Comprehensive Physiological and Transcriptomic Profiling of Triploid Pacific Oysters (Crassostrea gigas) Under Ammonia Exposure
Simple Summary
Abstract
1. Introduction
2. Materials and Methods
2.1. Collection of Triploid C. gigas and Ammonia Exposure Experiment
2.2. Sample Collection
2.3. Histopathological Observation
2.4. Measurement of Physiological Parameters
2.5. RNA Extraction, Library Preparation, and Sequencing
2.6. Differential Gene Identification, Functional Annotation, and Enrichment Analysis
2.7. Quantitative RT-PCR Analysis
3. Results
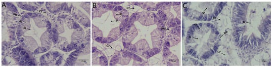
3.1. Histological Observation of the Hepatopancreas Following Ammonia Exposure
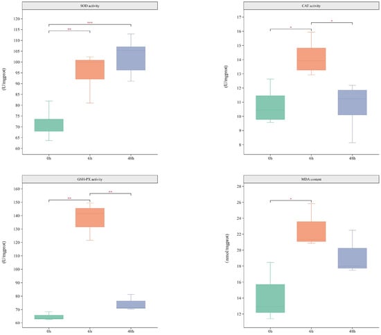
3.2. Changes in Hepatopancreatic Physiological Parameters Following Ammonia Exposure
3.3. Transcriptome Sequencing Results
3.4. Differential Gene Expression Analysis
3.5. Enrichment Analysis
3.6. qRT-PCR Validation of DEGs
4. Discussion
4.1. Tissue Damage Induced by Oxidative Stress
4.2. Induction of Immune Response
5. Conclusions
Author Contributions
Funding
Institutional Review Board Statement
Informed Consent Statement
Data Availability Statement
Conflicts of Interest
Abbreviations
| C. gigas | Crassostrea gigas |
| GO | Gene Ontology |
| KEGG | Kyoto Encyclopedia of Genes and Genomes |
| DEGs | Differentially expressed genes |
| GSEA | Gene set enrichment analysis |
References
- Wang, W. Ammonia toxicity to macrophytes (common duckweed and rice) using static and renewal methods. Environ. Toxicol. Chem. 1991, 10, 1173–1177. [Google Scholar] [CrossRef]
- Körner, S.; Das, S.K.; Veenstra, S.; Vermaat, J.E. The effect of pH variation at the ammonium/ammonia equilibrium in wastewater and its toxicity to Lemna gibba. Aquat. Bot. 2001, 71, 71–78. [Google Scholar] [CrossRef]
- Widman, J.C.; Meseck, S.L.; Sennefelder, G.; Veilleux, D.J. Toxicity of un-ionized ammonia, nitrite, and nitrate to juvenile bay scallops, Argopecten irradians irradians. Arch. Environ. Contam. Toxicol. 2008, 54, 460–465. [Google Scholar] [CrossRef]
- Al-Zaidan, A.S.; Endo, M.; Maita, M.; Gonçalves, A.T.; Futami, K.; Katagiri, T. A toxicity bioassay study concerning the effect of un-ionized ammonia on the mucus cells response originating from the gills of zebrafish Danio rerio. Fish Sci. 2013, 79, 129–142. [Google Scholar] [CrossRef]
- Yousefi, M.; Vatnikov, Y.A.; Kulikov, E.V.; Plushikov, V.G.; Drukovsky, S.G.; Hoseinifar, S.H.; Van Doan, H. The protective effects of dietary garlic on common carp (Cyprinus carpio) exposed to ambient ammonia toxicity. Aquaculture 2020, 526, 735400. [Google Scholar] [CrossRef]
- Rajabiesterabadi, H.; Yousefi, M.; Hoseini, S.M. Enhanced haematological and immune responses in common carp Cyprinus carpio fed with olive leaf extract-supplemented diets and subjected to ambient ammonia. Aquac. Nutr. 2020, 26, 763–771. [Google Scholar] [CrossRef]
- Fang, K.; Gong, H.; He, W.; Peng, F.; He, C.; Wang, K. Recovering ammonia from municipal wastewater by flow-electrode capacitive deionization. Chem. Eng. J. 2018, 348, 301–309. [Google Scholar] [CrossRef]
- Cong, M.; Wu, H.; Cao, T.; Ji, C.; Lv, J. Effects of ammonia nitrogen on gill mitochondria in clam Ruditapes philippinarum. Environ. Toxicol. Pharmacol. 2019, 65, 46–52. [Google Scholar] [CrossRef]
- Qian, N.; Liang, X.; Yang, S.; Ge, H.; Dong, Z. Molecular and physiological responses in the ammonia transport pathways in clam Cyclina sinensis exposed to chronic ammonia nitrogen. Aquac. Rep. 2024, 35, 101952. [Google Scholar] [CrossRef]
- Chen, H.; Zhang, Z.; Wu, Z.; Peng, R.; Jiang, X.; Han, Q.; Jiang, M. Effect of ammonia nitrogen on the detoxification metabolic pathway of cuttlefish Sepia pharaonic. Aquaculture 2022, 553, 738133. [Google Scholar] [CrossRef]
- U.S. EPA. Aquatic Life Criteria—Ammonia. 2015. Available online: https://www.epa.gov/wqc/aquatic-life-criteria-ammonia (accessed on 21 June 2024).
- Ruesink, J.L.; Lenihan, H.S.; Trimble, A.C.; Heiman, K.W.; Micheli, F.; Byers, J.E.; Kay, M.C. Introduction of non-native oysters: Ecosystem effects and restoration implications. Annu. Rev. Ecol. Evol. Syst. 2005, 36, 643–689. [Google Scholar] [CrossRef]
- Fu, J.; Zhang, E.; Yu, W.; Wang, W.; Sun, Y.; Dong, L.; Zhang, Y.; Sun, G.; Li, Z.; Luo, Q.; et al. Comparative analysis of the biochemical composition, amino acid, and fatty acid contents of diploid, triploid, and tetraploid Crassostrea gigas. Molecules 2024, 29, 2671. [Google Scholar] [CrossRef]
- Qian, X.; Ba, Y.; Zhuang, Q.; Zhong, G. RNA-Seq technology and its application in fish transcriptomics. OMICS A J. Integr. Biol. 2014, 18, 98–110. [Google Scholar] [CrossRef]
- Reuter, J.A.; Spacek, D.V.; Snyder, M.P. High-throughput sequencing technologies. Mol. Cell 2015, 58, 586–597. [Google Scholar] [CrossRef]
- Xiao, J.; Li, Q.Y.; Tu, J.P.; Chen, X.L.; Chen, X.H.; Liu, Q.Y.; Liu, H.; Zhou, X.Y.; Zhao, Y.Z.; Wang, H.L. Stress response and tolerance mechanisms of ammonia exposure based on transcriptomics and metabolomics in Litopenaeus vannamei. Ecotoxicol. Environ. Saf. 2019, 180, 491–500. [Google Scholar] [CrossRef] [PubMed]
- Ge, H.; Shi, J.; Liu, J.; Liang, X.; Dong, Z. Combined analysis of mRNA–miRNA reveals the regulatory roles of miRNAs in the metabolism of clam Cyclina sinensis hepatopancreas during acute ammonia nitrogen stress. Aquac. Res. 2022, 53, 1492–1506. [Google Scholar] [CrossRef]
- Zhang, T.; Yan, Z.; Zheng, X.; Fan, J.; Wang, S.; Wei, Y.; Yang, L.; Wang, P.; Guo, S. Transcriptome analysis of response mechanism to ammonia stress in Asian clam (Corbicula fluminea). Aquat. Toxicol. 2019, 214, 105235. [Google Scholar] [CrossRef]
- Wang, Y.; Liu, X.; Wang, W.; Sun, G.; Feng, Y.; Xu, X.; Li, B.; Luo, Q.; Li, Y.; Yang, J.; et al. The investigation on stress mechanisms of Sepia esculenta larvae in the context of global warming and ocean acidification. Aquac. Rep. 2024, 36, 102120. [Google Scholar] [CrossRef]
- Li, Z.; Bao, X.; Liu, X.; Wang, Y.; Zhu, X.; Zhang, Y.; Wang, Z.; Maslennikov, S.; Whiteside, M.; Wang, W.; et al. Transcriptome analysis provides preliminary insights into the response of Sepia esculenta to high salinity stress. Agric. Commun. 2024, 2, 100064. [Google Scholar] [CrossRef]
- Liu, X.; Wang, W.; Zhao, H.; Wang, Y.; Jiang, L.; Zhang, E.; Feng, Y.; Wang, X.; Qu, J.; Yang, J.; et al. Transcriptome profiling of triploid Crassostrea gigas gills indicates the host immune mechanism against bacterial infection. Comp. Biochem. Physiol. Part D Genom. Proteom. 2025, 54, 101392. [Google Scholar] [CrossRef]
- Zhao, Y.; Chang, D.; Zheng, Y.; Zhang, Y.; Wang, Y.; Bao, X.; Sun, G.; Feng, Y.; Li, Z.; Liu, X.; et al. Comparative transcriptome analysis reveals differences in immune responses to copper ions in Sepia esculenta under high-temperature conditions. BMC Genom. 2025, 26, 262. [Google Scholar] [CrossRef]
- Huang, D.W.; Sherman, B.T.; Lempicki, R.A. Systematic and integrative analysis of large gene lists using DAVID bioinformatics resources. Nat. Protoc. 2009, 4, 44–57. [Google Scholar] [CrossRef]
- Liu, X.; Li, Z.; Wu, W.; Liu, Y.; Liu, J.; He, Y.; Wang, X.; Wang, Z.; Qi, J.; Yu, H.; et al. Sequencing-based network analysis provides a core set of gene resource for understanding kidney immune response against Edwardsiella tarda infection in Japanese flounder. Fish Shellfish Immunol. 2017, 67, 643–654. [Google Scholar] [CrossRef]
- Dalgaard, T.S.; Briens, M.; Engberg, R.M.; Lauridsen, C. The influence of selenium and selenoproteins on immune responses of poultry and pigs. Anim. Feed Sci. Technol. 2018, 238, 73–83. [Google Scholar] [CrossRef]
- Junior, E.L.; Leite, H.P.; Konstantyner, T. Selenium and selenoproteins: From endothelial cytoprotection to clinical outcomes. Transl. Res. 2019, 208, 85–104. [Google Scholar] [CrossRef] [PubMed]
- Dong, Y.; Li, L.; Xia, T.; Wang, L.; Xiao, L.; Ding, N.; Wu, Y.; Lu, K. Oxidative stress can be attenuated by 4-PBA caused by high-fat or ammonia nitrogen in cultured spotted seabass: The mechanism is related to endoplasmic reticulum stress. Antioxidants 2022, 11, 1276. [Google Scholar] [CrossRef]
- Zhang, T.; Yan, Z.; Zheng, X.; Wang, S.; Fan, J.; Liu, Z. Effects of acute ammonia toxicity on oxidative stress, DNA damage and apoptosis in digestive gland and gill of Asian clam (Corbicula fluminea). Fish Shellfish Immunol. 2020, 99, 514–525. [Google Scholar] [CrossRef]
- Meng, X.; Jayasundara, N.; Zhang, J.; Ren, X.; Gao, B.; Li, J.; Liu, P. Integrated physiological, transcriptome and metabolome analyses of the hepatopancreas of the female swimming crab Portunus trituberculatus under ammonia exposure. Ecotoxicol. Environ. Saf. 2021, 228, 113026. [Google Scholar] [CrossRef]
- Ando, M.; Matsumoto, T.; Taguchi, K.; Kobayashi, T. Poly (I:C) impairs NO donor-induced relaxation by overexposure to NO via the NF-kappa B/iNOS pathway in rat superior mesenteric arteries. Free Radic. Biol. Med. 2017, 112, 553–566. [Google Scholar] [CrossRef]
- Hammad, M.; Raftari, M.; Cesário, R.; Salma, R.; Godoy, P.; Emami, S.N.; Haghdoost, S. Roles of Oxidative Stress and Nrf2 Signaling in Pathogenic and Non-Pathogenic Cells: A Possible General Mechanism of Resistance to Therapy. Antioxidants 2023, 12, 1371. [Google Scholar] [CrossRef]
- Kaelin, W.G.; Ratcliffe, P.J. Oxygen Sensing by Metazoans: The Central Role of the HIF Hydroxylase Pathway. Mol. Cell 2008, 30, 393–402. [Google Scholar] [CrossRef]
- Li, H.; Zhang, Q.; Li, W.; Li, H.; Bao, J.; Yang, C.; Wang, A.; Wei, J.; Chen, S.; Jin, H. Role of Nrf2 in the antioxidation and oxidative stress induced developmental toxicity of honokiol in zebrafish. Toxicol. Appl. Pharmacol. 2019, 373, 48–61. [Google Scholar] [CrossRef]
- Salimi, A.; Jamali, Z.; Shabani, M. Antioxidant Potential and Inhibition of Mitochondrial Permeability Transition Pore by Myricetin Reduces Aluminium Phosphide-Induced Cytotoxicity and Mitochondrial Impairments. Front. Pharmacol. 2021, 12, 719081. [Google Scholar] [CrossRef]
- Semenza, G.L. Hypoxia-Inducible Factor 1 (HIF-1) Pathway. Sci. Signal. 2007, 2007, cm8. [Google Scholar] [CrossRef]
- Zepeda-Arce, R.; Rojas-García, A.E.; Benitez-Trinidad, A.; Herrera-Moreno, J.F.; Medina-Díaz, I.M.; Barrón-Vivanco, B.S.; Villegas, G.P.; Hernández-Ochoa, I.; Sólis Heredia, M.d.J.; Bernal-Hernández, Y.Y. Oxidative stress and genetic damage among workers exposed primarily to organophosphate and pyrethroid pesticides. Environ. Toxicol. 2017, 32, 1754–1764. [Google Scholar] [CrossRef]
- Chen, F.; Wang, F.; Wu, F.; Mao, W.; Zhang, G.; Zhou, M. Modulation of exogenous glutathione in antioxidant defense system against Cd stress in the two barley genotypes differing in Cd tolerance. Plant Physiol. Biochem. 2010, 48, 663–672. [Google Scholar] [CrossRef]
- Wu, F.; Chen, F.; Wei, K.; Zhang, G. Effect of cadmium on free amino acid, glutathione and ascorbic acid concentrations in two barley genotypes (Hordeum vulgare L.) differing in cadmium tolerance. Chemosphere 2004, 57, 447–454. [Google Scholar] [CrossRef]
- Strange, R.C.; Spiteri, M.A.; Ramachandran, S.; Fryer, A.A. Glutathione-S-transferase family of enzymes. Mutat. Res./Fundam. Mol. Mech. Mutagen. 2001, 482, 21–26. [Google Scholar] [CrossRef] [PubMed]
- Li, L.; Jin, T.; Chen, S.; Cao, H.; Ma, Y.; Fang, W.; Wang, Y.; Liu, Q.; Zheng, L.; Wijayanti, D.; et al. Exploring novel function of Gpx5 antioxidant activity: Assisting epididymal cells secrete functional extracellular vesicles. J. Cell. Physiol. 2024, 239, e31273. [Google Scholar] [CrossRef]
- Hu, X.; Li, B.; Wu, F.; Liu, X.; Liu, M.; Wang, C.; Shi, Y.; Ye, L. GPX7 facilitates BMSCs osteoblastogenesis via ER stress and mTOR pathway. J. Cell. Mol. Med. 2021, 25, 10454–10465. [Google Scholar] [CrossRef]
- Yang, W.; Tran, N.T.; Zhu, C.H.; Yao, D.F.; Aweya, J.J.; Gong, Y.; Ma, H.Y.; Zhang, Y.L.; Li, G.L.; Li, S.K. Immune priming in shellfish: A review and an updating mechanistic insight focused on cellular and humoral responses. Aquaculture 2021, 530, 735831. [Google Scholar] [CrossRef]
- Zhang, Z.; Yue, P.; Lu, T.; Wang, Y.; Wei, Y.; Wei, X. Role of lysosomes in physiological activities, diseases, and therapy. J. Hematol. Oncol. 2021, 14, 79. [Google Scholar] [CrossRef]
- Luzio, J.P.; Pryor, P.R.; Bright, N.A. Lysosomes: Fusion and function. Nat. Rev. Mol. Cell Biol. 2007, 8, 622–632. [Google Scholar] [CrossRef]
- Trivedi, P.C.; Bartlett, J.J.; Pulinilkunnil, T. Lysosomal biology and function: Modern view of cellular debris bin. Cells 2020, 9, 1131. [Google Scholar] [CrossRef]
- Lee, H.J.; Woo, Y.; Hahn, T.W.; Jung, Y.M.; Jung, Y.J. Formation and maturation of the phagosome: A key mechanism in innate immunity against intracellular bacterial infection. Microorganisms 2020, 8, 1298. [Google Scholar] [CrossRef] [PubMed]
- Kim, S.H.; Kim, J.H.; Park, M.A.; Hwang, S.D.; Kang, J.C. The toxic effects of ammonia exposure on antioxidant and immune responses in rockfish, Sebastes schlegelii during thermal stress. Environ. Toxicol. Pharmacol. 2015, 40, 954–959. [Google Scholar] [CrossRef] [PubMed]
- van der Vos, K.E.; Coffer, P.J. Glutamine metabolism links growth factor signaling to the regulation of autophagy. Autophagy 2012, 8, 1862–1864. [Google Scholar] [CrossRef]
- Huang, M.; Wang, J.; Liu, W.; Zhou, H. Advances in the role of the GADD45 family in neurodevelopmental, neurodegenerative, and neuropsychiatric disorders. Front. Neurosci. 2024, 18, 1349409. [Google Scholar] [CrossRef] [PubMed]
- Palomer, X.; Salvador, J.M.; Griñán-Ferré, C.; Barroso, E.; Pallàs, M.; Vázquez-Carrera, M. GADD45A: With or without you. Med. Res. Rev. 2024, 44, 1375–1403. [Google Scholar] [CrossRef]
- Ju, S.; Zhu, Y.; Liu, L.; Dai, S.; Li, C.; Chen, E.; He, Y.; Zhang, X.; Lu, B. Gadd45b and Gadd45g are important for anti-tumor immune responses. Eur. J. Immunol. 2009, 39, 3010–3018. [Google Scholar] [CrossRef]
- Lucas, A.; Mialet-Perez, J.; Daviaud, D.; Parini, A.; Marber, M.S.; Sicard, P. Gadd45γ regulates cardiomyocyte death and post-myocardial infarction left ventricular remodelling. Cardiovasc. Res. 2015, 108, 254–267. [Google Scholar] [CrossRef]
- Yang, Z.; Song, L.; Huang, C. Gadd45 proteins as critical signal transducers linking NF-κB to MAPK cascades. Curr. Cancer Drug Targets 2009, 9, 915–930. [Google Scholar] [CrossRef]
- Yang, X.; Chen, X.; Xia, C.; Li, S.; Zhu, L.; Xu, C. Comparative analysis of the expression profiles of genes related to the Gadd45α signaling pathway in four kinds of liver diseases. Histol. Histopathol. 2020, 35, 949–960. [Google Scholar] [CrossRef]
- Zerbini, L.F.; Libermann, T.A. Life and death in cancer: GADD45α and γ are critical regulators of NF-κB mediated escape from programmed cell death. Cell Cycle 2005, 4, 18–20. [Google Scholar] [CrossRef]
- Xie, M.; Xie, R.; Huang, P.; Yap, D.Y.H.; Wu, P. GADD45A and GADD45B as novel biomarkers associated with chromatin regulators in renal ischemia-reperfusion injury. Int. J. Mol. Sci. 2023, 24, 11304. [Google Scholar] [CrossRef]
- Lu, Y.; Liu, Y.; Zheng, M. The role and regulation of apoptosis signal-regulated kinase 1 in liver disease. Mol. Biol. Rep. 2022, 49, 10905–10914. [Google Scholar] [CrossRef]
- Chen, S.; Fan, H.; Pei, Y.; Zhang, K.; Zhang, F.; Hu, Q.; Jin, E.; Li, S. MAPK signaling pathway plays different regulatory roles in the effects of boric acid on proliferation, apoptosis, and immune function of splenic lymphocytes in rats. Biol. Trace Elem. Res. 2024, 202, 2688–2701. [Google Scholar] [CrossRef]
- Nazari, N.; Jafari, F.; Ghalamfarsa, G.; Hadinia, A.; Atapour, A.; Ahmadi, M.; Dolati, S.; Rostamzadeh, D. The emerging role of microRNA in regulating the mTOR signaling pathway in immune and inflammatory responses. Immunol. Cell Biol. 2021, 99, 814–832. [Google Scholar] [CrossRef]
- Thomson, A.W.; Turnquist, H.R.; Raimondi, G. Immunoregulatory functions of mTOR inhibition. Nat. Rev. Immunol. 2009, 9, 324–337. [Google Scholar] [CrossRef]
- Rostamzadeh, D.; Yousefi, M.; Haghshenas, M.R.; Ahmadi, M.; Dolati, S.; Babaloo, Z. mTOR signaling pathway as a master regulator of memory CD8+ T-cells, Th17, and NK cells development and their functional properties. J. Cell. Physiol. 2019, 234, 12353–12368. [Google Scholar] [CrossRef]
- Guertin, D.A.; Sabatini, D.M. Defining the role of mTOR in cancer. Cancer Cell 2007, 12, 9–22. [Google Scholar] [CrossRef]
- Xie, C.M.; Sun, Y. The MTORC1-mediated autophagy is regulated by the FBXW7–SHOC2–RPTOR axis. Autophagy 2019, 15, 1470–1472. [Google Scholar] [CrossRef]
- Ching, K.L.; Torres, V.J.; Cadwell, K. Defensosomes: A new role for autophagy proteins in innate immune defense. Autophagy 2023, 19, 1887–1889. [Google Scholar] [CrossRef]
- Dunlop, E.A.; Seifan, S.; Claessens, T.; Behrends, C.; Kamps, M.A.; Rozycka, E.; Kemp, A.J.; Nookala, R.K.; Blenis, J.; Coull, B.J.; et al. FLCN, a novel autophagy component, interacts with GABARAP and is regulated by ULK1 phosphorylation. Autophagy 2014, 10, 1749–1760. [Google Scholar] [CrossRef]
- Ran, Q.; Li, A.; Yao, B.; Xiang, C.; Qu, C.; Zhang, Y.; He, X.; Chen, H. Action and therapeutic targets of folliculin interacting protein 1: A novel signaling mechanism in redox regulation. Front. Cell Dev. Biol. 2025, 13, 1523489. [Google Scholar] [CrossRef]
- Spivak, I.; Lev, A.; Simon, A.J.; Barel, O.; Somekh, I.; Somech, R. A novel mutation in FNIP1 associated with a syndromic immunodeficiency and cardiomyopathy. Immunogenetics 2025, 77, 2. [Google Scholar] [CrossRef]
- Wang, Y.; Bao, X.; Wang, W.; Xu, X.; Liu, X.; Li, Z.; Yang, J.; Yuan, T. Exploration of anti-stress mechanisms in high temperature exposed juvenile golden cuttlefish (Sepia esculenta) based on transcriptome profiling. Front. Physiol. 2023, 14, 1189375. [Google Scholar] [CrossRef]
- Song, G.; Ouyang, G.; Bao, S. The activation of Akt/PKB signaling pathway and cell survival. J. Cell. Mol. Med. 2005, 9, 59–71. [Google Scholar] [CrossRef]
- Troutman, T.D.; Bazan, J.F.; Pasare, C. Toll-like receptors, signaling adapters and regulation of the pro-inflammatory response by PI3K. Cell Cycle 2012, 11, 3559–3567. [Google Scholar] [CrossRef]
- Sun, Y.; Zhang, X.; Wang, G.; Lin, S.; Zeng, X.; Wang, Y.; Zhang, Z. PI3K-AKT signaling pathway is involved in hypoxia/thermal-induced immunosuppression of small abalone Haliotis diversicolor. Fish Shellfish Immunol. 2016, 59, 492–508. [Google Scholar] [CrossRef]
- Yu, J.; Wang, H.; Yue, X.; Liu, B. Dynamic immune and metabolism response of clam Meretrix petechialis to Vibrio challenge revealed by a time series of transcriptome analysis. Fish Shellfish Immunol. 2019, 94, 17–26. [Google Scholar] [CrossRef] [PubMed]
- Caballero-Huertas, M.; Moraleda-Prados, J.; Joly, S.; Ribas, L. Immune genes, IL1β and Casp9, show sexual dimorphic methylation patterns in zebrafish gonads. Fish Shellfish Immunol. 2020, 97, 648–655. [Google Scholar] [CrossRef] [PubMed]







| Gene Name | Forward Primer (5′-3′) | Reverse Primer (5′-3′) | Amplicon Length (bp) |
|---|---|---|---|
| FLCN | GCTTCCATTGTGAGGTCTGTCTTC | GATTCTTCGTACTGGTGACTGTAAGG | 95 |
| FNIP1 | CGTCTTGGGTCAGTGGGTCAG | ATAGGTGGAGGGTTTAGAGAGTTCAG | 90 |
| GADD45A | AAGGTGGACAGCGAGGATAAGG | GGACAGGTCGTCTGGTTCATTG | 81 |
| GADD45B | GCAGGGAACACAGGATAACACTTG | TGGGTTTCCTCTGGGCACTTAC | 93 |
| GADD45G | TCGAACGACGTTTGGCATCTATG | GCACTGTTACATCTCCATTGTCTCC | 107 |
| GPX5 | CTCTCTGCTCCTTCTCCCCTTC | TCCATCCAAATCCACAGTTTCCAAG | 118 |
| GST1 | ACGATGGTGGTGACGGCTAC | TGGTCTGGTCAGTGATGTCATAAATC | 81 |
| HRAS | TGACGGAATATAAATTGGTGGTTGTTG | ATGGTTCTGGATAAGTTGGATGGTTAG | 80 |
| PCK1 | AGGCTGAAGGATGTGGATGGAC | CTGAGATGCGATGCTCTGATATGG | 102 |
| RPTOR | GTCGCAGACAAGGACGGAATATG | TCTTGGTGTTCTTCAGGTTCTCATTG | 91 |
| Samples | Raw Reads | Clean Reads | Q20 (%) | Q30 (%) | GC (%) | Mapping Rate (%) |
|---|---|---|---|---|---|---|
| C_3N_0h_1 | 47,046,994 | 45,502,698 | 99.35 | 97.96 | 43.3 | 61.07 |
| C_3N_0h_2 | 42,016,988 | 40,673,606 | 99.27 | 97.68 | 43.05 | 59.85 |
| C_3N_0h_3 | 42,767,888 | 41,345,928 | 99.34 | 97.94 | 43.18 | 60.57 |
| N_3N_6h_1 | 42,038,274 | 41,093,296 | 99.37 | 98.01 | 43.15 | 60.36 |
| N_3N_6h_2 | 40,957,084 | 39,851,994 | 99.37 | 98.01 | 43.49 | 62.18 |
| N_3N_6h_3 | 43,731,464 | 42,477,644 | 99.4 | 98.08 | 43.35 | 63.29 |
| N_3N_48h_1 | 42,761,402 | 40,853,772 | 99.36 | 97.96 | 43.17 | 66.27 |
| N_3N_48h_2 | 46,679,872 | 43,752,672 | 99.37 | 98.02 | 42.71 | 62.13 |
| N_3N_48h_3 | 40,195,832 | 39,153,134 | 99.39 | 98.02 | 43.94 | 65.75 |
| Average | 43,132,866.44 | 41,633,860.44 | 99.36 | 97.96 | 43.26 | 62.39 |
Disclaimer/Publisher’s Note: The statements, opinions and data contained in all publications are solely those of the individual author(s) and contributor(s) and not of MDPI and/or the editor(s). MDPI and/or the editor(s) disclaim responsibility for any injury to people or property resulting from any ideas, methods, instructions or products referred to in the content. |
© 2025 by the authors. Licensee MDPI, Basel, Switzerland. This article is an open access article distributed under the terms and conditions of the Creative Commons Attribution (CC BY) license (https://creativecommons.org/licenses/by/4.0/).
Share and Cite
Liu, X.; Zhao, Y.; Ke, H.; Cui, C.; Feng, Y.; Sun, G.; Xu, X.; Wang, Q.; Li, Z.; Wang, W.; et al. Comprehensive Physiological and Transcriptomic Profiling of Triploid Pacific Oysters (Crassostrea gigas) Under Ammonia Exposure. Biology 2025, 14, 1121. https://doi.org/10.3390/biology14091121
Liu X, Zhao Y, Ke H, Cui C, Feng Y, Sun G, Xu X, Wang Q, Li Z, Wang W, et al. Comprehensive Physiological and Transcriptomic Profiling of Triploid Pacific Oysters (Crassostrea gigas) Under Ammonia Exposure. Biology. 2025; 14(9):1121. https://doi.org/10.3390/biology14091121
Chicago/Turabian StyleLiu, Xiumei, Yancheng Zhao, Han Ke, Cuiju Cui, Yanwei Feng, Guohua Sun, Xiaohui Xu, Qiang Wang, Zan Li, Weijun Wang, and et al. 2025. "Comprehensive Physiological and Transcriptomic Profiling of Triploid Pacific Oysters (Crassostrea gigas) Under Ammonia Exposure" Biology 14, no. 9: 1121. https://doi.org/10.3390/biology14091121
APA StyleLiu, X., Zhao, Y., Ke, H., Cui, C., Feng, Y., Sun, G., Xu, X., Wang, Q., Li, Z., Wang, W., & Yang, J. (2025). Comprehensive Physiological and Transcriptomic Profiling of Triploid Pacific Oysters (Crassostrea gigas) Under Ammonia Exposure. Biology, 14(9), 1121. https://doi.org/10.3390/biology14091121

