Tunnel Technique and Subepithelial Connective Tissue Graft, With or Without Cross-Linked Hyaluronic Acid, in the Treatment of Multiple Gingival Recessions: Prognostic Parameters for Clinical Treatment Outcomes of Randomized Controlled Trial
Abstract
1. Introduction
2. Materials and Methods
2.1. Study Design
2.2. Sample Size Calculation
2.3. Study Endpoints
2.4. Study Sample
2.5. Randomization and Allocation Concealment
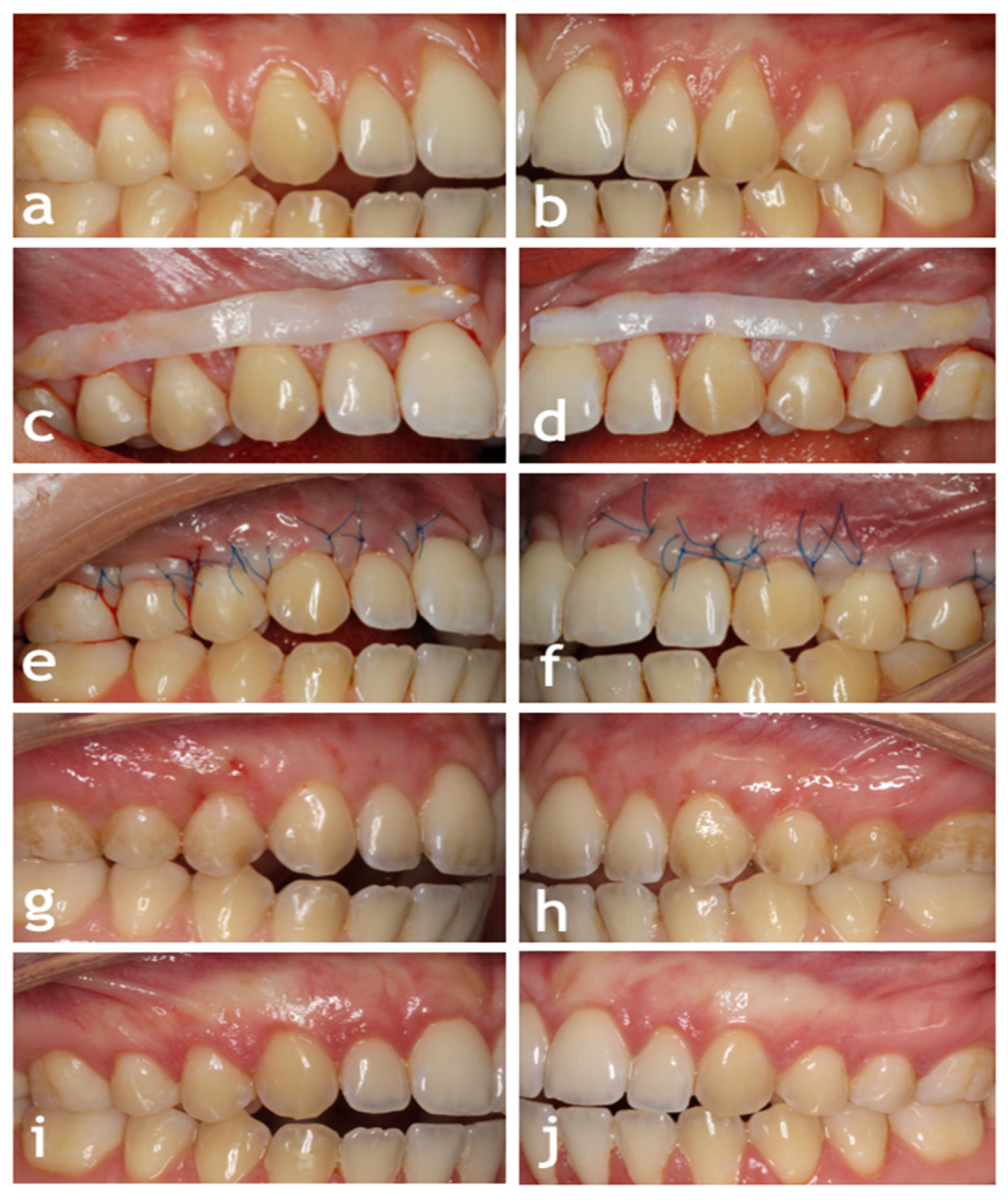
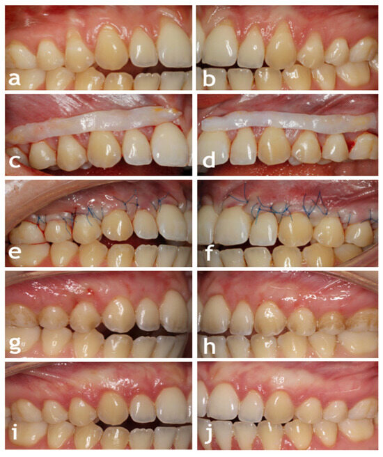
2.6. Surgical Intervention
2.7. Clinical Outcomes
2.8. Statistical Analysis
3. Results
4. Discussion
5. Conclusions
Author Contributions
Funding
Institutional Review Board Statement
Informed Consent Statement
Data Availability Statement
Conflicts of Interest
References
- Wennström, J.L. Mucogingival therapy. Ann. Periodontol. 1996, 1, 671–701. [Google Scholar] [CrossRef] [PubMed]
 - Albandar, J.M.; Kingman, A. Gingival recession, gingival bleeding, and dental calculus in adults 30 years of age and older in the United States, 1988–1994. J. Periodontol. 1999, 70, 30–43. [Google Scholar] [CrossRef] [PubMed]
 - Cairo, F.; Nieri, M.; Cincinelli, S.; Mervelt, J.; Pagliaro, U. The inter-proximal clinical attachment level to classify gingival recessions and predict root coverage outcomes: An explorative and reliability study. J. Clin. Periodontol. 2011, 38, 661–666. [Google Scholar] [CrossRef] [PubMed]
 - Zucchelli, G.; Mounssif, I. Periodontal plastic surgery. Periodontol. 2000 2015, 68, 333–368. [Google Scholar] [CrossRef] [PubMed]
 - Chambrone, L.; Botelho, J.; Machado, V.; Mascarenhas, P.; Mendes, J.J.; Avila-Ortiz, G. Does the subepithelial connective tissue graft in conjunction with a coronally advanced flap remain as the gold standard therapy for the treatment of single gingival recession defects? A systematic review and network meta-analysis. J. Periodontol. 2022, 93, 1336–1352. [Google Scholar] [CrossRef]
 - Tavelli, L.; Barootchi, S.; Nguyen, T.V.N.; Tattan, M.; Ravidà, A.; Wang, H.L. Efficacy of tunnel technique in the treatment of local- ized and multiple gingival recessions: A systematic review and meta-analysis. J. Periodontol. 2018, 89, 1075–1090. [Google Scholar] [CrossRef]
 - Cairo, F.; Barootchi, S.; Tavelli, L.; Barbato, L.; Wang, H.L.; Rasperini, C.; Graziani, F.; Tonetti, M. Aesthetic- and patient-related outcomes following root coverage procedures: A systematic review and network meta-analysis. J. Clin. Periodontol. 2020, 47, 1403–1415. [Google Scholar] [CrossRef]
 - Gobbato, L.; Nart, J.; Bressan, E.; Mazzocco, F.; Paniz, G.; Lops, D. Patient morbidity and root coverage outcomes after the application of a subepithelial connective tissue graft in combination with a coronally advanced flap or via a tunneling technique: A randomized controlled clinical trial. Clin. Oral Investig. 2016, 20, 2191–2202. [Google Scholar] [CrossRef]
 - Aroca, S.; Molnár, B.; Windisch, P.; Gera, I.; Salvi, G.E.; Nikolidakis, D.; Sculean, A. Treatment of multiple adjacent Miller class I and II gingival recessions with a modified coronally advanced tunnel (MCAT) technique and a collagen matrix or palatal connective tissue graft: A randomized, controlled clinical trial. J. Clin. Periodontol. 2013, 40, 713–720. [Google Scholar] [CrossRef]
 - Azaripour, A.; Kissinger, M.; Farina, V.S.; Van Noorden, C.J.; Gerhold-Ay, A.; Willershausen, B.; Cortellini, P. Root coverage with connective tissue graft associated with coronally advanced flap or tunnel technique: A randomized, double-blind, mono-centre clinical trial. J. Clin. Periodontol. 2016, 43, 1142–1150. [Google Scholar] [CrossRef]
 - Mayta-Tovalino, F.; Barboza, J.J.; Pasupuleti, V.; Hernandez, A.V. Efficacy of Tunnel Technique (TUN) versus Coronally Advanced Flap (CAF) in the Management of Multiple Gingival Recession Defects: A Meta-Analysis. Int. J. Dent. 2023, 2023, 8671484. [Google Scholar] [CrossRef] [PubMed]
 - Ozenci, I.; Ipci, S.D.; Cakar, G.; Yilmaz, S. Tunnel technique versus coronally advanced flap with acellular dermal matrix graft in the treatment of multiple gingival recessions. J. Clin. Periodontol. 2015, 42, 1135–1142. [Google Scholar] [CrossRef] [PubMed]
 - Cieślik-Wegemund, M.; Wierucka-Młynarczyk, B.; Tanasiewicz, M.; Gilowski, Ł. Tunnel technique with collagen matrix compared with connective tissue graft for treatment of periodontal recession: A randomized clinical trial. J. Periodontol. 2016, 87, 1436–1443. [Google Scholar] [CrossRef] [PubMed]
 - Górski, B.; Górska, R.; Wysokińska-Miszczuk, J.; Kaczyński, T. Tunnel technique with enamel matrix derivative in addition to subepithelial connective tissue graft compared with connective tissue graft alone for the treatment of multiple gingival recessions: A randomized clinical trial. Clin. Oral Investig. 2020, 24, 4475–4486. [Google Scholar] [CrossRef] [PubMed]
 - Korkmaz, B.; Balli, U. Clinical evaluation of the treatment of multiple gingival recessions with connective tissue graft or concentrated growth factor using tunnel technique: A randomized controlled clinical trial. Clin. Oral Investig. 2021, 25, 6347–6356. [Google Scholar] [CrossRef]
 - Ferguson, E.L.; Roberts, J.L.; Moseley, R.; Griffiths, P.C.; Thomas, D.W. Evaluation of the physical and biological properties of hyaluronan and hyaluronan fragments. Int. J. Pharm. 2011, 420, 84–92. [Google Scholar] [CrossRef]
 - Tavianatou, A.G.; Caon, I.; Franchi, M.; Piperigkoum, Z.; Galesso, D.; Karamanos, N.K. Hyaluronian: Molecular size-dependent signaling and biological functions in inflammation and cancer. FEBS J. 2023, 286, 2883–2908. [Google Scholar] [CrossRef]
 - Iaconisi, G.N.; Lunetti, P.; Gallo, N.; Cappello, A.R.; Fiermonte, G.; Dolce, V.; Capobianco, L. Hyaluronic Acid: A powerful biomolecule with wide-ranging applications—A comprehensive review. Int. Mol. J. Sci. 2023, 24, 10296. [Google Scholar] [CrossRef]
 - Manfredini, M.; Beretta, M.; Maiorana, C.; Tandurella, M.; Federica, E.S.; Poli, P.P. Effectiveness of adjunctive hyaluronic acid application in surgical treatment of gingival recession sites. Prosthesis 2023, 5, 635–646. [Google Scholar] [CrossRef]
 - Oates, T.W.; Robinson, M.; Gunsolley, J.C. Surgical therapies for treatment of gingival recession. A systematic review. Ann. Periodontol. 2003, 8, 303–320. [Google Scholar] [CrossRef]
 - De Sanctis, M.; Clementini, M. Flap approaches in plastic periodontal and implant surgery: Critical elements in design and execution. J. Clin. Periodontol. 2014, 41 (Suppl. S15), 108–122. [Google Scholar] [CrossRef] [PubMed]
 - Tonetti, M.S.; Jepsen, S. Clinical efficacy of periodontal plastic surgery procedures: Consensus Report of Group 2 of the 10th European Workshop on Periodontology. J. Clin. Periodontol. 2014, 41 (Suppl. S15), S36–S43. [Google Scholar] [CrossRef] [PubMed]
 - Skierska, I.; Górski, B.; Fus, Ł. Tunnel technique and subepithelial connective tissue graft, with or without cross-linked hyaluronic acid, in the treatment of multiple gingival recessions: 12-month outcomes of a randomized clinical trial. J. Periodontol. 2024. Epub ahead of print. [Google Scholar] [CrossRef] [PubMed]
 - Nandanwar, J.; Bhongade, M.L.; Puri, S.; Dhadse, P.; Datir, M.; Kasatwar, A. Comparison of effectiveness of hyaluronic acid in combination with polylactic acid/polyglycolic acid membrane and subepi-thelial connective tissue graft for the treatment of multiple gingival recession defects in human: A clinical study. J. Datta Meghe Inst. Med. Sci. Univ. 2018, 13, 48–53. [Google Scholar] [CrossRef]
 - Chambrone, L.; Tatakis, D.N. Periodontal soft tissue root coverage procedures: A systematic review from the AAP Regeneration Workshop. J. Periodontol. 2015, 86 (Suppl. S2), S8–S51. [Google Scholar] [CrossRef]
 - Pilloni, A.; Schmidlin, P.R.; Sahrmann, P.; Sculean, A.; Rojas, M.A. Effectiveness of adjunctive hyaluronic acid application in coronally advanced flap in Miller class I single gingival recession sites: A randomized controlled clinical trial. Clin. Oral Investig. 2019, 23, 1133–1141. [Google Scholar] [CrossRef]
 - Sculean, A.; Cosgarea, R.; Stähli, A.; Katsaros, C.; Arweiler, N.B.; Miron, R.J.; Deppe, H. Treatment of multiple adjacent maxillary Miller Class I, II, and III gingival recessions with the modified coronally advanced tunnel, enamel matrix derivative, and subepithelial connective tissue graft: A report of 12 cases. Quintessence Int. 2016, 47, 653–659. [Google Scholar] [CrossRef]
 - Zucchelli, G.; Mele, M.; Stefanini, M.; Mazzotti, C.; Marzadori, M.; Montebugnoli, L.; de Sanctis, M. Patient morbidity and root coverage outcome after subepithelial connective tissue and de-epithelialized grafts: A comparative randomized-controlled clinical trial. J. Clin. Periodontol. 2010, 37, 728–738. [Google Scholar] [CrossRef]
 - Lanzrein, C.; Guldener, K.; Imber, J.C.; Katsaros, C.; Stähli, A.; Sculean, A. Treatment of multiple adjacent recessions with the modified coronally advanced tunnel or laterally closed tunnel in conjunction with cross-linked hyaluronic acid and subepithelial connective tissue graft: A report of 15 cases. Quintessence Int. 2020, 51, 710–719. [Google Scholar] [CrossRef]
 - Giorgetti, A.P.O.; Matos, R.; Casarin, R.C.V.; Pimentel, S.P.; Cirano, F.R.; Ribeiro, F.V. Preemptive and Postoperative Medication Protocols for Root Coverage Combined with Connective Tissue Graft. Braz. Dent. J. 2018, 29, 23–29. [Google Scholar] [CrossRef][Green Version]
 - Cairo, F.; Rotundo, R.; Miller, P.D.; Pini Prato, G.P. Root coverage esthetic score: A system to evaluate the esthetic outcome of the treatment of gingival recession through evaluation of clinical cases. J. Periodontol. 2009, 80, 705–710. [Google Scholar] [CrossRef] [PubMed]
 - Górski, B.; Górska, R.; Szerszeń, M.; Kaczyński, T. Modified coronally advanced tunnel technique with enamel matrix derivative in addition to subepithelial connective tissue graft compared with connective tissue graft alone for the treatment of multiple gingival recessions: Prognostic parameters for clinical treatment outcomes. Clin. Oral Investig. 2022, 26, 673–688. [Google Scholar] [CrossRef] [PubMed]
 - Xue, F.; Zhang, R.; Liu, J.; Duan, J.; Zhang, Y.; Cai, Y. Digitally measured exposed root surface area for predicting the effectiveness of modified coronally advanced tunnel combined de-epithelialized gingival grafting in the treatment of multiple adjacent gingival recessions. Clin. Oral Investig. 2023, 27, 4503–4512. [Google Scholar] [CrossRef] [PubMed]
 - Bakhishov, H.; Isler, S.C.; Bozyel, B.; Yıldırım, B.; Tekindal, M.A.; Ozdemir, B. De-epithelialized gingival graft versus subepithelial connective tissue graft in the treatment of multiple adjacent gingival recessions using the tunnel technique: 1-year results of a randomized clinical trial. J. Clin. Periodontol. 2021, 48, 970–983. [Google Scholar] [CrossRef]
 - Zucchelli, G.; Tavelli, L.; Ravidà, A.; Stefanini, M.; Suárez-López Del Amo, F.; Wang, H.L. Influence of tooth location on coronally advanced flap procedures for root coverage. J. Periodontol. 2018, 89, 1428–1441. [Google Scholar] [CrossRef]
 - Aroca, S.; Barbier, A.; Clementini, M.; Renouard, F.; de Sanctis, M. Treatment of class III multiple gingival recessions: Prognostic factors for achieving a complete root coverage. J. Clin. Periodontol. 2018, 45, 861–868. [Google Scholar] [CrossRef]
 - Pietruska, M.; Skurska, A.; Podlewski, Ł.; Milewski, R.; Pietruski, J. Clinical evaluation of Miller class I and II recessions treatment with the use of modified coronally advanced tunnel technique with either collagen matrix or subepithelial connective tissue graft: A randomized clinical study. J. Clin. Periodontol. 2018, 46, 86–95. [Google Scholar] [CrossRef]
 - Kim, D.M.; Neiva, R. Periodontal soft tissue non-root coverage procedures: A systematic review from the AAP Regeneration Workshop. J. Periodontol. 2015, 86 (Suppl. S2), S56–S72. [Google Scholar] [CrossRef]
 - Rasperini, G.; Codari, M.; Limiroli, E.; Acunzo, R.; Tavelli, L.; Levickiene, A.Z. Graftless Tunnel Technique for the Treatment of Multiple Gingival Recessions in Sites with Thick or Very Thick Biotype: A Prospective Case Series. Int. J. Periodontics Restor. Dent. 2019, 39, e203–e210. [Google Scholar] [CrossRef]
 - Aroca, S.; Di Domenico, G.L.; Darnaud, C.; de Sanctis, M. Modified Coronally Advanced Tunnel Technique with Site-Specific Application of Connective Tissue Graft for the Treatment of Multiple Adjacent Maxillary Gingival Recessions: A Case Series. Int. J. Periodontics Restor. Dent 2021, 41, 253–259. [Google Scholar] [CrossRef]
 - Zuhr, O.; Rebele, S.F.; Vach, K.; Petsos, H.; Hürzeler, M.B.; Research Group for Oral Soft Tissue Biology & Wound Healing. Tunnel technique with connective tissue graft versus coronally advanced flap with enamel matrix derivative for root coverage: 2-year results of an RCT using 3D digital measuring for volumetric comparison of gingival dimensions. J. Clin. Periodontol. 2020, 47, 1144–1158. [Google Scholar] [CrossRef] [PubMed]
 - Cairo, F. Periodontal plastic surgery of gingival recessions at single and multiple teeth. Periodontol. 2017, 75, 296–316. [Google Scholar] [CrossRef] [PubMed]
 - Asparuhova, M.B.; Kiryak, D.; Eliezer, M.; Mihov, D.; Sculean, A. Activity of two hyaluronan preparations on primary human oral fibroblasts. J. Periodontal. Res. 2019, 54, 33–45. [Google Scholar] [CrossRef] [PubMed]
 - Yang, H.; Song, L.; Zou, Y.; Sun, D.; Wang, L.; Yu, Z.; Guo, J. Role of Hyaluronic Acids and Potential as Regenerative Biomaterials in Wound Healing. ACS Appl. Bio Mater. 2021, 4, 311–324. [Google Scholar] [CrossRef] [PubMed]
 - Sarfati, A.; Bourgeois, D.; Katsahian, S.; Mora, F.; Bouchard, P. Risk assessment for buccal gingival recession defects in an adult population. J. Periodontol. 2010, 10, 1419–1425. [Google Scholar] [CrossRef]
 - Cortellini, P.; Bissada, N.F. Mucogingival conditions in the natural dentition: Narrative review, case definitions, and diagnostic considerations. J. Periodontol. 2018, 89 (Suppl. S1), S204–S213. [Google Scholar] [CrossRef]
 - Kassab, M.M.; Cohen, R.E. The etiology and prevalence of gingival recession. J. Am. Dent. Assoc. 2003, 134, 220–225. [Google Scholar] [CrossRef]
 - Susin, C.; Haas, A.N.; Oppermann, R.V.; Haugejorden, O.; Albandar, J.M. Gingival recession: Epidemiology and risk indicators in a representative urban Brazilian population. J. Periodontol. 2004, 75, 1377–1386. [Google Scholar] [CrossRef]
 - Lipsky, M.S.; Su, S.; Crespo, C.J.; Hung, M. Men and Oral Health: A Review of Sex and Gender Differences. Am. J. Men’s Health 2021, 15, 15579883211016361. [Google Scholar] [CrossRef]
 - Furuta, M.; Ekuni, D.; Irie, K.; Azuma, T.; Tomofuji, T.; Ogura, T.; Morita, M. Sex differences in gingivitis relate to interaction of oral health behaviors in young people. J. Periodontol. 2011, 82, 558–865. [Google Scholar] [CrossRef]
 



| Variables | Test Group (SCTG + HA) (N = 24, n = 133)  | Control Group (SCTG)  (N = 24, n = 133)  | 
|---|---|---|
| Gender (n) Women Men  | 19 5  | 19 5  | 
| Tooth type (n) Incisors Canines Premolars Molars  | 42 23 45 23  | 42 23 45 23  | 
| Tooth position (n) Maxillary teeth Mandibular teeth  | 108 25  | 105 28  | 
| Type of GR (n,%) RT1 RT2  | 59 (44%) 74 (56%)  | 54 (41%) 79 (59%)  | 
| Baseline | 12 Months Post-Operative  | p (Baseline–1 Year) | |
|---|---|---|---|
| MRC for SCTG + HA MRC for SCTG p (test vs. control)  | 84.32 ± 34.46 85.71 ± 36.43 0.9910  | ||
| CRC for SCTG + HA CRC for SCTG p (test vs. control)  | 92.12 ± 28.14 94.61 ± 24.71 0.8994  | ||
| GRH for SCTG + HA GRH for SCTG p (test vs. control)  | 1.77 ± 1.13 1.67 ± 1.12 0.8121  | 0.12 ± 0.48 0.08 ± 0.39 0.9983  | <0.0001 <0.0001  | 
| GR red for SCTG+HA GR red for SCTG p (test vs. control)  | 1.65 ± 1.09 1.59 ± 1.14 0.9205  | <0.0001 <0.0001  | |
| RW for SCTG + HA RW for SCTG p (test vs. control)  | 3.24 ± 1.8 3.32 ± 1.82 0.9881  | 0.35 ± 1.29 0.25 ± 1.09 0.2332  | <0.0001 <0.0001  | 
| PPD for SCTG + HA PPD for SCTG p (test vs. control)  | 1.42 ± 0.54 1.49 ± 0.57 0.3112  | 1.42 ± 0.53 1.49 ± 0.54 0.7811  | 0.9982 0.4837  | 
| CAL for SCTG + HA CAL for SCTG p (test vs. control)  | 3.08 ± 1.28 3.08 ± 1.22 0.9801  | 0.50 ± 0.85 0.57 ± 0.80 0.8993  | <0.0001 <0.0001  | 
| KTW for SCTG + HA KTW for SCTG p (test vs. control)  | 2.80 ± 1.38 2.69 ± 1.28 0.8911  | 3.57 ± 1.49 3.57 ± 1.26 0.8938  | 0.2092 0.2100  | 
| KTW gain for SCTG + HA KTW gain for SCTG p (test vs. control)  | 0.68 ± 1.40 0.76 ± 1.36 0.5882  | ||
| GT for SCTG + HA GT for SCTG p (test vs. control)  | 1.68 ± 0.72 1.70 ± 0.75 0.9278  | 2.54 ± 0.74 2.54 ± 0.67 0.9992  | 0.0351 0.0388  | 
| GT gain for SCTG + HA GT gain for SCTG p (test vs. control)  | 0.81 ± 0.79 0.77 ± 0.74 0.7862  | 
| GM | MTC | STT | MGJ | GC | RES | |
|---|---|---|---|---|---|---|
| SCTG + HA SCTG p (test vs. control)  | 5.75 ± 0.83 5.78 ± 0.87 0.9491  | 0.90 ± 0.30 0.87 ± 0.34 0.9271  | 0.96 ± 0.20 0.73 ± 0.22 0.0091  | 0.92 ± 0.28 0.89 ± 0.31 0.7703  | 0.98 ± 0.14 0.98 ± 0.13 0.9981  | 9.51 ± 1.01 9.26 ± 1.10 0.7292  | 
| Treatment Outcome | Predictor | Category or Unit | OR [95% CI] | p | 
|---|---|---|---|---|
| MRC 85% | Tooth type  | incisor canine premolar molar  | reference 0.313 [0.028–3.565] 0.597 [0.053–6.730] 0.031 [0.004–0.249]  | 0.350 0.676 0.001  | 
| PPD | 1 mm | 0.378 [0.160–0.893] | 0.027 | |
| CAL | 1 mm | 0.348 [0.199–0.609] | <0.0001 | |
| GRH | 1 mm | 0.569 [0.380–0.852] | 0.006 | |
| RW | 1 mm | 0.458 [0.335–0.626] | <0.0001 | |
| KTW | 1 mm | 1.644 [1.054–2.565] | 0.028 | |
| GT | 1 mm | 0.550 [0.304–0.995] | 0.048 | |
| CRC | Tooth type  | incisor canine premolar molar  | reference 0.313 [0.028–3.565] 0.597 [0.053–6.730] 0.031 [0.004–0.249]  | 0.350 0.676 0.001  | 
| PPD | 1 mm | 0.378 [0.160–0.893] | 0.027 | |
| CAL | 1 mm | 0.348 [0.199–0.609] | <0.001 | |
| GRH | 1 mm | 0.569 [0.380–0.852] | 0.006 | |
| RW | 1 mm | 0.458 [0.335–0.626] | <0.001 | |
| KTW | 1 mm | 1.644 [1.054–2.565] | 0.028 | |
| GT | 1 mm | 0.550 [0.304–0.995] | 0.048 | |
| RES | HA | no yes  | reference 2.477 [1.433–4.282]  | 0.001  | 
| Tooth type | incisor canine premolar molar  | reference 0.347 [0.158–0.765] 1.210 [0.589–2.486] 0.341 [0.151–0.768]  | 0.009 0.603 0.009  | |
| RW | 1 mm | 0.813 [0.682–0.969] | 0.021 | |
| KTW | 1 mm | 1.353 [1.081–1.693] | 0.008 | |
| KTW gain | RW | 1 mm | 0.447 [0.201] | 0.048 | 
| GT gain | GT | 1 mm | 0.072 [0.019–0.275] | <0.0001 | 
| Model | Treatment Outcome | Goodness of Fit (p-Value for Hosmer–Lemeshow) | Predictor | Category or Unit | OR [95% CI] | p | 
|---|---|---|---|---|---|---|
| Model I | MRC 85% | 0.618 | Tooth type  | incisor canine premolar molar  | reference 0.560 [0.045–6.968] 0.964 [0.080–11.568] 0.046 [0.005–0.389]  | 0.652 0.977 0.005  | 
| CAL | 1 mm | 0.396 [0.202–0.776] | 0.007 | |||
| KTW | 1 mm | 1.698 [1.004–2.872] | 0.048 | |||
| Model II | CRC | 0.618 | Tooth type  | incisor canine premolar molar  | reference 0.560 [0.045–6.968] 0.964 [0.080–11.568] 0.046 [0.005–0.389]  | 0.652 0.977 0.005  | 
| CAL | 1 mm | 0.396 [0.202–0.776] | 0.007 | |||
| KTW | 1 mm | 1.698 [1.004–2.872] | 0.048 | |||
| Model III | RES | 0.743 | HA | no yes  | reference 2.683 [1.495–4.814]  | 0.001  | 
| Tooth type | incisor canine premolar molar  | reference 0.402 [0.173–0.936] 1.570 [0.720–3.425] 0.374 [0.158–0.885]  | 0.035 0.257 0.025  | |||
| KTW | 1 mm | 1.378 [1.070–1.776] | 0.013 | |||
| Model IV | GT gain | 0.239 | GT | 1 mm | 0.055 [0.013–0.231] | <0.0001 | 
| PPD | 1 mm | 3.271 [1.318–8.119] | 0.011 | 
| x | y | Quality | Relative Inertia | x Inertia | x cos2 | y Inertia | y cos2 | |
|---|---|---|---|---|---|---|---|---|
| Group: SCTG + HA | −0.503 | 0.370 | 0.397 | 0.083 | 0.095 | 0.258 | 0.065 | 0.139 | 
| Group: SCTG | 0.512 | −0.377 | 0.397 | 0.084 | 0.097 | 0.258 | 0.066 | 0.139 | 
| Tooth type: incisor | 0.300 | 0.867 | 0.345 | 0.118 | 0.019 | 0.037 | 0.204 | 0.308 | 
| Tooth type: canine | −0.833 | −0.289 | 0.180 | 0.135 | 0.097 | 0.161 | 0.015 | 0.019 | 
| Tooth type: premolar | 0.612 | −0.042 | 0.203 | 0.108 | 0.097 | 0.202 | 0.001 | 0.001 | 
| Tooth type: molar | −0.848 | −1.071 | 0.385 | 0.138 | 0.091 | 0.148 | 0.183 | 0.237 | 
| Site: maxilla | 0.017 | −0.358 | 0.496 | 0.034 | 0.0001 | 0.001 | 0.095 | 0.495 | 
| Site: mandible | −0.066 | 1.385 | 0.496 | 0.132 | 0.001 | 0.001 | 0.368 | 0.495 | 
| RES: 0 | −1.070 | 0.085 | 0.682 | 0.105 | 0.316 | 0.678 | 0.003 | 0.004 | 
| RES: 1 | 0.633 | −0.050 | 0.682 | 0.062 | 0.187 | 0.678 | 0.001 | 0.004 | 
Disclaimer/Publisher’s Note: The statements, opinions and data contained in all publications are solely those of the individual author(s) and contributor(s) and not of MDPI and/or the editor(s). MDPI and/or the editor(s) disclaim responsibility for any injury to people or property resulting from any ideas, methods, instructions or products referred to in the content.  | 
© 2024 by the authors. Licensee MDPI, Basel, Switzerland. This article is an open access article distributed under the terms and conditions of the Creative Commons Attribution (CC BY) license (https://creativecommons.org/licenses/by/4.0/).
Share and Cite
Górski, B.; Skierska, I.M.; Nijakowski, K.; Brodzikowska, A. Tunnel Technique and Subepithelial Connective Tissue Graft, With or Without Cross-Linked Hyaluronic Acid, in the Treatment of Multiple Gingival Recessions: Prognostic Parameters for Clinical Treatment Outcomes of Randomized Controlled Trial. J. Clin. Med. 2024, 13, 6758. https://doi.org/10.3390/jcm13226758
Górski B, Skierska IM, Nijakowski K, Brodzikowska A. Tunnel Technique and Subepithelial Connective Tissue Graft, With or Without Cross-Linked Hyaluronic Acid, in the Treatment of Multiple Gingival Recessions: Prognostic Parameters for Clinical Treatment Outcomes of Randomized Controlled Trial. Journal of Clinical Medicine. 2024; 13(22):6758. https://doi.org/10.3390/jcm13226758
Chicago/Turabian StyleGórski, Bartłomiej, Izabela Maria Skierska, Kacper Nijakowski, and Aniela Brodzikowska. 2024. "Tunnel Technique and Subepithelial Connective Tissue Graft, With or Without Cross-Linked Hyaluronic Acid, in the Treatment of Multiple Gingival Recessions: Prognostic Parameters for Clinical Treatment Outcomes of Randomized Controlled Trial" Journal of Clinical Medicine 13, no. 22: 6758. https://doi.org/10.3390/jcm13226758
APA StyleGórski, B., Skierska, I. M., Nijakowski, K., & Brodzikowska, A. (2024). Tunnel Technique and Subepithelial Connective Tissue Graft, With or Without Cross-Linked Hyaluronic Acid, in the Treatment of Multiple Gingival Recessions: Prognostic Parameters for Clinical Treatment Outcomes of Randomized Controlled Trial. Journal of Clinical Medicine, 13(22), 6758. https://doi.org/10.3390/jcm13226758
        
