Abstract
Background: Plastic surgery is one of the medical specialties with the highest risk of recurrent medical malpractice claims. The frequency of civil lawsuits represents an issue for the micro- and macro-economy of practitioners of these health treatments. This paper aims to discuss the medico-legal aspects and claim path in a case of a cosmetic blepharoplasty complicated by lagophthalmos wrongly related to the procedure but due to missed hyperthyroidism. Case Description and Literature Review: A 48-year-old woman who underwent cosmetic blepharoplasty with undiagnosed hyperthyroidism claimed that the lagophthalmos that occurred some months after the procedure was due to medical malpractice, due to an over-resection of the exuberant lower eyelid tissue. The review question was, “Are thyroid disfunctions usually considered contraindications to be communicated to patients who undergo blepharoplasty?”, and the databases MEDLINE via PubMed, Embase, Scopus, Ovid, ISI Web of Science, Cochrane, and Google Scholar were used. Results and Discussion: There were 21 eligible papers. The case highlights the importance and complexity of causal inference (such as unknown thyroid dysfunctions), related informed consent involving information on possible complications unrelated to malpractice, and guidelines recommending endocrinological consultation for cosmetic/functional blepharoplasty in patients at risk (e.g., female patients with a known history of thyroid disease).
1. Introduction
Blepharoplasty can be performed for cosmetic reasons or to amend functional impairments, like ptosis or herniated orbital fat [1,2,3,4]. It is a technically complex surgery since it can be sensitive to anatomical structures [5]. From a medico-legal point of view, plastic surgery is one of the medical specialties at the highest risk of recurrent medical malpractice claims [6]. In detail, among the procedures of plastic surgery, blepharoplasty and rhinoplasty are the most exposed to medical malpractice claims [7,8]. The frequency of medical malpractice claims is relevant because civil lawsuits are an issue not only from a micro- and macroeconomic point of view: Studdert et al. found that recurrent claims are associated with a higher risk of reducing the volume of treated cases and of ceasing practice [6]. When a medical malpractice claim is evaluated, finding and proving the cause of a negative outcome is the most sensible and complex step. In particular, in cases of negative outcomes of surgical procedures, compensation is generally due if the plaintiff creates a rebuttable presumption of negligence by the defendant unless the latter proves that the cause of the harm was not under their control. In other words, even when the surgery was apparently well performed, the occurrence of a complication can be a valid reason for compensating the patient if the defendant (the physician) cannot prove the actual cause was independent of their control.
In this paper, we report a case of cosmetic blepharoplasty complicated by lagophthalmos that had been wrongly related to the procedure, while it was due to missed hyperthyroidism. The study complies with the Declaration of Helsinki, and informed consent to data use was obtained.
The paper aims to discuss the importance and complexity of causal inference and informed consent in this kind of procedure.
2. Case Description
A 48-year-old woman underwent cosmetic blepharoplasty at a private plastic surgery clinic. On admission, she only reported autoimmune hypothyroidism (anti-Tireoglobul < 1 U/mL n.v. < 4; anti-Perossidasi 130 U/mL n.v. < 9; TSH 2.13 uU/mL n.v. 0.38–5.33; FT3 2.4 pg/mL n.v. 2.5–3.9; FT4 0.63 ng/dL n.v. 0.61–1.12), allegedly successfully treated with 100 mcg of levothyroxine + liothyronine. On clinical examination, a mild pseudogenization of the lower eyelid fat with mild blepharochalasis of the upper and lower eyelids was reported. The levator excursion was normal, and lagophthalmos, exophthalmos, and lower eyelid retraction were excluded. Informed consent, defined by the Italian Society of Plastic Surgery as involving revealing information about risks and complications, was obtained. After preoperative marking and the injection of 20 mg/mL of mepivacaine with 2% adrenaline, surgical excision of the excess skin was performed, followed by the removal of an orbicularis oculi muscle strip to expose the fat pads. The fat excision was achieved without apparent complications, and then hemostasis was carefully performed, cauterizing the cut end of the fat before releasing the hemostat. The lower eyelid blepharoplasty was approached transcutaneously; the excess skin and fat pads were carefully removed.
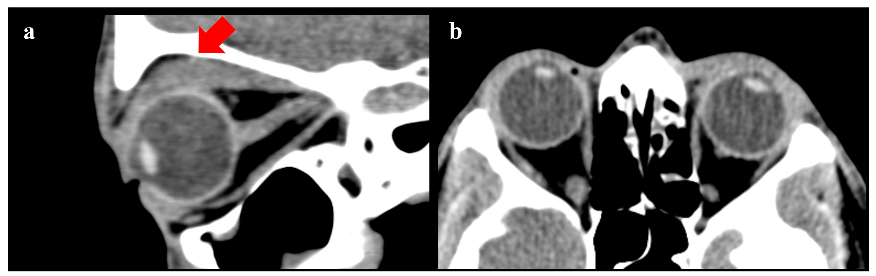
The surgical procedure lasted 1 h, and no complications were reported. After a short period of observation, the patient was discharged. In the first two months after the surgery, no anomalies of interest occurred (Figure 1). After this period, left lagophthalmos was reported and rapidly worsened (Figure 2). Five months after the procedure, a CT scan of the head was performed to find the cause of this adverse event. It showed regular orbital fat and eye muscles and, only in the left eye, thickened eyelids (Figure 3). In the following months, MRI scans were performed, finding a bilateral increase in the thickness of the eye muscles (Figure 4).
Figure 1.
(a) Pre-surgery view. (b) View 5 days after surgery with no anomalies of interest. (c) View 2 months after surgery with left lagophthalmos.
Figure 2.
View 5 months after surgery with left lagophthalmos. (a) Front view with open eyes. (b) Front view with closed eyes.
Figure 3.
CT scan performed 5 months after surgery. (a) Sagittal view—the LM/SR muscle complex increase is highlighted in red. (b) Coronal view.
Figure 4.
(a,b) NMR performed 10 months after surgery. (a) Sagittal view. (b) Coronal view. (c,d) NMR performed 12 months after surgery. (c) Sagittal view. (d) Coronal view.
The patient claimed that the lagophthalmos was due to medical malpractice, having allegedly been caused by an over-resection of the exuberant lower eyelid tissue. Hence, 16 months after surgery, two court-appointed medical expert witnesses (a plastic surgeon and an expert in legal medicine) visited the plaintiff, finding bilateral proptosis, an asymmetrical ocular appearance with a wide lower and upper eyelid retraction in the left eye, and normal healing of the blepharoplasty sutures (Figure 5). Her ocular motility was bilaterally normal. The convergence test was negative.
Figure 5.
View 16 months after surgery with bilateral proptosis, asymmetrical ocular appearance with a wide lower and upper eyelid retraction in the left eye, and normal healing of blepharoplasty sutures. (a,b) Front views with open eyes. (c) Left side view. (d) Right side view. (e,f) Front views with closed eyes.
Among the clinical documentation brought by the plaintiff were the results of the thyroid function tests performed for the patient over the last five years. Analyzing these documents, it was found that the reported hypothyroidism had turned into hyperthyroidism (with values of TSH < 0.01 mUI/L n.v. 0.43–3.50; FT4 2.19 ng/dL n.v. 0.70–1.48), whose diagnosis had been missed. Therefore, the lagophthalmos was assessed to have been caused by an endocrinological disorder rather than by a surgical error.
3. Literature Review Methodology
The review question was, “Are thyroid disfunctions usually considered contraindications to be communicated to patients who undergo blepharoplasty?”. Two investigators searched for published studies in the electronic database MEDLINE via PubMed, Embase, Scopus, Ovid, ISI Web of Science, Cochrane, and Google Scholar. Six search strings were used, combining couples of keywords using the Boolean operator AND: (1) blepharoplasty AND thyroid (51); (2) blepharoplasty and thyroid diseases (77); (3) blepharoplasty AND contraindications (21); (4) blepharoplasty AND guidelines (46), (5) blepharoplasty AND recommendations (114); (6) blepharoplasty AND consent (14). The eligibility criteria were a publication date between 1 January 1985 and 1 December 2021 and the English language. This strategy found these numbers of papers: (1) 51; (2) 77; (3) 21; (4) 46; (5) 114; (6) 14. The results were compared, and their titles and abstracts and then their full texts were examined, finding 21 eligible papers (Table 1).
Table 1.
Results of Literature Review.
4. Discussion
In the case we reported, post-operative lagophthalmos appeared to be due to surgical malpractice and could have led to compensation if, after a multidisciplinary and comprehensive evaluation, the cause had not been found to be an underlying (and misunderstood) thyroid disorder. Most of the claims related to surgical errors during blepharoplasty are due to complications like upper or lower eyelid malposition, lagophthalmos, corneal exposure, lacrimal system dysfunction, and dry eye syndrome [30]. However, only a small number of the claimed errors result in compensation: for instance, only 17% of cases of lagophthalmos allegedly due to errors during blepharoplasty are sentenced in favor of the plaintiff [8]. Indeed, these cases are often particularly complex from a medico-legal point of view since a negative outcome is often due to unpredictable/unavoidable factors.
In Italy, in 2017, Law 24/2017 dictated rules for assessing medical liability both in a civil and criminal context with regard to the specific clinical practice guidelines (CPGs) or recommendations enacted by scientific societies recognized by the Ministry of Health. CPGs play a dual role in medical malpractice claims and can be used in litigation by an accused physician as a defense (exculpatory evidence) and by patients alleging a breach of the standard of care (inculpatory evidence).
Establishing a breach in the standard of care is key to medical malpractice claims under the negligence standard, in which a defendant physician attempts to assert that he or she has complied with the standard of care, and a plaintiff conversely contends the acceptable standard was not met [31,32].
The duty of care entails both a correct procedure from a technical point of view and correct information concerning the post-operative risks. Therefore, a surgeon could be found liable for having failed to comply with one of or both these aspects of their duty [33].
In the case we reported, the lagophthalmos was not due to a technical error but to the worsening of hyperthyroidism, whose diagnosis was missed. This occurrence is of significant medico-legal interest since, in civil law, the standard of proof adopts the principle of the so-called “preponderance of the evidence”, and thus post-operative lagophthalmos—which, as previously stated, is one of the commonest complications of the procedure—is usually interpreted as an indicator of a surgical error. An important criterion to determine whether there is liability is to compare the conduct of the defendant with the standard of care established by the guidelines and the evidence-based best practices [31,32,33,34].
According to the reviewed literature, thyroid disorders do not contraindicate (cosmetic) blepharoplasty [20,24]. However, the current evidence indicates that thyroid function should always be screened before blepharoplasty and, in the case of disorders, a stabilization of function for at least 6–12 months before surgery and an eye examination with the evaluation of the periocular muscles are highly recommended [25,35,36].
Generally speaking, no guidelines or scientific literature contraindicate blepharoplasty for patients affected by thyroid diseases, even if cosmetic blepharoplasty might be deemed inappropriate for patients affected by both hypothyroidism and hyperthyroidism. The correct balance of thyroid function before surgery does not represent an absolute index of stability of thyroid function. Especially in cases of autoimmune thyroiditis, as in the case of this patient, in a low percentage of cases, there can be a rapid change from hypothyroidism and euthyroidism to hyperthyroidism.
Uneven guidelines on blepharoplasty for functional or cosmetic reasons and major evidence on patients affected by thyroid dysfunction jeopardize clinical procedures and increase the risk of litigation.
Therefore, from a medico-legal point of view, there are two arguments to be enforced to avoid undeserved compensations: i) informed consent should always clearly represent the risk that, in the case of thyroid disfunctions, after the surgery, complications not due to malpractice could occur; ii) the guidelines for cosmetic and functional blepharoplasty should strongly recommend endocrinological consultation in patients at risk (e.g., female patients with a known history of thyroid disease).
Author Contributions
Conceptualization: B.D., M.F., G.F.R., V.P. and AI; methodology: B.D., M.F. and V.P.; data curation: S.G., G.C., S.F., G.F.R. and I.B.; writing—original draft preparation: S.G., G.C., S.F., G.F.R. and I.B.; writing—review and editing, B.D., M.F., V.P. and A.I.; supervision, B.D., M.F., V.P. and A.I. All the authors have read and agreed to the published version of the manuscript. All authors have read and agreed to the published version of the manuscript.
Funding
This research received no external funding.
Institutional Review Board Statement
Not applicable.
Informed Consent Statement
Written informed consent has been obtained from the patient to publish this paper.
Data Availability Statement
All relevant data are provided in the paper.
Conflicts of Interest
The authors declare no conflicts of interest.
References
- American Society of Plastic Surgeons (ASPS). 2022 Plastic Surgery Statistics. Available online: https://www.plasticsurgery.org/news/plastic-surgery-statistics (accessed on 8 February 2023).
- American Academy of Ophthalmology. Functional indications for upper and lower eyelid blepharoplasty. Ophthalmology 1995, 102, 693–695. [Google Scholar] [CrossRef] [PubMed]
- Golchet, P.R.; Yu, F.; Goldberg, R.; Coleman, A.L. Recent trends in upper eyelid blepharoplasties in medicare patients in the United States from 1995 to 1999. Ophthalmic Plast. Reconstr. Surg. 2004, 20, 190–197. [Google Scholar] [CrossRef]
- Black, J. Complications following blepharoplasty. Plast. Surg. Nurs. 1998, 18, 78–83. [Google Scholar] [CrossRef] [PubMed]
- Ghabrial, R.; Lisman, R.D.; Kane, M.A.; Milite, J.; Richards, R. Diplopia following transconjunctival blepharoplasty. Plast. Reconstr. Surg. 1998, 102, 1219–1225. [Google Scholar] [CrossRef] [PubMed]
- Studdert, D.M.; Spittal, M.J.; Zhang, Y.; Wilkinson, D.S.; Singh, H.; Mello, M.M. Changes in Practice among Physicians with Malpractice Claims. N. Engl. J. Med. 2019, 380, 1247–1255. [Google Scholar] [CrossRef] [PubMed]
- Svider, P.F.; Keeley, B.R.; Zumba, O.; Mauro, A.C.; Setzen, M.; Eloy, J.A. From the operating room to the courtroom: A comprehensive characterization of litigation related to facial plastic surgery procedures. Laryngoscope 2013, 123, 1849–1853. [Google Scholar] [CrossRef]
- Svider, P.F.; Blake, D.M.; Husain, Q.; Mauro, A.C.; Turbin, R.E.; Eloy, J.A.; Langer, P.D. In the eyes of the law: Malpractice litigation in oculoplastic surgery. Ophthalmic Plast. Reconstr. Surg. 2014, 30, 119–123. [Google Scholar] [CrossRef] [PubMed]
- Holt, J.E.; Holt, G.R. Blepharoplasty. Indications and preoperative assessment. Arch. Otolaryngol. 1985, 111, 394–397. [Google Scholar] [CrossRef] [PubMed]
- Klatsky, S.A.; Manson, P.N. Thyroid disorders masquerading as aging changes. Ann. Plast. Surg. 1992, 28, 420–426. [Google Scholar] [CrossRef] [PubMed]
- Fulton, J.E. The complications of blepharoplasty: Their identification and management. Dermatol. Surg. 1999, 25, 549–558. [Google Scholar] [CrossRef] [PubMed]
- Rosenthal, E.L.; Baker, S.R. Development of Graves orbitopathy after blepharoplasty. A rare complication. Arch. Facial Plast. Surg. 1999, 1, 127–129. [Google Scholar] [CrossRef] [PubMed]
- Rohrich, R.J.; Coberly, D.M.; Fagien, S.; Stuzin, J.M. Current concepts in aesthetic upper blepharoplasty. Plast. Reconstr. Surg. 2004, 113, 32e–42e. [Google Scholar] [CrossRef] [PubMed]
- American Society of Plastic Surgeons (ASPS). Practice Parameter for Blepharoplasty. Arlington Heights, IL. March 2007. Available online: http://www.plasticsurgery.org/Documents/medical-professionals/healthpolicy/evidence-practice/Blepharoplasty-Practice-Parameter.pdf (accessed on 30 September 2022).
- Trussler, A.P.; Rohrich, R.J. MOC-PSSM CME article: Blepharoplasty. Plast. Reconstr. Surg. 2008, 121 (Suppl. S1), 1–10. [Google Scholar] [CrossRef] [PubMed]
- Naik, M.N.; Honavar, S.G.; Das, S.; Desai, S.; Dhepe, N. Blepharoplasty: An overview. J. Cutan. Aesthetic Surg. 2009, 2, 6–11. [Google Scholar] [CrossRef] [PubMed]
- Friedland, J.A.; Lalonde, D.H.; Rohrich, R.J. An evidence-based approach to blepharoplasty. Plast. Reconstr. Surg. 2010, 126, 2222–2229. [Google Scholar] [CrossRef] [PubMed]
- Drolet, B.C.; Sullivan, P.K. Evidence-based medicine: Blepharoplasty. Plast. Reconstr. Surg. 2014, 133, 1195–1205. [Google Scholar] [CrossRef] [PubMed]
- Custer, P.L. Preoperative Examination Checklist for Upper Blepharoplasty. In Pearls and Pitfalls in Cosmetic Oculoplastic Surgery; Hartstein, M.D., Facs, M., Massry, M.D., Facs, G., Holds, M.D., Facs, J., Eds.; Springer: New York, NY, USA, 2015. [Google Scholar] [CrossRef]
- Italian Association of Aesthetics and Plastic Surgery (AICPE). Linee Guida Per I Principali Interventi Di Chirurgia Estetica. Minerva Chirurgica. Volume 70, Suppl. I, N. 6. Revised in 1 December 2015. Available online: https://www.aicpe.org/wp-content/uploads/2021/02/linee-guida-aggiornamento-2015.pdf (accessed on 30 November 2022).
- Italian Society of Reconstructive and Aesthetic Plastic Surgery (SICPRE). Prospetto Informativo Sull’intervento Di Blefaroplastica. 2015. Available online: https://www.sicpre.it/wp-content/uploads/2015/12/07.pdf (accessed on 30 November 2022).
- Scawn, R.; Gore, S.; Joshi, N. Blepharoplasty Basics for the Dermatologist. J. Cutan. Aesthetic Surg. 2016, 9, 80–84. [Google Scholar] [CrossRef]
- Bhattacharjee, K.; Misra, D.K.; Deori, N. Updates on upper eyelid blepharoplasty. Indian J. Ophthalmol. 2017, 65, 551–558. [Google Scholar] [CrossRef] [PubMed]
- Mauriello, J.A., Jr. Preoperative Evaluation of Patients Undergoing Cosmetic Blepharoplasty. In Ento Key, Fastest Otolaryngology & Ophthalmology Insight Engine; 2018. Available online: https://entokey.com/preoperative-evaluation-of-patients-undergoing-cosmetic-blepharoplasty/ (accessed on 12 October 2022).
- MassHealth. Guidelines for Medical Necessity Determination for Blepharoplasty, Upper Eyelid Ptosis, and Brow Ptosis Surgery. 25 October 2019. Available online: https://www.mass.gov/doc/guidelines-for-medical-necessity-determination-for-blepharoplasty-upper-eyelid-ptosis-and-brow-ptosis-surgery/download (accessed on 14 October 2022).
- Kim, K.; Granick, M.; Baum, G.; Beninger, F.; Cahill, K.; Kaidi, A.; Kang, A.; Loeding, L.; Li, M.L.; Patel, P.; et al. Evidence-based Clinical Practice Guideline: Eyelid Surgery for Upper Visual Field Improvement (Draft). American Society of Plastic Surgeons (ASPS). 8 August 2019. Available online: https://www.plasticsurgery.org/documents/medical-professionals/quality-resources/guidelines/guideline-2019-upper-eyelind-brow-surgery.pdf (accessed on 22 June 2022).
- Caughlin, B.P. Browplasty. In Facial Plastic and Reconstructive Surgery, A Comprehensive Study Guide, 2nd ed.; Boeckmann, W.A., Ed.; Springer: Berlin/Heidelberg, Germany, 2020; pp. 263–274. [Google Scholar]
- Kwitko, G.M.; Patel, B.C. Blepharoplasty Ptosis Surgery. In StatPearls; StatPearls Publishing: Treasure Island, FL, USA, 2021. Available online: https://www.ncbi.nlm.nih.gov/books/NBK482296/?report=classic (accessed on 22 June 2022).
- Rebowe, R.E.; Runyan, C. Blepharoplasty. In StatPearls; StatPearls Publishing: Treasure Island, FL, USA, 2021. Available online: https://www.ncbi.nlm.nih.gov/books/NBK482381/ (accessed on 22 June 2022).
- Lelli, G.J., Jr.; Lisman, R.D. Blepharoplasty complications. Plast. Reconstr. Surg. 2010, 125, 1007–1017. [Google Scholar] [CrossRef]
- Hyams, A.L.; Brandenburg, J.A.; Lipsitz, S.R.; Shapiro, D.W.; Brennan, T.A. Practice guidelines and malpractice litigation: A two-way street. Ann. Intern. Med. 1995, 122, 450–455. [Google Scholar] [CrossRef]
- Recupero, P.R. Clinical practice guidelines as learned treatises: Understanding their use as evidence in the courtroom. J. Am. Acad. Psychiatry Law 2008, 36, 290–301. [Google Scholar] [PubMed]
- Kandinov, A.; Mutchnick, S.; Nangia, V.; Svider, P.F.; Zuliani, G.F.; Shkoukani, M.A.; Carron, M.A. Analysis of Factors Associated with Rhytidectomy Malpractice Litigation Cases. JAMA Facial Plast. Surg. 2017, 19, 255–259. [Google Scholar] [CrossRef] [PubMed]
- Ferrara, S.D.; Baccino, E.; Boscolo-Berto, R.; Comandè, G.; Domenici, R.; Hernandez-Cueto, C.; Gulmen, M.K.; Mendelson, G.; Montisci, M.; Norelli, G.A.; et al. Padova Charter on personal injury and damage under civil-tort law: Medico-legal guidelines on methods of ascertainment and criteria of evaluation. Int. J. Leg. Med. 2016, 130, 1–12. [Google Scholar] [CrossRef]
- Fante, R.G.; Bucsi, R.; Wynkoop, K. Medical Professional Liability Claims: Experience in Oculofacial Plastic Surgery. Ophthalmology 2018, 125, 1996–1998. [Google Scholar] [CrossRef] [PubMed]
- Boyll, P.; Kang, P.; Mahabir, R.; Bernard, R.W. Variables That Impact Medical Malpractice Claims Involving Plastic Surgeons in the United States. Aesthetic Surg. J. 2018, 38, 785–792. [Google Scholar] [CrossRef] [PubMed]
Disclaimer/Publisher’s Note: The statements, opinions and data contained in all publications are solely those of the individual author(s) and contributor(s) and not of MDPI and/or the editor(s). MDPI and/or the editor(s) disclaim responsibility for any injury to people or property resulting from any ideas, methods, instructions or products referred to in the content. |
© 2024 by the authors. Licensee MDPI, Basel, Switzerland. This article is an open access article distributed under the terms and conditions of the Creative Commons Attribution (CC BY) license (https://creativecommons.org/licenses/by/4.0/).




