Permanent Makeup (PMU) Removal with Plant Origin Extracts
Abstract
1. Introduction
2. Materials and Methods
2.1. In Vitro Study of Plant-Based Materials
2.2. PMU Colorants
2.3. In Vivo Test
2.4. Devices
2.4.1. PMU Machine
2.4.2. Electroporation Device
- Comparison of the traditional non-laser PMU removal method with the use of a PMU machine, combined with the electroporation method with the use of an electroporation device.
- Investigation of the effect of non-invasive dermal electroporation on mouse skin by measuring the decolorization ability of plant origin materials with the use of both methods.
- Development of a new decolorization method by using each device ability with a combination of plant origin materials.
2.4.3. Skin Color Catch Device
2.5. Statistical Analysis
3. Results and Discussion
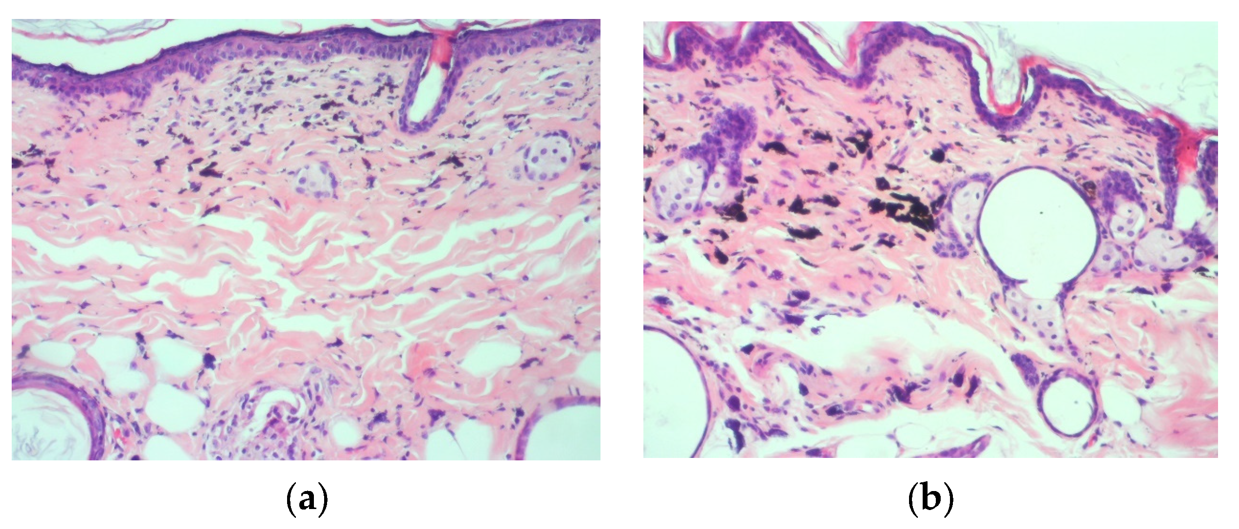
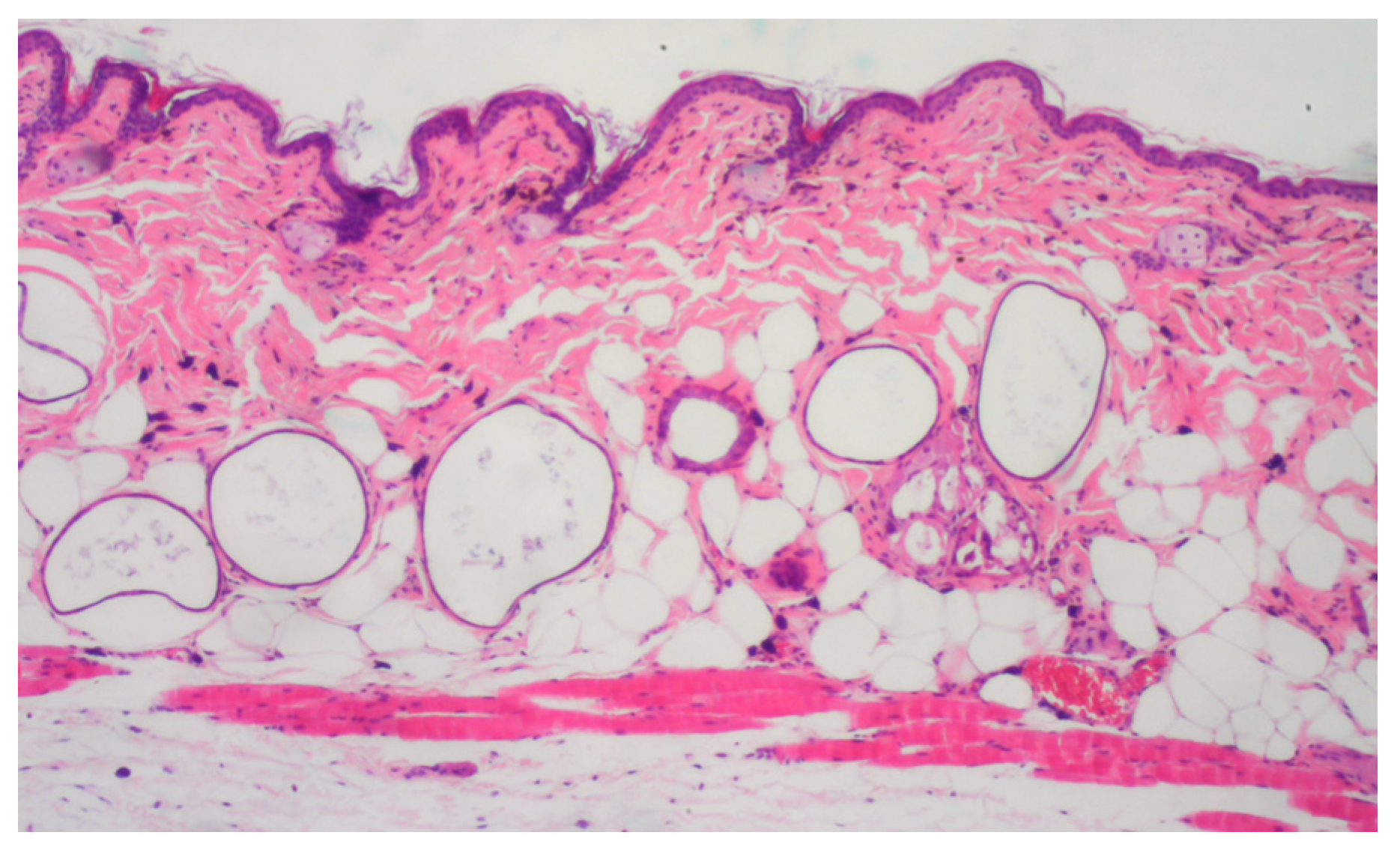
3.1. Skin Biopsies
3.2. Skin Color Catch Results
4. Discussion
5. Conclusions
Author Contributions
Funding
Institutional Review Board Statement
Informed Consent Statement
Data Availability Statement
Acknowledgments
Conflicts of Interest
References
- Spindler, K. The man in the ice under special consideration of paleo-pathological evidence. Verhandlungen Dtsch. Ges. Pathol. 2001, 85, 229–236. [Google Scholar]
- Mavridou, K.A.; Bassukas, I.D. The tattoo: From social outcast to genetic medicine. Arch. Hell. Med. 2011, 28, 583–595. [Google Scholar]
- Caplan, J. Written on the Body: The Tattoo in European and American History; Princeton University Press: Princeton, NJ, USA, 2000. [Google Scholar]
- Piccinini, P.; Contor, L.; Pakalin, S.; Raemaekers, T.; Senaldi, C. Safety of Tattoos and Permanent Make-Up: State of Play and Trends in Tattoo Practices; EUR 27528; JRC96808; Publications Office of the European Union: Luxembourg, 2015. [Google Scholar]
- Vassileva, S.; Hristakieva, E. Medical applications of tattooing. Clin. Dermatol. 2007, 25, 367–374. [Google Scholar] [CrossRef] [PubMed]
- Seyhan, T.; Kapi, E. Scalp Micropigmentation Procedure: A Useful Procedure for Hair Restoration. J. Craniofacial Surg. 2020, 32, 1049–1053. [Google Scholar] [CrossRef]
- Andreou, E.; Hatziantoniou, S.; Rallis, E.; Kefala, V. Safety of Tattoos and Permanent Make up (PMU) Colorants. Cosmetics 2021, 8, 47. [Google Scholar] [CrossRef]
- Andreou, E.; Kefala, V.; Rallis, E. Why do cosmetic tattoos change color. An update. Rev. Clin. Pharmacol. Pharmakokinet. Int. Ed. 2018, 32, 115–123. [Google Scholar]
- Serup, J. Diagnosis and Therapy of Tattoo Complications; Bäumler, W., Ed.; Current Problems in Dermatology; Karger: Basel, Switzerland, 2017; Volume 52. [Google Scholar] [CrossRef]
- De Cuyper, C. Permanent makeup: Indications and complications. Clin. Dermatol. 2008, 26, 30–34. [Google Scholar] [CrossRef] [PubMed]
- Andreou, E.; Hatziantoniou, S.; Rallis, E.; Kefala, V. Legislation and Side Effects induced by Permanent Make Up Colors. Ep. Klin. Farmakol. Kai Farmakokinet. 2020, 38, 195–201. [Google Scholar]
- Andreou, E.; Hatziantoniou, S.; Rallis, E.; Kefala, V. Side Effects from Permanent Make Up Colors. Ep. Clin. Pharmacol. Pharmakokinet. 2021, 39, 89–95. [Google Scholar]
- Wenzel, S.M.; Welzel, J.; Hafner, C.; Landthaler, M.; Bäumler, W. Permanent make-up colorants may cause severe skin reactions. Contact Dermat. 2010, 63, 223–227. [Google Scholar] [CrossRef] [PubMed]
- Petersen, H.; Roth, K. To Tattoo or Not to Tattoo? ChemViews 2017, 50, 44–66. [Google Scholar] [CrossRef]
- Naga, L.I.; Alster, T.S. Laser Tattoo Removal: An Update. Am. J. Clin. Dermatol. 2016, 18, 59–65. [Google Scholar] [CrossRef] [PubMed]
- Eklund, Y.; Troilius Rubin, A. Laser Tattoo Removal, Precautions, and Unwanted Effects. In Tattooed Skin and Health; Current Problems in Dermatology; Karger: Basel, Switzerland, 2015; pp. 88–96. [Google Scholar]
- Kluger, N. An update on cutaneous complications of permanent tattooing. Expert Rev. Clin. Immunol. 2019, 15, 1135–1143. [Google Scholar] [CrossRef] [PubMed]
- Serup, J.; Hutton Carlsen, K.; Sepehri, M. Tattoo Complaints and Complications: Diagnosis and Clinical Spectrum. In Tattooed Skin and Health; Bawmler, W., Ed.; Karger: Basel, Switzerland, 2015; pp. 48–60. [Google Scholar]
- Dash, G.; Patil, A.; Kassir, M.; Goldman, M.P.; Gold, M.H.; Adatto, M.; Große-Büning, S.; Grabbe, S.; Goldust, M. Non-laser treatment for tattoo removal. J. Cosmet. Dermatol. 2023, 22, 74–78. [Google Scholar] [CrossRef] [PubMed]
- Cheng, W. A non-laser method to reverse permanent makeup and tattoos. Cosmet Dermatol. 2001, 14, 47–50. [Google Scholar]
- Andreou, E.; Triantafyllou, A.K.; Mountsaki, S.; Rallis, E.; Lamari, F.N.; Hatziantoniou, S.; Kefala, V. Permanent Make-Up (PMU) Inks Decolorization Using Plant Origin Materials. Cosmetics 2022, 9, 48. [Google Scholar] [CrossRef]
- Al-Sa’ady, A.J.R. Comparison between PPO from plant sources and different chemicals in tattoo dyes decolorization. Iraqi J. Agric. Sci. 2020, 51, 550–555. [Google Scholar] [CrossRef]
- Medi, B.M.; Layek, B.; Singh, J. Electroporation for Dermal and Transdermal Drug Delivery. In Percutaneous Penetration Enhancers Physical Methods in Penetration Enhancement; Dragicevic, N., Maibach, H.I., Eds.; Springer: Berlin/Heidelberg, Germany, 2017. [Google Scholar] [CrossRef]
- Bharkatiya, M.; Nema, R. Skin penetration enhancement techniques. J. Young-Pharm. 2009, 1, 110. [Google Scholar] [CrossRef]
- Weaver, J.C. Electroporation: A general phenomenon for manipulating cells and tissues: Electroporation. J. Cell. Biochem. 1993, 51, 426–435. [Google Scholar] [CrossRef] [PubMed]
- Wong, T.-W.; Chen, C.-H.; Huang, C.-C.; Lin, C.-D.; Hui, S.-W. Painless electroporation with a new needle-free microelectrode array to enhance transdermal drug delivery. J. Contr. Release 2006, 110, 557–565. [Google Scholar] [CrossRef] [PubMed]
- Denet, A.-R.; Vanbever, R.; Preat, V. Skin electroporation for transdermal and topical delivery. Adv. Drug Deliv. Rev. 2004, 56, 659–674. [Google Scholar] [CrossRef] [PubMed]
- Ramadon, D.; McCrudden, M.T.C.; Courtenay, A.J.; Donnelly, R.F. Enhancement strategies for transdermal drug delivery systems: Current trends and applications. Drug Deliv. Transl. Res. 2022, 12, 758–791. [Google Scholar] [CrossRef] [PubMed]
- Hussain, A.; Khan, G.M.; Wahab, A.; Akhlaq, M.; Rahman, S.; Altaf, H.; Akhtar, N.; Qayyum, M. Potential enhancers for transdermal drug delivery: A review. Int. J. Basic Med. Sci. Pharm. 2014, 4, 19–22. [Google Scholar]
- Hartmann, P.; Butt, E.; Feher, A.; Szilagyi, A.L.; Jasz, K.D.; Balazs, B.; Bakonyi, M.; Berko, S.; Eros, G.; Boros, M.; et al. Electroporation-enhanced transdermal diclofenac sodium delivery into the knee joint in a rat model of acute arthritis. Drug Des. Dev. Ther. 2018, 12, 1917–1930. [Google Scholar] [CrossRef] [PubMed]
- Ita, K. Transdermal iontophoretic drug delivery: Advances and challenges. J. Drug Target. 2016, 24, 386–391. [Google Scholar] [CrossRef]
- Golberg, A.; Khan, S.; Belov, V.; Quinn, K.P.; Albadawi, H.; Broelsch, G.F.; Watkins, M.T.; Georgakoudi, I.; Papisov, M.; Mihm, M.C., Jr.; et al. Skin Rejuvenation with Non-Invasive Pulsed Electric Fields. Sci Rep. 2015, 5, 10187. [Google Scholar] [CrossRef] [PubMed]
- Lee, J.; Daniels, M.; Roth, M. Mesotherapy, Microneedling, and Chemical Peels. Clin. Plast. Surg. 2016, 43, 583–595. [Google Scholar] [CrossRef] [PubMed]
- Thappa, D.M.; Konda, D. Mesotherapy: What is new? Indian J. Dermatol. Venereol. Leprol. 2013, 79, 127–134. [Google Scholar] [CrossRef]
- Zhang, L.; Lerner, S.; Rustrum, W.V.; A Hofmann, G. Electroporation-mediated topical delivery of vitamin C for cosmetic applications. Bioelectrochem. Bioenerg. 1999, 48, 453–461. [Google Scholar] [CrossRef] [PubMed]





| Colorants | Sunset | 810 | Lush Pink |
|---|---|---|---|
| Ingredients C.I. | CI21095 CI77891 CI56110 CI77491 CI12466 CI77266 | CI77891 CI56300 CI77491 CI77288 CI77499 CI77492 CI77266 | CI21095 CI77891 CI56110 CI77491 CI12466 CI77266 |
| Colorant 810 | Pe | PPO | PMU Control | Untreated Area | Electroporation +Pe | Electroporation +PPO |
|---|---|---|---|---|---|---|
| 7th day | 47.14 | 42.76 | 30.88 | 43.62 | 29.67 | 48.06 |
| 73rd day | 16.61 | 16.02 | 75.10 | 46.19 | 19.01 | 11.26 |
| Colorant Sunset | Pe | PPO | PMU Control | Untreated Area | Electroporation +Pe | Electroporation +PPO |
|---|---|---|---|---|---|---|
| 7th day | 54.95 | 44.57 | 26.67 | 55.79 | 45.20 | 51.85 |
| 73rd day | 23.10 | 9.57 | 48.03 | 48.88 | 79.92 | 90.10 |
| Colorant Lush Pink | Pe | PPO | PMU Control | Untreated Area | Electroporation +Pe | Electroporation +PPO |
|---|---|---|---|---|---|---|
| 7th day | 57.88 | 36.51 | 55.28 | 28.78 | 19.53 | 28.36 |
| 73rd day | 20.19 | 24.50 | 35.44 | 25.05 | 18.10 | 19.44 |
Disclaimer/Publisher’s Note: The statements, opinions and data contained in all publications are solely those of the individual author(s) and contributor(s) and not of MDPI and/or the editor(s). MDPI and/or the editor(s) disclaim responsibility for any injury to people or property resulting from any ideas, methods, instructions or products referred to in the content. |
© 2024 by the authors. Licensee MDPI, Basel, Switzerland. This article is an open access article distributed under the terms and conditions of the Creative Commons Attribution (CC BY) license (https://creativecommons.org/licenses/by/4.0/).
Share and Cite
Andreou, E.; Rallis, E.; Hatziantoniou, S.; Kefala, V. Permanent Makeup (PMU) Removal with Plant Origin Extracts. Cosmetics 2024, 11, 56. https://doi.org/10.3390/cosmetics11020056
Andreou E, Rallis E, Hatziantoniou S, Kefala V. Permanent Makeup (PMU) Removal with Plant Origin Extracts. Cosmetics. 2024; 11(2):56. https://doi.org/10.3390/cosmetics11020056
Chicago/Turabian StyleAndreou, Eleni, Efstathios Rallis, Sophia Hatziantoniou, and Vasiliki Kefala. 2024. "Permanent Makeup (PMU) Removal with Plant Origin Extracts" Cosmetics 11, no. 2: 56. https://doi.org/10.3390/cosmetics11020056
APA StyleAndreou, E., Rallis, E., Hatziantoniou, S., & Kefala, V. (2024). Permanent Makeup (PMU) Removal with Plant Origin Extracts. Cosmetics, 11(2), 56. https://doi.org/10.3390/cosmetics11020056

