0.283 a | |
| C3 | 7.5 a | 1.6 a | 2.755 a | 0.300 a | |
| C4 | 6.0 b | 1.3 ab | 2.470 a | 0.263 ab | |
| p-value | <0.0001 *** | 0.027 * | <0.0001 *** | <0.0001 *** | |
| Type of cytokinin × concentration (mg/L) | |||||
| Control | C0 | 1.4 e | 1.2 def | 0.142 d | 0.035 d |
| BAP | C1 | 3.2 de | 1.7 bc | 0.957 d | 0.185 b |
| C2 | 7.4 c | 2.3 a | 2.226 c | 0.305 a | |
| C3 | 11.2 a | 1.9 ab | 3.641 ab | 0.389 a | |
| C4 | 7.7 c | 1.7 bc | 3.001 bc | 0.331 a | |
| TDZ | C1 | 8.5 bc | 1.4 bcde | 4.601 a | 0.378 a |
| C2 | 9.8 ab | 1.0 ef | 4.658 a | 0.364 a | |
| C3 | 8.0 bc | 1.0 ef | 3.646 b | 0.328 a | |
| C4 | 7.5 c | 1.0 ef | 3.765 ab | 0.334 a | |
| Zeatin | C1 | 1.5 e | 0.7 f | 0.265 d | 0.080 cd |
| C2 | 4.8 d | 1.5 bcde | 0.978 d | 0.182 b | |
| C3 | 3.3 de | 1.8 ab | 0.977 d | 0.183 b | |
| C4 | 2.8 e | 1.3 cde | 0.646 d | 0.126 bc | |
| p-value | <0.0001 *** | 0.0001 *** | < 0.0001 *** | 0.0001 *** | |
| Treatments | Number of Shoots/Explant | Length of the Longest Shoot/Explant (cm) | Fresh Weight/Explant (g) | Dry Weights/Explant (g) | |
|---|---|---|---|---|---|
| Light intensity (PPFD; μmol m−2·s−1) | |||||
| 15 | 5.1 b | 6.1 a | 3.275 ab | 0.337 a | |
| 35 | 7.2 a | 6.3 a | 3.791 a | 0.349 a | |
| 70 | 3.7 b | 5.1 b | 2.376 b | 0.321 a | |
| p-value | <0.0001 *** | <0.0001 *** | <0.0001 *** | 0.057 NS | |
| Sucrose (%) | |||||
| 1.5 | 6.6 ab | 6.8 a | 3.752 ab | 0.330 b | |
| 3.0 | 7.1 a | 6.2 ab | 4.346 a | 0.420 a | |
| 4.5 | 5.1 b | 5.7 b | 3.139 b | 0.382 ab | |
| 6.0 | 2.7 c | 4.5 c | 1.352 c | 0.213 c | |
| p-value | <0.0001 *** | <0.0001 *** | <0.0001 *** | <0.0001 *** | |
| Light intensity × sucrose (%) | |||||
| 15 | 1.5 | 6.6 bc | 7.0 a | 3.965 b | 0.273 f |
| 3.0 | 6.0 c | 6.0 bc | 3.669 b | 0.345 d | |
| 4.5 | 4.5 d | 6.9 ab | 3.525 b | 0.439 b | |
| 6.0 | 3.6 de | 4.7 ef | 1.944 d | 0.295 ef | |
| 35 | 1.5 | 7.4 b | 6.7 ab | 3.698 b | 0.340 de |
| 3.0 | 10.9 a | 7.5 a | 6.659 a | 0.514 a | |
| 4.5 | 7.5 b | 5.7 cd | 3.562 b | 0.348 d | |
| 6.0 | 3.0 e | 5.1 de | 1.245 e | 0.197 g | |
| 70 | 1.5 | 5.8 c | 6.7 ab | 3.593 b | 0.377 cd |
| 3.0 | 4.3 d | 5.1 de | 2.710 c | 0.401 bc | |
| 4.5 | 3.2 e | 4.6 ef | 2.332 cd | 0.358 cd | |
| 6.0 | 1.4 f | 3.9 f | 0.868 e | 0.149 h | |
| p-values | <0.0001 *** | 0.001 *** | <0.0001 *** | <0.0001 *** | |
| Treatments | Rooting (%) | Number of Roots/Explant | Length of Root (cm) | Fresh Weight/Explant (g) | Dry Weight/Explant (g) | |
|---|---|---|---|---|---|---|
| Type of auxin | ||||||
| IBA | 35.0 b | 1.0 a | 0.9 b | 0.852 b | 0.204 b | |
| NAA | 30.0 b | 0.8 a | 0.5 b | 1.510 a | 0.263 a | |
| IAA | 50.0 a | 1.3 a | 2.3 a | 0.848 b | 0.208 b | |
| p-value | 0.011 * | 0.520 NS | 0.002 ** | 0.001 *** | 0.007 ** | |
| Concentration (mg/L) | ||||||
| Control | 41.6 a | 1.2 ab | 2.8 a | 0.937 a | 0.223 ab | |
| 0.1 | 41.6 a | 1.8 a | 1.7 abc | 0.928 a | 0.211 b | |
| 0.5 | 38.8 a | 0.5 b | 0.6 c | 0.964 a | 0.208 b | |
| 1.0 | 50.0 a | 1.1 ab | 1.8 ab | 1.208 a | 0.257 a | |
| 2.0 | 19.4 b | 0.6 b | 0.8 bc | 1.179 a | 0.223 ab | |
| p-value | 0.013 * | 0.028 * | 0.001 *** | 0.109 NS | 0.168 NS | |
| Type of auxin × Concentration (mg/L) | ||||||
| Control | 0.0 | 41.7 b | 1.2 abcd | 2.8 ab | 0.937 cde | 0.223 abc |
| IBA | 0.1 | 33.3 b | 2.1 ab | 1.6 bcd | 0.754 de | 0.192 bc |
| 0.5 | 33.3 b | 0.7 bcd | 0.2 d | 0.726 e | 0.179 c | |
| 1.0 | 41.7 b | 0.8 abcd | 1.1 bcd | 0.961 cde | 0.233 abc | |
| 2.0 | 25.0 bc | 0.4 cd | 0.8 cd | 0.967 cde | 0.212 abc | |
| NAA | 0.1 | 41.7 b | 2.3 a | 1.1 bcd | 1.239 bcd | 0.243 abc |
| 0.5 | 33.3 b | 0.1 d | 0.3 d | 1.352 bc | 0.248 abc | |
| 1.0 | 33.3 b | 0.8 abcd | 0.5 cd | 1.545 ab | 0.284 a | |
| 2.0 | 0.0 c | 0.0 d | 0.0 d | 1.903 a | 0.278 a | |
| IAA | 0.1 | 50.0 ab | 1.2 abcd | 2.4 abc | 0.791 de | 0.200 bc |
| 0.5 | 50.0 ab | 0.8 abcd | 1.4 bcd | 0.815 de | 0.198 bc | |
| 1.0 | 75.0 a | 1.8 abc | 3.9 a | 1.119 bcde | 0.255 ab | |
| 2.0 | 33.3 b | 1.3 abcd | 1.5 bcd | 0.667 e | 0.178 c | |
| p-value | 0.456 NS | 0.529 NS | 0.449 NS | 0.059 NS | 0.753 NS | |
| Treatments | Rooting (%) | Number of Roots/Explant | Length of Root (cm) | Fresh Weight of Roots/Explant (g) | Dry Weight of Roots/Explant (g) | |
|---|---|---|---|---|---|---|
| Photoperiod (h) | ||||||
| Lightening regime 1 | 62.5 | 3.67 | 4.58 | 0.507 | 0.054 | |
| Lightening regime 2 | 100 | 5.75 | 2.93 | 0.101 | 0.019 | |
| p-value | 0.006 ** | 0.018 * | 0.021 * | 0.001 *** | 0.008 ** | |
| Activated charcoal (mg/L) | ||||||
| 0.0 | 83.3 | 4.29 | 3.43 | 0.363 | 0.043 | |
| 1.5 | 79.1 | 5.13 | 4.08 | 0.245 | 0.030 | |
| p-value | 0.347 NS | 0.088 NS | 0.124 NS | 0.272 NS | 0.375 NS | |
| Photoperiod (h) × Activated charcoal (mg/L) | ||||||
| Lightening regime 1 | 0.0 | 67 b | 3.67 b | 3.71 ab | 0.752 a | 0.071 a |
| 1.5 | 75 b | 3.83 b | 6.21 a | 0.518 a | 0.058 ab | |
| Lightening regime 2 | 0.0 | 100 a | 4.67 b | 3.24 b | 0.123 b | 0.026 bc |
| 1.5 | 100 a | 6.67 a | 3.0 b | 0.087 b | 0.014 c | |
| p-value | 0.347 NS | 0.147 NS | 0.063 NS | 0.417 NS | 0.956 NS | |
| Primers | Primer Sequence 5′-3′ | NO. of Scorble Band per Primer | Range of Amplification (bp) | No. of Monomorphic Bands | No. of Polymorphic Bands | Polymorphism % |
|---|---|---|---|---|---|---|
| RAPD primers | ||||||
| OPA-01 | CAGGCCCTTC | 4 | 500–1000 | 4 | 0 | 0 |
| OPA-03 | AGTCAGCCAC | 1 | 1300–1500 | 1 | 0 | 0 |
| OPA-07 | GAAACGGGTG | Nil | - | - | - | - |
| OPA-10 | GTGATCGCAG | 4 | 400–1000 | 4 | 0 | 0 |
| OPB-03 | CATCCCCCTG | 2 | 200–600 | 2 | 0 | 0 |
| OPH-05 | AGTCGTCCCC | 4 | 300–800 | 4 | 0 | 0 |
| OPA-11 | CAATCGCCGT | 2 | 900–1500 | 2 | 0 | 0 |
| OPA-12 | TCGGCGATAG | 3 | 250–1500 | 3 | 0 | 0 |
| OPA-13 | CAGCACCCAC | 2 | 300–800 | 2 | 0 | 0 |
| OPA-15 | TTCCGAACCC | Nil | - | - | - | - |
| Total | 22 | 22 | 0 | |||
| ISSR primers | ||||||
| ISSR-11 | AGAGAGAGAGAGAGAGT | 8 | 200–1500 | 8 | 0 | 0 |
| ISSR-15 | GAGAGAGAGAGAGAGAC | 5 | 250–700 | 5 | 0 | 0 |
| UBC815 | CTCTCTCTCTCTCTCTG | 3 | 300–900 | 3 | 0 | 0 |
| UBC816 | CACACACACACACACAT | 5 | 400–800 | 5 | 0 | 0 |
| UBC823 | TCTCTCTCTCTCTCTCC | 2 | 500–1200 | 2 | 0 | 0 |
| UBC861 | ACCACCACCACCACCACC | 5 | 300–1000 | 5 | 0 | 0 |
| UBC862 | AGCAGCAGCAGCAGCAGC | 3 | 350–700 | 3 | 0 | 0 |
| IMA-5-Z | CACACACACACACACAGT | 8 | 300–1500 | 6 | 2 | 25 |
| IMA-5-3 | CACACACACACACACATG | 5 | 250–1000 | 5 | 0 | 0 |
| HB15 | GTGGTGGTGGC | 6 | 400–1250 | 6 | 0 | 0 |
| Total | 50 | 48 | 2 | 4 | ||
| SCoT primers | ||||||
| S1 | CAACAATGGCTACCACCA | 4 | 250–800 | 4 | 0 | 0 |
| S2 | CAACAATGGTACCACCC | 1 | 1500 | 1 | 0 | 0 |
| S3 | AACAATGGCTACCACCG | 5 | 300–1400 | 5 | 0 | 0 |
| S4 | CAACAATGGCTACCACCT | 4 | 350–800 | 4 | 0 | 0 |
| S5 | CAACAATGGCTACCACGA | Nil | - | - | - | - |
| S6 | CAACAATGGCTACCACGC | Nil | - | - | - | - |
| S7 | AGCAGCAGCAGCAGCAGC | 6 | 300–900 | 4 | 2 | 33.3 |
| S8 | ACGACATGGCGACCAACG | 4 | 300–1400 | 4 | 0 | 0 |
| S9 | ACCATGGCTACCACCGAC | 2 | 800–1000 | 2 | 0 | 0 |
| S10 | CCATGGCTACCACCGCAG | 4 | 400–1400 | 4 | 0 | 0 |
| Total | 30 | 28 | 2 | 6.6 | ||
| Primer No. | Primer Name | Primer Sequence | Annealing Temperature |
|---|---|---|---|
| RAPD primers | |||
| 1 | OPA-01 | CAGGCCCTTC | 37 |
| 2 | OPA-03 | AGTCAGCCAC | 37 |
| 3 | OPA-07 | GAAACGGGTG | 37 |
| 4 | OPA-10 | GTGATCGCAG | 35 |
| 5 | OPB-03 | CATCCCCCTG | 37 |
| 6 | OPH-05 | AGTCGTCCCC | 37 |
| 7 | OPA-11 | CAATCGCCGT | 37 |
| 8 | OPA-12 | TCGGCGATAG | 37 |
| 9 | OPA-13 | CAGCACCCAC | 37 |
| 10 | OPA-15 | TTCCGAACCC | 37 |
| ISSR primers | |||
| 1 | ISSR-11 | AGAGAGAGAGAGAGAGT | 50 |
| 2 | ISSR-15 | GAGAGAGAGAGAGAGAC | 50 |
| 3 | UBC815 | CTCTCTCTCTCTCTCTG | 50 |
| 4 | UBC816 | CACACACACACACACAT | 50 |
| 5 | UBC823 | TCTCTCTCTCTCTCTCC | 50 |
| 6 | UBC861 | ACCACCACCACCACCACC | 55 |
| 7 | UBC862 | AGCAGCAGCAGCAGCAGC | 55 |
| 8 | IMA-5-Z | CACACACACACACACAGT | 50 |
| 9 | IMA-5-3 | CACACACACACACACATG | 50 |
| 10 | HB15 | GTGGTGGTGGC | 40 |
| SCoT primers | |||
| 1 | S1 | CAACAATGGCTACCACCA | 55 |
| 2 | S2 | CAACAATGGTACCACCC | 55 |
| 3 | S3 | AACAATGGCTACCACCG | 56 |
| 4 | S4 | CAACAATGGCTACCACCT | 56 |
| 5 | S5 | CAACAATGGCTACCACGA | 55 |
| 6 | S6 | CAACAATGGCTACCACGC | 55 |
| 7 | S7 | AGCAGCAGCAGCAGCAGC | 57 |
| 8 | S8 | ACGACATGGCGACCAACG | 55 |
| 9 | S9 | ACCATGGCTACCACCGAC | 55 |
| 10 | S10 | CCATGGCTACCACCGCAG | 60 |
Disclaimer/Publisher’s Note: The statements, opinions and data contained in all publications are solely those of the individual author(s) and contributor(s) and not of MDPI and/or the editor(s). MDPI and/or the editor(s) disclaim responsibility for any injury to people or property resulting from any ideas, methods, instructions or products referred to in the content. |
© 2024 by the authors. Licensee MDPI, Basel, Switzerland. This article is an open access article distributed under the terms and conditions of the Creative Commons Attribution (CC BY) license (https://creativecommons.org/licenses/by/4.0/).
Share and Cite
Al-Aizari, A.A.; Dewir, Y.H.; Ghazy, A.-H.; Al-Doss, A.; Al-Obeed, R.S. Micropropagation and Genetic Fidelity of Fegra Fig (Ficus palmata Forssk.) and Grafting Compatibility of the Regenerated Plants with Ficus carica. Plants 2024, 13, 1278. https://doi.org/10.3390/plants13091278
Al-Aizari AA, Dewir YH, Ghazy A-H, Al-Doss A, Al-Obeed RS. Micropropagation and Genetic Fidelity of Fegra Fig (Ficus palmata Forssk.) and Grafting Compatibility of the Regenerated Plants with Ficus carica. Plants. 2024; 13(9):1278. https://doi.org/10.3390/plants13091278
Chicago/Turabian StyleAl-Aizari, Ahmed Ali, Yaser Hassan Dewir, Abdel-Halim Ghazy, Abdullah Al-Doss, and Rashid Sultan Al-Obeed. 2024. "Micropropagation and Genetic Fidelity of Fegra Fig (Ficus palmata Forssk.) and Grafting Compatibility of the Regenerated Plants with Ficus carica" Plants 13, no. 9: 1278. https://doi.org/10.3390/plants13091278
APA StyleAl-Aizari, A. A., Dewir, Y. H., Ghazy, A.-H., Al-Doss, A., & Al-Obeed, R. S. (2024). Micropropagation and Genetic Fidelity of Fegra Fig (Ficus palmata Forssk.) and Grafting Compatibility of the Regenerated Plants with Ficus carica. Plants, 13(9), 1278. https://doi.org/10.3390/plants13091278

