Antioxidant Activity of the Medicinal Plant Urtica dioica L.: Extraction Optimization Using Response Surface Methodology and Protective Role in Red Blood Cells
Abstract
1. Introduction
- Radical cation formation:
- A: → A●+ + e− (Reaction 1)
- Radical anion formation:
- B: +e− → :B●− (Reaction 2)
- Radical fragments formation:
- A:B → A● + B● (Reaction 3)
2. Materials and Methods
2.1. Reagents and Biological Materials
2.2. Apparatus
2.3. Ultrasound-Assisted Extraction of Antioxidants
2.4. Experimental Design of the Extraction Process
2.5. Scale-Up of the Optimum Extraction Conditions
2.6. Folin–Ciocalteu Assay
2.7. FRAP Assay
2.8. DPPH Radical Scavenging Activity Assay
2.9. Dubois Assay
2.10. Bradford Assay
2.11. UV-Vis Spectrum
2.12. Red Blood Cells Test
2.13. Statistical Analysis
3. Results and Discussion
3.1. Planning the Extraction Process
3.2. Predictive Modeling of the Extraction Process
3.2.1. Response Variables and Accuracy of Predictive Equations
3.2.2. Assessment of Factors Significance Using Pareto Charts
3.2.3. Profiling of Factors Influence Using 3D Response Surface Plots and Pearson Correlation Analysis
3.2.4. Prediction of the Optimum Extraction Conditions
3.3. Scale-Up of the Optimum Extraction Process and Detection of Biomolecules in the Extract
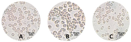
3.4. Effect of the Optimum Extract in Red Blood Cells
4. Conclusions
Author Contributions
Funding
Institutional Review Board Statement
Informed Consent Statement
Data Availability Statement
Conflicts of Interest
References
- Sies, H. Oxidative Stress: Concept and Some Practical Aspects. Antioxidants 2020, 9, 852. [Google Scholar] [CrossRef] [PubMed]
- Halliwell, B.; Gutteridge, J.M.C. Free Radicals in Biology and Medicine, 5th ed.; Oxford University Press: Oxford, UK, 2015. [Google Scholar]
- Weidinger, A.; Kozlov, A.V. Biological Activities of Reactive Oxygen and Nitrogen Species: Oxidative Stress versus Signal Transduction. Biomolecules 2015, 5, 472–484. [Google Scholar] [CrossRef] [PubMed]
- Pizzino, G.; Irrera, N.; Cucinotta, M.; Pallio, G.; Mannino, F.; Arcoraci, V.; Squadrito, F.; Altavilla, D.; Bitto, A. Oxidative Stress: Harms and Benefits for Human Health. Oxidative Med. Cell. Longev. 2017, 2017, 8416763. [Google Scholar] [CrossRef]
- Flieger, J.; Flieger, W.; Baj, J.; Maciejewski, R. Antioxidants: Classification, Natural Sources, Activity/Capacity Measurements, and Usefulness for the Synthesis of Nanoparticles. Materials 2021, 14, 4135. [Google Scholar] [CrossRef] [PubMed]
- Lévuok-Mena, K.P.; Patiño-Ladino, O.J.; Prieto-Rodríguez, J.A. In Vitro Inhibitory Activities against α-Glucosidase, α-Amylase, and Pancreatic Lipase of Medicinal Plants Commonly Used in Chocó (Colombia) for Type 2 Diabetes and Obesity Treatment. Sci. Pharm. 2023, 91, 49. [Google Scholar] [CrossRef]
- Phromnoi, K.; Sinchaiyakij, P.; Khanaree, C.; Nuntaboon, P.; Chanwikrai, Y.; Chaiwangsri, T.; Suttajit, M. Anti-Inflammatory and Antioxidant Activities of Medicinal Plants Used by Traditional Healers for Antiulcer Treatment. Sci. Pharm. 2019, 87, 22. [Google Scholar] [CrossRef]
- Kumar, A.; Pradeep, N.; Kumar, M.; Jose, A.; Tomer, V.; Oz, E.; Proestos, C.; Zeng, M.; Elobeid, T.; K, S.; et al. Major Phytochemicals: Recent Advances in Health Benefits and Extraction Method. Molecules 2023, 28, 887. [Google Scholar] [CrossRef]
- Said, M. Capacity Development of Human Resource in Local Government to Improve Public Service Quality. J. Ilm. Adm. Publik (JIAP) 2015, 1, 8–13. [Google Scholar] [CrossRef]
- Semwal, P.; Rauf, A.; Olatunde, A.; Singh, P.; Zaky, M.Y.; Islam, M.M.; Khalil, A.A.; Aljohani, A.S.M.; Al Abdulmonem, W.; Ribaudo, G. The Medicinal Chemistry of Urtica Dioica L.: From Preliminary Evidence to Clinical Studies Supporting Its Neuroprotective Activity. Nat. Prod. Bioprospect. 2023, 13, 16. [Google Scholar] [CrossRef]
- Taheri, Y.; Quispe, C.; Herrera-Bravo, J.; Sharifi-Rad, J.; Ezzat, S.M.; Merghany, R.M.; Shaheen, S.; Azmi, L.; Prakash Mishra, A.; Sener, B.; et al. Urtica Dioica-Derived Phytochemicals for Pharmacological and Therapeutic Applications. Evid.-Based Complement. Altern. Med. 2022, 2022, 4024331. [Google Scholar] [CrossRef]
- Bhusal, K.K.; Magar, S.K.; Thapa, R.; Lamsal, A.; Bhandari, S.; Maharjan, R.; Shrestha, S.; Shrestha, J. Nutritional and Pharmacological Importance of Stinging Nettle (Urtica Dioica L.): A Review. Heliyon 2022, 8, E09717. [Google Scholar] [CrossRef]
- Koraqi, H.; Qazimi, B.; Khalid, W.; Stanoeva, J.P.; Sehrish, A.; Siddique, F.; Çesko, C.; Ali Khan, K.; Rahim, M.A.; Hussain, I.; et al. Optimized Conditions for Extraction, Quantification and Detection of Bioactive Compound from Nettle (Urtica Dioica L.) Using the Deep Eutectic Solvents, Ultra-Sonication and Liquid Chromatography-Mass Spectrometry (LC-DAD-ESI-MS/MS). Int. J. Food Prop. 2023, 26, 2171–2185. [Google Scholar] [CrossRef]
- Flórez, M.; Cazón, P.; Vázquez, M. Antioxidant Extracts of Nettle (Urtica Dioica) Leaves: Evaluation of Extraction Techniques and Solvents. Molecules 2022, 27, 6015. [Google Scholar] [CrossRef] [PubMed]
- Vajić, U.J.; Grujić-Milanović, J.; Živković, J.; Šavikin, K.; Godevac, D.; Miloradović, Z.; Bugarski, B.; Mihailović-Stanojević, N. Optimization of Extraction of Stinging Nettle Leaf Phenolic Compounds Using Response Surface Methodology. Ind. Crops Prod. 2015, 74, 912–917. [Google Scholar] [CrossRef]
- Singleton, V.L.; Orthofer, R.; Lamuela-Raventós, R.M. Analysis of Total Phenols and Other Oxidation Substrates and Antioxidants by Means of Folin-Ciocalteu Reagent. Methods Enzymol. 1999, 299, 152–178. [Google Scholar]
- Chaves, N.; Santiago, A.; Alías, J.C. Quantification of the Antioxidant Activity of Plant Extracts: Analysis of Sensitivity and Hierarchization Based on the Method Used. Antioxidants 2020, 9, 76. [Google Scholar] [CrossRef] [PubMed]
- Nguyen, N.H.; Nguyen, M.T.; Nguyen, H.D.; Pham, P.D.; Thach, U.D.; Trinh, B.T.D.; Nguyen, L.T.T.; Dang, S.V.; Do, A.T.; Do, B.H. Antioxidant and Antimicrobial Activities of the Extracts from Different Garcinia Species. Evid.-Based Complement. Altern. Med. 2021, 2021, 5542938. [Google Scholar] [CrossRef]
- Dubois, M.; Gilles, K.A.; Hamilton, J.K.; Rebers, P.A.; Smith, F. Colorimetric Method for Determination of Sugars and Related Substances. Anal. Chem. 1956, 28, 350–356. [Google Scholar] [CrossRef]
- Papadaki, E.; Roussis, I.G. Assessment of Antioxidant and Scavenging Activities of Various Yogurts Using Different Sample Preparation Procedures. Appl. Sci. 2022, 12, 9283. [Google Scholar] [CrossRef]
- Revin, V.V.; Gromova, N.V.; Revina, E.S.; Samonova, A.Y.; Tychkov, A.Y.; Bochkareva, S.S.; Moskovkin, A.A.; Kuzmenko, T.P. The Influence of Oxidative Stress and Natural Antioxidants on Morphometric Parameters of Red Blood Cells, the Hemoglobin Oxygen Binding Capacity, and the Activity of Antioxidant Enzymes. Biomed. Res. Int. 2019, 2019, 2109269. [Google Scholar] [CrossRef]
- Gawron-Gzella, A.; Chanaj-Kaczmarek, J.; Cielecka-Piontek, J. Yerba Mate—A Long but Current History. Nutrients 2021, 13, 3706. [Google Scholar] [CrossRef] [PubMed]
- Yusoff, I.M.; Mat Taher, Z.; Rahmat, Z.; Chua, L.S. A Review of Ultrasound-Assisted Extraction for Plant Bioactive Compounds: Phenolics, Flavonoids, Thymols, Saponins and Proteins. Food Res. Int. 2022, 157, 111268. [Google Scholar] [CrossRef] [PubMed]
- Plaskova, A.; Mlcek, J. New Insights of the Application of Water or Ethanol-Water Plant Extract Rich in Active Compounds in Food. Front. Nutr. 2023, 10, 1118761. [Google Scholar] [CrossRef]
- Che Sulaiman, I.S.; Basri, M.; Fard Masoumi, H.R.; Chee, W.J.; Ashari, S.E.; Ismail, M. Effects of Temperature, Time, and Solvent Ratio on the Extraction of Phenolic Compounds and the Anti-Radical Activity of Clinacanthus Nutans Lindau Leaves by Response Surface Methodology. Chem. Cent. J. 2017, 11, 54. [Google Scholar] [CrossRef]
- Pinelli, P.; Ieri, F.; Vignolini, P.; Bacci, L.; Baronti, S.; Romani, A. Extraction and HPLC Analysis of Phenolic Compounds in Leaves, Stalks, and Textile Fibers of Urtica Dioica L. J. Agric. Food Chem. 2008, 56, 9127–9132. [Google Scholar] [CrossRef] [PubMed]
- Huaman-Castilla, N.L.; Martínez-Cifuentes, M.; Camilo, C.; Pedreschi, F.; Mariotti-Celis, M.; Pérez-Correa, J.R. The Impact of Temperature and Ethanol Concentration on the Global Recovery of Specific Polyphenols in an Integrated HPLE/RP Process on Carménère Pomace Extracts. Molecules 2019, 24, 3145. [Google Scholar] [CrossRef] [PubMed]
- Liu, Y.; She, X.R.; Huang, J.B.; Liu, M.C.; Zhan, M.E. Ultrasonic-Extraction of Phenolic Compounds from Phyllanthus Urinaria: Optimization Model and Antioxidant Activity. Food Sci. Technol. 2018, 38, 286–293. [Google Scholar] [CrossRef]
- Rashad, S.; El-Chaghaby, G.; Lima, E.C.; Simoes, G.; Reis, D. Optimizing the Ultrasonic-Assisted Extraction of Antioxidants from Ulva Lactuca Algal Biomass Using Factorial Design. Biomass. Convers. Biorefin. 2021, 13, 5681–5690. [Google Scholar] [CrossRef]
- Dai, J.; Mumper, R.J. Plant Phenolics: Extraction, Analysis and Their Antioxidant and Anticancer Properties. Molecules 2010, 15, 7313–7352. [Google Scholar] [CrossRef]
- Sharma, S.; Kundu, A.; Basu, S.; Shetti, N.P.; Aminabhavi, T.M. Sustainable Environmental Management and Related Biofuel Technologies. J. Environ. Manag. 2020, 273, 111096. [Google Scholar] [CrossRef]
- Dhouibi, R.; Affes, H.; Ben Salem, M.; Hammami, S.; Sahnoun, Z.; Zeghal, K.M.; Ksouda, K. Screening of Pharmacological Uses of Urtica Dioica and Others Benefits. Prog. Biophys. Mol. Biol. 2020, 150, 67–77. [Google Scholar] [CrossRef]
- Kume, A. Importance of the Green Color, Absorption Gradient, and Spectral Absorption of Chloroplasts for the Radiative Energy Balance of Leaves. J. Plant Res. 2017, 130, 501–514. [Google Scholar] [CrossRef]
- Guil-Guerrero, J.L.; Rebolloso-Fuentes, M.M.; Torija Isasa, M.E. Fatty Acids and Carotenoids from Stinging Nettle (Urtica Dioica L.). J. Food Compos. Anal. 2003, 16, 111–119. [Google Scholar] [CrossRef]
- Akbay, P.; Basaran, A.A.; Undeger, U.; Basaran, N. In Vitro Immunomodulatory Activity of Flavonoid Glycosides from Urtica Dioica L. Phytother. Res. 2003, 17, 34–37. [Google Scholar] [CrossRef]
- Repajić, M.; Cegledi, E.; Kruk, V.; Pedisić, S.; Çınar, F.; Bursać Kovačević, D.; Žutić, I.; Dragović-Uzelac, V. Accelerated Solvent Extraction as a Green Tool for the Recovery of Polyphenols and Pigments from Wild Nettle Leaves. Processes 2020, 8, 803. [Google Scholar] [CrossRef]
- Tarasevičienė, Ž.; Vitkauskaitė, M.; Paulauskienė, A.; Černiauskienė, J. Wild Stinging Nettle (Urtica Dioica L.) Leaves and Roots Chemical Composition and Phenols Extraction. Plants 2023, 12, 309. [Google Scholar] [CrossRef]
- Izu, G.O.; Njoya, E.M.; Tabakam, G.T.; Nambooze, J.; Otukile, K.P.; Tsoeu, S.E.; Fasiku, V.O.; Adegoke, A.M.; Erukainure, O.L.; Mashele, S.S.; et al. Unravelling the Influence of Chlorogenic Acid on the Antioxidant Phytochemistry of Avocado (Persea Americana Mill.) Fruit Peel. Antioxidants 2024, 13, 456. [Google Scholar] [CrossRef] [PubMed]
- Lu, L.; Luo, K.; Luan, Y.; Zhao, M.; Wang, R.; Zhao, X.; Wu, S. Effect of Caffeic Acid Esters on Antioxidant Activity and Oxidative Stability of Sunflower Oil: Molecular Simulation and Experiments. Food Res. Int. 2022, 160, 111760. [Google Scholar] [CrossRef] [PubMed]
- Gell, D.A. Structure and Function of Haemoglobins. Blood Cells Mol Dis 2018, 70, 13–42. [Google Scholar] [CrossRef]
- Gaikwad, R.; Thangaraj, P.R.; Sen, A.K. Direct and Rapid Measurement of Hydrogen Peroxide in Human Blood Using a Microfluidic Device. Sci. Rep. 2021, 11, 2960. [Google Scholar] [CrossRef]
- Jaiswal, V.; Lee, H.J. Antioxidant Activity of Urtica Dioica: An Important Property Contributing to Multiple Biological Activities. Antioxidants 2022, 11, 2494. [Google Scholar] [CrossRef] [PubMed]





| Factor | Variables | Levels | ||
|---|---|---|---|---|
| Coded Values a | ||||
| −1 | 0 | 1 | ||
| Actual Values | ||||
| Ethanol content (%, v/v) | X1 | 0 | 50 | 100 |
| Extraction time (min) | X2 | 15 | 52.5 | 90 |
| Extraction temperature (°C) | X3 | 30 | 52.5 | 75 |
| Run | Factor | Response (Experimental/Predicted) | ||||
|---|---|---|---|---|---|---|
| X1 | X2 | X3 | YFolin | YFRAP | YDPPH | |
| 1 | 50 | 52.5 | 52.5 | 253.2/259.9 | 1.68/1.73 | 90.0/87.8 |
| 2 | 50 | 52.5 | 52.5 | 294.6/259.9 | 1.86/1.73 | 94.5/87.8 |
| 3 | 0 | 52.5 | 52.5 | 192.8/205.6 | 1.49/1.61 | 75.4/77.6 |
| 4 | 0 | 90 | 75 | 169.0/163.3 | 1.37/1.35 | 63.2/61.0 |
| 5 | 50 | 52.5 | 52.5 | 288.2/259.9 | 1.86/1.73 | 83.3/87.8 |
| 6 | 50 | 52.5 | 52.5 | 256.4/259.9 | 1.74/1.73 | 90.7/87.8 |
| 7 | 50 | 90 | 52.5 | 262.4/270.6 | 1.81/1.81 | 91.1/89.5 |
| 8 | 0 | 90 | 30 | 222.0/225.8 | 1.61/1.60 | 80.9/84.5 |
| 9 | 50 | 15 | 52.5 | 199.2/225.8 | 1.40/1.52 | 70.3/78.6 |
| 10 | 50 | 52.5 | 52.5 | 271.4/259.9 | 1.73/1.73 | 90.6/87.8 |
| 11 | 50 | 52.5 | 30 | 265.0/256.6 | 1.71/1.65 | 85.0/86.2 |
| 12 | 0 | 15 | 30 | 180.8/183.4 | 1.37/1.39 | 75.3/71.7 |
| 13 | 100 | 90 | 30 | 55.6/60.5 | 0.70/0.78 | 10.2/8.5 |
| 14 | 100 | 15 | 75 | 19.0/6.5 | 0.33/0.31 | 4.1/−1.1 |
| 15 | 50 | 52.5 | 52.5 | 265.2/259.9 | 1.73/1.73 | 90.7/87.8 |
| 16 | 50 | 52.5 | 70 | 173.0/216.2 | 1.32/1.51 | 65.4/70.9 |
| 17 | 100 | 30 | 30 | 28.0/24.9 | 0.36/0.34 | 5.5/6.0 |
| 18 | 100 | 52.5 | 52.5 | 49.6/71.6 | 0.75/0.74 | 13.7/18.2 |
| 19 | 0 | 15 | 75 | 123.0/109.3 | 1.33/1.22 | 41.8/41.8 |
| 20 | 100 | 90 | 75 | 65.2/53.8 | 0.72/0.67 | 6.0/7.9 |
| Polynomial Equations | R2adj | R2pred | |
|---|---|---|---|
| YFolin = 110.4 + 2.908X1 + 1.33X2 + 3.17X3 − 0.04851X12 | (3) | 92.97 | 82.58 |
| YFRAP = 0.708 + 0.01026X1 + 0.00835X2 − 0.000221X12 | (4) | 94.82 | 83.05 |
| YDPPH = 45.7 + 0.805X1 + 0.389X2 + 1.209X3 − 0.01594X12 − 0.01813X32 +0.00507X1X3 | (5) | 97.52 | 90.42 |
Disclaimer/Publisher’s Note: The statements, opinions and data contained in all publications are solely those of the individual author(s) and contributor(s) and not of MDPI and/or the editor(s). MDPI and/or the editor(s) disclaim responsibility for any injury to people or property resulting from any ideas, methods, instructions or products referred to in the content. |
© 2024 by the authors. Licensee MDPI, Basel, Switzerland. This article is an open access article distributed under the terms and conditions of the Creative Commons Attribution (CC BY) license (https://creativecommons.org/licenses/by/4.0/).
Share and Cite
Suli, A.; Papadaki, E. Antioxidant Activity of the Medicinal Plant Urtica dioica L.: Extraction Optimization Using Response Surface Methodology and Protective Role in Red Blood Cells. Sci. Pharm. 2024, 92, 45. https://doi.org/10.3390/scipharm92030045
Suli A, Papadaki E. Antioxidant Activity of the Medicinal Plant Urtica dioica L.: Extraction Optimization Using Response Surface Methodology and Protective Role in Red Blood Cells. Scientia Pharmaceutica. 2024; 92(3):45. https://doi.org/10.3390/scipharm92030045
Chicago/Turabian StyleSuli, Aleksja, and Eugenia Papadaki. 2024. "Antioxidant Activity of the Medicinal Plant Urtica dioica L.: Extraction Optimization Using Response Surface Methodology and Protective Role in Red Blood Cells" Scientia Pharmaceutica 92, no. 3: 45. https://doi.org/10.3390/scipharm92030045
APA StyleSuli, A., & Papadaki, E. (2024). Antioxidant Activity of the Medicinal Plant Urtica dioica L.: Extraction Optimization Using Response Surface Methodology and Protective Role in Red Blood Cells. Scientia Pharmaceutica, 92(3), 45. https://doi.org/10.3390/scipharm92030045

