HSP70 Ameliorates Septic Lung Injury via Inhibition of Apoptosis by Interacting with KANK2
Abstract
:1. Introduction
2. Materials and Methods
2.1. Animals and Sepsis Model
2.2. Enzyme-Linked Immunosorbent Assay
2.3. Cell Culture and Cell Treatment
2.4. Lentivirus Transduction and Cell Transfection
2.5. Cell Viability by Cell-Counting Kit (CCK)-8
2.6. Clone Formation Assay
2.7. Flow Cytometry
2.8. Western Blotting
2.9. Immunoprecipitation
2.10. Quantitative PCR
2.11. TdT-Mediated dUTP Nick End Labelling (TUNEL) Staining
2.12. RNA Sequencing
2.13. Silver Stain and Mass Spectrometry
2.14. Immunofluorescence, Hematoxylin and Eosin (H&E) Staining, and Immunohistochemistry
2.15. Mitochondrial Membrane Potential Detection
2.16. Statistical Analysis
3. Results
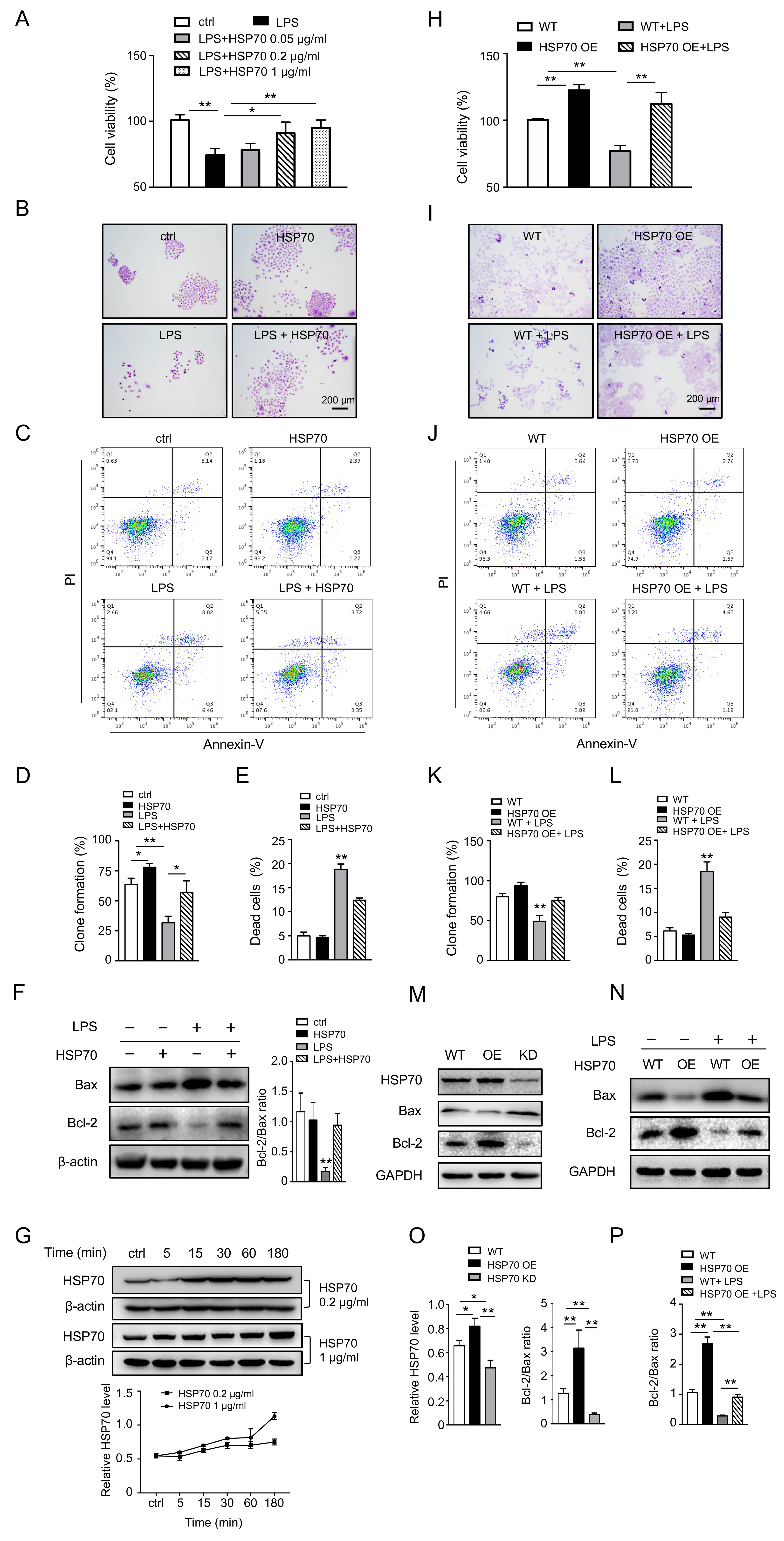
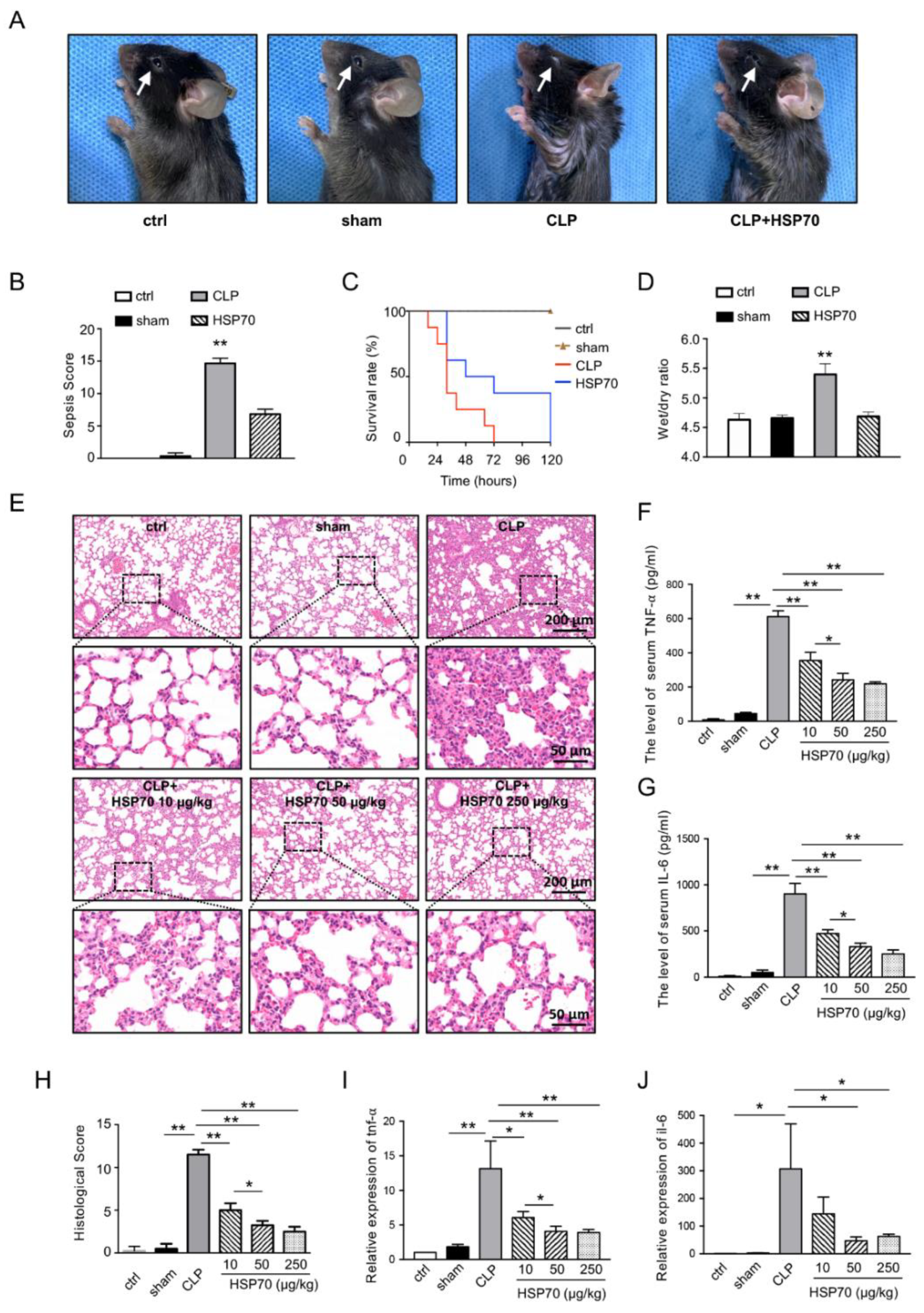
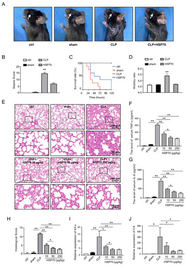
3.1. HSP70 Alleviates Pulmonary Functions in Septic ALI through Reducing Apoptosis In Vivo and In Vitro
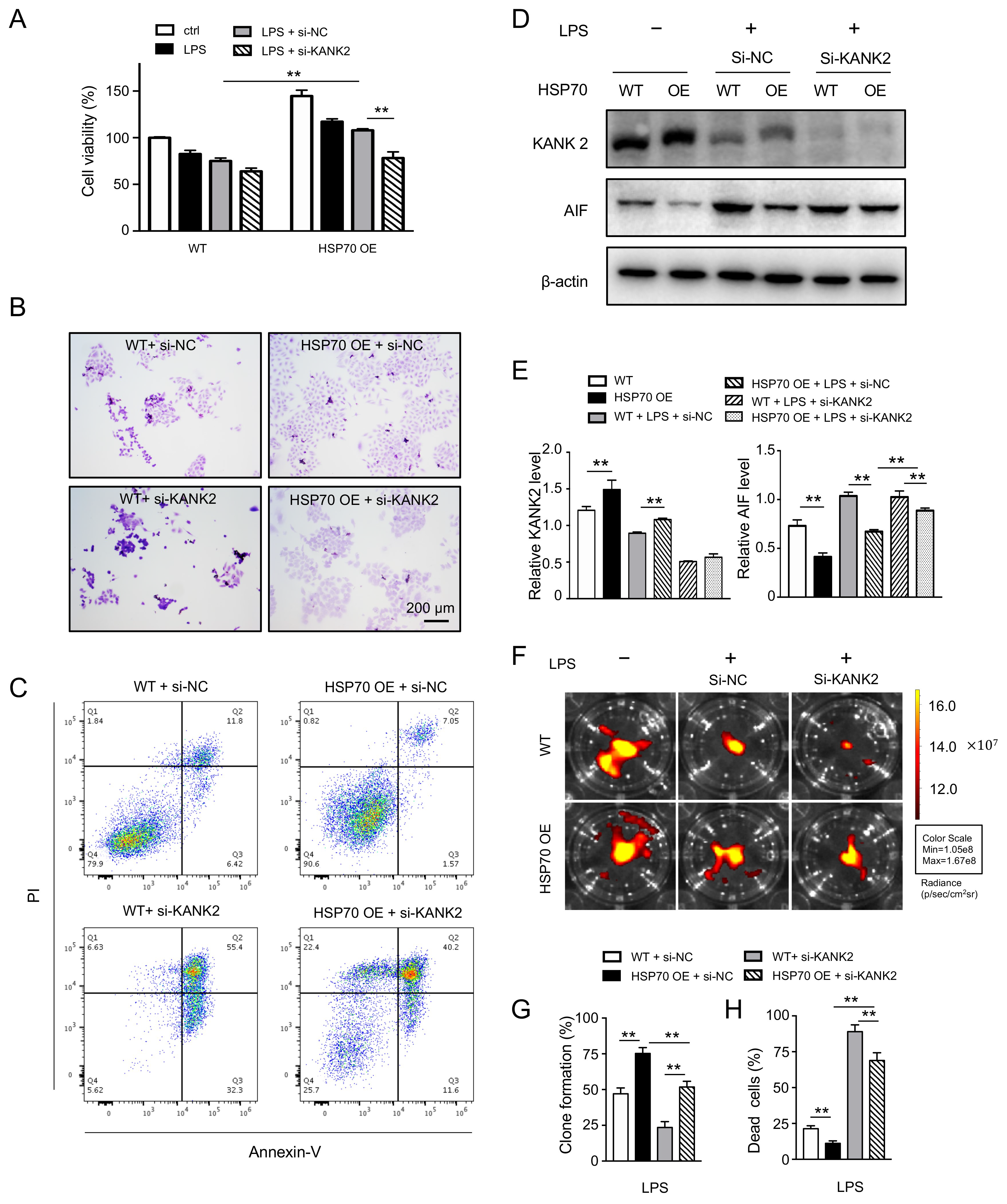
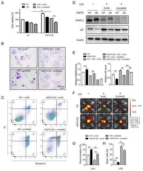
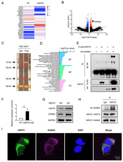
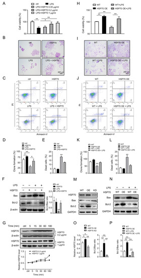
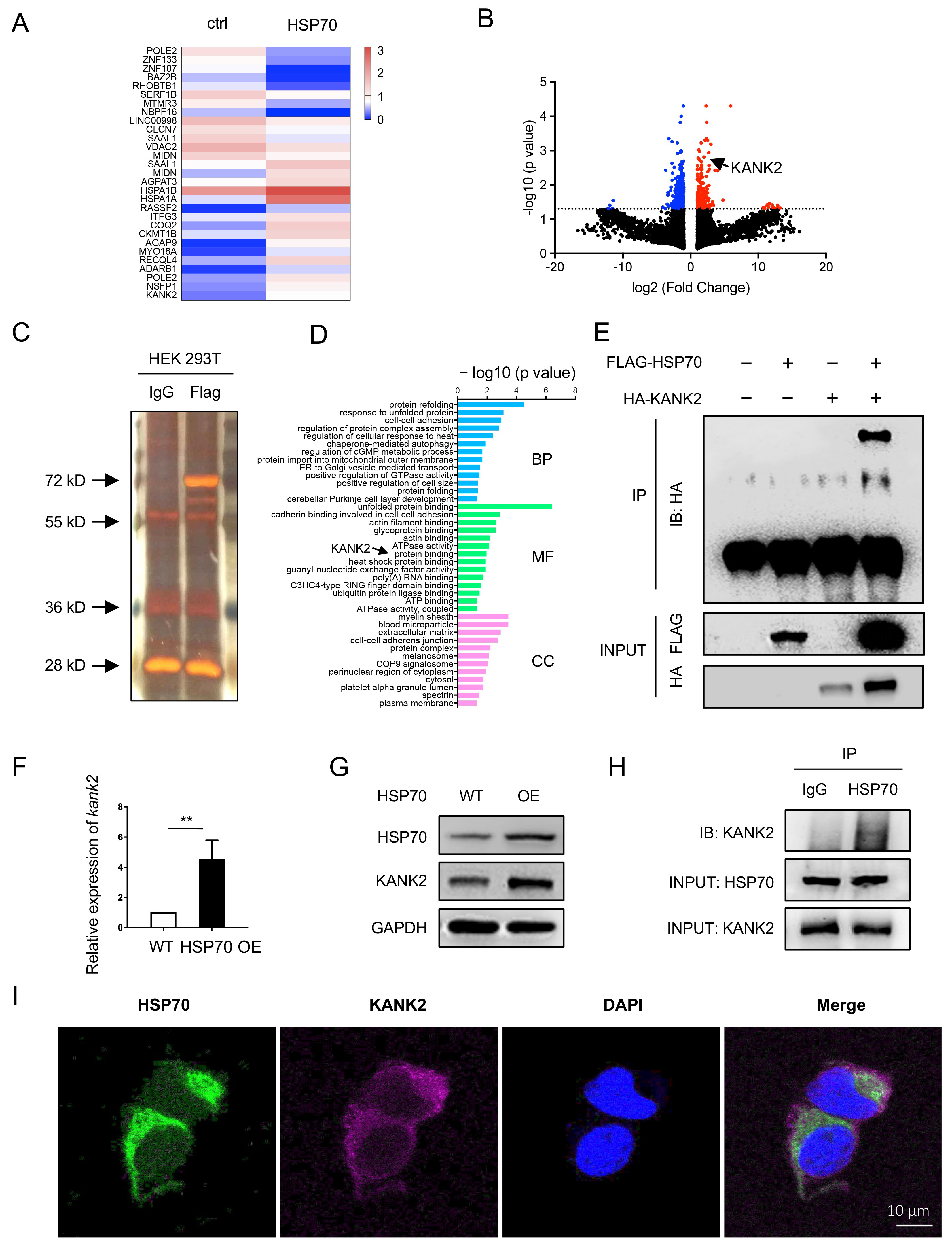
3.2. HSP70 Interacts with KANK2 to Prevent Epithelial Cells from Apoptosis In Vitro
3.3. Interaction of KANK2 and HSP70 Inhibits Apoptosis and Ameliorates Septic Lung Function In Vivo
4. Discussion
5. Conclusions
Author Contributions
Funding
Institutional Review Board Statement
Informed Consent Statement
Data Availability Statement
Acknowledgments
Conflicts of Interest
Abbreviations
| ALI | acute lung injury |
| HSP | heat shock protein |
| CLP | cecal ligation and puncture |
| OE | overexpress |
| KO | knockout |
| IP | immunoprecipitation |
| IB | immunoblotting |
| WB | Western blot |
| IF | immunofluorescence |
| KANK2 | KN motif and ankyrin repeat domains 2 |
| SRC | steroid receptor coactivator |
| SIP | SRC-interacting protein |
| AIF | apoptosis-inducing factor |
| TNF-α | tumor necrosis factor-α |
| IL-6 | interleukin-6 |
| ELISA | enzyme-linked immunosorbent assay |
| PCR | polymerase chain reaction |
| H&E | hematoxylin and eosin |
| si-RNA | small interfering RNA |
| IHC | immunohistochemistry |
| TUNEL | terminal deoxynucleotidyl transferase dUTP nick end labelling |
| h | hour |
| MSS | murine sepsis score |
References
- Singer, M.; Deutschman, C.S.; Seymour, C.W.; Shankar-Hari, M.; Annane, D.; Bauer, M.; Bellomo, R.; Bernard, G.R.; Chiche, J.D.; Coopersmith, C.M.; et al. The Third International Consensus Definitions for Sepsis and Septic Shock. JAMA 2016, 315, 801–810. [Google Scholar] [CrossRef] [PubMed]
- Seymour, C.W.; Rosengart, M.R. Septic Shock: Advances in Diagnosis and Treatment. JAMA 2015, 314, 708–717. [Google Scholar] [CrossRef] [PubMed] [Green Version]
- Reinhart, K.; Daniels, R.; Kissoon, N.; Machado, F.R.; Schachter, R.D.; Finfer, S. Recognizing Sepsis as a Global Health Priority—A WHO Resolution. N. Engl. J. Med. 2017, 377, 414–417. [Google Scholar] [CrossRef] [PubMed]
- Prescott, H.C.; Angus, D.C. Postsepsis Morbidity. JAMA 2018, 319, 91. [Google Scholar] [CrossRef] [PubMed] [Green Version]
- Suffredini, A.F.; Munford, R.S. Novel therapies for septic shock over the past 4 decades. JAMA 2011, 306, 194–199. [Google Scholar] [CrossRef]
- Angus, D.C. The search for effective therapy for sepsis: Back to the drawing board? JAMA 2011, 306, 2614–2615. [Google Scholar] [CrossRef]
- Abbasi, J. In Treating Sepsis, Questions About Timing and Mandates. JAMA 2017, 318, 506–508. [Google Scholar] [CrossRef]
- Johnson, E.R.; Matthay, M.A. Acute lung injury: Epideiology pathogenesis and treatment. J. Aerosol. Med. 2010, 23, 243–252. [Google Scholar] [CrossRef]
- Ragaller, M.; Richter, T. Acute lung injury and acute respiratory distress syndrome. J. Emerg. Trauma Shock 2010, 3, 43–51. [Google Scholar] [CrossRef]
- Li, W.; Wu, X.; Yu, J.; Ma, C.; Zhuang, P.; Zeng, J.; Zhang, J.; Deng, G.; Wang, Y. Magnesium sulfate attenuates lipopolysaccharides-induced acute lung injury in mice. Chin. J. Physiol. 2019, 62, 203–209. [Google Scholar]
- Kawasaki, M.; Kuwano, K.; Hagimoto, N.; Matsuba, T.; Kunitake, R.; Tanaka, T.; Maeyama, T.; Hara, N. Protection from lethal apoptosis in lipopolysaccharide-induced acute lung injury in mice by a caspase inhibitor. Am. J. Pathol. 2000, 157, 597–603. [Google Scholar] [CrossRef] [Green Version]
- Kitamura, Y.; Hashimoto, S.; Mizuta, N.; Kobayashi, A.; Kooguchi, K.; Fujiwara, I.; Nakajima, H. Fas/FasL-dependent apoptosis of alveolar cells after lipopolysaccharide-induced lung injury in mice. Am. J. Respir. Crit. Care Med. 2001, 163 Pt 1, 762–769. [Google Scholar] [CrossRef] [PubMed] [Green Version]
- Minowada, G.; Welch, W.J. Clinical implications of the stress response. J. Clin. Investig. 1995, 95, 3–12. [Google Scholar] [CrossRef] [PubMed]
- Hunt, C.; Calderwood, S. Characterization and sequence of a mouse hsp70 gene and its expression in mouse cell lines. Gene 1990, 87, 199–204. [Google Scholar] [CrossRef]
- Mashaghi, A.; Bezrukavnikov, S.; Minde, D.P.; Wentink, A.S.; Kityk, R.; Zachmann-Brand, B.; Mayer, M.P.; Kramer, G.; Bukau, B.; Tans, S.J. Alternative modes of client binding enable functional plasticity of Hsp70. Nature 2016, 539, 448–451. [Google Scholar] [CrossRef] [PubMed]
- Kampinga, H.H.; Craig, E.A. The HSP70 chaperone machinery: J proteins as drivers of functional specificity. Nat. Rev. Mol. Cell Biol. 2010, 11, 579–592. [Google Scholar] [CrossRef] [Green Version]
- Nillegoda, N.B.; Kirstein, J.; Szlachcic, A.; Berynskyy, M.; Stank, A.; Stengel, F.; Arnsburg, K.; Gao, X.; Scior, A.; Aebersold, R.; et al. Crucial HSP70 co-chaperone complex unlocks metazoan protein disaggregation. Nature 2015, 524, 247–251. [Google Scholar] [CrossRef] [Green Version]
- Rosenzweig, R.; Nillegoda, N.B.; Mayer, M.P.; Bukau, B. The Hsp70 chaperone network. Nat. Rev. Mol. Cell Biol. 2019, 20, 665–680. [Google Scholar] [CrossRef]
- Kim, E.K.; Park, J.D.; Shim, S.Y.; Kim, H.S.; Kim, B.I.; Choi, J.H.; Kim, J.E. Effect of chronic hypoxia on proliferation, apoptosis, and HSP70 expression in mouse bronchiolar epithelial cells. Physiol. Res. 2006, 55, 405–411. [Google Scholar]
- Kondrikov, D.; Fulton, D.; Dong, Z.; Su, Y. Heat Shock Protein 70 Prevents Hyperoxia-Induced Disruption of Lung Endothelial Barrier via Caspase-Dependent and AIF-Dependent Pathways. PLoS ONE 2015, 10, e0129343. [Google Scholar] [CrossRef]
- Mai, S.H.C.; Sharma, N.; Kwong, A.C.; Dwivedi, D.J.; Khan, M.; Grin, P.M.; Fox-Robichaud, A.E.; Liaw, P.C. Body temperature and mouse scoring systems as surrogate markers of death in cecal ligation and puncture sepsis. Intensive Care Med. Exp. 2018, 6, 20. [Google Scholar] [CrossRef] [PubMed] [Green Version]
- Wu, S.; Pei, Q.; Ni, W.; Fu, X.; Zhang, W.; Song, C.; Peng, Y.; Guo, Q.; Dong, J.; Yao, M. HSPA1A Protects Cells from Thermal Stress by Impeding ESCRT-0-Mediated Autophagic Flux in Epidermal Thermoresistance. J. Investig. Dermatol. 2021, 141, 48–58.e4. [Google Scholar] [CrossRef] [PubMed]
- Guo, Y.; Lin, C.; Xu, P.; Wu, S.; Fu, X.; Xia, W.; Yao, M. AGEs Induced Autophagy Impairs Cutaneous Wound Healing via Stimulating Macrophage Polarization to M1 in Diabetes. Sci. Rep. 2016, 6, 36416. [Google Scholar] [CrossRef] [PubMed]
- Chevallet, M.; Luche, S.; Rabilloud, T. Silver staining of proteins in polyacrylamide gels. Nat. Protoc. 2006, 1, 1852–1858. [Google Scholar] [CrossRef] [Green Version]
- Cigana, C.; Lore, N.I.; Riva, C.; De Fino, I.; Spagnuolo, L.; Sipione, B.; Rossi, G.; Nonis, A.; Cabrini, G.; Bragonzi, A. Tracking the immunopathological response to Pseudomonas aeruginosa during respiratory infections. Sci. Rep. 2016, 6, 21465. [Google Scholar] [CrossRef] [Green Version]
- Wang, D.; Liang, J.; Zhang, Y.; Gui, B.; Wang, F.; Yi, X.; Sun, L.; Yao, Z.; Shang, Y. Steroid receptor coactivator-interacting protein (SIP) inhibits caspase-independent apoptosis by preventing apoptosis-inducing factor (AIF) from being released from mitochondria. J. Biol. Chem. 2012, 287, 12612–12621. [Google Scholar] [CrossRef] [Green Version]
- Zhang, Y.; Song, C.; Ni, W.; Pei, Q.; Ying, Y.; Yao, M. HSP70 Ameliorates Septic Acute Kidney Injury via Inhibition of Inflammation-Mediated Apoptosis by Binding to TRAF6. J. Inflamm. Res. 2022, submitted.
- De Freitas, L.F.; Hamblin, M.R. Proposed Mechanisms of Photobiomodulation or Low-Level Light Therapy. IEEE J. Sel. Top. Quantum. Electron. 2016, 22, 348–364. [Google Scholar] [CrossRef] [Green Version]
- Akerfelt, M.; Morimoto, R.I.; Sistonen, L. Heat shock factors: Integrators of cell stress, development and lifespan. Nat. Rev. Mol. Cell Biol. 2010, 11, 545–555. [Google Scholar] [CrossRef]
- Trepel, J.; Mollapour, M.; Giaccone, G.; Neckers, L. Targeting the dynamic HSP90 complex in cancer. Nat. Rev. Cancer 2010, 10, 537–549. [Google Scholar] [CrossRef] [Green Version]
- Vardas, K.; Apostolou, K.; Briassouli, E.; Goukos, D.; Psarra, K.; Botoula, E.; Tsagarakis, S.; Magira, E.; Routsi, C.; Nanas, S.; et al. Early response roles for prolactin cortisol and circulating and cellular levels of heat shock proteins 72 and 90α in severe sepsis and SIRS. BioMed Res. Int. 2014, 2014, 803561. [Google Scholar] [CrossRef]
- Moran Luengo, T.; Mayer, M.P.; Rudiger, S.G.D. The Hsp70-Hsp90 Chaperone Cascade in Protein Folding. Trends Cell Biol. 2019, 29, 164–177. [Google Scholar] [CrossRef]
- Chen, G.; Cao, P.; Goeddel, D.V. TNF-induced recruitment and activation of the IKK complex require Cdc37 and Hsp90. Mol. Cell 2002, 9, 401–410. [Google Scholar] [CrossRef]
- Ran, R.; Lu, A.; Zhang, L.; Tang, Y.; Zhu, H.; Xu, H.; Feng, Y.; Han, C.; Zhou, G.; Rigby, A.C.; et al. Hsp70 promotes TNF-mediated apoptosis by binding IKK gamma and impairing NF-kappa B survival signaling. Genes Dev. 2004, 18, 1466–1481. [Google Scholar] [CrossRef] [Green Version]
- Ambade, A.; Catalano, D.; Lim, A.; Mandrekar, P. Inhibition of heat shock protein (molecular weight 90 kDa) attenuates proinflammatory cytokines and prevents lipopolysaccharide-induced liver injury in mice. Hepatology 2012, 55, 1585–1595. [Google Scholar] [CrossRef] [Green Version]
- Wang, Y.L.; Shen, H.H.; Cheng, P.Y.; Chu, Y.J.; Hwang, H.R.; Lam, K.K.; Lee, Y.M. 17-DMAG, an HSP90 Inhibitor, Ameliorates Multiple Organ Dysfunction Syndrome via Induction of HSP70 in Endotoxemic Rats. PLoS ONE 2016, 11, e0155583. [Google Scholar] [CrossRef] [Green Version]
- Yamanaka, K.; Takahashi, N.; Ooie, T.; Kaneda, K.; Yoshimatsu, H.; Saikawa, T. Role of protein kinase C in geranylgeranylacetone-induced expression of heat-shock protein 72 and cardioprotection in the rat heart. J. Mol. Cell. Cardiol. 2003, 35, 785–794. [Google Scholar] [CrossRef]
- Liu, J.; Kam, K.W.; Zhou, J.J.; Yan, W.Y.; Chen, M.; Wu, S.; Wong, T.M. Effects of heat shock protein 70 activation by metabolic inhibition preconditioning or kappa-opioid receptor stimulation on Ca2+ homeostasis in rat ventricular myocytes subjected to ischemic insults. J. Pharmacol. Exp. Ther. 2004, 310, 606–613. [Google Scholar] [CrossRef]
- Zhou, J.J.; Pei, J.M.; Wang, G.Y.; Wu, S.; Wang, W.P.; Cho, C.H.; Wong, T.M. Inducible HSP70 mediates delayed cardioprotection via U-50488H pretreatment in rat ventricular myocytes. Am. J. Physiol. Heart Circ. Physiol. 2001, 281, H40–H47. [Google Scholar] [CrossRef]
- Li, Q.; Shi, M.; Li, B. Anandamide enhances expression of heat shock protein 72 to protect against ischemia-reperfusion injury in rat heart. J. Physiol. Sci. 2013, 63, 47–53. [Google Scholar] [CrossRef]
- Taniguchi, Y.; Takahashi, N.; Fukui, A.; Nagano-Torigoe, Y.; Thuc, L.C.; Teshima, Y.; Shinohara, T.; Wakisaka, O.; Ooie, T.; Murozono, Y.; et al. Candesartan restored cardiac Hsp72 expression and tolerance against reperfusion injury in hereditary insulin-resistant rats. Cardiovasc. Res. 2011, 92, 439–448. [Google Scholar] [CrossRef]
- Torigoe, Y.; Takahashi, N.; Hara, M.; Yoshimatsu, H.; Saikawa, T. Adrenomedullin improves cardiac expression of heat-shock protein 72 and tolerance against ischemia/reperfusion injury in insulin-resistant rats. Endocrinology 2009, 150, 1450–1455. [Google Scholar] [CrossRef] [Green Version]
- Becker, T.; Hartl, F.U.; Wieland, F. CD40, an extracellular receptor for binding and uptake of Hsp70-peptide complexes. J. Cell Biol. 2002, 158, 1277–1285. [Google Scholar] [CrossRef] [Green Version]
- Theriault, J.R.; Adachi, H.; Calderwood, S.K. Role of scavenger receptors in the binding and internalization of heat shock protein 70. J. Immunol. 2006, 177, 8604–8611. [Google Scholar] [CrossRef] [Green Version]
- Yurinskaya, M.; Zatsepina, O.G.; Vinokurov, M.G.; Bobkova, N.V.; Garbuz, D.G.; Morozov, A.V.; Kulikova, D.A.; Mitkevich, V.A.; Makarov, A.A.; Funikov, S.Y.; et al. The Fate of Exogenous Human HSP70 Introduced into Animal Cells by Different Means. Curr. Drug Deliv. 2015, 12, 524–532. [Google Scholar] [CrossRef]
- Kakinuma, N.; Zhu, Y.; Wang, Y.; Roy, B.C.; Kiyama, R. Kank proteins: Structure, functions and diseases. Cell Mol. Life Sci. 2009, 66, 2651–2659. [Google Scholar] [CrossRef]
- Hudson, C.A.; McArdle, C.A.; Lopez Bernal, A. Steroid receptor co-activator interacting protein (SIP) mediates EGF-stimulated expression of the prostaglandin synthase COX2 and prostaglandin release in human myometrium. Mol. Hum. Reprod. 2016, 22, 512–525. [Google Scholar] [CrossRef] [Green Version]
- Zhang, Y.; Zhang, H.; Liang, J.; Yu, W.; Shang, Y. SIP, a novel ankyrin repeat containing protein, sequesters steroid receptor coactivators in the cytoplasm. EMBO J. 2007, 26, 2645–2657. [Google Scholar] [CrossRef]
- Chen, X.; Zhu, B. Steroid Receptor Coactivator-Interacting Protein (SIP) Suppresses Myocardial Injury Caused by Acute Pancreatitis. Med. Sci. Monit. 2018, 24, 3204–3211. [Google Scholar] [CrossRef]
- Liu, W.; Chen, Y.; Lu, G.; Sun, L.; Si, J. Down-regulation of HSP70 sensitizes gastric epithelial cells to apoptosis and growth retardation triggered by H. pylori. BMC Gastroenterol. 2011, 11, 146. [Google Scholar] [CrossRef] [Green Version]
- Choudhury, S.; Bae, S.; Ke, Q.; Lee, J.Y.; Kim, J.; Kang, P.M. Mitochondria to nucleus translocation of AIF in mice lacking Hsp70 during ischemia/reperfusion. Basic Res. Cardiol. 2011, 106, 397–407. [Google Scholar] [CrossRef] [Green Version]
- Matsumori, Y.; Hong, S.M.; Aoyama, K.; Fan, Y.; Kayama, T.; Sheldon, R.A.; Vexler, Z.S.; Ferriero, D.M.; Weinstein, P.R.; Liu, J. Hsp70 overexpression sequesters AIF and reduces neonatal hypoxic/ischemic brain injury. J. Cereb. Blood Flow Metab. 2005, 25, 899–910. [Google Scholar] [CrossRef] [Green Version]






Publisher’s Note: MDPI stays neutral with regard to jurisdictional claims in published maps and institutional affiliations. |
© 2022 by the authors. Licensee MDPI, Basel, Switzerland. This article is an open access article distributed under the terms and conditions of the Creative Commons Attribution (CC BY) license (https://creativecommons.org/licenses/by/4.0/).
Share and Cite
Pei, Q.; Ni, W.; Yuan, Y.; Yuan, J.; Zhang, X.; Yao, M. HSP70 Ameliorates Septic Lung Injury via Inhibition of Apoptosis by Interacting with KANK2. Biomolecules 2022, 12, 410. https://doi.org/10.3390/biom12030410
Pei Q, Ni W, Yuan Y, Yuan J, Zhang X, Yao M. HSP70 Ameliorates Septic Lung Injury via Inhibition of Apoptosis by Interacting with KANK2. Biomolecules. 2022; 12(3):410. https://doi.org/10.3390/biom12030410
Chicago/Turabian StylePei, Qing, Wei Ni, Yihang Yuan, Jing Yuan, Xiong Zhang, and Min Yao. 2022. "HSP70 Ameliorates Septic Lung Injury via Inhibition of Apoptosis by Interacting with KANK2" Biomolecules 12, no. 3: 410. https://doi.org/10.3390/biom12030410
APA StylePei, Q., Ni, W., Yuan, Y., Yuan, J., Zhang, X., & Yao, M. (2022). HSP70 Ameliorates Septic Lung Injury via Inhibition of Apoptosis by Interacting with KANK2. Biomolecules, 12(3), 410. https://doi.org/10.3390/biom12030410
