Breeding and Growth Performance of ‘Ningzhi 4’, a New Blackberry Cultivar with High Yield Potential and Good Quality in China
Abstract
1. Introduction
2. Results and Discussions
2.1. Phenological Phase of Blooming and Fruit Ripening
2.2. Fruit Characteristics
2.3. Fruit Compositional Characteristics
2.4. Yield and Growth Habit
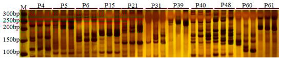
2.5. Identification of the Hybrid Line ‘Ningzhi 4’
3. Materials and Methods
3.1. Plant Growth Conditions
3.2. Soil and Planting Conditions
3.3. Main Methods of Plant Observational Data and Sensory Evaluation of Fresh Fruits
3.4. Methods for Determination of Fruit Size and Quality
3.5. DNA Extraction and SSR Primer Synthesis
3.6. SSR-PCR Reaction and Electrophoresis Analysis
3.7. Statistical Analysis of Data
4. Conclusions
Supplementary Materials
Author Contributions
Funding
Institutional Review Board Statement
Informed Consent Statement
Data Availability Statement
Acknowledgments
Conflicts of Interest
References
- Wu, Y.; Zhang, C.; Huang, Z.; Lyu, L.; Li, J.; Li, W.; Wu, W. The color difference of rubus fruits is closely related to the composition of flavonoids including anthocyanins. LWT-Food Sci. Technol. 2021, 149, 111825. [Google Scholar] [CrossRef]
- Wu, Y.; Huang, X.; Yang, H.; Zhang, S.; Lyu, L.; Li, W.; Wu, W. Analysis of flavonoid-related metabolites in different tissues and fruit developmental stages of blackberry based on metabolome analysis. Food Res. Int. 2023, 163, 112313. [Google Scholar] [CrossRef] [PubMed]
- Kaume, L.; Howard, L.; Devareddy, L. The blackberry fruit: A review on its composition and chemistry, metabolism and bioavailability, and health benefits. J. Agric. Food Chem. 2012, 60, 5716–5727. [Google Scholar] [CrossRef]
- Wu, W.; Li, W.; Lyu, L.; Wang, X.; Zhao, H.; Fang, L.; Zhang, C.; Hu, M.; Zeng, H.; Zhang, M.; et al. Cultivation and Utilization of Blackberry in China; Jiangsu Science and Technology Press: Nanjing, China, 2010; pp. 1–2. [Google Scholar]
- Cenk, E.; Schmutz, C.; Pahlke, G.; Oertel, A.; Kollarova, J.; Mock, H.P.; Matros, A.; Marko, D. Immunomodulatory properties of blackberry anthocyanins in THP-1 derived macrophages. Int. J. Mol. Sci. 2021, 22, 10483. [Google Scholar] [CrossRef] [PubMed]
- Schulz, M.; Chim, J.F. Nutritional and bioactive value of Rubus berries. Food Biosci. 2019, 31, 100438. [Google Scholar] [CrossRef]
- Baby, B.; Antony, P.; Vijayan, R. Antioxidant and anticancer properties of berries. Crit. Rev. Food Sci. 2018, 58, 2491–2507. [Google Scholar] [CrossRef] [PubMed]
- Wu, Y.; Huang, X.; Zhang, S.; Zhang, C.; Yang, H.; Lyu, L.; Li, W.; Wu, W. Small RNA and degradome sequencing reveal the role of blackberry miRNAs in flavonoid and anthocyanin synthesis during fruit ripening. Int. J. Biol. Macromol. 2022, 213, 892–901. [Google Scholar] [CrossRef] [PubMed]
- Moore, J.N. Blackberry breeding. Hortscience 1984, 19, 183–185. [Google Scholar] [CrossRef]
- Wu, W.; Lyu, L.; Li, W.; Wang, X.; Zhang, C.; Hu, S. Preliminary studies on intervarietal crossing among blackberries and interspecific crossing between blackberries and wild Rubus species. J. Northeast Agric. Univ. 2013, 44, 123–127. [Google Scholar]
- Moriya, S.; Iwanami, H.; Okada, K.; Yamamoto, T. A practical method for apple cultivar identification and parent-offspring analysis using simple sequence repeat markers. Euphytica 2011, 177, 135–150. [Google Scholar] [CrossRef]
- Alekseeva, M.; Rusanova, M.; Rusanov, K.; Atanassov, I. A set of highly polymorphic microsatellite markers for genetic diversity studies in the genus Origanum. Plants 2023, 12, 824. [Google Scholar] [CrossRef]
- Gross-German, E.; Viruel, M.A. Molecular characterization of avocado germplasm with a new set of SSR and EST-SSR markers: Genetic diversity, population structure, and identification of race-specific markers in a group of cultivated genotypes. Tree Genet. Genomes 2013, 9, 539–555. [Google Scholar] [CrossRef]
- Martina, M.; Acquadro, A.; Barchi, L.; Gulino, D.; Brusco, F.; Rabaglio, M.; Portis, F.; Portis, E.; Lanteri, S. Genome-wide survey and development of the first microsatellite markers database (AnCorDB) in Anemone coronaria L. Int. J. Mol. Sci. 2022, 23, 3126. [Google Scholar] [CrossRef] [PubMed]
- Graham, J.; Smith, K.; MacKenzie, K.; Jorgenson, L.; Hackett, C.; Powell, W. The construction of a genetic linkage map of red raspberry (Rubus ideaus subsp idaeus) based on AFLPs, genomic-SSR and EST-SSR markers. Theor. Appl. Genet. 2004, 109, 740–749. [Google Scholar] [CrossRef] [PubMed]
- Castillo, N.R.F.; Reed, B.M.; Graham, J.; Fernández-Fernández, F.; Bassil, N.V. Microsatellite markers for raspberry and blackberry. J. Am. Soc. Hortic. Sci. 2010, 135, 271–278. [Google Scholar] [CrossRef]
- Huang, X.; Wu, Y.; Zhang, S.; Yang, H.; Wu, W.; Lyu, L.; Li, W. Variation in bioactive compounds and antioxidant activity of Rubus fruits at different developmental stages. Foods 2022, 11, 1169. [Google Scholar] [CrossRef]
- Gadaleta, S.; Fanelli, V.; Bechkri, S.; Khelifi, D.; Miazzi, M.M.; Montemurro, C. Morphological and eco-geographic variation in Algerian wild olives. Plants 2022, 11, 1803. [Google Scholar] [CrossRef]
- de Souza, V.R.; Pereira, P.A.P.; da Silva, T.L.T.; Lima, L.C.D.; Pio, R.; Queiroz, F. Determination of the bioactive compounds, antioxidant activity and chemical composition of Brazilian blackberry, red raspberry, strawberry, blueberry and sweet cherry fruits. Food Chem. 2014, 156, 362–368. [Google Scholar] [CrossRef]
- Shi, C.; Xia, S.; Gao, M.; Han, T.; Wu, W.; Li, W. Postharvest quality comparison of six blackberry cultivars under two storage conditions. J. Food Process. Pres. 2022, 46, e16575. [Google Scholar] [CrossRef]
- Patrick, J.; Botha, F.; Birch, R. Metabolic engineering of sugars and simple sugar derivatives in plants. Plant Biotechnol. J. 2013, 11, 142–156. [Google Scholar] [CrossRef]
- Duran-Soria, S.; Pott, D.M.; Osorio, S.; Vallarino, J.G. Sugar signaling during fruit ripening. Front. Plant Sci. 2020, 11, 564917. [Google Scholar] [CrossRef] [PubMed]
- Toshima, S.; Katsumi, I.; Kai, A.; Yahata, M.; Hirano, T.; Kunitake, H. Amphidiploid production of hybrid between black raspberry and Rubus parvifolius L., a wild Asian species, using colchicine treatment. Sci. Hortic. 2023, 312, 111863. [Google Scholar] [CrossRef]
- Guan, C.F.; Zhang, P.X.; Hu, C.Q.; Chachar, S.; Riaz, A.; Wang, R.Z.; Yang, Y. Genetic diversity, germplasm identification and population structure of Diospyros kaki Thunb. from different geographic regions in China using SSR markers. Sci. Hortic. 2019, 251, 233–240. [Google Scholar] [CrossRef]
- Kayesh, E.; Zhang, Y.Y.; Liu, G.S.; Bilkish, N.; Sun, X.; Leng, X.P.; Fang, J.G. Development of highly polymorphic EST-SSR markers and segregation in F-1 hybrid population of Vitis vinifera L. Genet. Mol. Res. 2013, 12, 3871–3878. [Google Scholar] [CrossRef] [PubMed]
- Stafne, E.T.; Rezazadeh, A.; Miller-Butler, M.; Smith, B.J. Environment affects white drupelet disorder expression on three blackberry cultivars in South Mississippi. HortTechnology 2017, 27, 840–845. [Google Scholar] [CrossRef]
- Finn, C.E.; Strik, B.C.; Yorgey, B.M.; Peterson, M.E.; Jones, P.A.; Martin, R.R. ‘Columbia Sunrise’ thornless trailing blackberry. HortScience 2018, 53, 256–260. [Google Scholar] [CrossRef]



| Characteristic | Cultivar | |||
|---|---|---|---|---|
| ‘Ningzhi 4’ | ‘Kiowa’ | ‘Hull Thornless’ | ‘Chester Thornless’ | |
| Plant z | ||||
| Vigor Health Erectness Thorniness | 8.5 ± 0.5 8.8 ± 0.5 8.0 ± 0.8 - | 8.8 ± 0.5 8.5 ± 0.6 7.5 ± 0.6 + | 7.5 ± 0.6 7.5 ± 1.0 7.0 ± 0.5 - | 8.0 ± 0.6 8.3 ± 0.5 8.0 ± 0.6 - |
| Bloom date y | ||||
| 10% bloom 50% bloom | 10 May 18 May | 28 Apr. 5 May | 15 May 22 May | 18 May 25 May |
| Ripening date y | ||||
| Beginning Peak End | 17 June 2 July 22 July | 14 June 26 June 5 Aug. | 25 June 7 July 25 July | 5 July 22 July 10 Aug. |
| Berry ripe rating z,y | ||||
| Beginning | 7.5 ± 0.5 | 7.5 ± 1.2 | 7.0 ± 1.0 | 5.3 ± 0.5 |
| Berry size (cm) y | ||||
| Length Width Fruit shape index | 2.72 b x 2.10 a 1.30 bc | 3.58 c 2.65 b 1.35 c | 2.45 a 2.03 a 1.21 ab | 2.40 a 2.07 a 1.16 a |
| Single berry weight (g) y | ||||
| Beginning Peak End | 8.8 b x 7.6 b 6.5 c | 15.2 c 12.8 c 7.6 d | 7.1 a 5.6 a 5.1 b | 7.0 a 5.2 a 4.6 a |
| Fruit quality z,y | ||||
| Firmness Flavor | 7.8 ± 0.6 8.0 ± 0.5 | 7.5 ± 0.5 7.5 ± 0.6 | 7.5 ± 0.6 8.5 ± 0.5 | 8.0 ± 0.5 7.5 ± 0.4 |
| Seed dry weight (mg/seed) w | 3.67 c x | 3.83 d | 3.51 b | 3.16 a |
| Characteristic z | Cultivar | |||
|---|---|---|---|---|
| ‘Ningzhi 4’ | ‘Kiowa’ | ‘Hull Thornless’ | ‘Chester Thornless’ | |
| Soluble solids (%) | 9.80 d y | 8.10 a | 9.50 c | 8.70 b |
| Total acids (%) | 1.33 b | 1.48 d | 1.30 a | 1.4 c |
| Ratio SSC: TA | 7.37 c | 5.47 a | 7.31 c | 6.17 b |
| Anthocyanin content (mg/100 g) | 80.65 b | 80.76 b | 75.46 a | 106.68 c |
Disclaimer/Publisher’s Note: The statements, opinions and data contained in all publications are solely those of the individual author(s) and contributor(s) and not of MDPI and/or the editor(s). MDPI and/or the editor(s) disclaim responsibility for any injury to people or property resulting from any ideas, methods, instructions or products referred to in the content. |
© 2023 by the authors. Licensee MDPI, Basel, Switzerland. This article is an open access article distributed under the terms and conditions of the Creative Commons Attribution (CC BY) license (https://creativecommons.org/licenses/by/4.0/).
Share and Cite
Wu, Y.; Wu, W.; Zhang, C.; Lyu, L.; Li, W. Breeding and Growth Performance of ‘Ningzhi 4’, a New Blackberry Cultivar with High Yield Potential and Good Quality in China. Plants 2023, 12, 1661. https://doi.org/10.3390/plants12081661
Wu Y, Wu W, Zhang C, Lyu L, Li W. Breeding and Growth Performance of ‘Ningzhi 4’, a New Blackberry Cultivar with High Yield Potential and Good Quality in China. Plants. 2023; 12(8):1661. https://doi.org/10.3390/plants12081661
Chicago/Turabian StyleWu, Yaqiong, Wenlong Wu, Chunhong Zhang, Lianfei Lyu, and Weilin Li. 2023. "Breeding and Growth Performance of ‘Ningzhi 4’, a New Blackberry Cultivar with High Yield Potential and Good Quality in China" Plants 12, no. 8: 1661. https://doi.org/10.3390/plants12081661
APA StyleWu, Y., Wu, W., Zhang, C., Lyu, L., & Li, W. (2023). Breeding and Growth Performance of ‘Ningzhi 4’, a New Blackberry Cultivar with High Yield Potential and Good Quality in China. Plants, 12(8), 1661. https://doi.org/10.3390/plants12081661

