Reinforcement Learning for Robot Assisted Live Ultrasound Examination
Abstract
1. Introduction
2. Related Work
3. Materials and Methods
3.1. Robotic Ultrasound Scanning System Construction
3.2. Liver Standard Plane Localization
3.3. Construction and Training of the Reinforcement Learning Agent
3.4. Sim-to-Real Transfer Strategy
4. Results
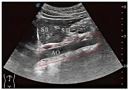
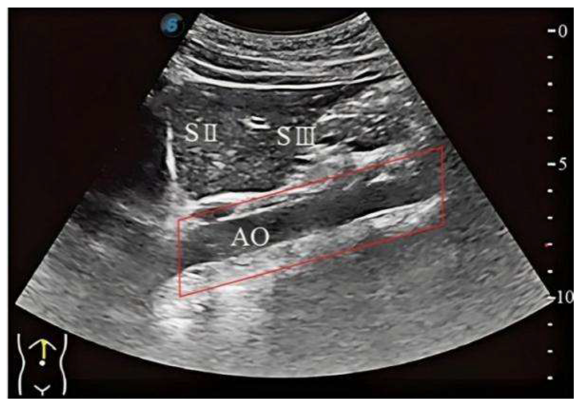
4.1. Three-Dimensional Reconstruction Results of Local Liver Ultrasound
4.2. Image Segmentation and Recognition Results
4.3. Experiment Results of the Reinforcement Learning Agent
5. Discussion
5.1. Evaluation of System Performance
5.2. Limitations and Future Work
5.3. Potential Clinical Integration and Practical Significance
Author Contributions
Funding
Data Availability Statement
Acknowledgments
Conflicts of Interest
References
- Newman, P.G.; Rozycki, G.S. The history of ultrasound. Surg. Clin. N. Am. 1998, 78, 179–195. [Google Scholar] [CrossRef] [PubMed]
- Shung, K.K. Diagnostic ultrasound: Past, present, and future. J. Med. Biol. Eng. 2011, 31, 371–374. [Google Scholar] [CrossRef]
- Schmailzl, K.J.; Ormerod, O. Ultrasound in Cardiology; Blackwell Sci.: Oxford, UK, 1994. [Google Scholar]
- Peeling, W.B.; Griffiths, G.J. Imaging of the prostate by ultrasound. J. Urol. 1984, 132, 217–224. [Google Scholar] [CrossRef] [PubMed]
- Leinenga, G.; Langton, C.; Nisbet, R.; Götz, J. Ultrasound treatment of neurological diseases—Current and emerging applications. Nat. Rev. Neurol. 2016, 12, 161–174. [Google Scholar] [CrossRef]
- Callen, P.W. Ultrasonography in Obstetrics and Gynecology; Elsevier Health Sciences: London, UK, 2011. [Google Scholar]
- Baumgartner, C.F.; Kamnitsas, K.; Matthew, J.; Fletcher, T.P.; Smith, S.; Koch, L.M.; Kainz, B.; Rueckert, D. SonoNet: Real-time detection and localisation of fetal standard scan planes in freehand ultrasound. IEEE Trans. Med. Imaging 2017, 36, 2204–2215. [Google Scholar] [CrossRef]
- Chang, K.V.; Kara, M.; Su, D.C.J.; Gürçay, E.; Kaymak, B.; Wu, W.T.; Özçakar, L. Sonoanatomy of the spine: A comprehensive scanning protocol from cervical to sacral region. Med. Ultrason. 2019, 21, 474–482. [Google Scholar] [CrossRef]
- Karmakar, M.K.; Chin, K.J. Spinal Sonography and Applications of Ultrasound for Central Neuraxial Blocks. 2017. Available online: http://www.nysora.com/techniques/neuraxialand-perineuraxial-techniques/ultrasoundguided/3276-spinal-and-epidural-block.html,1 (accessed on 4 July 2024).
- Muir, M.; Hrynkow, P.; Chase, R.; Boyce, D.; Mclean, D. The nature, cause, and extent of occupational musculoskeletal injuries among sonographers: Recommendations for treatment and prevention. J. Diagn. Med. Sonogr. 2004, 20, 317–325. [Google Scholar] [CrossRef]
- Berg, W.A.; Blume, J.D.; Cormack, J.B.; Mendelson, E.B. Operator dependence of physician-performed whole-breast US: Lesion detection and characterization. Radiology 2006, 241, 355–365. [Google Scholar] [CrossRef]
- Yang, G.Z.; Nelson, B.J.; Murphy, R.R.; Choset, H.; Christensen, H.; Collins, S.H.; Dario, P.; Goldberg, K.; Ikuta, K.; Jacobstein, N.; et al. Combating COVID-19—The role of robotics in managing public health and infectious diseases. Sci. Robot. 2020, 5, eabb5589. [Google Scholar] [CrossRef] [PubMed]
- Nakadate, R.; Solis, J.; Takanishi, A.; Minagawa, E.; Sugawara, M.; Niki, K. Implementation of an automatic scanning and detection algorithm for the carotid artery by an assisted-robotic measurement system. In Proceedings of the 2010 IEEE/RSJ International Conference on Intelligent Robots and Systems, Taipei, Taiwan, 18–22 October 2010; pp. 313–318. [Google Scholar]
- Nakadate, R.; Uda, H.; Hirano, H.; Solis, J.; Takanishi, A.; Minagawa, E.; Sugawara, M.; Niki, K. Development of assisted-robotic system designed to measure the wave intensity with an ultrasonic diagnostic device. In Proceedings of the 2009 IEEE/RSJ International Conference on Intelligent Robots and Systems, St. Louis, MO, USA, 11–15 October 2009; pp. 510–515. [Google Scholar]
- Bin Mustafa, A.S.; Ishii, T.; Matsunaga, Y.; Nakadate, R.; Ishii, H.; Ogawa, K.; Saito, A.; Sugawara, M.; Niki, K.; Takanishi, A. Development of robotic system for autonomous liver screening using ultrasound scanning device. In Proceedings of the 2013 IEEE International Conference on Robotics and Biomimetics (ROBIO), Shenzhen, China, 12–14 December 2013; pp. 804–809. [Google Scholar]
- Bin Mustafa, A.S.; Ishii, T.; Matsunaga, Y.; Nakadate, R.; Ishii, H.; Ogawa, K.; Saito, A.; Sugawara, M.; Niki, K.; Takanishi, A. Human abdomen recognition using camera and force sensor in medical robot system for automatic ultrasound scan. In Proceedings of the 2013 35th Annual International Conference of the IEEE Engineering in Medicine and Biology Society (EMBC), Osaka, Japan, 3–7 July 2013; pp. 4855–4858. [Google Scholar]
- Rosen, J. Surgical robotics. In Medical Devices: Surgical and Image-Guided Technologies; Wiley: Hoboken, NJ, USA, 2013; pp. 63–98. [Google Scholar]
- Pan, Z.; Tian, S.; Guo, M.; Zhang, J.; Yu, N.; Xin, Y. Comparison of medical image 3D reconstruction rendering methods for robot-assisted surgery. In Proceedings of the 2017 2nd International Conference on Advanced Robotics and Mechatronics (ICARM), Hefei and Tai’an, China, 27–31 August 2017; pp. 94–99. [Google Scholar]
- Sung, G.T.; Gill, I.S. Robotic laparoscopic surgery: A comparison of the da Vinci and Zeus systems. Urology 2001, 58, 893–898. [Google Scholar] [CrossRef]
- Huang, Q.; Lan, J.; Li, X. Robotic arm based automatic ultrasound scanning for three-dimensional imaging. IEEE Trans. Ind. Inform. 2018, 15, 1173–1182. [Google Scholar] [CrossRef]
- Merouche, S.; Allard, L.; Montagnon, E.; Soulez, G.; Bigras, P.; Cloutier, G. A robotic ultrasound scanner for automatic vessel tracking and three-dimensional reconstruction of b-mode images. IEEE Trans. Ultrason. Ferroelectr. Freq. Control 2015, 63, 35–46. [Google Scholar] [CrossRef]
- Peng, Y.; Yang, X.; Li, D.; Ma, Z.; Liu, Z.; Bai, X.; Mao, Z. Predicting flow status of a flexible rectifier using cognitive computing. Expert Syst. Appl. 2025, 264, 125878. [Google Scholar] [CrossRef]
- Mao, Z.; Suzuki, S.; Wiranata, A.; Zheng, Y.; Miyagawa, S. Bio-inspired circular soft actuators for simulating defecation process of human rectum. J. Artif. Organs 2025, 28, 252–261. [Google Scholar] [CrossRef]
- Wu, J.; Wang, Z.; Hong, M.; Ji, W.; Fu, H.; Xu, Y.; Xu, M.; Jin, Y. Medical sam adapter: Adapting segment anything model for medical image segmentation. Med. Image Anal. 2025, 102, 103547. [Google Scholar] [CrossRef] [PubMed]
- Deng, R.; Cui, C.; Liu, Q.; Yao, T.; Remedios, L.W.; Bao, S.; Landman, B.A.; Wheless, L.E.; Coburn, L.A.; Wilson, K.T.; et al. Segment anything model (sam) for digital pathology: Assess zero-shot segmentation on whole slide imaging. In Proceedings of the IS&T International Symposium on Electronic Imaging, Burlingame, CA, USA, 2–6 February 2025; Volume 37, p. COIMG-132. [Google Scholar]
- Chang, C.; Law, H.; Poon, C.; Yen, S.; Lall, K.; Jamshidi, A.; Malis, V.; Hwang, D.; Bae, W.C. Segment Anything Model (SAM) and Medical SAM (MedSAM) for Lumbar Spine MRI. Sensors 2025, 25, 3596. [Google Scholar] [CrossRef] [PubMed]
- Huang, H.; Lin, L.; Tong, R.; Hu, H.; Zhang, Q.; Iwamoto, Y.; Han, X.; Chen, Y.-W.; Wu, J. Unet 3+: A full-scale connected unet for medical image segmentation. In Proceedings of the ICASSP 2020—2020 IEEE International Conference on Acoustics, Speech and Signal Processing (ICASSP), Barcelona, Spain, 4–9 May 2020; pp. 1055–1059. [Google Scholar]
- Dou, H.; Yang, X.; Qian, J.; Xue, W.; Qin, H.; Wang, X.; Yu, L.; Wang, S.; Xiong, Y.; Heng, P.-A.; et al. Agent with warm start and active termination for plane localization in 3D ultrasound. In Proceedings of the International Conference on Medical Image Computing and Computer-Assisted Intervention, Shenzhen, China, 13–17 October 2019; Springer International Publishing: Cham, Switzerland, 2019; pp. 290–298. [Google Scholar]
- Jarosik, P.; Lewandowski, M. Automatic ultrasound guidance based on deep reinforcement learning. In Proceedings of the 2019 IEEE International Ultrasonics Symposium (IUS), Glasgow, Scotland, 6–9 October 2019; pp. 475–478. [Google Scholar]
- Zhao, B.; Zhang, S.; Liu, D. Self-triggered approximate optimal neuro-control for nonlinear systems through adaptive dynamic programming. IEEE Trans. Neural Netw. Learn. Syst. 2024, 36, 4713–4723. [Google Scholar] [CrossRef]
- Zhang, D.; Wang, Y.; Meng, L.; Yan, J.; Qin, C. Adaptive critic design for safety-optimal FTC of unknown nonlinear systems with asymmetric constrained-input. ISA Trans. 2024, 155, 309–318. [Google Scholar] [CrossRef]
- Qin, C.; Ran, X.; Zhang, D. Unsupervised image stitching based on Generative Adversarial Networks and feature frequency awareness algorithm. Appl. Soft Comput. 2025, 183, 113466. [Google Scholar] [CrossRef]
- Milletari, F.; Birodkar, V.; Sofka, M. Straight to the point: Reinforcement learning for user guidance in ultrasound. In Proceedings of the Smart Ultrasound Imaging and Perinatal, Preterm and Paediatric Image Analysis: First International Workshop, SUSI 2019, and 4th International Workshop, PIPPI 2019, Held in Conjunction with MICCAI 2019, Shenzhen, China, 13 and 17 October 2019, Proceedings; Springer International Publishing: Cham, Switzerland, 2019; pp. 3–10. [Google Scholar]
- Hase, H.; Azampour, M.F.; Tirindelli, M.; Paschali, M.; Simson, W.; Fatemizadeh, E.; Navab, N. Ultrasound-guided robotic navigation with deep reinforcement learning. In Proceedings of the 2020 IEEE/RSJ International Conference on Intelligent Robots and Systems (IROS), Las Vegas, NV, USA, 25–29 October 2020; pp. 5534–5541. [Google Scholar]
- Li, K.; Wang, J.; Xu, Y.; Qin, H.; Liu, D.; Liu, L.; Meng, M.Q.H. Autonomous navigation of an ultrasound probe towards standard scan planes with deep reinforcement learning. In Proceedings of the 2021 IEEE International Conference on Robotics and Automation (ICRA), Xi’an, China, 30 May–5 June 2021; pp. 8302–8308. [Google Scholar]
- Bi, Y.; Jiang, Z.; Gao, Y.; Wendler, T.; Karlas, A.; Navab, N. VesNet-RL: Simulation-based reinforcement learning for real-world US probe navigation. IEEE Robot. Autom. Lett. 2022, 7, 6638–6645. [Google Scholar] [CrossRef]
- Al Qurri, A.; Almekkawy, M. Improved UNet with attention for medical image segmentation. Sensors 2023, 23, 8589. [Google Scholar] [CrossRef] [PubMed]
- Jain, G.; Kumar, A.; Bhat, S.A. Recent developments of game theory and reinforcement learning approaches: A systematic review. IEEE Access 2024, 12, 9999–10011. [Google Scholar] [CrossRef]
- Wen, X.; Li, W. Time series prediction based on LSTM-attention-LSTM model. IEEE Access 2023, 11, 48322–48331. [Google Scholar] [CrossRef]
- Russell, B.C.; Torralba, A.; Murphy, K.P.; Freeman, W.T. LabelMe: A database and web-based tool for image annotation. Int. J. Comput. Vis. 2008, 77, 157–173. [Google Scholar] [CrossRef]












| Reward Function | Condition |
|---|---|
| −1 | Out of bound 1 |
| Outside the alert bound & | |
| Within the alert bound & | |
| Outside the alert bound & | |
| Within the alert bound & | |
| Outside the alert bound & | |
| Within the alert bound & | |
| 5 | |
| 1 |
| MSE | PSNR | SSIM | Dice | |
|---|---|---|---|---|
| 1 | 539.5 | 20.8 dB | 0.71 | 0.88 |
| 2 | 351.0 | 22.7 dB | 0.86 | 0.81 |
| 3 | 505.6 | 21.09 dB | 0.54 | 0.84 |
| 4 | 139.80 | 26.68 dB | 0.69 | 0.78 |
| 5 | 183.71 | 25.49 dB | 0.68 | 0.74 |
| 6 | 531.48 | 20.88 dB | 0.59 | 0.68 |
| 7 | 138.13 | 26.73 dB | 0.69 | 0.81 |
| 8 | 113.67 | 27.57 dB | 0.79 | 0.85 |
| 9 | 106.84 | 27.84 dB | 0.80 | 0.87 |
| 10 | 191.32 | 25.31 dB | 0.67 | 0.76 |
| Average | 280.11 | 24.51 dB | 0.70 | 0.80 |
Disclaimer/Publisher’s Note: The statements, opinions and data contained in all publications are solely those of the individual author(s) and contributor(s) and not of MDPI and/or the editor(s). MDPI and/or the editor(s) disclaim responsibility for any injury to people or property resulting from any ideas, methods, instructions or products referred to in the content. |
© 2025 by the authors. Licensee MDPI, Basel, Switzerland. This article is an open access article distributed under the terms and conditions of the Creative Commons Attribution (CC BY) license (https://creativecommons.org/licenses/by/4.0/).
Share and Cite
Li, C.; Zhang, T.; Zhou, Z.; Zhao, B.; Zhang, P.; Qi, X. Reinforcement Learning for Robot Assisted Live Ultrasound Examination. Electronics 2025, 14, 3709. https://doi.org/10.3390/electronics14183709
Li C, Zhang T, Zhou Z, Zhao B, Zhang P, Qi X. Reinforcement Learning for Robot Assisted Live Ultrasound Examination. Electronics. 2025; 14(18):3709. https://doi.org/10.3390/electronics14183709
Chicago/Turabian StyleLi, Chenyang, Tao Zhang, Ziqi Zhou, Baoliang Zhao, Peng Zhang, and Xiaozhi Qi. 2025. "Reinforcement Learning for Robot Assisted Live Ultrasound Examination" Electronics 14, no. 18: 3709. https://doi.org/10.3390/electronics14183709
APA StyleLi, C., Zhang, T., Zhou, Z., Zhao, B., Zhang, P., & Qi, X. (2025). Reinforcement Learning for Robot Assisted Live Ultrasound Examination. Electronics, 14(18), 3709. https://doi.org/10.3390/electronics14183709

