Falcotentorial Meningiomas: Insights from Surgical Strategies and Clinical Outcomes
Abstract
1. Introduction
2. Material and Methods
2.1. Study Design, Patient Selection, and Data Collection
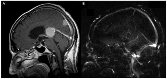
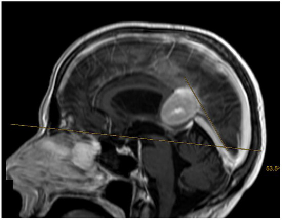
2.2. Volumetric Analysis, Vascular Features, and Tentorial Angle
2.3. Statistical Analysis
3. Results
3.1. Clinical Characteristics
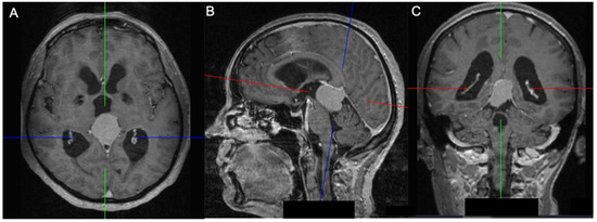
3.2. Preoperative Imaging Data
3.3. Surgical Strategy and Intraoperative Data
3.4. Histological Features
3.5. Clinical Outcomes
4. Discussion
5. Conclusions
Author Contributions
Funding
Institutional Review Board Statement
Informed Consent Statement
Data Availability Statement
Acknowledgments
Conflicts of Interest
References
- Asari, S.; Yabuno, N.; Ohmoto, T. Magnetic Resonance Characteristics of Meningiomas Arising from the Falcotentorial Junction. Comput. Med. Imaging Graph. 1994, 18, 181–185. [Google Scholar] [CrossRef] [PubMed]
- Goto, T.; Ohata, K.; Morino, M.; Takami, T.; Tsuyuguchi, N.; Nishio, A.; Hara, M. Falcotentorial Meningioma: Surgical Outcome in 14 Patients. JNS 2006, 104, 47–53. [Google Scholar] [CrossRef] [PubMed]
- Quinones-Hinojosa, A.; Chang, E.F.; McDermott, M.W. Falcotentorial Meningiomas: Clinical, Neuroimaging, and Surgical Features in Six Patients. FOC 2003, 14, 1–7. [Google Scholar] [CrossRef] [PubMed]
- Bassiouni, H.; Asgari, S.; König, H.-J.; Stolke, D. Meningiomas of the Falcotentorial Junction: Selection of the Surgical Approach according to the Tumor Type. Surg. Neurol. 2008, 69, 339–349. [Google Scholar] [CrossRef] [PubMed]
- Liu, P.; Wang, X.; Liu, Y.; Cai, J.; Yang, Z.; Quan, K.; Zhu, W.; Song, J. Surgical Management of Falcotentorial Junction Tumors: A Case Series Report. Front. Oncol. 2022, 12, 866225. [Google Scholar] [CrossRef] [PubMed]
- Alves Junior, A.C.; Botta, F.P.; Hamamoto Filho, P.T.; Zanini, M.A. Occipital Interhemispheric Transtentorial Approach for a Pineal Region Meningioma with Pseudobulbar Palsy. World Neurosurg. 2022, 161, 71. [Google Scholar] [CrossRef] [PubMed]
- Nowak, A.; Dziedzic, T.; Czernicki, T.; Kunert, P.; Marchel, A. Falcotentorial and Velum Interpositum Meningiomas: Two Distinct Entities of the Pineal Region. Neurol. i Neurochir. Pol. 2014, 48, 397–402. [Google Scholar] [CrossRef]
- Asari, S.; Maeshiro, T.; Tomita, S.; Kawauchi, M.; Yabuno, N.; Kinugasa, K.; Ohmoto, T. Meningiomas Arising from the Falcotentorial Junction: Clinical Features, Neuroimaging Studies, and Surgical Treatment. J. Neurosurg. 1995, 82, 726–738. [Google Scholar] [CrossRef] [PubMed]
- Zhao, X.; Belykh, E.; Przybylowski, C.J.; Borba Moreira, L.; Gandhi, S.; Tayebi Meybodi, A.; Cavallo, C.; Valli, D.; Wicks, R.T.; Nakaji, P. Surgical Treatment of Falcotentorial Meningiomas: A Retrospective Review of a Single-Institution Experience. J. Neurosurg. 2020, 133, 630–641. [Google Scholar] [CrossRef]
- Raco, A.; Agrillo, A.; Ruggeri, A.; Gagliardi, F.M.; Cantore, G. Surgical Options in the Management of Falcotentorial Meningiomas: Report of 13 Cases. Surg. Neurol. 2004, 61, 157–164. [Google Scholar] [CrossRef]
- Przybylowski, C.J.; Hendricks, B.K.; Furey, C.G.; DiDomenico, J.D.; Porter, R.W.; Sanai, N.; Almefty, K.K.; Little, A.S. Residual Tumor Volume and Tumor Progression after Subtotal Resection and Observation of WHO Grade I Skull Base Meningiomas. J. Neurol. Surg. B Skull Base 2021, 83, e530–e536. [Google Scholar] [CrossRef] [PubMed]
- Kao, S.; Waziri, M.; Smith, W.; Sato, Y.; Yuh, W.; Franken, E. MR Imaging of the Craniovertebral Junction, Cranium, and Brain in Children with Achondroplasia. Am. J. Roentgenol. 1989, 153, 565–569. [Google Scholar] [CrossRef] [PubMed]
- Hong, C.K.; Hong, J.B.; Park, H.; Moon, J.H.; Chang, J.H.; Lee, K.S.; Park, S.W. Surgical Treatment for Falcotentorial Meningiomas. Yonsei Med. J. 2016, 57, 1022–1028. [Google Scholar] [CrossRef] [PubMed]
- Li, Y.; Zhao, G.; Wang, H.; Zhu, W.; Qu, L.; Li, Y.; Yu, J. Use of 3D-Computed Tomography Angiography for Planning the Surgical Removal of Pineal Region Meningiomas Using Poppen’s Approach: A Report of Ten Cases and a Literature Review. World J. Surg. Oncol. 2011, 9, 64. [Google Scholar] [CrossRef]
- Talacchi, A.; Biroli, A.; Hasanbelliu, A.; Locatelli, F. Surgical Management of Medial Tentorial Meningioma: Falcotentorial and Torcular. World Neurosurg. 2018, 115, e437–e447. [Google Scholar] [CrossRef] [PubMed]
- Li, D.; Zhang, H.; Jia, W.; Zhang, L.; Zhang, J.; Liu, W.; Ni, M.; Jia, G. Significance of the Tentorial Alignment in Protecting the Occipital Lobe with the Poppen Approach for Tentorial or Pineal Area Meningiomas. World Neurosurg. 2017, 108, 453–459. [Google Scholar] [CrossRef] [PubMed]
- Poppen, J.L. The Right Occipital Approach to a Pinealoma. J. Neurosurg. 1966, 25, 706–710. [Google Scholar] [CrossRef]
- Yaşargil, M.G. Pineal Area Tumors. Microneurosurg. IV B 1988, 20, 339–342. [Google Scholar]
- Yaşargil, M.G. AVM of Vein of Galen Region. In Microneurosurgery: AVM of the Brain, Clinical Considerations, General and Special Operative Techniques, Surgical Results, Nonoperated Cases, Cavernous and Venous Angiomas, Neuroanesthesia; Thieme: Stuttgart, Germany, 1988; pp. 323–354. [Google Scholar]
- Yaşargil, M.G.; Cravens, G.F.; Roth, P. Surgical Approaches to “Inaccessible” Brain Tumors. Clin. Neurosurg. 1988, 34, 42–110. [Google Scholar]
- Yasargil, M.G.; Antic, J.; Laciga, R.; Jain, K.K.; Boone, S.C. Arteriovenous Malformations of Vein of Galen: Microsurgical Treatment. Surg. Neurol. 1976, 3, 195–200. [Google Scholar]
- Ding, Y.; Sun, L.; Hu, Y.; Zhai, W.; Zhang, L.; Yu, Z.; Wu, J.; Chen, G. Combined Microscopic and Endoscopic Surgery for Pineal Region Meningiomas Using the Occipital-Parietal Transtentorial Approach. Front. Oncol. 2022, 12, 828361. [Google Scholar] [CrossRef]
- Lopez-Gonzalez, M.A.; Jaeger, A.; Kaplan, B.; Eastin, T.M.; Kore, L.; Gospodarev, V.; Patel, P.D.; Sharafeddin, F. Retractorless Interhemispheric Transtentorial Approach for Large Lesions in the Posterior Incisural Space. Surg. Neurol. Int. 2019, 10, 130. [Google Scholar] [CrossRef]
- Krause, F. Operative Freilegung Der Vierhugel Nebst Beobachtungen Uber Hirndruck and Dekompression. Zentralblatt Chir. 1926, 53, 2812–2819. [Google Scholar]
- Oppenheim, H. Operative Erfolgebei Geschwulsten Der Sehhugel-and Vierhugel-Gegend. Berl. Klin. Wochenschr. 1913, 50, 2316–2322. [Google Scholar]
- Stein, B.M.; Bruce, J.N. Surgical Management of Pineal Region Tumors (Honored Guest Lecture). Clin. Neurosurg. 1992, 39, 509–532. [Google Scholar] [PubMed]
- Bruce, J.N.; Stein, B.M. Pineal Tumors. Neurosurg. Clin. N. Am. 1990, 1, 123–138. [Google Scholar] [CrossRef] [PubMed]
- Bruce, J.N.; Stein, B.M. Surgical Management of Pineal Region Tumors. Acta Neurochir. 1995, 134, 130–135. [Google Scholar] [CrossRef] [PubMed]
- Ashirov, N.N.; Mammadinova, I.Z.; Moldabekov, A.Y.; Berdibayeva, D.T.; Teltayev, D.K.; Ryskeldiyev, N.A.; Akshulakov, S.K. Combined Supracerebellar Infratentorial and Right Occipital Interhemispheric Approach to Falcotentorial Junction Meningioma: A Case Report. Surg. Neurol. Int. 2023, 14, 26. [Google Scholar] [CrossRef]
- Abdallah, H.M.; Mallela, A.N.; Wei, Z.; Abou-Al-Shaar, H.; Niranjan, A.; Lunsford, L.D. Gamma Knife Radiosurgery for Meningiomas of the Confluence of the Falx and Tentorium. J. Neuro-Oncol. 2023, 161, 225–233. [Google Scholar] [CrossRef]





| Case | Age | Sex | Asari Type | Bassiouni Type | Surgical Approach | Simpson Resection Grade | Pathology | CNS WHO Grade | Progression |
|---|---|---|---|---|---|---|---|---|---|
| 1 | 51 | M | Posterior | III | Occipital interhemispheric | 2 | Atypical meningioma | 2 | No |
| 2 | 55 | F | Posterior | IV | Occipital interhemispheric | 2 | Meningothelial meningioma | 1 | No |
| 3 | 51 | F | Anterior | I | Occipital interhemispheric | 2 | Meningothelial meningioma | 1 | No |
| 4 | 51 | M | Inferior | II | Supracerebellar infratentorial | 1 | Transitional meningioma | 1 | No |
| 5 | 75 | M | Inferior | II | Retrosigmoid | 3 | Meningothelial meningioma | 1 | Yes |
| 6 | 71 | M | Posterior | IV | Occipital interhemispheric | 2 | Meningothelial meningioma | 1 | Yes |
| 7 | 55 | F | Inferior | II | Supracerebellar infratentorial | 2 | Meningothelial meningioma | 1 | No |
| 8 | 69 | F | Anterior | I | Supracerebellar infratentorial | 2 | Fibrous meningioma | 1 | No |
| 9 | 43 | M | Anterior | I | Occipital interhemispheric | 2 | Meningothelial meningioma | 1 | No |
| 10 | 45 | F | Inferior | II | Supracerebellar infratentorial | 2 | Meningothelial meningioma | 1 | No |
| 11 | 46 | F | Anterior | I | Occipital interhemispheric | 2 | Transitional meningioma | 1 | No |
| 12 | 46 | F | Inferior | II | Supracerebellar infratentorial | 2 | Meningothelial meningioma | 1 | No |
| 13 | 74 | M | Anterior | I | Occipital interhemispheric | 2 | Meningothelial meningioma | 1 | No |
| 14 | 59 | M | Anterior | I | Occipital interhemispheric | 1 | Meningothelial meningioma | 1 | No |
| 15 | 44 | F | Anterior | I | Occipital interhemispheric | 4 | Atypical meningioma | 2 | Yes |
| General data | Age (years) | 55.6 (±11.3) |
| Sex (male/female) | 7/8 | |
| Preoperative clinical data | Preoperative Karnofsky (%) | 90 (IR: 80–100) |
| Headache | 6 | |
| Seizures | 2 | |
| Motor deficits | 3 | |
| Gait disturbances | 6 | |
| Sensory deficits | 1 | |
| Visual field deficits | 3 | |
| Cerebellar ataxia | 3 | |
| Radiological data | Preoperative tumor volume (cm3) | 17.8 (±17.2) |
| Preoperative tumor edema (cm3) | 21.9 (±38.0) | |
| Infiltration of the straight sinus | 1 | |
| Infiltration of the superior sagittal sinus | 2 | |
| Displacement of the straight sinus | 5 | |
| Displacement of the vein of Galen | 4 | |
| Hydrocephalus | 4 | |
| Tentorial angle | 49.6 (±6.2) | |
| Surgical data | Occipital interhemispheric approach | 9 |
| Supracerebellar infratentorial approach | 4 | |
| Retrosigmoid approach | 1 | |
| Gross total resection (Simpson grades I and II) | 13 | |
| Subtotal resection (Simpson III and IV) | 2 | |
| Mean duration of surgery (min) | 273 (±100) | |
| Mean intraoperative blood loss (mL) | 688 (±447.2) | |
| Histological features | CNS WHO grade 1 | 13 |
| CNS WHO grade 2 | 2 | |
| Meningothelial meningioma | 10 | |
| Transitional meningioma | 2 | |
| Fibrous meningioma | 1 | |
| Atypical meningioma | 2 | |
| Clinical outcomes | Postoperative Karnofsky (%) | 90 (IR:80–90) |
| Postoperative neurological deficits | 3 | |
| Visual field deficits | 3 | |
| Postoperative complications | 2 | |
| Postoperative radiotherapy | 2 | |
| Tumor progression | 3 | |
| Mean follow-up (months) | 71.2 (±60.4) |
| Type I | Type II | Type III | Type IV | Anterior | Inferior | Posterior | |
|---|---|---|---|---|---|---|---|
| Occipital interhemispheric | 6 | 0 | 1 | 2 | 6 | 0 | 3 |
| Supracerebellar infratentorial | 1 | 4 | 0 | 0 | 1 | 4 | 0 |
| Retrosigmoid | 0 | 1 | 0 | 0 | 0 | 1 | 0 |
Disclaimer/Publisher’s Note: The statements, opinions and data contained in all publications are solely those of the individual author(s) and contributor(s) and not of MDPI and/or the editor(s). MDPI and/or the editor(s) disclaim responsibility for any injury to people or property resulting from any ideas, methods, instructions or products referred to in the content. |
© 2024 by the authors. Licensee MDPI, Basel, Switzerland. This article is an open access article distributed under the terms and conditions of the Creative Commons Attribution (CC BY) license (https://creativecommons.org/licenses/by/4.0/).
Share and Cite
Sales, A.H.A.; Steiert, C.; Behringer, S.P.; Bissolo, M.; Omer, M.; Loidl, T.B.; Beck, J.; Grauvogel, J. Falcotentorial Meningiomas: Insights from Surgical Strategies and Clinical Outcomes. J. Clin. Med. 2024, 13, 1963. https://doi.org/10.3390/jcm13071963
Sales AHA, Steiert C, Behringer SP, Bissolo M, Omer M, Loidl TB, Beck J, Grauvogel J. Falcotentorial Meningiomas: Insights from Surgical Strategies and Clinical Outcomes. Journal of Clinical Medicine. 2024; 13(7):1963. https://doi.org/10.3390/jcm13071963
Chicago/Turabian StyleSales, Arthur H. A., Christine Steiert, Simon P. Behringer, Marco Bissolo, Mazin Omer, Theresa Bettina Loidl, Jürgen Beck, and Jürgen Grauvogel. 2024. "Falcotentorial Meningiomas: Insights from Surgical Strategies and Clinical Outcomes" Journal of Clinical Medicine 13, no. 7: 1963. https://doi.org/10.3390/jcm13071963
APA StyleSales, A. H. A., Steiert, C., Behringer, S. P., Bissolo, M., Omer, M., Loidl, T. B., Beck, J., & Grauvogel, J. (2024). Falcotentorial Meningiomas: Insights from Surgical Strategies and Clinical Outcomes. Journal of Clinical Medicine, 13(7), 1963. https://doi.org/10.3390/jcm13071963

