Skimmed Goat’s Milk Powder Enriched with Grape Pomace Seed Extract: Phenolics and Protein Characterization and Antioxidant Properties
Abstract
1. Introduction
2. Materials and Methods
2.1. Preparation of Grape Pomace Seed Extract
UHPLC-Orbitrap MS4 Analysis of PCs in Aqueous Grape Pomace Seed Extract
2.2. Preparation of Milk and Milk/SE Powders
2.2.1. UHPLC-DAD MS/MS Analysis of PCs in Methanol Extracts of Powder Samples
2.2.2. Electrophoretic Analysis of Powder Samples
2.2.3. TPC and Antioxidant Properties of Powder Samples
2.3. Statistical Analysis
3. Results and Discussion
3.1. UHPLC-Orbitrap MS4 Characterisation of PCs in Aqueous Grape Pomace Seed Extract
3.2. UHPLC-DAD MS/MS Analysis of PCs in Methanol Extracts of Powder Samples
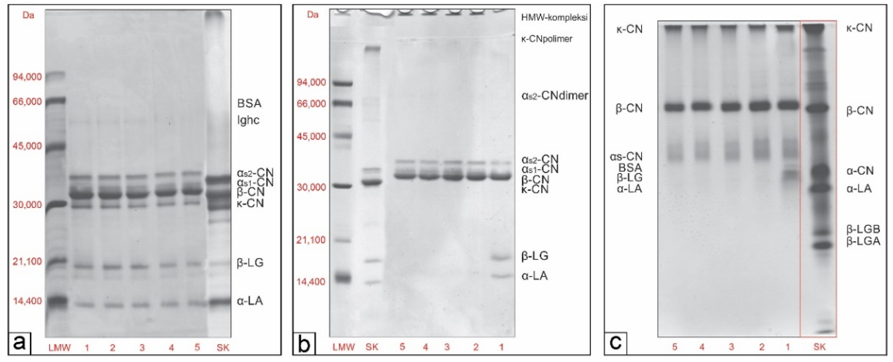
3.3. Electrophoretic Analysis of M, TM and TME Powder Samples
3.4. Total Phenolic Content and Antioxidant Properties
3.5. Model
4. Conclusions
Supplementary Materials
Author Contributions
Funding
Institutional Review Board Statement
Informed Consent Statement
Data Availability Statement
Conflicts of Interest
References
- Lei, C.; Tang, X.; Li, H.; Chen, H.; Yu, S. Molecular hybridization of grape seed extract: Synthesis, structural characterization and anti-proliferative activity in vitro. Food Res. Int. 2020, 131, 109005. [Google Scholar] [CrossRef]
- Unusan, N. Proanthocyanidins in grape seeds: An updated review of their health benefits and potential uses in the food industry. J. Funct. Foods 2020, 67, 103861. [Google Scholar] [CrossRef]
- Yu, J.; Ahmedna, M. Functional components of grape pomace: Their composition, biological properties and potential applications. Int. J. Food Sci. Technol. 2013, 48, 221–237. [Google Scholar] [CrossRef]
- Beres, C.; Costa, G.N.; Cabezudo, I.; da Silva-James, N.K.; Teles, A.S.; Cruz, A.P.; Mellinger-Silva, C.; Tonon, R.V.; Cabral, L.M.; Freitas, S.P. Towards integral utilization of grape pomace from winemaking process: A review. Waste Manag. 2017, 68, 581–594. [Google Scholar] [CrossRef] [PubMed]
- Muhlack, R.A.; Potumarthi, R.; Jeffery, D.W. Sustainable wineries through waste valorisation: A review of grape marc utilisation for value-added products. Waste Manag. 2018, 72, 99–118. [Google Scholar] [CrossRef] [PubMed]
- Milinčić, D.D.; Stanisavljević, N.S.; Kostić, A.Ž.; Bajić, S.S.; Kojić, M.O.; Gašić, U.M.; Barać, M.B.; Stanojević, S.P.; Tešić, Ž.L.; Pešić, M.B. Phenolic compounds and biopotential of grape pomace extracts from Prokupac red grape variety. LWT 2021, 138, 110739. [Google Scholar] [CrossRef]
- Rockenbach, I.I.; Jungfer, E.; Ritter, C.; Santiago-Schübel, B.; Thiele, B.; Fett, R.; Galensa, R. Characterization of flavan-3-ols in seeds of grape pomace by CE, HPLC-DAD-MSn and LC-ESI-FTICR-MS. Food Res. Int. 2012, 48, 848–855. [Google Scholar] [CrossRef]
- Pešić, M.B.; Milinčić, D.; Kostić, A.Ž.; Stanisavljević, N.S.; Vukotic, G.; Kojic, M.; Gašić, U.; Barać, M.B.; Stanojevic, S.; Popović, D.A.; et al. In vitro digestion of meat- and cereal-based food matrix enriched with grape extracts: How are polyphenol composition, bioaccessibility and antioxidant activity affected? Food Chem. 2019, 284, 28–44. [Google Scholar] [CrossRef]
- Fontana, A.R.; Antoniolli, A.; Bottini, R. Grape Pomace as a Sustainable Source of Bioactive Compounds: Extraction, Characterization, and Biotechnological Applications of Phenolics. J. Agric. Food Chem. 2013, 61, 8987–9003. [Google Scholar] [CrossRef]
- García-Lomillo, J.; González-SanJosé, M.L. Applications of Wine Pomace in the Food Industry: Approaches and Functions. Compr. Rev. Food Sci. Food Saf. 2017, 16, 3–22. [Google Scholar] [CrossRef]
- López-Belchí, M.; Caamaño, E.; Pascual, G.; Noriega, F.; Fierro-Morales, P.; Romero-Román, M.; Jara, P.; Schoebitz, M.; Serra, I.; Moreno, D. Spray-Dried Formulations Rich in Malvidin from Tintorera Grape Wastes: Characterization, Stability, and Storage. Processes 2021, 9, 518. [Google Scholar] [CrossRef]
- Deolindo, C.T.P.; Monteiro, P.I.; Santos, J.S.; Cruz, A.G.; da Silva, M.C.; Granato, D. Phenolic-rich Petit Suisse cheese manufactured with organic Bordeaux grape juice, skin, and seed extract: Technological, sensory, and functional properties. LWT 2019, 115, 108493. [Google Scholar] [CrossRef]
- Da Silva, D.F.; Matumoto-Pintro, P.T.; Bazinet, L.; Couillard, C.; Britten, M. Effect of commercial grape extracts on the cheese-making properties of milk. J. Dairy Sci. 2015, 98, 1552–1562. [Google Scholar] [CrossRef]
- Chouchouli, V.; Kalogeropoulos, N.; Konteles, S.J.; Karvela, E.; Makris, D.P.; Karathanos, V.T. Fortification of yoghurts with grape (Vitis vinifera) seed extracts. LWT 2013, 53, 522–529. [Google Scholar] [CrossRef]
- Sagdic, O.; Ozturk, I.; Cankurt, H.; Tornuk, F. Interaction between Some Phenolic Compounds and Probiotic Bacterium in Functional Ice Cream Production. Food Bioprocess. Technol. 2012, 5, 2964–2971. [Google Scholar] [CrossRef]
- Ribas-Agustí, A.; Gratacós-Cubarsí, M.; Sárraga, C.; Guàrdia, M.D.; García-Regueiro, J.-A.; Castellari, M. Stability of phenolic compounds in dry fermented sausages added with cocoa and grape seed extracts. LWT 2014, 57, 329–336. [Google Scholar] [CrossRef]
- Jakobek, L. Interactions of polyphenols with carbohydrates, lipids and proteins. Food Chem. 2015, 175, 556–567. [Google Scholar] [CrossRef] [PubMed]
- Lamothe, S.; Guérette, C.; Dion, F.; Sabik, H.; Britten, M. Antioxidant activity of milk and polyphenol-rich beverages during simulated gastrointestinal digestion of linseed oil emulsions. Food Res. Int. 2019, 122, 149–156. [Google Scholar] [CrossRef] [PubMed]
- He, Z.; Tao, Y.; Zeng, M.; Zhang, S.; Tao, G.; Qin, F.; Chen, J. High pressure homogenization processing, thermal treatment and milk matrix affect in vitro bioaccessibility of phenolics in apple, grape and orange juice to different extents. Food Chem. 2016, 200, 107–116. [Google Scholar] [CrossRef]
- Bayraktar, M.K.; Harbourne, N.; Fagan, C.C. Impact of heat treatment and acid gelation on polyphenol enriched milk samples. LWT 2019, 113, 108282. [Google Scholar] [CrossRef]
- Lorenz, M.; Jochmann, N.; Von Krosigk, A.; Martus, P.; Baumann, G.; Stangl, K.; Stangl, V. Addition of milk prevents vascular protective effects of tea. Eur. Heart J. 2006, 28, 219–223. [Google Scholar] [CrossRef] [PubMed]
- Moser, S.; Chegeni, M.; Jones, O.G.; Liceaga, A.; Ferruzzi, M.G. The effect of milk proteins on the bioaccessibility of green tea flavan-3-ols. Food Res. Int. 2014, 66, 297–305. [Google Scholar] [CrossRef]
- Xie, Y.; Kosińska, A.; Xu, H.; Andlauer, W. Milk enhances intestinal absorption of green tea catechins in in vitro digestion/Caco-2 cells model. Food Res. Int. 2013, 53, 793–800. [Google Scholar] [CrossRef]
- Pesic, M.B.; Barac, M.; Stanojevic, S.; Ristic, N.M.; Macej, O.D.; Vrvic, M. Heat induced casein–whey protein interactions at natural pH of milk: A comparison between caprine and bovine milk. Small Rumin. Res. 2012, 108, 77–86. [Google Scholar] [CrossRef]
- Taterka, H.; Castillo, M. The effect of whey protein denaturation on light backscatter and particle size of the casein micelle as a function of pH and heat-treatment temperature. Int. Dairy J. 2015, 48, 53–59. [Google Scholar] [CrossRef]
- Yazdi, S.R.; Corredig, M. Heating of milk alters the binding of curcumin to casein micelles. A fluorescence spectroscopy study. Food Chem. 2012, 132, 1143–1149. [Google Scholar] [CrossRef]
- Verruck, S.; Dantas, A.; Prudencio, E.S. Functionality of the components from goat’s milk, recent advances for functional dairy products development and its implications on human health. J. Funct. Foods 2019, 52, 243–257. [Google Scholar] [CrossRef]
- Komes, D.; Busic, A.; Belščak-Cvitanović, A.; Brnčić, M.; Bosiljkov, T.; Vojvodic, A.; Dujmic, F. Novel Approach to the Development of Functional Goat’s Milk-Based Beverages Using Medicinal Plant Extracts in Combination with High Intensity Ultrasound Treatment. Food Technol. Biotechnol. 2017, 55, 484–495. [Google Scholar] [CrossRef]
- Kostić, A.Ž.; Milinčić, D.D.; Stanisavljević, N.S.; Gašić, U.M.; Lević, S.; Kojić, M.O.; Tešić, Ž.L.; Nedović, V.; Barać, M.B.; Pešić, M.B. Polyphenol bioaccessibility and antioxidant properties of in vitro digested spray-dried thermally-treated skimmed goat milk enriched with pollen. Food Chem. 2021, 351, 129310. [Google Scholar] [CrossRef]
- Oliveira, A.; Silva, L.; Ferreres, F.; de Pinho, P.G.; Valentão, P.; Silva, B.M.; Pereira, J.A.; Andrade, P.B. Chemical Assessment and in Vitro Antioxidant Capacity of Ficus carica Latex. J. Agric. Food Chem. 2010, 58, 3393–3398. [Google Scholar] [CrossRef]
- Peixoto, C.M.; Dias, M.I.; Alves, M.J.; Calhelha, R.C.; Barros, L.; Pinho, S.P.; Ferreira, I.C. Grape pomace as a source of phenolic compounds and diverse bioactive properties. Food Chem. 2018, 253, 132–138. [Google Scholar] [CrossRef]
- Zdunić, G.; Gođevac, D.; Šavikin, K.; Krivokuća, D.; Mihailović, M.; Pržić, Z.; Marković, N. Grape Seed Polyphenols and Fatty Acids of Autochthonous Prokupac Vine Variety from Serbia. Chem. Biodivers. 2019, 16, e1900053. [Google Scholar] [CrossRef]
- Godjevac, D.; Tesevic, V.; Velickovic, M.; Vujisic, L.; Vajs, V.; Milosavljevic, S. Polyphenolic compounds in seeds from some grape cultivars grown in Serbia. J. Serb. Chem. Soc. 2010, 75, 1641–1652. [Google Scholar] [CrossRef]
- Kammerer, D.; Claus, A.; Carle, R.; Schieber, A. Polyphenol Screening of Pomace from Red and White Grape Varieties (Vitis vinifera L.) by HPLC-DAD-MS/MS. J. Agric. Food Chem. 2004, 52, 4360–4367. [Google Scholar] [CrossRef] [PubMed]
- Pesic, M.B.; Barac, M.; Stanojevic, S.; Vrvic, M. Effect of pH on heat-induced casein-whey protein interactions: A comparison between caprine milk and bovine milk. Int. Dairy J. 2014, 39, 178–183. [Google Scholar] [CrossRef]
- Dalgleish, D.G.; Corredig, M. The Structure of the Casein Micelle of Milk and Its Changes during Processing. Annu. Rev. Food Sci. Technol. 2012, 3, 449–467. [Google Scholar] [CrossRef]
- Villalva, M.; Jaime, L.; Arranz, E.; Zhao, Z.; Corredig, M.; Reglero, G.; Santoyo, S. Nanoemulsions and acidified milk gels as a strategy for improving stability and antioxidant activity of yarrow phenolic compounds after gastrointestinal digestion. Food Res. Int. 2020, 130, 108922. [Google Scholar] [CrossRef] [PubMed]
- Prigent, S.; Voragen, A.; Van Koningsveld, G.; Baron, A.; Renard, C.M.; Gruppen, H. Interactions between globular proteins and procyanidins of different degrees of polymerization. J. Dairy Sci. 2009, 92, 5843–5853. [Google Scholar] [CrossRef]
- Ye, J.-H.; Fan, F.; Xu, X.; Liang, Y. Interactions of black and green tea polyphenols with whole milk. Food Res. Int. 2013, 53, 449–455. [Google Scholar] [CrossRef]
- Kanakis, C.; Hasni, I.; Bourassa, P.; Tarantilis, P.; Polissiou, M.; Tajmir-Riahi, H.-A. Milk β-lactoglobulin complexes with tea polyphenols. Food Chem. 2011, 127, 1046–1055. [Google Scholar] [CrossRef]
- Kusuda, M.; Hatano, T.; Yoshida, T. Water-Soluble Complexes Formed by Natural Polyphenols and Bovine Serum Albumin: Evidence from Gel Electrophoresis. Biosci. Biotechnol. Biochem. 2006, 70, 152–160. [Google Scholar] [CrossRef]
- Gülçin, I. Antioxidant activity of food constituents: An overview. Arch. Toxicol. 2012, 86, 345–391. [Google Scholar] [CrossRef]
- Power, O.; Jakeman, P.; Fitzgerald, R.J. Antioxidative peptides: Enzymatic production, in vitro and in vivo antioxidant activity and potential applications of milk-derived antioxidative peptides. Amino Acids 2012, 44, 797–820. [Google Scholar] [CrossRef] [PubMed]
- Granato, D.; Shahidi, F.; Wrolstad, R.; Kilmartin, P.; Melton, L.D.; Hidalgo, F.J.; Miyashita, K.; van Camp, J.; Alasalvar, C.; Ismail, A.; et al. Antioxidant activity, total phenolics and flavonoids contents: Should we ban in vitro screening methods? Food Chem. 2018, 264, 471–475. [Google Scholar] [CrossRef]
- Prior, R.L.; Wu, X.; Schaich, K. Standardized Methods for the Determination of Antioxidant Capacity and Phenolics in Foods and Dietary Supplements. J. Agric. Food Chem. 2005, 53, 4290–4302. [Google Scholar] [CrossRef] [PubMed]
- Huang, D.; Ou, B.; Prior, R.L. The Chemistry behind Antioxidant Capacity Assays. J. Agric. Food Chem. 2005, 53, 1841–1856. [Google Scholar] [CrossRef] [PubMed]
- Azevedo, P.O.D.S.D.; Aliakbarian, B.; Casazza, A.A.; Leblanc, J.G.; Perego, P.; Oliveira, R.P.D.S. Production of fermented skim milk supplemented with different grape pomace extracts: Effect on viability and acidification performance of probiotic cultures. PharmaNutrition 2018, 6, 64–68. [Google Scholar] [CrossRef]
- El, S.N.; Karakaya, S.; Simsek, S.; Dupont, D.; Menfaatli, E.; Eker, A.T. In vitro digestibility of goat milk and kefir with a new standardised static digestion method (INFOGEST cost action) and bioactivities of the resultant peptides. Food Funct. 2015, 6, 2322–2330. [Google Scholar] [CrossRef]
- El-Fattah, A.A.; Azzam, M.; Elkashef, H.; Elhadydy, A. Antioxidant Properties of Milk: Effect of Milk Species, Milk Fractions and Heat Treatments. Int. J. Dairy Sci. 2019, 15, 1–9. [Google Scholar] [CrossRef][Green Version]
- Serpen, A.; Gökmen, V.; Fogliano, V. Total antioxidant capacities of raw and cooked meats. Meat Sci. 2012, 90, 60–65. [Google Scholar] [CrossRef]
- Kim, Y.; Kim, J.W.; Cheon, S.; Nam, M.S.; Kim, K.K. Alpha-Casein and Beta-Lactoglobulin from Cow Milk Exhibit Antioxidant Activity: A Plausible Link to Antiaging Effects. J. Food Sci. 2019, 84, 3083–3090. [Google Scholar] [CrossRef] [PubMed]
- Gallo, M.; Vinci, G.; Graziani, G.; De Simone, C.; Ferranti, P. The interaction of cocoa polyphenols with milk proteins studied by proteomic techniques. Food Res. Int. 2013, 54, 406–415. [Google Scholar] [CrossRef]
- Li, T.; Li, X.; Dai, T.; Hu, P.; Niu, X.; Liu, C.; Chen, J. Binding mechanism and antioxidant capacity of selected phenolic acid—β-casein complexes. Food Res. Int. 2020, 129, 108802. [Google Scholar] [CrossRef] [PubMed]



| Phenolic Compounds | tR, Min | Molecular Formula | Calculated Mass, [M–H]–/M+ | Exact Mass, [M–H]–/M+ | ppm | MS2 Fragments (% Base Peak) | Content (mg/kg FW) |
|---|---|---|---|---|---|---|---|
| Hydroxybenzoic Acids and Derivatives | |||||||
| Gallic acid a | 3.04 | C7H5O5− | 169.01425 | 169.01436 | −0.11 | 125(100) | 286.41 ± 8.28 |
| Gallic acid hexoside isomer 1 b | 4.11 | C13H15O10− | 331.06707 | 331.06723 | −0.16 | 271(40), 241(15), 211(20), 169(100), 125(10) | 8.31 ± 0.26 |
| Dihydroxybenzoic acid hexoside b | 4.30 | C13H15O9− | 315.07216 | 315.07251 | −0.35 | 153(100), 152(50), 109(15), 108(10) | 12.84 ± 0.99 |
| Gallic acid hexoside isomer 2 b | 4.31 | C13H15O10− | 331.06707 | 331.06726 | −0.19 | 294(10), 271(20), 169(100), 125(10) | 66.65 ± 4.79 |
| Protocatechuic acid b | 4.75 | C7H5O4− | 153.01933 | 153.01955 | −0.22 | 109(100), 95(75), 79(20), 59(10) | 27.92 ± 3.39 |
| Gallic acid hexoside isomer 3 b | 4.76 | C13H15O10− | 331.06707 | 331.06592 | 1.15 | 169(100), 125(5) | 222.47 ± 13.83 |
| Digalloyl hexoside b | 5.08 | C20H19O14− | 483.07803 | 483.07764 | 0.39 | 331(20), 313(20), 271(100), 211(10), 169(10) | 4.14 ± 0.30 |
| Methylgallate b | 6.11 | C8H7O5− | 183.02990 | 183.03017 | –0.27 | 168(100), 124(80) | 0.64 ± 0.04 |
| Syringic acid hexoside b | 6.21 | C15H19O10− | 359.09837 | 359.09837 | 0.00 | 197(100) | 18.52 ± 0.35 |
| Ethylgallate b | 7.16 | C9H9O5− | 197.04555 | 197.04530 | 0.25 | 169(100), 125(5) | 225.33 ± 9.35 |
| Ellagic acid b | 7.29 | C14H5O8− | 300.99899 | 300.99918 | −0.19 | 284(40), 271(60), 257(100), 229(85), 185(40) | 1.16 ± 0.09 |
| Σ | 874.39 (50.58) | ||||||
| Hydroxycinnamic Acids and Derivatives | |||||||
| Caffeoyltartaric acid c | 4.87 | C13H11O9− | 311.04031 | 311.04141 | −1.10 | 179(40), 177(15), 149(100) | 193.78 ± 6.42 |
| Caffeic acid a | 5.38 | C9H7O4− | 179.03498 | 179.03545 | −0.47 | 135(100) | 32.82 ± 1.96 |
| Coumaroyltartaric acid c | 5.60 | C13H11O8− | 295.04594 | 295.04623 | −0.29 | 163(100), 149(10), 119(5) | 72.63 ± 2.46 |
| Σ | 299.24 (17.13) | ||||||
| Flavan–3-ols and Procyanidins | |||||||
| B type procyanidin trimer isomer 1 d | 4.69 | C45H37O18- | 865.19854 | 865.20264 | −4.10 | 695(100), 577(60), 425(30), 407(30), 287(30) | 13.07 ± 0.24 |
| B type procyanidin dimer isomer 1 d | 5.47 | C30H25O12− | 577.13515 | 577.13318 | 1.97 | 559(10), 451(30), 425(100), 407(40), 289(20), 287(10) | 61.39 ± 3.31 |
| B type procyanidin dimer isomer 2 d | 5.72 | C30H25O12− | 577.13515 | 577.13531 | −0.16 | 559(5), 451(20), 425(100), 407(35), 289(20), 287(10) | 46.18 ± 2.74 |
| B type procyanidin trimer isomer 2 d | 5.73 | C45H37O18− | 865.19854 | 865.20087 | −2.33 | 695(100), 577(80), 425(30), 407(40), 287(35) | 34.51 ± 1.04 |
| B type procyanidin dimer isomer 3 d | 6.02 | C30H25O12− | 577.13515 | 577.13379 | 1.36 | 559(10), 451(20), 425(100), 407(40), 289(20), 287(10) | 91.54 ± 3.15 |
| Catechin a | 6.17 | C15H13O6− | 289.07176 | 289.07089 | 0.87 | 271(5), 245(100), 205(40), 179(15), 125(5) | 83.45 ± 3.48 |
| B type procyanidin dimer gallate isomer 1 d | 6.23 | C37H29O16− | 729.14611 | 729.14734 | −1.23 | 577(90), 559(80), 425(20), 407(100), 289(20) | 14.82 ± 0.65 |
| B type procyanidin dimer gallate isomer 2 d | 6.44 | C37H29O16− | 729.14611 | 729.14728 | −1.17 | 577(50), 559(60), 425(10), 407(100), 289(20) | 61.99 ± 1.65 |
| Epicatechin d | 6.54 | C15H13O6− | 289.07176 | 289.07068 | 1.08 | 271(5), 245(100), 205(40), 179(15), 125(5) | 90.58 ± 2.51 |
| B type procyanidin dimer digallate d | 6.80 | C44H33O20− | 881.15707 | 881.15723 | −0.16 | 729(100), 711(30), 577(10), 559(20), 407(30) | 0.93 ± 0.07 |
| Catechin gallate d | 7.09 | C22H17O10− | 441.08272 | 441.08218 | 0.54 | 331(10), 289(100), 271(10), 169(25) | 10.10 ± 0.57 |
| Σ | 508.56 (29.42) | ||||||
| Flavonol Aglycones and Glycosides | |||||||
| Dihydro-syringetin–3-O-hexoside e | 5.54 | C23H25O13− | 509.13006 | 509.12967 | 0.39 | 491(10), 461(30), 355(40), 347(65), 329(100) | 0.54 ± 0.06 |
| Quercetin–3-O-glucoside a | 7.06 | C21H19O12− | 463.08820 | 463.08786 | 0.34 | 301(100), 300(30) | 0.37 ± 0.04 |
| Σ | 0.915(0.05) | ||||||
| Anthocyanins | |||||||
| Delphinidin–3-O-glucoside a | 4.85 | C21H21O12+ | 465.10275 | 465.10294 | −0.41 | 304(15), 303(100) | 1.29 ± 0.09 |
| Petunidin–3-O-hexoside f | 5.27 | C22H23O12+ | 479.11840 | 479.11884 | −0.92 | 318(10), 317(100) | 1.48 ± 0.10 |
| Peonidin–3-O-glucoside a | 5.53 | C22H23O11+ | 463.12349 | 463.12366 | −0.37 | 302(10), 301(100) | 2.56 ± 0.22 |
| Malvidin–3-O-glucoside a | 5.59 | C23H25O12+ | 493.13405 | 493.13394 | 0.22 | 332(10), 331(100) | 28.53 ± 3.32 |
| Peonidin–3-O-(6″-acetyl)hexoside f | 6.42 | C24H25O12+ | 505.13405 | 505.13351 | 0.54 | 302(10), 301(100) | 1.32 ± 0.12 |
| Malvidin–3-O-(6″-acetyl)hexoside f | 6.48 | C25H27O13+ | 535.14462 | 535.14398 | 0.64 | 332(10), 331(100) | 6.14 ± 0.55 |
| Peonidin–3-O-(6″-p-coumaroyl)hexoside f | 7.12 | C31H29O13+ | 609.16027 | 609.16077 | −0.50 | 302(10), 301(100) | 1.44 ± 0.16 |
| Malvidin–3-O-(6″-p-coumaroyl)hexoside f | 7.18 | C32H31O14+ | 639.17083 | 639.17163 | −0.80 | 332(10), 331(100) | 2.77 ± 0.42 |
| Σ | 45.54 (2.63) | ||||||
| Σ | 1728.64 | ||||||
| Samples | M | TM | SE | TME1 | TME2 | TME3 |
|---|---|---|---|---|---|---|
| Compounds (mg/kg DW of Powders) | ||||||
| Fenolic Acid and its Derivatives | ||||||
| Gallic acid | n.d. | n.d. | 224.17 ± 3.94 a | 5.74 ± 0.40 b | 12.64 ± 0.30 c | 25.89 ± 1.12 d |
| Protocatechuic acid | n.d. | n.d. | 2.43 ± 0.08 | n.d. | n.d | n.d |
| Syringic acid | n.d. | n.d. | 1.84 ± 0.07 | n.d. | n.d | n.d |
| Caffeic acid | n.d. | n.d. | 2.24 ± 0.20 a | 1.26 ± 0.06 b | 1.31 ± 0.09 b | 1.25 ± 0.10 b |
| Flavan–3-ols and its Derivatives | ||||||
| Catechin | n.d. | n.d. | 518.28 ± 14.73 a | 8.04 ± 0.14 b | 18.90 ± 0.92 c | 37.15 ± 1.60 d |
| Catechin gallat | n.d. | n.d. | 8.36 ± 0.13 a | 0.83 ± 0.02 b | 1.52 ± 0.08 c | 2.72 ± 0.14 d |
| Gallocatechin | n.d. | n.d. | n.d. | n.d. | n.d. | n.d. |
| Epigallocatechin | n.d. | n.d. | n.d. | n.d. | n.d. | n.d. |
| Epigallocatechin gallat | n.d. | n.d. | n.d. | n.d. | n.d. | n.d. |
| Flavanol Aglycones i Glycosides | ||||||
| Quercetin | n.d. | n.d. | 32.66 ± 2.10 | n.d. | n.d | n.d |
| Quercetin–3-glucoside | n.d. | n.d. | 1.51 ± 0.07 a | 0.51 ± 0.02 b | 0.89 ± 0.05 c | 1.41 ± 0.06 a |
| Rutin | n.d. | n.d. | 0.30 ± 0.02 a | 0.36 ± 0.02 b | 0.37 ± 0.03 b | 0.46 ± 0.04 c |
| Isorhramnetin | n.d. | n.d. | 17.31 ± 0.87 | n.d. | n.d | n.d |
| Isorhramnetin–3-O-glucoside | n.d. | n.d. | n.d. | 0.15 ± 0.01 a | 0.26 ± 0.02 b | 0.60 ± 0.03 c |
| Kaempferol | n.d. | n.d. | 7.90 ± 0.34 a | 1.20 ± 0.02 b | 1.41 ± 0.04 c | 1.67 ± 0.01 d |
| Other Detected Phenolics | ||||||
| Apigenin–7-glucoside | n.d. | n.d. | n.d. | 0.16 ± 0.01 a | n.d | 0.18 ± 0.02 a |
| Naringenin | n.d. | n.d. | 0.81 ± 0.04 | n.d. | n.d | n.d |
| Aesculetin | n.d. | n.d. | 2.79 ± 0.20 | n.d. | n.d | n.d |
| Σ Σ | / | / | 820.59 | 18.24 | 37.30 | 71.35 |
| Samples | TM | TME1 | TME2 | TME3 |
|---|---|---|---|---|
| SDS-R-PAGE | ||||
| αS2-CN | 100 a | 95.1 ± 2.6 b | 90.8 ± 3.8 bc | 88.3 ± 2.2 c |
| β-CN | 100 a | 87.1 ± 0.9 b | 85.8 ± 1.2 b | 82.9 ± 0.6 c |
| κ-CN | 100 a | 89.3 ± 2.6 b | 88.7 ± 3.9 b | 77.0 ± 2.6 c |
| SDS-NR-PAGE | ||||
| HMW complexes | 100 a | 93.7 ± 3.6 b | 82.5 ± 3.2 c | 80.8 ± 4.2 c |
| Native-PAGE | ||||
| WPs/CN complexes | 100 c | 103.9 ± 3.0 bc | 110.7 ± 5.4 b | 131.4 ± 8.6 a |
| β-CN | 100 a | 89.8 ± 1.2 b | 84.6 ± 1.6 c | 80.6 ± 1.4 d |
Publisher’s Note: MDPI stays neutral with regard to jurisdictional claims in published maps and institutional affiliations. |
© 2021 by the authors. Licensee MDPI, Basel, Switzerland. This article is an open access article distributed under the terms and conditions of the Creative Commons Attribution (CC BY) license (https://creativecommons.org/licenses/by/4.0/).
Share and Cite
Milinčić, D.D.; Kostić, A.Ž.; Gašić, U.M.; Lević, S.; Stanojević, S.P.; Barać, M.B.; Tešić, Ž.L.; Nedović, V.; Pešić, M.B. Skimmed Goat’s Milk Powder Enriched with Grape Pomace Seed Extract: Phenolics and Protein Characterization and Antioxidant Properties. Biomolecules 2021, 11, 965. https://doi.org/10.3390/biom11070965
Milinčić DD, Kostić AŽ, Gašić UM, Lević S, Stanojević SP, Barać MB, Tešić ŽL, Nedović V, Pešić MB. Skimmed Goat’s Milk Powder Enriched with Grape Pomace Seed Extract: Phenolics and Protein Characterization and Antioxidant Properties. Biomolecules. 2021; 11(7):965. https://doi.org/10.3390/biom11070965
Chicago/Turabian StyleMilinčić, Danijel D., Aleksandar Ž. Kostić, Uroš M. Gašić, Steva Lević, Slađana P. Stanojević, Miroljub B. Barać, Živoslav Lj. Tešić, Viktor Nedović, and Mirjana B. Pešić. 2021. "Skimmed Goat’s Milk Powder Enriched with Grape Pomace Seed Extract: Phenolics and Protein Characterization and Antioxidant Properties" Biomolecules 11, no. 7: 965. https://doi.org/10.3390/biom11070965
APA StyleMilinčić, D. D., Kostić, A. Ž., Gašić, U. M., Lević, S., Stanojević, S. P., Barać, M. B., Tešić, Ž. L., Nedović, V., & Pešić, M. B. (2021). Skimmed Goat’s Milk Powder Enriched with Grape Pomace Seed Extract: Phenolics and Protein Characterization and Antioxidant Properties. Biomolecules, 11(7), 965. https://doi.org/10.3390/biom11070965

