Impact of Implant Size and Position on Subsidence Degree after Anterior Cervical Discectomy and Fusion: Radiological and Clinical Analysis
Abstract
1. Introduction
2. Materials and Methods
2.1. Study Design
2.2. Procedure and Implants
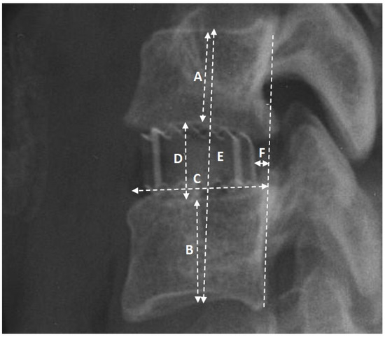
2.3. Radiological Assessment, Clinical Evaluation and Subsidence Criteria
2.4. Statistical Analysis
3. Results
3.1. Participants
3.2. Subsidence and Implant Placement
3.3. Subsidence and Clinical Outcome
4. Discussion
5. Conclusions
Author Contributions
Funding
Institutional Review Board Statement
Informed Consent Statement
Data Availability Statement
Conflicts of Interest
References
- Cloward, R.B. The Anterior Approach for Removal of Ruptured Cervical Disks. J. Neurosurg. 1958, 15, 602–617. [Google Scholar] [CrossRef]
- Arumalla, K.; Bansal, H.; Jadeja, J.; Batish, A.; Deora, H.; Tripathi, M.; Mohindra, S.; Behari, S. Anterior Approach to the Cervical Spine: Elegance Lies in Its Simplicity. Asian J. Neurosurg. 2021, 16, 669–684. [Google Scholar] [CrossRef] [PubMed]
- Shriver, M.F.; Lewis, D.J.; Kshettry, V.R.; Rosenbaum, B.P.; Benzel, E.C.; Mroz, T.E. Pseudoarthrosis Rates in Anterior Cervical Discectomy and Fusion: A Meta-Analysis. Spine J. 2015, 15, 2016–2027. [Google Scholar] [CrossRef] [PubMed]
- Veronesi, F.; Sartori, M.; Griffoni, C.; Valacco, M.; Tedesco, G.; Davassi, P.F.; Gasbarrini, A.; Fini, M.; Barbanti Brodano, G. Complications in Spinal Fusion Surgery: A Systematic Review of Clinically Used Cages. J. Clin. Med. 2022, 11, 6279. [Google Scholar] [CrossRef] [PubMed]
- Song, K.J.; Choi, B.Y. Current Concepts of Anterior Cervical Discectomy and Fusion: A Review of Literature. Asian Spine J. 2014, 8, 531–539. [Google Scholar] [CrossRef]
- Epstein, N.E. A Review of Complication Rates for Anterior Cervical Diskectomy and Fusion (ACDF). Surg. Neurol. Int. 2019, 10, 100. [Google Scholar] [CrossRef]
- Noordhoek, I.; Koning, M.T.; Jacobs, W.C.H.; Vleggeert-Lankamp, C.L.A. Incidence and Clinical Relevance of Cage Subsidence in Anterior Cervical Discectomy and Fusion: A Systematic Review. Acta Neurochir. 2018, 160, 873–880. [Google Scholar] [CrossRef]
- Jang, H.J.; Chin, D.K.; Kim, K.H.; Park, J.Y. Does Graft Position Affect Subsidence after Anterior Cervical Discectomy and Fusion? Glob. Spine J. 2022, 12, 668–676. [Google Scholar] [CrossRef]
- Mende, K.C.; Eicker, S.O.; Weber, F. Cage Deviation in the Subaxial Cervical Spine in Relation to Implant Position in the Sagittal Plane. Neurosurg. Rev. 2018, 41, 267–274. [Google Scholar] [CrossRef]
- Igarashi, H.; Hoshino, M.; Omori, K.; Matsuzaki, H.; Nemoto, Y.; Tsuruta, T.; Yamasaki, K. Factors Influencing Interbody Cage Subsidence Following Anterior Cervical Discectomy and Fusion. Clin. Spine Surg. 2019, 32, 297–302. [Google Scholar] [CrossRef]
- Shiban, E.; Gapon, K.; Wostrack, M.; Meyer, B.; Lehmberg, J. Clinical and Radiological Outcome after Anterior Cervical Discectomy and Fusion with Stand-Alone Empty Polyetheretherketone (PEEK) Cages. Acta Neurochir. 2016, 158, 349–355. [Google Scholar] [CrossRef]
- Godlewski, B.; Bebenek, A.; Dominiak, M.; Karpinski, G.; Cieslik, P.; Pawelczyk, T. PEEK versus Titanium-Coated PEEK Cervical Cages: Fusion Rate. Acta Neurochir. 2022, 164, 1501–1507. [Google Scholar] [CrossRef]
- Godlewski, B.; Bebenek, A.; Dominiak, M.; Karpinski, G.; Cieslik, P.; Pawelczyk, T. Subsidence Following Cervical Discectomy and Implant-to-Bone Ratio. BMC Musculoskelet. Disord. 2022, 23, 750. [Google Scholar] [CrossRef] [PubMed]
- Schmieder, K.; Wolzik-Grossmann, M.; Pechlivanis, I.; Engelhardt, M.; Scholz, M.; Harders, A. Subsidence of the Wing Titanium Cage after Anterior Cervical Interbody Fusion: 2-Year Follow-up Study. J. Neurosurg. Spine 2006, 4, 447–453. [Google Scholar] [CrossRef] [PubMed]
- Karikari, I.O.; Jain, D.; Owens, T.R.; Gottfried, O.; Hodges, T.R.; Nimjee, S.M.; Bagley, C.A. Impact of Subsidence on Clinical Outcomes and Radiographic Fusion Rates in Anterior Cervical Discectomy and Fusion: A Systematic Review. J. Spinal Disord. Tech. 2014, 27, 1–10. [Google Scholar] [CrossRef] [PubMed]
- Cabraja, M.; Oezdemir, S.; Koeppen, D.; Kroppenstedt, S. Anterior Cervical Discectomy and Fusion: Comparison of Titanium and Polyetheretherketone Cages. BMC Musculoskelet. Disord. 2012, 13, 172. [Google Scholar] [CrossRef] [PubMed]
- Yamagata, T.; Takami, T.; Uda, T.; Ikeda, H.; Nagata, T.; Sakamoto, S.; Tsuyuguchi, N.; Ohata, K. Outcomes of Contemporary Use of Rectangular Titanium Stand-Alone Cages in Anterior Cervical Discectomy and Fusion: Cage Subsidence and Cervical Alignment. J. Clin. Neurosci. 2012, 19, 1673–1678. [Google Scholar] [CrossRef]
- van Jonbergen, H.P.W.; Spruit, M.; Anderson, P.G.; Pavlov, P.W. Anterior Cervical Interbody Fusion with a Titanium Box Cage: Early Radiological Assessment of Fusion and Subsidence. Spine J. 2005, 5, 645–649. [Google Scholar] [CrossRef] [PubMed]
- Barsa, P.; Suchomel, P. Factors Affecting Sagittal Malalignment Due to Cage Subsidence in Standalone Cage Assisted Anterior Cervical Fusion. Eur. Spine J. 2007, 16, 1395–1400. [Google Scholar] [CrossRef]
- Kim, S.J.; Kim, S.D. Anterior Cervical Discectomy and Fusion Using a Double Cylindrical Cage versus an Anterior Cervical Plating System with Iliac Crest Autografts for the Treatment of Cervical Degenerative Disc Disease. J. Korean Neurosurg. Soc. 2014, 55, 12. [Google Scholar] [CrossRef]
- Lee, Y.S.; Kim, Y.B.; Park, S.W. Risk Factors for Postoperative Subsidence of Single-Level Anterior Cervical Discectomy and Fusion: The Significance of the Preoperative Cervical Alignment. Spine 2014, 39, 1280–1287. [Google Scholar] [CrossRef] [PubMed]
- Kast, E.; Derakhshani, S.; Bothmann, M.; Oberle, J. Subsidence after Anterior Cervical Inter-Body Fusion. A Randomized Prospective Clinical Trial. Neurosurg. Rev. 2009, 32, 207–214. [Google Scholar] [CrossRef]
- Lee, C.H.; Kim, K.J.; Hyun, S.J.; Yeom, J.S.; Jahng, T.A.; Kim, H.J. Subsidence as of 12 Months after Single-Level Anterior Cervical Inter-Body Fusion. Is It Related to Clinical Outcomes? Acta Neurochir. 2015, 157, 1063–1068. [Google Scholar] [CrossRef]
- Zajonz, D.; Franke, A.C.; Von der Höh, N.; Voelker, A.; Moche, M.; Gulow, J.; Heyde, C.E. Is the Radiographic Subsidence of Stand-Alone Cages Associated with Adverse Clinical Outcomes after Cervical Spine Fusion? An Observational Cohort Study with 2-Year Follow-up Outcome Scoring. Patient Saf. Surg. 2014, 8, 43. [Google Scholar] [CrossRef] [PubMed]
- Wu, W.J.; Jiang, L.S.; Liang, Y.; Dai, L.Y. Cage Subsidence Does Not, but Cervical Lordosis Improvement Does Affect the Long-Term Results of Anterior Cervical Fusion with Stand-Alone Cage for Degenerative Cervical Disc Disease: A Retrospective Study. Eur. Spine J. 2012, 21, 1374–1382. [Google Scholar] [CrossRef] [PubMed]



| Characteristics | Value |
|---|---|
| Age, year, mean (range) | 50 (31–65) |
| Gender: female, n (%) | 67 (71.3%) |
| Type of implant: | |
| PEEK, n (%) | 85 (54.1%) |
| TC-PEEK, n (%) | 72 (45.9%) |
| Type of spinal fusion: | |
| Single-level, n (%) | 31 (33%) |
| Double-level, n (%) | 63 (67%) |
| C3/C4, n | 2 (2.3%) |
| C4/C5, n | 0 (0%) |
| C5/C6, n | 27 (28.9%) |
| C6/C7, n | 2 (2.3%) |
| C3–C5, n | 4 (4.5%) |
| C4–C6, n | 15 (16.1%) |
| C5–C7, n | 43 (45.9%) |
| VAS, pts, mean: | |
| Preoperative | 5.9 |
| 1 month after the surgery | 2.4 |
| 6 months after the surgery | 2.2 |
| 12 months after the surgery | 2.2 |
| ∆VAS | 3.6 |
| NDI, pts, mean: | |
| Preoperative | 24 |
| 1 month after the surgery | 14 |
| 6 months after the surgery | 11 |
| 12 months after the surgery | 10 |
| ∆NDI | 14 |
| Subsidence | Subsidence Degree | |||||
|---|---|---|---|---|---|---|
| Yes | No | ≥2 and <3 [mm] | ≥3 and <4 [mm] | ≥4 [mm] | ||
| Number of disc spaces: (%) | 82 (52.2%) | 75 (47.8%) | 34 (41.5%) | 32 (39%) | 16 (19.5%) | |
| Parameters | ||||||
| Cage-to-endplate length ratio 1 | Mean: | 0.51 | 0.53 | 0.52 | 0.51 | 0.50 |
| Coefficient: | T = 1.79 b | H = 1.04 d | ||||
| p value | 0.0448 b | 0.5947 d | ||||
| Cage–endplate distance ratio 2 | Mean: | 0.22 | 0.17 | 0.29 | 0.18 | 0.15 |
| Coefficient: | Z = 1.53 a | H = 2.79 d | ||||
| p value | 0.1273 a | 0.2477 d | ||||
| Cage distance to endplate length ratio 3 | Mean: | 0.20 | 0.19 | 0.22 | 0.19 | 0.17 |
| Coefficient: | Z = −0.92 a | H = 2.24 d | ||||
| p value | 0.3602 a | 0.3255 d | ||||
| Cage-to-preoperative intervertebral space height ratio 4 | Mean: | 1.18 | 1.1 | 1.1 | 1.16 | 1.3 |
| Coefficient: | Z = 2.14 a | H = 4.69 d | ||||
| p value | 0.0367 a | 0.0447 d | ||||
| Cage-to-preoperative segmental height ratio 5 | Mean: | 0.18 | 0.16 | 0.16 | 0.18 | 0.2 |
| Coefficient: | −1.53 c | F = 2.54 e | ||||
| p value | 0.0322 c | 0.0389 e | ||||
| Cage to upper vertebral body height ratio 6 | Mean: | 0.41 | 0.40 | 0.41 | 0.42 | 0.40 |
| Coefficient: | T = −0.54 b | F = 0.32 e | ||||
| p value | 0.5893 b | 0.7237 e | ||||
| Cage-to-lower vertebral body height ratio 6 | Mean: | 0.40 | 0.40 | 0.40 | 0.41 | 0.37 |
| Coefficient: | Z = 0.27 | F = 2.27 e | ||||
| p value | 0.7855 a | 0.1100 e | ||||
| Subsidence | VAS Score after 12 Months | NDI Score after 12 Months | |||||||
|---|---|---|---|---|---|---|---|---|---|
| n (%) | Mean [pts] | Median [pts] | Z Coefficient a | p Value a | Mean [pts] | Median [pts] | Z Coefficient a | p Value a | |
| Y | 82 (52.2%) | 2.3 | 2.0 | −1.59 | 0.1123 | 12.4 | 9.0 | −2.56 | 0.0105 |
| N | 75 (47.8%) | 2.0 | 1.5 | 8.51 | 7.0 | ||||
| Subsidence Degree [mm], n | Mean [pts] | H Coefficient b | p Value a | Mean [pts] | H Coefficient b | p Value b | |||
| ≥2 and <3 | 34 | 1.9 | 1.52 | 0.4733 | 10.7 | 7.84 | 0.0459 | ||
| ≥3 and <4 | 32 | 2.2 | 11.9 | ||||||
| ≥4 | 16 | 2.5 | 13.5 | ||||||
Disclaimer/Publisher’s Note: The statements, opinions and data contained in all publications are solely those of the individual author(s) and contributor(s) and not of MDPI and/or the editor(s). MDPI and/or the editor(s) disclaim responsibility for any injury to people or property resulting from any ideas, methods, instructions or products referred to in the content. |
© 2024 by the authors. Licensee MDPI, Basel, Switzerland. This article is an open access article distributed under the terms and conditions of the Creative Commons Attribution (CC BY) license (https://creativecommons.org/licenses/by/4.0/).
Share and Cite
Bębenek, A.; Dominiak, M.; Karpiński, G.; Pawełczyk, T.; Godlewski, B. Impact of Implant Size and Position on Subsidence Degree after Anterior Cervical Discectomy and Fusion: Radiological and Clinical Analysis. J. Clin. Med. 2024, 13, 1151. https://doi.org/10.3390/jcm13041151
Bębenek A, Dominiak M, Karpiński G, Pawełczyk T, Godlewski B. Impact of Implant Size and Position on Subsidence Degree after Anterior Cervical Discectomy and Fusion: Radiological and Clinical Analysis. Journal of Clinical Medicine. 2024; 13(4):1151. https://doi.org/10.3390/jcm13041151
Chicago/Turabian StyleBębenek, Adam, Maciej Dominiak, Grzegorz Karpiński, Tomasz Pawełczyk, and Bartosz Godlewski. 2024. "Impact of Implant Size and Position on Subsidence Degree after Anterior Cervical Discectomy and Fusion: Radiological and Clinical Analysis" Journal of Clinical Medicine 13, no. 4: 1151. https://doi.org/10.3390/jcm13041151
APA StyleBębenek, A., Dominiak, M., Karpiński, G., Pawełczyk, T., & Godlewski, B. (2024). Impact of Implant Size and Position on Subsidence Degree after Anterior Cervical Discectomy and Fusion: Radiological and Clinical Analysis. Journal of Clinical Medicine, 13(4), 1151. https://doi.org/10.3390/jcm13041151

