Diagnostic Methods for the Prenatal Detection of Cleft Lip and Palate: A Systematic Review
Abstract
1. Introduction
2. Materials and Methods
2.1. PICO Question
2.2. Inclusion and Exclusion Criteria
2.3. Search Strategy
2.4. Search Terms
2.5. Selection Process
2.6. Data Extraction and Management
2.7. Quality Assessment
3. Results
3.1. Study Selection and Flowchart
3.2. Characteristics of the Included Studies
3.3. Qualitative Synthesis
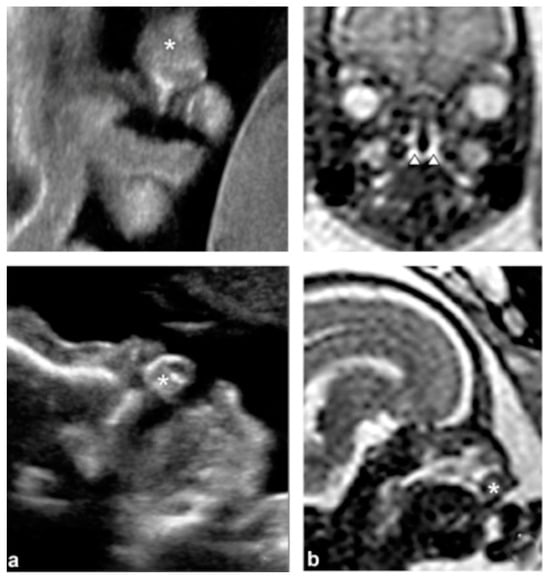
3.3.1. Diagnostic Methods and Their Accuracy
3.3.2. Phase of Pregnancy at which the Malformation Is Diagnosed
3.4. Risk of Bias and Quality Assessment of Individual Studies
4. Discussion
5. Conclusions
Supplementary Materials
Author Contributions
Funding
Institutional Review Board Statement
Informed Consent Statement
Data Availability Statement
Acknowledgments
Conflicts of Interest
References
- Dar, P.; Gross, S.J. Craniofacial and neck anomalies. Clin. Perionatol. 2000, 27, 813–837. [Google Scholar] [CrossRef]
- Sreejith, V.P.; Arun, V.; Devarajan, A.P.; Gopinath, A.; Sunil, M. Psychological Effect of Prenatal Diagnosis of Cleft Lip and Palate: A Systematic Review. Contemp. Clin. Dent. 2018, 9, 304–308. [Google Scholar] [CrossRef]
- Dabadie, A.; Quarello, E.; Degardin, N.; Desbriere, R.; Heckenroth, H.; Sigaudy, S.; Gorincour, G. Added value of MRI for the prenatal diagnosis of isolated orofacial clefts and comparison with ultrasound. Diagn. Interv. Imaging 2016, 97, 915–921. [Google Scholar] [CrossRef]
- Van der Hoek-Snieders, H.E.M.; van den Heuvel, A.J.M.L.; van Os Medendorp, H.; Kamalski, D.M.A. Diagnostic accuracy of fetal MRI to detect cleft palate: A meta-analysis. Eur. J. Pediatr. 2020, 179, 29–38. [Google Scholar] [CrossRef]
- Gonzalez Ulloa, M. Treatment of cleft lip palate. Sugestiones 1949, 14, 25–32. [Google Scholar]
- Kawalec, A.; Nelke, K.; Pawlas, K.; Gerber, H. Risk factors involved in orofacial cleft predisposition—Review. Open Med. 2015, 10, 163–175. [Google Scholar] [CrossRef]
- Gai, S.; Wang, L.; Zheng, W. Comparison of prenatal ultrasound with MRI in the evaluation and prediction of fetal orofacial clefts. BMC Med. Imaging 2022, 22, 213. [Google Scholar] [CrossRef]
- Christ, J.E.; Meininger, M.G. Ultrasound diagnosis of cleft lip and cleft palate before birth. Plast. Reconstruct. Surg. 1981, 68, 854–859. [Google Scholar] [CrossRef] [PubMed]
- Normative nº 10/DSMIA of 07/05/2001 of the Direção-Geral da Saúde (DGS). Available online: https://www.dgs.pt/directrizes-da-dgs/normas-e-circulares-normativas/circular-normativa-n-10dsmia-de-07052001-pdf.aspx (accessed on 2 February 2024).
- Normative nº 023/2011 of 29/09/2011 Updated on 21/05/2013 of the Direção-Geral da Saúde (DGS). Available online: https://www.dgs.pt/directrizes-da-dgs/normas-e-circulares-normativas/norma-n-0232011-de-29092011-atualizada-a-21052013-jpg.aspx (accessed on 2 February 2024).
- Nieto, O.; Recio, M.; Garicano, A. EP06.20: Prenatal diagnosis of two cases of isolated periventricular nodular heterotopia (PNH) by ultrasound and MRI in the second trimester. Ultrasound Obstet. Gynecol. 2019, 54 (Suppl. S1), 266. [Google Scholar] [CrossRef]
- Rekawek, P.; Coleman, B.G.; Kamath, A.; Stone, J.L. Prenatal sonography of multicentric infantile myofibromatosis: Case report and review of the literature. J. Clin. Ultrasound 2019, 47, 490–493. [Google Scholar] [CrossRef] [PubMed]
- DeRoo, L.A.; Gaudino, J.A.; Edmonds, L.D. Orofacial cleft malformations: Associations with maternal and infant characteristics in Washington State. Birth Defects Res. A Clin. Mol. Teratol. 2003, 67, 637–642. [Google Scholar] [CrossRef] [PubMed]
- Baumler, M.; Faure, J.M.; Bigorre, M.; Bumler-Patris, C.; Boulot, P.; Demattei, C.; Captier, G. Accuracy of prenatal three-dimensional ultrasound in the diagnosis of cleft hard palate when cleft lip is present. Ultrasound Obstet. Gynecol. Off. J. Int. Soc. Ultrasound Obstet. Gynecol. 2011, 38, 440–444. [Google Scholar] [CrossRef] [PubMed]
- Berggren, H.; Hansson, E.; Uvemark, A.; Svensson, H.; Sladkevicius, P.; Becker, M. Prenatal ultrasound detection of cleft lip, or cleft palate, or both, in southern Sweden, 2006–2010. J. Plast. Surg. Hand Surg. 2012, 46, 69–74. [Google Scholar] [CrossRef] [PubMed]
- Descamps, M.J.; Golding, S.J.; Sibley, J.; McIntyre, A.; Alvey, C.; Goodacre, T. MRI for definitive in utero diagnosis of cleft palate: A useful adjunct to antenatal care? Cleft Palate-Craniofac. J. Off. Publ. Am. Cleft Palate-Craniofac. Assoc. 2010, 47, 578–585. [Google Scholar] [CrossRef] [PubMed]
- Yan, X.; Xing, G.; Wang, X.; Li, J.; Sun, Q.; Shang, X. Diagnostic Value and Application of Prenatal MRI and Ultrasound in Fetal Cleft Lip and Palate. Contrast Media Mol. Imaging 2022, 2022, 9410161. [Google Scholar] [CrossRef] [PubMed]
- Zheng, W.; Li, B.; Zou, Y.; Lou, F. The prenatal diagnosis and classification of cleft palate: The role and value of magnetic resonance imaging. Eur. Radiol. 2019, 29, 5600–5606. [Google Scholar] [CrossRef]
- Lakshmy, S.R.; Deepa, S.; Rose, N.; Mookan, S.; Agnees, J. First- Trimester Sonographic Evaluation of Palatine Clefts: A Novel Diagnostic Approach. J. Ultrasound Med. Off. J. Am. Inst. Ultrasound Med. 2017, 36, 1397–1414. [Google Scholar] [CrossRef][Green Version]
- Liu, H.L.; Yan, F.; Sun, H.P.; Li, G.Q.; Ai, F.; Dong, X.D. Ultrasonography of fetal cleft lip and palate in first-trimester. Clin. Exp. Obstet. Gynecol. 2017, 44, 408–412. [Google Scholar] [CrossRef]
- Maarse, W.; Pistorius, L.R.; Van Eeten, W.K.; Breugem, C.C.; Kon, M.; Van den Boogaard, M.J.; Mink van Der Molen, A.B. Prenatal ultrasound screening for orofacial clefts. Ultrasound Obstet. Gynecol. Off. J. Int. Soc. Ultrasound Obstet. Gynecol. 2011, 38, 434–439. [Google Scholar] [CrossRef] [PubMed]
- Martinez-Diez, P.; Adiego, B.; Illescas, T.; Bermejo, C.; Wong, A.E.; Sepulveda, W. First-trimester diagnosis of cleft lip and palate using three-dimensional ultrasound. Ultrasound Obstet. Gynecol. Off. J. Int. Soc. Ultrasound Obstet. Gynecol. 2012, 40, 40–46. [Google Scholar] [CrossRef] [PubMed]
- Tian, M.; Xiao, L.; Jian, N.; Wei, X.; Liu, S.; Zhao, H.; Li, G.; Zhang, S.; Liang, W.; Lin, N.; et al. Accurate diagnosis of fetal cleft lip/palate by typical signs of magnetic resonance imaging. Prenat. Diagn. 2019, 39, 883–889. [Google Scholar] [CrossRef]
- Wu, S.; Han, J.; Zhen, L.; Ma, Y.; Li, D.; Liao, C. Prospective ultrasound diagnosis of orofacial clefts in the first trimester. Ultrasound Obstet. Gynecol. Off. J. Int. Soc. Ultrasound Obstet. Gynecol. 2021, 58, 134–137. [Google Scholar] [CrossRef] [PubMed]
- Laifer-Narin, S.; Schlechtweg, K.; Lee, J.; Booker, W.; Miller, R.; Ayyala, R.S.; Imahiyerobo, T. A Comparison of Early Versus Late Prenatal Magnetic Resonance Imaging in the Diagnosis of Cleft Palate. Ann. Plast. Surg. 2019, 82 (Suppl. S4), S242–S246. [Google Scholar] [CrossRef] [PubMed]
- Loozen, C.S.; Maarse, W.; Manten, G.T.; Pistorius, L.; Breugem, C.C. The accuracy of prenatal ultrasound in determining the type of orofacial cleft. Prenat. Diagn. 2015, 35, 652–655. [Google Scholar] [CrossRef] [PubMed]
- Maiath-Pokorny, M.; Worda, C.; Krampl-Bettelheim, E.; Watzinger, F.; Brugger, P.C.; Prayer, D. What does magnetic resonance imaging add to the prenatal ultrasound diagnosis of facial clefts? Ultrasound Obstet. Gynecol. Off. J. Int. Soc. Ultrasound Obstet. Gynecol. 2010, 36, 445–451. [Google Scholar] [CrossRef] [PubMed]
- Sommerlad, M.; Patel, N.; Vijayalakshmi, B.; Morris, P.; Hall, P.; Ahmad, T.; Campbell, S.; Lees, C. Detection of lip, alveolar ridge and hard palate abnormalities using two-dimensional ultrasound enhanced with the threedimensional reverse-face view. Ultrasound Obstet. Gynecol. Off. J. Int. Soc. Ultrasound Obstet. Gynecol. 2010, 36, 596–600. [Google Scholar] [CrossRef] [PubMed]
- Ramos, G.A.; Romine, L.E.; Gindes, L.; Wolfson, T.; McGahan, M.C.; D’Agostini, D.; Lee, S.; Jones, M.C.; Pretorius, D.H. Evaluation of the fetal secondary palate by 3-dimensional ultrasonography. J. Ultrasound Med. Off. J. Am. Inst. Ultrasound Med. 2010, 29, 357–364. [Google Scholar] [CrossRef]
- Lai, G.P.; Weng, X.J.; Wang, M.; Tao, Z.F.; Liao, F.H. Diagnostic Accuracy of Prenatal Fetal Ultrasound to Detect Cleft Palate in High-Risk Fetuses: A Systematic Review and Meta-Analysis. J. Ultrasound Med. 2022, 41, 605–614. [Google Scholar] [CrossRef]
- Campbell, S.; Lees, C.; Moscoso, G.; Hall, P. Ultrasound antenatal diagnosis of cleft palate by a new technique: The 3D “reverse face” view. Ultrasound Obstet. Gynecol. 2005, 25, 12–18. [Google Scholar] [CrossRef]
- Wong, H.S.; Pringle, K.C. Ultrasound Imaging of the Fetal Palate, Ultra-Sound Imaging—Medical Applications; Igor, V.M., Oleg, V.M., Eds.; IntechOpen: London, UK, 2011. [Google Scholar] [CrossRef]
- Vibert, F.; Schmidt, G.; Löffler, K.; Gasiorek-Wiens, A.; Henrich, W.; Verlohren, S. Accuracy of prenatal detection of facial clefts and relation between facial clefts, additional malformations and chromosomal abnormalities: A large referral-center cohort. Arch. Gynecol. Obstet. 2023, 16, 1–10. [Google Scholar] [CrossRef]
- Faure, J.M.; Mousty, E.; Bigorre, M.; Wells, C.; Boulot, P.; Captier, G.; Fuchs, F. Prenatal ultrasound diagnosis of cleft palate without cleft lip, the new ultrasound semiology. Prenat. Diagn. 2020, 40, 1447–1458. [Google Scholar] [CrossRef] [PubMed]
- Ji, C.; Yang, Z.; Yin, L.; Deng, X.; Pan, Q.; Lu, B.; Zhang, J.; Jiang, W.; Jiang, X. The application of three-dimensional ultrasound with reformatting technique in the diagnosis of fetal cleft lip/palate. J. Clin. Ultrasound 2021, 49, 307–314. [Google Scholar] [CrossRef] [PubMed]
- Apon, I.; van Leeuwen, N.; Polinder, S.; Versnel, S.L.; Wolvius, E.B.; Koudstaal, M.J. Healthcare use and direct medical costs in a cleft lip and palate population: An analysis of observed and protocolized care and costs. Int. J. Oral Maxillofac. Surg. 2024, 53, 286–292. [Google Scholar] [CrossRef] [PubMed]
- Guichoud, Y.; El Ezzi, O.; de Buys Roessingh, A. Cleft lip and palate antenatal diagnosis: A Swiss University Center performance analysis. Diagnostics 2023, 13, 2479. [Google Scholar] [CrossRef] [PubMed]
- Moreira, T.; Dias, M.; Von Hafe, M.; Curval, A.R.; Ramalho, C.; Maia, A.M.; Moura, C.P.; Orofacial Cleft Team of University Hospital Center of São João, EPE. Orofacial clefts: Reflections on prenatal diagnosis and family history based on a series of cases of a tertiary children hospital. Congenit. Anom. 2023, 63, 195–199. [Google Scholar] [CrossRef] [PubMed]
- Sander, F.H.; Jørgensen, D.S.; Jakobsen, L.P.; Jensen, A.N.; Lousen, T.; Sandager, P.; Sperling, L.; Vogel, I.; Petersen, O.B.; Vedel, C.; et al. Prenatal detection of orofacial clefts in Denmark from 2009 to 2018. Ultrasound Obstet. Gynecol. Off. J. Int. Soc. Ultrasound Obstet. Gynecol. 2023. Epub ahead of print. [Google Scholar] [CrossRef]
- Almoammar, K.A. Harnessing the Power of Artificial Intelligence in Cleft Lip and Palate: An In-Depth Analysis from Diagnosis to Treatment, a Comprehensive Review. Children 2024, 11, 140. [Google Scholar] [CrossRef]
- Dhillon, H.; Chaudhari, P.K.; Dhingra, K.; Kuo, R.-F.; Sokhi, R.K.; Alam, M.K.; Ahmad, S. Current applications of artificial intelligence in cleft care: A scoping review. Front. Med. 2021, 8, 676490. [Google Scholar] [CrossRef]
- Lindberg, N.E.; Kynø, N.M.; Feragen, K.B.; Pripp, A.H.; Tønseth, K.A. Parental stress, infant feeding and well-being in families affected by cleft lip and/or cleft palate: The impact of early follow-up. Cleft Palate-Craniofac. J. Off. Publ. Am. Cleft Palate-Craniofac. Assoc. 2024, 21, 10556656241231524. [Google Scholar] [CrossRef]
- Wilkes, C.; Graetz, M.; Downie, L.; Bethune, M.; Chong, D. Prenatal diagnosis of cleft lip and/or palate: What do we tell prospective parents? Prenat. Diagn. 2023, 43, 1310–1319. [Google Scholar] [CrossRef]


| Study Design | Number | Type of Diagnostic Test | Weeks of Gestation | Type of Fissure and Structural Involvement | Methodological Quality | |
|---|---|---|---|---|---|---|
| Berggren et al., 2012 [15] | Diagnostic test | 141 | 2D US | 18–20 weeks | CLP, CL + A CP. | High |
| Baumler et al., 2011 [14] | Diagnostic test | 79 | 2D and 3D US | 2D: 22–25 weeks. 3D: 23–29 weeks. | CL, CP, CLP, CL + A | High |
| Dabadie et al., 2016 [3] | Diagnostic test | 22 | 2D US and MRI | 2D: 24–34 weeks MRI: 27–34 weeks | CL, CP, CLP, CL + A | High |
| Descamps et al., 2010 [16] | Diagnostic test | 49 | 2D US and MRI | MRI: 24–37 weeks | - | High |
| Gai et al., 2022 [7] | Diagnostic test | US:110,286 RM: 4132 | 2D US and MRI | 2D: 25 ± 4 weeks MRI: 28 ± 4 weeks | CL, CP, CLP | High |
| Yan et al., 2022 [17] | Diagnostic test | 39 | 2D US and MRI | - | CL, CP, CLP, CL + A | High |
| Zheng et al., 2019 [18] | Diagnostic test | 88 | 2D US and MRI | MRI: 19–39 weeks 2D: 19–38 weeks | CL, CLP, CL + A, CP | High |
| Laifer-Narin et al., 2019 [25] | Cohort study | 42 | MRI | - | CL, CP, CLP | High |
| Lakshmy et al., 2017 [19] | Cohort study | US 2D: 2014 US 3D: 14 | 2D and 3D US | 1st trimester | CLP | High |
| Liu et al., 2017 [20] | Cohort study | 3795 | 2D US | 17–18 weeks | CLP | High |
| Loozen et al., 2015 [26] | Cohort study | 134 | 2D and 3D US | 24 weeks + 5 days | CL, CLA, CLP, CP | High |
| Maarse et al., 2011 [21] | Cohort study | 38,760 | 2D US | 18–23 weeks | CL, CLP, CP | High |
| Mailáth-Pokorny et al., 2010 [27] | Cohort study | 34 | MRI | 14–33 weeks | CL, CLA, CP, CLP | Moderate |
| Martínez-Diez et al., 2011 [22] | Cohort study | 240 | 3D US | 11–13 weeks | CLP | High |
| Ramos et al., 2010 [29] | Cohort study | 92 | 3D US | 12–36 weeks | CP | Moderate |
| Sommerlad et al., 2010 [28] | Cohort study | 124 | 2D and 3D US | 20–34 weeks | CL, cleft alveolar ridge, CP | High |
| Tian et al., 2019 [23] | Cohort study | 71 | 2D US and MRI | - | CL, CL + A, CLP, CP | High |
| Wu et al., 2020 [24] | Cohort study | 2944 | 2D US | 11–13 weeks | CLP, CP | High |
| Type of Diagnostic Test | Sensitivity | Specificity | Positive Predictive Value | Negative Predictive Value | |
|---|---|---|---|---|---|
| Berggren et al., 2012 [15] | 2D US | 43% | 100% | - | - |
| Baumler et al., 2011 [14] | 2D and 3D US | 100% | 90% | 97% | 100% |
| Descamps et al., 2010 [16] | 2D US and MRI | 86.7% | 94.1% | 96.3% | 80% |
| Gai et al., 2022 [7] | 2D US and MRI | 81.85% | 99.95% | 80.14% | 99.95% |
| Laifer-Narin et al., 2019 [25] | MRI | CP: 91.7% CL: 93.1% | - | - | CP: 90% CL: 86.7% |
| Maarse et al., 2011 [21] | 2D US | CL: 81% CLP: 91% | - | - | - |
| Ramos et al., 2010 [29] | 3D US | 33–63% | 84–97% | - | - |
| Sommerlad et al., 2010 [28] | 2D and 3D US | CL: 95% Cleft alveolar ridge: 84.5% CP: 89.7% | CL: 92.3% Cleft alveolar ridge: 92.8% CP: 84.4% | - | - |
| Tian et al., 2019 [23] | 2D US and MRI | 2D US: 77.5% 2D US + MRI: 100% | - | - | - |
Disclaimer/Publisher’s Note: The statements, opinions and data contained in all publications are solely those of the individual author(s) and contributor(s) and not of MDPI and/or the editor(s). MDPI and/or the editor(s) disclaim responsibility for any injury to people or property resulting from any ideas, methods, instructions or products referred to in the content. |
© 2024 by the authors. Licensee MDPI, Basel, Switzerland. This article is an open access article distributed under the terms and conditions of the Creative Commons Attribution (CC BY) license (https://creativecommons.org/licenses/by/4.0/).
Share and Cite
Baeza-Pagador, A.; Tejero-Martínez, A.; Salom-Alonso, L.; Camañes-Gonzalvo, S.; García-Sanz, V.; Paredes-Gallardo, V. Diagnostic Methods for the Prenatal Detection of Cleft Lip and Palate: A Systematic Review. J. Clin. Med. 2024, 13, 2090. https://doi.org/10.3390/jcm13072090
Baeza-Pagador A, Tejero-Martínez A, Salom-Alonso L, Camañes-Gonzalvo S, García-Sanz V, Paredes-Gallardo V. Diagnostic Methods for the Prenatal Detection of Cleft Lip and Palate: A Systematic Review. Journal of Clinical Medicine. 2024; 13(7):2090. https://doi.org/10.3390/jcm13072090
Chicago/Turabian StyleBaeza-Pagador, Ana, Ana Tejero-Martínez, Lucas Salom-Alonso, Sara Camañes-Gonzalvo, Verónica García-Sanz, and Vanessa Paredes-Gallardo. 2024. "Diagnostic Methods for the Prenatal Detection of Cleft Lip and Palate: A Systematic Review" Journal of Clinical Medicine 13, no. 7: 2090. https://doi.org/10.3390/jcm13072090
APA StyleBaeza-Pagador, A., Tejero-Martínez, A., Salom-Alonso, L., Camañes-Gonzalvo, S., García-Sanz, V., & Paredes-Gallardo, V. (2024). Diagnostic Methods for the Prenatal Detection of Cleft Lip and Palate: A Systematic Review. Journal of Clinical Medicine, 13(7), 2090. https://doi.org/10.3390/jcm13072090

