Diagnostic Challenges of OHVIRA Syndrome—A Case Report
Abstract
1. Introduction
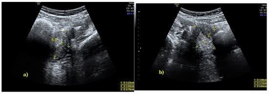
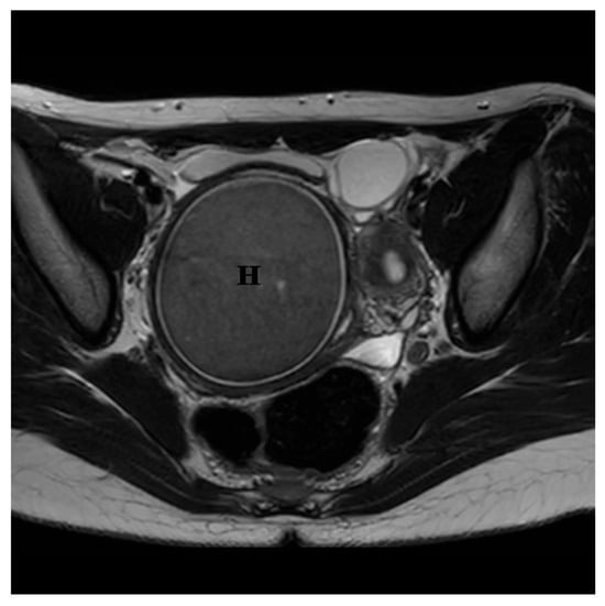
2. Case Presentation
3. Discussion
4. Conclusions
Author Contributions
Funding
Institutional Review Board Statement
Informed Consent Statement
Data Availability Statement
Acknowledgments
Conflicts of Interest
References
- Dietrich, J.E.; Millar, D.M.; Quint, E.H. Obstructive reproductive tract anomalies. J. Pediatr. Adolesc. Gynecol. 2014, 27, 396–402. [Google Scholar] [CrossRef]
- Teo, X.L.; Narasimhan, K.L.; Chua, J.H. Müllerian agenesis in the presence of anorectal malformations in female newborns: A diagnostic challenge. Singap. Med. J. 2015, 56, e82–e84. [Google Scholar] [CrossRef]
- Vaidya, P.; Agarwal, P.; Vaidya, A. Herlyn-Werner-Wunderlich Syndrome: A Case Report. JNMA J. Nepal. Med. Assoc. 2023, 61, 283–286. [Google Scholar] [CrossRef]
- Drosdzol-Cop, A.; Skowronek, K.; Wilk, K.; Wilk, K.; Stojko, R. OHVIRA syndrome in 14-year-old girl. Ginekol. Pol. 2021, 92, 468–469. [Google Scholar] [CrossRef]
- Bonetti, E.; Anderson, G.; Duranti, S.; Ferrari, F.; Odicino, F.; Testa, A.; Fanfani, F.; Scambia, G.; Catena, U. Clinical features and surgical options of obstructed hemivagina and ipsilateral renal agenesis (OHVIRA) syndrome: A systematic review and a meta-analysis of prevalence. Int. J. Gynaecol. Obstet. 2025, 171, 152–164. [Google Scholar] [CrossRef] [PubMed]
- Fontana, V.; Aboud, G.S.; Sabbaj, L. Herlyn-Werner-Wünderlich syndrome: Two case report. Arch. Argent. Pediatr. 2024, 122, e202310138. [Google Scholar] [CrossRef] [PubMed]
- Ghosh, R.P.; Raj, G.; Gupta, K.; Srivastava, S.; Bisht, S. A rare twist in ohvira syndrome: When menstrual blood takes an unusual route: A case report. Radiol. Case Rep. 2025, 20, 5914–5918. [Google Scholar] [CrossRef]
- Kapczuk, K.; Friebe, Z.; Iwaniec, K.; Kędzia, W. Obstructive Müllerian Anomalies in Menstruating Adolescent Girls: A Report of 22 Cases. J. Pediatr. Adolesc. Gynecol. 2018, 31, 252–257. [Google Scholar] [CrossRef] [PubMed]
- Samanta, A.; Rahman, S.M.; Vasudevan, A.; Banerjee, S. A Novel Combination of OHVIRA Syndrome and Likely Causal Variant in UMOD Gene. CEN Case Rep. 2023, 12, 249–253. [Google Scholar] [CrossRef] [PubMed]
- Elgohary, M.A.; Naik, R.; Elkafafi, M.; Hamed, H.; Ali, Y. Obstructed Hemivagina and Ipsilateral Renal Anomaly (OHVIRA) Syndrome: A Case Report. J. Pediatr. Surg. Case Rep. 2023, 95, 102662. [Google Scholar] [CrossRef]
- Albulescu, D.M.; Ceauşescu, A.E.; Sas, L.M.; Comănescu, M.C.; Constantin, C.; Tudorache, Ş. The Herlyn-Werner-Wunderlich triad (OHVIRA syndrome) with good pregnancy outcome—Two cases and literature review. Rom. J. Morphol. Embryol. 2018, 59, 1253–1262. [Google Scholar]
- Ilyas, M.; Khan, I.; Saldanha, C.L. Herlyn-Werner-Wunderlich syndrome—A rare genitourinary anomaly in females: A series of four cases. Pol. J. Radiol. 2018, 83, e306–e310. [Google Scholar] [CrossRef]
- Afrashtehfar, C.D.M.; Piña-García, A.; Afrashtehfar, K.I. Müllerian anomalies. Obstructed hemivagina and ipsilateral renal anomaly syndrome (OHVIRA). Cir. Cir. 2014, 82, 460–471. [Google Scholar]
- Smith, N.A.; Laufer, M.R. Obstructed Hemivagina and Ipsilateral Renal Anomaly (OHVIRA) Syndrome: Management and Follow-Up. Fertil. Steril. 2007, 87, 918–922. [Google Scholar] [CrossRef] [PubMed]
- Melo, G.P.S.; Jandre, T.F.M.; Vilardo, A.L.R.H.; Antunes, R.d.A.; Parente, D.B.; Coelho-Oliveira, A. Herlyn-Werner-Wunderlich Syndrome: A Fertility-Sparing Approach to a Rare Mullerian Anomaly. JBRA Assist. Reprod. 2023, 27, 758–762. [Google Scholar] [CrossRef] [PubMed]
- Li, L.; Adeyemi-Fowode, O.; Bercaw-Pratt, J.L.; Hakim, J.; Dietrich, J.E. Surgical Management of OHVIRA and Outcomes. J. Pediatr. Adolesc. Gynecol. 2024, 37, 198–204. [Google Scholar] [CrossRef] [PubMed]
- Candiani, M.; Vercellini, P.; Ferrero-Caroggio, C.; Fedele, F.; Salvatore, S.; Fedele, L. Conservative Treatment of Herlyn-Werner-Wunderlich Syndrome: Analysis and Long-Term Follow-up of 51 Cases. Eur. J. Obstet. Gynecol. Reprod. Biol. 2022, 275, 84–90. [Google Scholar] [CrossRef]
- Sharma, R.; Mishra, P.; Seth, S.; Agarwal, N. OHVIRA Syndrome—Diagnostic Dilemmas and Review of Literature. J. South Asian Fed. Obstet. Gynaecol. 2020, 12, 421–426. [Google Scholar] [CrossRef]
- Siu Uribe, A.; Vargas Cruz, V.; Murcia Pascual, F.J.; Escassi Gil, A.; Garrido Pérez, J.I.; Antón Gamero, M.; Paredes Esteban, R.M. Clinical characteristics and complications in patients with OHVIRA (obstructed hemivagina and ipsilateral renal anomaly) syndrome. Our experience. Cir. Pediatr. 2019, 32, 11–16. [Google Scholar]
- Tan, Y.G.; Laksmi, N.K.; Yap, T.-L.; Sadhana, N.; Ong, C.C.P. Preventing the O in OHVIRA (Obstructed Hemivagina Ipsilateral Renal Agenesis): Early Diagnosis and Management of Asymptomatic Herlyn-Werner-Wunderlich Syndrome. J. Pediatr. Surg. 2020, 55, 1377–1380. [Google Scholar] [CrossRef]
- Capito, C.; Echaieb, A.; Lortat-Jacob, S.; Thibaud, E.; Sarnacki, S.; Nihoul-Fékété, C. Pitfalls in the Diagnosis and Management of Obstructive Uterovaginal Duplication: A Series of 32 Cases. Pediatrics 2008, 122, e891–e897. [Google Scholar] [CrossRef]
- Paudel, S.; Katwal, S.; Kayastha, P.; Shrestha, S.; Regmi, P.R. Obstructed Hemivagina and Ipsilateral Renal Agenesis: Magnetic Resonance Imaging Findings in Young Nepali Females—A Report of Four Cases. Ann. Med. Surg. 2023, 85, 3149–3154. [Google Scholar] [CrossRef]
- Ali, S.B.; Salama, A.M.; Mahmoud, Z.A. Role of Ultrasound and Magnetic Resonance Imaging in Assessment of Müllerian Duct Anomalies. QJM An. Int. J. Med. 2020, 113, hcaa068.005a. [Google Scholar] [CrossRef]
- Gungor Ugurlucan, F.; Dural, O.; Yasa, C.; Kirpinar, G.; Akhan, S.E. Diagnosis, Management, and Outcome of Obstructed Hemivagina and Ipsilateral Renal Agenesis (OHVIRA Syndrome): Is There a Correlation between MRI Findings and Outcome? Clin. Imaging 2020, 59, 172–178. [Google Scholar] [CrossRef] [PubMed]
- Passos, I.d.M.P.E.; Britto, R.L. Diagnosis and Treatment of Müllerian Malformations. Taiwan. J. Obstet. Gynecol. 2020, 59, 183–188. [Google Scholar] [CrossRef] [PubMed]
- Friedman, M.A.; Aguilar, L.; Heyward, Q.; Wheeler, C.; Caldamone, A. Screening for Mullerian anomalies in patients with unilateral renal agenesis: Leveraging early detection to prevent complications. J. Pediatr. Urol. 2018, 14, 144–149. [Google Scholar] [CrossRef]
- Klimanek, W.; Drosdzol-Cop, A. Congenital malformations of the female genital organs. Ginekol Pol. 2024, 95, 473–478. [Google Scholar] [CrossRef]
- Moufawad, G.; Ayed, A.; Sleiman, Z. Reconsidering the Best Minimally Invasive Approach for Patients with Herlyn-Werner-Wunderlich Syndrome: Should We Push the Frontiers for a Better Outcome? Front. Surg. 2023, 10, 1158753. [Google Scholar] [CrossRef]
- Kudela, G.; Wiernik, A.; Drosdzol-Cop, A.; Machnikowska-Sokołowska, M.; Gawlik, A.; Hyla-Klekot, L.; Gruszczyńska, K.; Koszutski, T. Multiple Variants of Obstructed Hemivagina and Ipsilateral Renal Anomaly (OHVIRA) Syndrome—One Clinical Center Case Series and the Systematic Review of 734 Cases. J. Pediatr. Urol. 2021, 17, 653.e1–653.e9. [Google Scholar] [CrossRef] [PubMed]
- Heinonen, P.K. Pregnancies in women with uterine malformation, treated obstruction of hemivagina and ipsilateral renal agenesis. Arch. Gynecol. Obstet. 2013, 287, 975–978. [Google Scholar] [CrossRef]
- Cappello, S.; Piccolo, E.; Cucinelli, F.; Casadei, L.; Piccione, E.; Salerno, M.G. Successful preterm pregnancy in a rare variation of Herlyn-Werner-Wunderlich syndrome: A case report. BMC Pregnancy Childbirth 2018, 18, 498. [Google Scholar] [CrossRef] [PubMed]
- Chan, Y.Y.; Jayaprakasan, K.; Tan, A.; Thornton, J.G.; Coomarasamy, A.; Raine-Fenning, N.J. Reproductive outcomes in women with congenital uterine anomalies: A systematic review. Ultrasound Obstet. Gynecol. 2011, 38, 371–382. [Google Scholar] [CrossRef] [PubMed]
- Kapczuk, K.; Zajączkowska, W.; Madziar, K.; Kędzia, W. Endometriosis in Adolescents with Obstructive Anomalies of the Reproductive Tract. J. Clin. Med. 2023, 12, 2007. [Google Scholar] [CrossRef] [PubMed]





Disclaimer/Publisher’s Note: The statements, opinions and data contained in all publications are solely those of the individual author(s) and contributor(s) and not of MDPI and/or the editor(s). MDPI and/or the editor(s) disclaim responsibility for any injury to people or property resulting from any ideas, methods, instructions or products referred to in the content. |
© 2025 by the authors. Licensee MDPI, Basel, Switzerland. This article is an open access article distributed under the terms and conditions of the Creative Commons Attribution (CC BY) license.
Share and Cite
Tomecka, P.; Jagodziński, A.; Łuczak, J.; Waszczuk, Ł.; Murawski, M. Diagnostic Challenges of OHVIRA Syndrome—A Case Report. J. Clin. Med. 2026, 15, 190. https://doi.org/10.3390/jcm15010190
Tomecka P, Jagodziński A, Łuczak J, Waszczuk Ł, Murawski M. Diagnostic Challenges of OHVIRA Syndrome—A Case Report. Journal of Clinical Medicine. 2026; 15(1):190. https://doi.org/10.3390/jcm15010190
Chicago/Turabian StyleTomecka, Paulina, Adam Jagodziński, Justyna Łuczak, Łukasz Waszczuk, and Marek Murawski. 2026. "Diagnostic Challenges of OHVIRA Syndrome—A Case Report" Journal of Clinical Medicine 15, no. 1: 190. https://doi.org/10.3390/jcm15010190
APA StyleTomecka, P., Jagodziński, A., Łuczak, J., Waszczuk, Ł., & Murawski, M. (2026). Diagnostic Challenges of OHVIRA Syndrome—A Case Report. Journal of Clinical Medicine, 15(1), 190. https://doi.org/10.3390/jcm15010190

