Abstract
Objectives: The objective is to compare stiffness changes around the shoulder muscles between pitchers and position players after throwing overhead using shear wave elastography (SWE) in relation to throwing motion analysis and muscle strength. Methods: A total of 32 male college baseball players (12 pitchers and 20 position players) were observed throwing 20 times, and SWE was performed to evaluate 13 shoulder muscle items—tendons (supraspinatus, infraspinatus, subscapularis, and teres minor), muscles (supraspinatus, infraspinatus [transverse and oblique part], teres minor, lower trapezius, latissimus dorsi, and pectoralis minor), and capsules (posterior and posteroinferior). Motion analysis was used to assess elbow torque, forearm angle, forearm rotation speed, and maximum external rotation angle of the shoulder. Muscle strength was measured using a dynamometer for abduction, internal/external rotation of the shoulder at an abduction of 0°, internal/external rotation of the shoulder at an abduction of 90°, and internal/external rotation of shoulder at a flexion of 90°. Results: In the pitcher group, SWE values for the teres minor muscle and latissimus dorsi muscle increased significantly after throwing. In the position player group, SWE values for the teres minor muscle significantly increased, and SWE values of the pectoralis minor muscle decreased after throwing. In the pitcher group, positive correlations were found between the teres minor muscle and forearm rotation speed and between the latissimus dorsi muscle and forearm angle. No significant difference was found in muscle strength after throwing in any of the groups. Conclusions: Stiffness changes occurred after throwing and were related to the motion analysis, but the regions in which stiffness occurred varied between pitchers and position players.
1. Introduction
Approximately 30% of baseball players experience shoulder pain when throwing [1,2], as a result of an accumulation of microtrauma from highly repetitive overhand throwing [3]. In the late-cocking phase, the pitcher moves the arm backward so that the long axis of the forearm is approximately parallel to the horizontal plane. The range of motion of external rotation of the shoulder joint, which is said to be approximately 100°, exceeds 160° during the late-cocking phase, and the acceleration to internal rotation is more than 6000° per second [4]. In the follow-through phase, the arm moves forward of the body, the elbow joint is extended, and the shoulder joint is internally rotated, and thus a traction force of approximately 108% of the body weight acts on the posterior capsule [5]. As a result of repetitive cocking movements and traction forces during follow-through, the posterior capsule and muscles become thicker and stiffer [6,7]. This change in the stiffness around the posterior shoulder joint can cause glenohumeral internal rotation deficit, which contributes to increased internal shoulder joint pressure and the development of internal impingement. This could result in rotator cuff and labrum injuries, which are organic diseases of the shoulder caused by the throwing motion [6,8]. A subset of 43 baseball and softball players across four studies yielded a 79% rate of return to sports; however, only 38% returned to the same level of play or higher [9], these injuries should be prevented. In fact, these changes in stiffness around the shoulder muscles are one of the major factors in the onset and exacerbation of throwing disorders. Pitchers are injured 3.6–5.8 times more frequently than position players [10]. A quantitative evaluation of the changes in stiffness around the shoulder muscles will be a useful diagnostic indicator for understanding the causes of a disabled throwing shoulder and estimating the risk of recurrence of that. However, no studies have examined the relationship between throwing form and the differences between pitchers and position players. Additionally, no method has been established to evaluate the changes using images.
Several recent studies using ultrasonic shear wave elastography (SWE) have been reported. This technique uses acoustic radiation force produced via a transducer to create shear waves, and the velocity of the waves is measured using ultrasonography as they travel through tissue. The stiffness of skeletal muscles can be measured using SWE [11,12,13], which is useful in predicting retears after rotator cuff repair surgery [14,15], evaluating changes in stiffness of the rotator cuff and joint capsule in a frozen shoulder [16], and evaluating the healing process of muscle injury [17]. In the disabled throwing shoulder, SWE has also been used to analyze the sequential changes in muscle elasticity in the shoulder girdle before and after pitching [18] and to evaluate the elasticity of the posterior shoulder muscles after stretching [19].
We hypothesized that the stiffness of the posterior shoulder muscles increases after throwing, these muscles become stiffer relative to the speed of the arm action, and the muscle strengths of these decrease. The aims of this study were (1) to quantitatively evaluate the change in stiffness using SWE between pre- and post-throwing and to identify the areas where change occurs; (2) to quantitatively evaluate muscle strength in the shoulder region between pre- and post-throwing; and (3) to examine the relationship of change in stiffness to the analysis of the throwing motion. Identifying the relationship between muscle stiffness and muscle strength and the relationship between muscle stiffness and throwing motion analysis by throwing may allow for stretching and training interventions for those muscles, which can result in the prevention of a disabled throwing shoulder.
2. Materials and Methods
2.1. Participants
This study was a descriptive laboratory study approved by the Ethics Committee of Juntendo University Urayasu Hospital (protocol code U20-0069 and date of approval on 1 April 2021), and written informed consent was obtained from all participants. The current male college baseball players from one university volunteered to participate in the study from March 2022 to February 2023. The inclusion criteria were that the participant had at least 5 years of baseball experience and was currently a college baseball player. The exclusion criteria were (1) a history of shoulder and elbow injury requiring them to miss playing time, (2) any pain in the upper extremities at the time of the examination, and (3) a throwing motion that was not overhead. Figure 1 shows the CONSORT flow diagram.
Figure 1.
CONSORT flow diagram depicting the progression of participants through a clinical trial.
2.2. Evaluation of SWE Ultrasound
SWE was measured using an Aixplorer (Supersonic Imagine, Aix-en-Provence, France). The examinations were performed by a single shoulder surgeon with 6 years of experience who is experienced with the ultrasound technique. Subjects were examined using SWE to assess the elasticity of muscles and associated components in the shoulder region, including the supraspinatus (SSP) tendon, infraspinatus (ISP) tendon, subscapularis (SSC) tendon, teres minor (TM) tendon, SSP muscle, ISP muscle transverse part, ISP oblique part, TM muscle, lower trapezius (LT) muscle, latissimus dorsi (LD), pectoralis minor (PMi) muscle, posterior capsule, and posteroinferior capsule. When measuring the SSP tendon, ISP tendon, and TM tendons, the participants were scanned in a seated position with the throwing arm relaxed (forearm resting on the ipsilateral thigh) along the tendon. When measuring the SSC tendon, the participants were scanned along the tendon with the upper extremity in a 45° external rotation position with the upper extremity drooped (Figure 2B). When the probe was applied to the supraspinatus fossa, the trapezius muscle was identified in the superficial layer and the SSP muscle was observed beneath it. The ISP transverse and oblique parts were scanned along the muscle fibers positioned 1 cm and 2 cm from the center of the scapular spine, respectively [20]. For the low trapezius muscle, the lateral edge of the transducer was placed 5 cm below the root of the spine of the scapula, and the body of the transducer was inclined at approximately 55° to appear on the long axis of the muscle, as described in a previous study [21]. The LD was scanned by placing the probe parallel to the muscle fibers at three fingerbreadths distal to and along the posterior axillary fold [22]. When the probe was placed medial to the coracoid process, the PMi muscle, which is attached to the coracoid process, was observed beneath the pectoralis major muscle. The measurement site of the PMi was defined as the midpoint between the coracoid process and the fourth rib and sternum junction [23]. The location of the transducer was adjusted to clearly visualize the humeral head, glenoid rim, labrum, and ISP, and the elasticity of the posterior capsule beneath the ISP was measured 5 mm lateral to the edge of the labrum. The location of the transducer was adjusted to clearly visualize the humeral head, glenoid rim, labrum, and TM muscle, and the elasticity of the posteroinferior capsule was measured in the same manner as the measurements of the posterior capsule (i.e., at a location 5 mm lateral to the edge of the labrum) [24]. SWE measurements of the SSP tendons, ISP tendons, TM tendons, and SSC tendons were taken just above the medial border of the tendon attachment. Figure 2 shows the probe placement for each muscle; all muscles were scanned along the long axis, displaying B-mode images. A color-coded box showing the shear elastic modulus was superimposed on the B-mode ultrasound image, and the circular region of interest was set near the central part of the muscle (Figure 3). We performed each measurement twice and used the mean of the two values for the analysis.
Figure 2.
Measurement points for the shear wave elastography (SWE) examinations. (A) Probe placement for each tendon; SSC, subscapularis; SSP, supraspinatus; ISP, infraspinatus; TM, teres minor. (B) Posture and site for measurement of SSC tendon stiffness. The participant was scanned along the tendon with the upper extremity in a 45° external rotation position with the upper extremity drooped. (C,D) Probe placement for each muscle; PMi, pectoralis minor; SSP, supraspinatus; ISP trans, the transverse part of the infraspinatus; ISP oblique, the oblique part of the infraspinatus; TM, teres minor; LD, latissimus dorsi; LT, lower trapezius. Positioning of the participants during SWE examination of the posterior capsule (E) and the posteroinferior capsule (F).
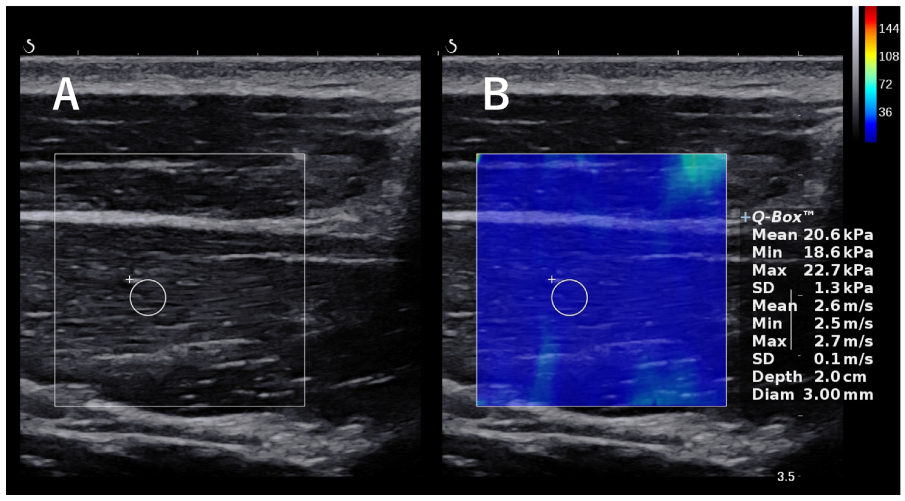
Figure 3.
The images of shear wave elastography. The circle in the figure is the region of interest. (A) B-mode ultrasound image showing the supraspinatus muscle. (B) B-mode image with overlaid elastogram. The circular region of interest was set near the central part of the muscle.
The intrarater and interrater reliability of SWE were assessed. The SWE value was measured independently by two investigators who were experienced orthopedic surgeons to assess interrater reliability. The measurements were repeated twice by each investigator to assess intrarater reliability.
2.3. Muscle Strength Measurement
Two investigators assessed muscle strength using the Dynamometer IsoForceControl EVO2 (Herkules Kunststoff AG, Oberburg, Switzerland) to measure abduction in the scapular plane in a standing position, internal and external rotation at 0° abduction in a standing position, internal and external rotation at 90° abduction in a supine position, and internal and external rotation at 90° flexion in a supine position. The elbow was in full extension when measuring abduction of the scapular plane, but otherwise the elbow flexion was 90 degrees. This dynamometer provides an isometric measurement of muscle strength over a selectable time of 5 s. The participants were instructed not to apply force to the trunk or other parts of the body during the measurement. The maximum value of the muscle strength when force was applied for 5 s was used for analysis.
2.4. Throwing Motion Analysis
Recently, inertial measurement unit (IMU) technology has allowed for the evaluation of throwing kinematics and kinetics. The PULSE Throw Workload Monitor (Driveline Baseball, Kent, WA, USA) IMU with a triaxial accelerometer and triaxial gyroscope was used to measure elbow varus torque and arm slot, arm speed, and arm rotation. Previous research has shown that the IMU measures correlate well with laboratory measures [25] and provide precise and reproducible data [26]. Participants were instructed in how to wear the sleeve correctly, with the sensor on the medial side of the forearm, roughly two finger widths distal to the medial epicondyle of the humerus (Figure 4). The mean of the four items was used in the analysis.
Figure 4.
Placement of the inertial measurement unit sensor using double-sided adhesive instead of the provided sleeve. The circle in the figure is the medial epicondyle of the humerus.
2.5. Testing Procedures
The SWE value and muscle strength on the throwing side were measured before and immediately after throwing. The measurements were initially taken before the participants performed any warm-up exercises or the throwing program. After jogging, generalized full-body stretching, and a warm-up, all participants were assured that they could throw to the best of their ability. After confirming that the full intensity was requested, all participants began throwing 18.44 m. The participants performed 20 throws at full intensity, and the measurements of SWE and muscle strength were repeated within 30 min of concluding the throwing.
2.6. Statistical Analysis
Data are expressed as means ± standard deviation and were evaluated for all players, pitchers, and position players. We evaluated the intrarater and interrater reliability using the intraclass correlation coefficient (ICC). The Wilcoxon signed-rank test was performed to compare SWE values and muscle strength before throwing and after throwing. Comparisons between the pitcher and position player groups in each of the throwing motion analysis items were analyzed using Mann–Whitney’s U test. The SWE ratio was calculated as (SWE after throwing/SWE before throwing), and the correlation between each item of the throwing motion analysis and SWE ratio was examined by calculating Spearman’s rank correlation coefficient. Statistical significance for all tests was set at p < 0.05. All analyses were performed with GraphPad Prism (version 10, San Diego, CA, USA).
3. Results
3.1. Participates
There were 32 male college baseball players who met these exclusion and inclusion criteria. Participants’ characteristics are shown in Table 1. Their mean age was 20.5 ± 1.6 years (range, 19–24 years); 12 were pitchers; and 20 were position players. The mean length of their baseball career was 10.1 ± 2.9 years (range, 5–15 years).
Table 1.
Participants’ characteristics.
3.2. Reliability of Ultrasound Findings on Stiffness of Shoulder Muscles and Tendons
Table 2 shows the reliability values for the SWE measurements of the shoulder muscles and tendons. The intrarater ICC was 0.772 to 0.931 and the interrater ICC was 0.718 to 0.925, indicating good reliability.
Table 2.
Reliability of ultrasound measurements for muscle elasticity.
3.3. Evaluation of SWE Values and Muscle Strength
Mean SWE values and muscle strength at two time points for 13 items around the shoulder joint are shown (Table 3: all-player group, Table 4: pitcher group, and Table 5: position player group).
Table 3.
Mean elasticity values and muscle strength values at 2 time points in the all-player group. Bolded p values indicate a statistically significant difference (p < 0.05).
Table 4.
Mean elasticity values and muscle strength values at 2 time points in the pitcher group. Bolded p values indicate a statistically significant difference (p < 0.05).
Table 5.
Mean elasticity values and muscle strength values at 2 time points in the position player group. Bolded p values indicate a statistically significant difference (p < 0.05).
Overall, the SWE values of the TM and LD muscles after throwing were significantly higher than those before throwing, whereas the SWE value of the PMi muscle was significantly lower than that before throwing. In the pitcher group, the SWE values of the TM and LD muscles were significantly higher after throwing. In the position player group, the SWE value of the TM muscle was significantly higher after throwing, whereas that of the PMi was significantly lower. No significant difference was found in muscle strengths after throwing in any of the groups in this study.
3.4. Correlation between SWE Ratio and Each Item in the Throwing Motion Analysis
Figure 5 shows the correlation between the throwing motion analysis and SWE ratios in the pitcher group. A positive correlation was found between arm speed and the SWE ratio of the TM muscle (r = 0.739). A positive correlation was also found between the arm slot and the SWE of the LD muscle (r = 0.740). No significant correlations between the throwing motion analysis and SWE ratios were observed in the overall and position player groups.
Figure 5.
Correlations between throwing motion analysis and SWE ratios in the pitcher group. There was a positive correlation between arm speed and the SWE ratio of the teres minor muscle (A) and a positive correlation between arm slot and the SWE ratio of the latissimus dorsi muscle (B).
Table 6 shows the comparative results of the throwing motion analysis between pitchers and position players. There were no significant differences between pitchers and position players in the four items measured by the IMU.
Table 6.
Items of throwing motion analysis measured by PULSE throw workload monitor IMU.
4. Discussion
In this study, the SWE values of the TM and LD muscles increased after throwing in the all-player group, whereas the SWE values of the PMi muscles decreased. A previous study of electromyograms of the shoulder muscles during pitching in 56 pitchers reported that the range of motion of external rotation of the shoulder joint increased during the cocking phase due to concentric contraction of the TM muscle, that concentric contraction of the LD muscle during the acceleration phase produced an angular velocity of internal rotation of approximately 6500° per second, and that the posterior muscles such as the TM and LD muscles contracted eccentrically to decelerate the arm speed during the deceleration phase [27]. In this study, the stiffness of the TM muscle might increase as a result of concentric contraction during the cocking phase and eccentric contraction during the deceleration phase. Indeed, a positive correlation was found between arm speed and SWE values of the TM muscles, although only in the pitcher group. The relationship between SWE and throwing motion analysis shows that as the arm speed increases, a large eccentric contraction is required to decelerate the arm, causing a marked increase in stiffness. The stiffness of the LD muscle also might increase as a result of concentric contraction during the acceleration phase and eccentric contraction during the deceleration phase. A positive correlation was also found between arm slot and the SWE values of the LD muscle, although only in the pitcher group. As the increase in the arm slot became greater, the LD muscle length increased. This shows that eccentric contraction with greater muscle length increased the stiffness of the LD muscles. During the late-cocking phase, when the humerus has the maximum external rotation, the scapula is in upward rotation, with a posterior tilt and external rotation [28], at which time the PMi muscle is extended. Many previous studies have reported that eccentric contraction acutely increases muscle stiffness [29,30,31]. In contrast, some reports suggest that low-load eccentric contraction may result in an acute decrease in muscle stiffness [32]. Recent studies have also demonstrated that muscle stiffness is acutely decreased by repeated muscle contractions [33,34,35]. In the present study, the decrease in stiffness in the PMi muscle after throwing may be due to a low throwing load or to a temporary response caused by repetitive muscle contractions.
In the pitcher group, the stiffness of the TM and LD muscles increased after throwing. In the position player group, the stiffness of the TM muscle increased, but the stiffness of the PMi muscle decreased after throwing. The throwing motion analysis showed no difference in throwing form between the pitcher group and the position player group. This suggests that there may be differences in the areas where stiffness changes occur even with the same throwing form. Previous studies have reported different stiffnesses in the posterior shoulder muscles between pitchers and position players [36]. These positional characteristics may influence the difference in stiffness that occurs between pitchers and position players. Further study should be conducted to evaluate differences in stiffness according to position.
After the subjects had thrown 20 balls as hard as possible, there were changes in the SWE value in the TM, LD, and PMi muscles but no changes in muscle strength. According to a previous study that investigated changes in muscle strength in 10 members of a university baseball team after throwing 60 pitches of approximately 18 m as hard as they could, external rotator muscle strength decreased immediately after pitching and returned to normal on the third day after pitching [37]. The small number of throws in the present study did not result in muscle strength changes, suggesting that muscle stiffness changes may occur before muscle strength changes occur. Muscle strength changes during the throwing motion can lead to compensatory movements that can injure the athlete. Changes caused by muscle fatigue from the throwing motion are associated with kinematic changes that decrease tissue tolerance and increase the risk of injury [38]. Assessing muscle stiffness may help to determine the muscles that may experience early muscle weakness, which may lead to the prevention of disability and therapeutic intervention.
A previous study reported an increase in stiffness in all muscles measured (SSP, ISP, middle trapezius, LT, serratus anterior, and rhomboid muscles) after 100 pitches [18]. And the mean elasticity values of the infraspinatus and the lower trapezius muscle remained elevated 24 h after pitching. This suggests that the higher load applied to the shoulder in the throwing motion increases the stiffness of the more posterior shoulder muscle groups. In this study, changes in muscle stiffness occurred immediately after 20 throwing movements. The fact that the mean elasticity values changed even with a small number of pitches suggests that pitching motion had some effect on these muscles, causing a more specific change in stiffness. In other words, this leads to the identification of muscles that are more susceptible to the effects of throwing. In the present study, the stiffness of the TM muscles increased in pitchers, position players, and all players, regardless of position. No previous studies using SWE have focused on the TM muscle, but this was the muscle that stiffened after throwing in all athletes in the present study. Cross-body stretching, performed with 90° flexion in the throwing side-lying position with the humerus of the throwing side moved into internal rotation using the arm of the non-throwing side, has been reported to reduce the stiffness of the TM muscle [19]. It is suggested that this type of stretching might help prevent a disabled throwing shoulder.
This study identified muscles that are subjected to early loading in throwing and revealed that there are differences depending on position. This fact reveals the muscles to focus on, such as training and stretching, depending on position, and may prevent injury from throwing. It was also found that muscle stiffness changes were observed before muscle strength changes. It was suggested that measuring muscle stiffness may be one indicator to prevent large loading in rehabilitation and for the prevention of a disabled throwing shoulder.
This study had some limitations. First, the study focused on a single college baseball team and evaluated a relatively small sample size because players with current shoulder and elbow pain and players with a non-overthrow form of motion were excluded. Second, the IMU used for the throwing motion analysis is very simple and easy to use, but its measurement items are the forearm angle and shoulder joint external rotation angle from the ground. In other words, it is the sum of multiple joint ranges of motion, including the pelvis and vertebrae. Although the throwing motion is a whole-body movement, it is preferable to separately evaluate the movement between each joint segment for muscle evaluation. Previous research had shown that the IMU measures correlate well with laboratory measures and provide precise and reproducible data. But recently study demonstrated that the values provided by the IMU should not be considered equivalent to those generated by the gold standard of marker-based motion capture [39]. It may be difficult to use the IMU to evaluate throws. Future research should be conducted to investigate the effect of the movement of each segment on stiffness. The third point is that the results of this study indicate which phase caused the stiffness change, but this is only a guess since the electromyogram was not actually measured. The development of a new device that can capture the characteristics of each phase is desired in the future. Fourth, we did not investigate any associations with pain. Future investigation of the correlation between pain, throwing motion analysis, and muscle stiffness may lead to a better understanding of the pathophysiology of a disabled throwing shoulder.
5. Conclusions
The SWE values of the TM and LD muscles increased in the pitcher group, whereas the SWE values of the TM muscle increased and those of the PMi muscles decreased in the position player group. Positive correlations were found between arm speed and the TM muscles and between arm slot and the LD muscle in the pitcher group.
Author Contributions
H.T., First author who contributed for all of this study. Y.I., Corresponding author. H.U., Analysis of data. F.H., Data acquisition. A.K., Data acquisition. M.M., Data acquisition. K.M., Conception of study and interpretation of data. Y.T., Conception of study and interpretation of data. M.I., Interpretation of data and study design. All authors have read and agreed to the published version of the manuscript.
Funding
This research was funded by a grant from the Grant-in-Aid for Scientific Research (C) (21K11420).
Institutional Review Board Statement
The study was conducted according to the guidelines of the Declaration of Helsinki and approved by the Ethics Committee of Juntendo University Urayasu Hospital (protocol code U20-0069 and date of approval on 1 April 2021).
Informed Consent Statement
Informed consent was obtained from all subjects involved in the study.
Data Availability Statement
Data are contained within the article.
Acknowledgments
We would like to thank Helen Jeays, F Rosas and Luke Kenyon.
Conflicts of Interest
The authors declare no conflicts of interest.
References
- Lyman, S.; Fleisig, G.S.; Waterbor, J.W.; Funkhouser, E.M.; Pulley, L.; Andrews, J.R.; Osinski, E.D.; Roseman, J.M. Longitudinal study of elbow and shoulder pain in youth baseball pitchers. Med. Sci. Sports Exerc. 2001, 33, 1803–1810. [Google Scholar] [CrossRef] [PubMed]
- Lyman, S.; Fleisig, G.S. Effect of pitch type, pitch count, and pitching mechanics on risk of elbow and shoulder pain in youth baseball pitchers. Am. J. Sports Med. 2002, 30, 463–468. [Google Scholar] [CrossRef] [PubMed]
- Andrews, J.R.; Fleisig, G.S. Preventing throwing injuries. J. Orthop. Sports Phys. Ther. 1998, 27, 187–188. [Google Scholar] [CrossRef] [PubMed]
- Fleisig, G.S.; Andrews, J.R.; Dillman, C.J.; Escamilla, R.F. Kinetics of baseball pitching with implications about injury mechanisms. Am. J. Sports Med. 1995, 23, 233–239. [Google Scholar] [CrossRef] [PubMed]
- Werner, S.L.; Guido, J.A., Jr.; Stewart, G.W.; McNeice, R.P.; VanDyke, T.; Jones, D.G. Relationships between throwing mechanics and shoulder distraction in collegiate baseball pitchers. J. Shoulder Elb. Surg. 2007, 16, 37–42. [Google Scholar] [CrossRef]
- Burkhart, S.S.; Morgan, C.D.; Kibler, W.B. The disabled throwing shoulder: Spectrum of pathology Part I: Pathoanatomy and biomechanics. Arthroscopy 2003, 19, 404–420. [Google Scholar] [CrossRef] [PubMed]
- Gates, J.J.; Gupta, A.; McGarry, M.H.; Tibone, J.E.; Lee, T.Q. The effect of glenohumeral internal rotation deficit due to posterior capsular contracture on passive glenohumeral joint motion. Am. J. Sports Med. 2012, 40, 2794–2800. [Google Scholar] [CrossRef] [PubMed]
- Kibler, W.B. The role of the scapula in athletic shoulder function. Am. J. Sports Med. 1998, 26, 325–337. [Google Scholar] [CrossRef] [PubMed]
- Altintas, B.; Anderson, N.; Dornan, G.J.; Boykin, R.E.; Logan, C.; Millett, P.J. Return to Sport after Arthroscopic Rotator Cuff Repair: Is There a Difference between the Recreational and the Competitive Athlete? Am. J. Sports Med. 2020, 48, 252–261. [Google Scholar] [CrossRef]
- Camp, C.L.; Dines, J.S.; van der List, J.P.; Conte, S.; Conway, J.; Altchek, D.W.; Coleman, S.H.; Pearle, A.D. Summative Report on Time out of Play for Major and Minor League Baseball: An Analysis of 49,955 Injuries from 2011 through 2016. Am. J. Sports Med. 2018, 46, 1727–1732. [Google Scholar] [CrossRef]
- Hatta, T.; Giambini, H.; Uehara, K.; Okamoto, S.; Chen, S.; Sperling, J.W.; Itoi, E.; An, K.N. Quantitative assessment of rotator cuff muscle elasticity: Reliability and feasibility of shear wave elastography. J. Biomech. 2015, 48, 3853–3858. [Google Scholar] [CrossRef]
- Itoigawa, Y.; Sperling, J.W.; Steinmann, S.P.; Chen, Q.; Song, P.; Chen, S.; Itoi, E.; Hatta, T.; An, K.N. Feasibility assessment of shear wave elastography to rotator cuff muscle. Clin. Anat. 2015, 28, 213–218. [Google Scholar] [CrossRef] [PubMed]
- Yoshida, K.; Itoigawa, Y.; Maruyama, Y.; Saita, Y.; Takazawa, Y.; Ikeda, H.; Kaneko, K.; Sakai, T.; Okuwaki, T. Application of shear wave elastography for the gastrocnemius medial head to tennis leg. Clin. Anat. 2017, 30, 114–119. [Google Scholar] [CrossRef] [PubMed]
- Hatta, T.; Giambini, H.; Itoigawa, Y.; Hooke, A.W.; Sperling, J.W.; Steinmann, S.P.; Itoi, E.; An, K.N. Quantifying extensibility of rotator cuff muscle with tendon rupture using shear wave elastography: A cadaveric study. J. Biomech. 2017, 61, 131–136. [Google Scholar] [CrossRef]
- Itoigawa, Y.; Maruyama, Y.; Kawasaki, T.; Wada, T.; Yoshida, K.; An, K.N.; Kaneko, K. Shear Wave Elastography Can Predict Passive Stiffness of Supraspinatus Musculotendinous Unit during Arthroscopic Rotator Cuff Repair for Presurgical Planning. Arthroscopy 2018, 34, 2276–2284. [Google Scholar] [CrossRef] [PubMed]
- Wada, T.; Itoigawa, Y.; Yoshida, K.; Kawasaki, T.; Maruyama, Y.; Kaneko, K. Increased Stiffness of Rotator Cuff Tendons in Frozen Shoulder on Shear Wave Elastography. J. Ultrasound Med. 2020, 39, 89–97. [Google Scholar] [CrossRef] [PubMed]
- Yoshida, K.; Itoigawa, Y.; Maruyama, Y.; Kaneko, K. Healing Process of Gastrocnemius Muscle Injury on Ultrasonography Using B-Mode Imaging, Power Doppler Imaging, and Shear Wave Elastography. J. Ultrasound Med. 2019, 38, 3239–3246. [Google Scholar] [CrossRef]
- Yamaura, K.; Mifune, Y.; Inui, A.; Nishimoto, H.; Kataoka, T.; Kurosawa, T.; Mukohara, S.; Niikura, T.; Kokubu, T.; Kuroda, R. Sequential Changes in Posterior Shoulder Muscle Elasticity after Throwing as Assessed via Ultrasound Shear Wave Elastography. Orthop. J. Sports Med. 2021, 9, 23259671211021362. [Google Scholar] [CrossRef] [PubMed]
- Yamauchi, T.; Hasegawa, S.; Nakamura, M.; Nishishita, S.; Yanase, K.; Fujita, K.; Umehara, J.; Ji, X.; Ibuki, S.; Ichihashi, N. Effects of two stretching methods on shoulder range of motion and muscle stiffness in baseball players with posterior shoulder tightness: A randomized controlled trial. J. Shoulder Elb. Surg. 2016, 25, 1395–1403. [Google Scholar] [CrossRef]
- Kato, A.; Nimura, A.; Yamaguchi, K.; Mochizuki, T.; Sugaya, H.; Akita, K. An anatomical study of the transverse part of the infraspinatus muscle that is closely related with the supraspinatus muscle. Surg. Radiol. Anat. 2012, 34, 257–265. [Google Scholar] [CrossRef]
- Mifune, Y.; Inui, A.; Nishimoto, H.; Kataoka, T.; Kurosawa, T.; Yamaura, K.; Mukohara, S.; Niikura, T.; Kokubu, T.; Akisue, T.; et al. Assessment of posterior shoulder muscle stiffness related to posterior shoulder tightness in college baseball players using shear wave elastography. J. Shoulder Elb. Surg. 2020, 29, 571–577. [Google Scholar] [CrossRef] [PubMed]
- Asayama, A.; Tateuchi, H.; Ota, M.; Motomura, Y.; Yanase, K.; Komamura, T.; Ichihashi, N. Differences in shear elastic modulus of the latissimus dorsi muscle during stretching among varied trunk positions. J. Biomech. 2021, 118, 110324. [Google Scholar] [CrossRef] [PubMed]
- Umehara, J.; Nakamura, M.; Nishishita, S.; Tanaka, H.; Kusano, K.; Ichihashi, N. Scapular kinematic alterations during arm elevation with decrease in pectoralis minor stiffness after stretching in healthy individuals. J. Shoulder Elb. Surg. 2018, 27, 1214–1220. [Google Scholar] [CrossRef] [PubMed]
- Takenaga, T.; Sugimoto, K.; Goto, H.; Nozaki, M.; Fukuyoshi, M.; Tsuchiya, A.; Murase, A.; Ono, T.; Otsuka, T. Posterior Shoulder Capsules Are Thicker and Stiffer in the Throwing Shoulders of Healthy College Baseball Players: A Quantitative Assessment Using Shear-Wave Ultrasound Elastography. Am. J. Sports Med. 2015, 43, 2935–2942. [Google Scholar] [CrossRef]
- Boddy, K.J.; Marsh, J.A.; Caravan, A.; Lindley, K.E.; Scheffey, J.O.; O’Connell, M.E. Exploring wearable sensors as an alternative to marker-based motion capture in the pitching delivery. PeerJ 2019, 7, e6365. [Google Scholar] [CrossRef]
- Camp, C.L.; Tubbs, T.G.; Fleisig, G.S.; Dines, J.S.; Dines, D.M.; Altchek, D.W.; Dowling, B. The Relationship of Throwing Arm Mechanics and Elbow Varus Torque: Within-Subject Variation for Professional Baseball Pitchers Across 82,000 Throws. Am. J. Sports Med. 2017, 45, 3030–3035. [Google Scholar] [CrossRef]
- Escamilla, R.F.; Andrews, J.R. Shoulder muscle recruitment patterns and related biomechanics during upper extremity sports. Sports Med. 2009, 39, 569–590. [Google Scholar] [CrossRef] [PubMed]
- Oliver, G.; Weimar, W. Scapula Kinematics of Youth Baseball Players. J. Hum. Kinet. 2015, 49, 47–54. [Google Scholar] [CrossRef]
- Akagi, R.; Tanaka, J.; Shikiba, T.; Takahashi, H. Muscle hardness of the triceps brachii before and after a resistance exercise session: A shear wave ultrasound elastography study. Acta Radiol. 2015, 56, 1487–1493. [Google Scholar] [CrossRef]
- Ema, R.; Nosaka, K.; Kawashima, R.; Kanda, A.; Ikeda, K.; Akagi, R. Muscle length influence on rectus femoris damage and protective effect in knee extensor eccentric exercise. Scand. J. Med. Sci. Sports 2021, 31, 597–609. [Google Scholar] [CrossRef]
- Lacourpaille, L.; Nordez, A.; Hug, F.; Doguet, V.; Andrade, R.; Guilhem, G. Early detection of exercise-induced muscle damage using elastography. Eur. J. Appl. Physiol. 2017, 117, 2047–2056. [Google Scholar] [CrossRef] [PubMed]
- Kawama, R.; Yanase, K.; Hojo, T.; Wakahara, T. Acute changes in passive stiffness of the individual hamstring muscles induced by resistance exercise: Effects of contraction mode and range of motion. Eur. J. Appl. Physiol. 2022, 122, 2071–2083. [Google Scholar] [CrossRef] [PubMed]
- Morales-Artacho, A.J.; Lacourpaille, L.; Guilhem, G. Effects of warm-up on hamstring muscles stiffness: Cycling vs foam rolling. Scand. J. Med. Sci. Sports 2017, 27, 1959–1969. [Google Scholar] [CrossRef]
- Chalchat, E.; Gennisson, J.L.; Penailillo, L.; Oger, M.; Malgoyre, A.; Charlot, K.; Bourrilhon, C.; Siracusa, J.; Garcia-Vicencio, S. Changes in the Viscoelastic Properties of the Vastus Lateralis Muscle with Fatigue. Front. Physiol. 2020, 11, 307. [Google Scholar] [CrossRef] [PubMed]
- Kisilewicz, A.; Madeleine, P.; Ignasiak, Z.; Ciszek, B.; Kawczynski, A.; Larsen, R.G. Eccentric Exercise Reduces Upper Trapezius Muscle Stiffness Assessed by Shear Wave Elastography and Myotonometry. Front. Bioeng. Biotechnol. 2020, 8, 928. [Google Scholar] [CrossRef]
- Baltaci, G.; Johnson, R.; Kohl, H. Shoulder range of motion characteristics in collegiate baseball players. J. Sports Med. Phys. Fit. 2001, 41, 236–242. [Google Scholar]
- Mirabito, N.S.; Topley, M.; Thomas, S.J. Acute Effect of Pitching on Range of Motion, Strength, and Muscle Architecture. Am. J. Sports Med. 2022, 50, 1382–1388. [Google Scholar] [CrossRef] [PubMed]
- Birfer, R.; Sonne, M.W.; Holmes, M.W. Manifestations of muscle fatigue in baseball pitchers: A systematic review. PeerJ 2019, 7, e7390. [Google Scholar] [CrossRef]
- Camp, C.L.; Loushin, S.; Nezlek, S.; Fiegen, A.P.; Christoffer, D.; Kaufman, K. Are Wearable Sensors Valid and Reliable for Studying the Baseball Pitching Motion? An Independent Comparison with Marker-Based Motion Capture. Am. J. Sports Med. 2021, 49, 3094–3101. [Google Scholar]
Disclaimer/Publisher’s Note: The statements, opinions and data contained in all publications are solely those of the individual author(s) and contributor(s) and not of MDPI and/or the editor(s). MDPI and/or the editor(s) disclaim responsibility for any injury to people or property resulting from any ideas, methods, instructions or products referred to in the content. |
© 2024 by the authors. Licensee MDPI, Basel, Switzerland. This article is an open access article distributed under the terms and conditions of the Creative Commons Attribution (CC BY) license (https://creativecommons.org/licenses/by/4.0/).




