Simple Summary
Poultry are extremely sensitive to aflatoxins. Prolonged exposure to aflatoxins leads to a reduction in egg performance and egg quality. The main method commonly used to eliminate aflatoxin contamination is the addition of mycotoxin adsorbents. This trial has shown that the addition of MAB restores AFB1-induced liver and oviduct damage in laying hens and improves egg quality. Therefore, the results of this study provide a new basis for the degradation of mycotoxins.
Abstract
Aflatoxin contamination causes huge economic losses in animal husbandry by inhibiting growth and performance. The addition of mycotoxin binders to contaminate diets has been widely used for mycotoxin removal. Bentonite and yeast cell walls have received increasing attention as efficient and low-cost adsorbents. This study utilizes a mycotoxin adsorbent (MAB) to bind Aflatoxin B1 (AFB1) in feed. The trial was a randomized trial design, with 240 forty-three-week-old Hy-line Brown laying hens allocated to four groups, and with 80 birds in each group. The three diets used in the experiment were: (1) control diet; (2) control diet + 0.2 mg/kg AFB1; (3) control diet+ 0.2 mg/kg AFB1 + 2.0 g/kg MAB. All laying hens were fed a basal diet for one week. The feeding trial lasted for 12 weeks followed by a 1-week adaptation phase. The results show that laying hens fed the AFB1-contaminated diet had decreased performance and egg quality and reduced oviduct index and length. Blood biochemical parameters show that AFB1 leads to increased serum alanine aminotransferase (ALT) and aspartate aminotransferase (AST) levels. Compared to the control diet groups, exposure to the AFB1-contaminated diet resulted in liver and uterine tissue damage, mainly manifested by inflammatory infiltration. Compared with AFB1-contaminated diets, liver and uterine damage was alleviated with the AFB1 + MAB diet and partially restored to control levels. At the same time, we also observed that AFB1 treatment up-regulated the expression of Interferon-α (IFN-α), CASPASE-3, and CASPASE-8 in the uterus of laying hens, but this phenomenon was alleviated after adding the MAB. Therefore, under the experimental conditions, supplementation of MAB in AFB1-contaminated hen diets was an effective intervention to reduce aflatoxin toxicity.
1. Introduction
At least 20 aflatoxins have been identified, among which aflatoxin B1 (AFB1) is the most prevalent and toxic mycotoxin [1]. Statistics indicate that 25% of global crops are contaminated with mycotoxins annually, rendering 2% of food unfit for consumption [2]. Prolonged exposure to aflatoxins leads to immunotoxicity, liver carcinogenesis, and reproductive dysfunction [3]. Laying hens exhibit high sensitivity to AFB1. Randomized trials have demonstrated that AFB1-contaminated diets significantly impair the health, performance, and egg quality of laying hens [4,5].
At present, the commonly used methods to mitigate the harmful effects of mycotoxins in production include physical, chemical, and biological approaches. Traditional physical methods primarily rely on clay-based adsorbents, which have drawbacks such as low efficiency, inconsistent performance, and unintended adsorption of other nutrients. Chemical methods compromise the nutritional quality and palatability of feed while posing potential safety risks [6,7,8]. Thus, identifying a safe and effective mycotoxin adsorbent is an urgent priority.
The use of mycotoxin adsorbents in animal feed has gained significant attention in recent years, demonstrating notable effects across various animal models. Bentonite is a natural clay mineral that binds aflatoxin through ion exchange and van der Waals forces, forming a stable complex that prevents toxin absorption due to its layered structure and high surface area [9]. β-Glucan, a polysaccharide, reduces the toxic effects of AFB1 by enhancing macrophage activity, stimulating cytokine secretion, alleviating oxidative stress, and protecting tissues from toxin-induced damage through its anti-inflammatory properties [10,11]. Both bentonite clay and β-glucan have limitations when used alone. Bentonite adsorbs aflatoxin in the intestine but does not detoxify absorbed toxins. β-glucan enhances immune function and antioxidant capacity, but it cannot adsorb free aflatoxin in the intestine. The mycotoxin adsorbent (MAB) in this study combined bentonite and activated β-glucan. The synergistic effect of these components was expected to overcome their individual limitations, thereby more effectively reducing aflatoxin-induced harm. Studies show that MAB significantly alleviates AFB1-induced negative effects on immune function and intestinal health in broiler chickens [12]. However, the protective effect of MAB on egg-laying hens, particularly on oviduct health, remains unclear. This study aimed to evaluate the effects of AFB1 and MAB on egg quality and oviduct health during the late laying period, providing a theoretical basis for new mycotoxin degradation strategies.
2. Materials and Methods
2.1. Animal Ethics Statement
All experimental procedures adhered to the China Agricultural University Institutional Guidelines for the Care and Use of Laboratory Animals, Beijing, China. The Laboratory Animal Welfare and Animal Experiment Ethics Committee of China Agricultural University (No. AW42110202-2-2) reviewed and approved all animal feeding and handling procedures.
2.2. Experimental Design
Animal feeding experiments were conducted in August 2020 at the Zhuozhou Poultry Research Base in Hebei, China. A total of 240 Hy-line Brown laying hens with similar body weights at 43 weeks of age were randomly allocated to three treatments. The trial included four treatments, each with eight replicates and 10 birds per replicate. All laying hens were pre-fed a basal diet for one week starting at 43 weeks of age. The formal trial began at 44 weeks of age and lasted for 12 weeks, concluding at 55 weeks of age. Throughout the experiment, the laying hens were housed in a closed facility maintained at 20 °C to 23 °C, with two hens per cage (40 cm × 37 cm × 34 cm), and the light conditions were guaranteed for 16 h:8 h (L:D). During the trial period, the birds were allowed access to mash diets and water ad libitum for the 12-week exposure period and routinely immunized according to farm procedures.
2.3. Experimental Diets
The trial used a basal diet with typical commercial composition, and the dietary composition and nutrient levels are shown in Table 1.
Table 1.
Formulation of experimental diets and nutrient levels.
Three experimental diets were prepared: (1) the control diet; (2) the control diet + 0.2 mg/kg AFB1; and (3) the control diet + 0.2 mg/kg AFB1 + 2.0 g/kg MAB (AFB1: Sigma-Aldrich, St. Luis, MO, USA; MAB: Trouw Nutrition, Amersfoort, The Netherlands).
2.4. Measurement of Growth Performance
Egg numbers and egg weight were recorded daily for all laying hens in each treatment throughout the trial period. Feed intake was recorded for each treatment at 47 weeks, 51 weeks, and 55 weeks of age. Then, the egg-laying rate, average egg weight, and feed conversion ratio (FCR) were calculated for hens at 44–47 weeks, 48–51 weeks, and 52–55 weeks of age.
2.5. Measurement of Egg Quality
All eggs in each treatment group were collected on the last day of 55 weeks, and egg weight, eggshell strength, albumen high, and Haugh units were measured with a digital egg tester (DET-6000, NABEL Co., Ltd., Kyoto, Japan). Eggshell thickness was measured using vernier calipers to measure the thickness of the blunt end, tip, and equator of the eggshell at three points, and then the average value was used. Yolk weight was weighed on a weighing balance and recorded.
2.6. Serum Parameters Related to Liver Health
On the last day of 55 weeks of age, blood was taken from eight birds per treatment (one chick per replicate). Approximately 10 mL of blood sample was taken from the wing vein into a non-heparinized tube, placed at room temperature for 30 min, centrifuged (3000× g, 4 °C, 15 min), and the serum was separated in a 1.5 mL Eppendorf tube and stored at −20 °C until subsequent analysis. Determination of AST and ALT according to the Elisa kit instructions.
2.7. Measurement of Organs and Histopathology
After the animals were slaughtered, the oviducts were removed and weighed. The oviducts were also unfolded, and the total length of the oviducts, as well as the length of the magnums, isthmus, and uterus, were measured with vernier calipers.
Oviduct index = oviduct weight (g)/body weight (kg).
For histopathology, 1 cm × 1 cm size tissues were taken from the liver and uterine parts at the same location, fixed in 4% paraformaldehyde, and embedded in paraffin. The treated samples were stained with hematoxylin and eosin and observed and analyzed under a light microscope (DM750, Leica, Frankfurt, Germany).
2.8. Quantification of mRNA Expression in Uterus
At the end of the experiment, one bird per replicate was randomly selected and slaughtered. The uterine samples were collected and washed with saline and stored at −80 °C until mRNA expression analysis. Total RNA was isolated from the uterus using the Trizol kit. The reverse transcription (RT) program was 37 °C for 5 min, followed by 42 °C for 15 min, followed by 85 °C for 5 min. The product cDNA was stored at −20 °C until the next step of the assay.
The quantitative primer sequences for the transcript levels of Interleukin-6 (IL-6), tumor necrosis factor-α (TNF-α), Interferon-α (IFN-α), CASPASE 3, and CASPASE-8 mRNA are shown in Table 2. Use a total volume of 20 μL PCR reaction systems containing 10 μL of PCR Master Mix, 0.8 μL of primers (0.4 μL of forward and 0.4 μL of reverse primers), 2 μL of cDNA templates, and 7.2 μL of sterile distilled water. The PCR melting curve was 95 °C for 15 s, 40 cycles at 95 °C for 15 s, and 60 °C for 1 min. The relative expression level of the target genes using the comparative Ct method. The Ct value was determined and used to calculate the relative expression level 2−ΔΔCt.
Table 2.
Primers of target genes for quantitative real-time PCR.
2.9. Statistical Analysis
Statistical analyses were conducted using one-way analysis of variance (ANOVA) followed by Bonferroni’s post hoc test to compare means when ANOVA results indicated statistical significance (p < 0.05).in GraphPad Prism 9 (GraphPad Software, San Diego, CA, USA). Results are expressed as mean ± SD. Statistical significance was set at p < 0.05, and values of 0.05 ≤ p < 0.10 were considered indicative of a trend.
3. Results
3.1. Growth Performance
Table 3 presents the growth performance results, including the egg-laying rate, average egg weight, and FCR of the hens at different stages. AFB1 significantly increased the FCR of laying hens throughout the experiment; however, MAB supplementation during 48–51 weeks significantly counteracted the FCR increase induced by AFB1 (p < 0.05). Additionally, AFB1 significantly reduced the egg production rate in laying hens at 44–47, 52–55, and 44–55 weeks (p < 0.05). In contrast, neither AFB1 nor MAB significantly affected the average egg weight during the trial.
Table 3.
Effects and combinational effects of AFB1 and MAB on growth performance of laying hens 1.
3.2. Egg Quality
The effects of AFB1 and MAB on egg quality are shown in Table 4. Diets containing AFB1 slightly reduced egg quality, but the differences were not statistically significant. Adding MAB significantly improved eggshell strength (p < 0.05) and showed a trend of increasing albumen height and yolk weight (p = 0.067 and p = 0.059, respectively).
Table 4.
Effects and combinational effects of AFB1 and MAB on egg quality in laying hens 1.
3.3. Serum Enzyme Activity and Histomorphology Related to Liver Health
Table 5 presents the effects of AFB1 and MAB on serum biochemical parameters in laying hens. AFB1 treatment significantly increased serum AST levels compared to the control group, while MAB supplementation significantly reduced AST levels (p < 0.01). In contrast, none of the treatments significantly affected serum ALT levels.
Table 5.
Effects and combinational effects of AFB1 and MAB on parameters of serum in laying hens 1.
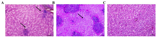
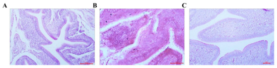
The histological structure of the liver is shown in Figure 1. In the control diet groups, the liver showed mild inflammatory cell infiltration. The AFB1-exposed group showed liver injury, characterized by inflammatory infiltration and moderate to extensive hepatocyte necrosis, compared to the control and MAB diet groups. Adding MAB to the AFB1-contaminated diet significantly reduced liver injury compared to the AFB1-only diet.
Figure 1.
Effect of the MAB diet on AFB1 induced histological changes in the liver. Liver samples were taken at the end of the trial and analyzed for qualitative histological changes; liver sections were stained with hematoxylin and eosin (H&E) and examined under a light microscope (Olympus BX43 microscope). (A) Control diet; (B) AFB1 diet; and (C) AFB1 + MAB diet. Inflammatory infiltrates (arrow); Hepatocyte necrosis (arrowhead). Scale bar: (A,C), 20×; (B), 10×.
3.4. Oviduct Index
Table 6 presents the effects of AFB1 and MAB on the oviduct index and length. Compared to the control group, AFB1 significantly reduced uterus length (p < 0.05). MAB supplementation significantly increased the total length of the oviduct, magnum length, and uterine length (p < 0.05).
Table 6.
Effects and combinational effects of AFB1 and MAB on oviduct index and length 1.
3.5. Gene Expression and Histomorphology in Uterus
Table 7 presents the effects of dietary AFB1 and MAB supplementation on inflammatory and apoptotic factors in the uterus. AFB1 significantly up-regulated the mRNA expression of IFN-α and CASPASE3 in the uterus, whereas MAB significantly down-regulated these factors (p < 0.05). MAB supplementation counteracts the decrease in TNF-α and the up-regulation of CASPASE8 induced by AFB1(p = 0.061; p = 0.061).
Table 7.
Effects and combinational effects of AFB1 and MAB on the relative expression of uterus 1.
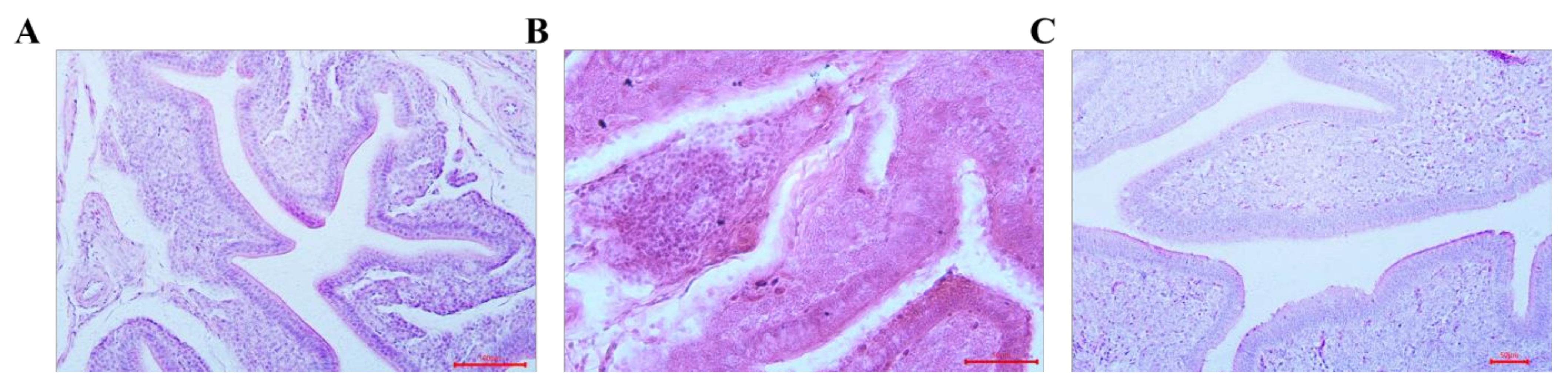
Figure 2 illustrates the histological structure of the uterus. AFB1 caused severe injury to the uterus, characterized by mucosal epithelial cell detachment and visible inflammatory foci in laying hens. However, MAB significantly alleviated AFB1-induced uterine tissue damage and restored its histomorphology to normal levels.
Figure 2.
The histological structure of the uterus in laying hens on the last day of the experiment. Uterus samples were taken at the end of the trial and analyzed for qualitative histological changes; uterus sections were stained with hematoxylin and eosin (H&E) and examined under a light microscope (Olympus BX43 microscope). (A) Control diet; (B) AFB1 diet; and (C) AFB1 + MAB diet. Solid arrows indicate inflammatory foci. Scale bar: (A,C) 20×; (B) 10×.
4. Discussion
The adsorbent used in this study primarily consisted of active ingredients, including bentonite and activated β-glucan. This study showed that MAB partially alleviated the adverse effects of AFB1 on laying hens. Consistent with previous studies [13], AFB1 ingestion in laying hens increased the feed-to-egg ratio (FCR) at 48–51 weeks and 52–55 weeks of ag, while decreasing the egg production rate during the experimental periods. Compared to the control group, AFB1 reduced eggshell strength and albumen height, consistent with previous studies [5]. Changes in eggshell strength due to mycotoxins may be linked to liver calcium and phosphorus metabolism disorders [14,15]. Long-term exposure can cause acute liver failure or chronic damage, inhibit protein and lipid synthesis, and reduce poultry immune function and production performance [16]. This study confirmed that AFB1 caused liver damage, inflammatory cell infiltration, and widespread hepatocyte death. Adding MAB effectively alleviates AFB1-induced adverse effects, possibly by β-glucan inhibiting pro-inflammatory signals and reducing excessive inflammatory factor secretion [17].
AST and ALT levels serve as crucial indicators of liver health [18]. Serum ALT levels increased following dietary supplementation of AFB1, consistent with prior studies [19,20]. Dietary supplementation of MAB mitigated the negative effects induced by AFB1. Studies show that silicate materials, such as bentonite, adsorb mycotoxins on feed surfaces, significantly reducing AFB1-induced immunotoxicity and damage to poultry [21,22,23]. β-glucan, derived from the yeast cell wall, enhances non-specific immunity via immune regulation [11,24,25]. This study shows that dietary supplementation of MAB alleviates AFB1-induced liver damage, likely because bentonite preferentially adsorbs intestinal toxins, preventing their entry into the bloodstream and liver. β-glucan enhances liver immunity and detoxification, offering dual protection.
The effects of AFB1 on growth, production performance, and eggshell strength of laying hens have been well documented. The uterus is essential for eggshell formation, and structural or functional damage disrupts mineralization, reducing eggshell strength [26,27,28]. AFB1 may indirectly affect eggshell quality by causing structural damage and dysfunction of the oviduct, particularly the uterus [29,30]. This study confirms that the decline in egg quality due to AFB1 is linked to structural damage in the oviduct. Compared to the control group, dietary supplementation with AFB1 significantly reduces the oviduct index and shortens the lengths of the magnum and uterus. Histopathological results showed that AFB1 treatment induced inflammatory cell aggregation in the lamina propria and submucosa of the uterus, with neutrophil infiltration and destruction of glandular structures in some areas, indicating mucosal damage and enhanced inflammatory response. Notably, dietary supplementation with MAB significantly alleviated AFB1-induced damage to the oviduct. Bentonite and β-glucan, as potential feed additives, have been shown to mitigate the toxicological effects of AFB1 [10,11,31]. Therefore, the combined use of bentonite and β-glucan may act synergistically through multiple pathways: bentonite reduces liver function interference and calcium-phosphorus metabolism disruption by adsorbing AFB1, while β-glucan improves oviduct health and reduces inflammation. This combined effect helps maintain normal eggshell formation and enhances eggshell strength [32,33].
Cytokines in the oviduct of laying hens regulate immune responses and may contribute to eggshell biomineralization [26]. Studies have shown that dietary AFB1 exposure induces an immune response and disrupts the expression of inflammatory mediators (e.g., IL-6, TNF-α) [34]. This study demonstrates that prolonged AFB1 exposure significantly increases pro-inflammatory mediators in the oviduct. Dietary MAB supplementation significantly reduced pro-inflammatory mediator expression, particularly IFN-α, which may play a crucial role in improving oviduct health and eggshell quality. Bentonite effectively adsorbs AFB1, reducing its accumulation in the body and mitigating its negative impact on the immune system [35,36]. β-glucan enhances the innate immune response by activating macrophages and other immune cells, regulating pro-inflammatory mediator production, and reducing excessive inflammation [37]. We hypothesize that MAB mitigates AFB1-induced damage through both physical and biological mechanisms, reducing the toxin’s direct effects and enhancing immune function and oviduct health. This dual effect may improve eggshell strength in laying hens and enhance egg quality.
5. Conclusions
In conclusion, prolonged AFB1 exposure causes significant damage to egg production and quality. These effects are likely due to AFB1-induced tissue damage and immunotoxicity. This study found that MAB supplementation in AFB1-contaminated diets reduced pro-inflammatory and apoptotic factors in the uterus, protected the uterus and liver from AFB1-induced damage, and improved egg quality. However, the exact mechanism of mycotoxin adsorbents in mitigating AFB1 effects and protecting laying hens from AFB1 contamination requires further investigation.
Author Contributions
Y.W. conceived and designed the experiment, performed the statistical analysis, and wrote the manuscript. M.S. performed some experiments and analyzed some data., J.S., and Q.J. collected the experimental data and analyzed some data. B.Z. initiated the study and designed animal experiments. All authors have read and agreed to the published version of the manuscript.
Funding
This work was supported by The National Natural Science Foundation of China (No. 32372895).
Institutional Review Board Statement
The Laboratory Animal Welfare and Animal Experiment Ethics Committee of China Agricultural University (Approval No AW42110202-2-2) reviews all animal feeding and handling procedures.
Data Availability Statement
All datasets collected and analyzed during the current study are available from the corresponding author by request. The availability of the data is restricted to investigators based at academic institutions.
Acknowledgments
The authors express their gratitude to the Zhuozhou Experimental Base of China Agricultural University for providing the experimental environment that supported this study.
Conflicts of Interest
The authors declare no conflicts of interest.
References
- Pickova, D.; Ostry, V.; Toman, J.; Malir, F. Aflatoxins: History, Significant Milestones, Recent Data on Their Toxicity and Ways to Mitigation. Toxins 2021, 13, 399. [Google Scholar] [CrossRef] [PubMed]
- Jallow, A.; Xie, H.; Tang, X.; Qi, Z.; Li, P. Worldwide aflatoxin contamination of agricultural products and foods: From occurrence to control. Compr. Rev. Food Sci. Food Saf. 2021, 20, 2332–2381. [Google Scholar] [CrossRef] [PubMed]
- Li, C.; Liu, X.; Wu, J.; Ji, X.; Xu, Q. Research progress in toxicological effects and mechanism of aflatoxin B(1) toxin. PeerJ 2022, 10, e13850. [Google Scholar] [CrossRef] [PubMed]
- Torshizi, M.A.K.; Sedaghat, A. A consortium of detoxifying bacteria mitigates the aflatoxin B1 toxicosis on performance, health, and blood constituents of laying hens. Poult. Sci. 2023, 102, 102601. [Google Scholar] [CrossRef]
- Zhao, L.; Feng, Y.; Wei, J.T.; Zhu, M.X.; Zhang, L.; Zhang, J.C.; Karrow, N.A.; Han, Y.M.; Wu, Y.Y.; Guo, Y.M.; et al. Mitigation Effects of Bentonite and Yeast Cell Wall Binders on AFB(1), DON, and OTA Induced Changes in Laying Hen Performance, Egg Quality, and Health. Toxins 2021, 13, 156. [Google Scholar] [CrossRef]
- Dvorák, M. Possibilities of chemical detoxification of aflatoxin. Vet. Med. 1990, 35, 37–42. [Google Scholar]
- Jalili, M.; Jinap, S.; Son, R. The effect of chemical treatment on reduction of aflatoxins and ochratoxin A in black and white pepper during washing. Food Addit. Contam. Part A Chem. Anal. Control Expo. Risk Assess. 2011, 28, 485–493. [Google Scholar] [CrossRef]
- Salgado, J.D.; Wallhead, M.; Madden, L.V.; Paul, P.A. Grain Harvesting Strategies to Minimize Grain Quality Losses Due to Fusarium Head Blight in Wheat. Plant Dis. 2011, 95, 1448–1457. [Google Scholar] [CrossRef]
- Rasheed, U.; Ain, Q.U.; Yaseen, M.; Yao, X.; Liu, B. Synthesis and characterization of tannic acid pillared bentonite composite for the efficient adsorption of aflatoxins. Colloids Surf. B Biointerfaces 2021, 202, 111679. [Google Scholar] [CrossRef]
- Ashry, A.; Taha, N.M.; Lebda, M.A.; Abdo, W.; El-Diasty, E.M.; Fadl, S.E.; Morsi Elkamshishi, M. Ameliorative effect of nanocurcumin and Saccharomyces cell wall alone and in combination against aflatoxicosis in broilers. BMC Vet. Res. 2022, 18, 178. [Google Scholar] [CrossRef]
- Hernández-Ramírez, J.O.; Merino-Guzmán, R.; Téllez-Isaías, G.; Vázquez-Durán, A.; Méndez-Albores, A. Mitigation of AFB(1)-Related Toxic Damage to the Intestinal Epithelium in Broiler Chickens Consumed a Yeast Cell Wall Fraction. Front. Vet. Sci. 2021, 8, 677965. [Google Scholar] [CrossRef]
- Zabiulla, I.; Malathi, V.; Swamy, H.; Naik, J.; Pineda, L.; Han, Y. The Efficacy of a Smectite-Based Mycotoxin Binder in Reducing Aflatoxin B(1) Toxicity on Performance, Health and Histopathology of Broiler Chickens. Toxins 2021, 13, 856. [Google Scholar] [CrossRef] [PubMed]
- Raj, J.; Farkaš, H.; Jakovčević, Z.; Vasiljević, M.; Kumar, R.; Asrani, R.K. Effects of supplemented multicomponent mycotoxin detoxifying agent in laying hens fed aflatoxin B1 and T2-toxin contaminated feeds. Poult. Sci. 2023, 102, 102795. [Google Scholar] [CrossRef] [PubMed]
- Liu, X.; Kumar Mishra, S.; Wang, T.; Xu, Z.; Zhao, X.; Wang, Y.; Yin, H.; Fan, X.; Zeng, B.; Yang, M.; et al. AFB1 Induced Transcriptional Regulation Related to Apoptosis and Lipid Metabolism in Liver of Chicken. Toxins 2020, 12, 290. [Google Scholar] [CrossRef] [PubMed]
- Sinclair-Black, M.; Garcia, R.A.; Ellestad, L.E. Physiological regulation of calcium and phosphorus utilization in laying hens. Front. Physiol. 2023, 14, 1112499. [Google Scholar] [CrossRef] [PubMed]
- Peng, X.; Yu, Z.; Liang, N.; Chi, X.; Li, X.; Jiang, M.; Fang, J.; Cui, H.; Lai, W.; Zhou, Y.; et al. The mitochondrial and death receptor pathways involved in the thymocytes apoptosis induced by aflatoxin B1. Oncotarget 2016, 7, 12222–12234. [Google Scholar] [CrossRef]
- De Marco Castro, E.; Calder, P.C.; Roche, H.M. β-1,3/1,6-Glucans and Immunity: State of the Art and Future Directions. Mol. Nutr. Food Res. 2021, 65, e1901071. [Google Scholar] [CrossRef]
- Kalas, M.A.; Chavez, L.; Leon, M.; Taweesedt, P.T.; Surani, S. Abnormal liver enzymes: A review for clinicians. World J. Hepatol. 2021, 13, 1688. [Google Scholar] [CrossRef]
- Hatipoglu, D.; Keskin, E. The effect of curcumin on some cytokines, antioxidants and liver function tests in rats induced by Aflatoxin B1. Heliyon 2022, 8, e09890. [Google Scholar] [CrossRef]
- Zou, Y.; Liu, S.B.; Zhang, Q.; Tan, H.Z. Effects of Aflatoxin B(1) on growth performance, carcass traits, organ index, blood biochemistry and oxidative status in Chinese yellow chickens. J. Vet. Med. Sci. 2023, 85, 1015–1022. [Google Scholar] [CrossRef]
- Alharthi, A.S.; Al Sulaiman, A.R.; Aljumaah, R.S.; Alabdullatif, A.A.; Ferronato, G.; Alqhtani, A.H.; Al-Garadi, M.A.; Al-Sornokh, H.; Abudabos, A.M. The efficacy of bentonite and zeolite in reducing aflatoxin B1 toxicity on production performance and intestinal and hepatic health of broiler chickens. Ital. J. Anim. Sci. 2022, 21, 1181–1189. [Google Scholar] [CrossRef]
- Barrientos-Velazquez, A.L.; Kakani, R.; Fowler, J.; Haq, A.U.; Bailey, C.A.; Deng, Y. Efficacy of two Texas bentonites in binding aflatoxin B1 and in reducing aflatoxicosis in broilers. Clays Clay Miner. 2022, 70, 354–369. [Google Scholar] [CrossRef]
- Mirakzehi, M.T.; Saleh, H.; Baranzehi, T.; Yousefi, M. Comparison of the Effects of Probiotic, Curcumin and Sodium Bentonite on Production Performance, Egg Quality, Intestinal Morphology, Microbial Population, and Gene Expression in Laying Japanese Quails Challenged with Aflatoxin B1. Poult. Sci. J. 2024, 12, 219–235. [Google Scholar] [CrossRef]
- Chaharaein, M.; Sadeghi, E.; Mohammadi, R.; Rouhi, M.; Soltani, M. The effect of β-glucan and inulin on the reduction of aflatoxin B(1) level and assessment of textural and sensory properties in chicken sausages. Curr. Res. Food Sci. 2021, 4, 765–772. [Google Scholar] [CrossRef]
- Suberu, S.A.; Isikhuemhen, O.S.; Ogundare, T.E.; Ekunseitan, D.A.; Fasina, Y.O. Benefits of Mushroom-Based Supplements on Growth Performance, Immunocompetence, and Meat Quality in Poultry. Animals 2024, 14, 1517. [Google Scholar] [CrossRef]
- Feng, J.; Lu, M.; Ma, L.; Zhang, H.; Wu, S.; Qiu, K.; Min, Y.; Qi, G.; Wang, J. Uterine inflammation status modulates eggshell mineralization via calcium transport and matrix protein synthesis in laying hens. Anim. Nutr. 2023, 13, 411–425. [Google Scholar] [CrossRef]
- Fu, Y.; Zhou, J.; Schroyen, M.; Zhang, H.; Wu, S.; Qi, G.; Wang, J. Decreased eggshell strength caused by impairment of uterine calcium transport coincide with higher bone minerals and quality in aged laying hens. J. Anim. Sci. Biotechnol. 2024, 15, 37. [Google Scholar] [CrossRef]
- Zhang, Y.; Deng, Y.; Jin, Y.; Wang, S.; Huang, X.; Li, K.; Xia, W.; Ruan, D.; Wang, S.; Chen, W.; et al. Age-related changes in eggshell physical properties, ultrastructure, calcium metabolism-related serum indices, and gene expression in eggshell gland during eggshell formation in commercial laying ducks. Poult. Sci. 2022, 101, 101573. [Google Scholar] [CrossRef]
- Bozzo, G.; Pugliese, N.; Samarelli, R.; Schiavone, A.; Dimuccio, M.M.; Circella, E.; Bonerba, E.; Ceci, E.; Camarda, A. Ochratoxin A and Aflatoxin B1 Detection in Laying Hens for Omega 3-Enriched Eggs Production. Agriculture 2023, 13, 138. [Google Scholar] [CrossRef]
- Kitilit, J.K. Reproductive Hormone Concentrations and Histology of the Hypothalamus, Pituitary, Ovary, Uterus and Liver of Rabbits Fed on Aflatoxin Laced Diets. Ph.D. Thesis, University of Eldoret, Eldoret, Kenya, 2022. [Google Scholar]
- Hamza, Z.K.; Hathout, A.S.; Ostroff, G.; Soto, E.; Sabry, B.A.; El-Hashash, M.A.; Hassan, N.S.; Aly, S.E. Assessment of the protective effect of yeast cell wall β-glucan encapsulating humic acid nanoparticles as an aflatoxin B(1) adsorbent in vivo. J. Biochem. Mol. Toxicol. 2022, 36, e22941. [Google Scholar] [CrossRef]
- de Lima Schlösser, L.M.; Simões, C.T.; Sarturi, J.A.; da Silva, C.R.; Laber, I.F.; Franco, D.S.P.; Mallmann, C.A. Adsorption of aflatoxin B1 by different antimycotoxin additives: Bentonite, clinoptilolite, and beta-glucans extracted from yeast cell wall. Mycotoxin Res. 2024, 40, 111–121. [Google Scholar] [CrossRef] [PubMed]
- Deng, Z.; Jang, K.B.; Jalukar, S.; Du, X.; Kim, S.W. Efficacy of Feed Additive Containing Bentonite and Enzymatically Hydrolyzed Yeast on Intestinal Health and Growth of Newly Weaned Pigs under Chronic Dietary Challenges of Fumonisin and Aflatoxin. Toxins 2023, 15, 433. [Google Scholar] [CrossRef] [PubMed]
- Saha Turna, N.; Comstock, S.S.; Gangur, V.; Wu, F. Effects of aflatoxin on the immune system: Evidence from human and mammalian animal research. Crit. Rev. Food Sci. Nutr. 2024, 64, 9955–9973. [Google Scholar] [CrossRef] [PubMed]
- Aloui, A.; Ben Salah-Abbès, J.; Belgacem, H.; Dhif, H.; Zinedine, A.; Riba, A.; Meile, J.C.; Durande, N.; Brabet, C.; Abbès, S. AFM(1) exposure in male balb/c mice and intervention strategies against its immuno-physiological toxicity using clay mineral and lactic acid bacteria alone or in combination. Immunopharmacol. Immunotoxicol. 2024, 46, 199–211. [Google Scholar] [CrossRef] [PubMed]
- José Mendes dos Reis, F.; Silva de Pádua Melo, E.; Marcos Jacques Barbosa, A.; de Cássia Avellaneda Guimarães, R.; Arunachalam, K.; Juliano Oliveira, R.; Carla Pinheiro Lima, A.; Fernanda Balestieri Mariano de Souza, M.; Carla Gomes Rosa, A.; Aratuza Pereira Ancel, M. Bentonite Clays as Adsorbent Material for Mycotoxins and the Hematological Parameters Involved in Tilapia Species: A Systematic Review. Aquac. Res. 2024, 2024, 4899256. [Google Scholar] [CrossRef]
- Schwartz, B.; Vetvicka, V. Review: β-glucans as Effective Antibiotic Alternatives in Poultry. Molecules 2021, 26, 3560. [Google Scholar] [CrossRef]
Disclaimer/Publisher’s Note: The statements, opinions and data contained in all publications are solely those of the individual author(s) and contributor(s) and not of MDPI and/or the editor(s). MDPI and/or the editor(s) disclaim responsibility for any injury to people or property resulting from any ideas, methods, instructions or products referred to in the content. |
© 2024 by the authors. Licensee MDPI, Basel, Switzerland. This article is an open access article distributed under the terms and conditions of the Creative Commons Attribution (CC BY) license (https://creativecommons.org/licenses/by/4.0/).

