Spontaneous and Drug-Induced Amyloid-Related Imaging Abnormalities: Overlaps, Divergences, and Clinical Implications Across a Continuum Between Alzheimer’s Disease and Cerebral Amyloid Angiopathy
Abstract
1. Introduction
2. Methods
3. Spontaneous and Drug-Induced ARIA: Definition and Epidemiology
- (I).
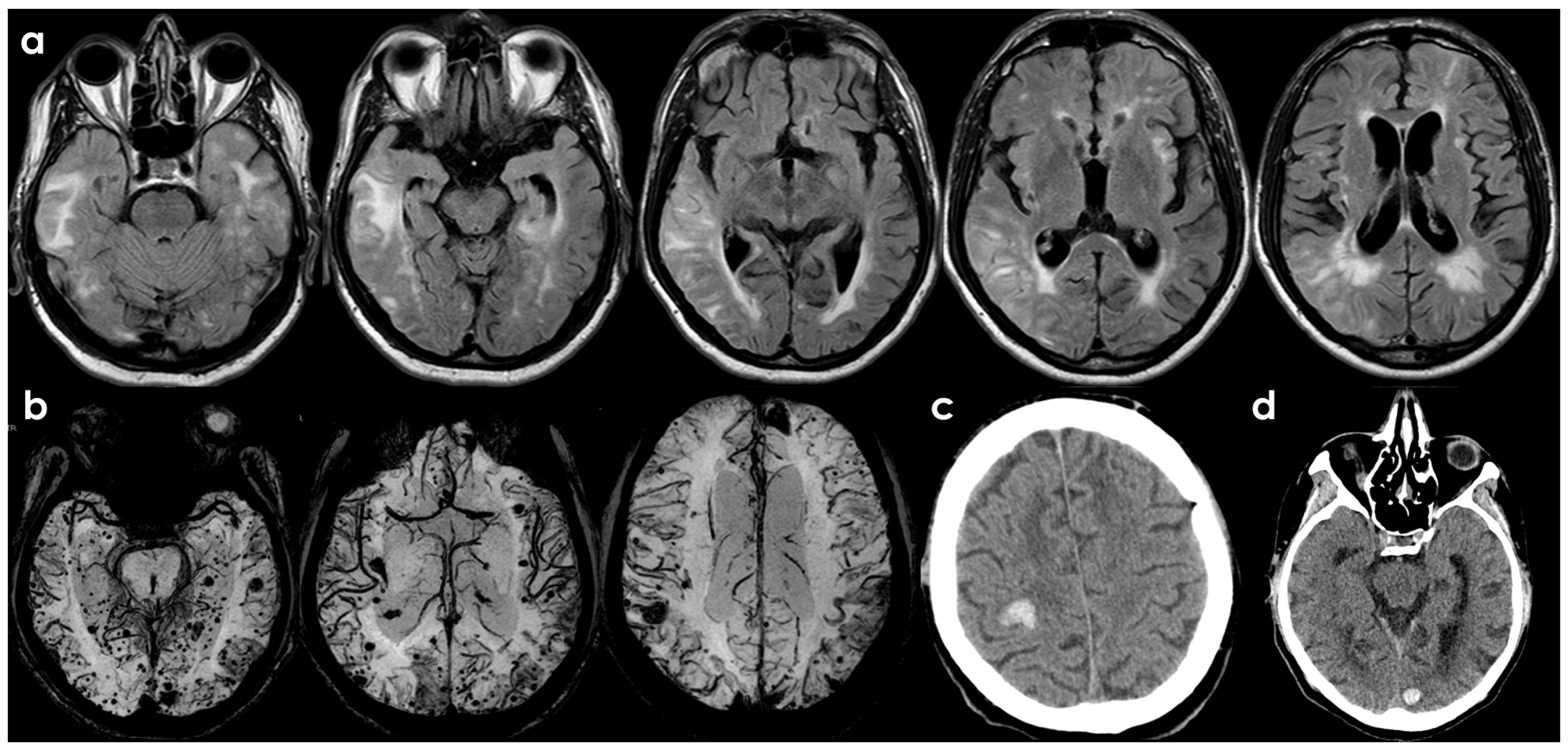
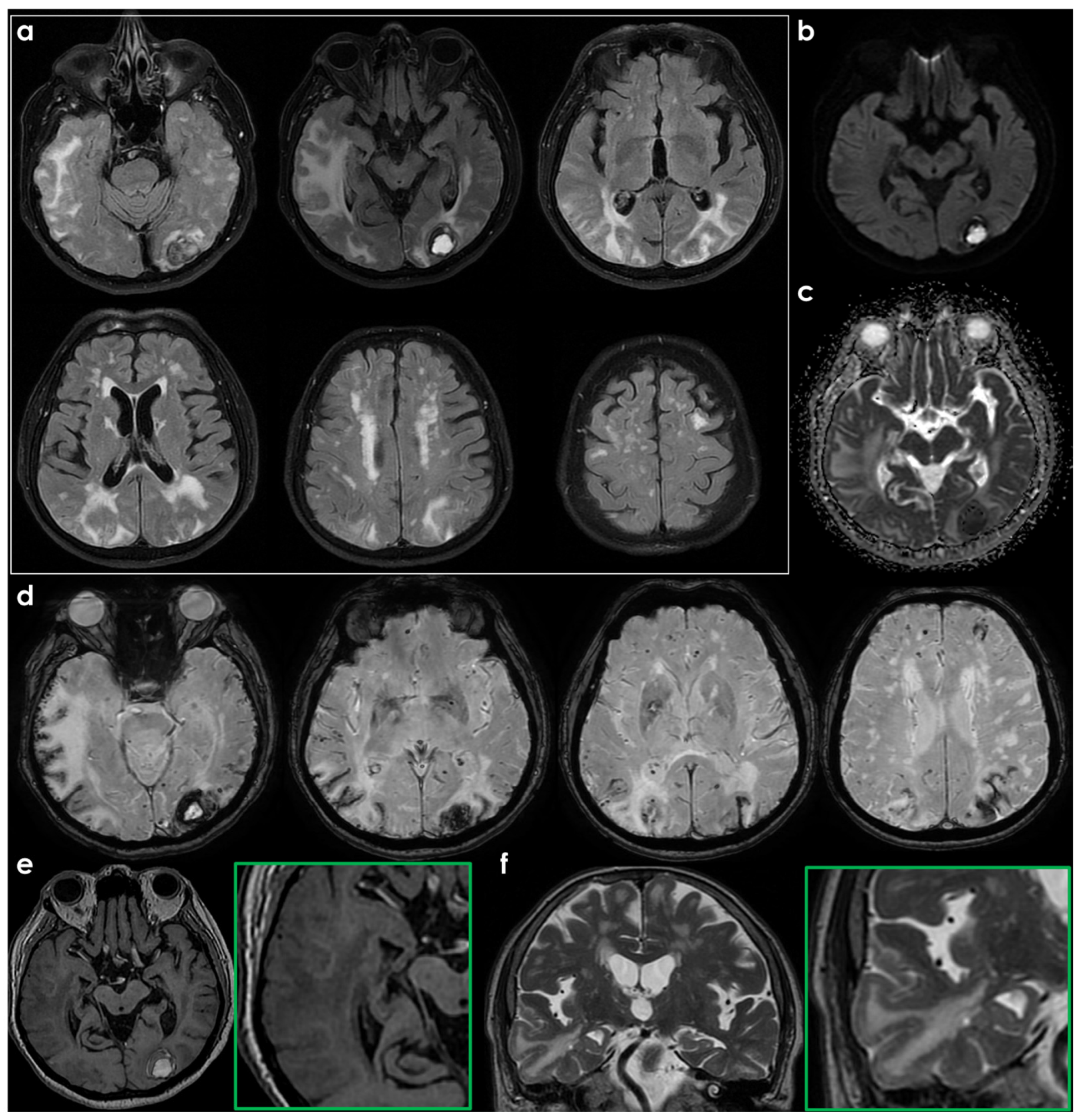
- ARIA-E (Edema/Effusion), characterized by focal regions of white matter hyperintensities (WMH), or increased signal intensities within the cortical sulci, reflecting the accumulation of protein-rich fluid within the leptomeningeal and sulcal spaces, consistent with an exudative inflammatory process.
- (II).
- ARIA-H (Hemorrhage), defined by the appearance of CMB, cSS, or Intracerebral Hemorrhage (ICH). These findings are thought to arise from lesions related to CAA, as a result of the weakening of vessel walls and their subsequent rupture.
4. Biological Issues and Proposed Pathophysiology: The ARIA Paradox
5. Pathological Clues: Single Case Lessons
6. Clinical and Neuroradiological Patterns in Comparison
7. From Clinical Issues to Treatment
7.1. To Treat or Not to Treat?
7.2. What Treatment?
7.3. What Are the Outcomes of Treatment?
8. Discussion
9. Conclusions
Author Contributions
Funding
Institutional Review Board Statement
Informed Consent Statement
Data Availability Statement
Conflicts of Interest
Abbreviations
| AAT | Anti-Amyloid Therapy |
| aAbs | Auto-Antibodies |
| AD | Alzheimer’s Disease |
| APOE | Apolipoprotein E |
| ARIA | Amyloid-Related Imaging Abnormalities |
| ARIA-E | Amyloid-Related Imaging Abnormalities with Edema/Effusion |
| ARIA-H | Amyloid-Related Imaging Abnormalities with Hemorrhages |
| BBB | Blood–Brain Barrier |
| CAA | Cerebral Amyloid Angiopathy |
| CMB | Cerebral Microbleeds |
| CSF | Cerebrospinal Fluid |
| cSS | Cortical superficial siderosis |
| iCAA | Iatrogenic Cerebral Amyloid Angiopathy |
| ICH | Intracerebral Hemorrhage |
| mAbs | Monoclonal Antibodies |
| TFNE | Transient Focal Neurological Episode |
| TREM2 | Triggering Receptor Expressed on Myeloid cells 2 |
References
- Robinson, J.L.; Xie, S.X.; Baer, D.R.; Suh, E.; Van Deerlin, V.M.; Loh, N.J.; Irwin, D.J.; McMillan, C.T.; Wolk, D.A.; Chen-Plotkin, A.; et al. Pathological combinations in neurodegenerative disease are heterogeneous and disease-associated. Brain 2023, 146, 2557–2569. [Google Scholar] [CrossRef]
- Jäkel, L.; De Kort, A.M.; Klijn, C.J.M.; Schreuder, F.H.B.M.; Verbeek, M.M. Prevalence of cerebral amyloid angiopathy: A systematic review and meta-analysis. Alzheimer’s Dement. 2022, 18, 10–28. [Google Scholar] [CrossRef]
- Duering, M.; Biessels, G.J.; Brodtmann, A.; Chen, C.; Cordonnier, C.; de Leeuw, F.-E.; Debette, S.; Frayne, R.; Jouvent, E.; Rost, N.S.; et al. Neuroimaging standards for research into small vessel disease—Advances since 2013. Lancet Neurol. 2023, 22, 602–618. [Google Scholar] [CrossRef] [PubMed]
- Losa, M.; Ramusino, M.C.; Cama, I.; Gualco, L.; Gandoglia, I.; Massa, F.; Donniaquio, A.; Mortola, P.; Argenti, L.; Lombardo, L.; et al. Cerebrospinal Fluid Biomarkers Profiling in Cerebral Amyloid Angiopathy and Relationship With Disease Phenotypes. J. Am. Heart Assoc. 2025, 14, 44784. [Google Scholar] [CrossRef]
- Van Dyck, C.H.; Swanson, C.J.; Aisen, P.; Bateman, R.J.; Chen, C.; Gee, M.; Kanekiyo, M.; Li, D.; Reyderman, L.; Cohen, S.; et al. Lecanemab in Early Alzheimer’s Disease. N. Engl. J. Med. 2023, 22, 142–143. [Google Scholar] [CrossRef]
- Sims, J.R.; Zimmer, J.A.; Evans, C.D.; Lu, M.; Ardayfio, P.; Sparks, J.; Wessels, A.M.; Shcherbinin, S.; Wang, H.; Nery, E.S.M.; et al. Donanemab in Early Symptomatic Alzheimer Disease: The TRAILBLAZER-ALZ 2 Randomized Clinical Trial. JAMA 2023, 330, 512–527. [Google Scholar] [CrossRef]
- Greenberg, S.M.; Bax, F.; van Veluw, S.J. Amyloid-related imaging abnormalities: Manifestations, metrics and mechanisms. Nat. Rev. Neurol. 2025, 21, 193–203. [Google Scholar] [CrossRef] [PubMed]
- Antolini, L.; DiFrancesco, J.C.; Zedde, M.; Basso, G.; Arighi, A.; Shima, A.; Cagnin, A.; Caulo, M.; Carare, R.O.; Charidimou, A.; et al. Spontaneous ARIA-like events in cerebral amyloid angiopathy-related inflammation a multicenter prospective longitudinal cohort study. Neurology 2021, 97, E1809–E1822. [Google Scholar] [CrossRef] [PubMed]
- Wollenweber, F.A.; Opherk, C.; Zedde, M.; Catak, C.; Malik, R.; Duering, M.; Konieczny, M.J.; Pascarella, R.; Samões, R.; Correia, M.; et al. Prognostic relevance of cortical superficial siderosis in cerebral amyloid angiopathy. Neurology 2019, 92, E792–E801. [Google Scholar] [CrossRef]
- Piazza, F.; Greenberg, S.M.; Savoiardo, M.; Gardinetti, M.; Chiapparini, L.; Raicher, I.; Nitrini, R.; Sakaguchi, H.; Brioschi, M.; Billo, G.; et al. Anti-amyloid β autoantibodies in cerebral amyloid angiopathy-related inflammation: Implications for amyloid-modifying therapies. Ann. Neurol. 2013, 73, 449–458. [Google Scholar] [CrossRef]
- Piazza, F.; Caminiti, S.P.; Zedde, M.; Presotto, L.; DiFrancesco, J.C.; Pascarella, R.; Giossi, A.; Sessa, M.; Poli, L.; Basso, G.; et al. Association of Microglial Activation With Spontaneous ARIA-E and CSF Levels of Anti-Aβ Autoantibodies. Neurology 2022, 99, E1265–E1277. [Google Scholar] [CrossRef]
- Kelly, L.; Brown, C.; Michalik, D.; Hawkes, C.A.; Aldea, R.; Agarwal, N.; Salib, R.; Alzetani, A.; Ethell, D.W.; Counts, S.E.; et al. Clearance of interstitial fluid (ISF) and CSF (CLIC) group-part of Vascular Professional Interest Area (PIA), updates in 2022–2023. Cerebrovascular disease and the failure of elimination of Amyloid-β from the brain and retina with age and Alzheimer’s disease: Opportunities for therapy. Alzheimer’s Dement. 2024, 20, 1421–1435. [Google Scholar] [CrossRef]
- Zedde, M.; Pascarella, R.; Piazza, F. CAA-ri and ARIA: Two Faces of the Same Coin? AJNR Am. J. Neuroradiol. 2023, 44, E13. [Google Scholar] [CrossRef]
- Banerjee, G.; Samra, K.; Adams, M.E.; Jaunmuktane, Z.; Parry-Jones, A.R.; Grieve, J.; Toma, A.K.; Farmer, S.F.; Sylvester, R.; Houlden, H.; et al. Iatrogenic cerebral amyloid angiopathy: An emerging clinical phenomenon. J. Neurol. Neurosurg. Psychiatry 2022, 93, 693–700. [Google Scholar] [CrossRef]
- Sperling, R.A.; Jack, C.R., Jr.; Black, S.E.; Frosch, M.P.; Greenberg, S.M.; Hyman, B.T.; Scheltens, P.; Carrillo, M.C.; Thies, W.; Bednar, M.M.; et al. Amyloid-related imaging abnormalities in amyloid-modifying therapeutic trials: Recommendations from the Alzheimer’s Association Research Roundtable Workgroup. Alzheimer’s Dement. 2011, 7, 367–385. [Google Scholar] [CrossRef] [PubMed]
- Zimmer, J.A.; Ardayfio, P.; Wang, H.; Khanna, R.; Evans, C.D.; Lu, M.; Sparks, J.; Andersen, S.; Lauzon, S.; Nery, E.S.M.; et al. Amyloid-Related Imaging Abnormalities With Donanemab in Early Symptomatic Alzheimer Disease: Secondary Analysis of the TRAILBLAZER-ALZ and ALZ 2 Randomized Clinical Trials. JAMA Neurol. 2025, 82, 461–469. [Google Scholar] [CrossRef] [PubMed]
- Honig, L.S.; Sabbagh, M.N.; van Dyck, C.H.; Sperling, R.A.; Hersch, S.; Matta, A.; Giorgi, L.; Gee, M.; Kanekiyo, M.; Li, D.; et al. Updated safety results from phase 3 lecanemab study in early Alzheimer’s disease. Alzheimer’s Res. Ther. 2024, 16, 105. [Google Scholar] [CrossRef]
- Ryan, N.S.; Lashley, T.; Revesz, T.; Dantu, K.; Fox, N.C.; Morris, H.R. Spontaneous ARIA (amyloid-related imaging abnormalities) and cerebral amyloid angiopathy related inflammation in presenilin 1-associated familial Alzheimer’s disease. J. Alzheimer’s Dis. 2015, 44, 1069–1074. [Google Scholar] [CrossRef] [PubMed]
- Avgerinos, K.I.; Ferrucci, L.; Kapogiannis, D. Effects of monoclonal antibodies against amyloid-β on clinical and biomarker outcomes and adverse event risks: A systematic review and meta-analysis of phase III RCTs in Alzheimer’s disease. Ageing Res. Rev. 2021, 68, 101339. [Google Scholar] [CrossRef]
- Boche, D.; Zotova, E.; Weller, R.O.; Love, S.; Neal, J.W.; Pickering, R.M.; Wilkinson, D.; Holmes, C.; Nicoll, J.A.R. Consequence of Abeta immunization on the vasculature of human Alzheimer’s disease brain. Brain 2008, 131, 3299–3310. [Google Scholar] [CrossRef]
- Nicoll, J.A.R.; Buckland, G.R.; Harrison, C.H.; Page, A.; Harris, S.; Love, S.; Neal, J.W.; Holmes, C.; Boche, D. Persistent neuropathological effects 14 years following amyloid-β immunization in Alzheimer’s disease. Brain 2019, 142, 2113–2126. [Google Scholar] [CrossRef]
- Greenberg, S.M.; Bacskai, B.J.; Hernandez-Guillamon, M.; Pruzin, J.; Sperling, R.; van Veluw, S.J. Cerebral amyloid angiopathy and Alzheimer disease—One peptide, two pathways. Nat. Res. 2020, 16, 30–42. [Google Scholar] [CrossRef] [PubMed]
- Mantle, J.L.; Lee, K.H. Immunoglobulin G transport increases in an in vitro blood-brain barrier model with amyloid-β and with neuroinflammatory cytokines. Biotechnol. Bioeng. 2019, 116, 1752–1761. [Google Scholar] [CrossRef] [PubMed]
- Ziliotto, N.; Bernardi, F.; Piazza, F. Hemostasis components in cerebral amyloid angiopathy and Alzheimer’s disease. Neurol. Sci. Source Preview 2021, 42, 3177–3188. [Google Scholar] [CrossRef] [PubMed]
- Jeong, S.Y.; Suh, C.H.; Lim, J.-S.; Shim, W.H.; Heo, H.; Choi, Y.; Kim, H.S.; Kim, S.J.; Lee, J.-H. Incidence of Amyloid-Related Imaging Abnormalities in Phase III Clinical Trials of Anti-Amyloid-β Immunotherapy: An Updated Meta-Analysis. Neurology 2025, 104, e213483. [Google Scholar] [CrossRef]
- van Olst, L.; Simonton, B.; Edwards, A.J.; Forsyth, A.V.; Boles, J.; Jamshidi, P.; Watson, T.; Shepard, N.; Krainc, T.; Argue, B.M.; et al. Microglial mechanisms drive amyloid-β clearance in immunized patients with Alzheimer’s disease. Nat. Med. 2025, 31, 1604–1616. [Google Scholar] [CrossRef]
- Auriel, E.; Charidimou, A.; Gurol, M.E.; Ni, J.; Van Etten, E.S.; Martinez-Ramirez, S.; Boulouis, G.; Piazza, F.; DiFrancesco, J.C.; Frosch, M.P.; et al. Validation of clinicoradiological criteria for the diagnosis of cerebral amyloid angiopathy-related inflammation. JAMA Neurol. 2016, 73, 197–202. [Google Scholar] [CrossRef]
- Nicolll, J.A.R.; Wilkinson, D.; Holmes, C.; Steart, P.; Markham, H.; Weller, R.O. Neuropathology of human Alzheimer disease after immunization with amyloid-beta peptide: A case report. Nat. Med. 2003, 9, 448–452. [Google Scholar] [CrossRef]
- Kozberg, M.G.; Yi, I.; Freeze, W.M.; Auger, C.A.; Scherlek, A.A.; Greenberg, S.M.; van Veluw, S.J. Blood-brain barrier leakage and perivascular inflammation in cerebral amyloid angiopathy. Brain Commun. 2022, 4, fcac245. [Google Scholar] [CrossRef]
- Solopova, E.; Romero-Fernandez, W.; Harmsen, H.; Ventura-Antunes, L.; Wang, E.; Shostak, A.; Maldonado, J.; Donahue, M.J.; Schultz, D.; Coyne, T.M.; et al. Fatal iatrogenic cerebral β-amyloid-related arteritis in a woman treated with lecanemab for Alzheimer’s disease. Nat. Commun. 2023, 14, 8220. [Google Scholar] [CrossRef]
- Reish, N.J.; Jamshidi, P.; Stamm, B.; Flanagan, M.E.; Sugg, E.; Tang, M.; Donohue, K.L.; McCord, M.; Krumpelman, C.; Mesulam, M.-M.; et al. Multiple Cerebral Hemorrhages in a Patient Receiving Lecanemab and Treated with t-PA for Stroke. N. Engl. J. Med. 2023, 388, 478–479. [Google Scholar] [CrossRef]
- Orgogozo, J.M.; Gilman, S.; Dartigues, J.F.; Laurent, B.; Puel, M.; Kirby, L.C.; Jouanny, P.; Dubois, B.; Eisner, L.; Flitman, S.; et al. Subacute meningoencephalitis in a subset of patients with AD after Abeta42 immunization. Neurology 2003, 61, 46–54. [Google Scholar] [CrossRef]
- Schenk, D.; Barbour, R.; Dunn, W.; Gordon, G.; Grajeda, H.; Guido, T.; Hu, K.; Huang, J.; Johnson-Wood, K.; Khan, K.; et al. Immunization with amyloid-beta attenuates Alzheimer-disease-like pathology in the PDAPP mouse. Nature 1999, 400, 173–177. [Google Scholar] [CrossRef]
- Janus, C.; Pearson, J.; McLaurin, J.; Mathews, P.M.; Jiang, Y.; Schmidt, S.D.; Chishti, M.A.; Horne, P.; Heslin, D.; French, J.; et al. A beta peptide immunization reduces behavioural impairment and plaques in a model of Alzheimer’s disease. Nature 2000, 408, 979–982. [Google Scholar] [CrossRef]
- Morgan, D.; Diamond, D.M.; Gottschall, P.E.; Ugen, K.E.; Dickey, C.; Hardy, J.; Duff, K.; Jantzen, P.; DiCarlo, G.; Wilcock, D.; et al. A beta peptide vaccination prevents memory loss in an animal model of Alzheimer’s disease. Nature 2000, 408, 982–985. [Google Scholar] [CrossRef] [PubMed]
- Bacskai, B.J.; Kajdasz, S.T.; Christie, R.H.; Carter, C.; Games, D.; Seubert, P.; Schenk, D.; Hyman, B.T. Imaging of amyloid-β deposits in brains of living mice permits direct observation of clearance of plaques with immunotherapy. Nat. Med. 2001, 7, 369–372. [Google Scholar] [CrossRef] [PubMed]
- Sigurdsson, E.M.; Scholtzova, H.; Mehta, P.D.; Frangione, B.; Wisniewski, T. Immunization with a nontoxic/nonfibrillar amyloid-β homologous peptide reduces Alzheimer’s disease-associated pathology in transgenic mice. Am. J. Pathol. 2001, 159, 439–447. [Google Scholar] [CrossRef]
- Bard, F.; Cannon, C.; Barbour, R.; Burke, R.-L.; Games, D.; Grajeda, H.; Guido, T.; Hu, K.; Huang, J.; Johnson-Wood, K.; et al. Peripherally administered antibodies against amyloid beta-peptide enter the central nervous system and reduce pathology in a mouse model of Alzheimer disease. Nat. Med. 2000, 6, 916–919. [Google Scholar] [CrossRef] [PubMed]
- Weller, R.O.; Yow, H.Y.; Preston, S.D.; Mazanti, I.; Nicoll, J.A.R. Cerebrovascular disease is a major factor in the failure of elimination of Abeta from the aging human brain: Implications for therapy of Alzheimer’s disease. Ann. N. Y. Acad. Sci. 2002, 977, 162–168. [Google Scholar] [CrossRef]
- Pfeifer, M.; Boncristiano, S.; Bondolfi, L.; Stalder, A.; Deller, T.; Staufenbiel, M.; Mathews, P.M.; Jucker, M. Cerebral hemorrhage after passive anti-Abeta immunotherapy. Science 2002, 298, 1379. [Google Scholar] [CrossRef]
- Boon, B.D.C.; Piura, Y.D.; Moloney, C.M.; Chalk, J.L.; Lincoln, S.J.; Rutledge, M.H.; Rothberg, D.M.; Kouri, N.; Hinkle, K.M.; Roemer, S.F.; et al. Neuropathologic changes and amyloid-related imaging abnormalities in Alzheimer’s disease treated with aducanumab versus untreated: A retrospective case-control study. Lancet Neurol. 2025, 24, 931. [Google Scholar] [CrossRef]
- Hampel, H.; Elhage, A.; Cho, M.; Apostolova, L.G.; Nicoll, J.A.R.; Atri, A. Amyloid-related imaging abnormalities (ARIA): Radiological, biological and clinical characteristics. Brain 2023, 146, 4414–4424. [Google Scholar] [CrossRef]
- Scherlek, A.A.; Kozberg, M.G.; Nicoll, J.A.R.; Perosa, V.; Freeze, W.M.; van der Weerd, L.; Bacskai, B.J.; Greenberg, S.M.; Frosch, M.P.; Boche, D.; et al. Histopathological correlates of haemorrhagic lesions on ex vivo magnetic resonance imaging in immunized Alzheimer’s disease cases. Brain Commun. 2022, 4, fcac021. [Google Scholar] [CrossRef]
- Vonsattel, J.P.G.; Myers, R.H.; Hedley-Whyte, E.T.; Ropper, A.H.; Bird, E.D.; Richardson, E.P. Cerebral amyloid angiopathy without and with cerebral hemorrhages: A comparative histological study. Ann. Neurol. 1991, 30, 637–649. [Google Scholar] [CrossRef]
- Aldea, R.; Grimm, H.P.; Gieschke, R.; Hofmann, C.; Lott, D.; Bullain, S.; Delmar, P.; Klein, G.; Lyons, M.; Piazza, F.; et al. In silico exploration of amyloid-related imaging abnormalities in the gantenerumab open-label extension trials using a semi-mechanistic model. Alzheimer’s Dement. 2022, 8, e12306. [Google Scholar] [CrossRef] [PubMed]
- Panteleienko, L.; Banerjee, G.; Mallon, D.H.; Harvey, V.; Oliver, R.; Hotton, G.; Knight, W.; Datta, S.; Zandi, M.S.; Jäger, H.R.; et al. Sulcal Hyperintensity as an Early Imaging Finding in Cerebral Amyloid Angiopathy-Related Inflammation. Neurology 2024, 103, e210084. [Google Scholar] [CrossRef]
- Charidimou, A.; Peeters, A.; Fox, Z.; Gregoire, S.M.; Vandermeeren, Y.; Laloux, P.; Jäger, H.R.; Baron, J.-C.; Werring, D.J. Spectrum of transient focal neurological episodes in cerebral amyloid angiopathy: Multicentre magnetic resonance imaging cohort study and meta-analysis. Stroke 2012, 43, 2324–2330. [Google Scholar] [CrossRef] [PubMed]
- Panteleienko, L.; Banerjee, G.; Mallon, D.; Thiankhaw, K.; Oliver, R.; Harvey, V.; Ambler, G.; Zandi, M.; Jäger, H.R.; Werring, D.J. Clinical-Radiological Spectrum of Cerebral Amyloid Angiopathy-Related Inflammation. Ann. Neurol. 2025. [Google Scholar] [CrossRef]
- Charidimou, A. Cerebral Amyloid Angiopathy-Related Inflammation Spectrum Disorders: Introduction of a Novel Concept and Diagnostic Criteria. Ann. Neurol. 2025, 97, 470–474. [Google Scholar] [CrossRef]
- Sellimi, A.; Schwartze, J.; Humphries, F.; Panteleienko, L.; Mallon, D.; Banerjee, G.; Werring, D.J. Contemporary perspectives in cerebral amyloid angiopathy. Expert. Rev. Neurother. 2025, 25, 887–910. [Google Scholar] [CrossRef]
- Cogswell, P.M.; Andrews, T.J.; Barakos, J.A.; Barkhof, F.; Bash, S.; Benayoun, M.D.; Chiang, G.C.; Franceschi, A.M.; Jack, C.R.; Pillai, J.J.; et al. Alzheimer Disease Anti-Amyloid Immunotherapies: Imaging Recommendations and Practice Considerations for Monitoring of Amyloid-Related Imaging Abnormalities. AJNR Am. J. Neuroradiol. 2025, 46, 24–32. [Google Scholar] [CrossRef]
- Hermann, P.; Zerr, I. Rapidly progressive dementias—Aetiologies, diagnosis and management. Nat. Rev. Neurol. 2022, 18, 363–376. [Google Scholar] [CrossRef]
- Cordonnier, C.; Klijn, C.; Smith, E.E.; Salman, R.A.-S.; Chwalisz, B.K.; van Etten, E.; Muir, R.T.; Piazza, F.; Schreiber, S.; Schreuder, F.H.; et al. Diagnosis and management of cerebral amyloid angiopathy: A scientific statement from the International CAA Association and the World Stroke Organization. Int. J. Stroke 2025. [Google Scholar] [CrossRef]
- Tetsuka, S.; Hashimoto, R. Slightly Symptomatic Cerebral Amyloid Angiopathy-Related Inflammation with Spontaneous Remission in Four Months. Case Rep. Neurol. Med. 2019, 2019, 5308208. [Google Scholar] [CrossRef]
- Martucci, M.; Sarria, S.; Toledo, M.; Coscojuela, P.; Vert, C.; Siurana, S.; Auger, C.; Rovira, A. Cerebral amyloid angiopathy-related inflammation: Imaging findings and clinical outcome. Neuroradiology 2014, 56, 283–289. [Google Scholar] [CrossRef] [PubMed]
- Banerjee, G.; Alvares, D.; Bowen, J.; Adams, M.E.; Werring, D.J. Minimally symptomatic cerebral amyloid angiopathy-related inflammation: Three descriptive case reports. J. Neurol. Neurosurg. Psychiatry 2019, 90, 113–115. [Google Scholar] [CrossRef] [PubMed]
- Paczynski, M.; Hofmann, A.; Posey, Z.; Gregersen, M.; Rudman, M.; Ellington, D.; Aldinger, M.; Musiek, E.S.; Holtzman, D.M.; Bateman, R.J.; et al. Lecanemab Treatment in a Specialty Memory Clinic. JAMA Neurol. 2025, 82, 655–665. [Google Scholar] [CrossRef] [PubMed]
- Sechi, E.; Cacciaguerra, L.; Chen, J.J.; Mariotto, S.; Fadda, G.; Dinoto, A.; Lopez-Chiriboga, A.S.; Pittock, S.J.; Flanagan, E.P. Myelin Oligodendrocyte Glycoprotein Antibody-Associated Disease (MOGAD): A Review of Clinical and MRI Features, Diagnosis, and Management. Front. Neurol. 2022, 13, 885218. [Google Scholar] [CrossRef]
- Kinnecom, C.; Lev, M.H.; Wendell, L.; Smith, E.E.; Rosand, J.; Frosch, M.P.; Greenberg, S.M. Course of cerebral amyloid angiopathy-related inflammation. Neurology 2007, 68, 1411–1416. [Google Scholar] [CrossRef]
- Koemans, E.A.; Chhatwal, J.P.; van Veluw, S.J.; van Etten, E.S.; van Osch, M.J.P.; van Walderveen, M.A.A.; Sohrabi, H.R.; Kozberg, M.G.; Shirzadi, Z.; Terwindt, G.M.; et al. Progression of cerebral amyloid angiopathy: A pathophysiological framework. Lancet Neurol. 2023, 22, 632–642. [Google Scholar] [CrossRef]
- Zedde, M.; Piazza, F.; Pascarella, R. Clinical and Neuroradiological Manifestations of Cerebral Amyloid Angiopathy: A Closer Look into the Natural History of a Frequent Disease. J. Clin. Med. 2025, 14, 1697. [Google Scholar] [CrossRef] [PubMed]
- Paul, J.; Strickland, S.; Melchor, J.P. Fibrin deposition accelerates neurovascular damage and neuroinflammation in mouse models of Alzheimer’s disease. J. Exp. Med. 2007, 204, 1999–2008. [Google Scholar] [CrossRef]
- Petersen, M.A.; Ryu, J.K.; Akassoglou, K. Fibrinogen in neurological diseases: Mechanisms, imaging and therapeutics. Nat. Rev. Neurosci. 2018, 19, 283–301. [Google Scholar] [CrossRef] [PubMed]
- Liebner, S.; Dijkhuizen, R.M.; Reiss, Y.; Plate, K.H.; Agalliu, D.; Constantin, G. Functional morphology of the blood-brain barrier in health and disease. Acta Neuropathol. 2018, 135, 311–336. [Google Scholar] [CrossRef] [PubMed]
- Jackson, R.J.; Hyman, B.T.; Serrano-Pozo, A. Multifaceted roles of APOE in Alzheimer disease. Nat. Rev. Neurol. 2024, 20, 457–474. [Google Scholar] [CrossRef]
- Kinney, J.W.; Bemiller, S.M.; Murtishaw, A.S.; Leisgang, A.M.; Salazar, A.M.; Lamb, B.T. Inflammation as a central mechanism in Alzheimer’s disease. Alzheimer’s Dement. Transl. Res. Clin. Interv. 2018, 4, 575. [Google Scholar] [CrossRef]
- Ahmad, M.H.; Fatima, M.; Mondal, A.C. Influence of microglia and astrocyte activation in the neuroinflammatory pathogenesis of Alzheimer’s disease: Rational insights for the therapeutic approaches. J. Clin. Neurosci. 2019, 59, 6–11. [Google Scholar] [CrossRef]
- Hampel, H.; Caraci, F.; Cuello, A.C.; Caruso, G.; Nisticò, R.; Corbo, M.; Baldacci, F.; Toschi, N.; Garaci, F.; Chiesa, P.A.; et al. A Path Toward Precision Medicine for Neuroinflammatory Mechanisms in Alzheimer’s Disease. Front. Immunol. 2020, 11, 456. [Google Scholar] [CrossRef]
- Merlini, M.; Rafalski, V.A.; Coronado, P.E.R.; Gill, T.M.; Ellisman, M.; Muthukumar, G.; Subramanian, K.S.; Ryu, J.K.; Syme, C.A.; Davalos, D.; et al. Fibrinogen Induces Microglia-Mediated Spine Elimination and Cognitive Impairment in an Alzheimer’s Disease Model. Neuron 2019, 101, 1099–1108.e6. [Google Scholar] [CrossRef]
- Carmona-Iragui, M.; Fernández-Arcos, A.; Alcolea, D.; Piazza, F.; Morenas-Rodriguez, E.; Antón-Aguirre, S.; Sala, I.; Clarimon, J.; Dols-Icardo, O.; Camacho, V.; et al. Cerebrospinal Fluid Anti-Amyloid-β Autoantibodies and Amyloid PET in Cerebral Amyloid Angiopathy-Related Inflammation. J. Alzheimer’s Dis. 2016, 50, 1–7. [Google Scholar] [CrossRef]
- Boche, D.; Denham, N.; Holmes, C.; Nicoll, J.A.R. Neuropathology after active Abeta42 immunotherapy: Implications for Alzheimer’s disease pathogenesis. Acta Neuropathol. 2010, 120, 369–384. [Google Scholar] [CrossRef]
- van Veluw, S.J.; Scherlek, A.A.; Freeze, W.M.; ter Telgte, A.; van der Kouwe, A.J.; Bacskai, B.J.; Frosch, M.P.; Greenberg, S.M. Different microvascular alterations underlie microbleeds and microinfarcts. Ann. Neurol. 2019, 86, 279–292. [Google Scholar] [CrossRef] [PubMed]
- Fandler-Höfler, S.; Kaushik, K.; Storti, B.; Pikija, S.; Mallon, D.; Ambler, G.; Damavandi, P.T.; Panteleienko, L.; Canavero, I.; van Walderveen, M.A.A.; et al. Clinical-radiological presentation and natural history of iatrogenic cerebral amyloid angiopathy. J. Neurol. Neurosurg. Psychiatry 2025, 96, 832–841. [Google Scholar] [CrossRef]
- Banerjee, G.; Werring, D.J. Hiding in Plain Sight: Inflammation in Iatrogenic Cerebral Amyloid Angiopathy. Neurol. Neuroimmunol. Neuroinflamm. 2025, 12, e200493. [Google Scholar] [CrossRef] [PubMed]
- Schreiber, S.; John, A.-C.; Werner, C.J.; Vielhaber, S.; Heinze, H.-J.; Speck, O.; Würfel, J.; Behme, D.; Mattern, H. Counteraction of inflammatory activity in CAA-related subarachnoid hemorrhage. J. Neurol. 2022, 270, 1159. [Google Scholar] [CrossRef]
- Arndt, P.; Khadhraoui, E.; Müller, S.J.; Neumann, K.; Mattern, H.; Löding, S.M.; Tas, M.; Meuth, S.G.; Perosa, V.; Charidimou, A.; et al. Corticosteroid Treatment and Hemorrhage Risk in Cerebral Amyloid Angiopathy with Cortical Superficial Siderosis: A Matched Cohort Analysis. medRxiv 2025. [Google Scholar] [CrossRef]
- Traschütz, A.; Tzaridis, T.; Penner, A.-H.; Kuchelmeister, K.; Urbach, H.; Hattingen, E.; Heneka, M.T. Reduction of microbleeds by immunosuppression in a patient with Aβ-related vascular inflammation. Neurol. (R) Neuroimmunol. Neuroinflamm. 2015, 2, e165. [Google Scholar] [CrossRef]
- Maruyama, K.; Kashiwazaki, D.; Shiro, T.; Hori, E.; Akioka, N.; Okuno, N.; Kuroda, S. Repeated recurrent intracerebral hemorrhage may be involved in cerebral amyloid angiopathy-related inflammation: An autopsy case. Neuropathology 2022, 42, 226–231. [Google Scholar] [CrossRef] [PubMed]
- Su, Y.; Dong, Y.; Cheng, X. Recurrent intracerebral haemorrhages as main manifestations in cerebral amyloid angiopathy-related inflammation. Stroke Vasc. Neurol. 2024, 9, 738–740. [Google Scholar] [CrossRef]
- Pizzo, M.E.; Plowey, E.D.; Khoury, N.; Kwan, W.; Abettan, J.; DeVos, S.L.; Discenza, C.B.; Earr, T.; Joy, D.; Lye-Barthel, M.; et al. Transferrin receptor-targeted anti-amyloid antibody enhances brain delivery and mitigates ARIA. Science 2025, 389, eads3204. [Google Scholar] [CrossRef]
- Grimm, H.P.; Schumacher, V.; Schäfer, M.; Imhof-Jung, S.; Freskgård, P.-O.; Brady, K.; Hofmann, C.; Rüger, P.; Schlothauer, T.; Göpfert, U.; et al. Delivery of the BrainshuttleTM amyloid-beta antibody fusion trontinemab to non-human primate brain and projected efficacious dose regimens in humans. mAbs 2023, 15, 2261509. [Google Scholar] [CrossRef] [PubMed]
- Sin, M.K.; Dage, J.L.; Nho, K.; Dowling, N.M.; Seyfried, N.T.; Bennett, D.A.; Levey, A.I.; Ahmed, A. Plasma Biomarkers for Cerebral Amyloid Angiopathy and Implications for Amyloid-Related Imaging Abnormalities: A Comprehensive Review. J. Clin. Med. 2025, 14, 1070. [Google Scholar] [CrossRef] [PubMed]



| Spontaneous ARIA (sARIA) | Drug-Induced ARIA (dARIA) | |
|---|---|---|
| Epidemiology | Prevalence of sARIA-E in the placebo arm of RCTs was 1.7–1.9%. Real-world prevalence of sARIA or CAA-ri is unknown, while sARIA was detected in 27.4% of patients with iCAA of a multicentric cohort. | Relatively common during treatment with first-generation AAT, occurring in 10–30% of treated patients, depending on the agent, dosing, APOE ε4 status and MRI markers at baseline. |
| Proposed Pathophysiology | Immuno/inflammatory reaction triggered by endogenous anti-Aβ autoantibodies, leading to vascular fragility, microglial activation, and inflammatory BBB breakdown. | Triggered by therapeutic anti-Aβ monoclonal antibodies that disaggregate Aβ42 plaques, promoting downstream vascular deposition, microglial-mediated inflammation, and increased permeability in small vessels. |
| Neuropathological features | CAA-ri is usually characterized by perivascular inflammation with activated microglia, T-cells, and multinucleated Aβ-containing cells surrounding CAA-affected vessels. | Characterized by plaque clearance with persistent or enhanced vascular Aβ, microglial activation, perivascular macrophages, fibrinoid necrosis, and inflammatory vasculopathy. |
| Clinical Manifestations | CAA-ri typically presents with subacute encephalopathy, cognitive decline, or focal deficits. MRI is often performed during symptomatic episodes, though minimally symptomatic cases were also described. In the placebo arm of RCTs, most of the spontaneous ARIA-E were asymptomatic. | Most cases are asymptomatic or mildly symptomatic—detected through scheduled MRI monitoring—with occasional headache, confusion, or seizures, and only a small minority developing clinically significant ARIA-E. |
| Neuroimaging characteristics | CAA-ri is usually characterized by: -Unifocal or multifocal hyperintense lesions (cortico-subcortical or deep) that are asymmetric and extend to the immediately subcortical white matter -Presence CMB or cSS, frequently colocalized with ARIA-E Although not included in the CAA-ri diagnostic criteria, leptomeningeal involvement similar to the drug-induced counterpart have been described. | ARIA-E may present as parenchymal edema, sulcal effusion, or a combination of both. The imaging pattern is similar to vasogenic edema, represented by hyperintense signal on T2-FLAIR in the white matter, gray matter, or both. There may be associated local mass effect and gyral swelling. ARIA-H includes CMB, cSS (frequently colocalized with ARIA-E), or lobar ICH. |
| Management and therapeutic approach | Diagnosis requires exclusion of alternative causes, after which early high-dose corticosteroids with a prolonged taper should be administered to prevent neurological deterioration. Because patients may relapse, long-term immunosuppression with steroid-sparing agents are sometimes required. | Management is usually conservative, with temporary suspension of the AAT and serial MRI surveillance, as most cases resolve spontaneously without immunosuppression. Corticosteroids are reserved for symptomatic or radiologically severe ARIA, while long-term treatment decisions focus on balancing ARIA risk with the continuation of disease-modifying therapy. |
Disclaimer/Publisher’s Note: The statements, opinions and data contained in all publications are solely those of the individual author(s) and contributor(s) and not of MDPI and/or the editor(s). MDPI and/or the editor(s) disclaim responsibility for any injury to people or property resulting from any ideas, methods, instructions or products referred to in the content. |
© 2026 by the authors. Licensee MDPI, Basel, Switzerland. This article is an open access article distributed under the terms and conditions of the Creative Commons Attribution (CC BY) license.
Share and Cite
Zedde, M.; Losa, M.; Grisafi, E.; Lucia, D.D.; Gandoglia, I.; Del Sette, M.; Pardini, M.; Roccatagliata, L.; Pascarella, R.; Piazza, F. Spontaneous and Drug-Induced Amyloid-Related Imaging Abnormalities: Overlaps, Divergences, and Clinical Implications Across a Continuum Between Alzheimer’s Disease and Cerebral Amyloid Angiopathy. Biomolecules 2026, 16, 89. https://doi.org/10.3390/biom16010089
Zedde M, Losa M, Grisafi E, Lucia DD, Gandoglia I, Del Sette M, Pardini M, Roccatagliata L, Pascarella R, Piazza F. Spontaneous and Drug-Induced Amyloid-Related Imaging Abnormalities: Overlaps, Divergences, and Clinical Implications Across a Continuum Between Alzheimer’s Disease and Cerebral Amyloid Angiopathy. Biomolecules. 2026; 16(1):89. https://doi.org/10.3390/biom16010089
Chicago/Turabian StyleZedde, Marialuisa, Mattia Losa, Elena Grisafi, Davide D. Lucia, Ilaria Gandoglia, Massimo Del Sette, Matteo Pardini, Luca Roccatagliata, Rosario Pascarella, and Fabrizio Piazza. 2026. "Spontaneous and Drug-Induced Amyloid-Related Imaging Abnormalities: Overlaps, Divergences, and Clinical Implications Across a Continuum Between Alzheimer’s Disease and Cerebral Amyloid Angiopathy" Biomolecules 16, no. 1: 89. https://doi.org/10.3390/biom16010089
APA StyleZedde, M., Losa, M., Grisafi, E., Lucia, D. D., Gandoglia, I., Del Sette, M., Pardini, M., Roccatagliata, L., Pascarella, R., & Piazza, F. (2026). Spontaneous and Drug-Induced Amyloid-Related Imaging Abnormalities: Overlaps, Divergences, and Clinical Implications Across a Continuum Between Alzheimer’s Disease and Cerebral Amyloid Angiopathy. Biomolecules, 16(1), 89. https://doi.org/10.3390/biom16010089

