Morphometric Characteristics of Rat Testes Tissue After Exposure to Dust–Salt Aerosols of the Aral Sea
Simple Summary
Abstract
1. Introduction
2. Materials and Methods
2.1. Research Object
2.2. Inhalation Exposure
2.3. Ethical Permission
2.4. Fixation and Staining Methods
2.5. Morphometric Parameter Assessment
2.6. Statistical Analysis
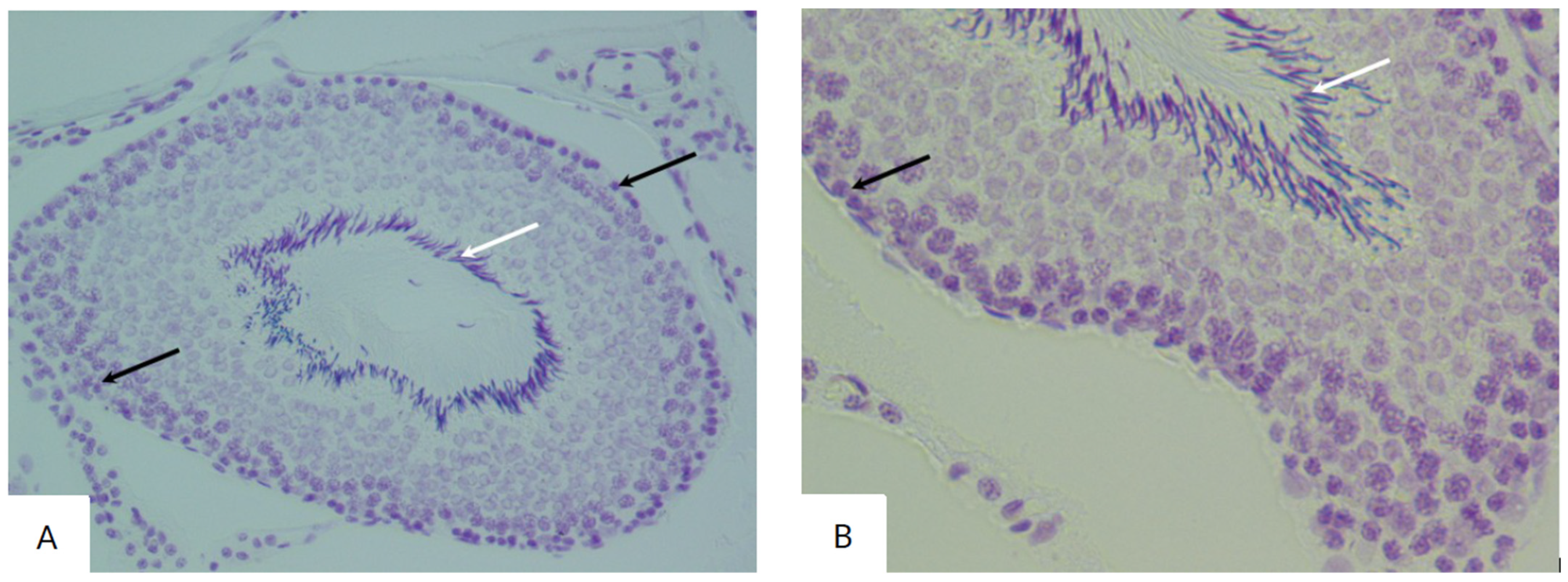
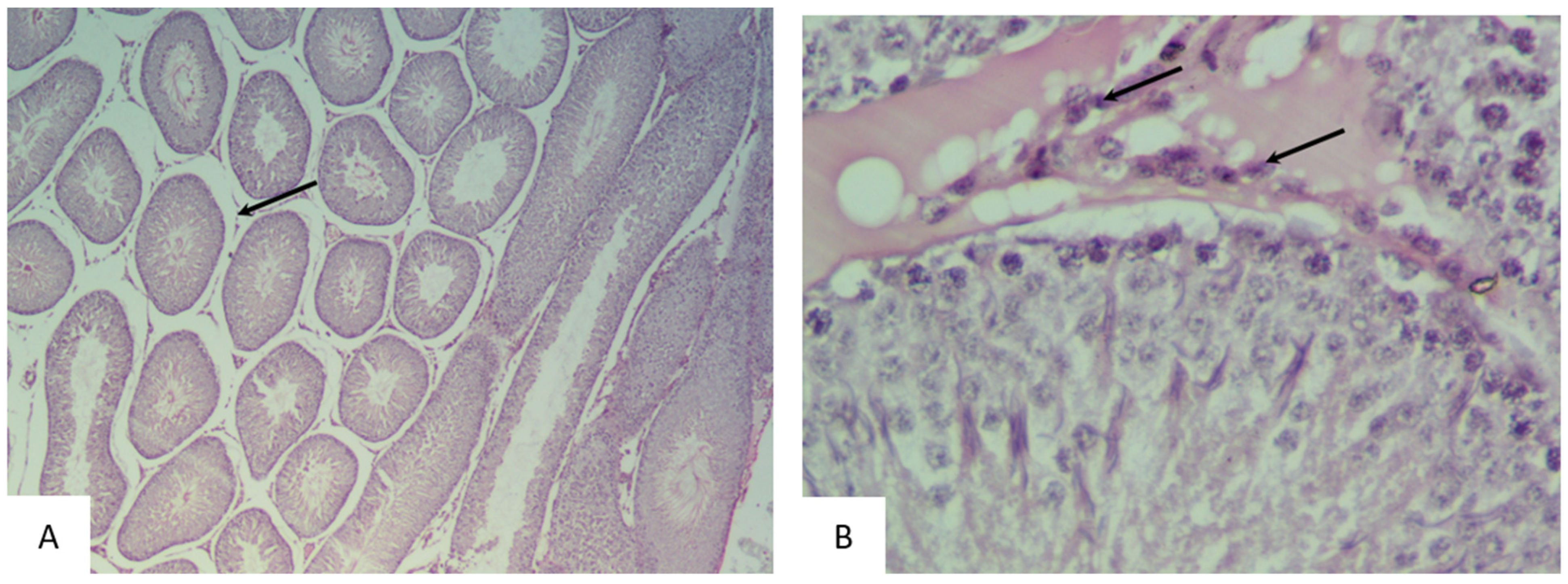
3. Results
4. Discussion
5. Conclusions
Author Contributions
Funding
Institutional Review Board Statement
Informed Consent Statement
Data Availability Statement
Acknowledgments
Conflicts of Interest
References
- Sternberg, T.; Edwards, M. Desert Dust and Health: A Central Asian Review and Steppe Case Study. Int. J. Environ. Res. Public Health 2017, 14, 1342. [Google Scholar] [CrossRef] [PubMed]
- Ge, Y.; Wu, N.; Abuduwaili, J.; Kulmatov, R.; Issanova, G.; Saparov, G. Identifying seasonal and diurnal variations and the most frequently impacted zone of aerosols in the Aral Sea region. Int. J. Environ. Res. Public Health 2022, 19, 14144. [Google Scholar] [CrossRef] [PubMed]
- Sakiev, K.; Battakova, S.; Namazbaeva, Z.; Ibrayeva, L.; Otarbayeva, M.; Sabirov, Z. Neuropsychological state of the population living in the Aral Sea region (zone of ecological crisis). Int. J. Occup. Environ. Health 2017, 23, 87–93. [Google Scholar] [CrossRef] [PubMed]
- Nadeev, A.P.; Orynbasarov, S.O.; Zholmurzaev, B.T. Nozologicheskaia struktura vrozhdennykh porokov razvitiia plodov i deteĭ v Priaral’e (Respublika Kazakhstan) [Nosological structure of congenital malformations in the fetuses and babies of the Aral Sea Region (the Republic of Kazakhstan)]. Arkh. Patol. 2019, 81, 48–52. (In Russian) [Google Scholar] [CrossRef] [PubMed]
- Kultanov, B.Z.; Dosmagambetova, R.S.; Ivasenko, S.A.; Tatina, Y.S.; Kelmyalene, A.A.; Assenova, L.H. The Study of Cellular and Molecular Physiological Characteristics of Sperm in Men Living in the Aral Sea Region. Open Access Maced. J. Med. Sci. 2016, 4, 5–8. [Google Scholar] [CrossRef] [PubMed]
- Turdybekova, Y.G.; Dosmagambetova, R.S.; Zhanabayeva, S.U.; Bublik, G.V.; Kubayev, A.B.; Ibraibekov, Z.G.; Kopobayeva, I.L.; Kultanov, B.Z. The Health Status of the Reproductive System in Women Living In the Aral Sea Region. Open Access Maced. J. Med. Sci. 2015, 3, 474–477. [Google Scholar] [CrossRef]
- Turdybekova, Y.G.; Kelmyalene, A.A.; Kultanov, B.Z. Clinical laboratory investigation of reproductive health of women living in ecologically infavorable regions of Kazakhstan. Gig. I Sanit. 2018, 97, 297–300. [Google Scholar] [CrossRef]
- Mamyrbayev, A.; Djarkenov, T.; Dosbayev, A.; Dusembayeva, N.; Shpakov, A.; Umarova, G.; Drobchenko, Y.; Kunurkulzhayev, T.; Zhaylybaev, M.; Isayeva, G. The Incidence of Malignant Tumors in Environmentally Disadvantaged Regions of Kazakhstan. Asian Pac. J. Cancer Prev. 2016, 17, 5203–5209. [Google Scholar] [CrossRef]
- Jangildinova, S.; Tatina, Y.; Kaliyeva, G.; Kuvatbaeva, K.; Beygam, N. The content of extracellular nucleic acids in the blood and ejaculate of men of reproductive age living in the ecologically unfavorable regions of the Aral Sea. Open Access Maced. J. Med. Sci. 2019, 7, 1388–1390. [Google Scholar] [CrossRef]
- Jangildinova, S.; Ivassenko, S.; Kelmyalene, A.; Yessilbayeva, B.; Dyussenbekova, B.; Kinayatov, M. Determination of the product of DNA oxidation in the blood of women living in the Sub-Aral area. Open Access Maced. J. Med. Sci. 2019, 7, 1672–1674. [Google Scholar] [CrossRef]
- Suleimen, A.; Yesimova, R.; Rakhimova, B.; Suleimen, G.; Yerubay, A.; Britko, V.; Aitkulov, A.; Kultanov, B. The impact of dust and salt aerosols of the Aral Sea on the tissues of rat testes in the experiment. Open Access Maced. J. Med. Sci. 2020, 8, 452–456. [Google Scholar] [CrossRef]
- Directive 2010/63/EU of the European Parliament and of the Council of the European Union of 22 September 2010 on the Protection of Animals Used for Scientific Purposes. Available online: https://eur-lex.europa.eu/legal-content/en/ALL/?uri=CELEX%3A32010L0063 (accessed on 10 February 2020).
- Borisova, L.B.; Mareeva, L.B.; Dosmagambetova, R.S. Inhalation Administration of Dust to Animals in a Toxicological Experiment. Guidelines 1997, 17. [Google Scholar] [CrossRef]
- Order of the Minister of Health of the Republic of Kazakhstan No. KR DSM-70 “On Approval of Hygienic Standards for Atmospheric Air in Urban and Rural Settlements, in the Territories of Industrial Organizations”. 2 August 2022, 216p. Available online: https://online.zakon.kz/Document/?doc_id=38400406&pos=5;-106#pos=5;-106 (accessed on 30 March 2025).
- Wu, N.; Ge, Y.; Abuduwaili, J.; Issanova, G.; Saparov, G. Insights into Variations and Potential Long-Range Transport of Atmospheric Aerosols from the Aral Sea Basin in Central Asia. Remote Sens. 2022, 14, 3201. [Google Scholar] [CrossRef]
- Suleimen, A.; Rakhimova, B.; Jangildinova, S.; Aitkulov, A.; Yessilbayeva, B.; Dyussenbekova, B.; Danilenko, M.; Beygam, N. Assessment of the Influence of Dust-Salt Aerosols of the Aral Sea on the Morphological Characteristics of the Tissue of the Epididymis of Rats in the Experiment. OnLine J. Biol. Sci. 2024, 24, 739–746. [Google Scholar] [CrossRef]
- World Health Organization. International Recommendations for Biomedical Research Using Animals; Chronicle of World Health Organization: Geneva, Switzerland, 1985; Volume 39, p. 39. [Google Scholar]
- Ukhov, Y.I.; Astrakhantsev, A.F. Morphometric methods in assessing the functional state of the testes. Arch. Anat. Histol. Embryol. 1983, 84, 66–72. [Google Scholar]
- Johnsen, S.G. Testicular biopsy score count—A method for registration of spermatogenesis in human testes: Normal values and results in 335 hypogonadal males. Hormones 1970, 1, 2–25. [Google Scholar] [CrossRef]
- Turdybekova, Y.G.; Yesimova, R.Z.; Kamyshanskiy, Y.K.; Kuitanov, B.Z.; Appazova, L.S. Morphological changes of corpus luteumin rat ovaries when exposed to chemical pollutants. Med. Ecol. 2019, 1, 99–104. (In Russian) [Google Scholar]
- Farcas, M.T.; Kisin, E.R.; Menas, A.L.; Gutkin, D.W.; Star, A.; Reiner, R.S.; Yanamala, N.; Savolainen, K.; Shvedova, A.A. Pulmonary exposure to cellulose nanocrystals caused deleterious effects to reproductive system in male mice. J. Toxicol. Environ. Health A 2016, 79, 984–997. [Google Scholar] [CrossRef]
- Yoshida, S.; Sagai, M.; Oshio, S.; Umeda, T.; Ihara, T.; Sugamata, M.; Sugawara, I.; Takeda, K. Exposure to diesel exhaust affects the male reproductive system of mice. Int. J. Androl. 1999, 22, 307–315. [Google Scholar] [CrossRef]
- Fortoul, T.I.; Rodriguez-Lara, V.; Gonzalez-Villalva, A.; Rojas-Lemus, M.; Cano-Gutierrez, G.; Ustarroz-Cano, M.; Colin-Barenque, L.; Montaño, L.F.; García-Pelez, I.; Bizarro-Nevares, P.; et al. Vanadium Inhalation in a Mouse Model for the Understanding of Air-Suspended Particle Systemic Repercussion. BioMed Res. Int. 2011, 2011, 951043. [Google Scholar] [CrossRef]
- Ferreira, A.F.; Garcia, P.V.; Camarinho, R.; Rodrigues, A.S. Volcanogenic pollution and testicular damage in wild mice. Chemosphere 2015, 132, 135–141. [Google Scholar] [CrossRef] [PubMed]
- Pires, A.; de Melo, E.N.; Mauad, T.; Nascimento Saldiva, P.H.; de Siqueira Bueno, H.M. Pre and postnatal exposure to ambient levels of urban particulate matter (PM2.5) affects mice spermatogenesis. Inhal. Toxicol. 2011, 23, 237–245. [Google Scholar] [CrossRef] [PubMed]
- Pires, A.; Pieri, P.; Hage, M.; Santos, A.B.; Medeiros, M.C.; Garcia, R.C.; Yonamine, M.; Hallak, J.; Saldiva, P.H.; Zorzetto, J.C.; et al. Repeated inhalation of crack-cocaine affects spermatogenesis in young and adult mice. Inhal. Toxicol. 2012, 24, 439–446. [Google Scholar] [CrossRef]
- Rajpurkar, A.; Li, H.; Dhabuwala, C.B. Morphometric analysis of rat testis following chronic exposure to cigarette smoke. J. Environ. Pathol. Toxicol. Oncol. 2000, 19, 363–368. [Google Scholar]
- Xiao, X.; Mruk, D.D.; Wong, C.K.; Cheng, C.Y. Germ cell transport across the seminiferous epithelium during spermatogenesis. Physiology 2014, 29, 286–298. [Google Scholar] [CrossRef]
- Thanh, T.N.; Van, P.D.; Cong, T.D.; Minh, T.L.; Vu, Q.H.N. Assessment of testis histopathological changes and spermatogenesis in male mice exposed to chronic scrotal heat stress. J. Anim. Behav. Biometeorol. 2020, 8, 174–180. [Google Scholar] [CrossRef]
- Chen, L.; Zhang, X.; Zhou, W.; Qiao, Q.; Liang, H.; Li, G.; Wang, J.; Cai, F. The interactive effects of cytoskeleton disruption and mitochondria dysfunction lead to reproductive toxicity induced by microcystin-LR. PLoS ONE 2013, 8, e53949. [Google Scholar] [CrossRef] [PubMed] [PubMed Central]
- Chen, L.; Chen, J.; Zhang, X.; Xie, P. A review of reproductive toxicity of microcystins. J. Hazard. Mater. 2016, 301, 381–399. [Google Scholar] [CrossRef] [PubMed]










| Morphometric Characteristics | Control | Experimental Groups | ||||
|---|---|---|---|---|---|---|
| 1 | 2 | 3 | 4 | 5 | ||
| Diameter of convoluted seminiferous tubules, µm 1 H = 154.4 p < 0.001 | 293.5 (276.1; 305.7) | 194.0 (179.3; 205.6) * p(c) < 0.001 | 216.3 (207.3; 231.7) * p(c) < 0.001 p(1–2) = 0.269 | 189.7 (178.0; 201.8) * p(c) < 0.001 p(1–3) = 1 p(2–3) < 0.001 | 286.6 (264.0; 303.6) p(c) = 1 p(1–4) < 0.001 p(2–4) < 0.001 p(3–4) < 0.001 | 285.0 (266.3; 301.7) p(c) = 1 p(1–5) < 0.001 p(2–5) < 0.001 p(3–5) < 0.001 p(4–5) = 1 |
| Thickness of spermatogenic layer, µm 1 H = 75.87 p < 0.001 | 82.3 (76.6; 87.0) | 64.1 (59.5; 68.1) * p(c) < 0.001 | 74.5 (69.7; 80.0) * p(c) = 0.047 p(1–2) = 0.002 | 67.1 (64.9; 69.8) * p(c) < 0.001 p(1–3) = 0.172 p(2–3) = 1 | 75.3 (69.7; 81.3) p(c) = 0.464 p(1–4) < 0.001 p(2–4) = 1 p(3–4) = 0.52 | 64.1 (56.0; 68.3) * p(c) < 0.001 p(1–5) = 1 p(2–5) < 0.001 p(3–5) = 0.059 p(4–5) < 0.001 |
| Number of Sertoli cells per tubule 1 H = 29.36 p < 0.001 | 15.5 (12.0; 18.0) | 8.0 (6.0; 10.0) * p(c) < 0.001 | 11.0 (8.8; 12.0) p(c) = 0.189 p(1–2) = 0.16 | 11.0 (7.8; 14.3) p(c) = 0.09 p(1–3) = 0.322 p(2–3) = 1 | 9.0 (5.0; 12.3) * p(c) = 0.001 p(1–4) = 1 p(2–4) = 1 p(3–4) = 1 | 10.0 (8.0; 14.0) * p(c) = 0.022 p(1–5) = 0.924 p(2–5) = 1 p(3–5) = 1 p(4–5) = 1 |
| Vacuolization of Sertoli cells 1 H = 105.1 p < 0.001 | 1 (0; 1) | 1 (0; 3) * p(c) = 0.005 | 1.5 (0; 3) * p(c) = 0.003 p(1–2) = 1 | 11.0 (8; 14) * p(c) < 0.001 p(1–3) < 0.001 p(2–3) < 0.001 | 2 (1; 3) * p(c) < 0.001 p(1–4) = 1 p(2–4) = 1 p(3–4) < 0.001 | 2 (0; 2) * p(c) = 0.005 p(1–5) = 1 p(2–5) = 1 p(3–5) < 0.001 p(4–5) = 1 |
| Number of Leydig cells 1 H = 18.47 p = 0.002 | 17.0 (15.0; 19.3) | 14.5 (11.0; 18.0) p(c) = 0.861 | 14.0 (12.0; 17.3) p(c) = 0.788 p(1–2) = 1 | 12.0 (10.8; 15.0) p(c) = 0.066 p(1–3) = 1 p(2–3) = 1 | 11.5 (10.0; 15.0) * p(c) = 0.034 p(1–4) = 1 p(2–4) = 1 p(3–4) = 1 | 10.0 (9.0; 12.1) * p(c) = 0.001 p(1–5) = 0.581 p(2–5) = 0.637 p(3–5) = 1 p(4–5) = 1 |
| Johnsen score 2 H = 19.91 p = 0.001 | 9.16 ± 0.07 | 8.87 ± 0.11 p(c) = 1 | 8.74 ± 0.12 p(c) = 0.229 p(1–2) = 1 | 8.54 ± 0.11 * p(c) = 0.001 p(1–3) = 0.32 p(2–3) = 1 | 8.71 ± 0.11 * p(c) = 0.046 p(1–4) = 1 p(2–4) = 1 p(3–4) = 1 | 8.66 ± 0.12 * p(c) = 0.023 p(1–5) = 1 p(2–5) = 1 p(3–5) = 1 p(4–5) = 1 |
Disclaimer/Publisher’s Note: The statements, opinions and data contained in all publications are solely those of the individual author(s) and contributor(s) and not of MDPI and/or the editor(s). MDPI and/or the editor(s) disclaim responsibility for any injury to people or property resulting from any ideas, methods, instructions or products referred to in the content. |
© 2025 by the authors. Licensee MDPI, Basel, Switzerland. This article is an open access article distributed under the terms and conditions of the Creative Commons Attribution (CC BY) license (https://creativecommons.org/licenses/by/4.0/).
Share and Cite
Suleimen, A.; Rakhimova, B.; Jangildinova, S.; Aitkulov, A.; Yessilbayeva, B.; Yestemessova, K.; Dyussenbekova, B.; Abdikadirova, K.; Turlybekova, G.; Amreyeva, K. Morphometric Characteristics of Rat Testes Tissue After Exposure to Dust–Salt Aerosols of the Aral Sea. Biology 2025, 14, 380. https://doi.org/10.3390/biology14040380
Suleimen A, Rakhimova B, Jangildinova S, Aitkulov A, Yessilbayeva B, Yestemessova K, Dyussenbekova B, Abdikadirova K, Turlybekova G, Amreyeva K. Morphometric Characteristics of Rat Testes Tissue After Exposure to Dust–Salt Aerosols of the Aral Sea. Biology. 2025; 14(4):380. https://doi.org/10.3390/biology14040380
Chicago/Turabian StyleSuleimen, Assylgul, Bibigul Rakhimova, Svetlana Jangildinova, Aidar Aitkulov, Bayan Yessilbayeva, Karlygash Yestemessova, Bayan Dyussenbekova, Khamida Abdikadirova, Gulzhazira Turlybekova, and Kymbat Amreyeva. 2025. "Morphometric Characteristics of Rat Testes Tissue After Exposure to Dust–Salt Aerosols of the Aral Sea" Biology 14, no. 4: 380. https://doi.org/10.3390/biology14040380
APA StyleSuleimen, A., Rakhimova, B., Jangildinova, S., Aitkulov, A., Yessilbayeva, B., Yestemessova, K., Dyussenbekova, B., Abdikadirova, K., Turlybekova, G., & Amreyeva, K. (2025). Morphometric Characteristics of Rat Testes Tissue After Exposure to Dust–Salt Aerosols of the Aral Sea. Biology, 14(4), 380. https://doi.org/10.3390/biology14040380

