Synergistic Effects of Silica Nanoparticles, Chitosan and Bacillus velezensis AAHM-BV2301 on the Growth, Immunity, Gut Microbiota and Disease Resistance of Asian Seabass (Lates calcarifer)
Abstract
1. Introduction
2. Materials and Methods
2.1. Ethical Approval and Animal Welfare Compliance
2.2. Probiotic Culture Preparation
2.3. In Vitro Growth Assay of B. velezensis AAHM-BV2301 Under Different Treatments
2.4. Experimental Diet Preparation
2.5. Experimental Fish and Acclimation Procedures
2.6. Experimental Design and Feeding Trial
2.7. Sample Collection
2.7.1. Sampling and Tissue Collection
2.7.2. Isolation of Peripheral Blood Leukocytes (PBLs)
2.8. Assessment of Growth Performance Parameters
- (1)
- Weight gain (WG, g) = Wt − Wi
- (2)
- Average daily gain (ADG, g/fish/day) = (Wt − Wi)/t
- (3)
- Relative growth rate (RGR, %) = [(Wt − Wi)/Wi] × 100
- (4)
- Specific growth rate (SGR, %/day) = [ln(Wt) − ln(Wi)]/t × 100
- (5)
- Feed conversion ratio (FCR) = total feed intake/WG
2.9. Immunological Assays
2.9.1. Lysozyme Activity
2.9.2. Respiratory Burst Activity
2.9.3. Bactericidal Activity
2.10. Quantification of Serum Biochemical Parameters
2.11. Total RNA Extraction, cDNA Synthesis, and Quantitative Real-Time PCR for Immune Gene Expression
2.12. Gut Microbiota Profiling and Bioinformatics Analysis
2.12.1. High-Throughput 16S Ribosomal RNA Gene Sequencing
2.12.2. Bioinformatics Analysis of Microbiome Composition and Diversity
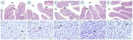
2.13. Histological Analysis and Intestinal Morphometry
2.14. Bacterial Challenge Test
2.15. Statistical Analysis
3. Results
3.1. In Vitro Growth of Bacillus velezensis AAHM-BV2301 Under Various Conditions
3.2. Growth Performance
3.3. Serum Biochemical Responses
3.4. Nonspecific Immune Responses
3.5. Immune-Related Gene Expression
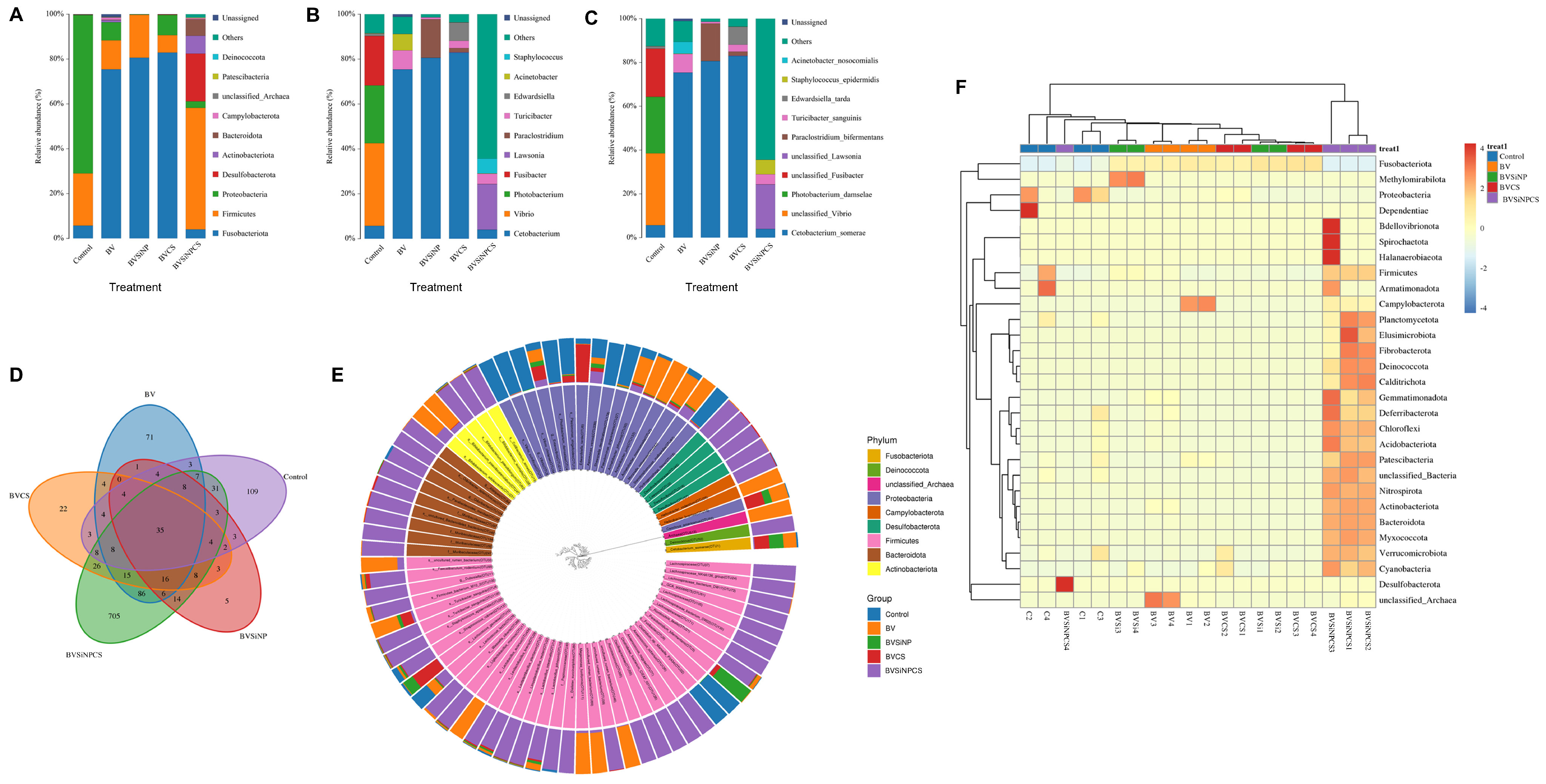
3.6. Investigation of the Gut Microbiota
3.7. Taxonomic Composition
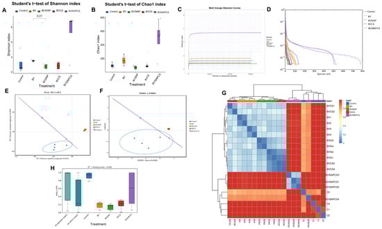
3.8. Alpha Diversity of the Gut Microbiota
3.9. Beta Diversity of the Gut Microbiota
3.10. Differentially Abundant Microbial Taxa
3.11. Microbial Co-Occurrence Network Analysis
3.12. Functional Annotation of Microbial Communities
3.13. Histological Assessment and Intestinal Morphometric Analysis
3.14. Disease Resistance Against Vibrio Vulnificus
4. Discussion
5. Conclusions
Supplementary Materials
Author Contributions
Funding
Institutional Review Board Statement
Informed Consent Statement
Data Availability Statement
Acknowledgments
Conflicts of Interest
References
- Ayson, F.G.; Sugama, K.; Yashiro, R.; de Jesus-Ayson, E.G. Nursery and grow-out culture of Asian seabass Lates calcarifer in selected countries in Southeast Asia. In Biology and Culture of Asian Seabass Lates calcarifer; Jerry, D.R., Ed.; CRC Press: Boca Raton, FL, USA, 2013; pp. 273–292. [Google Scholar] [CrossRef]
- Nhan, D.T.; Tu, N.P.C.; Tu, N.V. Comparison of growth performance, survival rate and economic efficiency of Asian seabass (Lates calcarifer) intensively cultured in earthen ponds with high densities. Aquaculture 2022, 554, 738151. [Google Scholar] [CrossRef]
- Islam, M.A.; Bosu, A.; Hasan, M.M.; Yasmin, F.; Khan, A.B.S.; Akhter, M.; Ullah, M.R.; Karim, E.; Rashid, M.H.; Mahmud, Y. Culture technique of seabass, Lates calcarifer, in Asia: A review. Int. J. Sci. Technol. Res. Arch. 2023, 4, 6–17. [Google Scholar] [CrossRef]
- Food and Agriculture Organization of the United Nations. The State of World Fisheries and Aquaculture 2022. Available online: https://www.fao.org/3/cc0461en/cc0461en.pdf (accessed on 4 June 2025).
- SEAFDEC. Fisheries Country Profile: Thailand. 2024. Available online: http://www.seafdec.org/fisheries-country-profile-thailand/ (accessed on 4 June 2025).
- Hutson, K.S. Infectious diseases of Asian seabass and health management. In Biology and Culture of Asian Seabass Lates calcarifer; Jerry, D.R., Ed.; CRC Press: Boca Raton, FL, USA, 2013; pp. 102–136. [Google Scholar] [CrossRef]
- Rico, A.; Satapornvanit, K.; Haque, M.M.; Min, J.; Nguyen, P.T.; Telfer, T.C.; van den Brink, P.J. Use of chemicals and biological products in Asian aquaculture and their potential environmental risks: A critical review. Rev. Aquac. 2012, 4, 75–93. [Google Scholar] [CrossRef]
- Kim, A.; Kim, N.; Roh, H.J.; Chun, W.K.; Ho, D.T.; Lee, Y.; Kim, D.H. Administration of antibiotics can cause dysbiosis in fish gut. Aquaculture 2019, 512, 734330. [Google Scholar] [CrossRef]
- Saengrung, J.; Bunnoy, A.; Du, X.; Huang, L.; An, R.; Liang, X.; Srisapoome, P. Effects of ribonucleotide supplementation in modulating the growth of probiotic Bacillus subtilis and the synergistic benefits for improving the health performance of Asian seabass (Lates calcarifer). Fish Shellfish Immunol. 2023, 140, 108983. [Google Scholar] [CrossRef]
- Say, P.; Nimitkul, S.; Bunnoy, A.; Na-Nakorn, U.; Srisapoome, P. Effects of the combination of chitosan and Acinetobacter KU011TH on the growth and health performances and disease resistance of juvenile hybrid catfish (Clarias gariepinus × C. macrocephalus). Fish Shellfish Immunol. 2023, 142, 109177. [Google Scholar] [CrossRef] [PubMed]
- Vibhute, P.; Jaabir, M.; Sivakamavalli, J. Applications of nanoparticles in aquaculture. In Nanotechnological Approaches to the Advancement of Innovations in Aquaculture; Springer: Cham, Switzerland, 2023; pp. 127–155. [Google Scholar] [CrossRef]
- Kuebutornye, F.K.A.; Abarike, E.D.; Lu, Y. A review on the application of Bacillus as probiotics in aquaculture. Fish Shellfish Immunol. 2019, 87, 820–828. [Google Scholar] [CrossRef]
- Merrifield, D.L.; Carnevali, O. Probiotic modulation of the gut microbiota of fish. In Aquaculture Nutrition: Gut Health, Probiotics and Prebiotics; Merrifield, D., Ringø, E., Eds.; John Wiley & Sons: Hoboken, NJ, USA, 2014; pp. 185–222. [Google Scholar] [CrossRef]
- Khalid, F.; Khalid, A.; Fu, Y.; Hu, Q.; Zheng, Y.; Khan, S.; Wang, Z. Potential of Bacillus velezensis as a probiotic in animal feed: A review. J. Microbiol. 2021, 59, 627–633. [Google Scholar] [CrossRef]
- Rabbee, M.F.; Hwang, B.S.; Baek, K.H. Bacillus velezensis: A beneficial biocontrol agent or facultative phytopathogen for sustainable agriculture. Agronomy 2023, 13, 840. [Google Scholar] [CrossRef]
- Harugade, A.; Sherje, A.P.; Pethe, A. Chitosan: A review on properties, biological activities and recent progress in biomedical applications. React. Funct. Polym. 2023, 191, 105634. [Google Scholar] [CrossRef]
- Mohite, P.; Shah, S.R.; Singh, S.; Rajput, T.; Munde, S.; Ade, N.; Prajapati, B.G.; Paliwal, H.; Mori, D.D.; Dudhrejiya, A.V. Chitosan and chito-oligosaccharide: A versatile biopolymer with endless grafting possibilities for multifarious applications. Front. Bioeng. Biotechnol. 2023, 11, 1190879. [Google Scholar] [CrossRef] [PubMed]
- Bashar, A.; Hasan, N.A.; Haque, M.M.; Rohani, M.F.; Hossain, M.S. Effects of dietary silica nanoparticle on growth performance, protein digestibility, hematology, digestive morphology, and muscle composition of Nile tilapia (Oreochromis niloticus). Front. Mar. Sci. 2021, 8, 706179. [Google Scholar] [CrossRef]
- Ranjan, R.; Prasad, K.P.; Vani, T.; Kumar, R. Effect of dietary chitosan on haematology, innate immunity and disease resistance of Asian seabass Lates calcarifer (Bloch). Aquac. Res. 2014, 45, 983–993. [Google Scholar] [CrossRef]
- Fajardo, C.; Martinez-Rodriguez, G.; Blasco, J.; Mancera, J.M.; Thomas, B.; De Donato, M. Nanotechnology in aquaculture: Applications, perspectives and regulatory challenges. Aquac. Fish. 2022, 7, 185–200. [Google Scholar] [CrossRef]
- Shabbir, S.; Hu, Y.; He, X.; Huang, K.; Xu, W. Toxicity and impact of silica nanoparticles on the configuration of gut microbiota in immunodeficient mice. Microorganisms 2023, 11, 1183. [Google Scholar] [CrossRef] [PubMed]
- Ni, J.; Yan, Q.; Yu, Y.; Zhang, T. Factors influencing the grass carp gut microbiome and its effect on metabolism. FEMS Microbiol. Ecol. 2014, 87, 704–714. [Google Scholar] [CrossRef]
- Ringø, E.; Harikrishnan, R.; Soltani, M.; Ghosh, K. The effect of gut microbiota and probiotics on metabolism in fish and shrimp. Animals 2022, 12, 3016. [Google Scholar] [CrossRef]
- Qi, X.; Zhang, Y.; Zhang, Y.; Luo, F.; Song, K.; Wang, G.; Ling, F. Vitamin B12 produced by Cetobacterium somerae improves host resistance against pathogen infection through strengthening the interactions within gut microbiota. Microbiome 2023, 11, 135. [Google Scholar] [CrossRef]
- Benetti, D.D. General Prophylaxis and Quarantine of Marine Brood Fish. The Advocate, 1 December 2000. Global Seafood Alliance. Available online: https://www.globalseafood.org/advocate/general-prophylaxis-and-quarantine-of-marine-brood-fish/ (accessed on 28 November 2025).
- Hur, J.W.; Gil, H.W.; Choi, S.H.; Jung, H.J.; Kang, Y.J. Anesthetic efficacy of clove oil and associated physiological responses in olive flounder (Paralichthys olivaceus). Aquac. Rep. 2019, 15, 100227. [Google Scholar] [CrossRef]
- Hu, Y.; Maisey, K.; Subramani, P.A.; Liu, F.; Flores-Kossack, C.; Imarai, M.; Secombes, C.J.; Wang, T. Characterisation of rainbow trout peripheral blood leucocytes prepared by hypotonic lysis of erythrocytes, and analysis of their phagocytic activity, proliferation and response to PAMPs and proinflammatory cytokines. Dev. Comp. Immunol. 2018, 88, 104–113. [Google Scholar] [CrossRef]
- Paankhao, N.; Sangsawang, A.; Kantha, P.; Paankhao, S.; Promsee, K.; Soontara, C.; Kongsriprapan, S.; Srisapoome, P.; Kumwan, B.; Meachasompop, P.; et al. Antioxidant and antibacterial efficiency of the ethanolic leaf extract of Kratom (Mitragyna speciosa (Korth.) Havil) and its effects on growth, health, and disease resistance against Edwardsiella tarda infection in Nile tilapia (Oreochromis niloticus). Fish Shellfish Immunol. 2024, 152, 109771. [Google Scholar] [CrossRef]
- Livak, K.J.; Schmittgen, T.D. Analysis of relative gene expression data using real-time quantitative PCR and the 2−ΔΔCₜ method. Methods 2001, 25, 402–408. [Google Scholar] [CrossRef] [PubMed]
- Bolyen, E.; Rideout, J.R.; Dillon, M.R.; Bokulich, N.A.; Abnet, C.C.; Al-Ghalith, G.A.; Alexander, H.; Alm, E.J.; Arumugam, M.; Asnicar, F.; et al. Reproducible, interactive, scalable and extensible microbiome data science using QIIME 2. Nat. Biotechnol. 2019, 37, 852–857. [Google Scholar] [CrossRef]
- Quast, C.; Pruesse, E.; Yilmaz, P.; Gerken, J.; Schweer, T.; Yarza, P.; Peplies, J.; Glöckner, F.O. The SILVA ribosomal RNA gene database project: Improved data processing and web-based tools. Nucleic Acids Res. 2013, 41, D590–D596. [Google Scholar] [CrossRef] [PubMed]
- Segata, N.; Izard, J.; Waldron, L.; Gevers, D.; Miropolsky, L.; Garrett, W.S.; Huttenhower, C. Metagenomic biomarker discovery and explanation. Genome Biol. 2011, 12, R60. [Google Scholar] [CrossRef]
- Cardiff, R.D.; Miller, C.H.; Munn, R.J. Manual hematoxylin and eosin staining of mouse tissue sections. Cold Spring Harb. Protoc. 2014, 2014, 655–658. [Google Scholar] [CrossRef] [PubMed]
- Rodwihok, C.; Thompson, K.D.; Srisapoome, P.; Thangsunan, P.; Buncharoen, W.; Saenphet, K.; Saenphet, S.; Meachasompop, P.; Kumwan, B.; Tangal, J.K.; et al. Evaluation of immune responses and protection in Asian seabass (Lates calcarifer Bloch, 1790) against Vibrio vulnificus using immersion and oral nanoemulsion vaccines. Fish Shellfish Immunol. 2025, 162, 110354. [Google Scholar] [CrossRef]
- Hoang, P.H.; Nguyen, M.T.; Chu, N.H.; Bui, H.G. The growth and probiotic characteristics of Bacillus velezensis BS in soybean meal used as synbiotic-like preparations for Litopenaeus vannamei culture. Viet. J. Biotechnol. 2023, 21, 167–177. [Google Scholar] [CrossRef]
- Su, T.; Shen, B.; Hu, X.; Teng, Y.; Weng, P.; Wu, Z.; Liu, L. Research advances of Bacillus velezensis: Bioinformatics, characteristics, and applications. Food Sci. Hum. Wellness 2024, 13, 1756–1766. [Google Scholar] [CrossRef]
- Wang, J.; Zhang, D.; Wang, Y.; Liu, Z.; Liu, L.; Shi, C. Probiotic effects of the Bacillus velezensis GY65 strain in the mandarin fish, Siniperca chuatsi. Aquac. Rep. 2021, 21, 100902. [Google Scholar] [CrossRef]
- Lee, M.S.; Baletto, F.; Kanhere, D.G.; Scandolo, S. Far-infrared absorption of water clusters by first-principles molecular dynamics. J. Chem. Phys. 2008, 128, 214506. [Google Scholar] [CrossRef] [PubMed]
- Zhang, X.; Gao, X.; Dong, Y.; Wu, Y.; Duan, D.; Zhao, X.; Li, X. Nanoporous Mg-doped SiO2 nanoparticles with tunable infrared emissivity toward effective radiative cooling coatings. J. Alloys Compd. 2023, 940, 168905. [Google Scholar] [CrossRef]
- Murshed, S.; Rahman, M.H.; Mahruf, B.; Najmunnahar, S.; Mostakima, S.; Hossain, M.S. Impact of silica nanoparticles on the digestibility and growth efficiency of rohu (Labeo rohita). J. Agric. Food Environ. 2023, 4, 24–30. [Google Scholar] [CrossRef]
- Wu, S. The growth performance, body composition and nonspecific immunity of tilapia (Oreochromis niloticus) affected by chitosan. Int. J. Biol. Macromol. 2020, 145, 682–685. [Google Scholar] [CrossRef] [PubMed]
- Wu, H.; Li, C.; Tang, X.; Guo, Y.; Tang, H.; Cao, A.; Wang, H. Impact of calcium ions at physiological concentrations on the adsorption behavior of proteins on silica nanoparticles. J. Colloid Interface Sci. 2023, 656, 35–46. [Google Scholar] [CrossRef]
- Yang, H.-L.; Sun, Y.Z.; Hu, X.; Ye, J.-D.; Lu, K.-L.; Hu, L.-H.; Zhang, J.J. Bacillus pumilus SE5 originated PG and LTA tuned the intestinal TLRs/MyD88 signaling and microbiota in grouper (Epinephelus coioides). Fish Shellfish Immunol. 2019, 88, 266–271. [Google Scholar] [CrossRef]
- Zhu, B.; He, H.; Guo, D.; Zhao, M.; Hou, T. Two novel calcium delivery systems fabricated by casein phosphopeptides and chitosan oligosaccharides: Preparation, characterization, and bioactive studies. Food Hydrocoll. 2020, 102, 105567. [Google Scholar] [CrossRef]
- Andreasen, P. Free and total calcium concentrations in the blood of rainbow trout, Salmo gairdneri, during ‘stress’ conditions. J. Exp. Biol. 1985, 118, 111–120. [Google Scholar] [CrossRef]
- Liang, H.; Mi, H.; Ji, K.; Ge, X.; Ren, M.; Xie, J. Effects of dietary calcium levels on growth performance, blood biochemistry and whole-body composition in juvenile bighead carp (Aristichthys nobilis). Turk. J. Fish. Aquat. Sci. 2018, 18, 623–631. [Google Scholar] [CrossRef]
- Wang, A.; Zhang, Z.; Ding, Q.; Yang, Y.; Bindelle, J.; Ran, C.; Zhou, Z. Intestinal Cetobacterium and acetate modify glucose homeostasis via parasympathetic activation in zebrafish. Gut Microbes 2021, 13, 1900996. [Google Scholar] [CrossRef]
- Enes, P.; Panserat, S.; Kaushik, S.; Oliva-Teles, A. Dietary carbohydrate utilization by European sea bass (Dicentrarchus labrax L.) and gilthead sea bream (Sparus aurata L.) juveniles. Rev. Fish. Sci. 2011, 19, 201–215. [Google Scholar] [CrossRef]
- Nayak, S.K. Probiotics and immunity: A fish perspective. Fish Shellfish Immunol. 2010, 29, 2–14. [Google Scholar] [CrossRef]
- Saborano, R.; Wongpinyochit, T.; Totten, J.D.; Johnston, B.F.; Seib, F.P.; Duarte, I.F. Metabolic reprogramming of macrophages exposed to silk, poly(lactic-co-glycolic acid), and silica nanoparticles. Adv. Healthc. Mater. 2017, 6, 1601240. [Google Scholar] [CrossRef]
- Zhang, P.; Liu, W.; Peng, Y.; Han, B.; Yang, Y. Toll-like receptor 4 (TLR4) mediates the stimulating activities of chitosan oligosaccharide on macrophages. Int. Immunopharmacol. 2014, 23, 254–261. [Google Scholar] [CrossRef]
- Behera, T.; Swain, P. Alginate-chitosan-PLGA composite microspheres induce both innate and adaptive immune responses through parenteral immunization in fish. Fish Shellfish Immunol. 2013, 35, 785–791. [Google Scholar] [CrossRef]
- Chong, R. Vibriosis. In Aquaculture Pathophysiology; Elsevier: Amsterdam, The Netherlands, 2022; pp. 447–464. [Google Scholar] [CrossRef]
- Vandooren, J.; Itoh, Y. Alpha-2-Macroglobulin in inflammation, immunity and infections. Front. Immunol. 2021, 12, 803244. [Google Scholar] [CrossRef] [PubMed]
- Han, Y.L.; Hou, C.C.; Du, C.; Zhu, J.-Q. Molecular cloning and expression analysis of five heat shock protein 70 (HSP70) family members in Lateolabrax maculatus with Vibrio harveyi infection. Fish Shellfish Immunol. 2017, 60, 299–310. [Google Scholar] [CrossRef]
- Dawood, M.A.O.; Eweedah, N.M.; Moustafa, E.M.; Farahat, E.M. Probiotic effects of Aspergillus oryzae on the oxidative status, heat shock protein, and immune-related gene expression of Nile tilapia (Oreochromis niloticus) under hypoxia challenge. Aquaculture 2020, 520, 734669. [Google Scholar] [CrossRef]
- Abarike, E.D.; Jian, J.; Tang, J.; Cai, J.; Sakyi, E.M.; Kuebutornye, F.K.A. A mixture of Chinese herbs and a commercial probiotic Bacillus species improves hemato-immunological, stress, and antioxidant parameters, and expression of HSP70 and HIF-1α mRNA to hypoxia, cold, and heat stress in Nile tilapia, Oreochromis niloticus. Aquac. Rep. 2020, 18, 100438. [Google Scholar] [CrossRef]
- Li, L.; Chen, S.N.; Laghari, Z.A.; Huo, H.J.; Hou, J.; Huang, L.; Nie, P. Myxovirus resistance (Mx) gene and its differential expression regulated by three type I and two type II IFNs in mandarin fish, Siniperca chuatsi. Dev. Comp. Immunol. 2020, 105, 103604. [Google Scholar] [CrossRef] [PubMed]
- Ming, J.; Zhou, R.; Wu, X.; Gao, Y.; Yin, Y.; Fan, W.; Song, X. Characterization of Myxovirus resistance (Mx) gene from Chinese seabass Lateolabrax maculatus: Insights into the evolution and function of Mx genes. Fish Shellfish Immunol. 2024, 152, 109749. [Google Scholar] [CrossRef]
- Jin, R.; Xia, H.; Yang, P.; Lu, J.; Chen, F.; Zhang, Y.; Liu, S. Research progress on the fish complement C3 gene. Bamidgeh 2023, 75, 1. [Google Scholar] [CrossRef]
- Meng, X.; Shen, Y.; Wang, S.; Xu, X.; Dang, Y.; Zhang, M.; Li, J. Complement component 3 (C3): An important role in grass carp (Ctenopharyngodon idella) experimentally exposed to Aeromonas hydrophila. Fish Shellfish Immunol. 2019, 88, 189–197. [Google Scholar] [CrossRef]
- Tsuchiya, C.; Sakata, T.; Sugita, H. Novel ecological niche of Cetobacterium somerae, an anaerobic bacterium in the intestinal tracts of freshwater fish. Lett. Appl. Microbiol. 2008, 46, 43–48. [Google Scholar] [CrossRef] [PubMed]
- Raharjo, H.M.; Budiyansah, H.; Mursalim, M.F.; Chokmangmeepisarn, P.; Sakulworakan, R.; Madyod, S.; Sewaka, M.; Sonthi, M.; Debnath, P.P.; Elayaraja, S.; et al. Distribution of Vibrionaceae in farmed Asian sea bass, Lates calcarifer, in Thailand and their high prevalence of antimicrobial resistance. J. Fish Dis. 2022, 45, 1355–1371. [Google Scholar] [CrossRef] [PubMed]
- Chen, L.; Lv, C.; Li, B.; Zhang, H.; Ren, L.; Zhang, Q.; Hu, S. Effects of Bacillus velezensis supplementation on the growth performance, immune responses, and intestine microbiota of Litopenaeus vannamei. Front. Mar. Sci. 2021, 8, 744281. [Google Scholar] [CrossRef]
- Dai, Z.L. Amino acid metabolism in intestinal bacteria: Links between gut ecology and host health. Front. Biosci. 2011, 16, 1768. [Google Scholar] [CrossRef]
- He, J.; Zhang, P.; Shen, L.; Niu, L.; Tan, Y.; Chen, L.; Zhu, L. Short-chain fatty acids and their association with signaling pathways in inflammation, glucose and lipid metabolism. Int. J. Mol. Sci. 2020, 21, 6356. [Google Scholar] [CrossRef]
- Kalaiselvan, P.; Malarvizhi, K.; Ranjan, A. Probing into the impacts of endogenous and exogenous short-chain fatty acids (SCFAs) in fish health and growth. Ann. Anim. Sci. 2024, 25, 119–137. [Google Scholar] [CrossRef]
- Hu, Y.; Peng, N.; Han, W.; Mei, Y.; Chen, Z.; Feng, X.; Liang, Y.X.; She, Q. An archaeal protein evolutionarily conserved in prokaryotes is a zinc-dependent metalloprotease. Biosci. Rep. 2012, 32, 609–618. [Google Scholar] [CrossRef]
- Bashar, M.A.; Hossain, M.S.; Rahman, M.M.; Rahman, M.M.; Shahjahan, M. Dietary nano-silica improves growth, intestinal morphology, and stress resistance of Nile tilapia (Oreochromis niloticus). Aquaculture 2021, 541, 736791. [Google Scholar] [CrossRef]
- Knoop, K.A.; Newberry, R.D. Goblet cells: Multifaceted players in immunity at mucosal surfaces. Mucosal Immunol. 2018, 11, 1551–1557. [Google Scholar] [CrossRef] [PubMed]
- Das, P.S.; Rohani, M.F.; Al Sulivany, B.S.A.; Nibir, S.S.; Juthi, R.A.; Satter, A.; Hossain, M.S.; Ismael, S.S. Dietary silica nanoparticle ameliorates the growth performance and muscle composition of stinging catfish, Heteropneustes fossilis. Sci. J. Univ. Zakho. 2025, 13, 33–39. [Google Scholar] [CrossRef]
- Kohout, V.R.; Wardzala, C.L.; Kramer, J.R. Synthesis and biomedical applications of mucin mimic materials. Adv. Drug Deliv. Rev. 2022, 191, 114540. [Google Scholar] [CrossRef]
- Colorado-Gómez, M.A.; Melo-Bolívar, J.F.; Ruíz Pardo, R.Y.; Rodriguez, J.A.; Villamil, L.M. Unveiling the probiotic potential of the anaerobic bacterium Cetobacterium sp. nov. C33 for enhancing Nile tilapia (Oreochromis niloticus) cultures. Microorganisms 2023, 11, 2922. [Google Scholar] [CrossRef]
- Ramos, M.A.; Batista, S.; Pires, M.A.; Silva, A.P.; Pereira, L.F.; Saavedra, M.J.; Ozório, R.O.A.; Rema, P. Dietary probiotic supplementation improves growth and the intestinal morphology of Nile tilapia. Animal 2017, 11, 1259–1269. [Google Scholar] [CrossRef]
- Yu, W.; Yang, Y.; Zhou, Q.; Huang, X.; Huang, Z.; Li, T.; Lin, H. Effects of dietary Astragalus polysaccharides on growth, health and resistance to Vibrio harveyi of Lates calcarifer. Int. J. Biol. Macromol. 2022, 207, 850–858. [Google Scholar] [CrossRef] [PubMed]












Disclaimer/Publisher’s Note: The statements, opinions and data contained in all publications are solely those of the individual author(s) and contributor(s) and not of MDPI and/or the editor(s). MDPI and/or the editor(s) disclaim responsibility for any injury to people or property resulting from any ideas, methods, instructions or products referred to in the content. |
© 2026 by the authors. Licensee MDPI, Basel, Switzerland. This article is an open access article distributed under the terms and conditions of the Creative Commons Attribution (CC BY) license.
Share and Cite
Tangal, J.K.; Uchuwittayakul, A.; Satapornvanit, K.; Srisapoome, P. Synergistic Effects of Silica Nanoparticles, Chitosan and Bacillus velezensis AAHM-BV2301 on the Growth, Immunity, Gut Microbiota and Disease Resistance of Asian Seabass (Lates calcarifer). Biomolecules 2026, 16, 88. https://doi.org/10.3390/biom16010088
Tangal JK, Uchuwittayakul A, Satapornvanit K, Srisapoome P. Synergistic Effects of Silica Nanoparticles, Chitosan and Bacillus velezensis AAHM-BV2301 on the Growth, Immunity, Gut Microbiota and Disease Resistance of Asian Seabass (Lates calcarifer). Biomolecules. 2026; 16(1):88. https://doi.org/10.3390/biom16010088
Chicago/Turabian StyleTangal, Jasper Kit, Anurak Uchuwittayakul, Kriengkrai Satapornvanit, and Prapansak Srisapoome. 2026. "Synergistic Effects of Silica Nanoparticles, Chitosan and Bacillus velezensis AAHM-BV2301 on the Growth, Immunity, Gut Microbiota and Disease Resistance of Asian Seabass (Lates calcarifer)" Biomolecules 16, no. 1: 88. https://doi.org/10.3390/biom16010088
APA StyleTangal, J. K., Uchuwittayakul, A., Satapornvanit, K., & Srisapoome, P. (2026). Synergistic Effects of Silica Nanoparticles, Chitosan and Bacillus velezensis AAHM-BV2301 on the Growth, Immunity, Gut Microbiota and Disease Resistance of Asian Seabass (Lates calcarifer). Biomolecules, 16(1), 88. https://doi.org/10.3390/biom16010088

