Angle-Adjustable Dynamic Hip Screw Plate for Unstable Trochanteric Fractures in Middle-Aged Patients: Mid-Term Outcomes and Return to Sport
Abstract
1. Introduction
2. Materials and Methods
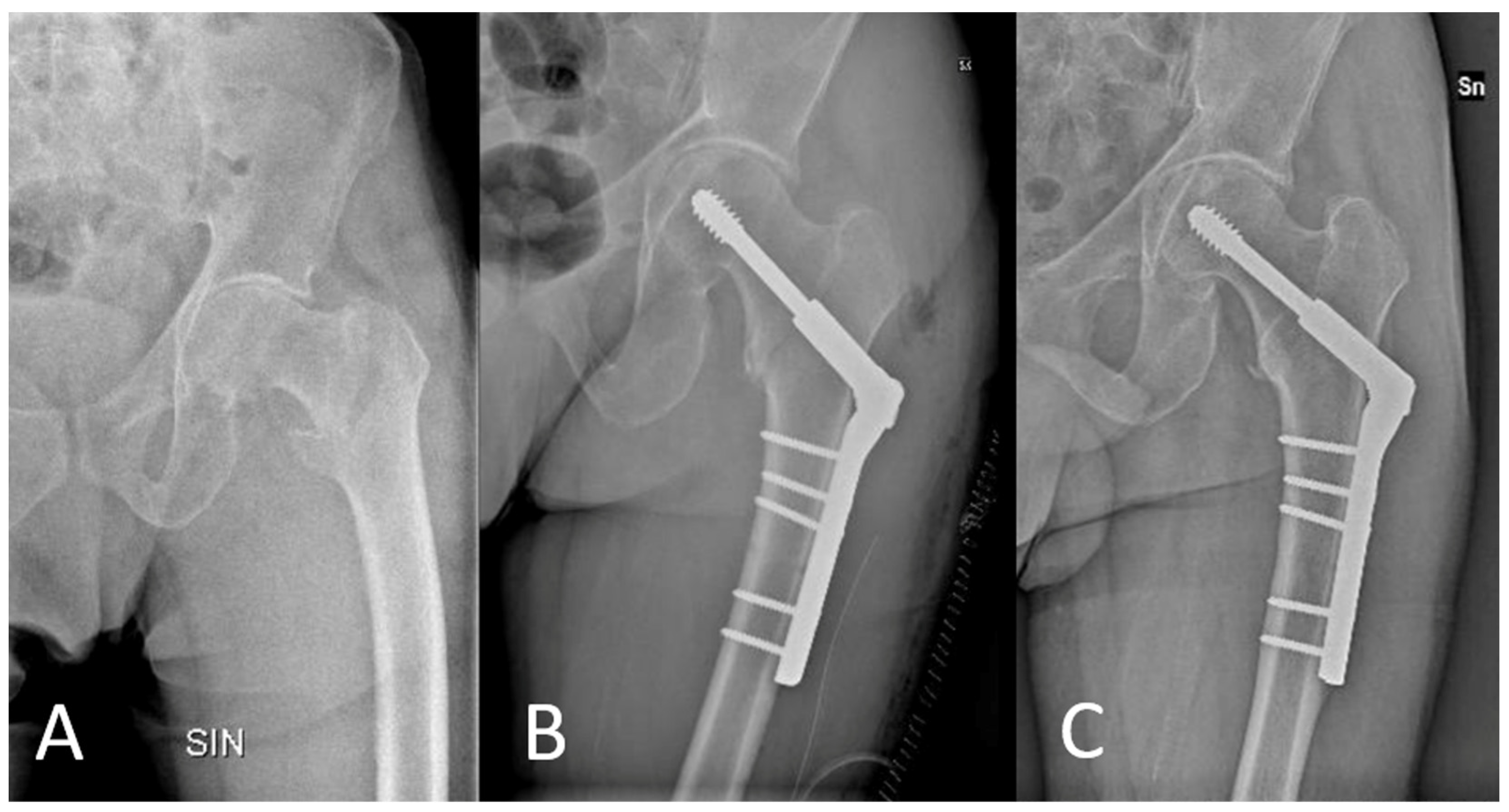
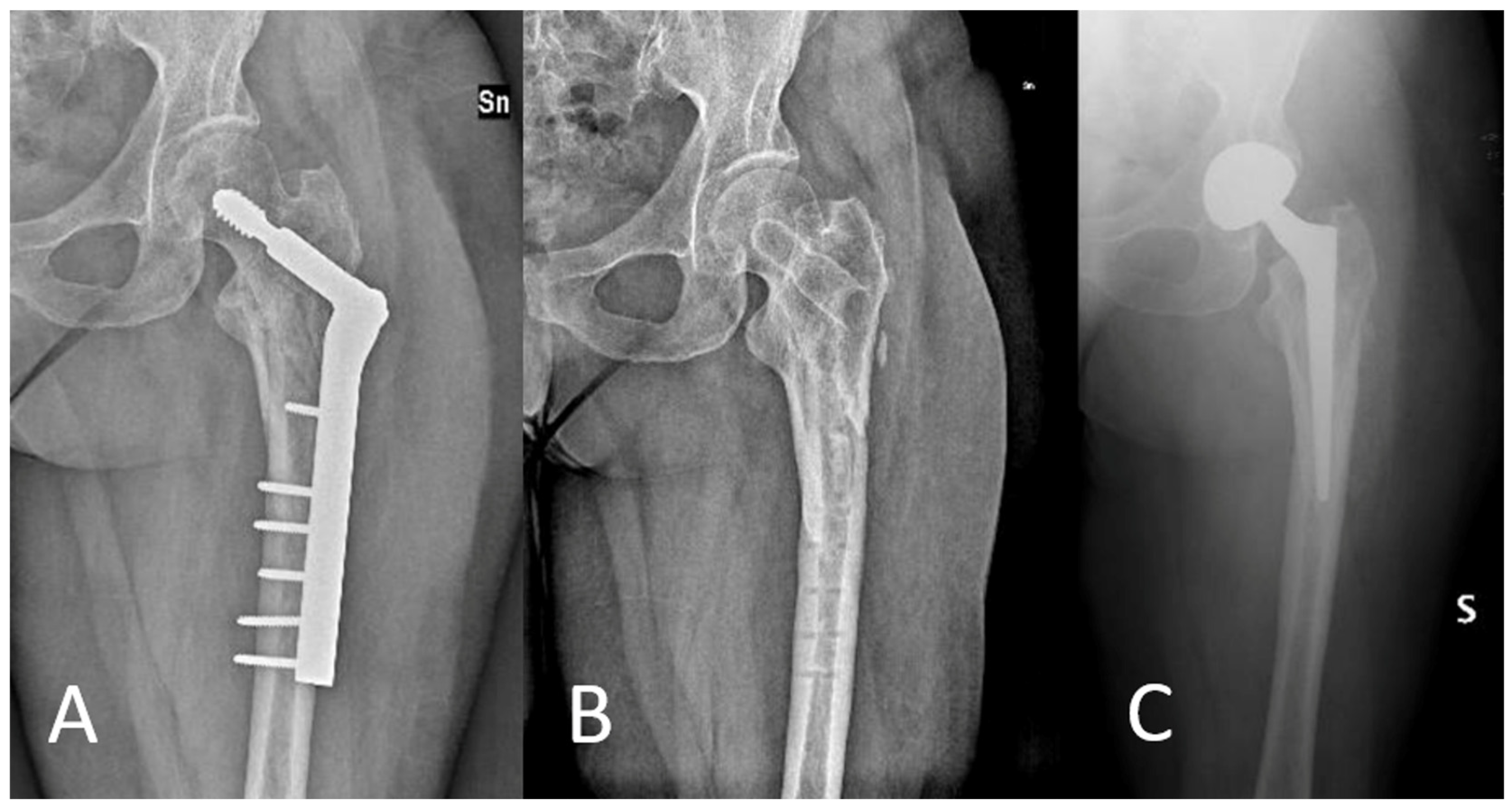
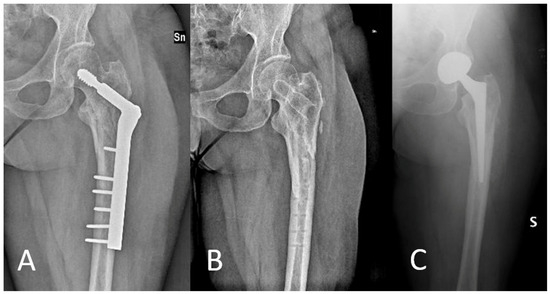
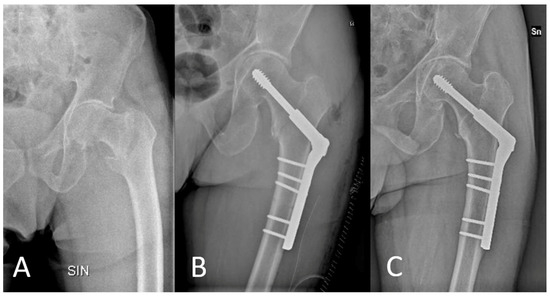
2.1. Surgical Technique
2.2. Statistical Analysis
3. Results
4. Discussion
5. Conclusions
Author Contributions
Funding
Institutional Review Board Statement
Informed Consent Statement
Data Availability Statement
Conflicts of Interest
References
- Richmond, J.; Aharonoff, G.B.; Zuckerman, J.D.; Koval, K.J. Mortality Risk after Hip Fracture. J. Orthop. Trauma 2003, 17, 53–56. [Google Scholar] [CrossRef]
- Selim, A.; Ponugoti, N.; Naqvi, A.Z.; Magill, H. Cephalo-Medullary Nailing versus Dynamic Hip Screw with Trochanteric Stabilisation Plate for the Treatment of Unstable per-Trochanteric Hip Fractures: A Meta-Analysis. J. Orthop. Surg. Res. 2021, 16, 47. [Google Scholar] [CrossRef] [PubMed]
- Meinberg, E.G.; Agel, J.; Roberts, C.S.; Karam, M.D.; Kellam, J.F. Fracture and Dislocation Classification Compendium—2018. J. Orthop. Trauma 2018, 320 (Suppl. 1), S1–S170. [Google Scholar] [CrossRef] [PubMed]
- Selim, A.A.H.A.; Beder, F.K.; Algeaidy, I.T.; Farhat, A.S.; Diab, N.M.; Barakat, A.S. Management of Unstable Pertrochanteric Fractures, Evaluation of Forgotten Treatment Options. SICOT J. 2020, 6, 21. [Google Scholar] [CrossRef] [PubMed]
- Parker, M.J.; Handoll, H.H. Gamma and Other Cephalocondylic Intramedullary Nails versus Extramedullary Implants for Extracapsular Hip Fractures in Adults. Cochrane Database Syst. Rev. 2010, 9, CD000093. [Google Scholar] [CrossRef]
- Kaplan, K.; Miyamoto, R.; Levine, B.R.; Egol, K.A.; Zuckerman, J.D. Surgical Management of Hip Fractures: An Evidence-Based Review of the Literature. II: Intertrochanteric Fractures. J. Am. Acad. Orthop. Surg. 2008, 16, 665–673. [Google Scholar] [CrossRef] [PubMed]
- Forte, M.L.; Virnig, B.A.; Kane, R.L.; Durham, S.; Bhandari, M.; Feldman, R.; Swiontkowski, M.F. Geographic Variation in Device Use for Intertrochanteric Hip Fractures. J. Bone Jt. Surg. Am. 2008, 90, 691–699. [Google Scholar] [CrossRef] [PubMed]
- Anglen, J.O.; Weinstein, J.N.; American Board of Orthopaedic Surgery Research Committee. Nail or Plate Fixation of Intertrochanteric Hip Fractures: Changing Pattern of Practice. A Review of the American Board of Orthopaedic Surgery Database. J. Bone Jt. Surg. Am. 2008, 90, 700–707. [Google Scholar] [CrossRef] [PubMed]
- Huang, S.-G.; Chen, B.; Zhang, Y.; Nie, F.-F.; Ju, L.; Li, M.; Zhang, Y.-H. Comparison of the Clinical Effectiveness of PFNA, PFLCP, and DHS in Treatment of Unstable Intertrochanteric Femoral Fracture. Am. J. Ther. 2017, 24, e659–e666. [Google Scholar] [CrossRef]
- Chehade, M.J.; Carbone, T.; Awwad, D.; Taylor, A.; Wildenauer, C.; Ramasamy, B.; McGee, M. Influence of Fracture Stability on Early Patient Mortality and Reoperation After Pertrochanteric and Intertrochanteric Hip Fractures. J. Orthop. Trauma 2015, 29, 538–543. [Google Scholar] [CrossRef]
- Zehir, S.; Zehir, R.; Zehir, S.; Azboy, İ.; Haykir, N. Proximal Femoral Nail Antirotation against Dynamic Hip Screw for Unstable Trochanteric Fractures; a Prospective Randomized Comparison. Eur. J. Trauma Emerg. Surg. 2015, 41, 393–400. [Google Scholar] [CrossRef]
- Fu, C.-W.; Chen, J.-Y.; Liu, Y.-C.; Liao, K.-W.; Lu, Y.-C. Dynamic Hip Screw with Trochanter-Stabilizing Plate Compared with Proximal Femoral Nail Antirotation as a Treatment for Unstable AO/OTA 31-A2 and 31-A3 Intertrochanteric Fractures. BioMed Res. Int. 2020, 2020, 1896935. [Google Scholar] [CrossRef] [PubMed]
- Gotfried, Y. The Lateral Trochanteric Wall: A Key Element in the Reconstruction of Unstable Pertrochanteric Hip Fractures. Clin. Orthop. Relat. Res. 2004, 425, 82. [Google Scholar] [CrossRef]
- Aktselis, I.; Kokoroghiannis, C.; Fragkomichalos, E.; Koundis, G.; Deligeorgis, A.; Daskalakis, E.; Vlamis, J.; Papaioannou, N. Prospective Randomised Controlled Trial of an Intramedullary Nail versus a Sliding Hip Screw for Intertrochanteric Fractures of the Femur. Int. Orthop. 2014, 38, 155–161. [Google Scholar] [CrossRef]
- Shen, L.; Zhang, Y.; Shen, Y.; Cui, Z. Antirotation Proximal Femoral Nail versus Dynamic Hip Screw for Intertrochanteric Fractures: A Meta-Analysis of Randomized Controlled Studies. Orthop. Traumatol. Surg. Res. 2013, 99, 377–383. [Google Scholar] [CrossRef] [PubMed]
- Mereddy, P.; Kamath, S.; Ramakrishnan, M.; Malik, H.; Donnachie, N. The AO/ASIF Proximal Femoral Nail Antirotation (PFNA): A New Design for the Treatment of Unstable Proximal Femoral Fractures. Injury 2009, 40, 428–432. [Google Scholar] [CrossRef]
- Singer, B.; Mclauchlan, G.; Robinson, C.; Christie, J. Epidemiology of Fractures in 15 000 Adults: The Influence of Age and Gender. J. Bone Jt. Surg. 1998, 80, 243–248. [Google Scholar] [CrossRef]
- Coughlin, T.A.; Nightingale, J.M.; Myint, Y.; Forward, D.P.; Norrish, A.R.; Ollivere, B.J. Patient-Reported Outcomes in Young Patients with Isolated Fracture of the Hip. Bone Jt. J. 2020, 102, 766–771. [Google Scholar] [CrossRef]
- Sharma, A.; Sethi, A.; Sharma, S. Treatment of Stable Intertrochanteric Fractures of the Femur with Proximal Femoral Nail versus Dynamic Hip Screw: A Comparative Study. Rev. Bras. Ortop. 2017, 53, 477–481. [Google Scholar] [CrossRef]
- Adeel, K.; Nadeem, R.D.; Akhtar, M.; Sah, R.K.; Mohy-Ud-Din, I. Comparison of Proximal Femoral Nail (PFN) and Dynamic Hip Screw (DHS) for the Treatment of AO Type A2 and A3 Pertrochanteric Fractures of Femur. J. Pak. Med. Assoc. 2020, 70, 815–819. [Google Scholar] [CrossRef]
- Xu, K.; Chen, Q.; Yan, Q.; Wang, Q.; Sun, J. Comparison of Computer-Assisted Navigated Technology and Conventional Technology in Unicompartmental Knee Arthroplasty: A Meta-Analysis. J. Orthop. Surg. Res. 2022, 17, 123. [Google Scholar] [CrossRef]
- Müller, F.; Doblinger, M.; Kottmann, T.; Füchtmeier, B. PFNA and DHS for AO/OTA 31-A2 Fractures: Radiographic Measurements, Morbidity and Mortality. Eur. J. Trauma Emerg. Surg. 2020, 46, 947–953. [Google Scholar] [CrossRef]
- Verettas, D.-A.J.; Ifantidis, P.; Chatzipapas, C.N.; Drosos, G.I.; Xarchas, K.C.; Chloropoulou, P.; Kazakos, K.I.; Trypsianis, G.; Ververidis, A. Systematic Effects of Surgical Treatment of Hip Fractures: Gliding Screw-Plating vs Intramedullary Nailing. Injury 2010, 41, 279–284. [Google Scholar] [CrossRef]
- Wandel, S.; Jüni, P.; Tendal, B.; Nüesch, E.; Villiger, P.M.; Welton, N.J.; Reichenbach, S.; Trelle, S. Effects of Glucosamine, Chondroitin, or Placebo in Patients with Osteoarthritis of Hip or Knee: Network Meta-Analysis. BMJ 2010, 341, c4675. [Google Scholar] [CrossRef] [PubMed]
- Saudan, M.; Lübbeke, A.; Sadowski, C.; Riand, N.; Stern, R.; Hoffmeyer, P. Pertrochanteric Fractures: Is There an Advantage to an Intramedullary Nail?: A Randomized, Prospective Study of 206 Patients Comparing the Dynamic Hip Screw and Proximal Femoral Nail. J. Orthop. Trauma 2002, 16, 386–393. [Google Scholar] [CrossRef]
- Xu, H.; Liu, Y.; Sezgin, E.A.; Tarasevičius, Š.; Christensen, R.; Raina, D.B.; Tägil, M.; Lidgren, L. Comparative Effectiveness Research on Proximal Femoral Nail versus Dynamic Hip Screw in Patients with Trochanteric Fractures: A Systematic Review and Meta-Analysis of Randomized Trials. J. Orthop. Surg. Res. 2022, 17, 292. [Google Scholar] [CrossRef] [PubMed]
- Hao, Z.; Wang, X.; Zhang, X. Comparing Surgical Interventions for Intertrochanteric Hip Fracture by Blood Loss and Operation Time: A Network Meta-Analysis. J. Orthop. Surg. Res. 2018, 13, 157. [Google Scholar] [CrossRef] [PubMed]
- White, J.J.E.; Khan, W.S.; Smitham, P.J. Perioperative Implications of Surgery in Elderly Patients with Hip Fractures: An Evidence-Based Review. J. Perioper. Pract. 2011, 21, 192–197. [Google Scholar] [CrossRef] [PubMed]
- Xu, Y.Z.; Geng, D.C.; Mao, H.Q.; Zhu, X.S.; Yang, H.L. A Comparison of the Proximal Femoral Nail Antirotation Device and Dynamic Hip Screw in the Treatment of Unstable Pertrochanteric Fracture. J. Int. Med. Res. 2010, 38, 1266–1275. [Google Scholar] [CrossRef] [PubMed]
- Parker, M.J.; Bowers, T.R.; Pryor, G.A. Sliding Hip Screw versus the Targon PF Nail in the Treatment of Trochanteric Fractures of the Hip: A Randomised Trial of 600 Fractures. J. Bone Jt. Surg. Br. 2012, 94, 391–397. [Google Scholar] [CrossRef]
- Singh, N.K.; Sharma, V.; Trikha, V.; Gamanagatti, S.; Roy, A.; Balawat, A.S.; Aravindh, P.; Diwakar, A.R. Is PFNA-II a Better Implant for Stable Intertrochanteric Fractures in Elderly Population ? A Prospective Randomized Study. J. Clin. Orthop. Trauma 2019, 10, S71–S76. [Google Scholar] [CrossRef]
- Madsen, J.E.; Naess, L.; Aune, A.K.; Alho, A.; Ekeland, A.; Strømsøe, K. Dynamic Hip Screw with Trochanteric Stabilizing Plate in the Treatment of Unstable Proximal Femoral Fractures: A Comparative Study with the Gamma Nail and Compression Hip Screw. J. Orthop. Trauma 1998, 12, 241–248. [Google Scholar] [CrossRef]
- Sun, D.; Wang, C.; Chen, Y.; Liu, X.; Zhao, P.; Zhang, H.; Zhou, H.; Qin, C. A Meta-Analysis Comparing Intramedullary with Extramedullary Fixations for Unstable Femoral Intertrochanteric Fractures. Medicine 2019, 98, e17010. [Google Scholar] [CrossRef]
- Zhang, W.-Q.; Sun, J.; Liu, C.-Y.; Zhao, H.-Y.; Sun, Y.-F. Comparing the Intramedullary Nail and Extramedullary Fixation in Treatment of Unstable Intertrochanteric Fractures. Sci. Rep. 2018, 8, 2321. [Google Scholar] [CrossRef]
- Yu, X.; Wang, H.; Duan, X.; Liu, M.; Xiang, Z. Intramedullary versus Extramedullary Internal Fixation for Unstable Intertrochanteric Fracture, a Meta-Analysis. Acta Orthop. Traumatol. Turc. 2018, 52, 299–307. [Google Scholar] [CrossRef] [PubMed]
- Ekinci, Y.; Gürbüz, K.; Batın, S.; Kahraman, M.; Doğar, F.; Kaya Erten, Z. A Multicenter Intertrochanteric Fracture Study in the Elderly: Hemiarthroplasty versus Proximal Femoral Nailing. Jt. Dis. Relat. Surg. 2020, 31, 209–217. [Google Scholar] [CrossRef] [PubMed]
- Liu, L.; Sun, Y.; Wang, L.; Gao, Q.; Li, A.; Wang, J.; Gao, Y. Total Hip Arthroplasty for Intertrochanteric Fracture Fixation Failure. Eur. J. Med. Res. 2019, 24, 39. [Google Scholar] [CrossRef] [PubMed]
- Chaudhry, H. Total Hip Arthroplasty after Hip Fracture. BMJ 2016, 353, i2217. [Google Scholar] [CrossRef][Green Version]
- Andriollo, L.; Sangaletti, R.; Are, L.; Perticarini, L.; Benazzo, F.; Rossi, S.M.P. Uncemented Hemiarthroplasty May Have a Role in the Treatment of Unstable Intertrochanteric Fractures in Elderly Patient. A Survival Complications and Functional Outcomes Analysis. Int. J. Burns Trauma 2023, 13, 126–135. [Google Scholar] [PubMed]
- Memon, K.; Siddiqui, A.M.; Khan, Z.A.; Zahoor, A. Dynamic Hip Screw Fixation Vs. Proximal Femur Nail For Unstable Per-Trochanteric Fractures: A Comparative Analysis Of Outcomes And Complications. J. Ayub Med. Coll. Abbottabad 2021, 33, 34–38. [Google Scholar]
- Kassem, E.; Younan, R.; Abaskhron, M.; Abo-Elsoud, M. Functional and Radiological Outcomes of Dynamic Hip Screw with Trochanteric Stabilizing Plate versus Short Proximal Femoral Nail in Management of Unstable Trochanteric Fractures: A Randomized-Controlled Trial. Jt. Dis. Relat. Surg. 2022, 33, 531–537. [Google Scholar] [CrossRef]
- Fjeld, A.; Fülling, T.; Bula, P.; Bonnaire, F. Functional Outcomes and Perceived Quality of Life Following Fixation of Femoral Neck Fractures in Adults from 18 to 69 Years Using Dynamic Hip Screw (DHS) and an Additional Anti-Rotation Screw- a Retrospective Analysis of 53 Patients after a Mean Follow-up Time of 4 Years. Eur. J. Trauma Emerg. Surg. 2022, 48, 1893–1903. [Google Scholar] [CrossRef] [PubMed]
- Watson, A.; Zhang, Y.; Beattie, S.; Page, R.S. Prospective Randomized Controlled Trial Comparing Dynamic Hip Screw and Screw Fixation for Undisplaced Subcapital Hip Fractures. ANZ J. Surg. 2013, 83, 679–683. [Google Scholar] [CrossRef] [PubMed]
- Magan, A.A.; Radhakrishnan, G.T.; Kayani, B.; Ronca, F.; Khanduja, V.; Meek, R.M.D.; Haddad, F.S. Time for Return to Sport Following Total Hip Arthroplasty: A Meta-Analysis. Hip Int. 2023, 33, 221–230. [Google Scholar] [CrossRef] [PubMed]



| Patient Population | Number | % |
|---|---|---|
| Total no. | 57 | 100 |
| Died | 1 | 1.8 |
| Non-traceable | 2 | 3.5 |
| Exclusion criteria | 5 | 8.8 |
| Available | 49 | 85.9 |
| Indication | Number | % |
| 31 A2 | 39 | 79.6 |
| 31 A3 | 10 | 20.4 |
| Sex | Number | % |
| Male | 29 | 59.2 |
| Female | 20 | 40.8 |
| Age | Average (Y) | SD |
| 54.1 | 8.4 | |
| Side | Number | % |
| Left | 30 | 61.2 |
| Right | 19 | 38.8 |
| ASA | Average | SD |
|---|---|---|
| 1.7 | 0.6 | |
| ASA | Number | % |
| 1 | 17 | 34.7 |
| 2 | 28 | 57.1 |
| 3 | 4 | |
| BMI | Average (kg/m2) | SD |
| 24.3 | 3.7 | |
| Osteoporosis | Number | % |
| 9 | 18.4 |
| Time from Trauma to Surgery | Average (Day) | SD |
|---|---|---|
| 1.18 | 0.7 | |
| Time from trauma to surgery | Number | % |
| Day 0 | 8 | 16.3 |
| Day 1 | 24 | 49 |
| Day 2 | 17 | 34.7 |
| Surgical time | Average (min) | SD |
| 110.8 | 29.7 | |
| Cerclage | No. of patients | % |
| 18 | 36.7 | |
| Type of anesthesia | Number | % |
| Spinal | 31 | 63.3 |
| General | 17 | 34.7 |
| Hemoglobin (g/L) | Average | SD |
| Pre-operative | 13.53 | 1.29 |
| Day 1 | 9.83 | 2.3 |
| At discharge | 9.74 | 2.5 |
| Transfusion of packed red cells | No. of patients | % |
| 27 | 55.1 | |
| Assisted verticalization with weight-bearing | Number | % |
| 1st day | 5 | 10.2 |
| 2nd day | 11 | 22.5 |
| By discharge | 10 | 20.4 |
| No verticalization at discharge | 23 | 46.9 |
| Days of hospitalization | Average (day) | SD |
| 6.5 | 3.1 | |
| In-hospital complications | Number | % |
| 2 | 4.1 |
| Final Follow-Up | Average (mos) | SD |
|---|---|---|
| 60.5 | 8.6 | |
| Return to sport | Number | % |
| Participation | 15 | 53 |
| Performance | 9 | 34.6 |
| Return to sport | Average (w) | SD |
| 34.3 | 11.3 | |
| Clinical outcome | Average (pts) | SD |
| HHS | 77.1 | 20.1 |
| WOMAC | 21.6 | 13.7 |
| Quality score HHS | Number | % |
| Excellent > 90 | 15 | 30.6 |
| Good 80–89 | 14 | 28.6 |
| Fair 70–79 | 13 | 26.5 |
| Poor < 70 | 7 | 14.2 |
| Return to Sport (N = 26) | |||
|---|---|---|---|
| Yes (N = 15) | No (N = 11) | p Value | |
| Age | 55.54(SD 9.47) | 55.45 (SD 4.95) | 0.805 |
| BMI | 23.65 (SD 3.12) | 23.63 (SD 3.5) | 0.644 |
| ASA | 1.76 (SD 0.6) | 1.72 (SD 0.47) | 0.787 |
| Time from trauma to surgery | 1 (SD 1.15) | 1.63 (SD 0.67) | 0.142 |
| Surgical time | 105.6 (SD 31.5) | 119.6 (SD 24.25) | 0.229 |
| Days of hospitalization | 5.61 (SD 1.8) | 5.4 (SD 2.4) | 0.917 |
| Harris Hip Score | 90.15 (SD 13.7) | 67.54 (SD 13.23) | <0.05 |
| WOMAC | 13.76 (9.9) | 27.1 (SD 10.4) | <0.05 |
Disclaimer/Publisher’s Note: The statements, opinions and data contained in all publications are solely those of the individual author(s) and contributor(s) and not of MDPI and/or the editor(s). MDPI and/or the editor(s) disclaim responsibility for any injury to people or property resulting from any ideas, methods, instructions or products referred to in the content. |
© 2024 by the authors. Licensee MDPI, Basel, Switzerland. This article is an open access article distributed under the terms and conditions of the Creative Commons Attribution (CC BY) license (https://creativecommons.org/licenses/by/4.0/).
Share and Cite
Andriollo, L.; Fravolini, G.; Sangaletti, R.; Perticarini, L.; Benazzo, F.; Rossi, S.M.P. Angle-Adjustable Dynamic Hip Screw Plate for Unstable Trochanteric Fractures in Middle-Aged Patients: Mid-Term Outcomes and Return to Sport. J. Clin. Med. 2024, 13, 988. https://doi.org/10.3390/jcm13040988
Andriollo L, Fravolini G, Sangaletti R, Perticarini L, Benazzo F, Rossi SMP. Angle-Adjustable Dynamic Hip Screw Plate for Unstable Trochanteric Fractures in Middle-Aged Patients: Mid-Term Outcomes and Return to Sport. Journal of Clinical Medicine. 2024; 13(4):988. https://doi.org/10.3390/jcm13040988
Chicago/Turabian StyleAndriollo, Luca, Giorgio Fravolini, Rudy Sangaletti, Loris Perticarini, Francesco Benazzo, and Stefano Marco Paolo Rossi. 2024. "Angle-Adjustable Dynamic Hip Screw Plate for Unstable Trochanteric Fractures in Middle-Aged Patients: Mid-Term Outcomes and Return to Sport" Journal of Clinical Medicine 13, no. 4: 988. https://doi.org/10.3390/jcm13040988
APA StyleAndriollo, L., Fravolini, G., Sangaletti, R., Perticarini, L., Benazzo, F., & Rossi, S. M. P. (2024). Angle-Adjustable Dynamic Hip Screw Plate for Unstable Trochanteric Fractures in Middle-Aged Patients: Mid-Term Outcomes and Return to Sport. Journal of Clinical Medicine, 13(4), 988. https://doi.org/10.3390/jcm13040988

