Epithelial-Mesenchymal Transition with Malignant Transformation Leading Multiple Metastasis from Disseminated Peritoneal Leiomyomatosis
Abstract
1. Introduction
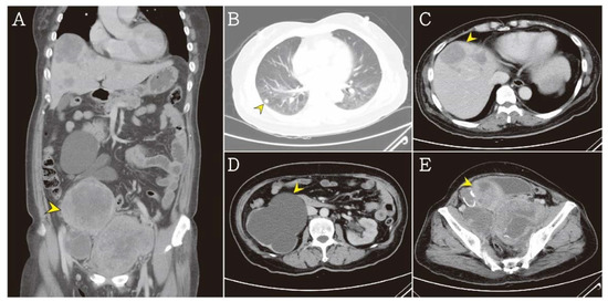
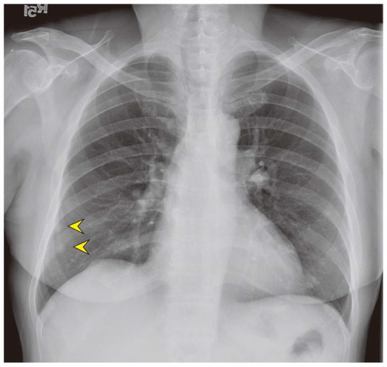
2. Case Presentation
3. Discussion
Author Contributions
Acknowledgments
Conflicts of Interest
References
- Wu, C.; Zhang, X.; Tao, X.; Ding, J.; Hua, K. Leiomyomatosis peritonealis disseminata: A case report and review of the literature. Mol. Clin. Oncol. 2016, 4, 957–958. [Google Scholar] [CrossRef] [PubMed]
- Halama, N.; Grauling-Halama, S.A.; Daboul, I. Familial clustering of Leiomyomatosis peritonealis disseminata: An unknown genetic syndrome? BMC Gastroenterol. 2005, 5, 33. [Google Scholar] [CrossRef] [PubMed]
- Akkersdijk, G.J.; Flu, P.K.; Giard, R.W.; van Lent, M.; Wallenhurg, H.C. Malignant leiomyomatosis peritonealis disseminata. Am. J. Obstet. Gynecol. 1990, 163, 591–593. [Google Scholar] [CrossRef]
- Rubin, S.C.; Wheeler, J.E.; Mikuta, J.J. Malignant leiomyomatosis peritonealis disseminata. Obstet. Gynecol. 1986, 68, 126–130. [Google Scholar] [PubMed]
- Raspagliesi, F.; Quattrone, P.; Grosso, G.; Cobellis, L.; Di Re, E. Malignant degeneration in leiomyomatosis peritonealis disseminata. Gynecol. Oncol. 1996, 61, 272–274. [Google Scholar] [CrossRef] [PubMed]
- Abulafia, O.; Angel, C.; Sherer, D.M.; Fultz, P.J.; Bonfiglio, T.A.; DuBeshter, B. Computed tomography of leiomyomatosis peritonealis disseminata with malignant transformation. Am. J. Obstet. Gynecol. 1993, 169, 52–54. [Google Scholar] [CrossRef]
- Fulcher, A.S.; Szucs, R.A. Leiomyomatosis peritonealis disseminata complicated by sarcomatous transformation and ovarian torsion: Presentation of two cases and review of the literature. Abdom. Imaging 1998, 23, 640–644. [Google Scholar] [CrossRef] [PubMed]
- Bekkers, R.L.M.; Willemsen, W.N.P.; Schijf, C.P.T.; Massuger, L.F.A.G.; Bulten, J.; Merkus, J.M.W.M. Leiomyomatosis peritonealis disseminata: Does malignant transformation occur? A literature review. Gynecol. Oncol. 1999, 75, 158–163. [Google Scholar] [CrossRef] [PubMed]
- Morizaki, A.; Hayashi, H.; Ishikawa, M. Leiomyomatosis peritonealis disseminata with malignant transformation. Int. J. Gynaecol. Obstet. 1999, 66, 43–45. [Google Scholar] [CrossRef]
- Sharma, P.; Chaturvedi, K.U.; Gupta, R.; Nigam, S. Leiomyomatosis peritonealis disseminata with malignant change in a post-menopausal woman. Gynecol. Oncol. 2004, 95, 742–745. [Google Scholar] [CrossRef] [PubMed]
- Tun, A.M.; Tun, N.M.; Zin Thein, K.; Naing, E.E.; Giashuddin, S.; Shulimovich, M. A Rare Concurrence of Leiomyomatosis Peritonealis Disseminata, Leiomyosarcoma of the Pelvis and Leiomyomatous Nodule of the Liver. Case Rep. Oncol. Med. 2016, 2016. [Google Scholar] [CrossRef] [PubMed]
- Syed, M.; Parida, B.; Mankeshwar, T.; Patil, A. Imaging Findings in a Rare Case of Leiomyomatosis Peritonealis Disseminata with Malignant Transformation. Pol. J. Radiol. 2017, 82, 426–430. [Google Scholar] [CrossRef] [PubMed]
- Al-Talib, A.; Tulandi, T. Pathophysiology and possible iatrogenic cause of leiomyomatosis peritonealis disseminata. Gynecol. Obstet. Investig. 2010, 69, 239–244. [Google Scholar] [CrossRef] [PubMed]
- Haberal, A.; Kayikcioglu, F.; Caglar, G.S.; Cavusoglu, D. Leiomyomatosis peritonealis disseminata presenting with intravascular extension and coexisting with endometriosis: A case report. J. Reprod. Med. 2007, 52, 422–424. [Google Scholar] [PubMed]
- Batt, R.E.; Smith, R.A.; Buck Louis, G.M.; Martin, D.C.; Chapron, C.; Koninckx, P.R.; Yeh, J. Mullerianosis. Histol. Histopathol. 2007, 22, 1161–1166. [Google Scholar] [CrossRef] [PubMed]
- Dauge, M.C.; Delmas, V.; Grossin, M.; Rubinstajn, B.; Moulonguet, A.; Bocquet, L. Disseminated peritoneal leiomyomatosis associated with endometriosis. Apropos of a case. Ann. Pathol. 1986, 6, 221–224. [Google Scholar] [PubMed]
- Gana, B.M.; Byrne, J.; McCullough, J.; Weaver, J.P. Leiomyomatosis peritonealis disseminata (LPD) with associated endometriosis: A case report. J. R. Coll. Surg. Edinb. 1994, 39, 258–260. [Google Scholar] [PubMed]
- Herrero, J.; Kamali, P.; Kirschbaum, M. Leiomyomatosis peritonealis disseminata associated with endometriosis: A case report and literature review. Eur. J. Obstet. Gynecol. Reprod. Biol. 1998, 76, 189–191. [Google Scholar] [CrossRef]
- Batt, R.E. Pathogenesis of a parauterine uterus-like mass: Developmentally misplaced mullerian tissue—Mullerianosis. Fertil. Steril. 2010, 94, e45. [Google Scholar] [CrossRef] [PubMed]
- Brabletz, T.; Kalluri, R.; Nieto, M.A.; Weinberg, R.A. EMT in cancer. Nat. Rev. Cancer 2018, 18, 128. [Google Scholar] [CrossRef] [PubMed]
- Sannino, G.; Marchetto, A.; Kirchner, T.; Grünewald, T.G. Epithelial-to-Mesenchymal and Mesenchymal-to-Epithelial Transition in Mesenchymal Tumors: A Paradox in Sarcomas? Cancer Res. 2017, 77, 4556–4561. [Google Scholar] [CrossRef] [PubMed]
- Yang, J.; Eddy, J.A.; Pan, Y.; Hategan, A.; Tabus, I.; Wang, Y.; Cogdell, D.; Price, N.D.; Pollock, R.E.; Lazar, A.J.F.; et al. Integrated proteomics and genomics analysis reveals a novel mesenchymal to epithelial reverting transition in leiomyosarcoma through regulation of slug. Mol. Cell Prot. 2010, 9, 2405–2413. [Google Scholar] [CrossRef] [PubMed]
- Żyła, M.M.; Dzieniecka, M.; Kostrzewa, M.; Stetkiewicz, T.; Wilamowska, A.; Księżakowska-Łakoma, K.; Wilczyński, J.R. Leiomyomatosis peritonealis disseminata of unusual course with malignant transformation: Case report. Acta Obstet. Gynecol. Scand. 2015, 94, 220–223. [Google Scholar] [CrossRef] [PubMed]
- Lamarca, M.; Rubio, P.; Andrés, R.; Rodrigo, C. Leiomyomatosis peritonealis disseminata with malignant degeneration. A case report. Eur. J. Gynaecol. Oncol. 2011, 32, 702–704. [Google Scholar] [PubMed]




| Study | Age | Obstetrical History | Clinical Presentation | OC Use | Location | MT Interval | Malignancy | Surgery | Adjuvant Therapy | Outcome |
|---|---|---|---|---|---|---|---|---|---|---|
| Rubin et al. [4] | 27 | G1 | Found at cesarean section | ND | 1. Pelvis 2. Bone metastases | 6 months | Small spindle cell sarcoma | 1. TAH and RSO 2. Partial omentectomy 3. Resection of peritoneal implants | Radiotherapy Chemotherapy: 1. Doxorubicin 2. Cyclophosphamide 3. Cisplatin | Died 23 months |
| Akkersdijk et al. [3] | 25 | G0 | Acute right lower abdominal pain. | None | 1. Omentum 2. Colon 3. Small intestine | 1 year | LMS | 1. TAH and RSO 2. Partial omentectomy 3. Resection of peritoneal implants | Hormonal therapy: 1. GnRH agonists | Died 22 months |
| Abulafia et al. [6] | 20 | G0 | Left lower abdominal pain for 2 months | None | 1. Omentum 2. Pelvis | 1 year | LMS | 1. Cytoreductive surgery 2. Omentectomy | Hormonal therapy: 1. Leuprolide acetate Chemotherapy: 1. Doxorubicine 2. Ifosfamide 3. Etoposide | Died 24 months |
| Raspagliesi et al. [5] | 26 | G0 | ND | None | 1. Left adnexa | 4 months | LMS | 1. Adnexectomy | Chemotherapy: 1. Infliximab 2. Dacarbazine 3. Epirubicin | No recurrences after 3 years |
| Fulcher AS et al. [7] | 48 | G2 | Dyspareunia and severe pelvic pain | None | 1. Pelvis 2. Subdiaphragmatic mass | 3 months | LMS | 1. TAH and BSO 2. Omentectomy 3. Resection of peritoneal nodules 4. Biopsy of subdiaphragmatic mass | Chemotherapy: 1. Epirubicin 2. Ifosfamide 3. Dacarbazine | Died |
| Morizaki et al. [9] | 33 | G0 | Lower abdominal pain | None | 1. Peritoneum 2. Mesentery 3. Descending colon 4. Pelvis | 4 months | 1. LMS 2. Fibrosarcoma | 1. Laparotomy 2. Resection of peritoneal nodules | Chemotherapy: 1. Cisplatin 2. Cyclophosphamide | Died 11 months |
| Sharma et al. [10] | 55 | ND | Abdominal swelling for 1 year | None | 1. Omentum 2. Mesentery | 1 year | LMS | 1. Laparotomy 2. Resection of peritoneal nodules | No | ND |
| Lamarca et al. [24] | 37 | G0 | Increased abdominal perimeter | None | 1. Peritoneal cavity | 0 month | LMS | 1. TAH and BSO 2. Tumor mass resection | Hormonal therapy: 1. Triptorelin Chemotherapy: 1. Adriamicine 2. Gemcitabine 3. Isophosphamide 4. Trabectedin 5. Sorafenib | Died 24 months |
| Zyla MM et al. [23] | 26 | G0 | Abdominal pain and vaginal bleeding | OCP | 1. Omentum 2. Peritoneal cavity 3. Pelvis 4. Retroperitoneal space | 1 year | Endometrial sarcoma | 1. TAH and BSO 2. Omentectomy 3. Appendectomy 4. Pelvic lymphadenectomy 5. Tumoral mass resection | Hormonal therapy: 1. GnRH agonists | No recurrences after 1 year |
| Tun AM et al. [11] | 56 | ND | Abdominal distension | ND | 1. Pelvis 2. Peritoneum 3. Omentum 4. Lung and liver metastases | ND | LMS | 1. Exploratory laparotomy 2. Debulking of the tumors | Chemotherapy: 1. Gemcitabine 2. Docetaxel | Died 5 months |
| Shahin NA et al. [12] | 48 | ND | Menorrhagia for one year | None | 1. Right lumbar 2. Pelvis 3. Left upper abdomen 4. Douglas pouch | 6 months | LMS | 1. Laparotomy 2. Resection of the mass | Chemotherapy | Died 15 months |
| Syed M et al. [12] | 40 | ND | Abdominal pain for 7 months | OCP | 1. Peritoneum 2. Bilateral adnexa 3. Recto-uterine pouch 4. Pre-vesical space 5. Left rectus 6. Abdominis muscle | 3 years | LMS | 1. TAH and BSO 2. Debulking of the tumors | ND | ND |
© 2018 by the authors. Licensee MDPI, Basel, Switzerland. This article is an open access article distributed under the terms and conditions of the Creative Commons Attribution (CC BY) license (http://creativecommons.org/licenses/by/4.0/).
Share and Cite
Chiu, H.-C.; Wu, M.-Y.; Li, C.-H.; Huang, S.-C.; Yiang, G.-T.; Yen, H.-S.; Liu, W.-L.; Li, C.-J.; Kao, W.-Y. Epithelial-Mesenchymal Transition with Malignant Transformation Leading Multiple Metastasis from Disseminated Peritoneal Leiomyomatosis. J. Clin. Med. 2018, 7, 207. https://doi.org/10.3390/jcm7080207
Chiu H-C, Wu M-Y, Li C-H, Huang S-C, Yiang G-T, Yen H-S, Liu W-L, Li C-J, Kao W-Y. Epithelial-Mesenchymal Transition with Malignant Transformation Leading Multiple Metastasis from Disseminated Peritoneal Leiomyomatosis. Journal of Clinical Medicine. 2018; 7(8):207. https://doi.org/10.3390/jcm7080207
Chicago/Turabian StyleChiu, Hsiao-Chen, Meng-Yu Wu, Chao-Hsu Li, Su-Cheng Huang, Giou-Teng Yiang, Hsuan-Shang Yen, Wei-Lin Liu, Chia-Jung Li, and Woei-Yau Kao. 2018. "Epithelial-Mesenchymal Transition with Malignant Transformation Leading Multiple Metastasis from Disseminated Peritoneal Leiomyomatosis" Journal of Clinical Medicine 7, no. 8: 207. https://doi.org/10.3390/jcm7080207
APA StyleChiu, H.-C., Wu, M.-Y., Li, C.-H., Huang, S.-C., Yiang, G.-T., Yen, H.-S., Liu, W.-L., Li, C.-J., & Kao, W.-Y. (2018). Epithelial-Mesenchymal Transition with Malignant Transformation Leading Multiple Metastasis from Disseminated Peritoneal Leiomyomatosis. Journal of Clinical Medicine, 7(8), 207. https://doi.org/10.3390/jcm7080207

