Pancreaticobiliary Reflux with Normal and Relatively Long Common Channels Causing Cholelithiasis and Acute Pancreatitis in Children
Abstract
1. Introduction
2. Materials and Methods
2.1. Patients
2.2. Methods
2.3. Levels of Evidence
3. Results
3.1. Cases
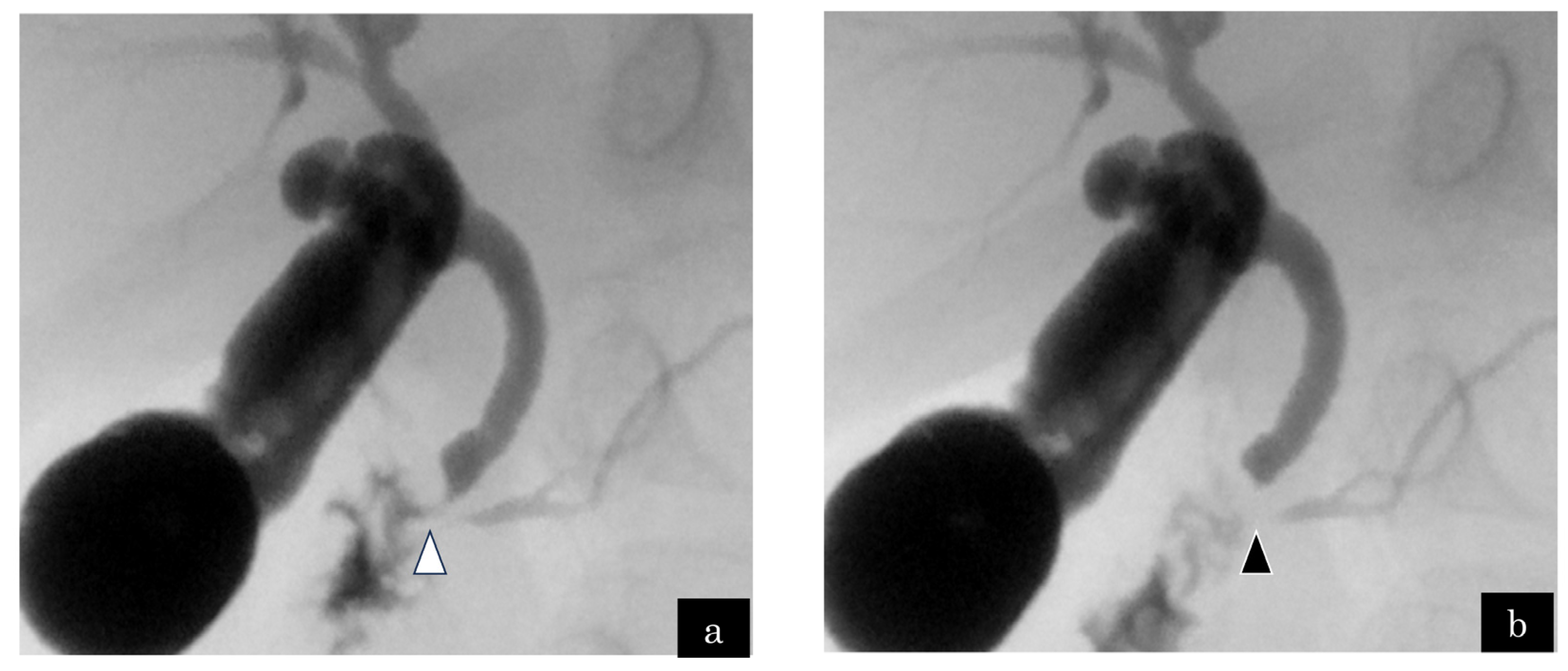
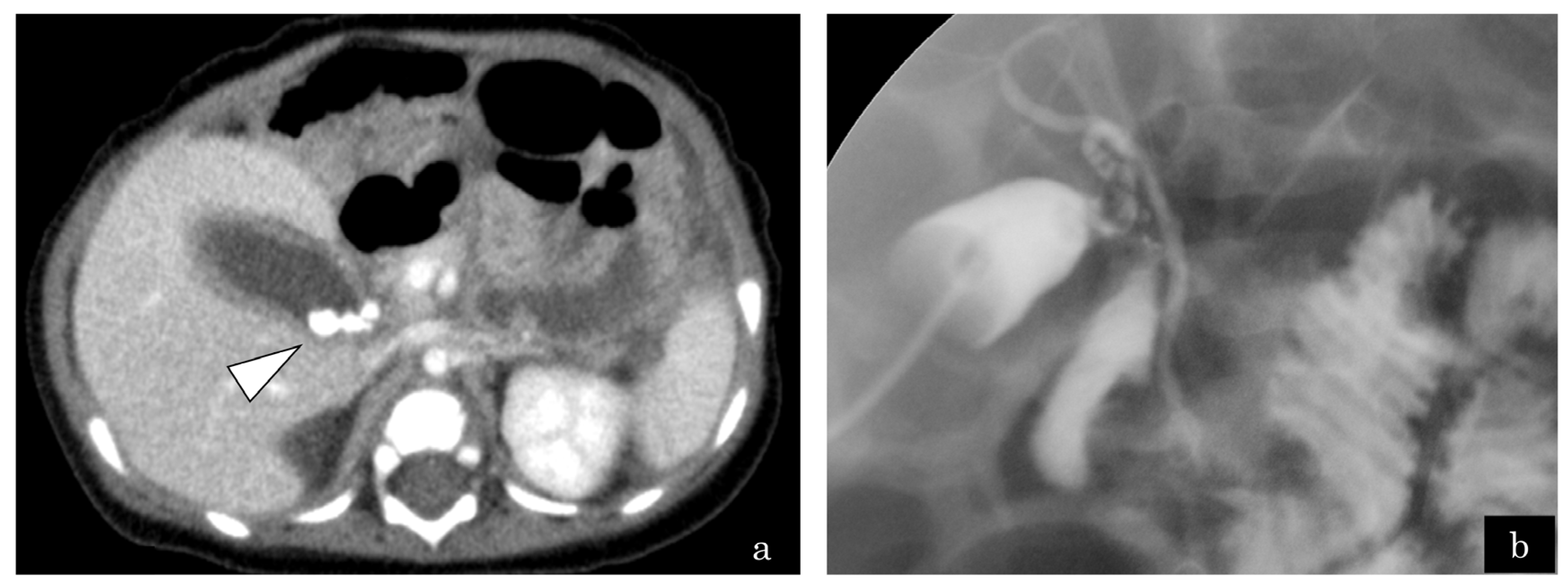
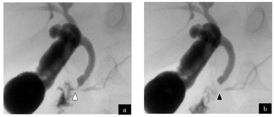
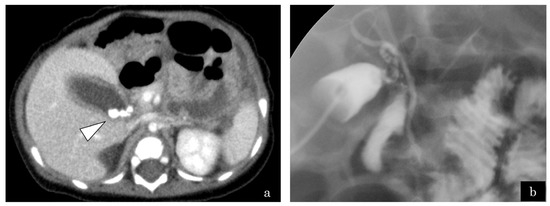
3.1.1. Case 1
3.1.2. Case 2
3.1.3. Case 3
3.1.4. Case 4
3.1.5. Case 5
3.1.6. Case 6
3.1.7. Case 7
3.2. Characteristics of Seven Cases
4. Discussion
5. Limitations and the Future Perspectives of the Study
6. Conclusions
Author Contributions
Funding
Institutional Review Board Statement
Informed Consent Statement
Data Availability Statement
Conflicts of Interest
References
- Sterling, J.A. The common channel for bile and pancreatic ducts. Surg. Gynecolobslet. 1954, 98, 420–424. [Google Scholar]
- Suda, K.; Miyano, T.; Hashimoto, K. The choledochopancreaticoductal junction in infantile obstructive jaundice disease. Acta Pathol. Jpn. 1980, 30, 187–194. [Google Scholar] [PubMed]
- Misra, S.P.; Gulati, P.; Thorat, V.K.; Vij, J.C.; Anand, B.S. Pancreaticobiliary ductal union in biliary diseases. An endoscopic retrograde cholangiopancreatographic study. Gastroenterology 1989, 96, 907–912. [Google Scholar] [CrossRef]
- Allescher, H.D. Papilla of Vater: Structure and function. Endoscopy 1989, 21, 324–329. [Google Scholar] [CrossRef] [PubMed]
- Guelrud, M.; Morera, C.; Rodriguez, M.; Prados, J.G.; Jaén, D. Normal and anomalous pancreaticobiliary union in children and adolescents. Gastrointest. Endosc. 1999, 50, 189–193. [Google Scholar] [CrossRef]
- Kamisawa, T.; Suyama, M.; Fujita, N.; Maguchi, H.; Hanada, K.; Ikeda, S.; Igarashi, Y.; Itoi, T.; Kida, M.; Honda, G.; et al. Committee of Diagnostic Criteria of The Japanese Study Group on Pancreaticobiliary. The Japanese Study Group on Pancreaticobiliary Maljunction. Pancreatobiliary reflux and the length of a common channel. J. Hepatobiliary Pancreat. Sci. 2010, 17, 865–870. [Google Scholar] [CrossRef] [PubMed]
- Horaguchi, J.; Fujita, N.; Kamisawa, T.; Honda, G.; Chijiiwa, K.; Maguchi, H.; Tanaka, M.; Shimada, M.; Igarashi, Y.; Inui, K.; et al. Committee of Diagnostic Criteria of The Japanese Study Group on Pancreaticobiliary Maljunction. The Japanese Study Group on Pancreaticobiliary Maljunction. Pancreatobiliary reflux in individuals with a normal pancreaticobiliary junction: A prospective multicenter study. J. Gastroenterol. 2014, 49, 875–881. [Google Scholar] [PubMed]
- Itokawa, F.; Kamisawa, T.; Nakano, T.; Itoi, T.; Hamada, Y.; Ando, H.; Fujii, H.; Koshinaga, T.; Yoshida, H.; Tamoto, E.; et al. Committee of Diagnostic Criteria of The Japanese Study Group on Pancreaticobiliary Maljunction. Exploring the length of the common channel of pancreaticobiliary maljunction on magnetic resonance cholangiopancreatography. J. Hepatobiliary Pancreat. Sci. 2015, 22, 68–73. [Google Scholar] [CrossRef] [PubMed]
- Kamisawa, T.; Okamoto, A. Biliopancreatic and pancreatobiliary refluxes in cases with and without pancreaticobiliary maljunction: Diagnosis and clinical implications. Digestion 2006, 73, 228–236. [Google Scholar] [CrossRef]
- Sai, J.K.; Suyama, M.; Kubokawa, Y.; Tadokoro, H.; Sato, N.; Maehara, T.; Iida, Y.; Kojima, K. Occult pancreatobiliary reflux in patients with a normal pancreaticobiliary junction. Gastrointest. Endosc. 2003, 57, 364–368. [Google Scholar] [CrossRef]
- Itokawa, F.; Itoi, T.; Nakamura, K.; Sofuni, A.; Kakimi, K.; Moriyasu, F.; Tsuchida, A.; Aoki, T. Assessment of occult pancreatobiliary reflux in patients with pancreaticobiliary disease by ERCP. J. Gastroenterol. 2004, 39, 988–994. [Google Scholar] [CrossRef] [PubMed]
- Horaguchi, J.; Fujita, N.; Noda, Y.; Kobayashi, G.; Ito, K.; Takasawa, O.; Obana, T.; Endo, T.; Nakahara, K.; Ishida, K.; et al. Amylase levels in bile in patients with a morphologically normal pancreaticobiliary ductal arrangement. J. Gastroenterol. 2008, 43, 305–311. [Google Scholar] [CrossRef]
- Sugita, R.; Furuta, A.; Yamazaki, T.; Ito, K.; Noda, Y. Pancreaticobiliary juice reflux in patients with a morphologically normal ductal system: Assessment using unenhanced MRI with spin labeling. Am. J. Roentgenol. 2017, 208, 322–327. [Google Scholar] [CrossRef]
- Ueno, K.; Ajiki, T.; Murakami, S.; Fujita, T.; Matsumoto, T.; Shinozaki, K.; Fukumoto, T.; Ku, Y. Clinical significance of bile reflux into the pancreatic duct without pancreaticobiliary maljunction assessed by intraoperative cholangiography. Asian J. Endosc. Surg. 2015, 8, 296–302. [Google Scholar] [CrossRef] [PubMed]
- Beltrán, M.A. Pancreaticobiliary reflux in patients with a normal pancreaticobiliary junction: Pathologic implications. World J. Gastroenterol. 2011, 17, 953–962. [Google Scholar]
- Iwai, N.; Tokiwa, K.; Tsuto, T.; Yanagihara, J.; Takahashi, T. Biliary manometry in choledochal cyst with abnormal choledochopancreatico ductal junction. J. Pediatr. Surg. 1986, 21, 873–876. [Google Scholar] [CrossRef]
- Davenport, M.; Stringer, M.D. Biliary amylase and congenital choledochal dilatation. J. Pediatr. Surg. 1995, 30, 474–477. [Google Scholar] [CrossRef] [PubMed]
- Ragot, E.; Mabrut, J.Y.; Ouaïssi, M.; Sauvanet, A.; Dokmak, S.; Nuzzo, G.; Halkic, N.; Dubois, R.; Létoublon, C.; Cherqui, D.; et al. Working Group of the French Surgical Association. Pancreaticobiliary Maljunctions in European Patients with Bile Duct Cysts: Results of the Multicenter Study of the French Surgical Association (AFC). World J. Surg. 2017, 41, 538–545. [Google Scholar] [CrossRef] [PubMed]
- Saito, T.; Hishiki, T.; Terui, K.; Sato, Y.; Mitsunaga, T.; Terui, E.; Nakata, M.; Takenouchi, A.; Matsuura, G.; Yahata, E.; et al. Use of preoperative, 3-dimensional magnetic resonance cholangiopancreatography in pediatric choledochal cysts. Surgery 2011, 149, 569–575. [Google Scholar] [CrossRef]
- Kouchi, K.; Yoshida, H.; Matsunaga, T.; Kuroda, H.; Hishiki, T.; Saito, T.; Matsuura, G.; Komatsu, S.; Ohnuma, N. Efficacy of ERCP via the accessory papilla in children with choledochal cysts. Gastrointest. Endosc. 2004, 59, 119–123. [Google Scholar] [CrossRef] [PubMed]
- Terui, K.; Yoshida, H.; Kouchi, K.; Hishiki, T.; Saito, T.; Mitsunaga, T.; Takenouchi, A.; Tsuyuguchi, T.; Yamaguchi, T.; Ohnuma, N. Endoscopic sphincterotomy is a useful preoperative management for refractory pancreatitis associated with pancreaticobiliary maljunction. J. Pediatr. Surg. 2008, 43, 495–499. [Google Scholar] [CrossRef]
- Saito, T.; Terui, K.; Mitsunaga, T.; Nakata, M.; Kuriyama, Y.; Higashimoto, Y.; Kouchi, K.; Onuma, N.; Takahashi, H.; Yoshida, H. Role of pediatric endoscopic retrograde cholangiopancreatography in an era stressing less-invasive imaging modalities. J. Pediatr. Gastroenterol. Nutr. 2014, 59, 204–209. [Google Scholar] [CrossRef]
- Kouchi, K.; Takenouchi, A.; Matsuoka, A.; Yabe, K.; Yoshizawa, H.; Nakata, C.; Fujishiro, J.; Sugiyama, H. Case series of endoscopic papillary balloon dilation for children with common bile duct stones and a review of the literature. J. Clin. Med. 2024, 13, 2251. [Google Scholar] [CrossRef] [PubMed]
- Guelrud, M.; Morera, C.; Rodriguez, M.; Jaen, D.; Pierre, R. Sphincter of Oddi dysfunction in children with recurrent pancreatitis and anomalous pancreaticobiliary union: An etiologic concept. Gastrointest. Endosc. 1999, 50, 194–199. [Google Scholar] [CrossRef]
- Canadian Medical Association. The periodic health examination: 2. 1987 update. Canadian Task Force on the Periodic Health Examination. CMAJ 1988, 138, 618–626. [Google Scholar]
- Palasciano, G.; Portincasa, P.; Vinciguerra, V.; Velardi, A.; Tardi, S.; Baldassarre, G.; Albano, O. Gallstone prevalence and gallbladder volume in children and adolescents: An epidemiological ultrasonographic survey and relationship to body mass index. Am. J. Gastroenterol. 1989, 84, 1378–1382. [Google Scholar] [PubMed]
- Nomura, H.; Kashiwagi, S.; Hayashi, J.; Kajiyama, W.; Ikematsu, H.; Noguchi, A.; Tani, S.; Goto, M. Prevalence of gall-stone disease in general population of Okinawa, Japan. Am. J. Epidemiol. 1988, 128, 598–605. [Google Scholar] [CrossRef]
- Wesdorp, I.; Bosman, D.; de Graaff, A.; Aronson, D.; van der Blij, F.; Taminiau, J. Clinical presentations and predisposing factors of cholelithiasis and sludge in children. J. Pediatr. Gastroenterol. Nutr. 2000, 31, 411–417. [Google Scholar] [PubMed]
- Zdanowicz, K.; Daniluk, J.; Lebensztejn, D.M.; Daniluk, U. The etiology of cholelithiasis in children and adolescentsa literature review. Int. J. Mol. Sci. 2022, 23, 13376. [Google Scholar] [CrossRef] [PubMed]
- Koebnick, C.; Smith, N.; Black, M.H.; Porter, A.H.; Richie, B.A.; Hudson, S.; Gililland, D. Pediatric obesity and gallstone disease. J. Pediatr. Gastroenterol. Nutr. 2012, 55, 328–333. [Google Scholar] [CrossRef]
- Morinville, V.D.; Barmada, M.M.; Lowe, M.E. Increasing incidence of acute pancreatitis at an American pediatric tertiary care center: Is. greater awareness among physicians responsible? Pancreas 2010, 39, 5–8. [Google Scholar] [CrossRef]
- Nydegger, A.; Heine, R.G.; Ranuh, R.; Gegati-Levy, R.; Crameri, J.; Oliver, M.R. Changing incidence of acute pancreatitis: 10-year experience at the Royal Children’s Hospital, Melbourne. J. Gastroenterol. Hepatol. 2007, 22, 1313–1316. [Google Scholar] [CrossRef]
- Park, A.; Latif, S.U.; Shah, A.U.; Tian, J.; Werlin, S.; Hsiao, A.; Pashankar, D.; Bhandari, V.; Nagar, A.; Husain, S.Z. Changing referral trends of acute pancreatitis in children: A 12-year single-center analysis. J. Pediatr. Gastroenterol. Nutr. 2009, 49, 316–322. [Google Scholar] [CrossRef]
- Bai, H.X.; Lowe, M.E.; Husain, S.Z. What have we learned about acute pancreatitis in children? J. Pediatr. Gastroenterol. Nutr. 2011, 52, 262–270. [Google Scholar] [CrossRef] [PubMed]
- Sellers, Z.M.; MacIsaac, D.; Yu, H.; Dehghan, M.; Zhang, K.Y.; Bensen, R.; Wong, J.J.; Kin, C.; Park, K.T. Nationwide trends in acute and chronic pancreatitis among privately insured children and non-elderly adults in the United States, 2007–2014. Gastroenterology 2018, 155, 469–478. [Google Scholar] [CrossRef] [PubMed]
- Yadav, D.; Lowenfels, A.B. Trends in the epidemiology of the first attack of acute pancreatitis: A systematic review. Pancreas 2006, 33, 323–330. [Google Scholar] [CrossRef]
- Uc, A.; Husain, S.Z. Pancreatitis in Children. Gastroenterology 2019, 156, 1969–1978. [Google Scholar] [CrossRef] [PubMed]
- Deng, Y.L.; Cheng, N.S.; Lin, Y.X.; Zhou, R.X.; Yang, C.; Jin, Y.W.; Xiong, X.Z. Relationship between pancreaticobiliary maljunction and gallbladder carcinoma: Meta-analysis. Hepatobiliary Pancreat. Dis. Int. 2011, 10, 570–580. [Google Scholar] [CrossRef] [PubMed]
- Morine, Y.; Shimada, M.; Takamatsu, H.; Araida, T.; Endo, I.; Kubota, M.; Toki, A.; Noda, T.; Matsumura, T.; Miyakawa, S. Clinical features of pancreaticobiliary maljunction: Update analysis of 2nd Japan-nationwide survey. J. Hepatobiliary Pancreat. Sci. 2013, 20, 472–480. [Google Scholar] [CrossRef] [PubMed]
- Xia, H.T.; Wang, J.; Yang, T.; Liang, B.; Zeng, J.P.; Dong, J.H. Sphincter of Oddi Dysfunction and the Formation of Adult Choledochal Cyst Following Cholecystectomy: A Retrospective Cohort Study. Medicine 2015, 94, e2088. [Google Scholar] [CrossRef] [PubMed]
- Zeng, J.Q.; Deng, Z.H.; Yang, K.H.; Zhang, T.A.; Wang, W.Y.; Ji, J.M.; Hu, Y.B.; Xu, C.D.; Gong, B. Endoscopic retrograde cholangiopancreatography in children with symptomatic pancreaticobiliary maljunction: A retrospective multicenter study. World J. Gastroenterol. 2019, 25, 6107–6115. [Google Scholar] [CrossRef] [PubMed]
- Mao, H.M.; Huang, S.G.; Yang, Y.; Cai, T.N.; Fang, L.; Guo, W.L. Clinical presentations and outcomes of pancreaticobiliary maljunction in different pediatric age groups. BMC Pediatr. 2023, 23, 427. [Google Scholar] [CrossRef]
- Matsumoto, S.; Tanaka, M.; Ikeda, S.; Yoshimoto, H. Sphincter of Oddi motor activity in patients with anomalous pancreaticobiliary junction. Am. J. Gastroenterol. 1991, 86, 831–834. [Google Scholar] [PubMed]
- Sai, J.K.; Suyama, M.; Kubokawa, Y.; Nobukawa, B. Gallbladder carcinoma associated with pancreatobiliary reflux. World J. Gastroenterol. 2006, 12, 6527–6530. [Google Scholar] [CrossRef] [PubMed]
- Kamisawa, T.; Anjiki, H.; Egawa, N.; Kurata, M.; Honda, G.; Tsuruta, K. Diagnosis and clinical implications of pancreatobiliary reflux. World J. Gastroenterol. 2008, 14, 6622–6626. [Google Scholar] [CrossRef] [PubMed]





| Case | Age/Sex | Chief Complaint | Comorbidities | Length of CC/SO Segment (mm) | Dilatation of CBD |
|---|---|---|---|---|---|
| 1 | 2 yrs/M | RAP | Trisomy 13 | 3.5/6.3 | none |
| 2 | 10 yrs/F | jaundice | VHL | 4.9/8.8 | Yes |
| Stenosis in CBD | |||||
| 3 | 13 yrs/M | RAP | none | 5.3/12.0 | none |
| 4 | 12 yrs/M | abdominal pain | none | 5.5/9.2 | none |
| 5 | 1 yr/F | cholelithiasis | none | 3.6/6.0 | none |
| 6 | 4 mos/F | cholelithiasis | none | 2.2/Not measurable | none |
| 7 | 5 mos/F | cholelithiasis | none | 2.4/Not measurable | none |
| choledocholithiasis |
| Age (Years) | <1 | 1–3 | 4–6 | 7–9 | 10–12 | 13–15 |
|---|---|---|---|---|---|---|
| Length of CC (mm; range) | 1–3 | 1.7–2.8 | 2.2–3.5 | 2.1–3.8 | 3.6–4.3 | 3.1–4.5 |
| Mean (mm) | 1.86 | 2.2 | 2.86 | 3.28 | 3.96 | 4.0 |
| Upper limit of CC (mm) | 3.0 | 3.1 | 3.6 | 4.1 | 4.4 | 5.0 |
| Our cases | case 6: 2.2 | case 1: 3.5 (+0.4) | case 2: 4.9 (+0.5) | case 3: 5.3 (+0.3) | ||
| case 7: 2.4 | case 5: 3.6 (+0.5) | case 4: 5.5 (+1.1) |
| Author | Level of Evidence |
|---|---|
| Kamisawa T, et al. [6], 2010 | II |
| Horaguchi J, et al. [7], 2014 | II |
| Itokawa F, et al. [8], 2015 | II |
| Kamisawa T, et al. [9], 2006 | III |
| Sai JK, et al. [10], 2003 | III |
| Itokawa F, et al. [11], 2004 | III |
| Horaguchi J, et al. [12], 2008 | III |
| Sugita R, et al. [13], 2017 | III |
| Ueno K, et al. [14], 2015 | III |
Disclaimer/Publisher’s Note: The statements, opinions and data contained in all publications are solely those of the individual author(s) and contributor(s) and not of MDPI and/or the editor(s). MDPI and/or the editor(s) disclaim responsibility for any injury to people or property resulting from any ideas, methods, instructions or products referred to in the content. |
© 2024 by the authors. Licensee MDPI, Basel, Switzerland. This article is an open access article distributed under the terms and conditions of the Creative Commons Attribution (CC BY) license (https://creativecommons.org/licenses/by/4.0/).
Share and Cite
Kouchi, K.; Takenouchi, A.; Matsuoka, A.; Yoshizawa, H.; Nakata, C. Pancreaticobiliary Reflux with Normal and Relatively Long Common Channels Causing Cholelithiasis and Acute Pancreatitis in Children. J. Clin. Med. 2024, 13, 7650. https://doi.org/10.3390/jcm13247650
Kouchi K, Takenouchi A, Matsuoka A, Yoshizawa H, Nakata C. Pancreaticobiliary Reflux with Normal and Relatively Long Common Channels Causing Cholelithiasis and Acute Pancreatitis in Children. Journal of Clinical Medicine. 2024; 13(24):7650. https://doi.org/10.3390/jcm13247650
Chicago/Turabian StyleKouchi, Katsunori, Ayako Takenouchi, Aki Matsuoka, Hiroko Yoshizawa, and Chikako Nakata. 2024. "Pancreaticobiliary Reflux with Normal and Relatively Long Common Channels Causing Cholelithiasis and Acute Pancreatitis in Children" Journal of Clinical Medicine 13, no. 24: 7650. https://doi.org/10.3390/jcm13247650
APA StyleKouchi, K., Takenouchi, A., Matsuoka, A., Yoshizawa, H., & Nakata, C. (2024). Pancreaticobiliary Reflux with Normal and Relatively Long Common Channels Causing Cholelithiasis and Acute Pancreatitis in Children. Journal of Clinical Medicine, 13(24), 7650. https://doi.org/10.3390/jcm13247650
