Short-Term Administration of Parathyroid Hormone Improves Wound Healing Around Implants in an Osteoporotic Rat Model
Abstract
1. Introduction
2. Materials and Methods
2.1. Animals, Implant Designs, Surgical Procedures, and Intermittent PTH Administration
2.2. Assessment of Long Bone
2.3. Bone Quantity Assessment Around the Implant
2.4. Assessment of Bone Quality Around the Implant
2.5. Soft Tissue Healing Assessment Around the Implant
2.6. Statistical Analysis
3. Results
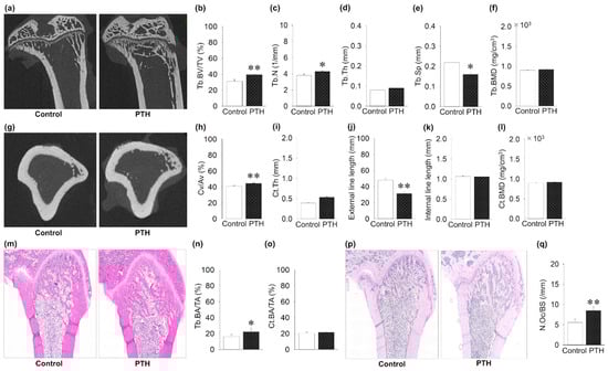
3.1. The Effect of PTH on Long Bone
3.2. The Effect of PTH on Bone Quantity Around the Implant
3.3. PTH Administration’s Effect on Bone Quality Around the Implant
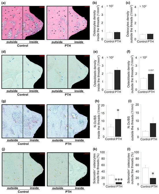
3.4. PTH Administration’s Effect on Soft Tissue Healing Around the Implant
4. Discussion
5. Conclusions
Author Contributions
Funding
Institutional Review Board Statement
Informed Consent Statement
Data Availability Statement
Acknowledgments
Conflicts of Interest
References
- Zhang, X.; Wang, Z.; Zhang, D.; Ye, D.; Zhou, Y.; Qin, J.; Zhang, Y. The prevalence and treatment rate trends of osteoporosis in postmenopausal women. PLoS ONE 2023, 18, e0290289. [Google Scholar] [CrossRef]
- United Nations Department of Economic and Social Affairs. World Population Prospects 2022: Summary of Results; UNDESA: New York, NY, USA, 2022. [Google Scholar]
- NIH Consensus Development Panel on Osteoporosis Prevention Da, and Therapy. Osteoporosis prevention, diagnosis, and therapy. JAMA 2001, 285, 785–795. [Google Scholar] [CrossRef] [PubMed]
- Kuroshima, S.; Yasutake, M.; Tsuiki, K.; Nakano, T.; Sawase, T. Structural and Qualitative Bone Remodeling Around Repetitive Loaded Implants in Rabbits. Clin. Implant Dent. Relat. Res. 2015, 17 (Suppl. 2), e699–e710. [Google Scholar] [CrossRef] [PubMed]
- Kuroshima, S.; Entezami, P.; McCauley, L.K.; Yamashita, J. Early effects of parathyroid hormone on bisphosphonate/steroid-associated compromised osseous wound healing. Osteoporos. Int. 2014, 25, 1141–1150. [Google Scholar] [CrossRef] [PubMed]
- Al-Omari, F.A.; Kuroshima, S.; Uto, Y.; Uchida, Y.; Sawase, T. Effect of intraoral administration of parathyroid hormone on osseous and soft tissue healing around implants in ovariectomized rat maxillae. Clin. Oral. Implant. Res. 2024, 35, 305–320. [Google Scholar] [CrossRef]
- Sasaki, M.; Kuroshima, S.; Aoki, Y.; Inaba, N.; Sawase, T. Ultrastructural alterations of osteocyte morphology via loaded implants in rabbit tibiae. J. Biomech. 2015, 48, 4130–4141. [Google Scholar] [CrossRef]
- Chen, Y.C.; Chen, M.Y.; Chen, T.Y.; Chan, M.L.; Huang, Y.Y.; Liu, Y.L.; Lee, P.-T.; Lin, G.-J.; Li, T.-F.; Chen, C.-A.; et al. Improving Dental Implant Outcomes: CNN-Based System Accurately Measures Degree of Peri-Implantitis Damage on Periapical Film. Bioengineering 2023, 10, 640. [Google Scholar] [CrossRef]
- Association, A.D. Dental Implants Market Size, Share & Trends Analysis Report By Implant (Zirconia Implants, Titanium Implants), By Region (North America, Europe, Asia Pacific, Latin America, MEA), And Segment Forecasts, 2025–2030; 2023; Report ID: FBI107828. Available online: https://www.fortunebusinessinsights.com/u-s-dental-implants-market-107828 (accessed on 15 September 2024).
- Sato, Y.; Kitagawa, N.; Isobe, A. Current Consensus of Dental Implants in the Elderly—What Are the Limitations? Curr. Oral. Health Rep. 2020, 7, 321–326. [Google Scholar] [CrossRef]
- Bartold, P.M.; Ivanovski, S.; Darby, I. Implants for the aged patient: Biological, clinical and sociological considerations. Periodontology 2000 2016, 72, 120–134. [Google Scholar] [CrossRef]
- Uchida, Y.; Kuroshima, S.; Uto, Y.; Kanai, R.; Inoue, M.; Suzue, M.; Sawase, T. Intermittent administration of parathyroid hormone improves bone quality and quantity around implants in rat tibiae. J. Oral Biosci. 2020, 62, 139–146. [Google Scholar] [CrossRef]
- Velasco-Ortega, E.; Matos-Garrido, N.; Jiménez-Guerra, A.; Ortiz-Garcia, I.; Moreno-Muñoz, J.; Núñez-Márquez, E.; Rondón-Romero, J.L.; Ayuso-Montero, R.; López-López, J.; Monsalve-Guil, L. Early Loading of Two Implants Supporting Mandibular Overdentures in Geriatric Edentulous Patients: A 12-Year Follow-Up Study. J. Clin. Med. 2023, 12, 3825. [Google Scholar] [CrossRef]
- Lemos, C.A.A.; de Oliveira, A.S.; Faé, D.S.; Oliveira, H.F.F.E.; Del Rei Daltro Rosa, C.D.; Bento, V.A.A.; Verri, F.R.; Pellizzer, E.P. Do dental implants placed in patients with osteoporosis have higher risks of failure and marginal bone loss compared to those in healthy patients? A systematic review with meta-analysis. Clin. Oral Investig. 2023, 27, 2483–2493. [Google Scholar] [CrossRef] [PubMed]
- Camacho, P.M.; Petak, S.M.; Binkley, N.; Diab, D.L.; Eldeiry, L.S.; Farooki, A.; Harris, S.T.; Hurley, D.L.; Kelly, J.; Lewiecki, E.M.; et al. American Association of Clinical Endocrinologists/American College of Endocrinology Clinical Practice Guidelines for the Diagnosis and Treatment of Postmenopausal Osteoporosis—2020 Update. Endocr. Pract. 2020, 26, 564–570. [Google Scholar] [CrossRef] [PubMed]
- Silva, B.C.; Bilezikian, J.P. Parathyroid hormone: Anabolic and catabolic actions on the skeleton. Curr. Opin. Pharmacol. 2015, 22, 41–50. [Google Scholar] [CrossRef]
- On, J.S.; Chow, B.K.; Lee, L.T. Evolution of parathyroid hormone receptor family and their ligands in vertebrate. Front. Endocrinol. 2015, 6, 28. [Google Scholar] [CrossRef] [PubMed]
- Bellido, T.; Ali, A.A.; Plotkin, L.I.; Fu, Q.; Gubrij, I.; Roberson, P.K.; Weinstein, R.S.; O’Brien, C.A.; Manolagas, S.C.; Jilka, R.L. Proteasomal degradation of Runx2 shortens parathyroid hormone-induced anti-apoptotic signaling in osteoblasts. A putative explanation for why intermittent administration is needed for bone anabolism. J. Biol. Chem. 2003, 278, 50259–50272. [Google Scholar] [CrossRef]
- Keller, H.; Kneissel, M. SOST is a target gene for PTH in bone. Bone 2005, 37, 148–158. [Google Scholar] [CrossRef]
- Onyia, J.E.; Helvering, L.M.; Gelbert, L.; Wei, T.; Huang, S.; Chen, P.; Dow, E.R.; Maran, A.; Zhang, M.; Lotinun, S.; et al. Molecular profile of catabolic versus anabolic treatment regimens of parathyroid hormone (PTH) in rat bone: An analysis by DNA microarray. J. Cell Biochem. 2005, 95, 403–418. [Google Scholar] [CrossRef]
- Roberts, B.C.; Arredondo Carrera, H.M.; Zanjani-Pour, S.; Boudiffa, M.; Wang, N.; Gartland, A.; Dall’ara, E. PTH(1-34) treatment and/or mechanical loading have different osteogenic effects on the trabecular and cortical bone in the ovariectomized C57BL/6 mouse. Sci. Rep. 2020, 10, 8889. [Google Scholar] [CrossRef]
- Lu, Y.; Boudiffa, M.; Dall’ara, E.; Liu, Y.; Bellantuono, I.; Viceconti, M. Longitudinal effects of Parathyroid Hormone treatment on morphological, densitometric and mechanical properties of mouse tibia. J. Mech. Behav. Biomed. Mater. 2017, 75, 244–251. [Google Scholar] [CrossRef]
- Kuroshima, S.; Kovacic, B.L.; Kozloff, K.M.; McCauley, L.K.; Yamashita, J. Intra-oral PTH administration promotes tooth extraction socket healing. J. Dent. Res. 2013, 92, 553–559. [Google Scholar] [CrossRef]
- Silva, B.C.; Cusano, N.E.; Bilezikian, J.P. Primary hyperparathyroidism. Best. Pract. Res. Clin. Endocrinol. Metab. 2024, 38, 101247. [Google Scholar] [CrossRef] [PubMed]
- Mair, B.; Tangl, S.; Feierfeil, J.; Skiba, D.; Watzek, G.; Gruber, R. Age-related efficacy of parathyroid hormone on osseointegration in the rat. Clin. Oral. Implant. Res. 2009, 20, 400–405. [Google Scholar] [CrossRef] [PubMed]
- Lelovas, P.P.; Xanthos, T.T.; Thoma, S.E.; Lyritis, G.P.; Dontas, I.A. The laboratory rat as an animal model for osteoporosis research. Comp. Med. 2008, 58, 424–430. [Google Scholar]
- Bouxsein, M.L.; Boyd, S.K.; Christiansen, B.A.; Guldberg, R.E.; Jepsen, K.J.; Müller, R. Guidelines for assessment of bone microstructure in rodents using micro-computed tomography. J. Bone Miner. Res. 2010, 25, 1468–1486. [Google Scholar] [CrossRef]
- Liu, S.; Broucek, J.; Virdi, A.S.; Sumner, D.R. Limitations of using micro-computed tomography to predict bone-implant contact and mechanical fixation. J. Microsc. 2012, 245, 34–42. [Google Scholar] [CrossRef]
- Okamoto, T.; de Russo, M.C. Wound healing following tooth extraction. Histochemical study in rats. Rev. Fac. Odontol. Aracatuba 1973, 2, 153–169. [Google Scholar] [PubMed]
- Hock, J.M.; Gera, I.; Fonseca, J.; Raisz, L.G. Human parathyroid hormone-(1-34) increases bone mass in ovariectomized and orchidectomized rats. Endocrinology 1988, 122, 2899–2904. [Google Scholar] [CrossRef]
- Miller, S.C.; Hunziker, J.; Mecham, M.; Wronski, T.J. Intermittent parathyroid hormone administration stimulates bone formation in the mandibles of aged ovariectomized rats. J. Dent. Res. 1997, 76, 1471–1476. [Google Scholar] [CrossRef]
- Tay, D.; Cremers, S.; Bilezikian, J.P. Optimal dosing and delivery of parathyroid hormone and its analogues for osteoporosis and hypoparathyroidism—Translating the pharmacology. Br. J. Clin. Pharmacol. 2018, 84, 252–267. [Google Scholar] [CrossRef]
- Yamamoto, T.; Hasegawa, T.; Sasaki, M.; Hongo, H.; Tsuboi, K.; Shimizu, T.; Ota, M.; Haraguchi, M.; Takahata, M.; Oda, K.; et al. Frequency of Teriparatide Administration Affects the Histological Pattern of Bone Formation in Young Adult Male Mice. Endocrinology 2016, 157, 2604–2620. [Google Scholar] [CrossRef]
- Brouwers, J.E.; van Rietbergen, B.; Huiskes, R.; Ito, K. Effects of PTH treatment on tibial bone of ovariectomized rats assessed by in vivo micro-CT. Osteoporos. Int. 2009, 20, 1823–1835. [Google Scholar] [CrossRef] [PubMed]
- Park, S.; Heo, H.A.; Kim, K.W.; Min, J.S.; Pyo, S.W. Intermittent Parathyroid Hormone Improves Bone Formation Around Titanium Implants in Osteoporotic Rat Maxillae. Int. J. Oral. Maxillofac. Implant. 2017, 32, 204–209. [Google Scholar] [CrossRef] [PubMed]
- Berglundh, T.; Abrahamsson, I.; Lang, N.P.; Lindhe, J. De novo alveolar bone formation adjacent to endosseous implants. Clin. Oral Implant. Res. 2003, 14, 251–262. [Google Scholar] [CrossRef]
- Kuroshima, S.; Kaku, M.; Ishimoto, T.; Sasaki, M.; Nakano, T.; Sawase, T. A paradigm shift for bone quality in dentistry: A literature review. J. Prosthodont. Res. 2017, 61, 353–362. [Google Scholar] [CrossRef]
- Shen, Y.F.; Huang, J.H.; Wang, K.Y.; Zheng, J.; Cai, L.; Gao, H.; Li, X.-L.; Li, J.-F. PTH Derivative promotes wound healing via synergistic multicellular stimulating and exosomal activities. Cell Commun. Signal. 2020, 18, 40. [Google Scholar] [CrossRef]
- Cohn Yakubovich, D.; Eliav, U.; Yalon, E.; Schary, Y.; Sheyn, D.; Cook-Wiens, G.; Sun, S.; McKenna, C.E.; Lev, S.; Binshtok, A.M.; et al. Teriparatide attenuates scarring around murine cranial bone allograft via modulation of angiogenesis. Bone 2017, 97, 192–200. [Google Scholar] [CrossRef]
- Cohn-Schwartz, D.; Schary, Y.; Yalon, E.; Krut, Z.; Da, X.; Schwarz, E.M.; Gazit, D.; Pelled, G.; Gazit, Z. PTH-Induced Bone Regeneration and Vascular Modulation Are Both Dependent on Endothelial Signaling. Cells 2022, 11, 897. [Google Scholar] [CrossRef] [PubMed]
- Cho, S.W.; Pirih, F.Q.; Koh, A.J.; Michalski, M.; Eber, M.R.; Ritchie, K.; Sinder, B.; Oh, S.; Al-Dujaili, S.A.; Lee, J.; et al. The soluble interleukin-6 receptor is a mediator of hematopoietic and skeletal actions of parathyroid hormone. J. Biol. Chem. 2013, 288, 6814–6825. [Google Scholar] [CrossRef]
- Li, H.; Chen, Z.; Yong, Z.; Li, X.; Huang, Y.; Wu, D. Emergency 1-stage anterior approach for cervical spine infection complicated by epidural abscess. Medicine 2017, 96, e7301. [Google Scholar] [CrossRef]
- McCauley, L.K.; Dalli, J.; Koh, A.J.; Chiang, N.; Serhan, C.N. Cutting edge: Parathyroid hormone facilitates macrophage efferocytosis in bone marrow via proresolving mediators resolvin D1 and resolvin D2. J. Immunol. 2014, 193, 26–29. [Google Scholar] [CrossRef]
- Sculean, A.; Gruber, R.; Bosshardt, D.D. Soft tissue wound healing around teeth and dental implants. J. Clin. Periodontol. 2014, 41 (Suppl. 15), S6–S22. [Google Scholar] [CrossRef] [PubMed]
- Geurs, N.C.; Vassilopoulos, P.J.; Reddy, M.S. Soft tissue considerations in implant site development. Oral Maxillofac. Surg. Clin. N. Am. 2010, 22, 387–405, vi–vii. [Google Scholar] [CrossRef]
- Atsuta, I.; Ayukawa, Y.; Kondo, R.; Oshiro, W.; Matsuura, Y.; Furuhashi, A.; Tsukiyama, Y.; Koyano, K. Soft tissue sealing around dental implants based on histological interpretation. J. Prosthodont. Res. 2016, 60, 3–11. [Google Scholar] [CrossRef] [PubMed]





Disclaimer/Publisher’s Note: The statements, opinions and data contained in all publications are solely those of the individual author(s) and contributor(s) and not of MDPI and/or the editor(s). MDPI and/or the editor(s) disclaim responsibility for any injury to people or property resulting from any ideas, methods, instructions or products referred to in the content. |
© 2025 by the authors. Licensee MDPI, Basel, Switzerland. This article is an open access article distributed under the terms and conditions of the Creative Commons Attribution (CC BY) license (https://creativecommons.org/licenses/by/4.0/).
Share and Cite
Al-Omari, F.A.; Kuroshima, S.; Kozutsumi, R.; Sawase, T. Short-Term Administration of Parathyroid Hormone Improves Wound Healing Around Implants in an Osteoporotic Rat Model. J. Clin. Med. 2025, 14, 3900. https://doi.org/10.3390/jcm14113900
Al-Omari FA, Kuroshima S, Kozutsumi R, Sawase T. Short-Term Administration of Parathyroid Hormone Improves Wound Healing Around Implants in an Osteoporotic Rat Model. Journal of Clinical Medicine. 2025; 14(11):3900. https://doi.org/10.3390/jcm14113900
Chicago/Turabian StyleAl-Omari, Farah A., Shinichiro Kuroshima, Ryohei Kozutsumi, and Takashi Sawase. 2025. "Short-Term Administration of Parathyroid Hormone Improves Wound Healing Around Implants in an Osteoporotic Rat Model" Journal of Clinical Medicine 14, no. 11: 3900. https://doi.org/10.3390/jcm14113900
APA StyleAl-Omari, F. A., Kuroshima, S., Kozutsumi, R., & Sawase, T. (2025). Short-Term Administration of Parathyroid Hormone Improves Wound Healing Around Implants in an Osteoporotic Rat Model. Journal of Clinical Medicine, 14(11), 3900. https://doi.org/10.3390/jcm14113900

