Re-Expansion Pulmonary Edema as a Life-Threatening Complication in Massive, Long-Standing Pneumothorax: A Case Series and Literature Review
Abstract
1. Introduction
2. Materials and Methods
Literature Search
3. Cases Description
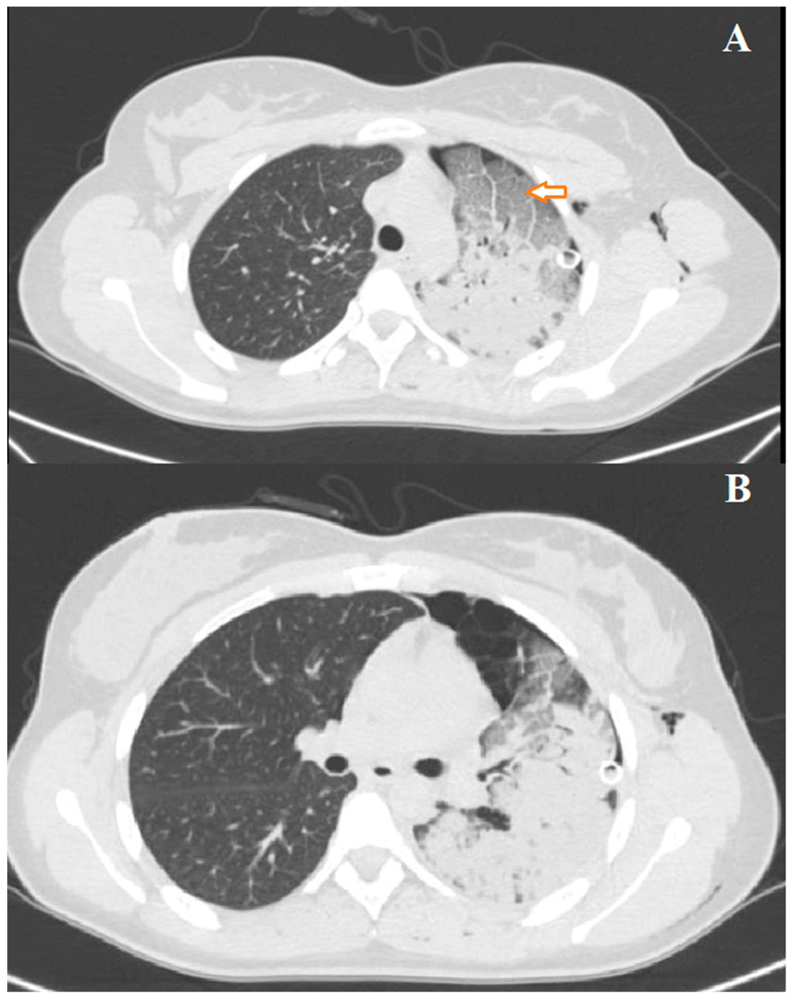
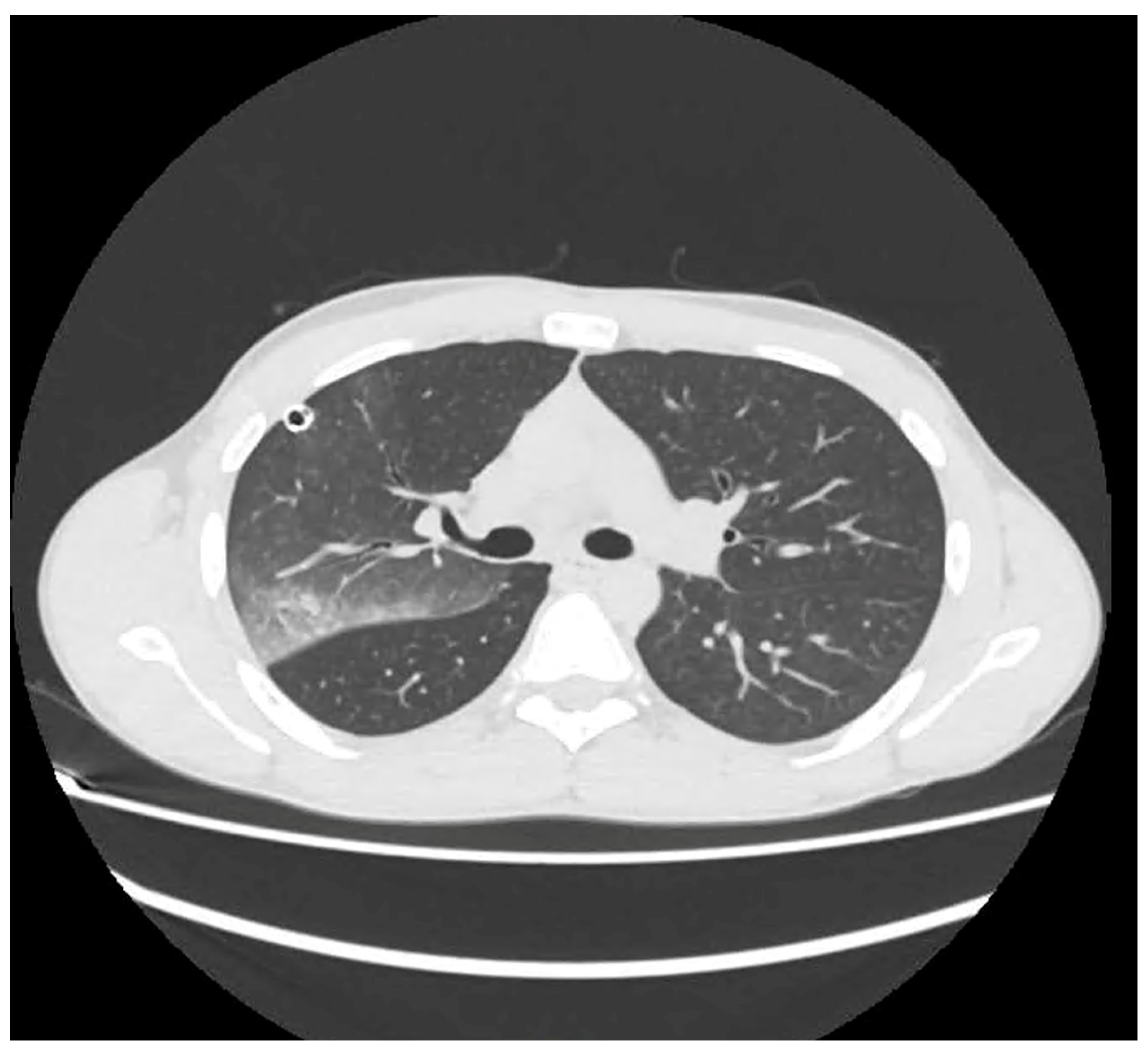
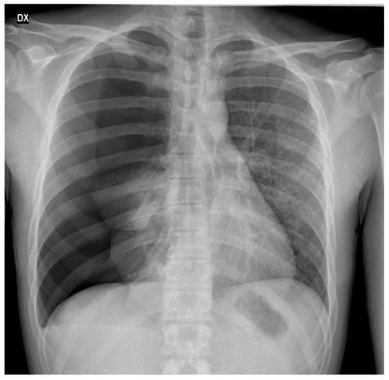
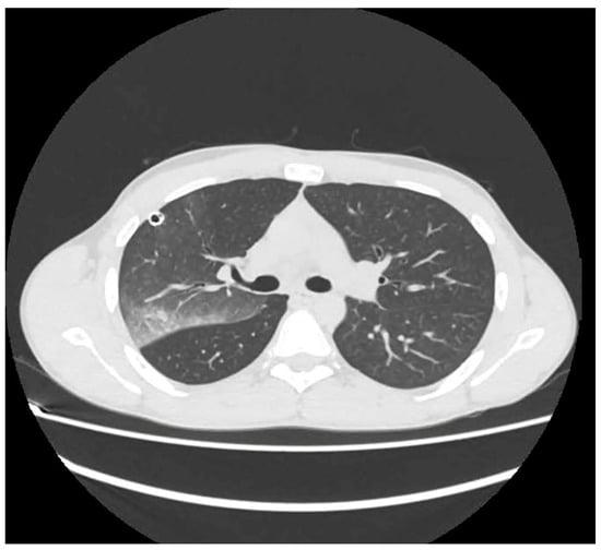
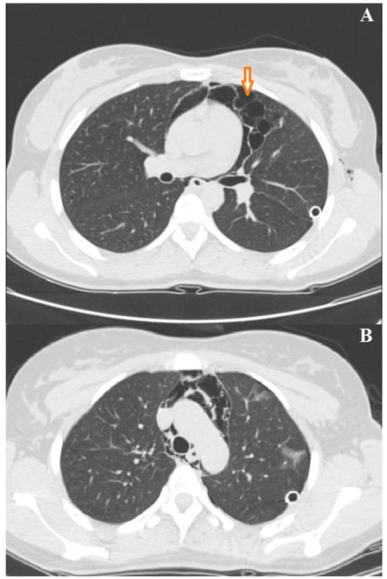
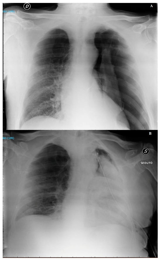
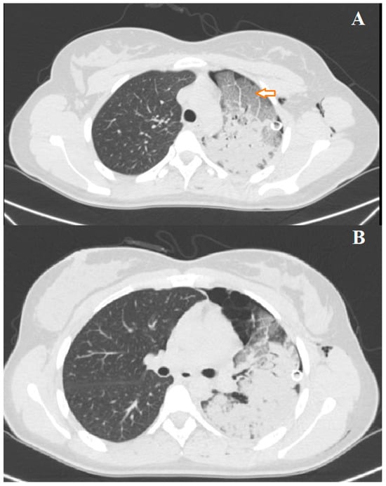
3.1. Case 1
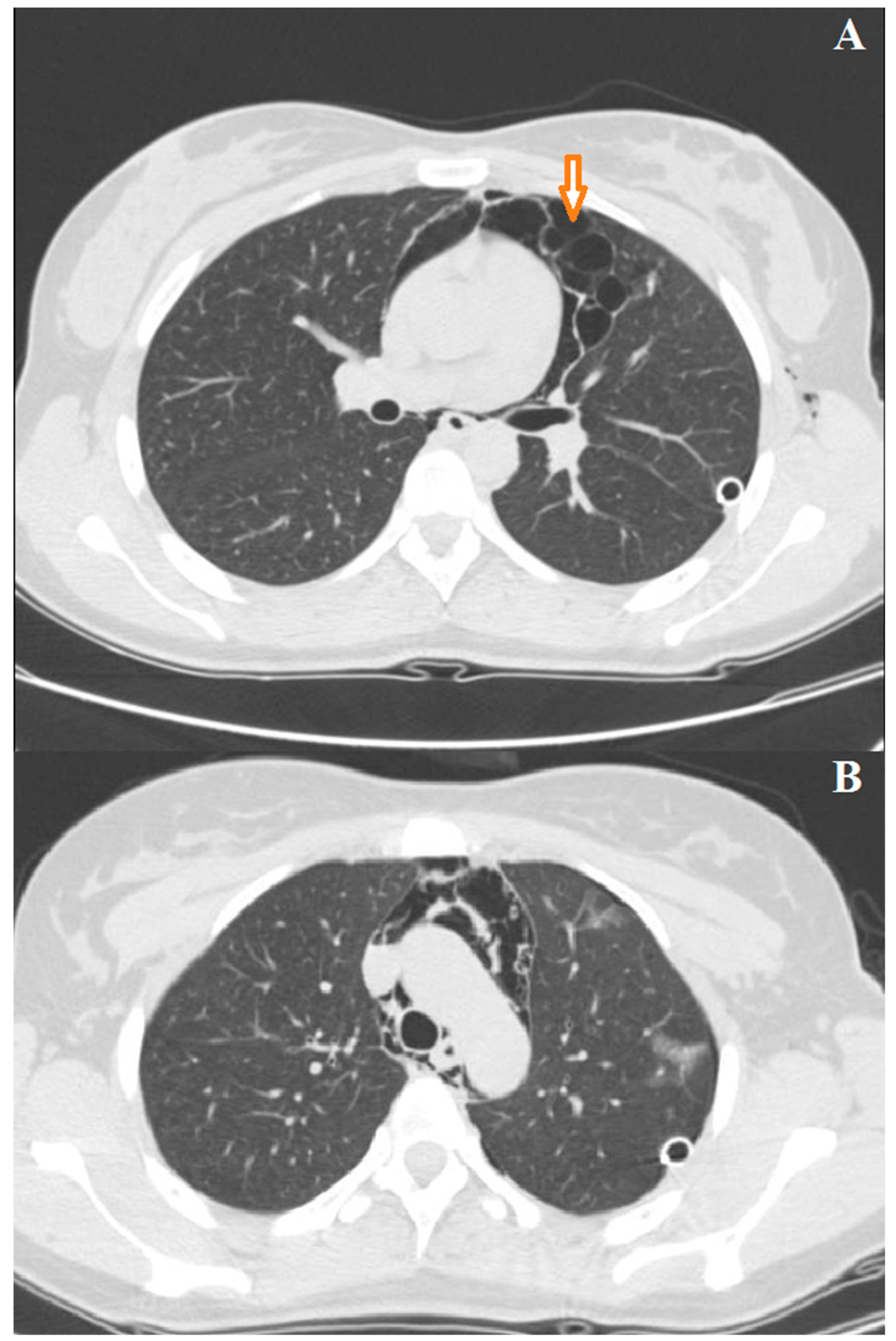
3.2. Case 2
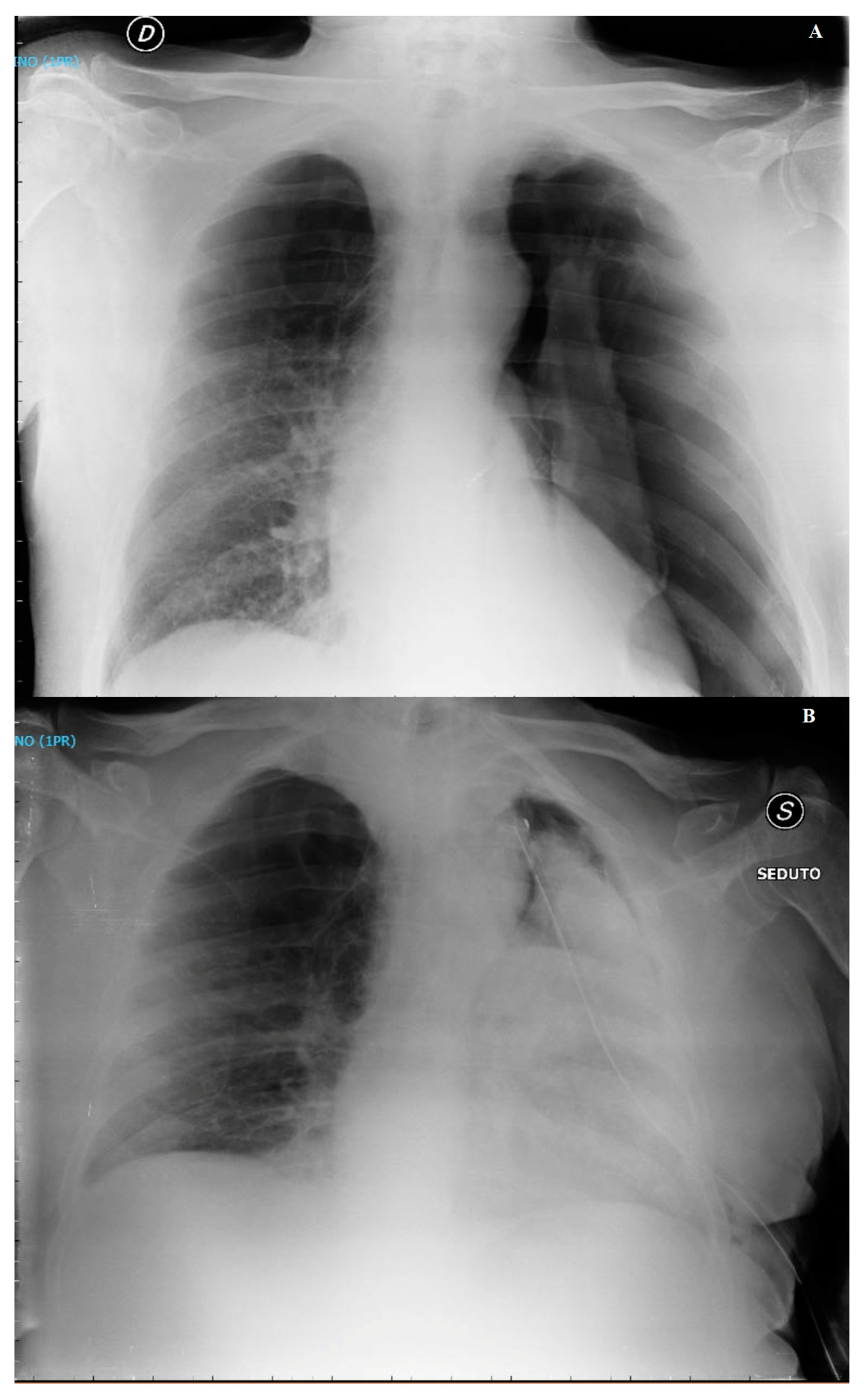
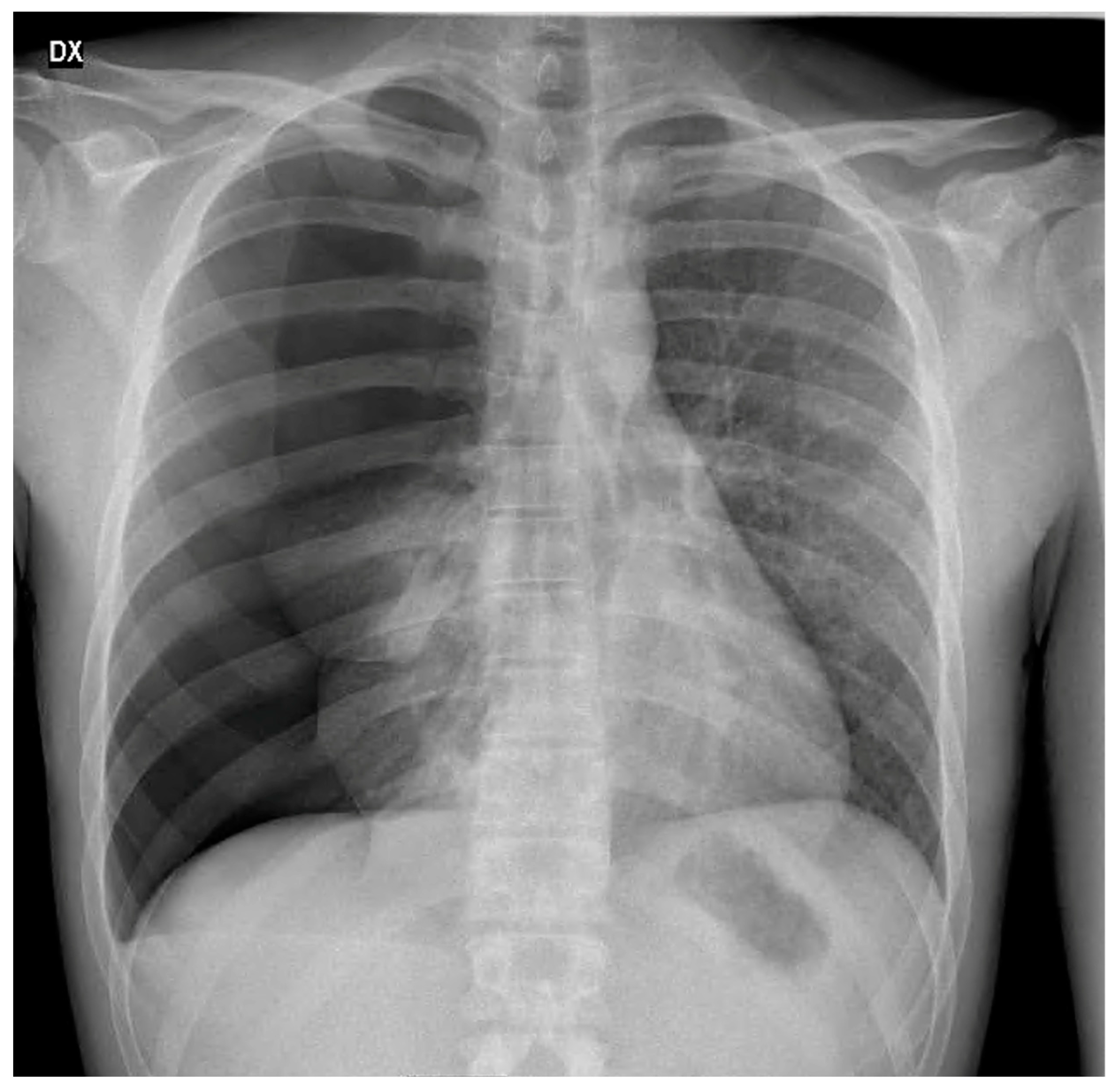
3.3. Case 3
4. Literature Review
4.1. Background
4.2. Pathogenesis and Risk Factors
4.3. Clinical and Radiological Features
4.4. Management
5. Conclusions
Author Contributions
Funding
Informed Consent Statement
Conflicts of Interest
References
- Yi, E.; Park, J.E.; Chung, J.H.; Ahn, C.B.; Chung, E.; Noh, O.K.; Lee, S. Trends in Recurrence of Primary Spontaneous Pneumothorax in Young Population after Treatment for First Episode Based on a Nationwide Population Data. Sci. Rep. 2023, 13, 13478. [Google Scholar] [CrossRef] [PubMed]
- Pogorelić, Z.; Gudelj, R.; Bjelanović, D.; Jukić, M.; Elezović Baloević, S.; Glumac, S.; Furlan, D. Management of the Pediatric Spontaneous Pneumothorax: The Role of Video-Assisted Thoracoscopic Surgery. J. Laparoendosc. Adv. Surg. Tech. A 2020, 30, 569–575. [Google Scholar] [CrossRef] [PubMed]
- Hippolyte Armand, P. Considérations Cliniques Sur la Thoracentèse. These de Paris. 1853. (In French) [Google Scholar]
- Riesman, D. Albuminous expectoration following thoracocentesis. Am. J. Med. Sci. 1902, 123, 630. [Google Scholar]
- Hartley, P.H. Albuminous expectoration following para-centesis of the chest. St Bartholomew’s Hosp. J. 1905, 41, 77. [Google Scholar]
- Feller-Kopman, D.; Berkowitz, D.; Boiselle, P.; Ernst, A. Large-volume thoracentesis and the risk of reexpansion pulmonary edema. Ann. Thorac. Surg. 2007, 84, 1656–1661. [Google Scholar] [CrossRef] [PubMed]
- Mahfood, S.; Hix, W.R.; Aaron, B.L.; Blaes, P.; Watson, D.C. Reexpansion pulmonary edema. Ann. Thorac. Surg. 1988, 45, 340–345. [Google Scholar] [CrossRef] [PubMed]
- Matsuura, Y.; Nomimura, T.; Murakami, H.; Matsushima, T.; Kakehashi, M.; Kajihara, H. Clinical analysis of reexpansion pulmonary edema. Chest 1991, 100, 1562–1566. [Google Scholar] [CrossRef] [PubMed]
- Buczko, G.B.; Grossman, R.F.; Goldberg, M. Re-expansion pulmonary edema: Evidence for increased capillary permeability. Can. Med. Assoc. J. 1981, 125, 460–461. [Google Scholar] [PubMed]
- Sprung, C.L.; Loewenherz, J.W.; Baier, H.; Hauser, M.J. Evidence for increased permeability in reexpansion pulmonary edema. Am. J. Med. 1981, 71, 497–500. [Google Scholar] [CrossRef]
- Echevarria, C.; Twomey, D.; Dunning, J.; Chanda, B. Does re-expansion pulmonary oedema exist? Interact. Cardiovasc. Thorac. Surg. 2008, 7, 485–489. [Google Scholar] [CrossRef]
- Rozenman, J.; Yellin, A.; Simansky, D.A.; Shiner, R.J. Re-expansion pulmonary oedema following spontaneous pneumothorax. Respir. Med. 1996, 90, 235–238. [Google Scholar] [CrossRef]
- Miller, W.C.; Toon, R.; Palat, H.; Lacroix, J. Experimental pulmonary edema following re-expansion of pneumothorax. Am. Rev. Respir. Dis. 1973, 108, 654–656. [Google Scholar]
- Taira, N.; Kawabata, T.; Ichi, T.; Yohena, T.; Kawasaki, H.; Ishikawa, K. An analysis of and new risk factors for reexpansion pulmonary edema following spontaneous pneumothorax. J. Thorac. Dis. 2014, 6, 1187–1192. [Google Scholar] [CrossRef]
- Havelock, T.; Teoh, R.; Laws, D.; Gleeson, F. Pleural procedures and thoracic ultrasound: British Thoracic Society Pleural Disease Guideline 2010. Thorax 2010, 65 (Suppl. S2), ii61–ii76. [Google Scholar] [CrossRef] [PubMed]
- Hassaballa, A.S.; Mostafa, A.; Hikal, T. Pleural manometry during thoracocentesis in patients with malignant pleural effusion: A randomized controlled trial. Can. J. Respir. Ther. 2023, 59, 33–44. [Google Scholar] [CrossRef] [PubMed]
- Feller-Kopman, D.J. Management of Malignant Pleural Effusions. An Official ATS/STS/STR Clinical Practice Guideline. Am. J. Respir. Crit. Care Med. 2018, 198, 839–849. [Google Scholar] [CrossRef]
- Sohara, Y. Reexpansion pulmonary edema. Ann. Thorac. Cardiovasc. Surg. Off. J. Assoc. Thorac. Cardiovasc. Surg. Asia 2008, 14, 205–209. [Google Scholar]
- Sugiyama, Y.; Shimizu, F.; Shimizu, S.; Urasawa, M.; Tanaka, S.; Kawamata, M. Severe Re-expansion Pulmonary Edema Induced by One-Lung Ventilation. Respir. Care 2015, 60, e134–e140. [Google Scholar] [CrossRef] [PubMed]
- Neustein, S.M. Reexpansion pulmonary edema. J. Cardiothorac. Vasc. Anesth. 2007, 21, 887–891. [Google Scholar] [CrossRef]
- Tarver, R.D.; Broderick, L.S.; Conces, D.J., Jr. Reexpansion pulmonary edema. J. Thorac. Imaging 1996, 11, 198–209. [Google Scholar] [CrossRef]
- Cho, S.R.; Lee, J.S.; Kim, M.S. New treatment method for reexpansion pulmonary edema: Differential lung ventilation. Ann. Thorac. Surg. 2005, 80, 1933–1934. [Google Scholar] [CrossRef] [PubMed]
- Lee, S.K.; Son, B.S.; Son, J.; Lee, S.E.; Yeo, H.J.; Kim, D.H. High-flow oxygen therapy for treating re-expansion pulmonary edema. Ann. Transl. Med. 2019, 7, 272. [Google Scholar] [CrossRef] [PubMed]
- Fontoura, A.; Fernandes, F.R.; Oliveira, M.; Santos, P.; Trindade, E.S.L.P. High-flow nasal oxygen in re-expansion pulmonary oedema. Pulmonology 2021, 27, 457–459. [Google Scholar] [CrossRef] [PubMed]
- Tariq, S.M.; Sadaf, T. Images in clinical medicine. Reexpansion pulmonary edema after treatment of pneumothorax. N. Engl. J. Med. 2006, 354, 2046. [Google Scholar] [CrossRef]
- La Via, L.; Sanfilippo, F.; Cuttone, G.; Dezio, V.; Falcone, M.; Brancati, S.; Crimi, C.; Astuto, M. Use of Ketamine in Patients with Refractory Severe Asthma Exacerbations: Systematic Review of Prospective Studies. Eur. J. Clin. Pharmacol. 2022, 78, 1613–1622. [Google Scholar] [CrossRef] [PubMed]
- Solidoro, P.; Corbetta, L.; Patrucco, F.; Sorbello, M.; Piccioni, F.; D’Amato, L.; Renda, T.; Petrini, F. Competences in bronchoscopy for Intensive Care Unit, anesthesiology, thoracic surgery and lung transplantation. Panminerva Medica 2019, 61, 367–385. [Google Scholar] [CrossRef]
- Wake, M.; Sanagawa, Y.; Okamoto, Y. A case of anesthetic management for re-expansion pulmonary edema of the dependent lung saved by superimposed HFJV during one lung ventilation for the thoracoscopic operation associated with bilateral pneumothorax. Masui Jpn. J. Anesthesiol. 2000, 49, 643–645. [Google Scholar]






Disclaimer/Publisher’s Note: The statements, opinions and data contained in all publications are solely those of the individual author(s) and contributor(s) and not of MDPI and/or the editor(s). MDPI and/or the editor(s) disclaim responsibility for any injury to people or property resulting from any ideas, methods, instructions or products referred to in the content. |
© 2024 by the authors. Licensee MDPI, Basel, Switzerland. This article is an open access article distributed under the terms and conditions of the Creative Commons Attribution (CC BY) license (https://creativecommons.org/licenses/by/4.0/).
Share and Cite
Cusumano, G.; La Via, L.; Terminella, A.; Sorbello, M. Re-Expansion Pulmonary Edema as a Life-Threatening Complication in Massive, Long-Standing Pneumothorax: A Case Series and Literature Review. J. Clin. Med. 2024, 13, 2667. https://doi.org/10.3390/jcm13092667
Cusumano G, La Via L, Terminella A, Sorbello M. Re-Expansion Pulmonary Edema as a Life-Threatening Complication in Massive, Long-Standing Pneumothorax: A Case Series and Literature Review. Journal of Clinical Medicine. 2024; 13(9):2667. https://doi.org/10.3390/jcm13092667
Chicago/Turabian StyleCusumano, Giacomo, Luigi La Via, Alberto Terminella, and Massimiliano Sorbello. 2024. "Re-Expansion Pulmonary Edema as a Life-Threatening Complication in Massive, Long-Standing Pneumothorax: A Case Series and Literature Review" Journal of Clinical Medicine 13, no. 9: 2667. https://doi.org/10.3390/jcm13092667
APA StyleCusumano, G., La Via, L., Terminella, A., & Sorbello, M. (2024). Re-Expansion Pulmonary Edema as a Life-Threatening Complication in Massive, Long-Standing Pneumothorax: A Case Series and Literature Review. Journal of Clinical Medicine, 13(9), 2667. https://doi.org/10.3390/jcm13092667

