The Acute and Short-Term Inhalation of Carbon Nanofiber in Sprague-Dawley Rats
Abstract
:1. Introduction
2. Materials and Methods
2.1. Characterization of Carbon Nanofibers
2.2. Aerosol Generation and Monitoring in Chamber
2.3. Animals and Conditions
2.4. Organ Weights, Gross Pathology, and Histopathology
2.5. Hematology and Blood Biochemistry
2.6. Bronchoalveolar Lavage (BAL) Cell Analysis and Measurement of Inflammatory Markers in BAL Fluid (BALF)
2.7. Lung Deposition Estimation Using MPPD (Multiple-Path Particle Dosimetry) Modeling
2.8. Statistical Analysis
3. Results
3.1. Characterization of CNF and CNF Aerosols
3.2. Animal and Conditions
3.3. Blood Hematology and Biochemistry
3.4. BAL Fluid Studies
3.5. Blood Coagulation
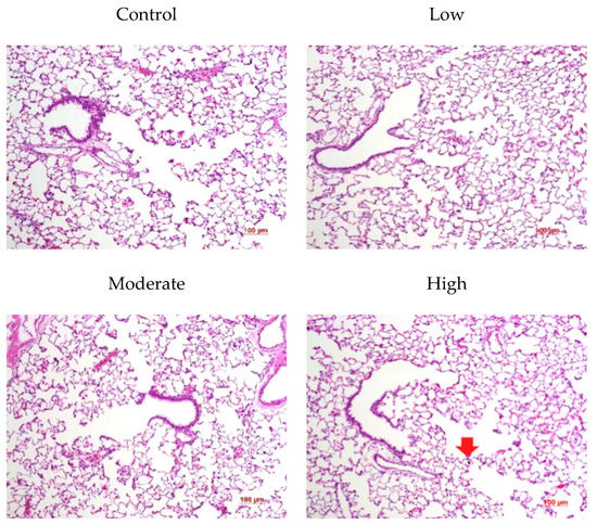
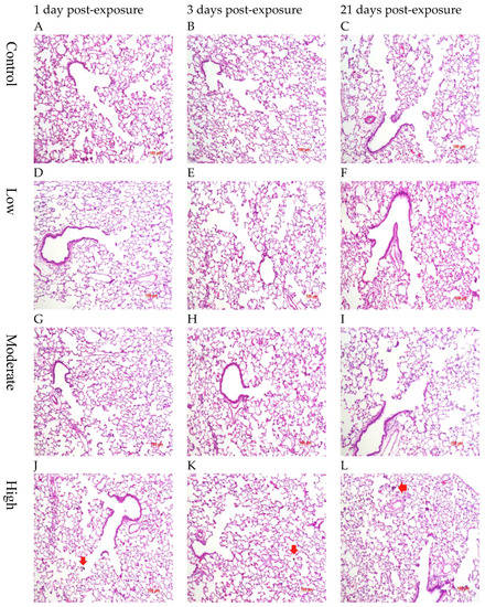
3.6. Histopathology
3.7. Estimation of CNF Deposition in the Pulmonary Region
4. Discussion
Supplementary Materials
Author Contributions
Funding
Institutional Review Board Statement
Informed Consent Statement
Data Availability Statement
Conflicts of Interest
References
- Rodríguez, F.; Caruana, P.; De la Fuente, N.; Español, P.; Gámez, M.; Balart, J.; Llurba, E.; Rovira, R.; Ruiz, R.; Martín-Lorente, C.; et al. Nano-Based Approved Pharmaceuticals for Cancer Treatment: Present and Future Challenges. Biomolecules 2022, 12, 784. [Google Scholar] [CrossRef] [PubMed]
- Magro, M.; Venerando, A.; Macone, A.; Canettieri, G.; Agostinelli, E.; Vianello, F. Nanotechnology-Based Strategies to Develop New Anticancer Therapies. Biomolecules 2020, 10, 735. [Google Scholar] [CrossRef] [PubMed]
- Esposito, M.C.; Corsi, I.; Russo, G.L.; Punta, C.; Tosti, E.; Gallo, A. The Era of Nanomaterials: A Safe Solution or a Risk for Marine Environmental Pollution? Biomolecules 2021, 11, 441. [Google Scholar] [CrossRef] [PubMed]
- ISO/TS 80004–3; Nanotechnologies—Vocabulary Part 3: Carbon Nano-Objects. International Organization for Standardization: Geneva, Switzerland, 2010.
- Sharon, M.; Sharon, M. Carbon Nanofibers: Fundamentals and Applications; Wiley: Hoboken, NJ, USA, 2021. [Google Scholar] [CrossRef]
- IARC (International Agency for Research on Cancer). IARC Monograph on the Evaluation of Carcinogenic Risks to Human: Some Nanomaterials and Some Fibres; IARC: Lyon, France, 2017; Volume 111. [Google Scholar]
- Murray, A.R.; Kisin, E.R.; Tkach, A.V.; Yanamala, N.; Mercer, R.; Young, S.H.; Fadeel, B.; Kagan, V.E.; Shvedova, A.A. Factoring-in agglomeration of carbon nanotubes and nanofibers for better prediction of their toxicity versus asbestos. Part. Fibre Toxicol. 2012, 9, 10. [Google Scholar] [CrossRef] [PubMed]
- Shvedova, A.A.; Tkach, A.; Kisin, E.R.; Murray, A.R.; Yanamala, N.; Hubbs, A.; Keohavong, P.; Sycheva, L.P.; Kagan, V.E.; Castranova, V. Long-term effects of carbon containing engineered nanomaterials and asbestos in the lung: One year post exposure comparisons. Am. J. Physiol. Lung Cell. Mol. Physiol. 2014, 306, L170–L182. [Google Scholar] [CrossRef] [PubMed]
- Delorme, M.P.; Muro, Y.; Arai, T.; Banas, D.A.; Frame, S.R.; Reed, K.L.; Warheit, D.B. Ninety-day inhalation toxicity study with a vapor grown carbon nanofiber in rats. Toxicol. Sci. 2012, 128, 449–460. [Google Scholar] [CrossRef] [PubMed]
- Essa, W.K.; Yasin, S.A.; Saeed, I.A.; Ali, G.A.M. Nanofiber-Based Face Masks and Respirators as COVID-19 Protection: A Review. Membranes 2021, 11, 250. [Google Scholar] [CrossRef] [PubMed]
- OECD. OECD Guideline for the Testing of Chemicals 403: Acute Inhalation Toxicity Study; OECD: Paris, France, 2009. [Google Scholar]
- Jeon, K.S.; Yi, J.S.; Yu, I.J. Use of short-term inhalation study to obtain initial hazard data and prepare for subacute and subchronic inhalation studies, and toxicokinetic studies. In In Vivo Inhalation Screening Methods for Manufactured Nanomateirals; Takabayashi, T., Landsiedel, R., Gamo, M., Eds.; Springer Nature Singapore Pte Ltd.: Singapore, Singapore, 2019. [Google Scholar]
- NIOSH (National Institute of Occupational Safety and Health). Manual of Analytical Methods (NMAM) Method 7300: Asbestos by TEM; NIOSH: Cincinnati, OH, USA, 1994.
- Kim, J.K.; Kim, H.P.; Park, J.D.; Ahn, K.; Kim, W.Y.; Gulumian, M.; Oberdörster, G.; Yu, I.J. Lung retention and particokinetics of silver and gold nanoparticles in rats following subacute inhalation co-exposure. Part. Fibre Toxicol. 2021, 18, 5. [Google Scholar] [CrossRef] [PubMed]
- Kim, D.I.; Song, M.-K.; Lee, K. Diesel Exhaust Particulates Enhances Susceptibility of LPS-Induced Acute Lung Injury through Upregulation of the IL-17 Cytokine-Derived TGF-β1/Collagen I Expression and Activation of NLRP3 Inflammasome Signaling in Mice. Biomolecules 2021, 11, 67. [Google Scholar] [CrossRef] [PubMed]
- MPPD (Multiple-Path Particle Dosimetry Model) v. 3.04. 2018. Available online: https://www.ara.com/products/multiple-path-particle-dosimetry-model-mppd-v-304 (accessed on 18 January 2018).
- Anjilvel, S.; Asgharian, B. A multiple-path model of particle deposition in the rat lung. Fundam. Appl. Toxicol. 1995, 28, 41–50. [Google Scholar] [CrossRef] [PubMed]
- RIVM (National Institute for Public Health and the Environment). Multiple Path Particle Dosimetry Model (MPPD v 1.0): A Model for Human and Rat Airway Particle Dosimetry; RIVA Report 650010030; RIVM: Bilthoven, The Netherlands, 2002.
- OECD. OECD Guideline for the Testing of Chemicals 412: 28-Day (Subacute) Inhalation Toxicity Study; OECD: Paris, France, 2017. [Google Scholar]
- OECD. OECD Guideline for the Testing of Chemicals 412: 28-Day (Subchronic) Inhalation Toxicity Study; OECD: Paris, France, 2017. [Google Scholar]
- ISO/TR 19601; Nanotechnologies—Aerosol Generation for Air Exposure Studies of Nano-Objects and Their Aggregates and Agglomerates (NOAA). International Organization for Standardization: Geneva, Switzerland, 2017.
- Hinds, W.P. Aerosol Technology: Properties, Behavior, and Measurement of Airborne Particles; John Wiley & Sons, Inc.: Hoboken, NJ, USA, 1999. [Google Scholar]
- TR/5387; Nanotechnology-Lung Burden Mass Measurement of Nanomaterials for Inhalation Toxicity Tests. ISO: Geneva, Switzerland, 2022.
- KCL (Korea Conformity Laboratories). A Report on Development of Safety Technology and Standardization for Nanomaterials and Nanoproducts; Final Report Submitted to the Korea Evaluation Institute of Industrial Technology; KCL: Seoul, Korea, 2017. (In Korean) [Google Scholar]
- US NIOSH (National Institute for Occupational Safety and Health). Current Intelligence Bulletin 65: Occupational Exposure to Carbon Nanotubes and Nanofibers; NIOSH: Cincinnati, OH, USA, 2013.
- Kasai, T.; Umeda, Y.; Ohnishi, M.; Mine, T.; Kondo, H.; Takeuchi, T.; Matsumoto, M.; Fukushima, S. Lung carcinogenicity of inhaled multi-walled carbon nanotube in rats. Part. Fibre Toxicol. 2016, 13, 53. [Google Scholar] [CrossRef] [PubMed]
- Combes, R.D.; Gaunt, I.; Balls, M. A Scientific and Animal Welfare Assessment of the OECD Health Effects Test Guidelines for the Safety Testing of Chemicals Under the European Union REACH System. Altern. Lab. Anim. 2004, 32, 163–208. [Google Scholar] [CrossRef] [PubMed]








| Acute | STIS | Post-Exposure (PE) | |||
|---|---|---|---|---|---|
| Concentration | No. of animal | No. of animal | PE-1 | PE-3 | PE-21 |
| Control | 10 (5 M, 5 F) | 20 (15 M, 5 F) | 5 M, 5 F | 5 M | 5 M |
| Low | 10 (5 M, 5 F) | 20 (15 M, 5 F) | 5 M, 5 F | 5 M | 5 M |
| Moderate | 10 (5 M, 5 F) | 20 (15 M, 5 F) | 5 M, 5 F | 5 M | 5 M |
| High | 10 (5 M, 5 F) | 20 (15 M, 5 F) | 5 M, 5 F | 5 M | 5 M |
| Specification | Unit of Measure | Value | Method of Analysis |
|---|---|---|---|
| Carbon content | % | 82.7 | TGA |
| Thickness | nm | 3~15 | TEM |
| Diameter | nm | 10~30 | TEM |
| D/G ratio | - | 1.170 | Raman |
| XRD | - | 25.8 & 42° peaks | XRD |
| Purity | Wt.% | 85~90 | TGA |
| Surface area | m2g−1 | 184.41 | BET |
| Surface charge | mV | −20~−30 | ZPA, DLS |
| Characterization of CNFs in Exposure Chamber | |||
|---|---|---|---|
| Low | Moderate | High | |
| Mass concentration (mg/m3) | 0.593 ± 0.019 | 2.487 ± 0.213 | 10.345 ± 0.541 |
| MMAD (nm) | 168 | 280 | 209 |
| GSD | 4.24 | 3.75 | 4.3 |
| (A) Males (1, 3, and 21 Days Post-Exposure) | ||||
|---|---|---|---|---|
| Summary of BALF Chemistry | ||||
| SEX: MALE | ||||
| Group | Control | Low | Moderate | High |
| Unit: (mean ± SE) | ||||
| 1 day post-exposure | ||||
| BALF LDH | 34.06 ± 2.86 (5) | 39.80 ± 4.31 (5) | 31.40 ± 2.66 (5) | 33.40 ± 4.31 (5) |
| BALF mALB | 10.59 ± 0.41 (5) | 9.89 ± 0.52 (5) | 13.32 ± 2.38 (5) | 15.15 ± 4.10 (5) |
| BALF mTP | 7.60 ± 0.39 (5) | 7.76 ± 0.38 (5) | 7.91 ± 0.66 (5) | 8.88 ± 1.26 (5) |
| 3 days post-exposure | ||||
| BALF LDH | 33.40 ± 2.79 (5) | 31.60 ± 1.94 (5) | 33.60 ± 1.63 (5) | 39.40 ± 4.77 (5) |
| BALF mALB | 11.33 ± 0.87 (5) | 11.53 ± 0.75 (5) | 9.82 ± 0.36 (5) | 11.73 ± 0.98 (5) |
| BALF mTP | 7.94 ± 0.43 (5) | 7.95 ± 0.15 (5) | 7.65 ± 0.22 (5) | 8.62 ± 0.43 (5) |
| 21 days post-exposure | ||||
| BALF LDH | 25.00 ± 1.05 (5) | 28.00 ± 1.82 (5) | 29.60 ± 3.67 (5) | 22.80 ± 1.24 (5) |
| BALF mALB | 9.58 ± 0.86 (5) | 11.95 ± 2.70 (5) | 9.83 ± 1.56 (5) | 9.26 ± 1.41 (5) |
| BALF mTP | 7.38 ± 0.18 (5) | 8.29 ± 0.79 (5) | 7.83 ± 0.54 (5) | 7.24 ± 0.38 (5) |
| (B) Females (1 day post-exposure) | ||||
| Summary of BALF chemistry | ||||
| SEX: FEMALE | ||||
| Group | Control | Low | Moderate | High |
| Unit: (mean ± SE) | ||||
| BALF LDH | 28.80 ± 1.77 (5) | 32.60 ± 5.27 (5) | 32.60 ± 2.20 (5) | 44.60 ± 8.24 (5) |
| BALF mALB | 10.74 ± 0.95 (5) | 10.70 ± 1.43 (5) | 11.99 ± 0.07 (5) | 21.69 ± 8.06 (5) |
| BALF mTP | 7.25 ± 0.41 (5) | 7.87 ± 0.53 (5) | 7.90 ± 0.23 (5) | 11.61 ± 3.05 (5) |
| (A) Males (1, 3, and 21 Days Post-Exposure) | ||||
|---|---|---|---|---|
| Summary of Bronchoalveolar Lavage Analysis | ||||
| UNIT: ×106/mL | SEX: MALE | |||
| Group: (mean ± SE) | Control | Low | Moderate | High |
| 1 day post-exposure | ||||
| Total cell count | 4.22 ± 0.23 (5) | 7.02 ± 0.34 * (5) | 4.68 ± 0.60 (5) | 4.05 ± 0.15 * (5) |
| Macrophages | 4.20 ± 0.05 (5) | 6.95 ± 0.34 * (5) | 4.60 ± 1.33 (5) | 3.98 ± 0.33 * (5) |
| Lymphocytes | 0.02 ± 0.01 (5) | 0.06 ± 0.01 (5) | 0.06 ± 0.03 (5) | 0.04 ± 0.02 (5) |
| PMNs | 0.01 ± 0.01 (5) | 0.01 ± 0.01 (5) | 0.02 ± 0.01 (5) | 0.03 ± 0.02 (5) |
| 3 days post-exposure | ||||
| Total cell count | 5.12 ± 0.32 (5) | 6.08 ± 0.45 (5) | 5.09 ± 0.16 (5) | 4.42 ± 0.31 (5) |
| Macrophages | 5.06 ± 0.71 (5) | 5.96 ± 1.00 (5) | 4.99 ± 0.35 (5) | 4.32 ± 0.67 (5) |
| Lymphocytes | 0.06 ± 0.02 (5) | 0.11 ± 0.03 (5) | 0.08 ± 0.02 (5) | 0.03 ± 0.00 (5) |
| PMNs | 0.00 ± 0.00 (5) | 0.01 ± 0.01 (5) | 0.03 ± 0.02 (5) | 0.07 ± 0.02 * (5) |
| 21 days post-exposure | ||||
| Total cell count | 8.73 ± 0.81 (5) | 7.68 ± 0.28 (5) | 8.11 ± 0.13 (5) | 6.69 ± 0.20 (5) |
| Macrophages | 8.60 ± 1.77 (5) | 7.57 ± 0.64 (5) | 7.95 ± 1.96 (5) | 6.49 ± 0.46 (5) |
| Lymphocytes | 0.10 ± 0.02 (5) | 0.06 ± 0.02 (5) | 0.11 ± 0.01 (5) | 0.14 ± 0.01 * (5) |
| PMNs | 0.03 ± 0.01 (5) | 0.04 ± 0.00 (5) | 0.06 ± 0.01 (5) | 0.06 ± 0.01 (5) |
| (B) Females (1 day post-exposure) | ||||
| Summary of Bronchoalveolar Lavage Analysis | ||||
| UNIT: ×106/mL | SEX: FEMALE | |||
| Group: (mean ± SE) | Control | Low | Moderate | High |
| Total cell count | 3.44 ± 0.14 (5) | 4.24 ± 0.36 (5) | 6.11 ± 0.48 (5) | 4.82 ± 0.52 (5) |
| Macrophages | 3.39 ± 0.31 (5) | 4.20 ± 0.82 (5) | 5.96 ± 1.04 (5) | 4.72 ± 1.12 (5) |
| Lymphocytes | 0.04 ± 0.02 (5) | 0.02 ± 0.01 (5) | 0.07 ± 0.03 (5) | 0.07 ± 0.04 (5) |
| PMNs | 0.01 ± 0.00 (5) | 0.02 ± 0.01 (5) | 0.07 ± 0.04 (5) | 0.03 ± 0.01 (5) |
| (A) Males (1-, 3-, and 21 days post-exposure) | ||||
|---|---|---|---|---|
| Summary of Blood Coagulation Analysis | ||||
| SEX: MALE | ||||
| Group | Control | Low | Moderate | High |
| Unit: (mean ± SE) | ||||
| 1 day post-exposure | ||||
| PT 1 (sec) | 9.98 ± 0.04 (4) | 10.33 ± 0.07 (4) | 10.31 ± 0.41 (4) | 11.16 ± 0.39 (4) |
| APTT 2 (sec) | 13.05 ± 0.35 (4) | 14.43 ± 0.73 (4) | 16.68 ± 0.59 * (4) | 17.60 ± 1.27 ** (4) |
| 3 days post-exposure | ||||
| PT 1 (sec) | 8.73 ± 0.07 (5) | 9.09 ± 0.16 (5) | 9.12 ± 0.10 (5) | 8.82 ± 0.17 (5) |
| APTT 2 (sec) | 15.46 ± 1.33 (5) | 13.16 ± 0.09 (5) | 15.44 ± 0.61 (5) | 12.38 ± 0.47 (5) |
| 21 days post-exposure | ||||
| PT 1 (sec) | 8.85 ± 0.16 (5) | 9.42 ± 0.31 (5) | 9.97 ± 0.21 * (5) | 10.18 ± 0.25 ** (5) |
| APTT 2 (sec) | 13.38 ± 0.66 (5) | 15.66 ± 1.95 (5) | 16.22 ± 0.40 (5) | 15.28 ± 0.60 (5) |
| (B) Females (1 day post-exposure) | ||||
| Summary of Blood Coagulation Analysis | ||||
| SEX: FEMALE | ||||
| Group | Control | Low | Moderate | High |
| Unit: (mean ± SE) | ||||
| 1 day post-exposure | ||||
| PT 1 (sec) | 9.48 ± 0.20 (5) | 9.04 ± 0.26 (4) | 10.34 ± 0.90 (5) | 9.31 ± 0.25 (5) |
| APTT 2 (sec) | 18.36 ± 1.92 (5) | 15.35 ± 0.30 (4) | 17.82 ± 3.69 (5) | 15.38 ± 0.76 (5) |
| Concentration | mg/m3 (A) | Minute Volume L/min (B) | Daily Exposure Duration (min) (C) | Deposition Fraction in Pulmonary Region (D) | 5 days Total Deposition (mg/Lung) (E) |
|---|---|---|---|---|---|
| Low | 0.593 | 0.265 | 360 | 0.067 | 0.019 |
| Moderate | 2.487 | 0.265 | 360 | 0.03 | 0.036 |
| High | 10.345 | 0.265 | 360 | 0.03 | 0.148 |
| Name | TCNF (M90) | VGCNF h | Pyrograf CNF |
|---|---|---|---|
| Manufacturing method | CVD | CVD | CVD |
| Diameter (nm) | 16.01 ± 5.78 | 158 | 50–160 |
| Length (μm) | <10 | 5.8 | 5–30 |
| Aspect ratio | ~100 | 37 | - |
| Purity (%) | 85–90 | 99.5 | 98.6 |
| Impurity | Fe3O4 | None | 0.23% iron |
| BET surface area m2/g | 184.41 | 13.8 | 35–45 |
| MMAD (μm) (GSD) | 0.168–0.280 | 1.9–3.3 (2.0–3.1) | - |
Publisher’s Note: MDPI stays neutral with regard to jurisdictional claims in published maps and institutional affiliations. |
© 2022 by the authors. Licensee MDPI, Basel, Switzerland. This article is an open access article distributed under the terms and conditions of the Creative Commons Attribution (CC BY) license (https://creativecommons.org/licenses/by/4.0/).
Share and Cite
Jo, M.S.; Kim, B.W.; Kim, Y.H.; Kim, J.K.; Kim, H.P.; Shin, J.H.; Lee, G.H.; Ahn, K.; Gulumian, M.; Yu, I.J. The Acute and Short-Term Inhalation of Carbon Nanofiber in Sprague-Dawley Rats. Biomolecules 2022, 12, 1351. https://doi.org/10.3390/biom12101351
Jo MS, Kim BW, Kim YH, Kim JK, Kim HP, Shin JH, Lee GH, Ahn K, Gulumian M, Yu IJ. The Acute and Short-Term Inhalation of Carbon Nanofiber in Sprague-Dawley Rats. Biomolecules. 2022; 12(10):1351. https://doi.org/10.3390/biom12101351
Chicago/Turabian StyleJo, Mi Seong, Boo Wook Kim, Young Hun Kim, Jin Kwon Kim, Hoi Pin Kim, Jae Hoon Shin, Gun Ho Lee, Kangho Ahn, Mary Gulumian, and Il Je Yu. 2022. "The Acute and Short-Term Inhalation of Carbon Nanofiber in Sprague-Dawley Rats" Biomolecules 12, no. 10: 1351. https://doi.org/10.3390/biom12101351
APA StyleJo, M. S., Kim, B. W., Kim, Y. H., Kim, J. K., Kim, H. P., Shin, J. H., Lee, G. H., Ahn, K., Gulumian, M., & Yu, I. J. (2022). The Acute and Short-Term Inhalation of Carbon Nanofiber in Sprague-Dawley Rats. Biomolecules, 12(10), 1351. https://doi.org/10.3390/biom12101351

