Vertebral Ankylosis Is Associated with Reduced Cervical Extensor Muscle Bulk and Increased Fatty Degeneration
Abstract
1. Introduction
2. Methods
2.1. Study Design and Patient Selection
2.2. Propensity Score Matching
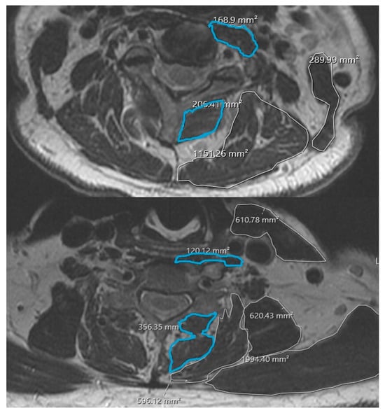
2.3. MRI-Based Cervical Paraspinal Muscle Health Measurements
2.4. Statistical Analysis
3. Results
3.1. Patient Cohort and Baseline Characteristics
3.2. Cervical Paraspinal Muscle Cross-Sectional Area
3.3. Cervical Paraspinal Muscle Quality (Goutallier Grade)
4. Discussion
5. Conclusions
Author Contributions
Funding
Institutional Review Board Statement
Informed Consent Statement
Data Availability Statement
Conflicts of Interest
References
- Lazennec, J.-Y.; D’aStorg, H.; Rousseau, M.-A. Cervical spine surgery in ankylosing spondylitis: Review and current concept. Orthop. Traumatol. Surg. Res. 2015, 101, 507–513. [Google Scholar] [CrossRef]
- Nakao, Y.; Sakuraba, K.; Harimaya, K.; Terada, K.; Kobara, N.; Kawaguchi, K.-I.; Hayashida, M.; Iida, K.; Nakashima, Y.; Fukushi, J.-I. Clinical features and outcomes of spine surgery in patients with ankylosing spondylitis. Mod. Rheumatol. 2023, 34, 208–213. [Google Scholar] [CrossRef]
- Dąbrowski, M.; Kubaszewski, Ł. Diffuse idiopathic skeletal hyperostosis of cervical spine with dysphagia-molecular and clinical aspects. Int. J. Mol. Sci. 2021, 22, 4255. [Google Scholar] [CrossRef] [PubMed]
- Harlianto, N.I.; Kuperus, J.S.; Hoesein, F.A.M.; de Jong, P.A.; de Ru, J.A.; Öner, F.C.; Verlaan, J.-J. Diffuse idiopathic skeletal hyperostosis of the cervical spine causing dysphagia and airway obstruction: An updated systematic review. Spine J. 2022, 22, 1490–1503. [Google Scholar] [CrossRef]
- Fallon, J.; Sgaglione, J.; Rohde, M.; Song, J.; Katz, A.D.; Ngan, A.; Trent, S.; Jung, B.; Strigenz, A.; Seitz, M.; et al. Association between modifiable and nonmodifiable risk factors with paralumbar muscle health in patients with lower back pain. N. Am. Spine Soc. J. 2024, 20, 100570. [Google Scholar] [CrossRef]
- Song, J.; Shahsavarani, S.; Vatsia, S.; Katz, A.D.; Ngan, A.; Fallon, J.; Strigenz, A.; Seitz, M.; Silber, J.; Essig, D.; et al. Association between history of lumbar spine surgery and paralumbar muscle health: A propensity score-matched analysis. Spine J. 2023, 23, 1659–1666. [Google Scholar] [CrossRef] [PubMed]
- Pinter, Z.W.; Wagner, S.; Fredericks, D.J.; Xiong, A.B.; Helgeson, M.; Currier, B.; Freedman, B.A.; Kepler, C.; Elder, B.D.; Bydon, M.; et al. Cervical paraspinal muscle fatty degeneration is not associated with muscle cross-sectional area: Qualitative assessment is preferable for cervical sarcopenia. Clin. Orthop. Relat. Res. 2021, 479, 726–732. [Google Scholar] [CrossRef]
- Pinter, Z.W.; Reed, R.; Townsley, S.E.; Mikula, A.L.; Lakomkin, N.; Kazarian, E.; Michalopoulos, G.D.; Freedman, B.A.; Currier, B.L.; Elder, B.D.; et al. Paraspinal sarcopenia is associated with worse patient-reported outcomes following laminoplasty for degenerative cervical myelopathy. Spine 2023, 48, 772–781. [Google Scholar] [CrossRef]
- Gong, Y.; Long, X.; Liu, H.; He, J.; Gan, Y.; Jiang, Y.; Zhuo, H.; Zhou, Z.; Tang, K.; Liang, D.; et al. Impact of sarcopenia on postoperative clinical outcomes in patients with cervical spondylotic myelopathy undergoing anterior cervical discectomy and fusion. Eur. J. Med. Res. 2025, 30, 1118. [Google Scholar] [CrossRef]
- Zhao, Y.; Tian, Y.; Sun, D.; Zhang, J.; Cai, S. The impact of cervical multifidus sarcopenia on outcomes after laminoplasty for cervical ossification of the posterior longitudinal ligament. J. Bone Joint Surg. Am. 2025; online ahead of print. [Google Scholar] [CrossRef] [PubMed]
- Tayal, A.; Wahi, S.; Afsar, A.P.; Pahwa, B.; Garg, K. Sarcopenia as a predictor of poor functional outcome of cervical spine surgery: A systematic review and meta-analysis. Neurosurg. Rev. 2025, 48, 256. [Google Scholar] [CrossRef] [PubMed]
- Le, H.V.; Wick, J.B.; Van, B.W.; Klineberg, E.O. Diffuse idiopathic skeletal hyperostosis of the spine: Pathophysiology, diagnosis, and management. J. Am. Acad. Orthop. Surg. 2021, 29, 1044–1051. [Google Scholar] [CrossRef]
- Ohshima, K.; Nakashima, H.; Segi, N.; Ito, S.; Ouchida, J.; Takegami, Y.; Ishizuka, S.; Hasegawa, Y.; Imagama, S. The prevalence and characteristics of diffuse idiopathic skeletal hyperostosis in the community-living middle-aged and elderly population: The Yakumo study. J. Orthop. Sci. 2024, 29, 1346–1352. [Google Scholar] [CrossRef] [PubMed]
- Ono, K.; Shimizu, T.; Sakamoto, M.; Kubota, M.; Yakami, M.; Sono, T.; Nakamoto, R.; Murata, K.; Matsuda, S.; Otsuki, B. Assessment of muscle quality and quantity in individuals with diffuse idiopathic skeletal hyperostosis. Mod. Rheumatol. 2025, roaf084. [Google Scholar] [CrossRef]
- Hu, J.; Wang, Y.; Yu, Z.; Zhang, Y.; Ji, X.; Zeng, L.; Zhang, J.; Yang, S.; Li, K.; Zhu, J.; et al. Muscle health in ankylosing spondylitis: Effects of disease duration, inflammation, education level, and spinal mobility on skeletal muscle atrophy. Ther. Adv. Musculoskelet. Dis. 2025, 17, 1759720X251335591. [Google Scholar] [CrossRef]
- Wang, M.; Liu, J.; Meng, L.; Fu, W.; Gao, J.; Ma, R.; Luo, Y.; Peng, Y.; Wu, L.; Li, Z. Mapping of lumbar multifidus stiffness Quantification in ankylosing spondylitis with shear-wave elastography. BMC Musculoskelet. Disord. 2022, 23, 917. [Google Scholar] [CrossRef]
- Jung, B.; Mathew, J.; Sheikh, A.B.; Elysee, J.; Duvvuri, P.; Fallon, J.; Abbas, A.; Katz, A.; Song, J.; Strigenz, A.; et al. A comprehensive analysis between disk geometry and posterior muscle characteristics among degenerative spine patients: An internal retrospective review. Clin. Spine Surg. 2025, 10, 1097. [Google Scholar] [CrossRef]
- Xie, Y.M.; Zhang, Q.M.; Xin, D.M.; Wang, Y.M. Effects of a 12-week Baduanjin regimen on biomechanical properties of axial muscle fascia in ankylosing spondylitis. Medicine 2024, 103, e40522. [Google Scholar] [CrossRef]
- Raphael, J.; D’Erasmo, G.; Nieves, J.; Iyer, S.; Breighner, R.; Dash, A.; Billings, E.; Song, J.; Kim, H.J.; Qureshi, S.; et al. Psoas muscle cross sectional area relates to bone density and microarchitecture in candidates for spine fusion surgery. Bone 2024, 189, 117259. [Google Scholar] [CrossRef] [PubMed]
- Song, J.; Araghi, K.; Dupont, M.M.; Shahi, P.; Bovonratwet, P.; Shinn, D.; Dalal, S.S.; Melissaridou, D.; Virk, S.S.; Iyer, S.; et al. Association between muscle health and patient-reported outcomes after lumbar microdiscectomy: Early results. Spine J. 2022, 22, 1677–1686. [Google Scholar] [CrossRef]
- Fallon, J.; Katz, A.D.; Vatsia, S.; DeGouveia, W.; Song, J.; Strigenz, A.; Seitz, M.; Silber, J.; Essig, D.; Qureshi, S.; et al. Duration of back pain symptoms and its relationship to paralumbar muscle volume. World Neurosurg. 2023, 172, e406–e411. [Google Scholar] [CrossRef] [PubMed]
- Gunay, S.M.; Keser, I.; Bicer, Z.T. The effects of balance and postural stability exercises on spa based rehabilitation programme in patients with ankylosing spondylitis. J. Back Musculoskelet. Rehabil. 2018, 31, 337–346. [Google Scholar] [CrossRef]
- Sharan, D.; Rajkumar, J.S. Physiotherapy for ankylosing Spondylitis: Systematic review and a proposed rehabilitation protocol. Curr. Rheumatol. Rev. 2017, 13, 121–125. [Google Scholar] [CrossRef] [PubMed]
- O’dwyer, T.; O’Shea, F.; Wilson, F. Decreased health-related physical fitness in adults with ankylosing spondylitis: A cross-sectional controlled study. Physiotherapy 2016, 102, 202–209. [Google Scholar] [CrossRef] [PubMed]

| Stage | Muscle Description |
|---|---|
| 0 | No fatty streak in muscle |
| 1 | Fatty streak present in muscle |
| 2 | Less fat than muscle (fat < muscle) |
| 3 | Equal amounts of fat and muscle (fat = muscle) |
| 4 | More fat than muscle (fat > muscle) |
| Total Cohort | Ankylosis | Control | p-Value | |
|---|---|---|---|---|
| Total N | 34 | 17 | 17 | |
| Age | 74.2 ± 14.7 | 75.5 ± 15.8 | 73.0 ± 14.1 | 0.679 |
| Female Sex | 12 (35.3%) | 6 (35.3%) | 6 (35.3%) | 1.000 |
| Black Race | 7 (20.6%) | 3 (17.6%) | 4 (23.5%) | 0.658 |
| Hispanic Ethnicity | 6 (17.6%) | 4 (23.5%) | 2 (11.8%) | 0.645 |
| BMI | 26.4 ± 5.9 | 27.4 ± 6.7 | 25.5 ± 5.0 | 0.431 |
| Age-adjusted CCI | 3.3 ± 1.2 | 3.4 ± 1.1 | 3.3 ± 1.3 | 0.873 |
| ASA ≥ 3 | 4 (11.8%) | 2 (11.8%) | 2 (11.8%) | 1.000 |
| Muscle Health Parameter | Ankylosis (N = 17) | Control (N = 17) | p-Value |
|---|---|---|---|
| C2-C3 | |||
| Deep Extensor CSA | 351.3 ± 173.2 | 590.2 ± 465.3 | 0.048 |
| Deep Flexor CSA | 148.4 ± 102.2 | 181.8 ± 67.0 | 0.167 |
| Goutallier Grade | 2.54 ± 0.88 | 2.08 ± 1.19 | 0.135 |
| C3-C4 | |||
| Deep Extensor CSA | 333.8 ± 151.0 | 527.6 ± 417.4 | 0.070 |
| Deep Flexor CSA | 132.2 ± 54.6 | 172.4 ± 92.3 | 0.183 |
| Goutallier Grade | 3.00 ± 0.71 | 2.43 ± 0.92 | 0.107 |
| C4-C5 | |||
| Deep Extensor CSA | 327.6 ± 117.1 | 572.4 ± 371.9 | 0.027 |
| Deep Flexor CSA | 137.4 ± 49.9 | 178.0 ± 73.8 | 0.132 |
| Goutallier Grade | 2.54 ± 0.88 | 2.38 ± 0.73 | 0.327 |
| C5-C6 | |||
| Deep Extensor CSA | 360.6 ± 144.7 | 554.0 ± 349.0 | 0.039 |
| Deep Flexor CSA | 123.9 ± 42.9 | 170.6 ± 136.7 | 0.126 |
| Goutallier Grade | 2.92 ± 0.86 | 1.85 ± 0.69 | <0.001 |
| C6-C7 | |||
| Deep Extensor CSA | 441.1 ± 257.0 | 644.7 ± 391.8 | 0.033 |
| Deep Flexor CSA | 125.4 ± 41.8 | 189.5 ± 122.9 | 0.094 |
| Goutallier Grade | 2.69 ± 0.95 | 2.20 ± 0.78 | 0.113 |
| C7-T1 | |||
| Deep Extensor CSA | 453.2 ± 220.5 | 612.5 ± 304.2 | 0.063 |
| Deep Flexor CSA | 129.5 ± 54.2 | 184.1 ± 104.6 | 0.108 |
| Goutallier Grade | 3.23 ± 0.60 | 2.12 ± 0.86 | <0.001 |
Disclaimer/Publisher’s Note: The statements, opinions and data contained in all publications are solely those of the individual author(s) and contributor(s) and not of MDPI and/or the editor(s). MDPI and/or the editor(s) disclaim responsibility for any injury to people or property resulting from any ideas, methods, instructions or products referred to in the content. |
© 2025 by the authors. Licensee MDPI, Basel, Switzerland. This article is an open access article distributed under the terms and conditions of the Creative Commons Attribution (CC BY) license.
Share and Cite
Song, J.; Katz, A.D.; Ngan, A.; Hecht, A.C.; Qureshi, S.A.; Virk, S. Vertebral Ankylosis Is Associated with Reduced Cervical Extensor Muscle Bulk and Increased Fatty Degeneration. J. Clin. Med. 2026, 15, 119. https://doi.org/10.3390/jcm15010119
Song J, Katz AD, Ngan A, Hecht AC, Qureshi SA, Virk S. Vertebral Ankylosis Is Associated with Reduced Cervical Extensor Muscle Bulk and Increased Fatty Degeneration. Journal of Clinical Medicine. 2026; 15(1):119. https://doi.org/10.3390/jcm15010119
Chicago/Turabian StyleSong, Junho, Austen D. Katz, Alex Ngan, Andrew C. Hecht, Sheeraz A. Qureshi, and Sohrab Virk. 2026. "Vertebral Ankylosis Is Associated with Reduced Cervical Extensor Muscle Bulk and Increased Fatty Degeneration" Journal of Clinical Medicine 15, no. 1: 119. https://doi.org/10.3390/jcm15010119
APA StyleSong, J., Katz, A. D., Ngan, A., Hecht, A. C., Qureshi, S. A., & Virk, S. (2026). Vertebral Ankylosis Is Associated with Reduced Cervical Extensor Muscle Bulk and Increased Fatty Degeneration. Journal of Clinical Medicine, 15(1), 119. https://doi.org/10.3390/jcm15010119

